Ekinokokkoz Nedir? Köpekler ve Diğer Etçillerin Dışkılarından İnsanlara Bulaşabilen Bu Kistik Hastalık Nasıl Tedavi Edilir?

- Hastalık Kataloğu
- Epidemiyoloji
- Helmintoloji
Bu içerik tıp ve sağlık ile ilişkilidir. Sadece bilgi amaçlı olarak hazırlanmıştır. Bireysel bir tıbbi tavsiye olarak görülmemelidir. Evrim Ağacı'ndaki hiçbir içerik; profesyonel bir hekim tarafından verilen tıbbi tavsiyelerin, konulan bir teşhisin veya önerilen bir tedavinin yerini alacak biçimde kullanılmamalıdır.
- Türkçe Adı Ekinokokkoz
- İngilizce Adı Echinococcosis
- ICD B67
- Diğer İsimleri Hidatidoz, Kistik Ekinokokkoz, Hidatik Ekinokokkoz
Bu Makalede Neler Öğreneceksiniz?
- Identify Echinococcosis as an infection caused by flatworms of the Echinococcus genus, primarily affecting carnivores as definitive hosts and various mammals as intermediate hosts.
- Describe Echinococcus granulosus as a 2-7 mm flatworm with three segments, living as adult parasites mainly in the intestines of canids like dogs.
- Explain larval forms cause cystic structures over 10 cm in intermediate hosts including humans, with E. granulosus and E. multilocularis being the most common species infecting people.
Genel Bilgiler: Patoloji ve Mekanizma
Ekinokokkozis, Cestoda sınıfının Cyclophyllidea takımına dahil edilen Taeniidae familyasından Echinococcus cinsine ait yassı solucanların neden olduğu enfeksiyondur. Hastalığa kistik ekinokokkoz, hidatik ekinokokkoz ve hidatizos da denilmektedir. Hastalığa neden olan Echinococcus türleri başlıca E. granulosus, E. multilocularis, E. vogeli ve E. oligarthrus olmak üzere dört tanedir. Bu Echinococcus türleri son konak olan başta köpek olmak üzere, tilki ve kurt gibi yabani etçillerin vücutlarında yaşayan endoparazitlerdir (iç parazit). Başta koyun, keçi, sığır olmak üzere birçok memeli de arakonaktır. İnsanlar da bu parazitler için arakonak olarak değerlendirilir, bu yönüyle zoonoz karakterlidir.
Enfeksiyon şiddeti ve biçimi enfekte ettiği canlının arakonak yada son konak olmasına göre değişiklik gösterir. Bunun sebebi ara konaklarda parazitin larval formları enfeksiyon oluştururken son konaklarda ise ergin parazitlerin enfeksiyon oluşturması, bunların tutunduğu ve yerleştiği organların farklı olması, dolayısıyla meydana getirdikleri patolojik değişikliklerin farklı olmasıdır. Ara konak olan insan dahil çeşitli memeli canlıda larva formu olarak içi sıvı dolu, çapı 10 cm den fazla olabilen ve farklı organlarda bulunabilen kistik yapılar meydana gelir. İnsanlarda parazitlenme ve görülme sıklığı bakımından en önemlileri E. granulosus ve E. multilocularis türleridir.
E. granulosus Nedir?
Echinococcus granulosus 2-7 mm uzunluğa sahip, 3 halkadan oluşan bir yassı solucandır. Ara konaklarına göre farklı suşları (aralarında genetik farklılık bulunan gruplar) bulunur, görülme sıklığı ve epidemiyoloji başlığında bahsedilecektir. Erişkin parazitler son konak olan köpekgillerin (Canidae) bağırsaklarında yaşar ve genelde köpekler için bir sorun teşkil etmez. Halkaları genç, olgun ve gebe halkalar olarak sınıflandırılır. Gebe halka vücut uzunluğunun yarısı kadardır.
Baş kısımlarına skoleks adı verilir. Skoleksde rostellum adı verilen yapılar bulunur. Rostellum üzerinde iki sıra halinde dizilmiş çengeller bulunmaktadır. Bu yapılar parazitin konağa tutunmasını sağlar. Boyun bölgesi kısadır ve halkalar bu bölgeden oluşur. Olgun halkalarda testis sayısı 45-65 tanedir ve halka içerisinde dağılmış halde bulunur. Uterus halka içerisinde önden arkaya uzanmış ve çeşitli uzunluklarda dallar vermiş halde bulunmaktadır. Gebe halka içerisinde 800 kadar yumurta bulunabilir. Ovaryum at nalına benzer şekildedir. Genital delik olgun halkada ortaya yakın ve biraz lateralde, gebe halkada ise halkanın arka yarısında bulunur.

E. granulosus yumurta üreterek çoğalır. Yumurtaları diğer Taenia yumurtaları gibidir, bu nedenle mikroskop altında gözle ayrım yapmak zordur. Onkosferlere karşı üretilen monoklonal antikorlar (tek bir epitopa özgü üretilen antikorlar) yumurtanın diğer Taenia yumurtalarından ayrılmasında önemlidir. Şekilleri yuvarlak veya ovalimsi olabilir. Yumurta içerisindeki embriyo 6 çengelli bir yapı (onkosfer) gösterir. Embriyoyu bir kabuk (embriyofor) çevreler. Embriyoforunun kalın bir yapısı vardır ve temel görevi embriyoyu dış etkilerden korumaktır. Embriyofor sayesinde yumurta farklı fiziksel ve çevresel koşullara oldukça dayanıklıdır.
Yaşam Döngüsü
E. granulosus için köpek ve diğer köpekgiller (Canidae) tipik son konaklardır. Ara konakları ise koyun, keçi, sığır, at gibi toynaklılardır. Aynı zamanda kemirgenler (Rodentia), keseliler (Metatheria), insanların da dahil olduğu primatlar (Primates) gibi geniş bir canlı yelpazesi de parazit için ara konak olarak değerlendirilir. Son konakların ince bağırsaklarında erişkin parazitler yaşar. Larvalar ise ara konakların iç organlarına yerleşir ve buralarda içi sıvı ile dolu, içerisinde çok sayıda invagine protoskoleks bulunabilen kistik yapılar meydana gelir. Son konaklar olan köpekgiller işte bu kistik yapıyı içerindeki protoskoleksler ile birlikte ağız yoluyla alarak enfekte olurlar. Alınan protokoleksler midede pepsin enziminin etkisi ile, ince bağırsaklarda ise düşük pH değerlerine sahip ortamın etkisiyle evagine olur ve ince bağırsaklarda erişkin hale gelirler. Erişkin hale gelen parazitler yumurta üretmeye başlar. Yumurtalar dışkı ile dışarı atılır.
Ara konaklar ise dış ortamdaki yumurtaları ağız yoluyla aldıklarında enfekte olmuş olurlar. Ara konakların sindirim sistemlerinde bu yumurtalar açılarak onkosfer serbest kalır. Bu olayda mide ve ince bağırsaklardaki enzimlerin etkisi vardır. Serbest kalan onkosferler dolaşım veya lenf yoluyla karaciğere gelirler. Karaciğerde tutunamayan onkosferler kalbe ve kalpten akciğerlere giden atardamar yoluyla akciğere gelir ve buralarda yerleşirler. Bazı onkosferler ise aort ile beyin, göz gibi vücudun farklı organlarında yerleşim göstererek hidatik kist adı verilen kistik yapıları meydana getirirler. Kistlerin en fazla bulundukları organlar karaciğer ve akciğerler olarak dikkati çeker. Bunun nedeni bu organlardaki büyük kılcal damar ağlarıdır. Suş farklılığına göre kistler ara konaklarda gelişim süreleri bakımından farklılık gösterir.

Hidatik Kist Nedir?
Yukarıda belirtildiği gibi Echinococcus granulosus yumurtalarının ara konakların sindirim sisteminde açılarak serbest kalan onkosferlerin çeşitli organlara giderek oluşturduğu içi sıvı dolu, değişik büyüklüklerde, içerisinde invagine protoskoleksler barındıran larval formlarına hidatik kist denir. Makroskobik olarak sadece bir keseden ibaret olan uniloküler kistler şeklinde yada ana kistin ürettiği birbirine bitişik yada bağımsız çok sayıda kistten meydana gelebilen multiveziküler kist adı verilen yapılar halinde bulunabilirler. İnsanlarda daha çok uniloküler kistler görülmektedir.
E. granulosus kistlerinin en dışında kütiküler tabaka denilen bir tabaka bulunur. Bu tabaka hücresizdir ve elastik yapıdadır. Kütiküler tabakanın altında 10-25 mikrometre kalınlığında germinatif tabaka adı verilen bir tabaka bulunur. Kütiküler tabakanın üzerinde ise konak tarafından, kisti vücuttan ayırmak veya sınırlandırmak amacı ile üretilmiş fibröz yapıda bir tabaka bulunur. Kistin içerisinde, germinatif tabaka tarafından üretilen protoskoleks içeren keseler bulunur. Hidatik kistin yırtılması ile etrafa sızan protoskolesler çevre doku ve organlara tutunarak buralarda yeni kistler meydana getirirler, bu kistlere sekonder kist adı verilir. Germinatif ve kütiküler tabakalar tarafından kistin içerisinde oluşturulan, içerisinde protoskoleks bulunan yapılara ise kız kese adı verilir. Bu kız keselerin içerisinde tekrar bir kese oluşabilir bu keselere ise üçüncü nesil torun keseler ismi verilmektedir.
Kistin içerisindeki sıvı renksiz ve kokusuz bir yapıdadır. Sodyum, potasyum, klorid ve karbondioksit içerir. Antijenik özelliktedir. Kistin çeşitli sebeplerle rüptüre olması (yırtılması) ile bu sıvı kist dışına çıkar. Kist dışına çıkan sıvı vücutta aşırı bir tepkiye ve anaflaktik şok denilen duruma neden olabilir. Anaflaktik şok ciddi bir durumdur ve ölüm ile sonuçlanabilir. Bu nedenlerle kistin içerisindeki sıvı önemli bir sorundur. Kistin alınması için yapılacak cerrahi girişimlerde dikkatli olunması gerekmektedir.

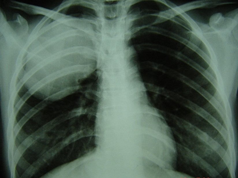
Hidatik kist organlara bası uygular. Bu basının etkisiyle kan ve lenfatik akım obstrüksiyonu (tıkanması) şekillenebilir. Kistin bulunduğu yer patogenez açısından önemlidir. Periferik yerleşimli olanlar pleura ve diyafram irritasyonuna sebebiyet verebilirler. Karaciğerde bulunanlar ise safra yollarına rüptüre olması ile kolik, sarılık, kolanjit (safra yolları yangısı) veya pankreatite (pankreas yangısı) sebebiyet verebilirler. Biliyer kanallara bası yaparak kolestaza (safra akımının yavaşlaması veya durması) neden olurlar. Karaciğerde bulunan kistlerin peritona rüptüre olması ile peritonit (periton yangısı) gelişebilir. Kistlerin sinir sisteminde bulunması ve buralardaki etkileri de önemlidir. Böbrek kistleri ise hematüriye (idrarda kan bulunması) neden olabilir.
Aslında maddi destek istememizin nedeni çok basit: Çünkü Evrim Ağacı, bizim tek mesleğimiz, tek gelir kaynağımız. Birçoklarının aksine bizler, sosyal medyada gördüğünüz makale ve videolarımızı hobi olarak, mesleğimizden arta kalan zamanlarda yapmıyoruz. Dolayısıyla bu işi sürdürebilmek için gelir elde etmemiz gerekiyor.
Bunda elbette ki hiçbir sakınca yok; kimin, ne şartlar altında yayın yapmayı seçtiği büyük oranda bir tercih meselesi. Ne var ki biz, eğer ana mesleklerimizi icra edecek olursak (yani kendi mesleğimiz doğrultusunda bir iş sahibi olursak) Evrim Ağacı'na zaman ayıramayacağımızı, ayakta tutamayacağımızı biliyoruz. Çünkü az sonra detaylarını vereceğimiz üzere, Evrim Ağacı sosyal medyada denk geldiğiniz makale ve videolardan çok daha büyük, kapsamlı ve aşırı zaman alan bir bilim platformu projesi. Bu nedenle bizler, meslek olarak Evrim Ağacı'nı seçtik.
Eğer hem Evrim Ağacı'ndan hayatımızı idame ettirecek, mesleklerimizi bırakmayı en azından kısmen meşrulaştıracak ve mantıklı kılacak kadar bir gelir kaynağı elde edemezsek, mecburen Evrim Ağacı'nı bırakıp, kendi mesleklerimize döneceğiz. Ama bunu istemiyoruz ve bu nedenle didiniyoruz.
Belirti ve Semptomlar
Patogenez ile bağlantılı olarak semptomlar da kistin yerleştiği doku ve organlara göre değişiklik gösterirler. Bazen ise kistin boyutunun da etkisiyle semptom görülmeyebilir. Öksürük, göğüs ağrısı, dispne (güç solunum) akciğer yerleşimli kistlerde sık görülen semptomlardır. Periferik yerleşimli kistler göğüs ve karın ağrısına sebep olabilirler. Sekonder bakteriyel enfeksiyonların gelişmesiyle beraber ateş, kanlı balgam, kilo kaybı gibi belirtiler ortaya çıkabilir. Ayrıca bulantı ve kusma da görülebilir. Böbrek yerleşimli kistler bel ağrısına neden olabilir. Kistler nadiren sinir sistemine yerleşir. Sinir sisteminde bulunan kistler çeşitli sinirsel semptomlara yol açar. En tanısal semptom ise yukarıda anlatılan kistin yırtılması ve kist sıvısının dışarı çıkması ile gelişen aşırı duyarlılık reaksiyonları ve anaflaksi tablosudur.
Teşhis Yöntemleri
Kistik ekinokokkoz tanısı görüntüleme teknikleri, ağırlıklı olarak ultrasonografi (USG), bilgisayarlı tomografi, X-ışını incelemeleri ve serolojik testlerle spesifik serum antikorlarının tespiti yoluyla kist yapılarının tanımlanmasına dayanır. Serolojik yöntemler genelde ikinci planda ve tanıyı doğrulamada ve tedavi sonrası hastaların izlenmesinde yararlıdır. Bu amaçla ELISA ve indirekt hemaglütinasyon (IHA) gibi serolojik yöntemler kullanılmaktadır ancak bu yöntemlerin özgüllüğü tatmin edici bulunmamaktadır. Karaciğer yerleşimli kistlerin %10 ila 20'sinin, akciğer yerleşimli kistlerin ise yaklaşık %40'ının saptanabilir spesifik serum antikorları (IgG) üretmediği ve bu nedenle yanlış negatif sonuçlar verdiği tespit edilmiştir.[1] Beyin, kemik, ve göz yerleşimli kistler genellikle hiç antikor yanıtına neden olmaz.[1]Bu nedenlerle teşhiste görüntüleme teknikleri öne çıkmaktadır.
Radyolojik yöntemler enfeksiyonun bireysel ve kitlesel tanısında öne çıkmaktadır. Görüntüleme yöntemleri arasından ultarosongrafi (USG) kolay uygulanabilirliği, hızlı, ucuz ve zararsız olması bakımından önemlidir. Bu yöntem kistlerin yeri, büyüklüğü, sayısı gibi çok önemli bilgileri vermektedir.
Kesin tanıda ise hastadan alınacak biyopsinin patolojik olarak değerlendirilmesi önem taşımaktadır.[2]

Tedaviler veya İdare Yöntemleri
Cerrahi
Sağlam hidatik kistlerin cerrahi olarak çıkarılması derhal tam iyileşmeye yol açmak için en iyi potansiyele sahip tedavidir. Cerrahinin amacı, içeriğin dökülmesinin olumsuz sonuçlarından kaçınarak kistin tamamen çıkarılmasıdır. Kistin çevresindeki bir miktar sağlıklı doku ile birlikte kistin bir bütün halinde çıkartılması olarak bilinen perikistektomi yöntemi en çok kullanılan yöntemdir. Ancak kistin yerine ve durumuna bağlı olarak farklı yöntemler de uygulanmaktadır. Yaşlı, hamile ve cerrahi yöntem için olumsuz durum oluşturabilecek başka hastalıkları bulunan kişilerde farklı tedavi yolları tercih edilir.

Kemoterapi
Bu yöntem tedavi amacı ile ilaç kullanılmasına dayanmaktadır. En fazla kullanılan ilaçlar benzimidazol türevleridir. Benzimidazol ilaçları kullanılan hastaların yaklaşık üçte birinin iyileştiği yada kistlerin boyutunda azalma olduğu ancak hastaların yarısında herhangi olumlu bir yanıtın alınamadığı kaydedilmiştir.
PAIR Yöntemi
PAIR yöntemi basitçe kistin duvarının delinmesi, kistin içerisindeki sıvının uzaklaştırılması, kistin içerisinde bulunan protoskolekslerin inhibe edilmesi amacıyla protoskolikidal maddelerin enjeksiyonu ve bu maddenin yeniden uzaklaştırılması aşamalarını içeren prosedürdür. Akciğer yerleşimli kistlerde bu yöntem önerilmemektedir. Bu yöntemde kist sıvısından kaynaklanan allerji reaksiyonlara hazırlıklı olunmalıdır. Protoskolekslerin çevre dokulara saçılıp sekonder kistlere sebebiyet verme ihtimaline karşı kemoterapinin (benzimidazol kullanımı) bu yöntem ile beraber uygulanması önerilir.
Görülme Sıklığı ve Dağılımı (Epidemiyoloji)
Coğrafi olarak farklı E. granulosus tipleri farklı konakçı affiniteleri ile mevcuttur. Mitokondriyal DNA dizileri kullanılan moleküler çalışmalar E. granulosus içinde on farklı genetik tip (G1-G10) tanımlamıştır.[3]Bunlar arasında iki koyun suşu (G1 ve G2), iki sığır suşu (G3 ve G5), bir at suşu (G4), bir deve kuşu suşu (G6), bir domuz suşu (G7), geyik suşu (G8 ve G10) ve başka bir domuz suşu (G9) bulunur. Koyun suşu (G1) en yaygın ve insan enfeksiyonlarına en fazla neden olan suş olması nedeniyle önemlidir.
Koyun, sığır gibi eti için kesilen hayvanların kistli iç organlarının kontrolsüzce atılması ve bunları köpeklerin yemesi, bu köpeklerle de insanların temasa geçip enfekte olması hastalığın temel yayılma şeklidir. Bu yönüyle henüz sokak hayvanı sorunu yaşayan, kesilen hayvanların organlarının uygun yöntemlerle imha edilmediği sosyo-ekonomik gelişmişlik düzeyinin düşük olduğu yerlerde hastalık yaygındır.
Kistik ekinokokkoz dünyanın hemen hemen her yerinde görülebilir. İnsan ve hayvan konakçılarda en büyük kistik ekinokokkoz prevalansı Güney Amerika, tüm Akdeniz kıyıları, Orta Asya, Çin, Avustralya ve Afrikanın bazı bölgelerinde bulunur.[4], [5]
Türkiye'de ise hastalık her bölgede görülmektedir. Ancak başta Doğu Anadolu olmak üzere İç Anadolu ve Marmara bölgelerinde sıklıkla rastlanmaktadır. Sağlık Bakanlığı tarafından 1955 ile 2005 yılları arasında 55.000'den fazla hasta rapor edilmiştir.[6] 2008-2012 yılları arasında hastaneler tarafından Sağlık Bakanlığına bildirilen hasta sayısı 1802'dir.[7]
Dünya Sağlık Örgütü (DSÖ) verilerine göre bu hastalıkla yaşayan dünyada bir milyondan fazla insan bulunmaktadır. Echinococcus türlerinin meydana getirdikleri hastalıklar nedeniyle Dünya Sağlık Örgütü (DSÖ) verilerine göre yaklaşık yılda 19.300 ölüm görülmektedir. DSÖ, ameliyat sonrası hastaların %6.5 'inde hastalığın tekrarladığını, hastaların %2.2'sinin öldüğünü belirtmiştir.[8]
Önlem Yöntemleri
Hastalıktan korunmak için parazitin yaşam döngüsü göz önünde bulundurulmalıdır. Son konak olarak insanlarla temas bakımından en önemli canlılar köpeklerdir. Parazit tedavileri yapılmamış özellikle sokakta yaşayan köpeklerle temas sonrası eller mutlaka yıkanmalıdır. Köpek dışkısı ile kontamine olmuş su ve gıdalardan, yumurta barındıran toz ve toprakların yutulması yolu ile de hastalık bulaşmış olur. Bu bakımdan sokak hayvanı sayısı fazla olan bölgelerde toplum bu hastalık bakımından bilgilendirilmelidir.
Ara konak olarak bu parazitlerin koyun ve sığır gibi canlıları kullandığından yukarıda bahsetmiştik. Bu canlıların insan tüketimine sunulamayacak kistli organlarının imhası önemlidir. Çünkü bu parazitin larval formunu barındıran bu organların imha edilmeyip köpekler tarafından yenilmesi durumunda parazitin yaşam çemberi tamamlanacak, enfeksiyonun insanlara ulaşma ihtimali artacaktır.
Diğer Başlıklar
Tarihçe
Hidatik kist insanlık tarafından çok uzun zamandır tanınmaktadır. M.Ö. 460-377 yıllarında yaşayan Hipokrat hidatik kisti, ''su ile dolu kese'' şeklinde tanımlamıştır.[9] Aristotales'in de kistin akciğer ve karaciğere olan zararları hakkında yazıları bilinmektedir.[9] Hollandalı hekim ve kimyacı H. Boerhaave 1731 yılında hidatik kist hakında bir derleme yayınlamıştır. 1931 yılında Cezayir'de Hidatidoloji Kurultayı yapıldı.
Türkiye'de 1958'de ilk Hidatidoloji Derneği kurulmuş ve bu dernek 1962'de bu konuda dergi yayınlamıştır. Bu derneğin uzun süre işlevsiz kalmasının ardından 1999'da Türkiye Hidatidoloji Derneği olarak tekrar kurulmuştur. 2001 ve 2014 yıllarında Aydın ve Ordu'da kongreler düzenlenmiştir.
Kistik Ekinokokkoz ve Tek Sağlık Konsepti
Kistik Ekinokokkoz gibi zoonoz hastalıkların dünyada daha iyi anlaşılması ve çalışılmasıyla beraber tek sağlık konsepti gündeme gelmiştir. Böyle hastalıklarla sınırlı bakış açısıyla, belirli meslek grupları veya kurumlar tarafından mücadelenin gerçekleşemeyeceği bunun için çok daha geniş bir işbirliğinin gerekli olduğu anlaşılmıştır.
Bu yazıda anlattığımız kistik ekinokokkoz özelinde bakacak olursak hastalığın insan, hayvan ve çevre ilişkileri dikkati çekmektedir. Sadece hasta insanların tedavi edilmesi ve insan sağlığının gözetilmesi hastalığın önlenmesi yada ortadan kaldırılmasında yeterli olmayacaktır. Tek sağlık konseptine uygun olarak parazitin yaşam döngüsünün tamamlanamadan ortadan kaldırılması için insan sağlığının yanında hayvan sağlığı ve çevre sağlığı da göz önünde bulundurulmalıdır. Bütün bunlar beşeri hekimler ve veteriner hekimleri gibi birden fazla meslek grubunun ve daha geniş çerçevede ise çeşitli kurumların işbirliğini gerektirmektedir.
Evrim Ağacı'nda tek bir hedefimiz var: Bilimsel gerçekleri en doğru, tarafsız ve kolay anlaşılır şekilde Türkiye'ye ulaştırmak. Ancak tahmin edebileceğiniz gibi Türkiye'de bilim anlatmak hiç kolay bir iş değil; hele ki bir yandan ekonomik bir hayatta kalma mücadelesi verirken...
O nedenle sizin desteklerinize ihtiyacımız var. Eğer yazılarımızı okuyanların %1'i bize bütçesinin elverdiği kadar destek olmayı seçseydi, bir daha tek bir reklam göstermeden Evrim Ağacı'nın bütün bilim iletişimi faaliyetlerini sürdürebilirdik. Bir düşünün: sadece %1'i...
O %1'i inşa etmemize yardım eder misiniz? Evrim Ağacı Premium üyesi olarak, ekibimizin size ve Türkiye'ye bilimi daha etkili ve profesyonel bir şekilde ulaştırmamızı mümkün kılmış olacaksınız. Ayrıca size olan minnetimizin bir ifadesi olarak, çok sayıda ayrıcalığa erişim sağlayacaksınız.
Makalelerimizin bilimsel gerçekleri doğru bir şekilde yansıtması için en üst düzey çabayı gösteriyoruz. Gözünüze doğru gelmeyen bir şey varsa, mümkünse güvenilir kaynaklarınızla birlikte bize ulaşın!
Bu makalemizle ilgili merak ettiğin bir şey mi var? Buraya tıklayarak sorabilirsin.
Soru & Cevap Platformuna Git- 6
- 5
- 4
- 3
- 1
- 1
- 1
- 1
- 0
- 0
- 0
- 0
- ^ a b R. W. Ammann, et al. (1996). Cestodes: Echinococcus. Gastroenterology Clinics of North America, sf: 655-689. doi: 10.1016/S0889-8553(05)70268-5. | Arşiv Bağlantısı
- ^ S. H. Keser, et al. (2016). Review Of Hydatid Cyst With Focus On Cases With Unusual Locations. Federation of Turkish Pathology Societies, sf: 30-36. doi: 10.5146/tjpath.2016.01369. | Arşiv Bağlantısı
- ^ D. P. McMANUS, et al. (2003). Molecular Epidemiology Of Cystic Echinococcosis. Parasitology, sf: S37-S51. doi: 10.1017/S0031182003003524. | Arşiv Bağlantısı
- ^ Y. R. Yang, et al. (2006). Community Surveys And Risk Factor Analysis Of Human Alveolar And Cystic Echinococcosis In Ningxia Hui Autonomous Region, China. Bulletin of the World Health Organization, sf: 714-721. doi: 10.1590/S0042-96862006000900014. | Arşiv Bağlantısı
- ^ P. L. Moro, et al. (2013). Echinococcosis: Historical Landmarks And Progress In Research And Control. Annals of Tropical Medicine & Parasitology, sf: 703-714. doi: 10.1179/136485906X112257. | Arşiv Bağlantısı
- ^ H. Yılmaz, et al. (2016). Akciğer Hidatik Kisti. ISBN: 978-605-4899-54-8. Yayınevi: Türkiye Solunum Araştırmaları Derneği. sf: 20-26.
- ^ Ü. Z. Ok, et al. (2020). Cystic Echinococcosis In Humans In Turkey. Mikrobiyoloji Bülteni, sf: 510-522. doi: 10.5578/mb.69712. | Arşiv Bağlantısı
- ^ www.who.int. Echinococcosis. (23 Mart 2020). Alındığı Tarih: 7 Nisan 2020. Alındığı Yer: www.who.int | Arşiv Bağlantısı
- ^ a b D. P. McManus, et al. (2003). Echinococcosis. The Lancet, sf: 1295-1304. doi: 10.1016/S0140-6736(03)14573-4. | Arşiv Bağlantısı
- R. C. A. Thompson, et al. (2002). Towards A Taxonomic Revision Of The Genus Echinococcus. Elsevier BV, sf: 452-457. doi: 10.1016/S1471-4922(02)02358-9. | Arşiv Bağlantısı
- J. Eckert, et al. (2004). Biological, Epidemiological, And Clinical Aspects Of Echinococcosis, A Zoonosis Of Increasing Concern. Clinical Microbiology Reviews, sf: 107-135. doi: 10.1128/CMR.17.1.107-135.2004. | Arşiv Bağlantısı
- P. Moro, et al. (2009). Echinococcosis: A Review. International Journal of Infectious Diseases, sf: 125-133. doi: 10.1016/j.ijid.2008.03.037. | Arşiv Bağlantısı
- N. I. A. Higuita, et al. (2016). Cystic Echinococcosis. Journal of Clinical Microbiology, sf: 518-523. doi: 10.1128/JCM.02420-15. | Arşiv Bağlantısı
- T. Junghanss, et al. (2018). Clinical Management Of Cystic Echinococcosis: State Of The Art, Problems, And Perspectives. American Society of Tropical Medicine and Hygiene, sf: 301-311. doi: 10.4269/ajtmh.2008.79.301. | Arşiv Bağlantısı
- G. Nunnari, et al. (2012). Hepatic Echinococcosis: Clinical And Therapeutic Aspects. World Journal of Gastroenterology, sf: 1448-1458. doi: 10.3748/wjg.v18.i13.1448. | Arşiv Bağlantısı
- R. Morar, et al. (2003). Pulmonary Echinococcosis. European Respiratory Journal, sf: 1069-1077. doi: 10.1183/09031936.03.00108403. | Arşiv Bağlantısı
- B. Hamamcı, et al. (2019). Biochemical Analysis Of Germinal Membrane And Cyst Fluid By Raman Spectroscopy In Echinococcosis. Galenos Yayinevi, sf: 175-181. doi: 10.4274/tpd.galenos.2019.6293. | Arşiv Bağlantısı
- O. K. Tilkan, et al. (2018). Hidatik Kist Hastalığı. Medical Journal of Western Black Sea, sf: 153-159. doi: 10.29058/mjwbs.2018.1.6. | Arşiv Bağlantısı
- R. Tınar, et al. (2015). Veteriner Parazitoloji. ISBN: 9789752775626. Yayınevi: Güneş Tıp Kitabevleri. sf: 166-167.
Evrim Ağacı'na her ay sadece 1 kahve ısmarlayarak destek olmak ister misiniz?
Şu iki siteden birini kullanarak şimdi destek olabilirsiniz:
kreosus.com/evrimagaci | patreon.com/evrimagaci
Çıktı Bilgisi: Bu sayfa, Evrim Ağacı yazdırma aracı kullanılarak 08/10/2025 23:10:06 tarihinde oluşturulmuştur. Evrim Ağacı'ndaki içeriklerin tamamı, birden fazla editör tarafından, durmaksızın elden geçirilmekte, güncellenmekte ve geliştirilmektedir. Dolayısıyla bu çıktının alındığı tarihten sonra yapılan güncellemeleri görmek ve bu içeriğin en güncel halini okumak için lütfen şu adrese gidiniz: https://evrimagaci.org/s/9706
İçerik Kullanım İzinleri: Evrim Ağacı'ndaki yazılı içerikler orijinallerine hiçbir şekilde dokunulmadığı müddetçe izin alınmaksızın paylaşılabilir, kopyalanabilir, yapıştırılabilir, çoğaltılabilir, basılabilir, dağıtılabilir, yayılabilir, alıntılanabilir. Ancak bu içeriklerin hiçbiri izin alınmaksızın değiştirilemez ve değiştirilmiş halleri Evrim Ağacı'na aitmiş gibi sunulamaz. Benzer şekilde, içeriklerin hiçbiri, söz konusu içeriğin açıkça belirtilmiş yazarlarından ve Evrim Ağacı'ndan başkasına aitmiş gibi sunulamaz. Bu sayfa izin alınmaksızın düzenlenemez, Evrim Ağacı logosu, yazar/editör bilgileri ve içeriğin diğer kısımları izin alınmaksızın değiştirilemez veya kaldırılamaz.