Zatürre (Akciğer Yangısı, Pnömoni)

- Hastalık Kataloğu
- Mikrobiyoloji
- Tıp
Bu içerik tıp ve sağlık ile ilişkilidir. Sadece bilgi amaçlı olarak hazırlanmıştır. Bireysel bir tıbbi tavsiye olarak görülmemelidir. Evrim Ağacı'ndaki hiçbir içerik; profesyonel bir hekim tarafından verilen tıbbi tavsiyelerin, konulan bir teşhisin veya önerilen bir tedavinin yerini alacak biçimde kullanılmamalıdır.
- Türkçe Adı Zatürre (Akciğer Yangısı, Pnömoni)
- İngilizce Adı Pneumonia
- OrphaNet
- Diğer İsimleri Akciğer Yangısı, Pnömoni
Bu Makalede Neler Öğreneceksiniz?
- Define pneumonia as inflammation of alveoli caused by viruses, bacteria, fungi, parasites, or autoimmune responses, affecting lungs' air sacs.
- Identify Streptococcus pneumoniae as the leading cause of community-acquired pneumonia, responsible for about 50% of cases, especially in children.
- Categorize pneumonia by pathogen type and acquisition site, noting hospital-acquired pneumonia as the deadliest form.
Genel Bilgiler: Patoloji ve Mekanizma
Zatürre, alveoller adı verilen akciğer keseciklerini etkileyen bir iltihaplanmadır. Bu bakımdan, akciğer iltihabının ("pnömotit" hastalığının) bir versiyonu olduğu söylenebilir.
Zatürre, hastalık virüsler, bakteriler ve hatta nadiren de olsa mantarlar gibi diğer mikroorganizmalar, parazitler ve kişinin kendi savunma sistemi tarafından (otoimmün bir hastalık olarak) tetiklenebilir. Çocuklardaki zatürre vakalarının %30 civarı, yetişkinlerdeki zatürre vakalarınınsa %15 civarı viral kaynaklıdır. Dahası, çocuklarda görülen zatürrenin %45'i, yetişkinlerde görülen zatürrenin %15'inde hem virüs hem bakteri kaynaklarına rastlanmıştır.
Hastalığı patojenik kaynağa bağlı olarak kategorize etmek mümkün olsa da kimi zaman hastalığın edinildiği yere göre (toplum-kökenli zatürre, hastanede edinilmiş zatürre, sağlık hizmetleriyle ilişkili zatürre gibi) kategorizasyon da kullanılabilmektedir. Örneğin hastanede edinilmiş zatürre, hastanede edinebileceğiniz, öldürücülüğü en yüksek olan hastalıktır.

Bugüne kadar zatürreye sebep olan 100'den fazla kaynak tespit edilmişse de, en yaygın kaynakları şunlardır:
- Streptococcus pneumoniae: Hastalığa ismini de veren bu bakteri, çocuklar arasında en yaygın görülen zatürreye sebep olmaktadır. Toplum kökenli zatürrenin %50 civarı Streptococcus pneumoniae kaynaklıdır.
- Haemophilus influenzae tip b (Hib): Bakteriyel zatürrenin en yaygın ikinci nedeni (tüm vakaların yaklaşık %20'si) bu bakteridir.
- Respiratuar sinsityal virüs: Viral zatürrenin en yaygın sebebidir.
- Pneumocystis jiroveci, HIV isimli insan bağışıklık yetmezliği virüsünün bulunduğu bebeklerde en yaygın zatürre sebebidir. HIV-pozitif bebeklerin %25'inin ölümünden tek başına sorumludur.
- Bunlar haricinde Chlamydophila pneumoniae (tüm vakaların %13'ü), Mycoplasma pneumoniae (tüm vakaların %3'ü), Legionella pneumophila, Klebsiella, Staphylococcus aureus, Moraxella catarrhalis ve gram-negatif basiller gibi bakteriler de zatürreye neden olabilir.
- Ayrıca nezleye de sebep olan rhinovirüsler, COVID-19 gibi hastalıklara neden olan koronavirüsler, gribe neden olan influenza virüsleri, adenovirüsler ve parainfluenza gibi virüsler de zatürreye neden olabilir.

Zatürreye sebep olan bakteri ve virüsler yaygın olarak burun ve boğaz mukozasında bulunurlar. Ancak buralarda bulunan diğer bakteriler, zatürre patojenleri ile besin rekabetine girerek onların hayatta kalmasına pek izin vermezler. Fakat mikrobiyal dengenin bozulması veya savunma sisteminin zayıflamasına bağlı olarak zatürreye sebep olan patojenlerin boğaz ve burun mukozasındaki sayısı artış gösterebilir. Bu patojenlerin nefes yoluyla içe çekilmesi halinde akciğerler enfekte olabilir ve zatürre tetiklenebilir.
Benzer şekilde, bir diğer zatürre hastasının öksürmesi ve hapşırması yoluyla da hastalık bir kişiden bir diğerine bulaşabilir. Ek olarak zatürre, kan yoluyla da bulaşabilmektedir. Özellikle de doğum sırasında veya doğumdan hemen sonra zatürre bulaşımı oldukça yaygındır.
Zatürre, genellikle üst solunum yollarında başladıktan sonra kademeli olarak alt solunum yollarına iner. Akciğerlere ulaşan bakteriler, hücreler ve alveoller arasındaki boşluklarda çoğalmaya başlar. Burada savunma sistemine ait makrofajlar ve nötrofiller, bu yabancı bakterileri yok etmeye çalışır. Nötrofiller tarafından salgılanan sitokinler, genel savunma sistemi tepkisini tetikler.
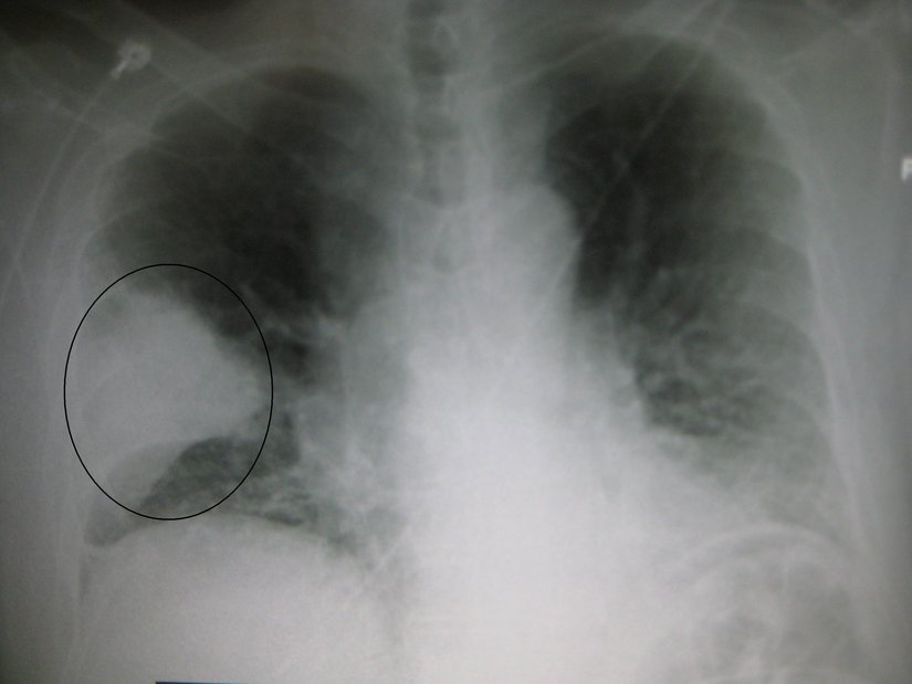
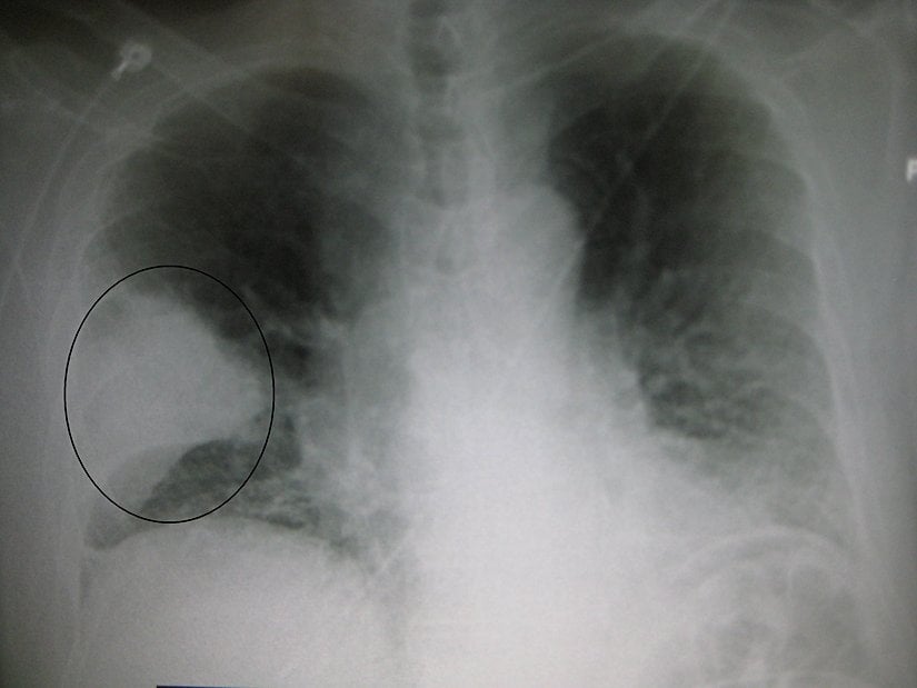
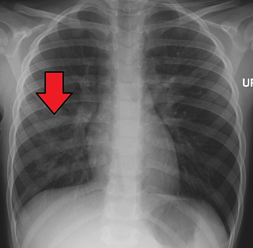
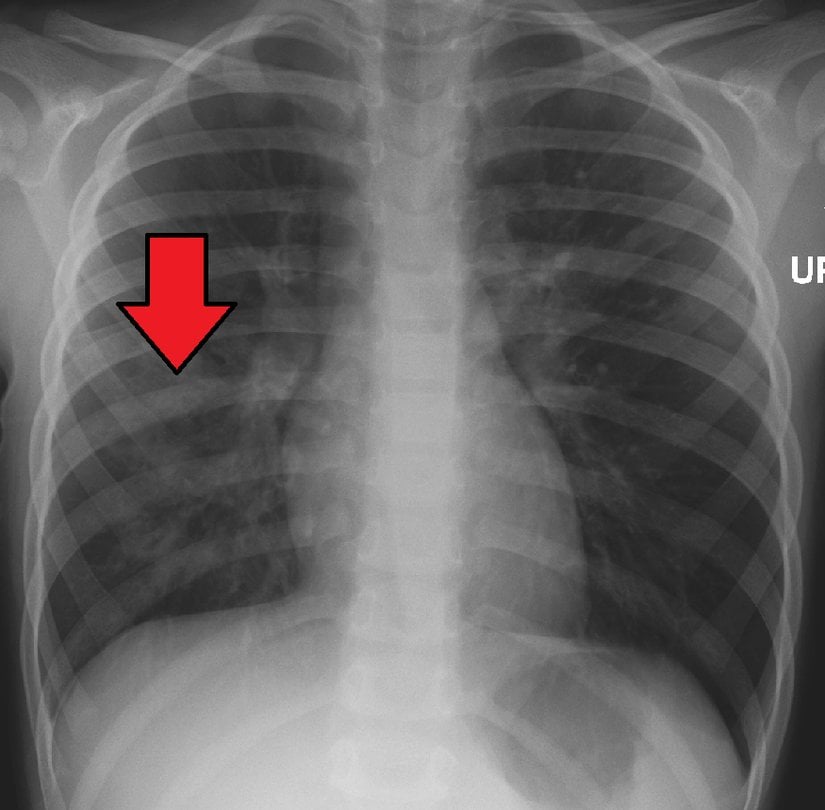
Buna bağlı olarak ateş çıkar, soğuk titremeler yaşanır ve bakteriyel zatürrede yaygın olarak görülen bitkinlik oluşur. Bakteriler, nötrofiller ve civardaki kan damarlarından sızan sıvılar, zatürreye ait tipik göğüs X-ışını taraması fotoğraflarındaki bulutlu görünüme neden olur:
- Eğer Bakteriler Ölümsüz Olsaydı, 40 Saat İçinde Boğazımıza Kadar Bakteriye Gömülürdük!
- Canlılık Tarihinin En Büyük Yok Oluşunun Suçlusu Metan-Üretici Arke Bakteriler Olabilir!
- ATP Sentezi ile Bakteri Kamçısının Rotor Mekanizmaları Arasındaki Benzerlik: Alakasız İki Mekanizma, Ortak Bir Kökene Sahip Olabilir mi?

Virüsler de benzer şekilde, kontamine olmuş cisimlere dokunma ve sonrasında ağız, burun ve gözlere dokunma yoluyla vücuda giriş yapar. Zatürre virüsleri ayrıca hapşırık ve öksürük sırasında oluşan damlacıklar yoluyla da insandan insana geçiş yapabilmektedir. Üst solunum yollarına ulaşan virüs, kısa sürede akciğerlere inerek buradaki keseleri ve akciğer parankimasını işgal etmeye başlar. Bazı virüsler kan yoluyla da akciğerlere ulaşabilir.
Bu viral enfeksiyon nedeniyle akciğer dokusu yavaş yavaş ölmeye başlar. Savunma sisteminin tepkisi, virüsü öldürmek yerine daha fazla akciğer hasarına neden olabilir. Ayrıca viral zatürreye sebep olan virüsler, akciğer-harici organlara da sıçrayarak buralarda da tahribata neden olabilirler.
Belirti ve Semptomlar
Zatürre, tek akciğerde veya her iki akciğerde de görülebilir. Dahası, zatürre olup da bunun farkına varmamanız da mümkündür (buna kimi zaman "ayakta zatürre" denir). Zatürrenin en yaygın belirtileri arasında genel olarak şunlar bulunur:
Evrim Ağacı'nın çalışmalarına Kreosus, Patreon veya YouTube üzerinden maddi destekte bulunarak hem Türkiye'de bilim anlatıcılığının gelişmesine katkı sağlayabilirsiniz, hem de site ve uygulamamızı reklamsız olarak deneyimleyebilirsiniz. Reklamsız deneyim, sitemizin/uygulamamızın çeşitli kısımlarda gösterilen Google reklamlarını ve destek çağrılarını görmediğiniz, %100 reklamsız ve çok daha temiz bir site deneyimi sunmaktadır.
KreosusKreosus'ta her 50₺'lik destek, 1 aylık reklamsız deneyime karşılık geliyor. Bu sayede, tek seferlik destekçilerimiz de, aylık destekçilerimiz de toplam destekleriyle doğru orantılı bir süre boyunca reklamsız deneyim elde edebiliyorlar.
Kreosus destekçilerimizin reklamsız deneyimi, destek olmaya başladıkları anda devreye girmektedir ve ek bir işleme gerek yoktur.
PatreonPatreon destekçilerimiz, destek miktarından bağımsız olarak, Evrim Ağacı'na destek oldukları süre boyunca reklamsız deneyime erişmeyi sürdürebiliyorlar.
Patreon destekçilerimizin Patreon ile ilişkili e-posta hesapları, Evrim Ağacı'ndaki üyelik e-postaları ile birebir aynı olmalıdır. Patreon destekçilerimizin reklamsız deneyiminin devreye girmesi 24 saat alabilmektedir.
YouTubeYouTube destekçilerimizin hepsi otomatik olarak reklamsız deneyime şimdilik erişemiyorlar ve şu anda, YouTube üzerinden her destek seviyesine reklamsız deneyim ayrıcalığını sunamamaktayız. YouTube Destek Sistemi üzerinde sunulan farklı seviyelerin açıklamalarını okuyarak, hangi ayrıcalıklara erişebileceğinizi öğrenebilirsiniz.
Eğer seçtiğiniz seviye reklamsız deneyim ayrıcalığı sunuyorsa, destek olduktan sonra YouTube tarafından gösterilecek olan bağlantıdaki formu doldurarak reklamsız deneyime erişebilirsiniz. YouTube destekçilerimizin reklamsız deneyiminin devreye girmesi, formu doldurduktan sonra 24-72 saat alabilmektedir.
Diğer PlatformlarBu 3 platform haricinde destek olan destekçilerimize ne yazık ki reklamsız deneyim ayrıcalığını sunamamaktayız. Destekleriniz sayesinde sistemlerimizi geliştirmeyi sürdürüyoruz ve umuyoruz bu ayrıcalıkları zamanla genişletebileceğiz.
Giriş yapmayı unutmayın!Reklamsız deneyim için, maddi desteğiniz ile ilişkilendirilmiş olan Evrim Ağacı hesabınıza üye girişi yapmanız gerekmektedir. Giriş yapmadığınız takdirde reklamları görmeye devam edeceksinizdir.
- Kuru öksürük (ve öksürükle birlikte yeşilimsi, sarı ve hatta kanlı mukus atımı),
- Derin nefes sırasında saplanma hissine sebep olan göğüs ağrısı,
- Ateş, terleme, titreme,
- Nefes darlığı (kısa ve kesintili nefesler),
- İştah noksanlığı, enerji düşüklüğü, bitkinlik,
- Özellikle yaşlı insanlarda kafa karışıklığı
- Özellikle çocuklarda mide bulantısı ve kusma.
Hastalık genellikle giderek artan bir öksürük ve ateş ile başlar. Ne yazık ki sadece ateşe bağlı olarak tespit etmek mümkün değildir; çünkü ateş birçok diğer hastalıkta da görülür ve hatta ileri düzey zatürrede, besin yetersizliğinde veya yaşlı insanlarda ateş hiç görülmeyebilir. Ancak ateş, zatürrede 40.5 civarına çıkabilir.
Zatürrenin gelişimi boyunca hasta soğuk titremeler, nefes darlığı, derin nefes alırken göğüste keskin bir ağrı ve nefes ritminin artışı gibi belirtiler gösterir. Yaşlı insanlarda kafa karışıklığı da görülmektedir. Ayrıca kandaki oksijen oranlarının düşmesine bağlı olarak dudaklar ve tırnak kökleri mavimsi bir renk alabilir.

5 yaşın altındaki çocuklarda da ateş, öksürük, hızlı veya zorlu nefes alma ile kendini gösterir. Bu yaştaki çocuklarda eğer hızlı (dakikada 40 nefesten hızlı) nefes alışverişi görülüyorsa veya alt göğüs nefes alma sırasında geri çekiliyorsa zatürre teşhisi ateş olmaksızın da konabilir. 2 aylıktan küçük bebeklerde öksürük görülmez; bunun yerine dakikada 60 nefesten sık nefes alışverişi görülür.
Bakteriyel ve viral zatürrenin belirtileri çok benzer olsa da, viral zatürrede daha çok sayıda semptom bir arada görülebilir. Ayrıca viral zatürrede hırıltılı solunum daha yaygın olarak görülmektedir.
Tüm bunlara ek olarak:
- Streptococcus pneumoniae kaynaklı zatürrede sputum (alt solunum yollarından gelen mukus, "balgam") paslı bir renkte oluşur.
- Legionella kaynaklı zatürrede karın ağrısı, ishal ve kafa karışıklığı görülebilir.
- Klebsiella kaynaklı zatürrede, hemoptizi adı verilen kanlı sputum görülebilir. Ancak bu belirtiye verem (tüberküloz), gram-negatif zatürre, akciğer apseleri ve akut bronşitte de rastlanabildiği hatırlanmalıdır.

Hastalıkla İlişkili Genler, Etken Faktörler ve Risk Faktörleri
Sağlıklı insanlar ve çocuklar, zatürreye sebep olan patojenlerle normal bir şekilde savaşabilirler. Buna rağmen her yaştan insan zatürreye yakalanabilir. Ancak zatürreye yakalanma riski en yüksek olan gruplar şunlardır:
- Kistik fibroz hastaları,
- Kronik obstrüktif akciğer hastalığı (KOAH) hastaları,
- Astım hastaları,
- Diyabet hastaları,
- Kalp yetmezliği hastaları,
- Alkolikler,
- Kronik böbrek yetmezliği hastaları,
- Karaciğer hastaları,
- Sigara içenler veya geçmişinde sigara tüketimi bulunanlar,
- İnme gibi nedenlerle öksürme zorluğu çekenler,
- Savunma sistemi zayıf olanlar.
- Çok yaşlı ve çok genç insanlar,
- Emzirilmemiş bebeklerde de zatürre riskinin yüksek olduğu bilinmektedir.
Ayrıca FER isimli bir gen, zatürre ile birlikte görülebilen doku ölümü (sepsis) sonucu ölme riskini düşüren bir etkiye sahiptir. Öte yandan TLR6 genine sahip kişilerde atipik bir zatürre türü olan Lejyoner Hastalığı'na yakalanma ihtimali daha yüksektir.
Hastalıkla ilişkili çevresel risk faktörleri ise şöyle sıralanabilir:
- Odun veya dışkı gibi biyoyakıtlarla iç mekanlarda yemek pişirme veya oda ısıtması,
- Aşırı kalabalık evlerde yaşamak,
- Ebeveynlerin sigara tüketmesi,
- Fakirlik/yoksulluk,
- Besin yetmezliği,
- Hava kirliliği.
Bunlara ek olarak, söz konusu patojen kaynaklarının evrimleşme yoluyla antibiyotik direncinin kazanması da kritik bir risk faktörü oluşturmaktadır. Özellikle de İlaç Dirençli Streptococcus pneumoniae (DRSP) ve Metisilin Dirençli Staphylococcus aureus (MRSA) giderek artan bir problem haline gelmektedir.
Teşhis Yöntemleri
Zatürreyi teşhis etmek için tipik olarak fiziksel muayene yapılır; ancak sadece muayene yoluyla teşhis koymak oldukça zordur çünkü (özellikle de erken dönem) belirtileri gribe oldukça benzer ve çok çeşitli semptomlar görülebilir. Stetoskop yoluyla akciğer dinlemesi yapılır ve zatürrede sıklıkla görülen hırlama, patlama ve gürleme sesleri dinlenir.
İlk muayeneden sonra hekimin şüphe etmesi halinde göğüs X-rayi, kan testi ve sputum örneği test edilerek teşhis kesinleştirilir. Gerekli görülmesi halinde nabız oksimetrisi ile kandaki oksijen seviyeleri de kontrol edilir. Çocuklarda, yukarıda sözünü ettiğimiz nefes sıklaşmasına dikkat edilmelidir. Stetoskop yoluyla yapılan dinlemelerde hırıltılar duyulabilir.

Risk grubunda olmanız halinde hekiminiz bilgisayarlı tomografi (CT) yoluyla, zatürre kaynaklı olarak gelişebilen apse ve diğer komplikasyonlara bakmak isteyebilir. Ayrıca damar yoluyla kan gazı testi ile daha isabetli bir şekilde kan oranlarınızı ölçmek isteyebilir; çünkü bu yöntem, nabız oksimetisinden daha net sonuçlar vermektedir.
Ayrıca bazı durumlarda akciğerinizin etrafındaki dokulardan plöral doku örneği alınarak zatürreye sebep olan patojenin tespit edilmesi gerekebilir. Son olarak, bronkoskopi yöntemiyle akciğerleriniz incelenebilir ve herhangi bir tıkanma olup olmadığına bakılabilir.

Tedaviler veya İdare Yöntemleri
Zatürre, tipine ve patojene bağlı olarak tedavi edilen bir hastalıktır. Eğer bakteri kaynaklı bir zatürre yaşanıyorsa, amoksisilin tabletler gibi oral (ağız yoluyla alınan) antibiyotik tedavisi uygulanabilir. Eğer oksijen seviyeleri tehlikeli derecede düşükse, hastanın hastaneye kaldırılarak oksijen takviyesi alması sağlanabilir.
Özellikle de 19. yüzyılda milyonlarca insanı öldüren bu hastalık, 20. yüzyılda geliştirilen antibiyotikler ve aşılar sayesinde çok daha kolay atlatılabilmekte ve önlenebilmektedir. Buna rağmen çok yaşlı veya çok genç kişiler arasında en yaygın ölüm sebeplerinden birisi halen zatürredir.
Günümüzde grip salgınları sırasında zatürreyi önlemek için amantadin, rimantadin, zanamivir veya oseltamivir gibi ilaçlar kullanılsa da bunların yan etkileri bulunmaktadır ve bunlar gözetilmelidir.

Eğer zatürreniz viral kaynaklı ise antibiyotikler hiçbir işe yaramayacaktır. Bunun yerine bol bol sıvı tüketmeniz, dinlenmeniz ve ateşinizi düşürecek ilaçlar almanız gerekecektir. Ayrıca hem viral hem bakteriyel zatürreye yakalanabilecek olmanız (ve viral enfeksiyonlar sırasında fırsatçı bakterileri önlemek için) hekiminiz antibiyotik yazabilir. Hekim kontrolünde olmaksızın antibiyotik almamalısınız ve kendinizi bir süre sonra iyi hissetseniz bile, hekiminizin belirttiği dozu tamamen tüketmelisiniz.
Hastaneye kaldırılma ihtiyacıyla ilgili olarak CURB-65 puan sistemi denen bir sisteme başvurulabilir. Bu sisteme göre:
- Kafa karışıklığı (Confusion): 1 puan
- Üre (Urea) > 7 mmol/litre: 1 puan
- Solunum Oranı (Respiratory rate) > 30: 1 puan
- Kan Basıncı (SBP < 90mmHg): 1 puan
- Yaş >= 65: 1 puan
Bu sistemde bir hastanın puanı 0-1 ise evde tedavi görülebilir, 2 ise kısa bir süre hastanede kalınması veya tekrar gözden geçirilmesi gerekebilir, 3-5 ise hastaneye kaldırılması tavsiye edilir.
Müddet Tahminleri (Prognoz)
Hastalığın erken dönem semptomları grip ve koronavirüs ile oldukça benzerdir: ateş, kuru öksürük, baş ağrısı, kas ağrısı ve bitkinlik. Ancak birkaç gün içinde semptomlar hızla kötüleşir; öksürük, nefes darlığı ve kas ağrıları artar. Ateş yükselir ve dudaklar mavi renge dönebilir.
Tedavi edilmesi halinde birçok zatürre tipi 3-6 gün içinde kontrol altına alınabilmektedir. Tüm semptomların ortadan kalkması ise birkaç hafta sürebilir. Çoğu zaman X-ışını görüntülerindeki bulgular 4 haftada yok olur ve hastalığın öldürücülük oranları oldukça düşüktür (%1 civarındadır). Yaşlı ve savunma sistemi zayıf kişilerde tam iyileşme 12 haftayı bulabilir.
Hastanelik olan vakalarda ölüm oranları %10 civarındadır (antibiyotikler öncesinde bu oran %30 civarındaydı); acile kaldırılan vakalarda bu oran %30-50 arasına çıkar. Ne yazık ki zatürre hastalarının %10 civarı, tekrardan zatürreye yakalanarak (veya kalp, akciğer ve nöroloji problemleri dolayısıyla) yeniden hastaneye kaldırılmaktadır.

Görülme Sıklığı ve Dağılımı (Epidemiyoloji)
Dünya çapında 450 milyon insanın (yani toplam insan nüfusunun %7'sinin) zatürreye yakalandığı ve her yıl zatürre nedeniyle 4 milyon insanın öldüğü bilinmektedir. 2008 yılında Dünya çapında 156 milyon çocuk zatürreye yakalanmıştır ve bunların 151 milyonu gelişmekte olan ülkelerdeki çocuklardır.
Gelir düzeyi düşük ülkelerdeki çocuk ölümlerinin 1 numaralı sebebi zatürredir. 2010 yılında, gelişmekte olan ülkelerdeki çocuk ölümlerinin %18'i (yaklaşık 1.3 milyon insan) zatürre nedeniyle yaşanmıştır. Hastalığın en yaygın olarak görüldüğü ülkeler Hindistan (43 milyon hasta), Çin (21 milyon hasta) ve Pakistan'dır (10 milyon hasta).

Önlem Yöntemleri
Belirli zatürre türlerini önlemenin en etkili yollarından birisi aşılanmadır. Özellikle de Haemophilus influenzae ve Streptococcus pneumoniae kaynaklı zatürrelere karşı aşılanma büyük etkiye sahiptir. Hatta çocuklara bu aşının yapılması, yetişkinlerdeki vaka oranlarını da azaltmaktadır; çünkü yetişkinler çoğu zaman hastalığı çocuklardan kapmaktadır.
Zatürre aşısının yanı sıra, grip aşısı da zatürreye karşı koruma sağlayabilmektedir. Bu nedenle 6 aylık ve üzerindeki çocukların düzenli grip aşısı olması önem taşımaktadır. Ayrıca elleri düzenli olarak yıkamak ve sigaradan tamamen uzak durmak da son derece etkilidir.
Yapılan araştırmalar, zatürre önlem yöntemlerinin küresel olarak uygulanması ve evrensel olarak sağlık hizmetlerinin sağlanabilmesi halinde her yıl toplamda 1 milyon çocuğun hayatının kurtarılabileceğini göstermektedir.

Etimoloji
Zatürre sözcüğü Arapçadaki "ḏātu'r-riˀa(t)" (ذات الرئة), yani "akciğer iltihabı" kalıbından gelmektedir. Kimi zaman genel olarak "akciğer iltihabı" anlamında zatürre (İng: "pneumonia") kelimesi kullanılsa da, akciğer iltihabı veya pnömonitis (İng: "pneumonitis"), zatürreden ayrı bir olgu olarak görülmelidir.
Hastalığın İngilizce ve Latince adı olan "pneumonia" ise Antik Yunanda (ve sonrasında Latincede) "akciğer" anlamındaki "pneumōn" sözcüğünden gelmektedir.
Diğer Başlıklar
Zatürre dünya çapında birçok kültürde ilginç şekillerde isimlendirilmiştir. Örneğin Kanadalı patolog (hastalık bilimci) William Osler, 19. yüzyılda bu hastalığı "ölüm erlerinin kaptanı" olarak nitelemiştir. Benzer şekilde, ölüme yakın kişiler genellikle zatürreye yakalanarak nefes darlığı sebebiyle daha hızlı ölürler ve bu nedenle zatürreye kimi zaman "yaşlı adamın dostu" denmektedir.
Evrim Ağacı'nda tek bir hedefimiz var: Bilimsel gerçekleri en doğru, tarafsız ve kolay anlaşılır şekilde Türkiye'ye ulaştırmak. Ancak tahmin edebileceğiniz gibi Türkiye'de bilim anlatmak hiç kolay bir iş değil; hele ki bir yandan ekonomik bir hayatta kalma mücadelesi verirken...
O nedenle sizin desteklerinize ihtiyacımız var. Eğer yazılarımızı okuyanların %1'i bize bütçesinin elverdiği kadar destek olmayı seçseydi, bir daha tek bir reklam göstermeden Evrim Ağacı'nın bütün bilim iletişimi faaliyetlerini sürdürebilirdik. Bir düşünün: sadece %1'i...
O %1'i inşa etmemize yardım eder misiniz? Evrim Ağacı Premium üyesi olarak, ekibimizin size ve Türkiye'ye bilimi daha etkili ve profesyonel bir şekilde ulaştırmamızı mümkün kılmış olacaksınız. Ayrıca size olan minnetimizin bir ifadesi olarak, çok sayıda ayrıcalığa erişim sağlayacaksınız.
Makalelerimizin bilimsel gerçekleri doğru bir şekilde yansıtması için en üst düzey çabayı gösteriyoruz. Gözünüze doğru gelmeyen bir şey varsa, mümkünse güvenilir kaynaklarınızla birlikte bize ulaşın!
Bu makalemizle ilgili merak ettiğin bir şey mi var? Buraya tıklayarak sorabilirsin.
Soru & Cevap Platformuna Git- 14
- 5
- 4
- 4
- 3
- 2
- 2
- 1
- 0
- 0
- 0
- 0
- R. M. Leach, et al. (2010). Acute And Critical Care Medicine At A Glance. ISBN: 9781444327229. Yayınevi: John Wiley & Sons.
- C. Turkington. (2007). The Encyclopedia Of Infectious Diseases. ISBN: 9780816075072. Yayınevi: Infobase Publishing.
- J. C. Pommerville. (2010). Alcamo's Fundamentals Of Microbiology. ISBN: 9780763762582. Yayınevi: Jones & Bartlett Learning.
- NIH. Pneumonia. (16 Mart 2020). Alındığı Tarih: 16 Mart 2020. Alındığı Yer: NIH | Arşiv Bağlantısı
- O. Ruuskanen, et al. (2011). Viral Pneumonia. The Lancet. | Arşiv Bağlantısı
- R. Lodha. (2013). Antibiotics For Community‐Acquired Pneumonia In Children. Cochrane Database of Systematic Reviews. | Arşiv Bağlantısı
- Z. Hoare, et al. (2006). Pneumonia: Update On Diagnosis And Management. The British Medical Journal, sf: 332. | Arşiv Bağlantısı
- World Health Organization. Pneumonia. (2 Ağustos 2019). Alındığı Tarih: 16 Mart 2020. Alındığı Yer: World Health Organization | Arşiv Bağlantısı
- A. Örtqvist, et al. (2005). Streptococcus Pneumoniae: Epidemiology, Risk Factors, And Clinical Features. Seminars in Respiratory and Critical Care Medicine, sf: 563-574. | Arşiv Bağlantısı
- G. B. Nair, et al. (2011). Community-Acquired Pneumonia: An Unfinished Battle. Medical Clinics of North America, sf: 1143-1161. | Arşiv Bağlantısı
- T. K. P. Nguyen, et al. (2017). Risk Factors For Child Pneumonia - Focus On The Western Pacific Region. Paediatric Respiratory Reviews, sf: 95-101. | Arşiv Bağlantısı
- E. Prina, et al. (2015). Community-Acquired Pneumonia. The Lancet, sf: 1097-1108. | Arşiv Bağlantısı
- S. Sharma, et al. (2007). Radiological Imaging In Pneumonia: Recent Innovations. Current Opinion in Pulmonary Medicine, sf: 159-169. | Arşiv Bağlantısı
- S. Anevlavis, et al. (2010). Community Acquired Bacterial Pneumonia. Expert Opinion on Pharmacotherapy, sf: 361-374. | Arşiv Bağlantısı
- M. Ezzati. (2004). Comparative Quantification Of Health Risks: Sexual And Reproductive Health. ISBN: 9789241580311. Yayınevi: World Health Organization.
- I. Rudan, et al. (2008). Epidemiology And Etiology Of Childhood Pneumonia. Bulletin of the World Health Organization, sf: 408-416. | Arşiv Bağlantısı
- T. Jefferson, et al. (2006). Amantadine And Rimantadine For Influenza A In Adults. Cochrane Database of Systematic Reviews. | Arşiv Bağlantısı
- T. Jefferson, et al. (2014). Neuraminidase Inhibitors For Preventing And Treating Influenza In Adults And Children. Cochrane Database of Systematic Reviews. | Arşiv Bağlantısı
- American Lung Association. Pneumonia Symptoms And Diagnosis. (16 Mart 2020). Alındığı Tarih: 16 Mart 2020. Alındığı Yer: American Lung Association | Arşiv Bağlantısı
- M. Khatri. Pneumonia. (28 Eylül 2019). Alındığı Tarih: 16 Mart 2020. Alındığı Yer: WebMD | Arşiv Bağlantısı
- Mayo Clinic. Pneumonia. (13 Mart 2018). Alındığı Tarih: 16 Mart 2020. Alındığı Yer: Mayo Clinic | Arşiv Bağlantısı
Evrim Ağacı'na her ay sadece 1 kahve ısmarlayarak destek olmak ister misiniz?
Şu iki siteden birini kullanarak şimdi destek olabilirsiniz:
kreosus.com/evrimagaci | patreon.com/evrimagaci
Çıktı Bilgisi: Bu sayfa, Evrim Ağacı yazdırma aracı kullanılarak 06/10/2025 17:30:39 tarihinde oluşturulmuştur. Evrim Ağacı'ndaki içeriklerin tamamı, birden fazla editör tarafından, durmaksızın elden geçirilmekte, güncellenmekte ve geliştirilmektedir. Dolayısıyla bu çıktının alındığı tarihten sonra yapılan güncellemeleri görmek ve bu içeriğin en güncel halini okumak için lütfen şu adrese gidiniz: https://evrimagaci.org/s/8343
İçerik Kullanım İzinleri: Evrim Ağacı'ndaki yazılı içerikler orijinallerine hiçbir şekilde dokunulmadığı müddetçe izin alınmaksızın paylaşılabilir, kopyalanabilir, yapıştırılabilir, çoğaltılabilir, basılabilir, dağıtılabilir, yayılabilir, alıntılanabilir. Ancak bu içeriklerin hiçbiri izin alınmaksızın değiştirilemez ve değiştirilmiş halleri Evrim Ağacı'na aitmiş gibi sunulamaz. Benzer şekilde, içeriklerin hiçbiri, söz konusu içeriğin açıkça belirtilmiş yazarlarından ve Evrim Ağacı'ndan başkasına aitmiş gibi sunulamaz. Bu sayfa izin alınmaksızın düzenlenemez, Evrim Ağacı logosu, yazar/editör bilgileri ve içeriğin diğer kısımları izin alınmaksızın değiştirilemez veya kaldırılamaz.