Akut Myeloid Lösemi (AML) ve Mikrobiyota: Bağırsak Bakterilerimiz ile Lösemi Arasında Bir İlişki Olabilir mi?

Bu haber 2 yıl öncesine aittir. Haber güncelliğini yitirmiş olabilir; ancak arşivsel değeri ve bilimsel gelişme/ilerleme anlamındaki önemi dolayısıyla yayında tutulmaktadır. Ayrıca konuyla ilgili gelişmeler yaşandıkça bu içerik de güncellenebilir.
Vücudumuzda bizimle beraber yaşayan mikroskobik canlıların tamamına mikrobiyota denir. Son 10 yıldır iyice hayatımıza girmeye başlayan bu kavramı herkes duymuştur. Özellikle bağırsak mikrobiyotamızdaki değişimlerin Alzheimer, diyabet, şizofreni, migren, obezite, irritabl bağırsak sendromu ve kolon kanseri gibi bir çok hastalıkta rolü olduğuna dair çalışmalar mevcuttur. Peki ya lösemi? Bağırsak ile alakası yokmuş gibi görünen bu kan kanseri ile bağırsak bakterilerimizin bir ilişkisi olabilir mi?
Nature Communications adlı dergide yayımlanan bir makalede bilim insanlarının fareler üzerinde yaptıkları deneyler bu konuya ışık tutmaya çalışıyor.[1] Bu yazımızda hem bu çalışmayı inceleyecek hem de bağırsaklarımızdaki bakterilerin vücudumuzu hangi yollardan etkileyebildiğini anlamaya çalışacağız.
Bazı Temel Kavramları Öğrenelim
Mikrobiyota Nedir?
Mikrobiyota aslında vücudumuzda bizimle beraber yaşayan mikroplara denir. Bu canlılar sadece bağırsaklarımızda değil vücudumuzun neredeyse her yerinde bulunurlar ve son yıllarda yapılan çalışmalar ile görüyoruz ki tek yaptıkları bizimle beraber yaşamak da değil! Özellikle bağırsaklarımızda bulunanlar; ürettikleri metabolitler ile bağırsak epitelini beslemek, zararlı türler ile girdikleri rekabet sonucu onların üremesini yavaşlatmak/engellemek, ürettikleri kimyasallar ile bağışıklık sistemimizi uyarmak gibi çeşitli yollar ile bağırsak sağlığımızı ve hatta vücudumuzun sağlığını düzenleyebilirler. Bağışıklık sistemimizin sıkı denetimi ve bağırsak mukozasının oluşturduğu çeşittli immün bariyerler ile de kontrolden çıkmaları engellenir.
Kanser Ne Demek?
Kanser ise, kaba tabiriyle, çeşitli çevresel ve genetik sebeplerin bir araya gelerek hücrenin büyüme, gelişme, apoptoz (planlanmış hücre ölümü), DNA tamiri gibi fonksiyonlarında bozulmaya yol açması ve bu durumun hücrenin kontrolsüz bir şekilde çoğalmasına sebep olmasına denir. Kanserleşmiş hücreler çevrelerindeki kaynakları kullanmaya ve vücut içerisinde yayılmaya çalışır.
Lösemi Ne Demek?
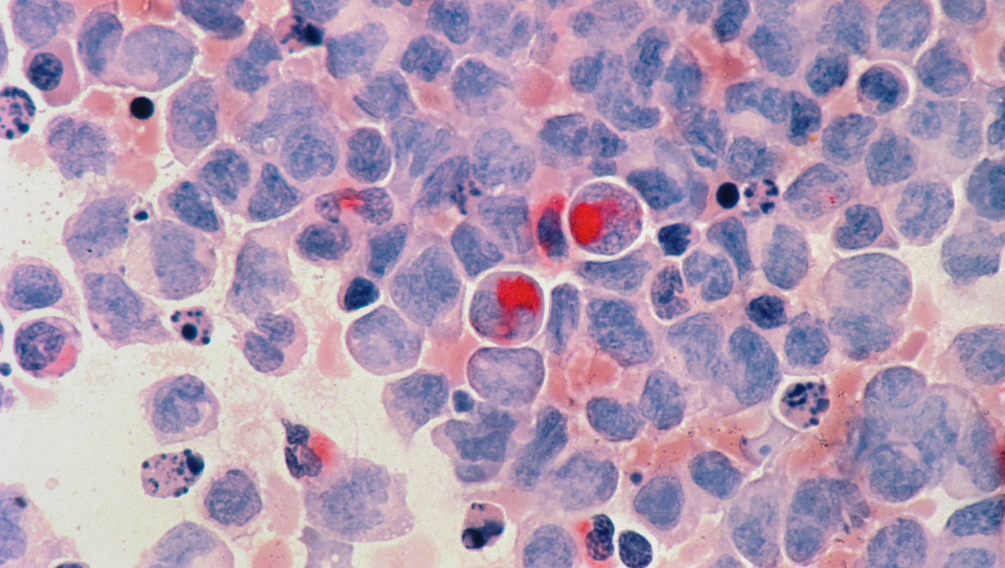
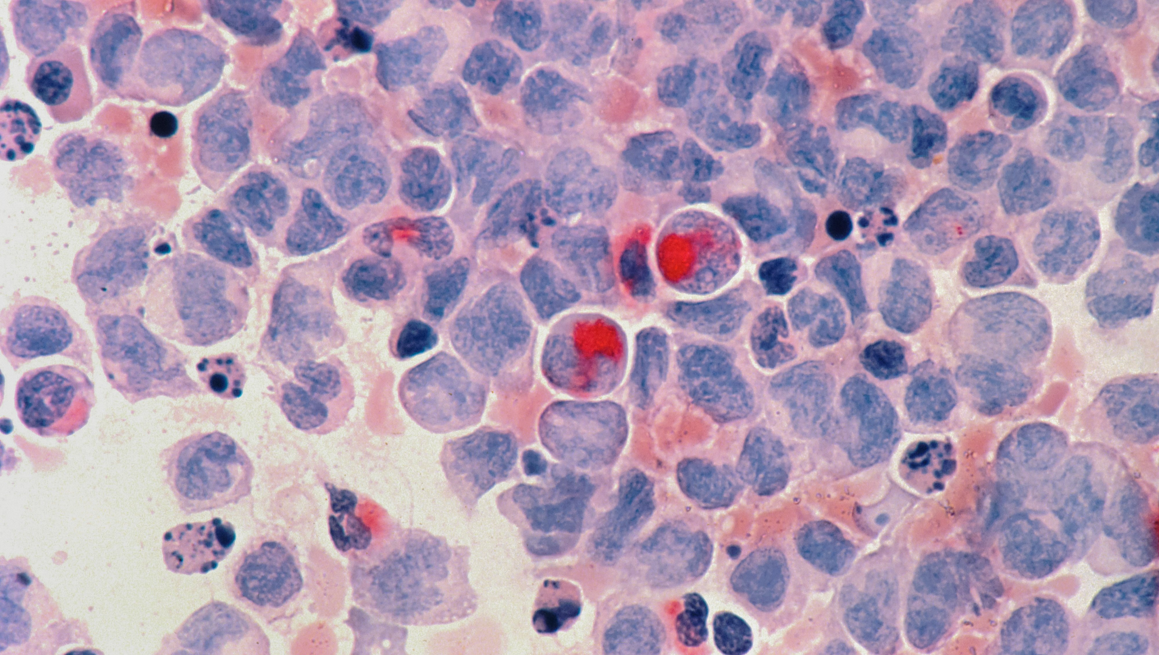
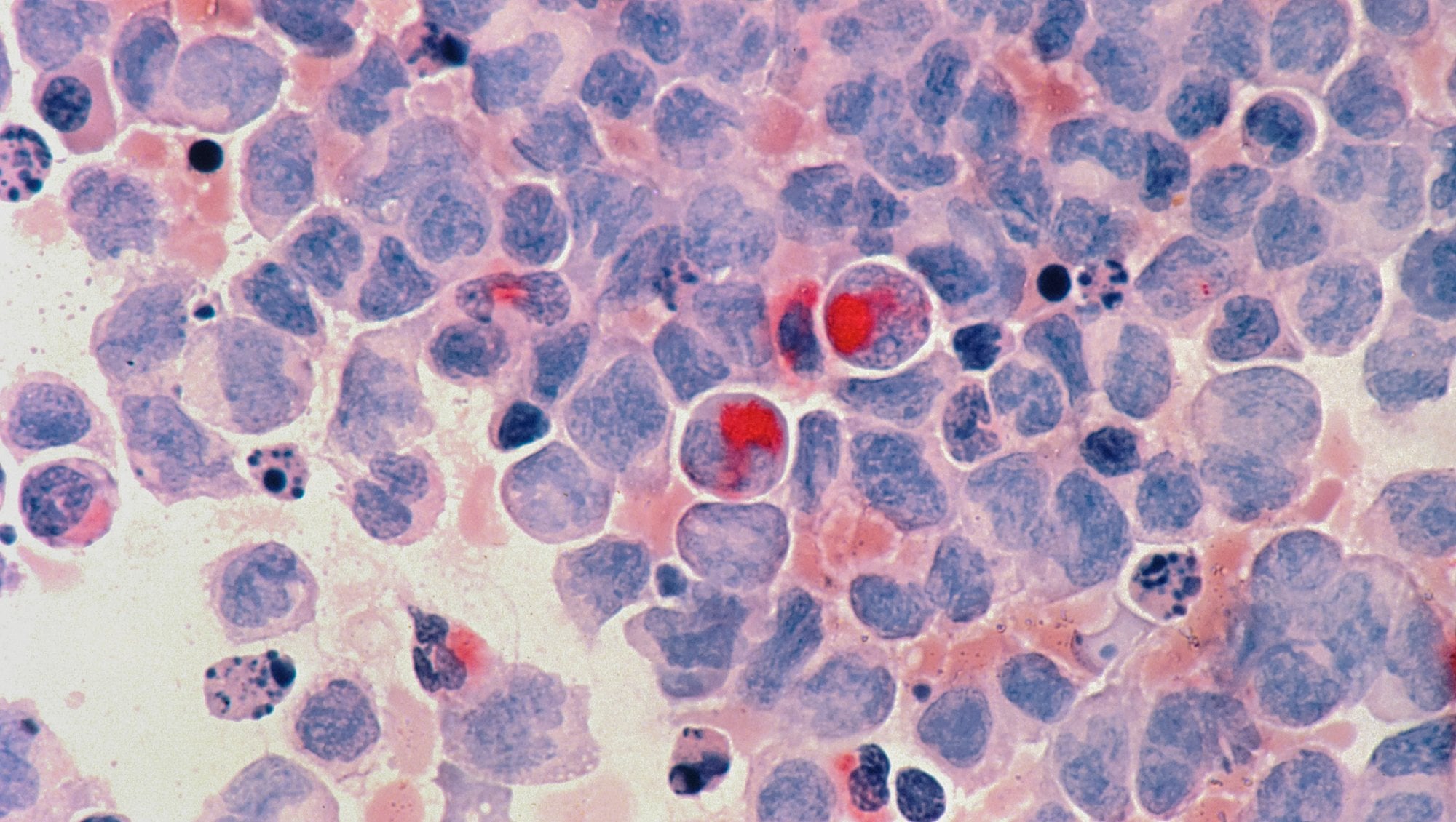
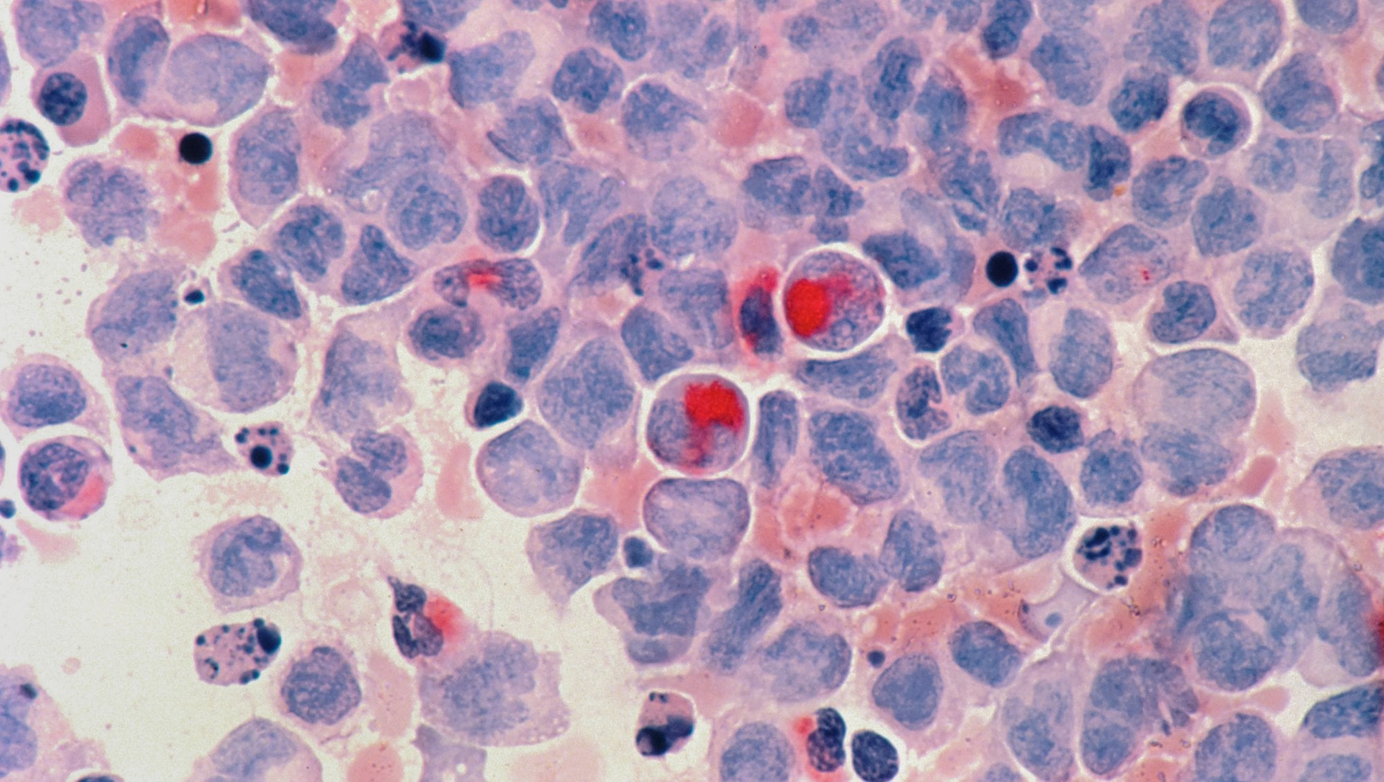
Lösemi ise kan hücrelerimizin kanserleşmesi ve kontrolsüzce kanda çoğalmasına denebilir. Bu kötü huylu ve çok sayıdaki özellikle bağışıklık sistemi hücrelerimiz, lösemik infiltrasyon adını verdiğimiz çeşitli organlarda birikme ve bu organlarda harabiyete yol açma şeklinde kendisini gösterebilir. Akut Myeloid Lösemi (AML) ise lösemilerin çeşididir.
Çalışmayı incelerken bilmemiz gereken birkaç konuya değindik. Bu kısmın devamında R. Wang ve çalışma arkadaşlarının fareler üzerinde yaptıkları çalışmanın detaylarını inceleyeceğiz.
AML ile Bağırsak Bakterileri Arasındaki İlişki Nasıl Ortaya Çıkıyor?
İnsan AML hastalarında mikrobiyotanın hem çeşitliliğinin hem de kompozisyonunun değiştiği görülmektedir. Zaten kanser gibi sistemik hastalıklarda bağırsak mikrobiyotasının da etkilenmesi tahmin edilebilir bir durumdur. Kişinin içerisinde bulunduğu duygudurum, lösemi hücrelerinin bağırsaklarda yarattığı harabiyet, kişinin iştahını kaybetmesi gibi durumlar disbiyoza (mikrobiyotanın kompozisyonunun bozulması) yol açabilmektedir.
AML hastalarının dışkı örnekleri incelendiğinde, özellikle Bacteroides, Enterococcus, Streptococcus gibi patojen bakterilerin sayısı artarken, Roseburia ve Faecalibacterium gibi bize görece faydalı bakterilerin sayısında azalma görülmektedir (özellikle Faecalibacterium için birazdan ayrı bir parantez açacağız).
Bunu gören bilim insanları bu konuyu daha derinden incelemek üzere kolları sıvadılar ve fareler ile bazı deneyler gerçekleştirdiler. Deney sonrasında farelerin dalakları, kemik ilikleri ve kanları incelendi.
Deneyin sonuçlarına göre AML disbiyoza yol açtı ve ayın şekilde bu bozulma hali AML'nin progresyonunu kötüleştirdi. Araştırmacılar AML hastası fareleri 2 gruba böldüler ve bir gruba antibiyotik verilirken diğer gruba herhangi bir müdahalede bulunmadılar (buradaki antibiyotik verilmesi işlemini farelerde disbiyoza yol açmak olarak düşünebiliriz). Bu işlem sonrasında farelerin dalak, kemik iliği ve kanları incelendiğinde antibiyotik verilmiş farelerin organlarında lösemik hücrelerin sayısının arttığı görüldü. Bu, AML ve disbiyozun birbirini adeta körüklediğini destekleyen bir bulgudur.
Bağırsak Sağlığı ve Disbiyoz Düzelirse AML Progresyonu Yavaşlıyor!
Araştırmacılar, daha sonra yine AML hastası 2 grup farenin bir grubuna Fekal Mikrobiyota Transplantasyonu (FMT) yaptılar. Bu işlem, sağlıklı olduğunu bildiğimiz bireylerden alınan dışkı örneğinin uygun şartlar altında hasta bireylerin bağırsağına ekilmesidir. Burada amaç disbiyoza uğramış bağırsak mikrobiyotasını yeni ve sağlıklısıyla değiştirmek veya desteklemeye çalışmaktır.
Aslında maddi destek istememizin nedeni çok basit: Çünkü Evrim Ağacı, bizim tek mesleğimiz, tek gelir kaynağımız. Birçoklarının aksine bizler, sosyal medyada gördüğünüz makale ve videolarımızı hobi olarak, mesleğimizden arta kalan zamanlarda yapmıyoruz. Dolayısıyla bu işi sürdürebilmek için gelir elde etmemiz gerekiyor.
Bunda elbette ki hiçbir sakınca yok; kimin, ne şartlar altında yayın yapmayı seçtiği büyük oranda bir tercih meselesi. Ne var ki biz, eğer ana mesleklerimizi icra edecek olursak (yani kendi mesleğimiz doğrultusunda bir iş sahibi olursak) Evrim Ağacı'na zaman ayıramayacağımızı, ayakta tutamayacağımızı biliyoruz. Çünkü az sonra detaylarını vereceğimiz üzere, Evrim Ağacı sosyal medyada denk geldiğiniz makale ve videolardan çok daha büyük, kapsamlı ve aşırı zaman alan bir bilim platformu projesi. Bu nedenle bizler, meslek olarak Evrim Ağacı'nı seçtik.
Eğer hem Evrim Ağacı'ndan hayatımızı idame ettirecek, mesleklerimizi bırakmayı en azından kısmen meşrulaştıracak ve mantıklı kılacak kadar bir gelir kaynağı elde edemezsek, mecburen Evrim Ağacı'nı bırakıp, kendi mesleklerimize döneceğiz. Ama bunu istemiyoruz ve bu nedenle didiniyoruz.
Deney sonucunda FMT yapılan farelerde lösemik infiltrasyonun azaldığı gösterildi. Hatta işin ilginç kısmı, "Faecalibacterium içeren" ve "Faecalibacterium içermeyen" olarak 2 FMT grubu yapıldığında da Faecalibacterium içeren grup en iyi sonucu verdi. Ama Faecalibacterium'un tek başına bağırsağa verilmesi FMT'den daha zayıf bir etkiye yol açtı.
Buradan da aslında mikrobiyota değerlendirilirken ve çalışılırken sadece canlı popülasyonu olarak değil, aynı zamanda bu bakterilerin çevrelerinde etkileşime girdikleri ve ürettikleri/tükettikleri her şey ile beraber değerlendirilmeleri gerektiğine ulaşabiliriz.
Bu durumun bir gereği olarak araştırmacılar bağırsaklardaki metabolit içeriğini de incelemeye karar verdiler ve özellikle propiyonik asit ve bütirat'ın AML hastalarının bağırsaklarında azaldığını gözlemlediler. Biz biliyoruz ki propiyonik asit ve bütirat gibi kısa zincirli yağ asitleri mikrobiyota tarafından da üretilmektedir ve bağırsak mukozasının enerji ihtiyacını karşılamaktadır. Bu farelere bütirat takviyesi yapıldığında, lösemik infiltrasyon etkisi yine azaldı; fakat kandaki bütirat miktarı artmadı. Buradan da aslında bütiratın lösemik hücrelerle doğrudan etkileşime girmediğini, bağırsakta yarattığı etkilere ikincil olarak AML progresyonunu yavaşlattığını düşünebiliriz.
Peki nedir bu bütiratın bağırsakta yarattığı etkileri nasıl açıklarız? Çalışmanın devamında gösterildiği gibi bütirat, bağırsak mukozasındaki hücrelerin birbirlerine sıkıca bağlanmasını sağlayan Tight Junction Proteinleri'nin (TJP) miktarını artırarak immün bariyeri güçlendirmektedir ve hatta var olan hasarı geri döndürebilmektedir. Buranın en önemli kısmı Faecalibacterium sayısı ile bütirat miktarı arasında ciddi bir doğru orantı bulunmasıdır. Yani Faecalibacterium bütirat üretebiliyor ve bütirat ile beraber AML progresyonunda büyük bir önemi olduğu düşünülüyor.
Disbiyoz Oldu ve Bariyer Bozuldu. Bunun Lösemi ile Ne Alakası Var?
Aslında çalışmanın can alıcı kısmı burada ortaya çıkmaktadır: Bariyerin bozulması ile beraber gram negatif bakterilerin dış membranlarında bulunan Lipopolisakkarit (LPS) isimli endotoksinin kandaki seviyesi artmaya başladı. Ardından LPS'nin, hücre içindeki planlı hücre ölümünden sorumlu bazı yolakları inaktive ederek lösemik hücreleri ölmekten koruduğu düşünülmektedir. Böylece yazımızın en başında irdelediğimiz; AML'nin disbiyoza yol açması, disbiyozun AML progresyonunu kötüleştirmesi döngüsü daha iyi anlaşılmaktadır.
Sonuç
Mikrobiyota ile kanser ilişkisi, özellikle immünoterapi aracılı tedavilerin ve halk arasında akıllı ilaç olarak adlandırılan monoklonal antikorların geliştirilmeye başlanması ile üzerinde her geçen gün daha çok çalışılan bir konuya dönüşmüş durumdadır. Fakat her ne kadar bu çalışmada kanser progresyonu ve mikrobiyota hakkında güzel bir örnek incelemiş olsak da hem mikrobiyotanın hem kanserin kendi içlerinde çok karmaşık, oldukça öngörülemez ve henüz yeterince aydınlatılmamış alanlar olduğunu unutmamalıyız. Henüz mikrobiyota ve kanser arasındaki ilişkiyi tam anlamıyla anlamış değiliz, ancak gelecek bu konuda bize güzel günler göstereceğe benziyor!
Evrim Ağacı'nda tek bir hedefimiz var: Bilimsel gerçekleri en doğru, tarafsız ve kolay anlaşılır şekilde Türkiye'ye ulaştırmak. Ancak tahmin edebileceğiniz gibi Türkiye'de bilim anlatmak hiç kolay bir iş değil; hele ki bir yandan ekonomik bir hayatta kalma mücadelesi verirken...
O nedenle sizin desteklerinize ihtiyacımız var. Eğer yazılarımızı okuyanların %1'i bize bütçesinin elverdiği kadar destek olmayı seçseydi, bir daha tek bir reklam göstermeden Evrim Ağacı'nın bütün bilim iletişimi faaliyetlerini sürdürebilirdik. Bir düşünün: sadece %1'i...
O %1'i inşa etmemize yardım eder misiniz? Evrim Ağacı Premium üyesi olarak, ekibimizin size ve Türkiye'ye bilimi daha etkili ve profesyonel bir şekilde ulaştırmamızı mümkün kılmış olacaksınız. Ayrıca size olan minnetimizin bir ifadesi olarak, çok sayıda ayrıcalığa erişim sağlayacaksınız.
Makalelerimizin bilimsel gerçekleri doğru bir şekilde yansıtması için en üst düzey çabayı gösteriyoruz. Gözünüze doğru gelmeyen bir şey varsa, mümkünse güvenilir kaynaklarınızla birlikte bize ulaşın!
Bu makalemizle ilgili merak ettiğin bir şey mi var? Buraya tıklayarak sorabilirsin.
Soru & Cevap Platformuna Git- 9
- 1
- 1
- 0
- 0
- 0
- 0
- 0
- 0
- 0
- 0
- 0
- ^ R. Wang, et al. (2022). Gut Microbiota Regulates Acute Myeloid Leukaemia Via Alteration Of Intestinal Barrier Function Mediated By Butyrate. Nature Communications, sf: 1-18. doi: 10.1038/s41467-022-30240-8. | Arşiv Bağlantısı
- A. S. Fauci. Harrison's Principles Of Internal Medicine. ISBN: 9780071466332.
Evrim Ağacı'na her ay sadece 1 kahve ısmarlayarak destek olmak ister misiniz?
Şu iki siteden birini kullanarak şimdi destek olabilirsiniz:
kreosus.com/evrimagaci | patreon.com/evrimagaci
Çıktı Bilgisi: Bu sayfa, Evrim Ağacı yazdırma aracı kullanılarak 06/10/2025 11:16:03 tarihinde oluşturulmuştur. Evrim Ağacı'ndaki içeriklerin tamamı, birden fazla editör tarafından, durmaksızın elden geçirilmekte, güncellenmekte ve geliştirilmektedir. Dolayısıyla bu çıktının alındığı tarihten sonra yapılan güncellemeleri görmek ve bu içeriğin en güncel halini okumak için lütfen şu adrese gidiniz: https://evrimagaci.org/s/13223
İçerik Kullanım İzinleri: Evrim Ağacı'ndaki yazılı içerikler orijinallerine hiçbir şekilde dokunulmadığı müddetçe izin alınmaksızın paylaşılabilir, kopyalanabilir, yapıştırılabilir, çoğaltılabilir, basılabilir, dağıtılabilir, yayılabilir, alıntılanabilir. Ancak bu içeriklerin hiçbiri izin alınmaksızın değiştirilemez ve değiştirilmiş halleri Evrim Ağacı'na aitmiş gibi sunulamaz. Benzer şekilde, içeriklerin hiçbiri, söz konusu içeriğin açıkça belirtilmiş yazarlarından ve Evrim Ağacı'ndan başkasına aitmiş gibi sunulamaz. Bu sayfa izin alınmaksızın düzenlenemez, Evrim Ağacı logosu, yazar/editör bilgileri ve içeriğin diğer kısımları izin alınmaksızın değiştirilemez veya kaldırılamaz.