Bilinç Öncesi Nedir? Beynimiz, Henüz Fark Etmediğimiz Bilgileri Nasıl İşler?
 
            
          
    
    
  Psikanalitik Teori çerçevesinde bilinç öncesi (veya "önbilinç"), bilinçten hemen önce gelen kısımdır. Bilinç öncesi, bilinçdışı ve bilinçli durumlar arasında yer alan zihinsel "tabakayı" ifade eder ve bilişsel mimari içindeki bilgi akışına ilişkin incelikli bir bakış açısı sunar. Psikanalitik Teori'ye göre düşünceler, belirli bir anda bilinçsiz olduklarında ancak bastırılmadıklarında, "bilinç öncesi" dönemdedir. Bu nedenle, Sigmund Freud tarafından Josef Breuer'e atfedilen bir ifadeyle, önbilinçteki düşünceler hatırlanmaya müsaittir ve kolayca "bilinçli hale gelebilirler".
Günümüzde bu tip konuları bilimsel perspektiften inceleyen bilişsel psikoloji, bir disiplin olarak zihinsel işleyişin gizemlerini çözmek için bilinçli ve bilinçsiz süreçlerin alanlarını araştıran, nöroloji ile iç içe olan psikolojinin bir alanıdır. Önbilinç kavramı da bu araştırma ortamında çok önemli bir konuma sahiptir. Bilişsel psikoloji bağlamında bilinç öncesi süreçler; şu anda bilinçli farkındalığın odak noktasında olmasa da nispeten kolaylıkla erişilebilen düşünceleri, anıları ve uyaranları kapsar. Bu eşik alanı, bilginin bilinçdışı rezervuardan bilincin ön saflarına aktarılmasının altında yatan mekanizmaları açıklamaya çalışan araştırmacılarla birlikte, bilimsel araştırmaların odak noktası haline gelmiştir.

Tarihsel olarak önbilinç çalışmaları, sinirbilimsel ve deneysel metodolojilerdeki ilerlemelerle birlikte gelişmiştir. İlk kavramsallaştırmalar psikanalitik geleneklerden yükselmiş ve bilinçli farkındalıkta ortaya çıkan gizli içeriğin önemini vurgulamıştır. Bununla birlikte önbilinç; çağdaş bilişsel psikoloji, nörogörüntüleme, davranış deneyleri ve bilişsel sinirbilimden elde edilen bilgileri bütünleştirerek bu temeller üzerinde genişlemiştir. Önbilinçle ilgili bu giriş niteliğindeki araştırmalar, bu ilgi çekici zihinsel alanın nörolojik temelleri, bilişsel işlevleri ve pratik sonuçları hakkında daha derin bir araştırmaya zemin hazırlanmasına yol açmıştır.
Tarihsel Perspektifler ve Bilinç Öncesi Araştırmaların Evrimi
Bilinç öncesi çalışmaların tarihsel gidişatı, psikolojik düşüncenin daha geniş evrimiyle iç içe geçmiş çok yönlü bir yolculuğu ortaya koymaktadır. Bilinç öncesi fenomenlerin ilk kavramsallaştırmaları, Sigmund Freud'un temel çalışmalarında ve onun psikanalitik çerçevesinde köklerini bulur. Freud, bilinçdışı zihin kavramını bastırılmış düşünceler ve arzular için bir depo olarak ortaya atmış ve belirli zihinsel içeriklerin bilinçli farkındalık eşiğinin hemen altında var olabileceğini öne sürmüştür. Bilim insanları bu "ara" zihinsel alanın doğasını açıklamaya çalışırken bu teorik temel, bilinç öncesi alana yönelik sonraki araştırmaların temelini oluşturmuştur.
Psikoloji 20. yüzyılın ortalarına doğru ilerledikçe davranışçılığın ortaya çıkışı, dikkati geçici olarak zihnin tekil alanlarından uzaklaştırmış ve iç süreçler yerine gözlemlenebilir davranışları araştırmayı tercih etmiştir. Ancak yüzyılın ikinci yarısındaki bilişsel devrim, bilinç öncesi alanda bulunanlar da dahil olmak üzere zihinsel süreçlere olan ilgiyi yeniden alevlendirmiştir. Bilişsel psikologlar, insan bilişinin karmaşıklığını açıklamada davranışçılığın sınırlarını fark ederken dikkatlerini bilinçli ve bilinçsiz zihinsel faaliyetler arasındaki karmaşık etkileşimi anlamaya yöneltmişlerdir. Bu değişim, bilinç öncesi çalışmaların evriminde çok önemli bir ana işaret etmiş ve bilinçsiz durumlardan bilinçli durumlarına geçişte yer alan bilişsel mekanizmaların yeniden araştırılmasını teşvik etmiştir.
Çağdaş önbilinç araştırmaları; bu tarihsel temel üzerine inşa edilmiş olup sinir bilimini, bilişsel bilimi ve deneysel psikolojiyi kapsayan disiplinler arası bir anlayıştan yararlanmaktadır. Bilinç öncesi çalışmaların evrimi, yalnızca teorik çerçevelerdeki ilerlemeleri değil, aynı zamanda modern psikolojik araştırmayı karakterize eden metodolojik gelişmişliği de yansıtmaktadır. Freud'un ilk önermelerinden son teknolojilerin güncel entegrasyonuna kadar, bilinç öncesi çalışmaların tarihsel gelişimi; alanın dinamik doğasını ve psikolojik araştırmaların gelişen ortamına sürekli uyumunu vurgulamaktadır.
Freud'un Bilinç Öncesi Üzerine Çalışmaları
Psikanalizin öncü isimlerinden Sigmund Freud, bilinç öncesi kavramını kendi kapsamlı zihin modelinin önemli bir bileşeni olarak ortaya koymuştur. Freud'un Rüyaların Yorumu isimli eseri; bilinç, önbilinç ve bilinçdışı alemleri birbirinden ayırarak zihnin üçlü yapısını araştırmaktadır. Freud'un modeline göre bilinç öncesi zihin, şu anda bilinçli farkındalıkta olmayan ancak dikkat veya yansımayla kolayca erişilebilen zihinsel içeriği içeren ara katmanı temsil eder. Freud, zihinsel yaşamın önemli bir kısmının önbilinçte bulunduğunu; düşüncelerin, anıların ve arzuların anlık farkındalık eşiğinin hemen altında bulunduğunu öne sürmüştür.
Freud'un psikanaliz teorisinin temel taşı olan rüya araştırmalarında, rüya içeriğini şekillendirmede önbilincin rolünü vurgulanmıştır. Freud, rüyaların bastırılmış arzuların sembolik ifadeleri olduğunu ve çoğunlukla bilinç öncesi rezervuardan köken aldığını savunmuştur. Freud, örnek olay incelemelerinde rüya anlatılarını titizlikle incelemiş ve bunları altta yatan bilinç öncesi materyalle ilişkilendirmiştir. Özellikle Freud'un rüyalara ilişkin titiz analizi, yinelenen sembollerin ve temaların tanımlanmasına yol açarak rüyalardaki bilinç öncesi unsurların yorumlanması için sistematik bir yöntemin kurulmasına katkıda bulunmuştur.
Freud'un klinik gözlemleri bilinç ve bilinç öncesi durumlar arasındaki dinamik etkileşimi daha da vurgulamış, serbest çağrışım ve içebakış tekniklerini kullanarak bilinç öncesi alanda bulunan düşünceleri ve anıları ortaya çıkarmıştır. Freud bu yöntemlerin uygulanmasını detaylandırarak bilinç öncesi materyalin ortaya çıkışını ve ardından bastırılmış anı ve duyguların aydınlatılmasını mümkün kılmıştır. Bu klinik çabalar Freud'a terapötik ortamlarda bilinç öncesi içeriğin varlığını ve erişilebilirliğini destekleyen ampirik veriler sağlamıştır.
Freud'un teorilerinin, bilinç öncesi üzerine daha sonraki psikolojik araştırmalara zemin hazırladığı dikkate değerdir. Psikolojik paradigmaların evrimine ve bilişsel sinirbilimin ilerlemesine rağmen Freud'un bilinç öncesi kavramsallaştırması, zihinsel süreçlere ilişkin çağdaş araştırmaları etkilemeye devam etmektedir. Freud'un bilinç öncesi hakkındaki çalışmalarının mirası, araştırmacıların insan zihninin karmaşık işleyişine ilişkin tarihsel ve çağdaş perspektifler arasında köprü kurarak onun kavramlarını modern ampirik yöntemlerle bütünleştirmeye ve iyileştirmeye çalıştıkları, psikoloji içinde süregelen bilincin kökeni hakkındaki söylemlerde açıkça görülmektedir.
Bilinç Öncesi İşlemenin Nörolojik Temelleri
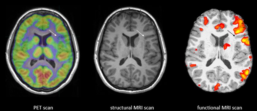
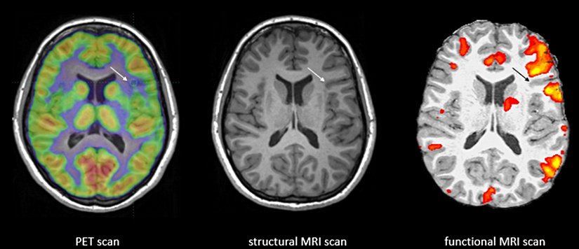
Bilinç öncesi sürecin nörolojik temellerini anlamak, bilişsel sinirbilimde çok önemli bir noktayı oluşturmaktadır. Çeşitli beyin yapıları ve ağları arasındaki karmaşık etkileşim, bilginin bilinçdışından bilinçli durumlara geçişini düzenleyerek bilinç öncesi bilişin dinamik manzarasını şekillendirir. Fonksiyonel nörogörüntüleme çalışmaları, özellikle fMRI ve EEG gibi teknikleri kullananlar; bilinç öncesi işlemlerle ilişkili sinirsel alt katmanların tanımlanmasına önemli ölçüde katkıda bulunmuştur.
Aslında maddi destek istememizin nedeni çok basit: Çünkü Evrim Ağacı, bizim tek mesleğimiz, tek gelir kaynağımız. Birçoklarının aksine bizler, sosyal medyada gördüğünüz makale ve videolarımızı hobi olarak, mesleğimizden arta kalan zamanlarda yapmıyoruz. Dolayısıyla bu işi sürdürebilmek için gelir elde etmemiz gerekiyor.
Bunda elbette ki hiçbir sakınca yok; kimin, ne şartlar altında yayın yapmayı seçtiği büyük oranda bir tercih meselesi. Ne var ki biz, eğer ana mesleklerimizi icra edecek olursak (yani kendi mesleğimiz doğrultusunda bir iş sahibi olursak) Evrim Ağacı'na zaman ayıramayacağımızı, ayakta tutamayacağımızı biliyoruz. Çünkü az sonra detaylarını vereceğimiz üzere, Evrim Ağacı sosyal medyada denk geldiğiniz makale ve videolardan çok daha büyük, kapsamlı ve aşırı zaman alan bir bilim platformu projesi. Bu nedenle bizler, meslek olarak Evrim Ağacı'nı seçtik.
Eğer hem Evrim Ağacı'ndan hayatımızı idame ettirecek, mesleklerimizi bırakmayı en azından kısmen meşrulaştıracak ve mantıklı kılacak kadar bir gelir kaynağı elde edemezsek, mecburen Evrim Ağacı'nı bırakıp, kendi mesleklerimize döneceğiz. Ama bunu istemiyoruz ve bu nedenle didiniyoruz.
Bilinç öncesi aktivitelerin sinirsel bağıntıları, genellikle amigdala ve hipokampüs gibi limbik sistem içindeki yapıları içerir ve duygusal ve hafızayla ilgili süreçlerin bu aktivitelere katılımını sağlamaktadır. Özellikle amigdala, duygusal olarak yüklü uyaranların bilinçli farkındalığa ulaşmadan önce hızlı bir şekilde değerlendirilmesi ve işlenmesinde çok önemli bir rol oynamaktadır. Aynı zamanda hipokampüsün olguların, olayların veya belirli bilgilerin bilinçli olarak hatırlanmasını içeren uzun süreli bellek türü olan bildirimsel anıların oluşumu ve geri getirilmesinde rol oynadığı, bilinç öncesi bilgilerin erişilebilirliğinde bir rolü olduğu öne sürülmektedir. Limbik sistemin ötesinde, karmaşık bağlantı kalıplarıyla prefrontal korteks; bilinç öncesi içeriğin bilinçli düşünceye entegrasyonunu düzenleyen önemli bir oyuncu olarak ortaya çıkmaktadır. Bilişsel süreçlerin izlenmesinde rol oynayan ön singulat korteks aynı zamanda bilinç öncesi aktivitelerin göstergesi olan aktivasyon modellerini de sergiler.
Bilinç öncesi işleme kavramı, otomatik ve kontrollü bilişsel sistemlerin paralel işleyişini vurgulayarak ikili işleme teorilerinin daha geniş çerçevesiyle uyumunu sağlar. Araştırmalar, bilinçaltı uyaranların bilinçli algının yokluğunda bile sinirsel tepkileri ortaya çıkarabildiğini ve sinir mimarisi içindeki bilinç öncesi süreçlerin özerkliğinin altını çizdiğini göstermektedir. Nörobilimsel araştırmalarla aydınlatılan subkortikal ve kortikal yapılar arasındaki dinamik etkileşim, bilinçdışından bilinçli zihinsel durumlara geçişi yöneten karmaşık mekanizmaları aydınlatarak bilinç öncesi bilişin sinirsel temelleri hakkında kapsamlı bir bakış açısı sunmaktadır.
Yapısal hususlara ek olarak, nörotransmiter sistemleri bilinç öncesi süreçlerin modülasyonuna önemli ölçüde katkıda bulunur. Dopamin ve serotonin gibi nörotransmiterler sinir devrelerinin uyarılabilirliğini sağlar, böylece bilinç öncesi bilgilerin belirginliğini ve erişilebilirliğini etkiler. Bilinç öncesi işlemlerde nörotransmiterlerin rolünü araştıran araştırmalar; temel bilişsel işlevlerin ötesine geçerek bu sistemlerin ruh halinin, dikkatin ve karar verme süreçlerinin modülasyonunda rol oynadığını göstermektedir.

Genel olarak, bilinç öncesi işlemenin nörolojik temellerinin araştırılması sinirbilimsel yöntemlerin ve bilişsel teorilerin birlikteliğini temsil eder ve bilinçdışı ve bilinçli zihinsel faaliyetler arasındaki hassas dengeye aracılık etmede beynin rolünün incelikli bir şekilde anlaşılmasını sağlar. Spesifik sinir devreleri, bağlantı kalıpları ve nörotransmiter dinamikleri üzerine yapılacak daha fazla araştırma, bilinç öncesi bilişi yöneten mekanizmalara ilişkin anlayışımızı geliştirecektir.
Bilinç Öncesinde Bilişsel İşlevler ve Bilgi Depolama
Bilinç öncesi alandaki bilişsel işlevleri ve bilgi depolama mekanizmalarını anlamak, hafızayı ve algıyı yöneten karmaşık süreçlerin incelenmesini gerektirmektedir. Araştırmalar, günlük bilişsel faaliyetlerimizin önemli bir kısmının bilinç öncesi bilgi işlemeyi içerdiğini göstermektedir: Tahminler, bilişsel süreçlerin %95'e kadarının bilinçli farkındalığın ötesinde gerçekleşebileceğini öne sürmektedir. Temel bir bilişsel işlev olan hafıza, bilinç öncesi alanda çok önemli bir rol oynar. Hazırlama paradigmalarını kullanan çalışmalar, bilinç öncesi uyaranlara maruz kalmanın sonraki açık bellek görevlerini etkileyebileceğini ortaya koymakta ve bu da bilinç öncesi bilgilerin bilinçli bellek sistemlerine entegre edildiğini göstermektedir.
Bilinç öncesi alanda bilgi depolamanın doğası, örtülü hafıza kavramıyla yakından bağlantılıdır. Klasik koşullanma paradigmalarını da içeren davranış deneyleri; bireylerin, öğrenme sürecinin açık bir farkındalığı olmadan uyaranlara öğrenilmiş tepkiler sergileyebildiklerini göstermektedir. Bu örtülü bellek kapasitesi, bilinç öncesi bilgi depolamanın verimliliğini yansıtır; bazı tahminler, örtülü bellek sistemlerinin bilişsel repertuarın önemli bir kısmına katkıda bulunduğunu öne sürmektedir. Nörogörüntüleme çalışmaları, bilinç öncesi alanda bilgi depolamanın doğasını vurgulayarak örtülü ve açık hafıza için ayrı sinir yollarının varlığını daha da desteklemektedir.
Bilinç öncesi zihin, aynı zamanda algısal süreçlerde de önemli bir rol oynamaktadır. Bilinçli farkındalık eşiğinin altında görülen bilinçaltı uyaranlar, sonraki bilinçli algıya dönüşebilir. Bilinçaltı görsel uyaranları kullanan nörobilimsel araştırmalar, birincil görsel korteksteki aktivasyon modellerini ortaya çıkarır ve bu da bilinç öncesi bilgilerin duyusal işlemenin erken aşamalarını etkileyebileceğini göstermektedir. Bilinç öncesi bilgi işleme ve üst düzey bilişsel işlevler arasındaki etkileşim, bilinçaltı uyaranların karar verme süreçlerini etkileyebileceğini ve davranışları şekillendirmede geniş kapsamlı sonuçları ortaya çıkarabileceğini gösteren çalışmalarda açıkça görülmektedir.
Bilinç öncesi bilişsel işlevler ile açık bilinçli farkındalık arasındaki dinamik ilişki, insan bilincinin karmaşık doğasını vurgulamaktadır. Açık bilinçli farkındalık, birçok bilişsel görev için gerekli olsa da bilinç öncesi alan, zihinsel işleyişin verimliliğine ve uyarlanabilirliğine önemli ölçüde katkıda bulunur. Devam eden araştırmalar, bilinç öncesi zihnin hizmet verdiği belirli bilişsel işlevleri açığa çıkarmaya devam etmekte ve bilinç öncesi bilgilerin bilinçli düşünce süreçlerine entegrasyonunun altında yatan mekanizmalara ışık tutmaktadır. Bilişsel psikologların, sinir bilimcilerin ve davranış bilimcilerin işbirlikçi çabaları, bilinç öncesi alandaki çok yönlü bilişsel işlevler ve bilgi depolama kapasiteleri hakkındaki anlayışımızı ilerletmede etkilidir.
Bilinç Öncesi Olayların İncelenmesinde Deneysel Yaklaşımlar
Bilinç öncesi fenomenlerin inceliklerini araştırma çabaları, her biri bilinçli farkındalığın ötesinde meydana gelen bilişin ince nüanslarını ortaya çıkarmak için tasarlanmış çeşitli deneysel yaklaşımlarla yürütülmektedir. Öne çıkan metodolojik yollardan biri, uyaranların kısa süreliğine ve bilinçli algı eşiğinin altında sunulduğu bilinçaltı hazırlama paradigmasıdır. Bu paradigmayı kullanan çalışmalar; semantik işleme, sosyal yargılar ve motor tepkiler gibi çeşitli alanlarda gözlemlenen tetikleyici etkilerle birlikte sonraki bilişsel işlemler üzerinde güçlü bilinç öncesi etkileri rapor etmektedir. Özellikle, bilinçaltı hazırlayıcı etkilerin katılımcılar hazırlayıcılardan habersiz olduğunda bile devam ettiği gösterilmiştir; bu, deneysel yaklaşımın bilinç öncesi bilişsel süreçleri izole etmedeki etkililiğinin altını çizmektedir.
Yaygın olarak kullanılan bir diğer deneysel araç, özellikle bilinç öncesi algıyı araştıran çalışmalar bağlamında olaya ilişkin potansiyel (ERP) analizidir. ERP çalışmaları, anlamsal işlemenin göstergesi olan N400 bileşeni ve dikkat ve hafıza süreçleriyle ilişkili P300 bileşeni gibi bilinçaltı uyaranlarla ilişkili farklı sinir imzalarını ortaya koymaktadır.[1] Bu nörofizyolojik belirteçler, bilinçaltı uyaranların sinirsel aktiviteyi modüle ettiği aşamaları aydınlatarak bilinç öncesi bilgi işlemenin zamana bağlı dinamiklerine ilişkin niceliksel bilgiler sağlamaktadır.
Nörogörüntüleme tekniklerindeki ilerlemeler, bilinç öncesi fenomenleri incelemek için deneysel birikime önemli ölçüde katkıda bulunmuştur. Fonksiyonel manyetik rezonans görüntüleme (fMRI), araştırmacıların bilinç öncesi süreçlerin sinirsel bağıntılarını yüksek uzaysal çözünürükle incelemesine olanak tanır. Örneğin, bilinçaltı duygusal uyaranları araştıran çalışmalar, bilinçli farkındalığın yokluğunda bile amigdala aktivasyonunun arttığını bildirmektedir. Nörogörüntülemenin kullanımı, bilinç öncesi bilişte yer alan belirli beyin bölgelerinin tanımlanmasını mümkün kılarak ilgili sinirsel substratların ayrıntılı anatomilerinin anlaşılmasını sağlamaktadır.

Tepki süresi ölçümlerini ve doğruluk değerlendirmelerini içeren davranış deneyleri, bilişsel görevler üzerindeki bilinç öncesi etkilerin niceliksel göstergelerini sağlayarak sinirbilimsel yaklaşımları tamamlar. Hazırlama çalışmaları sıklıkla reaksiyon zamanı paradigmalarını kullanır ve bilinç öncesi olarak sunulan tetikleyicilerle ilişkili uyaranlara verilen tepkileri ortaya çıkarır. Bu davranışsal ölçümler, nörofizyolojik bulguları tamamlamak için değerli niceliksel verilere katkıda bulunarak bilinç öncesi bilgi işlemenin davranışsal sonuçlarının kapsamlı bir şekilde anlaşılmasını teşvik etmektedir.
Nicel meta-analizler, birden fazla çalışmadaki bulguların sistematik bir sentezini sunarak, bilinç öncesi etkilerin güvenilirliğinin ve tutarlılığının sağlam bir şekilde incelenmesine olanak tanır. Örneğin, çeşitli bilişsel alanlardaki bilinçaltı hazırlama çalışmalarının bir meta-analizi; tutumlar, stereotipler ve sosyal yargılar üzerindeki bilinç öncesi etkilere dair tutarlı kanıtlar bulmuştur. Meta-analitik yaklaşımlar deneysel bulguların genellenebilirliğini artırmakta ve etki büyüklüklerine ilişkin istatistiksel tahminler sağlayarak bilinç öncesi araştırmalardaki kümülatif bilgi tabanına katkıda bulunmaktadır.
Sonuç olarak bilinç öncesi olguların incelenmesinde uygulanan deneysel yaklaşımlar dizisi, bu alanın çok boyutlu doğasını yansıtmaktadır. Bilinçaltı hazırlama paradigmalarından nörogörüntüleme tekniklerine ve niceliksel meta-analizlere kadar her yöntem, bilinçli farkındalık eşiğinin altında meydana gelen bilişsel süreçlere dair içgörüler sunar. Bu farklı yaklaşımların entegrasyonu, bilinç öncesi bilişte yer alan mekanizmaların, zamansal dinamiklerin ve sinirsel alt katmanların kapsamlı bir şekilde anlaşılmasını kolaylaştırır.
Bilinç Öncesi Çalışmalarda Psikofizyolojik Göstergeler ve Ölçme Araçları
Bilinç öncesi alanı keşfetmek, bilinçli farkındalığın ötesinde meydana gelen bilişsel süreçlerle ilişkili otonomik tepkilerin ölçümleri olarak hizmet eden psikofizyolojik göstergelerin hassas bir incelemesini gerektirmektedir. Yaygın olarak kullanılan psikofizyolojik ölçümlerden biri, ter bezi aktivitesindeki ve sempatik sinir sistemi uyarılmasındaki değişiklikleri yansıtan deri iletkenlik tepkisidir (SCR). Bilinçaltı uyaranları kullanan çalışmalar, duygusal olarak yüklü önbilinç içeriğine yanıt olarak SCR'de önemli artışlar olduğunu göstermiştir. Artan SCR, bilinçli farkındalığın yokluğunda duygusal işlemenin niceliksel kanıtını sağlamakta ve bu ölçümün bilinç öncesi bilişsel faaliyetlere duyarlılığının altını çizmektedir.
Kalp atış hızı değişkenliği (HRV), bilinç öncesi süreçlerin otonomik düzenlemesine ışık tutan başka bir psikofizyolojik göstergedir. Araştırma, bilinçaltı uyaranlara maruz kalmanın HRV modellerini etkileyebileceğini ve otonom sinir sistemi aktivitesini modüle edebileceğini öne sürmektedir. HRV analizi, ardışık farklılıkların ortalama karekökü (RMSSD) ve yüksek frekans (HF) gücü gibi niceliksel ölçümler sağlayarak, bilinç öncesi bilişsel olaylarla ilişkili zamansal dinamiklerin ve vagal tonunun ayrıntılı bir şekilde incelenmesine olanak tanır.
Elektrodermal seviye ve cilt iletkenlik seviyesi gibi ölçümleri kapsayan elektrodermal aktivite (EDA), sempatik sinir sisteminin bilinç öncesi uyaranlara verdiği tepkilerin değerlendirilmesini sağlar. EDA'yı kullanan çalışmalar, bilinçaltı uyaranlara yanıt olarak farklı modeller ortaya koymuştur; uyarılma seviyelerindeki farklılıklar, bilinç öncesi içeriğin duygusal değerini yansıtmaktadır. EDA parametrelerinin kesin ölçümü, bilinç öncesi bilişsel işleme eşlik eden otonomik bağıntılara ilişkin anlayışımızı geliştirmektedir.
Göz izleme teknolojisi, bilinç öncesi çalışmalarda bilinçaltı uyaranlara maruz kalma sırasında göz hareketlerinin ve bakış modellerinin hassas ölçümüne olanak tanıyan gelişmiş bir aracı temsil etmektedir. Sabitleme süreleri ve sakkadik hareketler, bilinç öncesi bilgilerin devreye girdiği dikkat süreçlerinin niceliksel indekslerini sunar. Göz izlemeyi kullanan çalışmalar, bilinçaltı duygusal uyaranlara yanıt olarak bakış davranışında hafif değişiklikler tespit etmiş ve bilinçli farkındalık olmadan dikkat derecesine niceliksel kanıt sağlamıştır.
Pozitron emisyon tomografisi (PET) ve manyetoensefalografi (MEG) gibi fonksiyonel nörogörüntüleme teknikleri, bilinç öncesi bilişle ilişkili beyin aktivitesini haritalandırarak önemli psikofizyolojik verilere katkıda bulunur. Örneğin PET çalışmaları, bilinçaltı duygusal uyaranlara yanıt olarak amigdalada artan metabolik aktiviteyi ortaya çıkarmıştır, bu da artan uyarılmanın psikofizyolojik göstergelerini doğrulamaktadır. MEG, üstün zamansal çözünürlüğüyle, bilinç öncesi sinirsel süreçlerin milisaniye düzeyindeki dinamiklerini yakalayarak bilinç öncesi çalışmaların psikofizyolojik manzarasını zenginleştirmektedir.[2]
Özetle psikofizyolojik göstergeler ve ölçüm araçları, bilinç öncesi fenomenlerin incelenmesinde vazgeçilmez bileşenler olarak hizmet eder ve bilinçli farkındalığın altında işleyen bilişsel süreçlerin otonom, sinirsel ve dikkat ile ilgili bağıntılarına ilişkin niceliksel bilgiler sunar. Deri iletkenliği, kalp atış hızı değişkenliği, elektrodermal aktivite, göz izleme ve işlevsel nörogörüntüleme verilerinin entegrasyonu yalnızca ölçümün kesinliğini arttırmakla kalmaz; aynı zamanda bilinç öncesi bilişe eşlik eden psikofizyolojik imzaların kapsamlı bir şekilde anlaşılmasını da sağlar. Bu çok boyutlu yaklaşım, bilinç öncesi zihnin fizyolojik ve bilişsel yönleri arasındaki karmaşık etkileşimi çözmek için gereklidir.
Bilinç Öncesi Mekanizmalara Dayalı Bilişsel Davranışsal Müdahalelere İlişkin Bilgiler
Bilinç öncesi mekanizmaların bilişsel süreçlerdeki rolünü anlamak, bilişsel davranışçı müdahalelerin (CBI'ler) iyileştirilmesi ve optimize edilmesi için yollar açmaktadır. Araştırmalar, bilinç öncesi etkilerin otomatik düşünce ve davranışları şekillendirmede önemli bir rol oynadığını öne sürerken bilinç öncesi bilişsel süreçleri hedef alan müdahalelere olan ihtiyacın altını çizmektedir. CBI'nin temel taşı olan bilişsel yeniden yapılandırma, uyumsuz düşünce kalıplarının değiştirilmesini içerir. Bilinç öncesi çalışmalardan elde edilen bilgiler, otomatik düşüncelerin önemli bir kısmının bilinç öncesi işlemlerden kaynaklanabileceğini göstermektedir. Bilinç öncesi odaklı stratejileri bilişsel yeniden yapılandırmaya entegre etmek, müdahalelerin etkinliğini artırabilir. Örneğin, Wilson ve Brekke tarafından yapılan bir çalışma, bilinçaltı hazırlama tekniklerinin bilişsel yeniden yapılandırma müdahalelerine dahil edilmesinin, geleneksel yaklaşımlarla karşılaştırıldığında olumsuz otomatik düşüncelerde daha önemli azalmalara yol açtığını göstermiştir.[3]
Genellikle bilinç öncesi işlemlere dayanan bilişsel önyargılar, müdahale için kritik hedeflerdir. Bilişsel davranışçı terapiler, psikolojik sıkıntıyı hafifletmek için bu önyargıları tanımlamayı ve değiştirmeyi amaçlamaktadır. Örtülü ilişkilendirme testlerini (IAT'ler) kullanan çalışmalar, bireylerin kolaylıkla kabul edemeyebilecekleri ancak davranışları etkileyebilen örtülü önyargıları ortaya koymaktadır. Bu örtülü önyargıları hedef almak ve değiştirmek için müdahalelerin uyarlanması, kapsamlı bilişsel yeniden yapılanma için gerekli olabilir. Örneğin Greenwald ve arkadaşlarının bir meta-analizi, örtülü önyargıları değiştirmek için tasarlanan müdahalelerin etkili olduğunu ve önyargılı davranışlarda önemli azalmalara yol açtığını göstermiştir.[4]
Mevcut deneyimlere ilişkin yargılayıcı olmayan farkındalığı geliştiren farkındalık temelli müdahaleler, bilinç öncesi odaklı yaklaşımlarla uyumludur. Farkındalık uygulamaları, düşünceleri anında yargılamadan gözlemlemeyi vurgulayarak bireylerin bilinç öncesi bilişsel süreçlerin daha fazla farkına varmalarını sağlar. Araştırmalar, farkındalık müdahalelerinin duygusal tepkisellikle ilişkili sinirsel aktivitedeki değişikliklerle kanıtlandığı gibi, bilinç öncesi duygusal süreci değiştirebileceğini göstermektedir. Farkındalık tekniklerini bilişsel davranışçı müdahalelere dahil etmek, bireylerin bilinç öncesi bilişsel alanda gezinme yeteneğini geliştirebilir.
Bilişsel davranışçı müdahalelerde, yaygın olarak kullanılan maruz bırakma terapileri, korku tepkilerini yöneten bilinç öncesi mekanizmalara ilişkin içgörülerden yararlanabilir. Korku uyandıran uyaranların bilinçli farkındalık eşiğinin altında sunulduğu bilinçaltı maruz bırakma teknikleri, korku tepkilerini azaltmada umut vaat etmektedir. Bilinçaltı maruz kalma raporunu kullanan çalışmalar, fizyolojik ve kişinin bildirdiği korku tepkilerini zayıflatmıştır. Bu da bilinç öncesi maruz kalmanın, geleneksel maruz bırakma terapilerine uygulanabilir bir yardımcı olabileceğini düşündürmektedir. Bilinç öncesi maruz bırakma stratejilerini maruz bırakmaya dayalı CBI'lara entegre etmek, yoğun korkularla boğuşan bireyler için daha kademeli ve tolere edilebilir yollar sunabilir.
Sanal gerçeklik (VR) gibi teknolojilerin CBI'lara entegrasyonu, bilinç öncesi içgörülerle desteklenen yenilikçi bir yol sunmaktadır. Sanal gerçekliğe maruz kalma terapileri, korku uyandıran durumları simüle etmek için sürükleyici ve gerçekçi senaryolardan yararlanır. Bu yaklaşım, gerçekçi fakat kontrollü teşhirler sağlayarak bilinç öncesi süreçlerle uyum sağlamaktadır. Meta-analitik veriler, VR tabanlı maruz bırakma terapilerinin çeşitli anksiyete bozukluklarında semptomları azaltmada etkili olduğunu göstermektedir. CBI'larda VR teknolojisinin ön bilinçli mekanizmalar tarafından bilgilendirilmesiyle kullanılması, tedavi sonuçlarını iyileştirmeye yönelik ileriye dönük bir yaklaşımı temsil etmektedir.
Sonuç olarak, bilinç öncesi çalışmalardan elde edilen bilgiler, bilişsel davranışçı müdahalelerin iyileştirilmesine yönelik değerli bilgilere katkıda bulunmaktadır. CBI'lar, bilinç öncesi bilişsel süreçleri hedefleyen stratejileri bir araya getirerek, bireylere daha hedef odaklı ve kişiselleştirilmiş terapötik yaklaşımlar sunarak daha etkili ve özgül sonuçlar elde edebilir. Gelecekteki araştırmalar ve klinik uygulamalar, çeşitli psikolojik durumlar için tedavi sonuçlarını optimize etmek amacıyla bilinç öncesi odaklı müdahaleleri keşfetmeye ve entegre etmeye devam etmelidir.
Evrim Ağacı'nda tek bir hedefimiz var: Bilimsel gerçekleri en doğru, tarafsız ve kolay anlaşılır şekilde Türkiye'ye ulaştırmak. Ancak tahmin edebileceğiniz gibi Türkiye'de bilim anlatmak hiç kolay bir iş değil; hele ki bir yandan ekonomik bir hayatta kalma mücadelesi verirken...
O nedenle sizin desteklerinize ihtiyacımız var. Eğer yazılarımızı okuyanların %1'i bize bütçesinin elverdiği kadar destek olmayı seçseydi, bir daha tek bir reklam göstermeden Evrim Ağacı'nın bütün bilim iletişimi faaliyetlerini sürdürebilirdik. Bir düşünün: sadece %1'i...
O %1'i inşa etmemize yardım eder misiniz? Evrim Ağacı Premium üyesi olarak, ekibimizin size ve Türkiye'ye bilimi daha etkili ve profesyonel bir şekilde ulaştırmamızı mümkün kılmış olacaksınız. Ayrıca size olan minnetimizin bir ifadesi olarak, çok sayıda ayrıcalığa erişim sağlayacaksınız.
Makalelerimizin bilimsel gerçekleri doğru bir şekilde yansıtması için en üst düzey çabayı gösteriyoruz. Gözünüze doğru gelmeyen bir şey varsa, mümkünse güvenilir kaynaklarınızla birlikte bize ulaşın!
Bu makalemizle ilgili merak ettiğin bir şey mi var? Buraya tıklayarak sorabilirsin.
Soru & Cevap Platformuna Git- 5
- 3
- 2
- 2
- 1
- 1
- 1
- 1
- 0
- 0
- 0
- 0
- ^ H. Song, et al. (2021). Neural Signatures Of Attentional Engagement During Narratives And Its Consequences For Event Memory. Proceedings of the National Academy of Sciences. doi: 10.1073/pnas.2021905118. | Arşiv Bağlantısı
- ^ Washington University. Temporal Resolution: The Ability To Follow Rapid Changes In A Sound Over Time. Alındığı Tarih: 18 Şubat 2024. Alındığı Yer: Washington University | Arşiv Bağlantısı
- ^ T. D. Wilson, et al. (2005). Mental Contamination And Mental Correction: Unwanted Influences On Judgments And Evaluations.. American Psychological Association (APA), sf: 117-142. doi: 10.1037/0033-2909.116.1.117. | Arşiv Bağlantısı
- ^ A. G. Greenwald, et al. (2009). Understanding And Using The Implicit Association Test: Iii. Meta-Analysis Of Predictive Validity.. American Psychological Association (APA), sf: 17-41. doi: 10.1037/a0015575. | Arşiv Bağlantısı
- S. Dehaene, et al. (2006). Conscious, Preconscious, And Subliminal Processing: A Testable Taxonomy. Elsevier BV, sf: 204-211. doi: 10.1016/j.tics.2006.03.007. | Arşiv Bağlantısı
- B. Laeng, et al. (2012). Pupillometry: A Window To The Preconscious?. SAGE Publications, sf: 18-27. doi: 10.1177/1745691611427305. | Arşiv Bağlantısı
- K. Fujita, et al. (2007). Mindsets And Pre-Conscious Open-Mindedness To Incidental Information. Journal of Experimental Social Psychology, sf: 48-61. doi: 10.1016/j.jesp.2005.12.004. | Arşiv Bağlantısı
- M. Velmans. Conscious Agency And The Preconscious/Unconscious Self. (12 Aralık 2013). Alındığı Tarih: 15 Ocak 2024. Alındığı Yer: Springer Science and Business Media LLC doi: 10.1007/978-81-322-1587-5_2. | Arşiv Bağlantısı
- E. Fox, et al. (2010). Preconscious Processing Biases Predict Emotional Reactivity To Stress. Elsevier BV, sf: 371-377. doi: 10.1016/j.biopsych.2009.11.018. | Arşiv Bağlantısı
- P. Bakvis, et al. (2008). Trauma, Stress, And Preconscious Threat Processing In Patients With Psychogenic Nonepileptic Seizures. Wiley, sf: 1001-1011. doi: 10.1111/j.1528-1167.2008.01862.x. | Arşiv Bağlantısı
- K. Roelofs, et al. (2007). The Effects Of Social Stress And Cortisol Responses On The Preconscious Selective Attention To Social Threat. Biological Psychology, sf: 1-7. doi: 10.1016/j.biopsycho.2006.09.002. | Arşiv Bağlantısı
- G. B. Moskowitz. (2002). Preconscious Effects Of Temporary Goals On Attention. Journal of Experimental Social Psychology, sf: 397-404. doi: 10.1016/S0022-1031(02)00001-X. | Arşiv Bağlantısı
- R. Dohrenbusch, et al. (2008). Impact Of Chronic Somatoform And Osteoarthritis Pain On Conscious And Preconscious Cognitive Processing. Elsevier BV, sf: 927-939. doi: 10.1016/j.jpain.2008.05.004. | Arşiv Bağlantısı
Evrim Ağacı'na her ay sadece 1 kahve ısmarlayarak destek olmak ister misiniz?
Şu iki siteden birini kullanarak şimdi destek olabilirsiniz:
kreosus.com/evrimagaci | patreon.com/evrimagaci
Çıktı Bilgisi: Bu sayfa, Evrim Ağacı yazdırma aracı kullanılarak 31/10/2025 16:22:59 tarihinde oluşturulmuştur. Evrim Ağacı'ndaki içeriklerin tamamı, birden fazla editör tarafından, durmaksızın elden geçirilmekte, güncellenmekte ve geliştirilmektedir. Dolayısıyla bu çıktının alındığı tarihten sonra yapılan güncellemeleri görmek ve bu içeriğin en güncel halini okumak için lütfen şu adrese gidiniz: https://evrimagaci.org/s/16488
İçerik Kullanım İzinleri: Evrim Ağacı'ndaki yazılı içerikler orijinallerine hiçbir şekilde dokunulmadığı müddetçe izin alınmaksızın paylaşılabilir, kopyalanabilir, yapıştırılabilir, çoğaltılabilir, basılabilir, dağıtılabilir, yayılabilir, alıntılanabilir. Ancak bu içeriklerin hiçbiri izin alınmaksızın değiştirilemez ve değiştirilmiş halleri Evrim Ağacı'na aitmiş gibi sunulamaz. Benzer şekilde, içeriklerin hiçbiri, söz konusu içeriğin açıkça belirtilmiş yazarlarından ve Evrim Ağacı'ndan başkasına aitmiş gibi sunulamaz. Bu sayfa izin alınmaksızın düzenlenemez, Evrim Ağacı logosu, yazar/editör bilgileri ve içeriğin diğer kısımları izin alınmaksızın değiştirilemez veya kaldırılamaz.
 
             
             
       
           
                 
       
                   
                   
                   
                   
                   
                   
                   
                   
                   
                   
                   
                  