Maymun Çiçeği Nedir? Nasıl Bulaşır ve Tedavi Edilebilir mi?

- Hastalık Kataloğu
- Viroloji
- Viral Enfeksiyonlar
- Türkçe Adı Maymun Çiçeği
- İngilizce Adı Monkeypox
- OrphaNet
Bu Makalede Neler Öğreneceksiniz?
- Identify monkeypox as a viral disease caused by the MPVX virus, belonging to the Orthopoxvirus genus, related to the smallpox virus.
- Describe monkeypox virus as a large DNA virus with brick-shaped morphology and lipoprotein envelope, capable of independent replication processes.
- Report monkeypox fatality rate as approximately 10% in Africa, with symptoms including fever, headache, muscle pain, swollen lymph nodes, and contagious skin lesions.
Maymun çiçeği, insan da dahil olmak üzere belli hayvan türlerine "maymun çiçeği virüsü" veya kısaca MPVX aracılığıyla bulaşan, çiçek grubu hastalıklarından biridir ("çiçek-benzeri" bir hastalıktır). Daha teknik tabiriyle bu virüs, Poxviridae ailesi altındaki Chordopoxvirinae alt ailesindeki, Orthopoxvirus cinsi virüslerden birisidir. Aynı cins altında aşılar sayesinde yok edilebilmiş çiçek hastalığına neden olan variola virüsü, bu aşının üretiminde kullanılan vaccinia virüsü ve tarihteki ilk aşının üretiminde kullanılan inek çiçeği virüsü de bulunmaktadır.
Maymun çiçeği virüsü 200-250 nanometre çapa sahiptir ve elektron mikroskobu altında kısmen iri bir virüs olarak gözükür. Genomları DNA olarak taşınan, yani bir DNA virüsü olan Poxvirüsler, genel olarak tuğla şeklindedir ve etraflarında lipoproteinden oluşan bir zar vardır. mRNA translasyonu için konaklarının ribozomlarına muhtaçtırlar; ancak bunun haricinde poksvirüsler, genomlarında gerekli tüm replikasyon, transkripsiyon, montaj ve çıkış proteinlerini barındırmaktadır.

Afrika'da, hastalığa yakalanan her 10 kişiden 1'i ölmektedir. Kıyas olması bakımından, çiçek hastalığı için bu oran %30 civarındadır. Ayrıca maymun çiçeği, çiçek hastalığından çok daha az bulaşıcıdır.
Belirti ve Semptomlar
Hastalığın semptomları arasında ateş, baş ağrısı, kas ağrısı, şişmiş lenf düğümleri ve yorgunluk bulunur. Bunları takiben hastanın vücudunda kabarıklıklar ve kabuklar (krust) oluşur. Hastalar, semptomların başlangıcından, vücutlarında oluşan pullar lezyonlar tamamen dökülene kadar hastalığı başka insanlara bulaştırabilirler. Hastalığın R0R_0 sayısına yönelik güvenilir tahminler henüz bulunmamaktadır; ancak birçok durumda Batı Afrika'daki endemik vakaların R0R_0 sayılarının 1'in altında olduğu düşünülmektedir.
Virüse yakalanma ile semptomların başlangıcı arasındaki süre 10 gün kadardır ve semptomlar yaklaşık 2-4 hafta sürer. Lenf düğümlerinin şişmesi, genelde çiçek hastalığında görülmeyen bir semptomdur ve hastalıkları ayırt etmekte kullanılabilir.

Hastalık, genellikle şu semptomlarla başlar:
- Ateş,
- Baş ağrısı,
- Kas ağrısı,
- Sırt ağrısı,
- Şişmiş lenf düğümleri,
- Titremeler,
- Yorgunluk.
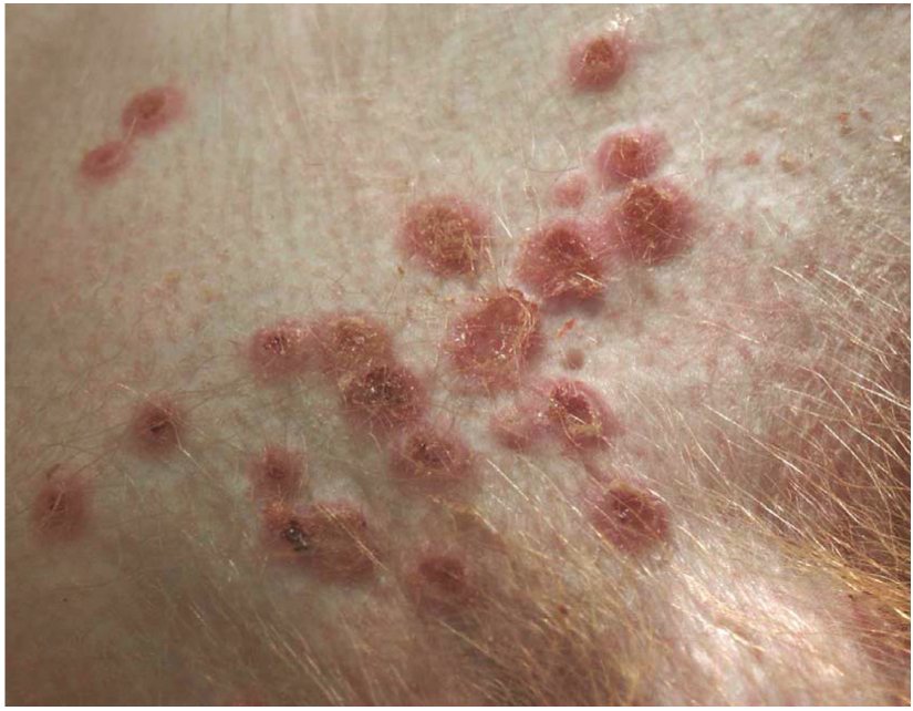
Bu belirtilerden 1-3 gün kadar sonra (kimi zaman daha uzun sürede), hastanın başta yüzü olmak üzere vücudunun çeşitli bölgelerinde kızarıklıklar oluşur ve bunlar giderek yayılır. Eğer bu lezyonlar gözde oluşacak olursa, körlüğe de neden olabilmektedir. Bu süreçte oluşan lezyonlar, dökülmeye başlamadan önce 1-2 gün arayla şu evrelerden geçer:
- Makül
- Papül
- Vesikül
- Pustül
- Yara

Lezyonlar eşzamanlı olarak değişir ve sert, derin yerleşimli ve 2 ila 10 mm boyutunda olarak karakterize edilir. Kabuklar oluşmaya başlamadan önce lezyonlar 5 ila 7 gün boyunca püstüler fazda kalır. Kabuklar sonraki 7 ila 14 gün içinde oluşur ve pul pul dökülür ve çoğu vakada semptom başlangıcından yaklaşık 3 ila 4 hafta sonra durum düzelir. Tüm kabuklar düştükten sonra hastalar artık bulaşıcı olarak kabul edilmez.
Bu lezyonların belirginliği kişiye göre değişir ve kızarıklık derecesine bağlı olarak bazı vakalar semptomları görmezden gelerek bulaşmaya ekstra katkı sağlayabilirler. Eğer lezyonlar vücudun çeşitli yerlerinde çok dağınık ve yayılmış bir döküntü örüntüsü sergiliyorsa, bu kadar görünür olmasından ötürü genelde tıbbi yardım alınmaktadır. Ancak lezyonlar daha çok tek bir vücut bölgesinde veya giysilerle kolayca örtülebilecek vücut bölgelerinde bulunuyorsa, o zaman tıbbi yardım alma ihtimali de daha düşük olmaktadır ve bulaşma riski artmaktadır.

Komplikasyonlar
Maymun çiçeğinden kaynaklanan olası ciddi komplikasyonlar şunlardır:
- Ensefalit,
- Sepsis,
- Bronkopnömoni,
- Olası görme kaybı ile kornea enfeksiyonu,
- Derinin bakteriyle süperenfeksiyonu,
- Ciltte kalıcı yara izi,
- Hiperpigmentasyon veya hipopigmentasyon
- Akciğer iltihaplanması,
- Dehidrasyon (kusma, ishal, ağrılı oral lezyonlar nedeniyle oral alımın azalması ve yaygın cilt bozulmasından kaynaklanan hissiz sıvı kaybı),
- Ölüm.
Hastalıkla İlişkili Genler, Etken Faktörler ve Risk Faktörleri
Bulaşma Yöntemleri
Maymun çiçeği virüsünün bulaşması, bir kişi virüsle kontamine olmuş bir hayvan, insan veya materyal aracılığıyla virüsle temas ettiğinde meydana gelir. Virüs, vücuda cilt kırıklarından/çatlaklarından (bu çatlaklar gözle görünmeyecek kadar küçük olsa bile), solunum yoluyla veya mukoza zarları (gözler, burun veya ağız) yoluyla girer.
Aslında maddi destek istememizin nedeni çok basit: Çünkü Evrim Ağacı, bizim tek mesleğimiz, tek gelir kaynağımız. Birçoklarının aksine bizler, sosyal medyada gördüğünüz makale ve videolarımızı hobi olarak, mesleğimizden arta kalan zamanlarda yapmıyoruz. Dolayısıyla bu işi sürdürebilmek için gelir elde etmemiz gerekiyor.
Bunda elbette ki hiçbir sakınca yok; kimin, ne şartlar altında yayın yapmayı seçtiği büyük oranda bir tercih meselesi. Ne var ki biz, eğer ana mesleklerimizi icra edecek olursak (yani kendi mesleğimiz doğrultusunda bir iş sahibi olursak) Evrim Ağacı'na zaman ayıramayacağımızı, ayakta tutamayacağımızı biliyoruz. Çünkü az sonra detaylarını vereceğimiz üzere, Evrim Ağacı sosyal medyada denk geldiğiniz makale ve videolardan çok daha büyük, kapsamlı ve aşırı zaman alan bir bilim platformu projesi. Bu nedenle bizler, meslek olarak Evrim Ağacı'nı seçtik.
Eğer hem Evrim Ağacı'ndan hayatımızı idame ettirecek, mesleklerimizi bırakmayı en azından kısmen meşrulaştıracak ve mantıklı kılacak kadar bir gelir kaynağı elde edemezsek, mecburen Evrim Ağacı'nı bırakıp, kendi mesleklerimize döneceğiz. Ama bunu istemiyoruz ve bu nedenle didiniyoruz.
Hayvandan insana (zoonotik) bulaşma, enfekte hayvanların kan, vücut sıvıları veya kutanöz veya mukozal lezyonları ile doğrudan temastan meydana gelebilir. Afrika'da ip sincapları, ağaç sincapları, Gambiya'da haşlanmış fareler, farklı maymun türleri ve diğerleri dahil olmak üzere birçok hayvanda maymun çiçeği virüsü enfeksiyonunun kanıtı bulunmuştur. Maymun çiçeğinin doğal rezervuarı henüz tanımlanmamıştır; ancak en güçlü aday kemirgenlerdir. Yetersiz pişmiş et ve enfekte hayvanların diğer hayvansal ürünlerini yemek, olası bir risk faktörüdür. Ormanlık alanlarda veya yakınında yaşayan insanlar, enfekte hayvanlara dolaylı veya düşük düzeyde maruz kalabilir.
İnsandan insana bulaşma, solunum salgıları, enfekte bir kişinin cilt lezyonları veya yakın zamanda kontamine olmuş nesnelerle yakın temastan kaynaklanabilir. Damlacık şeklindeki solunum partikülleri yoluyla bulaşma için genellikle uzun süreli yüz yüze temas gerekir ve bu da sağlık çalışanlarını, aynı evin hane üyelerini ve aktif vakaların yakın temas ettiği diğer kişileri daha büyük risk altına sokar. Bununla birlikte, bir toplulukta belgelenmiş en uzun art arda bulaşma zinciri, yakın geçmişte altı kişiden dokuz kişiye çıkmıştır. Bu durum, çiçek aşısının durdurulması nedeniyle topluluk genelinde bağışıklığın zayıflamasına bağlanabilir.
Bulaşma, plasenta yoluyla anneden fetüse (doğuştan maymun çiçeği hastalığına yol açabilir) veya doğum sırasında ve sonrasında yakın temas yoluyla da olabilir. Yakın fiziksel temas, bulaşma için iyi bilinen bir risk faktörü olsa da, şu anda maymun çiçeğinin özellikle cinsel bulaşma yolları yoluyla bulaşıp bulaşamayacağı belirsizdir. Bu riski daha iyi anlamak için çalışmalara ihtiyaç vardır.

Hastalığın Kökeni
Maymun çiçeğinin ana rezervuarı (ana hastalık taşıyıcısı) hala bilinmemektedir, ancak Afrika kemirgenlerinin bulaşmada rol oynadığından şüphelenilmektedir. Bugüne kadar tespit edilen potansiyel rezervuarlar arasında ip sincapları, ağaç sincapları, Gambiya keseli sıçanları, dormus (Gliridae) ve insan-harici primatlar vardır. Maymun çiçeği virüsünün doğal seyri konusunda belirsizlik devam etmektedir ve kesin rezervuar(lar)ı ve virüs dolaşımının doğada nasıl sürdürüldüğünü belirlemek için daha fazla çalışmaya ihtiyaç vardır.
Bu belirsizliğin bir nedeni de virüsün vahşi doğada bulunmasının zorluğudur. Maymun çiçeği hastalığına neden olan virüs, bugüne kadar vahşi bir hayvandan yalnızca iki kez izole edilebilmiştir:
- 1985 yılında toplanan ilk örnekte virüs, Demokratik Kongo Cumhuriyeti'nin Ekvator Bölgesi'ndeki hasta görünen bir Afrika kemirgeninden (ip sincabı) elde edilmiştir.
- 2012 tarihinde toplanan ikinci örnekteyse virüs, Fildişi Sahili'nin Tai Ulusal Parkı'nda bulunan ölü bir mangabey maymunu bebeğinden elde edilmiştir.

Teşhis Yöntemleri
Maymun çiçeğini teşhis etmek için muayene sırasında lezyonlarınıza bakılır ve virüsle muhtemel olarak ne zaman temasa geçtiğiniz gibi semptomlarınız hakkında ayrıntılı olarak sorulur.
Bazı hastalarda genital lezyonlar da görülür ve bu nedenle maymun çiçeği döküntüsünü; frengi, herpes simpleks virüsü enfeksiyonu, zona ve diğer yaygın enfeksiyonlardan ayırt etmek zor olabilir. Hekiminiz, maymun çiçeğine benzer ama daha yaygın olan şu hastalıkları ekarte etmeye çalışacaktır:
- Kızamık,
- Suçiçeği,
- Frengi,
- Alerjiler,
- Uyuz,
- Bakteriyel cilt enfeksiyonları.
Eğer maymun çiçeğinden şüpheleniliyorsa, laboratuvar testi yoluyla nihai sonuca ulaşılabilir. Maymun çiçeği virüsü, Polimeraz Zincir Tepkimesi (İng: "Polymerase Chain Reaction" veya kısaca "PCR") kullanılarak teşhis edilebilmektedir. Bu yöntemde, bir hastanın lezyonlarının kabuklarından veya sürüntülerinden toplanan örneklerde bulunan DNA yapay olarak çoğaltılır ve böylece örnekteki viral DNA'nın türü tespit edilir.

Tedaviler veya İdare Yöntemleri
Şu anda, maymun çiçeği virüsü enfeksiyonu için kanıtlanmış ve güvenli bir tedavi yoktur. Çoğu viral hastalıkta olduğu gibi, tedavi, destekleyici semptom yönetimi şeklinde olmaktadır.
Öte yandan bir maymun çiçeği salgınını kontrol altında tutmak amacıyla çiçek hastalığı aşısı, antiviraller ve aşı immün globulini (VIG) kullanılabilir.
Müddet Tahminleri (Prognoz)
Herhangi bir yoldan (orofarenks, nazofarenks veya intradermal) viral girişi takiben, maymun çiçeği virüsü aşılama bölgesinde çoğalır ve ardından yerel lenf düğümlerine yayılır. Ardından, ilk viremi viral yayılmaya ve diğer organların tohumlanmasına yol açar. Bu, "kuluçka dönemi" olarak bilinir ve tipik olarak 7 ila 14 gün sürer (üst sınır 21 gündür).
Semptom başlangıcı, lezyonlar ortaya çıkmadan önce ateş ve lenfadenopati gibi 1 ila 2 günlük prodromal semptomlara yol açan ikincil bir viremi ile ilişkilidir. Enfekte hastalar bu zamanda da bulaşıcı olabilir. Lezyonlar orofarenkste başlar ve daha sonra ciltte belirir. Serum antikorları genellikle lezyonların ortaya çıkmasıyla saptanabilir.
Hastalık, tipik olarak 2 ila 4 hafta içinde sonlanır. Ancak özellikle virüse çok fazla maruz kalan çocuklarda, diğer sağlık sorunları olan veya bağışıklık sistemi zayıf olan kişilerde hastalığın potansiyel olarak ciddi, hatta ölümcül sonuçları olabilir.
Bazı vakalarda, bir arada büyüyen ve aynı anda cildin büyük bölümlerinin hasar almasına neden olan binlerce lezyon oluşabilir. Maymun çiçeği hastalığına yakalananlar arasında ölümle sonuçlanan %10'luk dilim, tipik olarak daha genç yaş gruplarındaki kişilerden oluşmaktadır.
Görülme Sıklığı ve Dağılımı (Epidemiyoloji)
Maymun çiçeği, geleneksel olarak tropikal yağmur ormanlarının ekolojisiyle sınırlıdır. Fakat bu örüntünün bozulduğu durumlar da bilinmektedir.
İnsanlar arasında ilk maymun çiçeği vakasına 1970 yılında Kongo Demokratik Cumhuriyeti'nin (eski adıyla Zaire), Équateur Eyaleti'nin Basankusu kasabasında, çiçek hastalığının yok edilmesine yönelik yoğun çabalar sırasında rastlanmıştır. Kongo Demokratik Cumhuriyeti, vakaların en sık görüldüğü ülke olsa da Kamerun, Orta Afrika Cumhuriyeti, Fildişi Sahili, Gabon, Liberya, Nijerya, Kongo ve Sierra Leone gibi orta ve batı Afrika'daki ülkelerde de seyrek sayıda vakaya rastlanmıştır. Uluslararası seyahat dolayısıyla ABD, İsrail, Singapur ve İngiltere'de de vakalar görülmüştür.
Kongo Demokratik Cumhuriyeti/Zaire'de 1981 ve 1986 yılları arasında Dünya Sağlık Örgütü tarafından yapılan sürveyans, 338 doğrulanmış vaka ve 33 ölüm kaydetmiştir (yani hastalığın vaka ölüm oranı %9.8 olarak ölçülmüştür). MPXV'nin bir diğer varyantı Batı Afrika'da bulunmaktadır; ancak bu varyantın vaka ölüm oranı %1'in altındadır. 2022 yılında patlak veren maymun çiçeği salgınına dek, Avrupa'da insandan insana bulaşma hiç raporlanmamıştır.
2003 yılında, Amerika Birleşik Devletleri'nde orta-batısında evcil çayır köpekleri arasında bir salgın yaşanmıştır ve bu, Afrika dışında ilk maymun çiçeği salgınıdır. O salgın sırasında 71 kişi enfekte olmuştur ancak hiç ölüm yaşanmamıştır.
Tropikal yağmur ormanlarının dışına çıkan ilk salgın 2005 yılında Sudan'da (günümüzde Güney Sudan) yaşanmıştır. Bu salgında 49 vaka bildirilmiştir ve hiçbir ölüm yaşanmamıştır. Bu salgına sebep olan virüs üzerinde yapılan genetik analizler, virüsün Sudan'dan gelmediğini, büyük olasılıkla Kongo Demokratik Cumhuriyeti'nden göç ettiğini göstermektedir.
Orta ve Batı Afrika'da ve özellikle Demokratik Kongo Cumhuriyeti'nde çok daha fazla maymun çiçeği vakası rapor edilmiştir: 2011 ve 2014 yılları arasında her yıl yaklaşık 2000 vaka bildirilmiştir. Ne yazık ki bu salgınlarda toplanan veriler genellikle eksiktir ve yeterli doğrulama yapılmamıştır; dolayısıyla yaşanan salgınların gerçek boyutları belirsizdir. Bununla birlikte, 2018 yılı itibari ile rapor edilen maymun çiçeği vakalarının sayısının arttığı ve coğrafi yayılımının genişlediği öne sürülmüştür.
Önlem Yöntemleri
Çiçek aşısı olmak, maymun çiçeğine yakalanma ihtimalini azaltabilmektedir. Maymun çiçeği virüsü ile enfeksiyonu önlemek için alınabilecek bir dizi önlem vardır:
- Virüsü barındırabilecek hayvanlarla temastan kaçının (maymun çiçeğinin meydana geldiği bölgelerde yaşayıp da hasta olan veya yakın tarihte ölmüş hayvanlar dahil).
- Hasta bir hayvanla temas etmiş olan yatak örtüsü gibi herhangi bir malzemeyle temastan kaçının.
- Enfekte hastaları, enfeksiyon riski altında olabilecek diğerlerinden izole edin.
- Enfekte hayvanlar veya insanlarla temastan sonra iyi el hijyeni uygulayın. Örneğin, ellerinizi sabun ve suyla yıkayın veya alkol bazlı el dezenfektanı kullanın.
- Hastalara bakarken kişisel koruyucu ekipman (KKD) kullanın.
Enfekte Olursanız...
Enfekte olan kişi karantinada kalmalı, cerrahi maske takmalı ve tüm lezyon kabukları doğal olarak düşene ve yeni bir deri tabakası oluşana kadar lezyonları mümkün olduğu kadar makul bir şekilde örtmelidir. Şiddetli vakalar için, hayvan çalışmalarında ortopoks virüslerine karşı kanıtlanmış yararı olan bileşikler ve şiddetli aşı aşısı komplikasyonları için araştırma amaçlı kullanım düşünülebilir. Oral DNA polimeraz inhibitörü brincidofovir, oral intraselüler viral salım inhibitörü tecovirimat ve intravenöz vaccinia immün globulin, maymun çiçeği virüsüne karşı bilinmeyen düzeyde bir etkinliğe sahiptir.
Virüse maruz kalan kişiler için ateş ve diğer semptomlar 21 gün boyunca, günde iki kez izlenmelidir; çünkü bu, maymun çiçeği kuluçka süresinin kabul edilen üst sınırıdır. Bulaşıcılık, semptom başlangıcı ile uyumludur; bu nedenle yakın temaslıların asemptomatikken izole edilmesi gerekmez.
"Ankara Aşısı" Yardımcı Olabilir!
Maymun çiçeği ile temas sonrasında olunabilecek "modifiye vaccinia Ankara" aşısı (hem çiçek hem maymun çiçeği aşısı olarak kullanılan, canlı, replikasyonsuz bir aşı) 2019 yılında onaylanmıştır. Bu aşının tarihi Türkiye'yi de içerdiğinden, burada yer vermekte fayda görüyoruz.
Modifiye Vaccinia Ankara (MVA) aşısının atası, 1928 yılında kurulan Refik Saydam Hıfzısıhha Enstitüsü'nün çiçek aşısı araştırmaları sırasında, ülkemizdeki buzağı ve eşeklerin derisinde yayılan vaccinia virüs suşundan üretilmiştir. Enstitü, 1940'lı yıllara kadar tifo, tifüs, difteri, BCG, kolera, boğmaca, tetanoz, kuduz aşılarının seri üretimini yapabilmiştir. Sağlık Bakanlığı'nın sitesinde Enstitü şöyle anlatılıyor:
1968’de kurulan serum çiftliğinde tetanoz, gazlı gangren, difteri, kuduz, şarbon akrep serumları da üretilmiştir. Ülkemizdeki hastalıkların yok olması ile 1971’de tifüs, 1980’de çiçek aşısı üretimi sonlanmıştır.
Ancak Türkiye'deki aşı üretimi 1996’da DBT ve kuduz aşısı, 1997’de BCG aşı üretiminin kesilmesi ile sona ermiştir. Enstitü, 2011 yılında kapatılmıştır. Günümüzde bütün aşılar yurt dışından satın alınmaktadır. Buna rağmen Enstitü'nün izleri hâlen aşı biliminde yerini korumaktadır.
Enstitü tarafından keşfedilen bu suş, 1953 yılında Almanya'nın Münih kentine getirilerek, Münih Üniversitesi'nin Enfekte Edici Hastalıklar ve Tropikal Tıp Enstitüsü'ndeki virüs suşu koleksiyonuna dahil edildi. Sonrasında Herrlich ve Mayr, embriyolaştırılmış tavuk yumurtalarındın koryoallantois zarı üzerinde virüsü çoğalttılar ve bu nedenle aşıya Koryoallantois Vaccinia Virüsü Ankara (CVA) adı verildi.
Bavyera Eyalet Aşı Enstitüsü'nden araştırmacılar, 1954/1955'te Münih'teki aşı kampanyaları için çiçek hastalığı aşısı üretmek için buzağıların derisinde CVA yetiştirmeyi başardılar. Ek olarak CVA, Münih Üniversitesi'nde ortopoks virüslerinin genetik stabilitesini ve evrimini incelemek için çeşitli doku kültürlerinde geçiş deneylerinde test edildi.
Mayr ve Munz, kendi geliştirdikleri ve birincil tavuk embriyo fibroblastlarında (CEF'te) 371 kez CVA geçişi yapılması prosedürü yoluyla, sınırlı konak (hücre) tropizmi ile bir enfeksiyon fenotipinin gelişmesiyle sonuçlandığını tespit ettiler. Yayınladıkları çalışmada, benzer biyolojik özelliklerin, belirli konakçılara yüksek oranda adapte olan çiçek virüslerinden (örneğin, insanlara variola virüsü veya tavuk çiçeği virüsü) bilindiği vurguladılar. Sonrasında yapılan çalışmalarda, kıyılmış tavuk embriyo dokusunda vaccinia virüsünün yukarıda tarif edilen ardışık geçişi, çiçek hastalığı aşısında kullanılabilecek virüslerin bir kültür sisteminde in vitro amplifikasyonu için başarılı bir strateji olduğu gösterildi. Böylece bu suş, aşıya dönüştürülme konusunda güçlü bir aday hâline geldi.
CVA'nın CEF üzerinde yapılan seri geçişi, Anton Mayr ve meslektaşları tarafından daha da devam ettirildi ve 1968 yılında, CEF üzerinde yapılan tam 516 geçişten sonra, virüs, Modifiziertes Vakziniavirus Ankara (Tür: "Modifiye Vaccinia Ankara" veya kısaca "MVA") olarak yeniden adlandırıldı ve çiçek hastalığı aşısı üretimi için uygunluğunu test etmek üzere Bavyera Eyalet Aşı Enstitüsü'ne gönderildi.
Yapılan çalışmalar sonucunda, bu art arta geçiş sırasında vaccinia genomunun %10'unu yitirdiği görüldü ve bu nedenle virüsün, primat hücrelerinde kendi kendini kopyalayamadığı anlaşıldı. Bu, onu tam anlamıyla etkili bir aşıya dönüştürdü.
Sözünü ettiğimiz gibi çoğalma yeteneği modifiye edilmiş virüsleri içeren bir aşı olan vaccinina Ankara aşısı, birinci ve ikinci nesil çiçek hastalığı aşılarına kıyasla daha üstün bir güvenlik profiline sahiptir ve günümüzde 4 hafta arayla yapılan iki aşıdan oluşur. Canlı aşı virüsü preparatlarından farklı olarak, modifiye vaccinia Ankara aşısı, deri lezyonlarına sebep olmaz veya hem lokal hem de genel yayılma riski oluşturmaz. Ek olarak, klinik araştırmalar, modifiye vaccinia Ankara'nın güvenli olduğunu ve canlı aşı uygulamasının kontrendikasyonları olarak bilinen atopi ve bağışıklık sistemi zayıf olan hastalarda antikor üretimini uyardığını göstermiştir.
Cilt çatlakları veya mukoza zarları yoluyla enfekte bir hastanın vücut sıvıları, solunum damlacıkları veya kabukları arasındaki temas, temas sonrası aşılamayı mümkün olan en kısa sürede garanti eden "yüksek riskli" bir maruz kalma olarak kabul edilir. CDC'ye göre, maruziyetten sonraki dört gün içinde aşılama, hastalığın başlamasını önleyebilir ve 14 gün içinde aşılama, hastalığın şiddetini azaltabilir.
Diğer Potansiyel Aşılar
JYNNEOS (Imvamune veya Imvanex olarak da bilinir), maymun çiçeğinin önlenmesi için ABD Gıda ve İlaç Dairesi tarafından onaylanmış, zayıflatılmış bir canlı virüs aşısıdır. Şu anda ABD Bağışıklama Uygulamaları Danışma Komitesi (ACIP), JYNNEOS'u, çiçek hastalığı ve maymun çiçeği gibi ortopoks virüslerine mesleki olarak maruz kalma riski altındaki kişilere, olay öncesinde korunma amaçlı uygulanması ihtimalini değerlendirmektedir.
ACAM2000, ABD Gıda ve İlaç Bakanlığı tarafından lisanslanmış, çiçek hastalığı enfeksiyonuna karşı yüksek risk altında olduğu belirlenen kişilere uygulanan, çiçek hastalığına karşı aktif bağışıklama sağlayan, canlı bir aşıdır.
Etimoloji
Hastalık, ilk olarak 1958 yılında bir grup laboratuvar maymunun keşfedildiği için bu adı almıştır; aslında sadece maymun türlerine özgü bir hastalık değildir (örneğin primatların en yakın kuzeni olan kemirgenlerde de bu hastalığa rastlanmıştır).
Sık Sorulan Sorular
2022'deki Salgın Pandemiye Dönüşebilir mi?
Bu olasılık her zaman mevcut; ancak şu etapta böyle bir pandemi beklenmiyor.
Maymun çiçeğinin insandan insana bulaşabiliyor olması, virüsün insandan insana daha verimli yayılmasını sağlamak için genetik değişikliklere uğrayabileceği endişesini artırmaktadır. Yine de maymun çiçeği, hızlı mutasyona meyilli olmayan, kararlı yapılı bir DNA virüsüdür ve yılda binlerce enfeksiyonun meydana geldiği Demokratik Kongo Cumhuriyeti'nde bile yüksek bir evrimleşme hızı rapor edilmemiştir.
2022 Salgınını Özel Yapan Ne?
Normalde maymun çiçeği rapor etmeyen birçok ülkede, kümeler halinde birden fazla bulaşma zinciri olmuştur. Bu, hastalığın normalden fazla yayıldığına işaret etmektedir.
Ayrıca bu vakalar, hastalığın endemik olduğu coğrafyalara yakın zamanda seyahat etmemiş kişilerde görülmüştür. Daha ziyade hastaların, çok sayıda asemptomatik birey aracılığıyla virüsün başka coğrafyalara taşınması sonucu hastalığa yakalandıklarından endişe edilmektedir. Bu tür asemptomatik vakaların olduğu bilinmektedir; ancak genellikle bu vakalar, 40 ila 50 yıl önce kullanılmış olan ve artık yaygın olarak kullanılmayan çiçek hastalığı aşısı olan kişilerde görülmektedir.
Vakaların büyük bir kısmı, erkeklerle cinsel ilişkiye giren erkekler arasında olmuştur, bu da yakın cinsel ve kişisel temas yoluyla bulaşmayı düşündürmektedir. Portekiz'deki bir hastadan toplanan maymun çiçeği virüsünün genetik dizisinin erken analizi, orada yayılan suşun Batı Afrika soyuna veya evrim ağacının dalına ait olduğunu ve en çok son yıllarda Nijerya'dan İngiltere, İsrail ve Singapur'a göç eden vakalarda karşılaşılan virüslerle yakından ilişkili olduğunu göstermektedir. Bu daldan gelen maymun çiçeği virüsü suşlarının vaka ölüm oranı %1 ila %3.6 arasındadır.
Evrim Ağacı'nda tek bir hedefimiz var: Bilimsel gerçekleri en doğru, tarafsız ve kolay anlaşılır şekilde Türkiye'ye ulaştırmak. Ancak tahmin edebileceğiniz gibi Türkiye'de bilim anlatmak hiç kolay bir iş değil; hele ki bir yandan ekonomik bir hayatta kalma mücadelesi verirken...
O nedenle sizin desteklerinize ihtiyacımız var. Eğer yazılarımızı okuyanların %1'i bize bütçesinin elverdiği kadar destek olmayı seçseydi, bir daha tek bir reklam göstermeden Evrim Ağacı'nın bütün bilim iletişimi faaliyetlerini sürdürebilirdik. Bir düşünün: sadece %1'i...
O %1'i inşa etmemize yardım eder misiniz? Evrim Ağacı Premium üyesi olarak, ekibimizin size ve Türkiye'ye bilimi daha etkili ve profesyonel bir şekilde ulaştırmamızı mümkün kılmış olacaksınız. Ayrıca size olan minnetimizin bir ifadesi olarak, çok sayıda ayrıcalığa erişim sağlayacaksınız.
Makalelerimizin bilimsel gerçekleri doğru bir şekilde yansıtması için en üst düzey çabayı gösteriyoruz. Gözünüze doğru gelmeyen bir şey varsa, mümkünse güvenilir kaynaklarınızla birlikte bize ulaşın!
Bu makalemizle ilgili merak ettiğin bir şey mi var? Buraya tıklayarak sorabilirsin.
Soru & Cevap Platformuna Git- 55
- 39
- 21
- 21
- 15
- 10
- 8
- 6
- 5
- 4
- 4
- 2
- Y. J. F. Hutin, et al. (2009). Outbreak Of Human Monkeypox, Democratic Republic Of Congo, 1996 To 1997. Centers for Disease Control and Prevention (CDC), sf: 434-438. doi: 10.3201/eid0703.010311. | Arşiv Bağlantısı
- E. A. Falendysz, et al. (2015). Further Assessment Of Monkeypox Virus Infection In Gambian Pouched Rats (Cricetomys Gambianus) Using In Vivo Bioluminescent Imaging. PLOS Neglected Tropical Diseases, sf: e0004130. doi: 10.1371/journal.pntd.0004130. | Arşiv Bağlantısı
- H. Meyer, et al. (2002). Outbreaks Of Disease Suspected Of Being Due To Human Monkeypox Virus Infection In The Democratic Republic Of Congo In 2001. American Society for Microbiology, sf: 2919-2921. doi: 10.1128/JCM.40.8.2919-2921.2002. | Arşiv Bağlantısı
- J. E. Osorio, et al. (2008). Zoonoses. Academic Press, sf: 485-495. doi: 10.1016/B978-012374410-4.00536-7. | Arşiv Bağlantısı
- N. Sklenovská, et al. (2018). Emergence Of Monkeypox As The Most Important Orthopoxvirus Infection In Humans. Frontiers in Public Health. doi: 10.3389/fpubh.2018.00241. | Arşiv Bağlantısı
- A. M. McCollum, et al. (2014). Human Monkeypox. Clinical Infectious Diseases, sf: 260-267. doi: 10.1093/cid/cit703. | Arşiv Bağlantısı
- I. K. Damon, et al. (2009). Discovery Of Monkeypox In Sudan. Massachusetts Medical Society, sf: 962-963. doi: 10.1056/NEJMc060792. | Arşiv Bağlantısı
- Y. Nakazawa, et al. (2013). Phylogenetic And Ecologic Perspectives Of A Monkeypox Outbreak, Southern Sudan, 2005 - Volume 19, Number 2—February 2013 - Emerging Infectious Diseases Journal - Cdc. Centers for Disease Control and Prevention (CDC), sf: 237-245. doi: 10.3201/eid1902.121220. | Arşiv Bağlantısı
- K. A. Marriott, et al. (2008). Clonal Vaccinia Virus Grown In Cell Culture Fully Protects Monkeys From Lethal Monkeypox Challenge. Vaccine, sf: 581-588. doi: 10.1016/j.vaccine.2007.10.063. | Arşiv Bağlantısı
- A. Vaughan, et al. (2018). Two Cases Of Monkeypox Imported To The United Kingdom, September 2018. Eurosurveillance, sf: 1800509. doi: 10.2807/1560-7917.ES.2018.23.38.1800509. | Arşiv Bağlantısı
- A. Kantele, et al. (2016). Emerging Diseases—The Monkeypox Epidemic In The Democratic Republic Of The Congo. Clinical Microbiology and Infection, sf: 658-659. doi: 10.1016/j.cmi.2016.07.004. | Arşiv Bağlantısı
- WebMD. Monkeypox: What To Know. Alındığı Yer: WebMD | Arşiv Bağlantısı
- CDC. Monkeypox | Poxvirus. (20 Mayıs 2022). Alındığı Yer: CDC | Arşiv Bağlantısı
- CDC. Monkeypox And Smallpox Vaccine Guidance. (29 Kasım 2019). Alındığı Yer: CDC | Arşiv Bağlantısı
- A. Schmitt, et al. (2014). Non-Human Primate Models Of Orthopoxvirus Infections. Veterinary Sciences, sf: 40-62. doi: 10.3390/vetsci1010040. | Arşiv Bağlantısı
- P. Nguyen, et al. (2021). Reemergence Of Human Monkeypox And Declining Population Immunity In The Context Of Urbanization, Nigeria, 2017–2020 - Volume 27, Number 4—April 2021 - Emerging Infectious Diseases Journal - Cdc. Centers for Disease Control and Prevention (CDC). doi: 10.3201/eid2704.203569. | Arşiv Bağlantısı
- N. Erez, et al. (2019). Diagnosis Of Imported Monkeypox, Israel, 2018 - Volume 25, Number 5—May 2019 - Emerging Infectious Diseases Journal - Cdc. Centers for Disease Control and Prevention (CDC), sf: 980-983. doi: 10.3201/eid2505.190076. | Arşiv Bağlantısı
- N. Sklenovská, et al. (2018). Emergence Of Monkeypox As The Most Important Orthopoxvirus Infection In Humans. Frontiers in Public Health. doi: 10.3389/fpubh.2018.00241. | Arşiv Bağlantısı
- C. T. Cho, et al. (2020). Monkeypox Virus. American Society for Microbiology, sf: 1-18. doi: 10.1128/br.37.1.1-18.1973. | Arşiv Bağlantısı
- D. Walsh. (2017). Poxviruses: Slipping And Sliding Through Transcription And Translation. PLOS Pathogens, sf: e1006634. doi: 10.1371/journal.ppat.1006634. | Arşiv Bağlantısı
- E. Alakunle, et al. (2020). Monkeypox Virus In Nigeria: Infection Biology, Epidemiology, And Evolution. Viruses, sf: 1257. doi: 10.3390/v12111257. | Arşiv Bağlantısı
- M. G. Reynolds, et al. (2017). Improving The Care And Treatment Of Monkeypox Patients In Low-Resource Settings: Applying Evidence From Contemporary Biomedical And Smallpox Biodefense Research. Viruses, sf: 380. doi: 10.3390/v9120380. | Arşiv Bağlantısı
- L. Osadebe, et al. (2017). Enhancing Case Definitions For Surveillance Of Human Monkeypox In The Democratic Republic Of Congo. PLOS Neglected Tropical Diseases, sf: e0005857. doi: 10.1371/journal.pntd.0005857. | Arşiv Bağlantısı
- A. W. Rimoin, et al. (2010). Major Increase In Human Monkeypox Incidence 30 Years After Smallpox Vaccination Campaigns Cease In The Democratic Republic Of Congo. Proceedings of the National Academy of Sciences, sf: 16262-16267. doi: 10.1073/pnas.1005769107. | Arşiv Bağlantısı
- J. R. Weaver, et al. (2008). Monkeypox Virus And Insights Into Its Immunomodulatory Proteins. Wiley, sf: 96-113. doi: 10.1111/j.1600-065x.2008.00691.x. | Arşiv Bağlantısı
- G. Hobson, et al. (2021). Family Cluster Of Three Cases Of Monkeypox Imported From Nigeria To The United Kingdom, May 2021. Eurosurveillance, sf: 2100745. doi: 10.2807/1560-7917.ES.2021.26.32.2100745. | Arşiv Bağlantısı
- A. M. McCollum, et al. (2014). Human Monkeypox. Clinical Infectious Diseases, sf: 260-267. doi: 10.1093/cid/cit703. | Arşiv Bağlantısı
- S. E. F. Yong, et al. (2020). Imported Monkeypox, Singapore - Volume 26, Number 8—August 2020 - Emerging Infectious Diseases Journal - Cdc. Centers for Disease Control and Prevention (CDC), sf: 1826-1830. doi: 10.3201/eid2608.191387. | Arşiv Bağlantısı
- C. L. Hutson, et al. (2015). Comparison Of Monkeypox Virus Clade Kinetics And Pathology Within The Prairie Dog Animal Model Using A Serial Sacrifice Study Design. BioMed Research International, sf: 1-19. doi: 10.1155/2015/965710. | Arşiv Bağlantısı
- H. S. Hussey, et al. (2016). Varicella Zoster Virus-Associated Morbidity And Mortality In Africa: A Systematic Review Protocol. BMJ Open, sf: e010213. doi: 10.1136/bmjopen-2015-010213. | Arşiv Bağlantısı
- B. W. Petersen, et al. (2019). Vaccinating Against Monkeypox In The Democratic Republic Of The Congo. Antiviral Research, sf: 171-177. doi: 10.1016/j.antiviral.2018.11.004. | Arşiv Bağlantısı
- J. R. Kugelman, et al. (2014). Genomic Variability Of Monkeypox Virus Among Humans, Democratic Republic Of The Congo - Volume 20, Number 2—February 2014 - Emerging Infectious Diseases Journal - Cdc. Centers for Disease Control and Prevention (CDC). doi: 10.3201/eid2002.130118. | Arşiv Bağlantısı
- A. Volz, et al. (2017). Modified Vaccinia Virus Ankara: History, Value In Basic Research, And Current Perspectives For Vaccine Development. Academic Press, sf: 187-243. doi: 10.1016/bs.aivir.2016.07.001. | Arşiv Bağlantısı
- A. Herrlich, et al. (1954). [Comparative Experimental Works On Cow Pox Virus Vaccines]. Archiv fur Hygiene und Bakteriologie. | Arşiv Bağlantısı
- T. M. Rivers, et al. (1931). Cultivation Of Vaccine Virus For Jennerian Prophylaxis In Man. Journal of Experimental Medicine, sf: 453-461. doi: 10.1084/jem.54.4.453. | Arşiv Bağlantısı
- T. M. Rivers, et al. (1933). Further Observations On The Cultivation Of Vaccine Virus For Jennerian Prophylaxis In Man. Journal of Experimental Medicine, sf: 635-150. doi: 10.1084/jem.58.5.635. | Arşiv Bağlantısı
Evrim Ağacı'na her ay sadece 1 kahve ısmarlayarak destek olmak ister misiniz?
Şu iki siteden birini kullanarak şimdi destek olabilirsiniz:
kreosus.com/evrimagaci | patreon.com/evrimagaci
Çıktı Bilgisi: Bu sayfa, Evrim Ağacı yazdırma aracı kullanılarak 09/10/2025 19:56:53 tarihinde oluşturulmuştur. Evrim Ağacı'ndaki içeriklerin tamamı, birden fazla editör tarafından, durmaksızın elden geçirilmekte, güncellenmekte ve geliştirilmektedir. Dolayısıyla bu çıktının alındığı tarihten sonra yapılan güncellemeleri görmek ve bu içeriğin en güncel halini okumak için lütfen şu adrese gidiniz: https://evrimagaci.org/s/11809
İçerik Kullanım İzinleri: Evrim Ağacı'ndaki yazılı içerikler orijinallerine hiçbir şekilde dokunulmadığı müddetçe izin alınmaksızın paylaşılabilir, kopyalanabilir, yapıştırılabilir, çoğaltılabilir, basılabilir, dağıtılabilir, yayılabilir, alıntılanabilir. Ancak bu içeriklerin hiçbiri izin alınmaksızın değiştirilemez ve değiştirilmiş halleri Evrim Ağacı'na aitmiş gibi sunulamaz. Benzer şekilde, içeriklerin hiçbiri, söz konusu içeriğin açıkça belirtilmiş yazarlarından ve Evrim Ağacı'ndan başkasına aitmiş gibi sunulamaz. Bu sayfa izin alınmaksızın düzenlenemez, Evrim Ağacı logosu, yazar/editör bilgileri ve içeriğin diğer kısımları izin alınmaksızın değiştirilemez veya kaldırılamaz.