Diametrik Kadın Hastalıkları: Evrimsel Tıp, Endometriozis ve Polikistik Over Sendromu Hakkında Neler Söyler?
 Cosmopolitan
              
                  Cosmopolitan
              
        
          
    
    
  Bu içerik tıp ve sağlık ile ilişkilidir. Sadece bilgi amaçlı olarak hazırlanmıştır. Bireysel bir tıbbi tavsiye olarak görülmemelidir. Evrim Ağacı'ndaki hiçbir içerik; profesyonel bir hekim tarafından verilen tıbbi tavsiyelerin, konulan bir teşhisin veya önerilen bir tedavinin yerini alacak biçimde kullanılmamalıdır.
Oluşum nedeni, fenotipik özellikleri ve yaygınlık koşulları birbirinin tam zıttı olan hastalıklara diametrik hastalıklar denir. Bu tip hastalıklarda karakterize edilen özellikler, genelde bir durumun iki uç kutbu gibidir. Buna 2 grup örnek verecek olursak:
- Kontrolsüz hücre bölünmesi sonucunda hücre sayısının da kontrolsüz arttığı kanser ile, hücre kaybının kontrol edilemediği ve ilgili hücrelerin sayısının sürekli azaldığı nörodejeneratif hastalıklar (Alzheimer, demans, progresif supranükleer palsi gibi) diametrik hastalıklara örnek olarak verilebilir.
- Yine, kemiğin bütünlüğünü sağlayan kemik mineral dansitesinin (kemik yoğunluğunun göstergesi) azalmasına bağlı gelişen osteoporoz ve kemik yoğunluğundaki artışa bağlı gelişen osteoartrit hastalıkları da diametrik hastalıklara örnek verilebilir.
Bu yazıda, klasik tıp eğitiminde birbiriyle ilişkisine hiç değinilmeyen endometriozis hastalığı ve Polikistik Over Sendromu, evrimsel tıp perspektifiyle ve diametrik hastalıklar açısından irdelenecektir.
2 Kadın Hastalığının 4 Nedeni
Nobel ödüllü davranış bilimci Niko Tinbergen, biyolojide etiyolojiyi (nedensellik bilimi) metodolojik hale getirmek için dört nedensellik önermiştir: Fonksiyonel Neden, Nedensel Neden, Gelişimsel Neden ve Evrimsel Neden. Evrimsel tıp için de olgulara/hastalıklara yaklaşım, ancak bu nedensellikler irdelenerek oluşturulabilmektedir.

Endometriozis ve Polikistik Over Sendromu için tek tek bu nedensellikler incelenecek olursa:
Nedensel Neden: İlgilenilen Olgunun Altında Yatan Mekanizma Nedir?
Endometriozis
Endometriozis, üreme çağındaki her 10 kadından birinde görülen, rahmin iki parçasından biri olan uterusa ait (diğeri serviks) endometrial gland (bez) ve stroma (destek) dokularının rahim dışı bir bölgede (ektopik uterin dokular) bulunup, menstrüel dönemde ağrılı kanamalara, cinsel birleşme esnasında ağrıya ve infertiliteye (kısırlık) yol açtığı, östrojen hormonu bağımlı bir hastalıktır.
Östrojen hormonu menstrüel döngüde gebelik için uterusta uygun ortamın oluşmasından sorumludur. Burada uygun ortam ile kastedilen döllenmiş yumurtanın uterusa gömülmesini (implantasyonu) sağlayan endometrial kalınlaşmadır. Yalnız endometrioziste görülen ektopik uterin dokular da tıpkı yerli yerinde olan uterin dokular gibi östrojen reseptörlerine sahiptir ve östrojenin etkisi ektopik uterin dokular için de geçerlidir. Sonuçta ektopik uterin dokular östrojen etkisine bağlı olarak kalınlaşıp ağrılı kanamalara, bulunduğu yer fallop tüplerini veya yumurtalığı etkiliyorsa spermle yumurtanın buluşmasını engellediği için kısırlığa yol açacaktır.
Endometriozis hakkında daha fazla bilgiyi buradan alabilirsiniz.
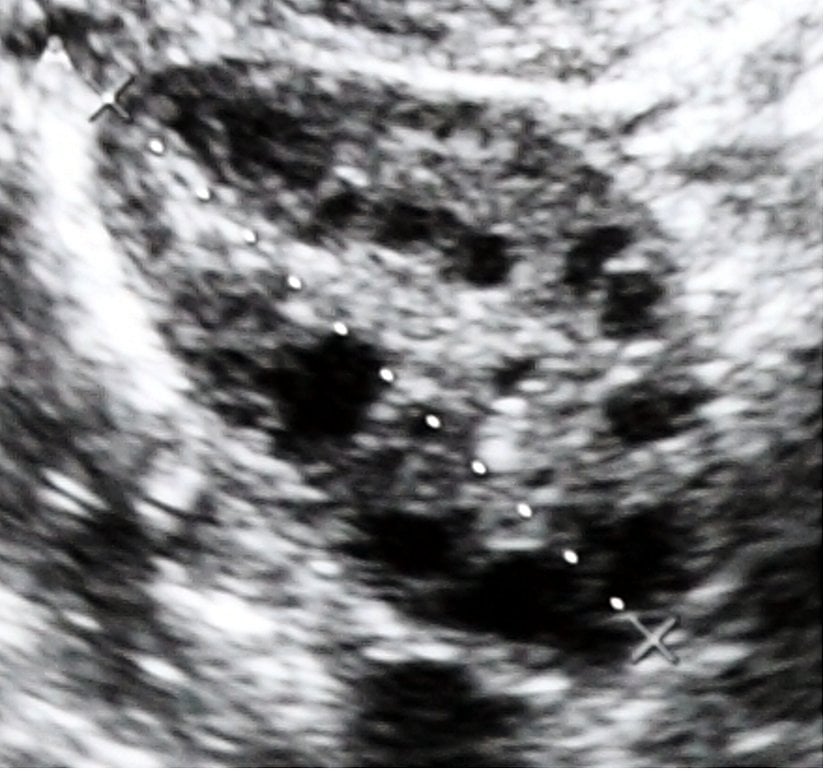
Polikistik Over Sendromu
Polikistik Over Sendromu, hiperandrojenizmin (kanda testosteron, dihidrotestonteron, DHEAS gibi hormonların yüksekliği) deri bulguları olan hirsutizm (kıllanma artışı) ve akne artışı, düzensiz menstrüasyon, çok sayıda kistik yumurta, obezite ve insülin direnciyle seyreden bir hastalıklar grubudur. Bu sendromda asıl neden bilinmemekle beraber kalıtımsal ve kalıtımsal olmayan intrauterin (rahim içindeki dönem) ve extrauterin (doğum sonrası dönem) faktörler suçlanmaktadır. Androjen hormonların artışı yumurta oluşumunda düzensizliklere yol açıp özellikle yumurtanın kalitesini olumsuz şekilde etkilemektedir. Sonuçta çok sayıda erken evrede ve işlevsiz, kistik yapıları andıran yumurtalar oluşmaktadır. Evre ve kist yapıları, ilerleyen kısımlarda açıklanacaktır.
Polikistik Over Sendromu hakkında daha fazla bilgiyi buradan alabilirsiniz.

Gelişimsel Neden: Bireyin Yaşamı Süresince Olgu Nasıl Gelişir? Olgunun Ontogenisi Nedir?
Endometriozis
Endometriozis pre-menarşal (menstruel dönem öncesi) ve post-menopozal (menstruel dönem sonrası) kadınlarda çok nadir görülmektedir. Bir başka deyişle endometriozis menstürasyonla ilişkili bir hastalıktır. Dolayısıyla öncelikle menstruasyonun etkilerini anlamak, endometriozisi anlamak açısından yol gösterici olacaktır.
Menstrüasyon periyotlarla oluşan, implantasyonun gerçekleşmemesine bağlı endometriumun kanama yoluyla dökülüp vajinal yolla atılması ve dökülen bölgede yeni endometrium dokusunun gelişmesi sürecidir. Menstrüasyon, memeliler arasında yalnızca plasentası derin kan damarlarına kadar uzanmış (hemokoryal), bir başka deyişle anneden bebeğe gelen kanın arada hiçbir bariyere takılmadan direkt erişime açıldığı türlerde raporlanmıştır. Burada kan-plasenta bariyeri ile hemokoryal plasentanın bariyersiz süreci birbiriyle karıştırılmamalıdır. Hemokoryal plasentada anne ve bebeğin kan damarlarının iç katmanları arasında difüzyon yoluyla kan alışverişi olmaktadır. Kan-plasenta bariyerini ise bir tarafta annenin kan damarlarının dış katmanı ile diğer tarafta bebeğin kan damarlarının dış katmanı oluşturmaktadır. Bu bariyerle birlikte anne ve bebek kan damarlarına dışarıdan herhangi bir başka maddenin kontrolsüz girmesi engellenmektedir.
Aslında maddi destek istememizin nedeni çok basit: Çünkü Evrim Ağacı, bizim tek mesleğimiz, tek gelir kaynağımız. Birçoklarının aksine bizler, sosyal medyada gördüğünüz makale ve videolarımızı hobi olarak, mesleğimizden arta kalan zamanlarda yapmıyoruz. Dolayısıyla bu işi sürdürebilmek için gelir elde etmemiz gerekiyor.
Bunda elbette ki hiçbir sakınca yok; kimin, ne şartlar altında yayın yapmayı seçtiği büyük oranda bir tercih meselesi. Ne var ki biz, eğer ana mesleklerimizi icra edecek olursak (yani kendi mesleğimiz doğrultusunda bir iş sahibi olursak) Evrim Ağacı'na zaman ayıramayacağımızı, ayakta tutamayacağımızı biliyoruz. Çünkü az sonra detaylarını vereceğimiz üzere, Evrim Ağacı sosyal medyada denk geldiğiniz makale ve videolardan çok daha büyük, kapsamlı ve aşırı zaman alan bir bilim platformu projesi. Bu nedenle bizler, meslek olarak Evrim Ağacı'nı seçtik.
Eğer hem Evrim Ağacı'ndan hayatımızı idame ettirecek, mesleklerimizi bırakmayı en azından kısmen meşrulaştıracak ve mantıklı kılacak kadar bir gelir kaynağı elde edemezsek, mecburen Evrim Ağacı'nı bırakıp, kendi mesleklerimize döneceğiz. Ama bunu istemiyoruz ve bu nedenle didiniyoruz.

Hemokoryal plasentalı türlerde bariyerin olmaması bir noktada annenin kanının bebeğin kanına karışabildiği anlamına gelmektedir ve karşımıza evrimsel bir rekabeti getirmektedir. Bu durum, maternal-fetal (anne-bebek) çatışma olarak hipotezlenmiştir. Bu hipoteze göre bebek, plasentası aracılığıyla anne karnında erişebildiği tüm besinlere kan yolu aracılığıyla ulaşmak yönünde bir eğilimde olacakken anne de hayatta kalabileceği şartları sağlamak adına implantasyon şartları gerçekleşmedikçe kalınlaşmış endometrium dokusunu en sonunda dökülmeye uğratma eğiliminde olacaktır. Sonuçta hem bebek hem de anne hayatta kalma başarısını azaltacak durumlardan kaçınmak isteyeceklerdir.
Anne tarafından bakılacak olursa, bebek oluşumunun döllenmeden sonraki basamağı olan implantasyon gerçekleşmediği an, kalınlaşmış endometrium kanlanması da fazla olduğundan ihtiyaç olandan fazla beslenmekte olup annenin hayatta kalma becerisi üzerine negatif yönlü bir baskı oluşturacaktır. Bu durumda anne bu fazla dokudan vajinal yönlü dökülme ile kurtulma eğiliminde olacaktır. İşte bu noktada karşımıza endometriozis çıkmaktadır.
Endometriumun anatomik olarak rahimden vajina yönünde dökülmesi normalde olması beklenen yoldur. Eğer bir sebeple bu doku ters yönde yani rahimden fallop tüplerine ve yumurtalığa doğru yön değiştirirse bu durumda retrograd (ters yönde) bir akımla olmaması gereken konumlarda birikecek ve bu durum endometriozis için risk oluşturacaktır. Menstrüasyon hormonal açıdan iki fazdan oluşmaktadır. Birisi endometriumun büyüyüp kalınlaştığı (östrojen hormonunun aktif olduğu) proliferatif faz, diğeri ise hormonal salıverilmenin (progesteron hormonunun aktif olduğu) arttığı sekretuar fazdır. İnsan dişilerinde proliferatif faz diğer türlere göre oldukça uzundur. Böylelikle hem endometriumun retrograd akımla olası konum bozukluğu hem de yanlış bölgede var olan endometrial dokunun uzun proliferatif faz dolayısıyla kalınlaşıp kanamaya başlama ihtimali artmaktadır.
Dişilerde regl döngüsüyle ilgili daha fazla bilgiyi buradan alabilirsiniz.
Polikistik Over Sendromu
Polikistik Over Sendromu yumurtanın döllenmeye kadar içinde korunduğu ve beslendiği folikül yapılarının diğer bir deyişle kistlerin çok sayıda, küçük boyutlarda, yapının çevresine inci tanesi gibi dizilmesiyle ve içindeki yumurtanın kalitesinin de çok düşük olmasıyla karakterize bir hastalıktır. Bu sefer de yumurtlama sürecini bilmek konuyu daha kolay anlamak açısından yardımcı olacaktır.
Yumurtalık organı her yumurtlama döneminde içerisindeki yumurta hücrelerini, besin ve korunma olanakları yüksek olan kistler içinde üretmektedir. Yumurta hücreleri özellikle LH (lüteinleştirici hormon) ve kısmen de olsa FSH (folikül stimülan hormon) miktarındaki artış sayesinde beslenip büyümeye başlamaktadır. Her hormon-hücre arası ilişkide olduğu gibi burada da reseptör düzeyinde etkileşim görülmektedir. Kısaca LH ve FSH, yumurta hücresindeki reseptörünlerine bağlandıkça o hücrenin daha iyi beslenmesini ve büyüyüp gelişmesini sağlayacaktır. Yumurtalıktaki bu yumurta hücreleri belli bir büyüklüğe geldikten sonra (sekonder folikül) birbirleriyle besin erişimi açısından rekabet etmeye başlarlar. Bu rekabet hücre yüzeyindeki LH'nin ve FSH'nin reseptör sayılarına bağlıdır. Bu hormonlardaki azalma eğilimiyle sonuçlanan dalgalanmalar periyodu, LH ve FSH reseptörüne en çok sahip olan yumurta hücresini avantajlı hale getirecektir çünkü reseptörden zenginliği en fazla olan bu yumurta beslenebilecekken diğer reseptör sayısı az olan yumurta hücreleri gittikçe zayıflayacak ve zamanla kullanışsız bir hale gelecektir. Sonuçta yumurtlama öncesi dönemde bir tane çok iyi gelişmiş kist (Graaf folikülü)-aslında çok iyi gelişmiş yumurta hücresi olarak da düşünülebilir- ve birçok ufalmış kist ortaya çıkacaktır.
Polikistik Over Sendromu'nda androjen hormonların fazlalığı, LH ve FSH gibi hormon dalgalanmalarının karakteristik seyrinin dışına çıkmasına neden olup rekabet ortamını reseptör etkileşiminden bağımsız bir hale getirmektedir. Sonuçta yumurta hücreleri benzer boyutlarda ve gelişememiş bir durumda kalmaktadır.

Fonksiyonel Neden: Olgunun İşlevi Nedir? Organizmanın Gereksinimlerine Nasıl Hizmet Eder?
Endometriozis
Menstruasyonun işlevi hakkında; spermin muhtemel olarak taşıdığı enfeksiyon etkenlerinden kadın üreme organlarını koruması ve menstruasyonun olması durumunun olmamasına kıyasla organizmaya daha az enerji kaybettirmesi üzerinden iki farklı şekilde hipotez oluşturulmuştur. Endometriozis, hastaların ağrı dışında genellikle infertilite şikayetiyle başvurduğu ve bu açıdan düşünüldüğünde hem üreğenliği hem de doğurganlığı azaltan bir hastalıktır. Peki üreme sistemi için bu kadar kısıtlayıcı etkileri olan bir hastalık neden hâlâ elenmemiştir? Son çalışmalarda endometriozisle ilişkilendirilen bazı genetik faktörlerin aslında üreyebilme becerisini arttırabildiği gösterilmiştir. Majör FSHB haplotip polimorfizmi yüksek endometriozis riskiyle ilişkilendirilmiştir. Aynı zamanda ömürde daha uzun süre gebe kalabilme yetisiyle, erken yaşta doğum yapabilmeyle, düşük nulliparite (hiç gebe kalmama) riskiyle ve dizigotik ikizlikle ilişkilendirilmiştir. Benzer şekilde yüksek endometriozis riskiyle ilişkilendirilmiş ve bir Neandertal türevi olan PROGINS haploptipi düşük doğumla ve daha çok kardeşe sahip olmakla ilişkilendirilmiştir.
Polikistik Over Sendromu
Polikistik Over Sendromu'nun işlevselliği üç hipotezle açıklanmaya çalışılmıştır. Robinson ve sonrasında Holte tarafından öne sürülen bir hipoteze göre Polikistik Over Sendromu post-prandial (yemek sonrası) termogenezi (vücuttaki metabolik olaylar sonucu enerji tüketimine bağlı açığa çıkan ısı üretimi) azaltarak ve insülin duyarlılığına bağlı tip 2 diyabete neden olup yağlanmayı arttırarak metabolik tasarrufa sebep olmaktadır. Öncülüğünü Kirschengast'ın yaptığı ve devamında pek çok bilim insanı tarafından desteklenen ikinci hipoteze göre Polikistik Over Sendromu'nda artan androjen hormonları dişilerde maskulenize özellikleri arttırıp çiftleşme ve üreme becerisinde artışa sebep olmaktadır. Show ve Elton tarafından geliştirilen üçüncü hipoteze göre ise Polikistik Over Sendromu olan bireyler uzun süreli besin yoksunluğuna dayanabilip sonrasında da menstrüasyona daha kolay dönme becerisine sahip olmaktadırlar.
Evrimsel Neden: Olgu Nasıl Evrimleşmiştir?
Burada, temelde şu soruları sorarız: Olgunun evrimsel tarihi nedir? Diğer türlerde analog olgular var mıdır ve bu türlerin insanla evrimsel akrabalıkları nedir? Seçilmiş köken için kanıt nedir?
Endometriozis
Yoğun kanama ve doku kaybı özelliğiyle seyreden menstrüasyon, memeli türleri içinde çok nadir görülmektedir. İnsanlar dışında bazı primatlarda ve yarasalarda, kemirgenler içinde ise fil sivri farelerinde ve dikenli farelerde görülmektedir. Endometriozis ise insan dışında sadece primatlarda raporlanmıştır.
Polikistik Over Sendromu
Polikistik Over Sendromu'nun şu an için hayvanlarda doğal olarak geliştiği kesin olarak tespit edilmemiş olsa da hayvan deneyleri için kullanılan Rhesus maymunu, koyun ve primat gibi türlerde özellikle prenatal dönemde yüksek testosterona maruz bırakılarak Polikistik Over Sendrom modelleri oluşturulmaktadır.
Tüm Bunlar Ne Anlama Geliyor?
Klasik tıp eğitiminde endometriozis rahim hastalıkları içerisinde menstrüel döngüyle ilişkisi olan, ağrı dönemleri ve kimi zaman infertilite (kısırlık) semptomları ile seyreden, Polikistik Over Sendromu ise yumurtalık hastalıkları içerisinde kaliteli yumurta üretimine engel olan hormonal bozuklukların tanımlanması ve bu hastalığa ikincil gelişen endokrinolojik (hormonal) ve dermatolojik (kozmetik) semptomların üzerine kurulu hastalıklar olarak anlatılmaktadır. Oysa son çalışmalar, bu iki hastalığın birbirinden bu kadar alakasız olmadığı, aksine bir dengenin iki uçtaki unsuru olabilecekleri yönünde ciddi ipuçları vermektedir.
 
      
    Dinsdale ve arkadaşlarına göre endometriozis hastalığına sahip olmak, prenatal (doğum öncesi) dönemde testosterona (androjen grubuna ait bir hormon) düşük miktarlarda maruz kalmakla ilişkilidir. Polikistik Over Sendromu'nun prenatal dönemde artmış androjen ve özellikle de testosteron hormonu ilişkili olduğu zaten bilinmektedir.
Prenatal testosterona maruz kalmanın iki önemli anatomik bulgusu bulunmaktadır. Bunlar ikinci el parmağı (işaret parmağı) uzunluğunun dördüncü el parmağı (yüzük parmağı) uzunluğuna oranı (İng: "2D4D digit ratio") ve bel-kalça (İng: "weight-to-hip ratio" veya kısaca "WHR") uzunluğu oranıdır. Eğer prenatal testosterona maruz kalma fazlaysa 2D4D oranı azalmakta, WHR oranı ise artmaktadır. Her iki bulgu da Polikistik Over Sendromlu hastalarda yapılan çalışmalarda gösterilmekle birlikte son zamanlardaki bazı endometriozis çalışmalarında oranların tam ters yönde olduğu (yani 2D4D oranının artması ve WHR oranının azalması) tespit edilmiştir.
Benzer şekilde klinik bulgu olarak endometrioziste ve Polikistik Over Sendromu'nda, AMH (Anti-Müllerian Hormon), Oksitosin, ß-endorfin gibi hormon seviyeleri tam ters şekilde tespit edilmektedir (endometrioziste düşük AMH, yüksek oksitosin, düşük ß-endorfin; Polikistik Over Sendromu'nda tersi).
Bir başka zıtlık endometriozis tedavisi için kullanılan danazol isimli sentetik bir androjenin aslında Polikistik Over Sendromu için temel hastalık etmeni olmasıdır. Polikistik Over Sendromu tedavisinde flutamid isimli androjen blokörü ilaç kullanılmaktadır.
Endometriozis tedavisinde kullanılan letrozole isimli bir aromataz inhibitörünün (Aromataz inhibitörleri androjenin östrojene dönüşmesini sağlayan aromataz enzimini bloke ederek androjen seviyesinin artmış halde, östrojen seviyesinin ise azalmış halde kalmasını sağlayan ilaç grubudur.) Polikistik Over Sendromlu hayvan modellerinin oluşması için kullanılması durumu yine zıtlığı vurgulayan örneklerden birisidir.
Sonuç
Sonuç olarak bu iki hastalık evrimsel tıp bilgisine dayanılarak diametrik hastalıklar açısından ele alındığında, özellikle endometriozis tanısı açısından bireylere, menstrüel döneme girmelerinden çok daha önce, yukarıda verilen parametrelerin de yardımıyla tanı koyulması sağlanabileceği gibi hastalığın sebep olduğu olası infertilite, ağrılı kanamalar gibi semptomlar çok daha öncesinden tedavi edilebilme potansiyeline sahip olacaktır.
Evrim Ağacı'nda tek bir hedefimiz var: Bilimsel gerçekleri en doğru, tarafsız ve kolay anlaşılır şekilde Türkiye'ye ulaştırmak. Ancak tahmin edebileceğiniz gibi Türkiye'de bilim anlatmak hiç kolay bir iş değil; hele ki bir yandan ekonomik bir hayatta kalma mücadelesi verirken...
O nedenle sizin desteklerinize ihtiyacımız var. Eğer yazılarımızı okuyanların %1'i bize bütçesinin elverdiği kadar destek olmayı seçseydi, bir daha tek bir reklam göstermeden Evrim Ağacı'nın bütün bilim iletişimi faaliyetlerini sürdürebilirdik. Bir düşünün: sadece %1'i...
O %1'i inşa etmemize yardım eder misiniz? Evrim Ağacı Premium üyesi olarak, ekibimizin size ve Türkiye'ye bilimi daha etkili ve profesyonel bir şekilde ulaştırmamızı mümkün kılmış olacaksınız. Ayrıca size olan minnetimizin bir ifadesi olarak, çok sayıda ayrıcalığa erişim sağlayacaksınız.
Makalelerimizin bilimsel gerçekleri doğru bir şekilde yansıtması için en üst düzey çabayı gösteriyoruz. Gözünüze doğru gelmeyen bir şey varsa, mümkünse güvenilir kaynaklarınızla birlikte bize ulaşın!
Bu makalemizle ilgili merak ettiğin bir şey mi var? Buraya tıklayarak sorabilirsin.
Soru & Cevap Platformuna Git- 8
- 6
- 4
- 3
- 3
- 1
- 1
- 1
- 0
- 0
- 0
- 0
- N. Tinbergen. (1963). On Aims And Methods Of Ethology. Zeitschrift für Tierpsychologie, sf: 410-433. doi: 10.1111/j.1439-0310.1963.tb01161.x. | Arşiv Bağlantısı
- J. Jarrell. (2018). The Significance And Evolution Of Menstruation. Best Practice & Research Clinical Obstetrics & Gynaecology, sf: 18-26. doi: 10.1016/j.bpobgyn.2018.01.007. | Arşiv Bağlantısı
- D. M. T. Fessler, et al. (2016). Evolutionary Determinants Of Polycystic Ovary Syndrome: Part 2. Fertility and Sterility, sf: 42-47. doi: 10.1016/j.fertnstert.2016.05.016. | Arşiv Bağlantısı
- N. Dinsdale, et al. (2021). The Evolutionary Biology Of Endometriosis. Evolution, Medicine, and Public Health, sf: 174-191. doi: 10.1093/emph/eoab008. | Arşiv Bağlantısı
- L. Shaw, et al. (2008). Commentary: Polycystic Ovary Syndrome: A Transgenerational Evolutionary Adaptation. BJOG: An International Journal of Obstetrics & Gynaecology, sf: 144-148. doi: 10.1111/j.1471-0528.2007.01453.x. | Arşiv Bağlantısı
- S. Corbett, et al. (2013). The Polycystic Ovary Syndrome And Recent Human Evolution. Molecular and Cellular Endocrinology, sf: 39-50. doi: 10.1016/j.mce.2013.01.001. | Arşiv Bağlantısı
- R.M. Nesse. (2017). Evrimsel Tıbbın İlkeleri. ISBN: 9786053550518. Yayınevi: Palme Yayıncılık. sf: 17.
- R.Schenken. Endometriosis: Pathogenesis, Clinical Features, And Diagnosis. (27 Nisan 2021). Alındığı Tarih: 30 Haziran 2021. Alındığı Yer: UptoDate | Arşiv Bağlantısı
- R.L.Rosenfield. Definition, Clinical Features, And Differential Diagnosis Of Polycystic Ovary Syndrome In Adolescents. (10 Ağustos 2020). Alındığı Tarih: 30 Haziran 2021. Alındığı Yer: UptoDate | Arşiv Bağlantısı
- M. A. Charifson, et al. (2019). Evolutionary Origins Of Polycystic Ovary Syndrome: An Environmental Mismatch Disorder. Evolution, Medicine, and Public Health, sf: 50-63. doi: 10.1093/emph/eoz011. | Arşiv Bağlantısı
- S. Franks, et al. (2012). Does Pcos Have Developmental Origins?. Fertility and Sterility, sf: 2-6. doi: 10.1016/j.fertnstert.2011.11.029. | Arşiv Bağlantısı
Evrim Ağacı'na her ay sadece 1 kahve ısmarlayarak destek olmak ister misiniz?
Şu iki siteden birini kullanarak şimdi destek olabilirsiniz:
kreosus.com/evrimagaci | patreon.com/evrimagaci
Çıktı Bilgisi: Bu sayfa, Evrim Ağacı yazdırma aracı kullanılarak 31/10/2025 02:54:28 tarihinde oluşturulmuştur. Evrim Ağacı'ndaki içeriklerin tamamı, birden fazla editör tarafından, durmaksızın elden geçirilmekte, güncellenmekte ve geliştirilmektedir. Dolayısıyla bu çıktının alındığı tarihten sonra yapılan güncellemeleri görmek ve bu içeriğin en güncel halini okumak için lütfen şu adrese gidiniz: https://evrimagaci.org/s/10550
İçerik Kullanım İzinleri: Evrim Ağacı'ndaki yazılı içerikler orijinallerine hiçbir şekilde dokunulmadığı müddetçe izin alınmaksızın paylaşılabilir, kopyalanabilir, yapıştırılabilir, çoğaltılabilir, basılabilir, dağıtılabilir, yayılabilir, alıntılanabilir. Ancak bu içeriklerin hiçbiri izin alınmaksızın değiştirilemez ve değiştirilmiş halleri Evrim Ağacı'na aitmiş gibi sunulamaz. Benzer şekilde, içeriklerin hiçbiri, söz konusu içeriğin açıkça belirtilmiş yazarlarından ve Evrim Ağacı'ndan başkasına aitmiş gibi sunulamaz. Bu sayfa izin alınmaksızın düzenlenemez, Evrim Ağacı logosu, yazar/editör bilgileri ve içeriğin diğer kısımları izin alınmaksızın değiştirilemez veya kaldırılamaz.
 
             
             
       
           
                 
                   
                   
                   
                   
                   
                   
                   
                   
                   
                   
                   
                  