İnsan Koronavirüsü OC43 Nedir? Nasıl Bir Hastalığa Sebep Olur?
 PHIL
              
                  PHIL
              
        - Hastalık Kataloğu
- Epidemiyoloji
- Viroloji
Bu içerik tıp ve sağlık ile ilişkilidir. Sadece bilgi amaçlı olarak hazırlanmıştır. Bireysel bir tıbbi tavsiye olarak görülmemelidir. Evrim Ağacı'ndaki hiçbir içerik; profesyonel bir hekim tarafından verilen tıbbi tavsiyelerin, konulan bir teşhisin veya önerilen bir tedavinin yerini alacak biçimde kullanılmamalıdır.
- Türkçe Adı İnsan Koronavirüsü OC43
- İngilizce Adı Human Coronavirus OC43
- Latince Adı HCoV-OC43
- NIH 31631
HCoV-OC43, insanları ve sığırları enfekte eden Betacoronavirus 1 virüsünün insanlara bulaşan bir suşudur. OC43'ün 1890'lı yıllarda Bovine-CoV'dan (sığırları enfekte eden varyant) ayrılıp insanlara sıçradığı düşünülmektedir. İnsanlarda nadiren ciddi sonuçlar doğurur. Genellikle diğer 3 koronavirüsle (NL63, 229E, HKU1) birlikte soğuk algınlığına sebep olur. Bu dört koronavirüs, mevsimsel olarak görülen soğuk algınlığı vakalarının %10 ila %30'unu oluşturur. OC43 ise koronavirüs kaynaklı soğuk algınlığı vakalarının en sık rastlanan patojenidir. Bu haliyle genetik olarak yaklaşık %51 oranında benzediği SARS-CoV-2'den sonra en sık rastlanan koronavirüstür.[1]
Betacoronavirus'lardan bir Embecovirus olan OC43'ün kemirgenlerden köken aldığı ve ara konak canlı olan sığırlardan insanlara sıçradığı düşünülmektedir. Diğer Embecovirusler gibi OC43 de "Hemagglutinin esteraz" isimli daha kısa bir Spike proteinine sahiptir. 7 insan koronavirüsü arasında OC43'e en çok benzeyen virüs HKU1, tüm Koronavirüsler içinde ise Bovine-CoV'dur.
Belirti ve Bulgular
OC43'ün sebep olduğu ayırt edici semptomlar yoktur. Sebep olduğu hastalık, grip-korona ve benzeri her hastalıkta rastlanabilecek semptomlara sahiptir. Fransa'daki yerel bir salgın araştırıldığında şu belirtilere değişken oranlarda rastlandığı bildirilmiştir:[2]
- Ateş,
- Baş ve vücut ağrıları,
- Kusma ve ishal gibi sindirim sorunları,
- Rinit,
- Farenjit,
- Larenjit,
- Akut otitis (Orta kulak iltihabı),
- Bronşit,
- Bronşiolit,
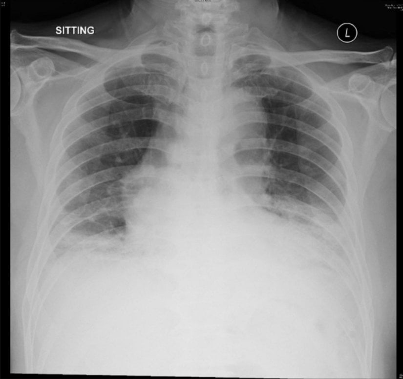
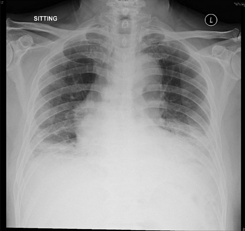
- Pnömoni.
Hastalıkla İlişkili Genler, Etken Faktörler ve Risk Faktörleri
Viroloji
HCoV-OC43'ün dört farklı genotipi (Genotip A, B, C ve D) ve 29 kadar varyantı tanımlanmıştır. Tıpkı diğer koronavirüsler gibi OC43'ün de RNA'sı yüksek mutasyon ve rekombinasyon frekansına sahiptir. Bu adaptif özellik, koronavirüslere pek çok canlıya sıçrayabilme ve sıçrama sonrası çeşitlenmeyi sürdürme yeteneği kazandırır.
OC43 yaklaşık 30.000 nükleotid uzunluğuyla en büyük genoma sahip virüslerden biridir. Bu 30 kilobazlık genomda 11 adet fonksiyonel ORF bulunur. Bu 11 ORF, replikaz geni denen iki geni (ORF1a ve ORF1b), 5 adet yapısal proteini ve 4 kadar viral yardımcı proteini kodlayan genlerden oluşur.
Enfeksiyon Mekanizması
Diğer Embecovirus'ler gibi HCoV-OC43 de Spike Glikoproteinlerine (S proteini) ek olarak Hemagglutinin Esteraz (HE) proteini de içerir. HE proteinleri yapısal olarak S proteinlerinden daha kısadır ancak OC43'ün viral girişte kullandığı sialik asit reseptörlerine bağlanma ve reseptör yapısının istikrarsızlaştırılmasında görev alırlar. Koronavirüs HE proteinlerinin Influenza C Virüs'lerdeki HE proteinlerine benzer bir yapıyla evrimsel olarak ilişkili olduğu düşünülmektedir.[3]
Diğer koronavirüsler gibi OC43'teki Spike glikoproteinleri de "N- Asetilnöraminik asit" reseptörüne tutunur. Reseptörlere bağlanan Spike proteininin S1 bölgesi konak hücre ile moleküler etkileşimler kurar, S2 bölgesi ise hücresel membranın yapısını bozar ve hücre ile virüs arasında bir köprü kurup RNA'nın sitoplazmaya akmasını sağlar.
Risk Faktörleri
Soğuk algınlığına sebep olan koronavirüslerin geri kalanı gibi bu virüs de bebekler, yaşlılar, kanser hastaları ve HIV+/AIDS hastaları için risk teşkil etmektedir. Çoğunlukla üst solunum yolu enfeksiyonuna sebep olan virüsün risk grubundaki hastalarda viral pnömoni dahil daha ciddi alt solunum yolu sendromlarına yol açması muhtemeldir. Ensefalite (beyin-omurilik iltihabına) çevirme olasılığı sebebiyle halihazırda sinir sistemi bozukluğu olan bireyler için bu olasılık da diğer nezle koronavirüslerinde olmayan bir risk teşkil etmektedir.
Evrim, Taksonomi ve Filogenetik
HCoV-OC43, Embecovirus tipi Betacoronavirus 1 isimli bir virüsün insanlara bulaşan suşudur. Embecovirus alt ailesi de Koronavirüslerin içindeki bir alt aile olan Betacoronavirus içinde sınıflandırılmaktadır
OC43'e en yakın virüs olan Bovine-CoV (BCV) OC43'ten 19. yüzyılın sonunda (muhtemelen 1889-1890 yıllarında) ayrılmıştır. OC43 insanlarda, BCV de sığırlarda seçilim göstererek türleşmişlerdir. OC43'ün sığırlardan insanlara sıçrayabilmesine delesyon tipi bir mutasyonun sebep olduğu tahmin edilmektedir. BCV ve OC43'ün atası da daha önce PHEV isimli başka bir Embecovirus'le olan ortak atadan ayrılmıştır.
Öte yandan diğer koronavirüslerde olduğu gibi Embecovirusler de kendi aralarında rekombinasyon yapma eğilimindedir. Örneğin OC43 Genotip D, Genotip B ve C'nin rekombinasyonu sebebiyle oluşmuştur ve köpeklerde solunum yolu enfeksiyonundan sorumlu CrCoV isimli virüs de OC43 ve diğer Embecoviruslerin rekombinasyonundan ortaya çıkmıştır.
Aslında maddi destek istememizin nedeni çok basit: Çünkü Evrim Ağacı, bizim tek mesleğimiz, tek gelir kaynağımız. Birçoklarının aksine bizler, sosyal medyada gördüğünüz makale ve videolarımızı hobi olarak, mesleğimizden arta kalan zamanlarda yapmıyoruz. Dolayısıyla bu işi sürdürebilmek için gelir elde etmemiz gerekiyor.
Bunda elbette ki hiçbir sakınca yok; kimin, ne şartlar altında yayın yapmayı seçtiği büyük oranda bir tercih meselesi. Ne var ki biz, eğer ana mesleklerimizi icra edecek olursak (yani kendi mesleğimiz doğrultusunda bir iş sahibi olursak) Evrim Ağacı'na zaman ayıramayacağımızı, ayakta tutamayacağımızı biliyoruz. Çünkü az sonra detaylarını vereceğimiz üzere, Evrim Ağacı sosyal medyada denk geldiğiniz makale ve videolardan çok daha büyük, kapsamlı ve aşırı zaman alan bir bilim platformu projesi. Bu nedenle bizler, meslek olarak Evrim Ağacı'nı seçtik.
Eğer hem Evrim Ağacı'ndan hayatımızı idame ettirecek, mesleklerimizi bırakmayı en azından kısmen meşrulaştıracak ve mantıklı kılacak kadar bir gelir kaynağı elde edemezsek, mecburen Evrim Ağacı'nı bırakıp, kendi mesleklerimize döneceğiz. Ama bunu istemiyoruz ve bu nedenle didiniyoruz.

İnsanları enfekte edebilen tek Embecovirus olma sıfatını taşıyan HKU1 ve OC43'ün çok daha eski bir ortak atası vardır ve bu virüsler Embecovirusler arasında farklı kladlara aittirler. OC43, Bovine-CoV, PHEV, CrCoV, Equine-CoV virüsleriyle daha yakın ve aynı kladdayken HKU1, MHV ile ilişkilidir.
Teşhis Yöntemleri
Burun boşluğu ve boğazdan alınan nazal örnekler üzerinde rt-PCR testi yapılması, klinik testlerde ve tıbbi araştırmalarda en çok kullanılan yöntemdir. Bununla birlikte enfeksiyonun diğer solunum yolu enfeksiyonlarıyla benzer bir tablo ortaya koyması, semptomatik tedavi ile giderilecek olması ve nadiren ciddi enfeksiyon yaratması bir anlamda teşhisi gereksiz kılmaktadır. Grip de dahil solunum yolu hastalıklarında test istemi, testin pozitif sonuç vermesi durumunda tedavi seyrinin değişmesiyle sonuçlanıp sonuçlanmayacağına bağlıdır. Hasta, ciddi olmayan bir OC43 enfeksiyonu geçiriyorsa her durumda semptom giderici tedavi alacağı için test yapılması gereksiz görülebilir.
Tedaviler veya İdare Yöntemleri
Bu hastalık viral bir hastalık olduğundan etkili bir tedavi geliştirmek zordur. Nadiren ciddi boyutlara ulaştığı için mevsimsel olarak görülen nezle vakalarından farklı yaklaşılmaz. Bağışıklık sistemini güçlendirecek takviye gıdalar (mineral, vitamin gibi), ateş düşürücü-ağrı kesici olarak analjezik-antipiretik ilaç versiyonları (genellikle steroid içerikli olmayan anti-inflamatuar ilaçlar), sekonder olarak gelişen (veya gelişmesi muhtemel) bakteriyel enfeksiyonlar için antibiyotikler kullanılabilir.
Ciddi vakalarda ise görüş birliğine varılmış bir OC43 tedavisi olmadığı için bağışıklık sistemine destek olma ve hastanın rahatlatılması amaçlanır. Çeşitli antiviral kokteylleri denenebilir ancak bunların prognozu iyileştirdiği yönünde bir bilimsel fikir birliği yoktur. İntravenöz immün globülin veya pasif bağışıklanma yöntemi, klinik olarak %100 etkili olmasa da denenen yöntemler arasındadır. Ağır vakalarda akut akciğer hasarı meydana geldiğinden mekanik ventilasyona başlanabilir.
SARS-CoV-2 için araştırılan Klorokin, Remdesivir, Favipiravir ve Molnupiravir gibi antiviraller ve birtakım interferonlar OC43 gibi mevsimsel koronavirüsler için de araştırılmaktadır.

Görülme Sıklığı ve Dağılımı (Epidemiyoloji)
İnsanları enfekte eden dört soğuk algınlığı koronavirüsünün birbirleriyle örtüşen epidemiyolojileri vardır. Ilıman iklimlerde Eylül-Mart aylarında görülmeleri yaygındır. Ekvator bölgesinde ise mevsimsel bir baskınlıkları yoktur, yılın her döneminde ılıman bölgelerin hastalık sezonu aylarına nazaran daha az olsa da vakalara rastlanabilir.
Bu dört koronavirüs soğuk algınlığı vakalarının %10-30'undan sorumludur. OC43 ise bu dört koronavirüs içerisinde en çok rastlanan patojendir. Klinik araştırmalar OC43'ü en çok çocuklarda ve bağışıklığı baskılanmış kişilerde saptamaktadır.[4]
HCoV-NL63'e göre ko-enfeksiyon oranı daha düşüktür. Nadiren görülen ko-enfeksiyon genellikle diğer insan koronavirüsleriyle gerçekleşir.

Önlem Yöntemleri
SARS-CoV-2 veya grip için alınan önlemler OC43 için de etkilidir. Elleri sıkça yıkamak, hasta insanlarla temas etmemek, bolca sıvı tüketerek ve iyi beslenerek bağışıklık sistemine destek olmak gibi önlemler alınabilir.
OC43 için henüz bir aşı bulunmamaktadır, ancak araştırmalar devam etmektedir. OC43'ün sığırları enfekte eden tipi Bovine-CoV için lisanslı aşılar mevcuttur, fakat bu aşıların insanlara uygulanması önerilmemektedir.
COVID-19 aşılarının OC43 ve diğer koronavirüs kaynaklı hastalıklar üzerinde bir miktar çapraz bağışıklık sağlayacağı düşünülse de bu bilgi kesin değildir. Yine de COVID-19 aşısı olmak COVID-19 ve OC43 virüslerinin ko-enfeksiyon yaratma ihtimalini ortadan kaldırır.
Diğer Başlıklar
1889-1990 Rus Gribi Salgını
1889-1890 yıllarında kendini gösteren bu salgına Influenza A virüsünün H2N2 ya da H3N8 tiplerinin sebep olduğu düşünülmektedir. Ancak SARS salgınından sonra daha iyi tanımaya başladığımız koronavirüslerden OC43'ün bu salgına sebep olmuş olması da olasıdır. Bu hipotezin en büyük destekçisi, BCV ile OC43'ün ortak atalarından tam da salgının kendini gösterdiği zamanda evrimleşmiş olmalarıdır.
Öte yandan grip ve korona enfeksiyonlarının belirtilerinin benzerliği ve salgının oldukça eski bir tarihte yaşanmış olması hangi virüsün salgına sebep olduğunun saptanmasını zorlaştırsa da Rus Gribi'nin iyileşme sonrası klinik belirtilerin devam etmesi, tat-koku duyusunda bozukluklar ve çoklu sistem bozuklukları (COVID-19'da rastlanır) ve OC43'teki gibi nörolojik semptomlar göstermesi sebebiyle etken virüsün bir koronavirüs olduğundan şüphelenilmektedir.[5], [6]
 
      
    Eğer OC43, Rus Gribi salgının etken patojeniyse günümüzdeki ölüm oranının düşüklüğüne rağmen virüs, kendisiyle hiç karşılaşmamış popülasyonlarda daha öldürücü olabilir. Öte yandan bu onu ilk zoonoz kaynaklı insan koronavirüsü yapar.
Fakat OC43'ün Rus Gribinin patojeni olmayabileceğini öngören hipotezler de mevcuttur. Örneğin; SARS-CoV-2 insanlara bulaşmadan önce muhtemelen 18-70 yıl boyunca RaTG13'le olan ortak atasından ayrılmıştı ve yarasalarda dolaşmaya devam ediyordu. Ya da MERS-CoV insanlara bulaşmadan önce 10-20 yıl boyunca develeri enfekte etmekteydi. Yani kısaca koronavirüsler konaklarını enfekte etmeden önce bir süre ana veya ara konaklarını enfekte ediyordu. Fakat Rus Gribinin OC43 kaynaklı olduğunu öngören hipotezler OC43'ün BCV'den ayrılma tarihini gribin başladığı dönemlere denk geldiğini, yani OC43'ün evrimleşir evrimleşmez insanlara bulaştığını söylemektedir.
Kısacası Rus Gribine Influenza A H2N2 ya da H3N8'in mi, OC43'ün mü yoksa başka bir virüsün mü sebep olduğu konusunda bir fikir birliği yoktur.
Evrim Ağacı'nda tek bir hedefimiz var: Bilimsel gerçekleri en doğru, tarafsız ve kolay anlaşılır şekilde Türkiye'ye ulaştırmak. Ancak tahmin edebileceğiniz gibi Türkiye'de bilim anlatmak hiç kolay bir iş değil; hele ki bir yandan ekonomik bir hayatta kalma mücadelesi verirken...
O nedenle sizin desteklerinize ihtiyacımız var. Eğer yazılarımızı okuyanların %1'i bize bütçesinin elverdiği kadar destek olmayı seçseydi, bir daha tek bir reklam göstermeden Evrim Ağacı'nın bütün bilim iletişimi faaliyetlerini sürdürebilirdik. Bir düşünün: sadece %1'i...
O %1'i inşa etmemize yardım eder misiniz? Evrim Ağacı Premium üyesi olarak, ekibimizin size ve Türkiye'ye bilimi daha etkili ve profesyonel bir şekilde ulaştırmamızı mümkün kılmış olacaksınız. Ayrıca size olan minnetimizin bir ifadesi olarak, çok sayıda ayrıcalığa erişim sağlayacaksınız.
Makalelerimizin bilimsel gerçekleri doğru bir şekilde yansıtması için en üst düzey çabayı gösteriyoruz. Gözünüze doğru gelmeyen bir şey varsa, mümkünse güvenilir kaynaklarınızla birlikte bize ulaşın!
Bu makalemizle ilgili merak ettiğin bir şey mi var? Buraya tıklayarak sorabilirsin.
Soru & Cevap Platformuna Git- 1
- 1
- 1
- 0
- 0
- 0
- 0
- 0
- 0
- 0
- 0
- 0
- ^ W. S. Lee, et al. (2020). Antibody-Dependent Enhancement And Sars-Cov-2 Vaccines And Therapies. Nature Microbiology, sf: 1185-1191. doi: 10.1038/s41564-020-00789-5. | Arşiv Bağlantısı
- ^ A. Vabret, et al. (2003). An Outbreak Of Coronavirus Oc43 Respiratory Infection In Normandy, France. Clinical Infectious Diseases, sf: 985-989. doi: 10.1086/374222. | Arşiv Bağlantısı
- ^ Q. Zeng, et al. (2008). Structure Of Coronavirus Hemagglutinin-Esterase Offers Insight Into Corona And Influenza Virus Evolution. Proceedings of the National Academy of Sciences of the United States of America, sf: 9065. doi: 10.1073/pnas.0800502105. | Arşiv Bağlantısı
- ^ M. Jevšnik, et al. (2013). Detection Of Human Coronaviruses In Simultaneously Collected Stool Samples And Nasopharyngeal Swabs From Hospitalized Children With Acute Gastroenteritis. Virology Journal, sf: 1-7. doi: 10.1186/1743-422X-10-46. | Arşiv Bağlantısı
- ^ H. Brüssow. (2021). What We Can Learn From The Dynamics Of The 1889 ‘Russian Flu’ Pandemic For The Future Trajectory Of Covid‐19. Microbial Biotechnology, sf: 2244. doi: 10.1111/1751-7915.13916. | Arşiv Bağlantısı
- ^ H. Brüssow, et al. (2021). Clinical Evidence That The Pandemic From 1889 To 1891 Commonly Called The Russian Flu Might Have Been An Earlier Coronavirus Pandemic. Microbial Biotechnology, sf: 1860. doi: 10.1111/1751-7915.13889. | Arşiv Bağlantısı
- L. Vijgen, et al. (2005). Complete Genomic Sequence Of Human Coronavirus Oc43: Molecular Clock Analysis Suggests A Relatively Recent Zoonotic Coronavirus Transmission Event. Journal of Virology, sf: 1595. doi: 10.1128/JVI.79.3.1595-1604.2005. | Arşiv Bağlantısı
- E. Keyaerts, et al. (2009). Antiviral Activity Of Chloroquine Against Human Coronavirus Oc43 Infection In Newborn Mice. Antimicrobial Agents and Chemotherapy, sf: 3416. doi: 10.1128/AAC.01509-08. | Arşiv Bağlantısı
- S. K. P. Lau, et al. (2011). Molecular Epidemiology Of Human Coronavirus Oc43 Reveals Evolution Of Different Genotypes Over Time And Recent Emergence Of A Novel Genotype Due To Natural Recombination. American Society for Microbiology, sf: 11325-11337. doi: 10.1128/jvi.05512-11. | Arşiv Bağlantısı
- R. J. G. Hulswit, et al. (2019). Human Coronaviruses Oc43 And Hku1 Bind To 9- O -Acetylated Sialic Acids Via A Conserved Receptor-Binding Site In Spike Protein Domain A. Proceedings of the National Academy of Sciences, sf: 2681-2690. doi: 10.1073/pnas.1809667116. | Arşiv Bağlantısı
- M. Dubé, et al. (2018). Axonal Transport Enables Neuron-To-Neuron Propagation Of Human Coronavirus Oc43. Journal of Virology. doi: 10.1128/JVI.00404-18. | Arşiv Bağlantısı
- J. R. St-Jean, et al. (2004). Human Respiratory Coronavirus Oc43: Genetic Stability And Neuroinvasion. Journal of Virology, sf: 8824. doi: 10.1128/JVI.78.16.8824-8834.2004. | Arşiv Bağlantısı
- E. R. Gaunt, et al. (2010). Epidemiology And Clinical Presentations Of The Four Human Coronaviruses 229E, Hku1, Nl63, And Oc43 Detected Over 3 Years Using A Novel Multiplex Real-Time Pcr Method. Journal of Clinical Microbiology, sf: 2940. doi: 10.1128/JCM.00636-10. | Arşiv Bağlantısı
- S. Morfopoulou, et al. (2016). Human Coronavirus Oc43 Associated With Fatal Encephalitis. Massachusetts Medical Society, sf: 497-498. doi: 10.1056/NEJMc1509458. | Arşiv Bağlantısı
- R. Dijkman, et al. (2012). The Dominance Of Human Coronavirus Oc43 And Nl63 Infections In Infants. Journal of Clinical Virology, sf: 135-139. doi: 10.1016/j.jcv.2011.11.011. | Arşiv Bağlantısı
- L. Vijgen, et al. (2006). Evolutionary History Of The Closely Related Group 2 Coronaviruses: Porcine Hemagglutinating Encephalomyelitis Virus, Bovine Coronavirus, And Human Coronavirus Oc43. American Society for Microbiology, sf: 7270-7274. doi: 10.1128/jvi.02675-05. | Arşiv Bağlantısı
- A. Nilsson, et al. (2020). Fatal Encephalitis Associated With Coronavirus Oc43 In An Immunocompromised Child. Informa UK Limited, sf: 419-422. doi: 10.1080/23744235.2020.1729403. | Arşiv Bağlantısı
- D. X. Liu, et al. (2021). Human Coronavirus-229E, -Oc43, -Nl63, And -Hku1 (Coronaviridae). Academic Press, sf: 428-440. doi: 10.1016/B978-0-12-809633-8.21501-X. | Arşiv Bağlantısı
- X. Che, et al. (2005). Antigenic Cross-Reactivity Between Severe Acute Respiratory Syndrome—Associated Coronavirus And Human Coronaviruses 229E And Oc43. The Journal of Infectious Diseases, sf: 2033-2037. doi: 10.1086/430355. | Arşiv Bağlantısı
- E. E. Walsh, et al. (2013). Clinical Impact Of Human Coronaviruses 229E And Oc43 Infection In Diverse Adult Populations. The Journal of Infectious Diseases, sf: 1634-1642. doi: 10.1093/infdis/jit393. | Arşiv Bağlantısı
- H. Jacomy, et al. (2006). Human Coronavirus Oc43 Infection Induces Chronic Encephalitis Leading To Disabilities In Balb/C Mice. Virology, sf: 335-346. doi: 10.1016/j.virol.2006.01.049. | Arşiv Bağlantısı
- N. Arbour, et al. (1999). Acute And Persistent Infection Of Human Neural Cell Lines By Human Coronavirus Oc43. Journal of Virology, sf: 3338. doi: 10.1128/jvi.73.4.3338-3350.1999. | Arşiv Bağlantısı
- Z. Zeng, et al. (2018). Epidemiology And Clinical Characteristics Of Human Coronaviruses Oc43, 229E, Nl63, And Hku1: A Study Of Hospitalized Children With Acute Respiratory Tract Infection In Guangzhou, China. European Journal of Clinical Microbiology & Infectious Diseases, sf: 363-369. doi: 10.1007/s10096-017-3144-z. | Arşiv Bağlantısı
- X. Zhao, et al. (2014). Interferon Induction Of Ifitm Proteins Promotes Infection By Human Coronavirus Oc43. Proceedings of the National Academy of Sciences, sf: 6756-6761. doi: 10.1073/pnas.1320856111. | Arşiv Bağlantısı
- A. Szczepanski, et al. (2019). Canine Respiratory Coronavirus, Bovine Coronavirus, And Human Coronavirus Oc43: Receptors And Attachment Factors. Viruses, sf: 328. doi: 10.3390/v11040328. | Arşiv Bağlantısı
- F. Künkel, et al. (1993). Structural And Functional Analysis Of The Surface Protein Of Human Coronavirus Oc43. Virology, sf: 195-202. doi: 10.1006/viro.1993.1360. | Arşiv Bağlantısı
- K. H. Chan, et al. (2005). Serological Responses In Patients With Severe Acute Respiratory Syndrome Coronavirus Infection And Cross-Reactivity With Human Coronaviruses 229E, Oc43, And Nl63. American Society for Microbiology, sf: 1317-1321. doi: 10.1128/CDLI.12.11.1317-1321.2005. | Arşiv Bağlantısı
- A. Bonavia, et al. (2020). Infection Of Primary Cultures Of Human Neural Cells By Human Coronaviruses 229E And Oc43. American Society for Microbiology, sf: 800-806. doi: 10.1128/jvi.71.1.800-806.1997. | Arşiv Bağlantısı
- A. A. Ordonez, et al. (2022). Sulforaphane Exhibits Antiviral Activity Against Pandemic Sars-Cov-2 And Seasonal Hcov-Oc43 Coronaviruses In Vitro And In Mice. Communications Biology, sf: 1-11. doi: 10.1038/s42003-022-03189-z. | Arşiv Bağlantısı
- N. Butler, et al. (2006). Murine Encephalitis Caused By Hcov-Oc43, A Human Coronavirus With Broad Species Specificity, Is Partly Immune-Mediated. Virology, sf: 410-421. doi: 10.1016/j.virol.2005.11.044. | Arşiv Bağlantısı
- L. Ren, et al. (2015). Genetic Drift Of Human Coronavirus Oc43 Spike Gene During Adaptive Evolution. Scientific Reports, sf: 1-8. doi: 10.1038/srep11451. | Arşiv Bağlantısı
- N. Kin, et al. (2015). Genomic Analysis Of 15 Human Coronaviruses Oc43 (Hcov-Oc43S) Circulating In France From 2001 To 2013 Reveals A High Intra-Specific Diversity With New Recombinant Genotypes. Viruses, sf: 2358-2377. doi: 10.3390/v7052358. | Arşiv Bağlantısı
- J. Lee, et al. (2014). Characterization Of Human Coronavirus Oc43 And Human Coronavirus Nl63 Infections Among Hospitalized Children. The Pediatric Infectious Disease Journal, sf: 814-820. doi: 10.1097/INF.0000000000000292. | Arşiv Bağlantısı
- L. V. Patrono, et al. (2018). Human Coronavirus Oc43 Outbreak In Wild Chimpanzees, Côte D´ivoire, 2016. Informa UK Limited, sf: 1-4. doi: 10.1038/s41426-018-0121-2. | Arşiv Bağlantısı
- N. K. Valian, et al. (2022). Evaluation Of Human Coronavirus Oc43 And Sars‐Cov‐2 In Children With Respiratory Tract Infection During The Covid‐19 Pandemic. Journal of Medical Virology, sf: 1450. doi: 10.1002/jmv.27460. | Arşiv Bağlantısı
- S. L. Rucinski, et al. (2020). Seasonality Of Coronavirus 229E, Hku1, Nl63, And Oc43 From 2014 To 2020. Mayo Clinic Proceedings, sf: 1701. doi: 10.1016/j.mayocp.2020.05.032. | Arşiv Bağlantısı
- C. J. BIRCH, et al. (2005). Human Coronavirus Oc43 Causes Influenza-Like Illness In Residents And Staff Of Aged-Care Facilities In Melbourne, Australia. Epidemiology & Infection, sf: 273-277. doi: 10.1017/S0950268804003346. | Arşiv Bağlantısı
- J. A. Edwards, et al. (2000). Activation Of Glial Cells By Human Coronavirus Oc43 Infection. Journal of Neuroimmunology, sf: 73. doi: 10.1016/S0165-5728(00)00266-6. | Arşiv Bağlantısı
- P. S. Masters. (2006). The Molecular Biology Of Coronaviruses. Advances in Virus Research, sf: 193. doi: 10.1016/S0065-3527(06)66005-3. | Arşiv Bağlantısı
- F. Li. (2016). Structure, Function, And Evolution Of Coronavirus Spike Proteins. Annual review of virology, sf: 237. doi: 10.1146/annurev-virology-110615-042301. | Arşiv Bağlantısı
- D. Forni, et al. (2017). Molecular Evolution Of Human Coronavirus Genomes. Trends in Microbiology, sf: 35. doi: 10.1016/j.tim.2016.09.001. | Arşiv Bağlantısı
- P. C. Y. Woo, et al. (2010). Coronavirus Genomics And Bioinformatics Analysis. Viruses, sf: 1804. doi: 10.3390/v2081803. | Arşiv Bağlantısı
- H. J. Maier, et al. Coronaviruses: Methods And Protocols. ISBN: 9781493924370.
- M. A. Tortorici, et al. (2019). Structural Basis For Human Coronavirus Attachment To Sialic Acid Receptors. Nature Structural & Molecular Biology, sf: 481-489. doi: 10.1038/s41594-019-0233-y. | Arşiv Bağlantısı
- H. Hsu, et al. (2021). Remdesivir And Cyclosporine Synergistically Inhibit The Human Coronaviruses Oc43 And Sars-Cov-2. Frontiers in Pharmacology. doi: 10.3389/fphar.2021.706901. | Arşiv Bağlantısı
- Y. Wang, et al. (2021). Viral Polymerase Binding And Broad-Spectrum Antiviral Activity Of Molnupiravir Against Human Seasonal Coronaviruses. Virology, sf: 33-38. doi: 10.1016/j.virol.2021.09.009. | Arşiv Bağlantısı
- Y. Lang, et al. (2020). Coronavirus Hemagglutinin-Esterase And Spike Proteins Coevolve For Functional Balance And Optimal Virion Avidity. Proceedings of the National Academy of Sciences, sf: 25759-25770. doi: 10.1073/pnas.2006299117. | Arşiv Bağlantısı
- M. Desforges, et al. (2013). The Acetyl-Esterase Activity Of The Hemagglutinin-Esterase Protein Of Human Coronavirus Oc43 Strongly Enhances The Production Of Infectious Virus. Journal of Virology, sf: 3097. doi: 10.1128/JVI.02699-12. | Arşiv Bağlantısı
- X. Yan, et al. (2022). Association Between Human Coronaviruses’ Epidemic And Environmental Factors On A Global Scale. Environmental Science and Pollution Research, sf: 14333-14347. doi: 10.1007/s11356-021-16500-y. | Arşiv Bağlantısı
- M. I. Kim, et al. (2023). Human Coronavirus Oc43 As A Low-Risk Model To Study Covid-19. Viruses, sf: 578. doi: 10.3390/v15020578. | Arşiv Bağlantısı
Evrim Ağacı'na her ay sadece 1 kahve ısmarlayarak destek olmak ister misiniz?
Şu iki siteden birini kullanarak şimdi destek olabilirsiniz:
kreosus.com/evrimagaci | patreon.com/evrimagaci
Çıktı Bilgisi: Bu sayfa, Evrim Ağacı yazdırma aracı kullanılarak 31/10/2025 07:55:57 tarihinde oluşturulmuştur. Evrim Ağacı'ndaki içeriklerin tamamı, birden fazla editör tarafından, durmaksızın elden geçirilmekte, güncellenmekte ve geliştirilmektedir. Dolayısıyla bu çıktının alındığı tarihten sonra yapılan güncellemeleri görmek ve bu içeriğin en güncel halini okumak için lütfen şu adrese gidiniz: https://evrimagaci.org/s/14680
İçerik Kullanım İzinleri: Evrim Ağacı'ndaki yazılı içerikler orijinallerine hiçbir şekilde dokunulmadığı müddetçe izin alınmaksızın paylaşılabilir, kopyalanabilir, yapıştırılabilir, çoğaltılabilir, basılabilir, dağıtılabilir, yayılabilir, alıntılanabilir. Ancak bu içeriklerin hiçbiri izin alınmaksızın değiştirilemez ve değiştirilmiş halleri Evrim Ağacı'na aitmiş gibi sunulamaz. Benzer şekilde, içeriklerin hiçbiri, söz konusu içeriğin açıkça belirtilmiş yazarlarından ve Evrim Ağacı'ndan başkasına aitmiş gibi sunulamaz. Bu sayfa izin alınmaksızın düzenlenemez, Evrim Ağacı logosu, yazar/editör bilgileri ve içeriğin diğer kısımları izin alınmaksızın değiştirilemez veya kaldırılamaz.
 
             
             
       
           
                 
                   
                   
                   
                   
                   
                   
                   
                   
                   
                   
                   
                  