Ölüme Yakın Deneyim: Ölümden Önce Görülen Işık, Havada Süzülme ve Sesler Gibi Deneyimlerin Kaynağı Nedir?

Bu Makalede Neler Öğreneceksiniz?
- Describe near-death experiences (NDEs) as deep psychological and physiological events occurring near death, featuring common sensations like out-of-body feelings and seeing light.
- Explain religious interpretations view NDEs as evidence of life after death, whereas scientific perspectives attribute them to brain organ dysfunction during dying.
- Highlight the scientific difficulty of studying NDEs objectively due to their anecdotal nature and the impossibility of measuring experiences after death.
Ölüme yakın deneyim (İng: "near death experience" veya kısaca "NDE"), kişilerin ölümden dönme sırasında veya yaklaşan ölümleriyle ilgili deneyimlediği ve farklı kişilerde benzer özellikleri paylaştığını iddia edilen, derin ve etkileyici psikolojik ve fizyolojik deneyimlerdir. Pozitif ölüme yakın deneyimler arasında vücuttan ayrılma, havaya yükselme, mutlak bir dinginlik, merdiven tırmanma, güvende hissetme hali, sonsuz bir mutluluk veya huzurla insanın içinin ısınması, bir çeşit çözülme deneyimi, birden ölü bedene geri girerek hayata dönmek ve bir ışığın varlığı gibi çeşitli duyumlar bulunmaktadır.[1], [2], [3], [4], [5] Negatif ölüme yakın deneyimler arasındaysa ıstırap ve sıkıntı hisleri yaygındır.[6] Ölüme yaklaşan kişilerin veya ölümden dönenlerin dile getirdiği en yaygın ölüm deneyim cümleleri ve halüsinasyon anlatıları şu tür ifadeler içermektedir:
- "Hayatım bir film şeridi gibi gözlerimin önünden geçti."
- "Bedenimden ayrıldım, masada yatan bedenimi gördüm."
- "Bir tünel vardı ve sonunda beyaz bir ışık vardı."
- "Bir ışık topu gördüm, benimle konuştu."
- "Tüm sevdiklerim oradaydı, beni çağırıyorlardı."
Ölümün bilinmezliklerle dolu olduğuna yönelik inanç ve kültürel/mitolojik anlatılardaki yeri bakımından bu deneyimler, dini perspektiften bakıldığında bilimsel anlatıya göre çok daha farklı yorumlanırlar: Dini ve spirütüel yorumlara göre ölüme yakın deneyimler ölümden sonra yaşamın bir kanıtıdır.[7], [8], [9], [10] Bilimsel yoruma göreyse ölüme yakın deneyimler, ölümün fizyolojik boyutu dolayısıyla bedende deneyimlenen duyu organı bozulmasının hep bir arada etkileşmesi sonucu deneyimlenen öznel, psikolojik hislerdir ve ölümden sonra yaşam ile ilgili herhangi bir bilgi vermez veya kanıt teşkil etmez.[11]
Ölüme Yakın Deneyimler ve Bilimsel Gerçekler
Ölüme yakın deneyimleri bilimsel olarak araştırmak için bir dizi soru sorulması gerekmektedir. Ancak bu sorulara bilimsel ve objektif cevaplar vermek çok zordur; çünkü ölüme yakın deneyimleri bilimsel olarak araştırmanın yolları son derece kısıtlıdır. Öncelikle bu problemi daha iyi anladıktan sonra, bugüne kadar yapılan çalışmalardan elde edilen bulguları inceleyebiliriz.
Ölüme Yakın Deneyimleri Bilimsel Olarak Araştırmak Neden Zor?
Hiç kimse ölümden sonra fazladan bir şeyler olup olduğunu bilmemektedir. Bilemezler de, çünkü onu henüz deneyimlememiş olanlar, şu anda hayattalar; deneyimleyenlerse yitip gittiler ve artık onlardan bilgi alamıyoruz. İşte bu çizginin üzerinde gidip geri gelmiş olanların deneyimlerine Ölüme Yakın Deneyimler denmektedir. Ölümden dönen bu insanlar, o anlarda hissettiklerini geri gelip anlatabilmektedirler. Bunlar, çok uzun bir süredir, başta gençler olmak üzere geniş bir kitlenin ilgisini çekmektedir. Bu konuya bel bağlayan kişiler, bunu deneyimlemiş olanların, bize ölümden sonra olduğuna inanılan hayatla ilgili bazı bilgiler verebileceklerini ummaktadırlar.
Bilimde, doğrudan ve objektif bir şekilde ölçemediğimiz ve sistemli olarak toplanamayan bu tür anlatılara, "anekdotal anlatı", yani "kulaktan dolma bilgi" adı verilmektedir. Bu tür "kanıtlar", bilimde en düşük seviyeli ve en güvenilmez kanıt tipi olarak görülmektedirler.[12] Bu tür anekdotal anlatılar, "tıbbi vaka raporları" gibi bazı çok özel durumlar haricinde (ve o durumlarda bile resmi ve bilimsel akran incelemelerinden geçmek kaydıyla), çoğu zaman anekdotal bilgilerin akademik hiçbir değeri yoktur.[13], [14], [15] Bunun sebebi, insan beyninin çok kolay kandırılabilen bir makina olmasıdır ve bu nedenle görgü tanıklığı gibi anekdotal anlatılar, yeterince güvenilir bir veri hattı olarak görülmemektedir.
Öte yandan, ölen veya ölmek üzere olan insanları araştırmak da çok zordur. Bir insanı MRI veya EEG gibi bir cihaza bağlayıp, "Haydi şimdi öl." diyemezsiniz veya ölüme yaklaştırıp geri getiremezsiniz. Hiçbir etik kurul böyle bir deneye izin vermez. Bu nedenle bu tür konularda genelde anekdotal anlatılara muhtaç kalınmaktadır ve bu da, bu tür sahaların sağlam birer bilim dalı olarak yeşermesine engel olmaktadır.
Yine de bazı temel soruları sorarak, ölüme yakın deneyimleri daha bilimsel ve objektif bir şekilde anlamaya çalışabiliriz.
Ölüme Yakın Deneyimler Evrensel mi?
İlk olarak sormamız gereken soru şu: Ölüme yakın deneyim, gerçekten evrensel bir deneyim mi, yoksa kısıtlı bir grubun deneyimlerinin aşırı popülerize edilmesinin bir sonucu mu? Cevap: Her ikisi de...
Ölüme yakın deneyim, özellikle Hollywood filmleriyle iyice popülerleşmiş olsalar da, aslında insan toplumlarında hiç de yeni bir kavram değildir. En antik toplumlardan beri raporlanan bu deneyimler, günümüzde de tüm insan toplumlarının %95 kadarında görülmektedir.[16] Ne yazık ki bu anlatıların kesin kökenlerini bulmak pek mümkün gözükmemektedir.
Öte yandan yapılan çalışmalar ölümle yüzleşen herkesin bu deneyimleri yaşamadığını göstermektedir. Aslında tam tersine, insanların, özellikle de ileri düzey hastaların sadece %10 ila 20 arası "ölüme yakın deneyimler" yaşamaktadır.[16], [17] Bir diğer deyişle bu deneyimleri yaşayanlar, aslında azınlıktadır. Yine de bu oranların, araştırmaya değer bir popülasyon olduğu söylenebilir.
Ölüme Yakın Deneyimlerde Nedenselliğin Yönü Ne?
Sormamız gereken ikinci önemli soru şudur: İnsanlar, gerçekten ölüme yakınken objektif olarak bazı deneyimler yaşıyorlar da sonra ölümden dönüp bunları mı anlatıyorlar, yoksa kültürel olarak anlatılagelen bazı kalıplaşmış ögeler, birçok kişinin beyninin, ölüm anında o anlatılanlara benzer şeyleri deneyimleme beklentisine girmesine mi neden oluyor?
Evrim Ağacı'nın çalışmalarına Kreosus, Patreon veya YouTube üzerinden maddi destekte bulunarak hem Türkiye'de bilim anlatıcılığının gelişmesine katkı sağlayabilirsiniz, hem de site ve uygulamamızı reklamsız olarak deneyimleyebilirsiniz. Reklamsız deneyim, sitemizin/uygulamamızın çeşitli kısımlarda gösterilen Google reklamlarını ve destek çağrılarını görmediğiniz, %100 reklamsız ve çok daha temiz bir site deneyimi sunmaktadır.
KreosusKreosus'ta her 50₺'lik destek, 1 aylık reklamsız deneyime karşılık geliyor. Bu sayede, tek seferlik destekçilerimiz de, aylık destekçilerimiz de toplam destekleriyle doğru orantılı bir süre boyunca reklamsız deneyim elde edebiliyorlar.
Kreosus destekçilerimizin reklamsız deneyimi, destek olmaya başladıkları anda devreye girmektedir ve ek bir işleme gerek yoktur.
PatreonPatreon destekçilerimiz, destek miktarından bağımsız olarak, Evrim Ağacı'na destek oldukları süre boyunca reklamsız deneyime erişmeyi sürdürebiliyorlar.
Patreon destekçilerimizin Patreon ile ilişkili e-posta hesapları, Evrim Ağacı'ndaki üyelik e-postaları ile birebir aynı olmalıdır. Patreon destekçilerimizin reklamsız deneyiminin devreye girmesi 24 saat alabilmektedir.
YouTubeYouTube destekçilerimizin hepsi otomatik olarak reklamsız deneyime şimdilik erişemiyorlar ve şu anda, YouTube üzerinden her destek seviyesine reklamsız deneyim ayrıcalığını sunamamaktayız. YouTube Destek Sistemi üzerinde sunulan farklı seviyelerin açıklamalarını okuyarak, hangi ayrıcalıklara erişebileceğinizi öğrenebilirsiniz.
Eğer seçtiğiniz seviye reklamsız deneyim ayrıcalığı sunuyorsa, destek olduktan sonra YouTube tarafından gösterilecek olan bağlantıdaki formu doldurarak reklamsız deneyime erişebilirsiniz. YouTube destekçilerimizin reklamsız deneyiminin devreye girmesi, formu doldurduktan sonra 24-72 saat alabilmektedir.
Diğer PlatformlarBu 3 platform haricinde destek olan destekçilerimize ne yazık ki reklamsız deneyim ayrıcalığını sunamamaktayız. Destekleriniz sayesinde sistemlerimizi geliştirmeyi sürdürüyoruz ve umuyoruz bu ayrıcalıkları zamanla genişletebileceğiz.
Giriş yapmayı unutmayın!Reklamsız deneyim için, maddi desteğiniz ile ilişkilendirilmiş olan Evrim Ağacı hesabınıza üye girişi yapmanız gerekmektedir. Giriş yapmadığınız takdirde reklamları görmeye devam edeceksinizdir.
Bir diğer deyişle, ömrümüz boyunca "tünelin sonunda ışık göreceksin", "bedeninden ayrıldığını hissedeceksin", "hayalet-vari bir ruhumuz var" gibi argümanlara şartlandığımız için de insanların ölüme yakın deneyimleri ortak olabilir. Sonuçta bir sonraki kısımda göreceğimiz gibi beyin, ölüm anında rastgele bir şekilde anıları çağırıp hayata tutunmaya çalıştığı için, bu kültürel ögelerin de hatırlanıyor ve deneyimleniyor olma ihtimali oldukça yüksektir.
Ne yazık ki kontrollü bir deney yapılamadığı müddetçe, bu soruya kesin bir cevap vermek çok zor gözükmektedir, dolayısıyla şimdilik bunu ucu açık bir soru olarak bırakıyoruz.
Ölüm Anında Beyinde Neler Oluyor?
Ölüm anında beyinde nelerin olup bittiği çok önemlidir, çünkü sinirbilimcilerin pratik olarak tamamı ve filozofların büyük bir kısmı, "ruh" dediğimiz şeyin, beynimizdeki aktiviteden ibaret olduğu konusunda hemfikirdirler.[18], [19], [20] Bugün biliyoruz ki üst düzey insani becerilerle ilişkilendirilen her ne varsa; duygular, düşünceler, sosyal beceriler, karmaşık fikirler ve diğer her şey, beyindeki bazı nöron gruplarını elektrik verip susturarak kapatabileceğimiz ve sonrasında geri açabileceğimiz bir fizyolojiye sahiptir. Dolayısıyla ölüm anında her ne deneyimleniyorsa, beyinde deneyimleniyor olmalıdır.
Bunu test etmek de normalde çok zordur; çünkü tam da ölmekte olan insanların beyinlerini görüntüleme fırsatını bulmak pek mümkün değildir. Ancak 2016 yılında Estonya'daki Tartu Üniversite Hastanesine kaldırılan 87 yaşındaki bir hastayı tedavi eden Dr. Raul Vicente ve ekip arkadaşları, hastanın beynindeki epileptik nöbetleri incelemek için rutin bir elektroensefalografi (EEG) kaydı alırken, işte tam da bu ölüm anında olan biteni kaydetmeyi başardılar (bunu daha önceden burada anlatmıştık; burada konuyla ilgili ek detayları vereceğiz).

Elektroensefalografi, bir beyin görüntüleme yöntemidir. Bu cihazı kullanarak beyindeki faaliyetleri anlık olarak görmemiz mümkündür. İnsanların ve diğer birçok memelinin beyninde görülen sinyaller 5 ana gruba ayrılmaktadır:
- Gama dalgaları: En yüksek frekanslı, yani en sık atım gösteren dalgalar, saniyede 32 ilâ 100 titreşime karşılık gelen gama dalgalarıdır. Aktif olarak bir şeyler öğrenirken, bir şeylere kafa yorarken, bir anınızı hatırlamaya çalışırken (ki bu birazdan önemli olacaktır), zihniniz keskin ve açıkken ve etrafınızda olan biteni incelerken, uyku sırasında (REM evresinde) rüya görürken beyninizde bu sinyaller baskın hâle gelmektedir.
- Beta dalgaları: Zihniniz çok da aktif değilken ama yine de henüz uykunuz yokken, yani kısaca daha sakin bir şekilde olduğunuz yerde dururken, beyninizdeki dalgalar da sakinleşir ve 13-32 Hertz arası frekansla tanımladığımız beta dalgaları baskın hale gelir. İlginç bir şekilde bu dalgalar, yürüyüş gibi faaliyetler sırasında da baskılanıyor ve sessizleşiyor.
- Alfa dalgaları: Şöyle bir arkanıza uzanıp da, uyumaksızın gözlerinizi dinlendirirken, beyin dalgalarınız daha da sakinleşir ve 8-13 Hertz arasına düşer. Bunlara alfa dalgaları denmektedir.
- Teta dalgaları: Yavaş yavaş uykuya dalarken, bilinciniz kapanırken veya meditasyon yaparken, beyin dalgalarınız da daha sakinleşerek 4-8 Hertz arasına düşer. Bunlar, teta dalgaları olarak bilinir.
- Delta dalgaları: Son olarak, uykuya daldığınızda ve derin bir bilinçsizlik halindeyken, beyin dalgalarınız 0.5 ila 4 Hz arasına kadar düşer. Bunlara da delta dalgaları denmektedir.
Bu beyin dalgaları, keşfedildikleri sırayla isimlendirilmiş dalgalardır; yani ilk önce "alfa" keşfedilmiştir, sonraki keşfedilene "beta" denmiştir ve isimlendirme böyle devam etmiştir. Ama sinyal frekansı bakımından bunlar, isim sırasından farklı bir sırada karşımıza çıkmaktadırlar (yukarıda bu gösterilmektedir). Bu dalgalara bakarak, incelenen bir hastaya durumunu sözlü olarak sormaksızın, o anda beyninin kabaca hangi durumda olduğunu anlamak mümkündür.
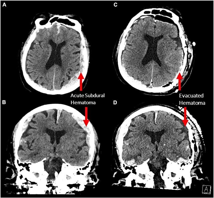
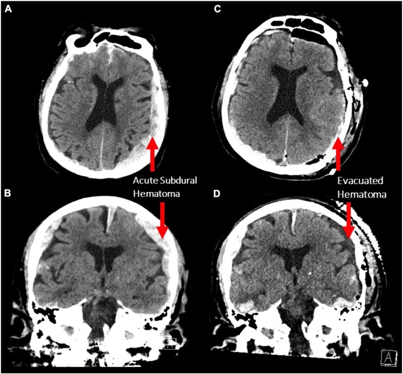
Dr. Vicente ve ekibi de 87 yaşındaki hastalarının bu şekilde EEG kaydını alıyorlardı. Hasta (yaşlılarda ne yazık ki çok yaygın bir problem olduğu üzere), düşüp kafasını vurmuştu. Yapılan tomografi sonucunda beynin iki tarafında da subdural, yani beyni saran sert zarın altında kalan hematom, yani kan yumrusu görüldü:

Hemen ameliyata alınan hastanın sol taraftaki daha şiddetli hematomu boşaltıldı ve hastanın durumu bu sayede 2 gün boyunca sabitlenebildi; ancak hasta yoğun bakımdayken bacaklarında kasılmalar ve epileptik nöbetler başladı. Bu nedenle nörolojiye danışan doktorlar, EEG çekilmesine karar verdiler. Kalp krizi ve ölümü de içeren EEG kayıtları şu şekildeydi:

Bu hasta için rutin başlayan EEG seansı, 170. saniyede bir epilepsi nöbetiyle bölünmüştür. 1 dakika kadar süren bu nöbetten 155 saniye sonra sol beyindeki sinyaller baskılanmaya başlamıştır ve 470. saniyede sol beyindeki aktivite büyük oranda durmuştur. Aradan 220 saniye daha geçtikten sonra iki beyindeki faaliyet de yavaşlamıştır ve hasta, 810. saniyede kalp krizi geçirmiştir. Kriz anını, EKG kaydında net olarak görmek mümkündür. O noktadan sonra sinyallerin çoğunun saniyeler içinde öldüğüne dikkat ediniz. İşte bu kalp krizi civarındaki 90 saniyelik kayıt, özellikle de kalp krizinden hemen sonraki ilk 30 saniyede olanlar, bilim insanları için altın değerindedir.
Kalbin durmasından hemen sonraki sinyalleri değerlendiren uzmanlar, diğer tüm dalgalar ölürken, gama dalgalarının arttığını gördüler. Az önce anlattıklarımızı hatırlayacak olursanız, gama dalgaları, genellikle beyin aktif olarak çalışırken baskın olan, üst düzey bilişsel fonksiyonlarla ilişkili dalgalardır.
İşte bu bulgu, o ölüm anında deneyimlenen "hayatın bir film şeridi gibi gözlerin önünden geçmesi" gibi anı-temelli olayları açıklamamızı sağlayabilir. Ölmekte olan bir beyin, aktivitesini yitirmek bir yana dursun, aktif bir şekilde üst düzey bilişsel fonksiyonları devreye sokmaktadır. Bu, daha önce fare beyinlerinde de benzer şekilde gözlenmişti; ama insanda da bunun gözleniyor olması, beynin hayata tutunmak için kendisini yeniden tetikleyecek anıları tetikliyor olabileceğine işaret etmektedir. Belki de kimi durumda kişilerin gerçekten de ölümden dönebilmesinin bir nedeni de, beynin çağırdığı bu güçlü ve mutlu anıların pekiştirdiği hayata tutunma arzusu olabilir!
Tabii bu araştırmaların kısıtlarından söz etmekte de fayda görüyoruz: Mesela bu 87 yaşındaki hastanın beyin kaydı, sadece 1 kişinin verisine dayanmaktadır. Dolayısıyla bu tür tekil araştırmalardan çok büyük sonuçlar çıkarmak tehlikeli olacaktır. Hatta bu EEG çalışması, kendi içinde de epey sorunlu olarak görülebilir: Çünkü hasta zaten sağlıksız olan, yaşlı bir kişi; örneğin beyin hasarı almış halde, nöbetler geçiriyor ve beyninde şişme var. Tüm bunlar, kaliteli veri toplamayı olumsuz etkileyen faktörlerdir. Zaten araştırmacıların bu kaydı ta 2016'da alıp da 2022'de yayınlama nedeni de buydu: "Belki arada bir hastaya daha denk geliriz de onunla birlikte yayınlarız." diye düşünmüşler; ama 6 yılda bu tür bir olay tekrar etmeyince, yani bir EEG sırasında bir başka ölüm yaşanmayınca, veriyi tek başına yayınlamaya karar vermişler.
Ölüme Yakın Deneyimleri Bilim Nasıl Açıklıyor?
Süperfarkındalık Modeli
Bu tür bilimsel bulgular, kişinin ölümden hemen önceki anlarda daha bilinçli hale gelmesi ve bir anlığına kendi bedeninden ve etrafında olan bitenden çok daha haberdar olmasını da açıklayabilir.

Örneğin vücudu dışarıdan görme deneyiminin, ölüm sırasında hayata tutunmaya çalışan beynin kaotik olarak çağırdığı anılarla, etraftan gelen sinyallerin birleşiminden doğan bir çeşit rüya, bir süperfarkındalık durumu olabileceği düşünülüyor. Çünkü her ne kadar ölüme yaklaşanların "ruhlarıyla" hastane odalarında dolaştığı anlatılagelse de ve bazıları o odalarda olan biteni çok net bir şekilde tarif edebileceğini iddia etse de (mesela doktorlarının verdiği ilaçların adlarını veya yan odadaki hastanın durumunu falan anlatabileceklerini ileri sürseler de), bunun doğru olmadığını deneysel olarak biliyoruz.
Yapılan 5 farklı akademik çalışmada, hastanedeki farklı yerlere gizli hedefler kondu ve bu deney süresince 12 kişi ölüme yakın deneyimler yaşadılar (ve bu hastalar, bedenlerini terk ettiklerini söylediler); ama 12 kişinin hiçbiri, özellikle yerleştirilmiş bu hedeflerden 1 tanesini bile doğru bir şekilde teşhis edemedi.[17] Çok isabetliymiş gibi anlattıkları şeylerin hiçbiri gerçekte isabetli farkındalıklar değildi.
Süpergerçekçi Rüyalar
Dolayısıyla daha olası bir açıklama şudur: Tıpkı çok gerçekçi bir rüya gördüğünüzde, gördüğünüzün rüya mı gerçek mi olduğunu ayırt edememeniz gibi, ölümden dönenlerin bir kısmı da gerçekle hayalin öylesi bir karışımını deneyimliyor ki, beyinleri hayata tutunmaya çalışırken deneyimledikleri hayal ve rüyaları, kendilerine geldikten sonra gerçek zannediyor olabilirler. Onlar için son derece gerçekçi olan bu deneyimler, gerçekte büyük oranda hayalden ve bir miktar da bilinçli olarak algıladıklarından ibarettir (deja vu konusunda karşımıza çıkan hafıza mekanizmaları burada da devreye giriyor olabilir).
Beklenti Modeli
Örneğin yazının başlarında, kişilerin kültürel birikimlerinden ötürü bu tür deneyimler yaşıyor olabileceği ihtimalinden söz etmiştik. Bilimde buna "beklenti modeli" denmektedir. Sonuçta kim öldükten sonra sonsuza kadar mutlu mesut olacağı bir cennete gitmek istemez ki? E dolayısıyla ölmekte olan bir beyin de, kendi acısını bu beklentiyle dindiriyor ve buna bağlı olarak onunla uyumlu imgeler hayal ediyor olabilir.[21] Bireylerin, yaşamlarına yönelik yüksek riskli bir tehdide karşı kendilerini koruyacak bir senaryo hayal etmek için kendi kişisel ve kültürel beklentilerini kullanmaları oldukça anlaşılırdır.
Çok küçük çocuklarda da bazen bu anlatımların olması buna kuşku düşürüyor; öte yandan günümüzde en ufak çocuklar bile bu tür konuları öğrenerek büyüyorlar, dolayısıyla onlar da bu etkiden muaf olmayabilirler.
Depersonalizasyon Modeli
Bir diğer olasılık, ölmekte olan kişilerin, düştükleri dehşeti dizginleyebilmek için depersonalizasyon, yani "kendi kişiliğinden uzaklaşma" davranışına başvuruyor olmalarıdır. Bu, beynimizde sık tetiklenen bir savunma mekanizması ve bizi korkunç durumlarda bilişsel olarak soyutlamaya yaramaktadır.[21], [22], [23], [24], [25] Bu da o bedenden kopma gibi hisleri açıklayabilir.
Disosiyasyon Modeli
Depersonalizasyonun duygusal düzlemde olan versiyonunaysa "disosiyasyon modeli" denmektedir. İnsanlar, rahatsız edici duygulardan kendilerini izole ederek, onların zıttını deneyimlemektedirler ve bu şekilde huzur bulmaktadırlar.[21]
Doğum Modeli
Çok ilginç olan bir diğer hipotez, ölüm anında yaşananların doğum travmasını tekrar etmesiyle ilgilidir.[21] Çünkü doğum anımızı şu anda hatırlayamıyor olsak da, dikkat ederseniz ölüm anı, bir yerde doğuma çok benzemektedir: Ana rahminde huzurlu ve korunaklıyız, sonra bir anda vücudu terk etmeye başlıyoruz ve alışageldiğimiz karanlığın ucunda bir tünel, bir ışık görüyoruz. Sonra müthiş bir rahatlama, sevgi ve kabullenme deneyimliyoruz. Görebileceğiniz gibi ölüm sırasında deneyimlendiği söylenen şeyler, yeni doğan bir bebeğin deneyimlediklerine epey benzemektedir.
Nörokimyasal Modeller
Psikolojik açıklamalar bir yana, bir de beyinde olan biten vardır. Bugüne kadar ölüme yakın deneyimleri açıklayabilecek çok sayıda fizyolojik mekanizma keşfedilmiştir.
Şöyle düşünebilirsiniz: Ölmekte olan birine verilebilen kimyasallardan biri ketamindir; yani çok ağır bir uyuşturucudur. Bunun sinir bağlantılarında birikmesi sonucu kişi trans-benzeri bir hale geçmektedir, rahatlamaktadır ve anı kaybına uğramaktadır. Bir yandan beyin hayata tutunmaya çalışırken diğer yandan ketamin nedeniyle iletişim ağı bozulduğunda, ilginç halüsinasyonlar da kaçınılmaz olacaktır - ki gerçekten de ketamin kullanımıyla, ölüme yaklaşmayan kişilerde de ölüme yakın deneyimlere benzer deneyimler yaratılabildiği gösterilmiştir.[26]
Düşük Oksijen ve G-LOC Modeli
Ayrıca ölümün yaşanmasının genel nedeni de unutulmamalıdır: beynin, yeterince oksijenle beslenememesi... Bu, yüksek g-kuvvetine maruz kalanların deneyimlediği G-LOC olayıyla benzer bir durumdur - ve gerçekten de savaş uçağı pilotları, aşırı yüksek g-kuvvetlerine maruz kaldıklarında ve bayıldıklarında, bedenlerinden ayrıldıklarını gördüklerini, tünel görüşüne kapıldıklarını ve hatta ışıklar gördüklerini söylemektedirler.[27]
Benzer şekilde, çok korkunç bir olayla karşılaşanların kanı hayati organlara çekilirken gözlerinin önünde tünel görüntüsü denen bir görüntü oluşmaktadır. Bunun, çevremizden gelen görsel verinin tamamen göz ardı edilerek, sadece direkt olarak baktığımız yere odaklanmamızdan kaynaklandığı düşünülmektedir.
Sonuç
Uzun lafın kısası, ölüme yakın deneyimlerden şu ana kadar öte tarafa ait anlamlı bir bilgi edinebilmiş değiliz ve bu gidişle de alamayacağız gibi gözüküyor. Ancak araştırmalar devam ediyor.
Bu arada, yazı içinde bahsettiğimiz o 87 yaşındaki hastaya ne olduğunu merak ediyor olabilirsiniz: Hastanın, kalbinin durması halinde doktorlarının kendisini geriye döndürmeye çalışmamasını emreden, kısaca DNR olarak bilinen, "Beni Canlandırmayın Emri" vardı. Ailesine danışan doktorlar, hastanın isteğini yerine getirdiler ve duran kalbini yeniden çalıştırmadılar. Böylece hasta ölmüş oldu.
Bu, epey üzücü ve şaşırtıcı bir araştırma; ama en azından sevdiklerimizin, o son anlarını yaşarken bile, son nefeslerini vermeden önce sevdiklerini ve güzel anlarını hatırlayarak hayata tutunduklarını düşünmek, geride kalan bizlere bir nebze olsun teselli verebilir.
Evrim Ağacı'nda tek bir hedefimiz var: Bilimsel gerçekleri en doğru, tarafsız ve kolay anlaşılır şekilde Türkiye'ye ulaştırmak. Ancak tahmin edebileceğiniz gibi Türkiye'de bilim anlatmak hiç kolay bir iş değil; hele ki bir yandan ekonomik bir hayatta kalma mücadelesi verirken...
O nedenle sizin desteklerinize ihtiyacımız var. Eğer yazılarımızı okuyanların %1'i bize bütçesinin elverdiği kadar destek olmayı seçseydi, bir daha tek bir reklam göstermeden Evrim Ağacı'nın bütün bilim iletişimi faaliyetlerini sürdürebilirdik. Bir düşünün: sadece %1'i...
O %1'i inşa etmemize yardım eder misiniz? Evrim Ağacı Premium üyesi olarak, ekibimizin size ve Türkiye'ye bilimi daha etkili ve profesyonel bir şekilde ulaştırmamızı mümkün kılmış olacaksınız. Ayrıca size olan minnetimizin bir ifadesi olarak, çok sayıda ayrıcalığa erişim sağlayacaksınız.
Makalelerimizin bilimsel gerçekleri doğru bir şekilde yansıtması için en üst düzey çabayı gösteriyoruz. Gözünüze doğru gelmeyen bir şey varsa, mümkünse güvenilir kaynaklarınızla birlikte bize ulaşın!
Bu makalemizle ilgili merak ettiğin bir şey mi var? Buraya tıklayarak sorabilirsin.
Soru & Cevap Platformuna Git- 35
- 26
- 18
- 13
- 9
- 9
- 2
- 1
- 0
- 0
- 0
- 0
- ^ M. Morse, et al. (1985). Near-Death Experiences In A Pediatric Population: A Preliminary Report. American Journal of Diseases of Children, sf: 595-600. doi: 10.1001/archpedi.1985.02140080065034. | Arşiv Bağlantısı
- ^ L. Lovins. Three Beings Of Light. (25 Nisan 2015). Alındığı Tarih: 15 Ağustos 2022. Alındığı Yer: International Association for Near Death Studies, Inc. | Arşiv Bağlantısı
- ^ J. Long. Stories Of God’s Love Common Among Those Who Almost Die, Says Doctor Who Studies Them. (29 Haziran 2016). Alındığı Tarih: 15 Ağustos 2022. Alındığı Yer: The Washington Post | Arşiv Bağlantısı
- ^ T. Newman. Near-Death Experiences: Fact Or Fantasy?. (27 Nisan 2016). Alındığı Tarih: 15 Ağustos 2022. Alındığı Yer: Medical News Today | Arşiv Bağlantısı
- ^ R. A. M. J.. (1985). Life After Life: The Investigation Of A Phenomenon Survival Of Bodily Death. ISBN: 9780891760375. Yayınevi: Mockingbird Books.
- ^ A. Sleutjes, et al. (2014). Almost 40 Years Investigating Near-Death Experiences. Ovid Technologies (Wolters Kluwer Health), sf: 833-836. doi: 10.1097/NMD.0000000000000205. | Arşiv Bağlantısı
- ^ L. J. Griffith. (2009). Near-Death Experiences And Psychotherapy. Psychiatry (Edgmont), sf: 35. | Arşiv Bağlantısı
- ^ J. Mauro. Bright Lights, Big Mystery. (9 Haziran 2016). Alındığı Tarih: 15 Ağustos 2022. Alındığı Yer: Psychology Today | Arşiv Bağlantısı
- ^ J. Vincent. (2009). Yearbook Of Intensive Care And Emergency Medicine 2009. ISBN: 9783540922766. Yayınevi: Springer Science & Business Media.
- ^ C. Koch. What Near-Death Experiences Reveal About The Brain. (1 Haziran 2020). Alındığı Tarih: 15 Ağustos 2022. Alındığı Yer: Scientific American | Arşiv Bağlantısı
- ^ S. Laureys. (2011). The Neurology Of Consciousness. ISBN: 9780080921020. Yayınevi: Academic Press.
- ^ R. H. Riffenburgh. (1999). Statistics In Medicine. ISBN: 9780125885607. Yayınevi: Academic Press.
- ^ M. Jenicek. (2001). Clinical Case Reporting In Evidence Based Medicine. ISBN: 9780340763995. Yayınevi: Hodder Education Publishers.
- ^ S. O. Lilienfeld. (2014). Science And Pseudoscience In Clinical Psychology, Second Edition. ISBN: 9781462517510. Yayınevi: Guilford Publications.
- ^ S. H. Sicherer. (2003). Food Allergy: When And How To Perform Oral Food Challenges. Wiley, sf: 226-234. doi: 10.1034/j.1399-3038.1999.00040.x. | Arşiv Bağlantısı
- ^ a b B. Greyson. (2009). The Handbook Of Near-Death Experiences: Thirty Years Of Investigation. ISBN: 9780313358654. Yayınevi: Praeger.
- ^ a b E. Cardeña. (2000). Varieties Of Anomalous Experience: Examining The Scientific Evidence. ISBN: 9781557986252. Yayınevi: American Psychological Association (APA).
- ^ J. Weinberg. What Philosophers Believe: Results From The 2020 Philpapers Survey. (1 Kasım 2021). Alındığı Tarih: 15 Ağustos 2022. Alındığı Yer: Daily Nous | Arşiv Bağlantısı
- ^ J. Musolino. (2015). The Soul Fallacy: What Science Shows We Gain From Letting Go Of Our Soul Beliefs. ISBN: 9781616149628. Yayınevi: Prometheus Books.
- ^ S. M. Carroll. Physics And The Immortality Of The Soul. (23 Mayıs 2011). Alındığı Tarih: 15 Ağustos 2022. Alındığı Yer: Scientific American Blog Network | Arşiv Bağlantısı
- ^ a b c d C. C. French. (2005). Near-Death Experiences In Cardiac Arrest Survivors. Elsevier, sf: 351-367. doi: 10.1016/S0079-6123(05)50025-6. | Arşiv Bağlantısı
- ^ R. N. J.. (2016). The Experience Of Dying†. Psychiatry, sf: 174-184. doi: 10.1080/00332747.1972.11023710. | Arşiv Bağlantısı
- ^ R. Noyes, et al. (2005). Depersonalization In The Face Of Life-Threatening Danger: An Interpretation. SAGE Publications, sf: 103-114. doi: 10.2190/7qet-2vau-ycdt-tj9r. | Arşiv Bağlantısı
- ^ R. Noyes, et al. (1977). Depersonalization In Response To Life-Threatening Danger. Comprehensive Psychiatry, sf: 375-384. doi: 10.1016/0010-440X(77)90010-4. | Arşiv Bağlantısı
- ^ R. Noyes, et al. (2005). The Subjective Response To Life-Threatening Danger. SAGE Publications, sf: 313-321. doi: 10.2190/JRQF-246A-H847-M8YG. | Arşiv Bağlantısı
- ^ C. Martial, et al. (2019). Neurochemical Models Of Near-Death Experiences: A Large-Scale Study Based On The Semantic Similarity Of Written Reports. Consciousness and Cognition, sf: 52-69. doi: 10.1016/j.concog.2019.01.011. | Arşiv Bağlantısı
- ^ J. E. Whinnery. (1997). Psychophysiologic Correlates Of Unconsciousness And Near-Death Experiences. Journal of Near-Death Studies. | Arşiv Bağlantısı
Evrim Ağacı'na her ay sadece 1 kahve ısmarlayarak destek olmak ister misiniz?
Şu iki siteden birini kullanarak şimdi destek olabilirsiniz:
kreosus.com/evrimagaci | patreon.com/evrimagaci
Çıktı Bilgisi: Bu sayfa, Evrim Ağacı yazdırma aracı kullanılarak 07/10/2025 00:27:43 tarihinde oluşturulmuştur. Evrim Ağacı'ndaki içeriklerin tamamı, birden fazla editör tarafından, durmaksızın elden geçirilmekte, güncellenmekte ve geliştirilmektedir. Dolayısıyla bu çıktının alındığı tarihten sonra yapılan güncellemeleri görmek ve bu içeriğin en güncel halini okumak için lütfen şu adrese gidiniz: https://evrimagaci.org/s/12241
İçerik Kullanım İzinleri: Evrim Ağacı'ndaki yazılı içerikler orijinallerine hiçbir şekilde dokunulmadığı müddetçe izin alınmaksızın paylaşılabilir, kopyalanabilir, yapıştırılabilir, çoğaltılabilir, basılabilir, dağıtılabilir, yayılabilir, alıntılanabilir. Ancak bu içeriklerin hiçbiri izin alınmaksızın değiştirilemez ve değiştirilmiş halleri Evrim Ağacı'na aitmiş gibi sunulamaz. Benzer şekilde, içeriklerin hiçbiri, söz konusu içeriğin açıkça belirtilmiş yazarlarından ve Evrim Ağacı'ndan başkasına aitmiş gibi sunulamaz. Bu sayfa izin alınmaksızın düzenlenemez, Evrim Ağacı logosu, yazar/editör bilgileri ve içeriğin diğer kısımları izin alınmaksızın değiştirilemez veya kaldırılamaz.