Orta Doğu Solunum Sendromu (MERS-CoV)

- Hastalık Kataloğu
- Epidemiyoloji
- Viroloji
Bu içerik tıp ve sağlık ile ilişkilidir. Sadece bilgi amaçlı olarak hazırlanmıştır. Bireysel bir tıbbi tavsiye olarak görülmemelidir. Evrim Ağacı'ndaki hiçbir içerik; profesyonel bir hekim tarafından verilen tıbbi tavsiyelerin, konulan bir teşhisin veya önerilen bir tedavinin yerini alacak biçimde kullanılmamalıdır.
- Türkçe Adı Orta Doğu Solunum Sendromu (MERS-CoV)
- İngilizce Adı Middle East Respiratory Syndrome (MERS-CoV)
- Latince Adı MERS-CoV
- OrphaNet
Bu Makalede Neler Öğreneceksiniz?
- Identify MERS-CoV as a zoonotic Betacoronavirus causing Middle East Respiratory Syndrome, primarily transmitted from bats and camels to humans.
- Describe MERS-CoV as a positive-sense, enveloped, single-stranded RNA virus entering cells via the CD26 (DDP4) receptor, avoiding immune detection.
- Report MERS-CoV spreads mainly through respiratory droplets with low human-to-human transmission outside hospitals and unclear surface survival duration.
Genel Bilgiler: Patoloji ve Mekanizma
Salgınlar nedeniyle adını sıkça duyurmuş SARS-CoV ve SARS-CoV-2 virüslerinin bulunduğu Coronaviridae ailesinden bir başka virüs olan MERS-CoV etkenli bir enfeksiyon hastalığıdır. İngilizce ismi ile “Middle East Respiratory Syndrome (MERS)“ şeklinde bilinen, insan dışı hayvanlardan insanlara bulaşan zoonotik viral solunum yolu hastalığıdır. Taksonomik açıdan SARS-CoV gibi Betacoronavirus cinsi içerisinde bulunur. İnsan için önemli olan diğerkbazı koronavirüsler SARS-CoV, SARS-CoV-2, HCoV-229E, HCoV-NL63, HCoV-OC43 ve HCoV-HKU1'dir. Başlıca bulaştığı hayvanlar arasında insan, yarasa ve deve vardır. Türkçe ODSS (Orta Doğu Solunum Sendromu) şeklinde kısaltılır. Diğer bir adı ise "camel flu" yani deve gribidir.

Virüsün kendisi pozitif polariteli, zarflı ve tek iplikçikli RNA virüsüdür. Hayvanların birçok hücresinde bulunan ve sinyal iletiminden sorumlu CD26 (DDP4) yüzey reseptörüne tutunarak hücreye girer. Özellikle akciğerlerdeki bronşlarda ve böbreklerde yoğunlaşmış bir yüzey antijenidir. Diğer solunum yolu virüslerinden ayrılan en önemli farkı, silli olmayan bronşiyal epiteline tutunarak hücreye giriş yapmasıdır. Bu sayede kazanılmış bağışıklık yanıtından verimli bir şekilde kaçabilir ve interferon oluşumunu önemli ölçüde engelleyebilir.
Bulaş Yolları
MERS-CoV, tıpkı diğer koronavirüsler gibi enfekte bireyin sekresyonları olan damlacık yolu ile bulaştığı düşünülüyor. Fakat bu mekanizma tam olarak anlaşılamamıştır. Hastane dışında insandan insana bulaşın oldukça düşük oranda olduğu rapor edilmiştir. Yüzeylerde ne kadar süre dayanabildiği hakkında pek bilgi yoktur. Fakat diğer koronavirüsler ile benzer olduğu tahmin ediliyor. Genellikle enfekte bireyler ile yakın temasta bulunan kişilerde görülmüştür. Buna rağmen kalabalık aileler içerisinde bulaşa nadiren rastlanmıştı. Genellikle hastane içerisinde bulaş olduğu rapor edilmişti. Asemptomatik bireyler vardır; ancak bireylerin bulaşıcılığı ile ilgili rapor yoktur.
MERS-CoV'un yarasalardan köken alarak develer geçtiği düşünülüyor. Yarasaların neden insanlar için ölümcül olabilecek virüsleri taşıdığını burada işlemiştik. Salgın açısından bakıldığında, en azından bir MERS hastasının yakın zamanda deve ile temas ettiği ya da deve sütü içtiği kesin olarak biliniyordu. Öte yandan Suudi Arabistan'da ve Birleşik Arap Emirlikleri'nde büyük oranda deve eti tüketildiği de bilinen bir hadiseydi. 2013 yılında deve çiftliği bulunan iki kişide hastalık belirtileri gözlendi. Ardından develerde yapılan incelemelerde develerin kanında MERS-CoV'a rastlandı. Ancak develerin hiçbirinde herhangi bir semptom yoktu. Söz konusu bireylerin de sosyoekonomik düzeyi düşük, hijyen bakımından yetersiz ortamda yaşadıkları görüldü.

Evrimsel Tarihi ve Taksonomisi
Virüsün yarasalardan (Chiroptera) köken aldığı analiz edilmiştir. Tylonycteris cinsinden izole edilen HKU4 koronavirüsü ve Pipistrellus cinsinden izole edilen HKU5 koronavirüsü ile filogenetik olarak yakın akraba olduğu görülmüştür. Serolojik araştırmalara göre bu virüsler 20 yıldır develeri enfekte ediyordu. Ardından 1990'lı yıllarda develere sıçradığı gösterilmiştir. Develerden insanlara geçiş ise 2010 yıllarında olduğu düşünülüyor. Taksonomik açıdan hangi türden kaynaklandığı kesin olarak netleşmemiştir. Son çalışmalarda tek hörgüçlü deve (Camelus dromedarius) türünde virüs gösterilmiştir.
Evrimsel süreçte, yıllar boyunca develerde seçilim göstermesi, devenin ara konaktan ana konağa dönüşmesini sağlamıştır. Dolayısıyla yarasadan sıçrayan atasal virüs, artık değişerek farklı bir virüse türleşmiştir. Virüslerin inanılmaz üreme hızları, evrimsel açıdan değişimlerini de hızlandırıyor. Suudi Arabistan'ın Bisha şehrindeki Mısır mezar yarasası (Taphozous perforatus) türünden izole edilen koronavirüs, hasta bir insandan izole edilen β-CoV 2c EMC/2012 suşu ile %100 oranında nükleotit benzerliği gösteriyordu. Fakat bu türdeki bütün bireylerden değil sadece tek bir yarasadan izole edilebilmişti.
- Virüsler
- Tek iplikçikli ssRNA virüsler (single strand)
- Grup IV: Pozitif polariteli (+)
- Takım: Nidovirales
- Aile: Coronaviridae (Koronavirüsler)
- Alt Aile: Coronavirinae
- Cins: Betacoronavirus
- Tür: MERS-CoV
MERS-CoV'un evrimsel olarak SARS-CoV'dan ziyade Bat-CoV HKU4 ve Bat-CoV HKU5 koronavirüsleri ile yakın akraba olduğu görülmüştür. Öyle ki genomun %90'u bu türler ile benzerlik taşıyor. Hatta eskiden Uluslarası Virüs Taksonomi Komitesi (ICTV) tarafından aynı türde sınıflandırılırdı.
Not: HCoV diye yazılan türler "Human Coronavirus" anlamını taşır, Bat-CoV ise "Bat Coronavirus" kısaltmasıdır. İlki insan koronavirüsü, ikincisi ise yarasa koronavirüsü demektir. İnsan koronavirüsleri de yarasalardan bulaşmış olabilir; ancak insanlar arasındaki üreme hızlarından dolayı evrimleşerek farklı bir tür haline gelmişlerdir.
Belirti ve Bulgular
Semptomlar 15 gün içerisinde hafif veya şiddetli başlayabilir. Tipik semptomlar arasında başlıca solunum yolu semptomları vardır. Hastalığın ileriki dönemlerinde böbrek yetmezliği, DIC (dissemine intravasküler koagülasyon) ve perikardit (kalp zarı inflamasyonu) görüldüğü rapor edilmiştir.
- Ateş (>38.0°C)
- Halsizlik
- Kas ağrısı (miyalji)
- İshal
- Kuru öksürük
- Yaş öksürük (balgam)
- Nefes darlığı (dispne)
Teşhis Yöntemleri
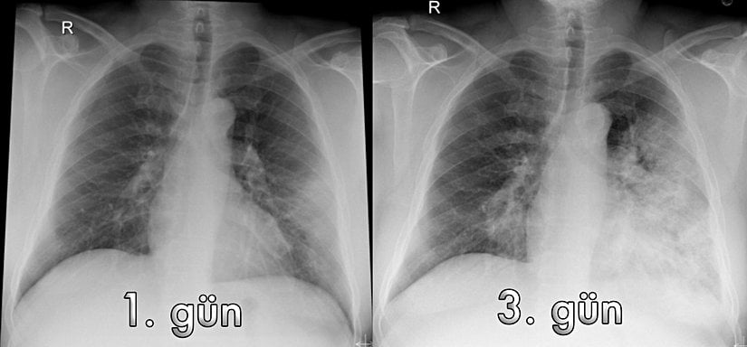
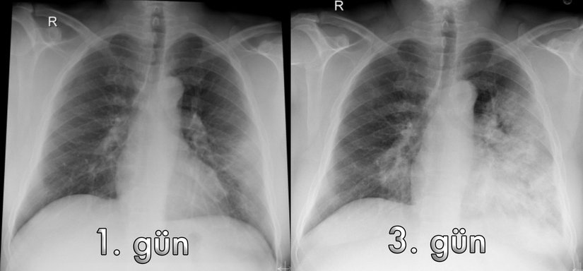
Diğer enfeksiyon ajanları gibi kan veya alt solunum yolu salgılarında (bronkoalveoler lavaj) virüsün ve özgül antikorların tespiti ile tanı konur. Bu yöntemler arasında başlıca rRT-PCR ve ELISA kullanılır. Aynı zamanda laboratuvar testleri arasında enfeksiyon belirteçleri ve akut faz reaktanları da şüphe etmekte yardımcıdır. Ancak ilginçtir ki viral enfeksiyonlarda (ve bazı kanserlerde) yükselen lenfosit sayısının MERS-CoV enfeksiyonunda düştüğü rapor edilmiştir. Ayrıca BT (Bilgisayarlı Tomografi) gibi görüntüleme yöntemleri ile akciğerdeki infiltrasyonlar gösterilerek tanı lehine yorum yapılabilir. En önemli araçlardan biri anamnez adı verilen hasta hikayesidir. Hastanın Orta Doğu'ya seyahati sırasında deve ile teması sorgulanır ve son zamanlardaki diğer seyahatleri araştırılır.

Tedaviler veya İdare Yöntemleri
Çoğu viral hastalık gibi doğrudan tedavisi olmadığından başlıca semptomatik tedavi uygulanır. Yani hastanın semptomlarını azaltmak ve hayat kalitesini yükseltmek hedeflenir. Viral kaynaklı bir sendrom olduğundan antibiyotiklerin doğrudan etkisi yoktur. Ancak sekonder olarak gelişen bakteriyel enfeksiyonlarda antibiyotikler tedavide kullanılır. Oksijen ve mekanik ventilatörler kandaki düşük oksijen satürasyonunu yükseltmek için kullanılır. Hasta kişilerin ve onları tedavi eden sağlık çalışanlarının izolasyonu sağlanır. İnterferon, antiviral veya steroid türevlerinin klinik seyri değiştirdiği yönünde kanıt yoktur. 2020 itibariyle mevcut bir aşısı yoktur; ancak aşı çalışmaları devam ediyor.
Müddet Tahminleri (Prognoz)
KOAH veya astım gibi altta yatan solunum yolu problemi yaşayan bireylerde prognoz daha kötüdür ve solunum arresti (durması) ile sonuçlanabilir. İleri dönemlerde hastayı Ekstrakorporeal Membran Oksijenasyonu (ECMO) cihazına bağlamanın önemli ölçüde prognozu iyileştirdiği gösterilmiştir. Zaten bu cihaz akciğer ve kalp görevi görerek, kanın vücut dışında oksijenlenmesini sağlar. Genelde açık kalp ameliyatları sırasında geçici bir süreliğine kullanılır.
Aslında maddi destek istememizin nedeni çok basit: Çünkü Evrim Ağacı, bizim tek mesleğimiz, tek gelir kaynağımız. Birçoklarının aksine bizler, sosyal medyada gördüğünüz makale ve videolarımızı hobi olarak, mesleğimizden arta kalan zamanlarda yapmıyoruz. Dolayısıyla bu işi sürdürebilmek için gelir elde etmemiz gerekiyor.
Bunda elbette ki hiçbir sakınca yok; kimin, ne şartlar altında yayın yapmayı seçtiği büyük oranda bir tercih meselesi. Ne var ki biz, eğer ana mesleklerimizi icra edecek olursak (yani kendi mesleğimiz doğrultusunda bir iş sahibi olursak) Evrim Ağacı'na zaman ayıramayacağımızı, ayakta tutamayacağımızı biliyoruz. Çünkü az sonra detaylarını vereceğimiz üzere, Evrim Ağacı sosyal medyada denk geldiğiniz makale ve videolardan çok daha büyük, kapsamlı ve aşırı zaman alan bir bilim platformu projesi. Bu nedenle bizler, meslek olarak Evrim Ağacı'nı seçtik.
Eğer hem Evrim Ağacı'ndan hayatımızı idame ettirecek, mesleklerimizi bırakmayı en azından kısmen meşrulaştıracak ve mantıklı kılacak kadar bir gelir kaynağı elde edemezsek, mecburen Evrim Ağacı'nı bırakıp, kendi mesleklerimize döneceğiz. Ama bunu istemiyoruz ve bu nedenle didiniyoruz.
Görülme Sıklığı ve Dağılımı (Epidemiyoloji)
İlk olarak 2012'nin Haziran ayında, Suudi Arabistan/Cidde şehrinde virolog Ali Mohammed Zaki tarafından şiddetli solunum ve böbrek yetmezliği nedeniyle hayatını kaybeden hastada tanımlanmıştır. 30 Eylül 2015 tarihi itibariyle Dünya Sağlık Örgütü'ne 26 ülkeden 1589 kesin MERS vakası bildirilmiştir. Ocak 2020 itibari ile 21'den fazla ülkede toplam 2500 vaka bulunmaktadır. Vakalar arasından 567 ölüm raporu çıkmıştır.

Epidemik anlamda fatalite hızı %35,6 oranındadır. Fatalite ile mortalite tanımını karıştırmamak lazım. Fatalite, hastalananların ölüm oranı iken; mortalite ise toplumdaki genel ölüm oranıdır. 2015'te Güney Kore'de ve 2018'de Suudi Arabistan'da tekrar epidemik salgınlar yaşanmıştır. Güney Kore'deki salgında 147 vaka ve 47 ölüm raporu vardır. Suudi Arabistan'dakinde ise 186 vaka içerisinde 36 ölüm rapor edilmiştir.
Türkiye'de MERS sebebiyle ilk ölüm vakası ise 2014 yılının Ekim ayı içerisinde Suudi Arabistan'da çalışan Hatay ili nüfusuna kayıtlı olan bir kişinin Türkiye'ye dönüş yaptıktan sonra gözlenmiştir. MERS ilkbahar aylarında özellikle hastane kaynaklı salgınlara neden olmaktadır ancak tüm yıl boyunca yeni vakalar görülebilmektedir. MERS açısından tek bir kişi bile epidemik salgına neden olabileceği için ülkeler bu konuda önlem almalı ve kontrolü göz ardı etmemelidir. Halen sağlık otoritelerince hastalığın takip çalışmaları sürdürülmektedir.
Önlem Yöntemleri
Salgının görüldüğü ülkeler Suudi Arabistan, Birleşik Arap Emirlikleri, Katar, Ürdün, Umman, Kuveyt, Yemen, Lübnan olarak kayda geçmektedir. Söz konusu bölgelere yapılacak seyahatlerde aşağıdakilere dikkat edilmeli.
- Develerle temasa geçtikten sonra el hijyeni sağlanmalı.
- Hasta görünen develerle temasa geçmekten kaçınılmalı.
- İyi pişmemiş et, özellikle de deve eti yenilmemeli.
- Çiğ deve sütü ve deve idrarı içmekten kaçınılmalı
- Seyahat dönüşü 14 gün içerisinde semptom olursa doktora başvurmalı ve seyahatten bahsedilmeli.
Temas İzolasyonu: Hastanın mümkünse ayrı odaya alınması, hasta ile her türlü işlemde eldiven giyilip izolasyon sağlanması. Ardından el hijyeni sağlanması. Hastanın kıyafetleri kırmızı atık torbasına atılmalıdır. Hastadan sorumlu personel dışında odaya kimse alınmamalıdır. (Kırmızı Yıldız ile simgelenir)
Damlacık İzolasyonu: Hastanın ayrı odaya alınması, cerrahi maske takılması, koruyucu gözlük kullanılması. Aynı mikroorganizma ile enfekte bireyler koşullar yeterli değilse aynı odaya yerleştirilebilir. Fakat yataklar arasında en az 1 metre bulunmalıdır. Mümkünse bağışık kişiler hastadan sorumlu olmalıdır. Önlük ve eldiven resmi kural değildir. Hasta gerekmedikçe oda dışarısına çıkmamalıdır; çıkması gerektiği durumlarda cerrahi maske ile çıkmalıdır.
Standart Önlemler: Hasta olan insanlarla yakın temastan kaçınmak, hasta olunduğunda evden çıkmamak; göz, burun, ağza dokunmaktan kaçınmak, sürekli kullanılan nesne ve yüzeyleri temizlemek.
Evrim Ağacı'nda tek bir hedefimiz var: Bilimsel gerçekleri en doğru, tarafsız ve kolay anlaşılır şekilde Türkiye'ye ulaştırmak. Ancak tahmin edebileceğiniz gibi Türkiye'de bilim anlatmak hiç kolay bir iş değil; hele ki bir yandan ekonomik bir hayatta kalma mücadelesi verirken...
O nedenle sizin desteklerinize ihtiyacımız var. Eğer yazılarımızı okuyanların %1'i bize bütçesinin elverdiği kadar destek olmayı seçseydi, bir daha tek bir reklam göstermeden Evrim Ağacı'nın bütün bilim iletişimi faaliyetlerini sürdürebilirdik. Bir düşünün: sadece %1'i...
O %1'i inşa etmemize yardım eder misiniz? Evrim Ağacı Premium üyesi olarak, ekibimizin size ve Türkiye'ye bilimi daha etkili ve profesyonel bir şekilde ulaştırmamızı mümkün kılmış olacaksınız. Ayrıca size olan minnetimizin bir ifadesi olarak, çok sayıda ayrıcalığa erişim sağlayacaksınız.
Makalelerimizin bilimsel gerçekleri doğru bir şekilde yansıtması için en üst düzey çabayı gösteriyoruz. Gözünüze doğru gelmeyen bir şey varsa, mümkünse güvenilir kaynaklarınızla birlikte bize ulaşın!
Bu makalemizle ilgili merak ettiğin bir şey mi var? Buraya tıklayarak sorabilirsin.
Soru & Cevap Platformuna Git- 2
- 2
- 1
- 1
- 1
- 0
- 0
- 0
- 0
- 0
- 0
- 0
- Fahrettin Güven Oysul & Bilal Bakır. (2015). Odss. Türkiye Klinikleri, sf: 46-52. | Arşiv Bağlantısı
- WHO. Middle East Respiratory Syndrome Coronavirus (Mers-Cov). (18 Nisan 2020). Alındığı Tarih: 18 Nisan 2020. Alındığı Yer: WHO | Arşiv Bağlantısı
- CDC. Middle East Respiratory Syndrome (Mers). (2 Ağustos 2019). Alındığı Tarih: 19 Nisan 2020. Alındığı Yer: CDC | Arşiv Bağlantısı
- Fehr AR, Perlman S. (2015). Coronaviruses: An Overview Of Their Replication And Pathogenesis. Methods in Molecular Biology, sf: 1-23. | Arşiv Bağlantısı
- Wikipedia. Middle East Respiratory Syndrome-Related Coronavirus. (19 Nisan 2020). Alındığı Tarih: 19 Nisan 2020. Alındığı Yer: Wikipedia | Arşiv Bağlantısı
- ECDC. Severe Respiratory Disease Associated With A Novel Coronavirus. (19 Şubat 2013). Alındığı Tarih: 19 Nisan 2020. Alındığı Yer: European Centre for Disease Prevention and Control | Arşiv Bağlantısı
- Eveline Kindler, et al. (2013). Efficient Replication Of The Novel Human Betacoronavirus Emc On Primary Human Epithelium Highlights Its Zoonotic Potential. American Society of Microbiology, sf: 11-12. | Arşiv Bağlantısı
- V. Stalin Raj, et al. (2013). Dipeptidyl Peptidase 4 Is A Functional Receptor For The Emerging Human Coronavirus-Emc. Nature, sf: 251–254. | Arşiv Bağlantısı
- Qihui Wang, et al. (2020). Bat Origins Of Mers-Cov Supported By Bat Coronavirus Hku4 Usage Of Human Receptor Cd26. Cell Hosts & Microbe, sf: 328-337. | Arşiv Bağlantısı
- Ziad A. Memish, et al. (2013). Middle East Respiratory Syndrome Coronavirus In Bats, Saudi Arabia. Emerging Infectious Diseases, sf: 1819–1823. | Arşiv Bağlantısı
- Robert Roos. Mers Outbreaks Grow; Malaysian Case Had Camel Link. (17 Nisan 2014). Alındığı Tarih: 19 Nisan 2020. Alındığı Yer: CIDRAP | Arşiv Bağlantısı
- WHO & Hong Kong University. (2019). Surface Sampling Of Mers-Cov In Health Care Settings. WHO, sf: 1-21. | Arşiv Bağlantısı
- T.C. Sağlık Bakanlığı. Seyahat Sağlığı. (21 Ağustos 2019). Alındığı Tarih: 19 Nisan 2020. Alındığı Yer: T.C. Sağlık Bakanlığı | Arşiv Bağlantısı
Evrim Ağacı'na her ay sadece 1 kahve ısmarlayarak destek olmak ister misiniz?
Şu iki siteden birini kullanarak şimdi destek olabilirsiniz:
kreosus.com/evrimagaci | patreon.com/evrimagaci
Çıktı Bilgisi: Bu sayfa, Evrim Ağacı yazdırma aracı kullanılarak 10/10/2025 17:25:22 tarihinde oluşturulmuştur. Evrim Ağacı'ndaki içeriklerin tamamı, birden fazla editör tarafından, durmaksızın elden geçirilmekte, güncellenmekte ve geliştirilmektedir. Dolayısıyla bu çıktının alındığı tarihten sonra yapılan güncellemeleri görmek ve bu içeriğin en güncel halini okumak için lütfen şu adrese gidiniz: https://evrimagaci.org/s/8565
İçerik Kullanım İzinleri: Evrim Ağacı'ndaki yazılı içerikler orijinallerine hiçbir şekilde dokunulmadığı müddetçe izin alınmaksızın paylaşılabilir, kopyalanabilir, yapıştırılabilir, çoğaltılabilir, basılabilir, dağıtılabilir, yayılabilir, alıntılanabilir. Ancak bu içeriklerin hiçbiri izin alınmaksızın değiştirilemez ve değiştirilmiş halleri Evrim Ağacı'na aitmiş gibi sunulamaz. Benzer şekilde, içeriklerin hiçbiri, söz konusu içeriğin açıkça belirtilmiş yazarlarından ve Evrim Ağacı'ndan başkasına aitmiş gibi sunulamaz. Bu sayfa izin alınmaksızın düzenlenemez, Evrim Ağacı logosu, yazar/editör bilgileri ve içeriğin diğer kısımları izin alınmaksızın değiştirilemez veya kaldırılamaz.