Turner Sendromu Nedir? Sadece 1 Tane X Kromozomu Olan Kişilerde Ne Tür Farklılıklar Görülür?
Merck Manuals
- Hastalık Kataloğu
- Tıp
Bu içerik tıp ve sağlık ile ilişkilidir. Sadece bilgi amaçlı olarak hazırlanmıştır. Bireysel bir tıbbi tavsiye olarak görülmemelidir. Evrim Ağacı'ndaki hiçbir içerik; profesyonel bir hekim tarafından verilen tıbbi tavsiyelerin, konulan bir teşhisin veya önerilen bir tedavinin yerini alacak biçimde kullanılmamalıdır.
- Türkçe Adı Turner Sendromu
- İngilizce Adı Turner Syndrome
- ICD ICD-10 Q96
- Diğer İsimleri Ullrich-Turner Sendromu, Bonnevie-Ullrich-Turner Sendromu, Shereshevsky-Turner Sendromu, Gonadal Disgenezi; 45X, 45X0
Bu Makalede Neler Öğreneceksiniz?
- Turner Sendromu, bir X kromozomunun eksikliği nedeniyle oluşan ve kadınlarda boy kısalığı, erken yumurtalık yetmezliği ve çeşitli kalp, böbrek gibi organ anomalileriyle karakterize bir kromozomal hastalıktır.
- Sendromda SHOX geninin haplo-yetersizliği boy kısalığına neden olurken, otoimmün tiroid hastalıkları, diyabet ve metabolik sendrom gibi endokrin sistem bozuklukları da sık görülür ve düzenli takip gerektirir.
- Turner Sendromlu bireylerde konjenital kalp hastalıkları, özellikle biküspit aort kapağı ve aort koarktasyonu yaygındır; bu nedenle kardiyovasküler komplikasyonların önlenmesi için periyodik kardiyolojik değerlendirme zorunludur.
Turner Sendromu, insanlarda biyolojik olarak dişi cinsiyetini belirleyen XX kromozom çiftinden 1 adet X kromozomunun silinmesiyle oluşan, dolayısıyla 45+X0 karyotipiyle karakterize edilen ve kadınlarda gelişimi etkileyen kromozomal bir durumdur. Sendromunun en yaygın özelliği boy kısalığıdır ve yaklaşık 5 yaşında kendini gösterir. Ayrıca, yumurtalık fonksiyonunun erken kaybı (yumurtalık hipofonksiyonu veya erken yumurtalık yetmezliği) de çok yaygındır. Yumurtalıklar ilk başta normal olarak gelişir, ancak yumurta hücreleri genellikle erken ölür ve çoğu yumurtalık dokusu doğumdan önce dejenere olur. Etkilenen birçok kız çocuğu, hormon tedavisi görmedikçe ergenliğe giremez ve dolayısıyla neredeyse hiçbiri gebe kalamaz. Sendromdan etkilenen kadınların küçük bir yüzdesi, genç yetişkinlik boyunca normal yumurtalık fonksiyonunu koruyabilir.
Turner Sendromu'na sahip kadınların yaklaşık %30'unun boyun bölgesinde ekstra deri kıvrımları (perdeli boyun), ensede düşük saç çizgisi, el ve ayaklarda şişme (lenfödem), iskelet anormallikleri veya böbrek sorunları vardır. Etkilenen bireylerin üçte biri ila yarısı, aort koarktasyonu (kalpten çıkan büyük arterin daralması) veya aortu kalbe bağlayan kapakçık anormallikleri gibi bir kalp kusuru ile doğar. Bu kalp kusurlarıyla ilişkili komplikasyonlar yaşamı tehdit edici olabilir.
Sendromdan etkilenen çoğu kadın normal zekaya sahiptir. Bu özellikler etkilenen bireyler arasında farklılık gösterse de, gelişimsel gecikmeler, sözel olmayan öğrenme güçlükleri ve davranış sorunları görülebilir.
Belirti ve Semptomlar
Turner Sendromu, tümü mevcut olan veya olmayan ana semptom ve bulgulardan oluşan bir spektrum bozukluğudur. Klinik özellikler oldukça değişken olduğundan fenotip-genotip korelasyonu her zaman sağlanamayabilir.
Endokrin İlişkili Belirtiler
Endokrin sistem, bir organizmanın iç bezleri tarafından doğrudan dolaşım sistemine salınan ve uzaktaki hedef organları düzenleyen hormonların geri besleme döngülerinden oluşan bir haberci sistemdir. Endokrin sistem tarafından salınan hormonlar, büyüme ve gelişme, metabolizma ve üreme dahil olmak üzere vücuttaki birçok önemli işlevi kontrol eder.
Turner Sendromuna sahip kişilerin vücutlarının endokrin sisteminin sendromdan nasıl etkilendiğini değerlendirmek için bir endokrinolog ile birlikte çalışması önerilir.
Büyüme ve Kısa Boy
Turner Sendromu'ndaki boy kısalığı, kondrositlerin farklılaşmasını düzenleyen SHOX geninin haplo-yetersizliğine (İng: "haploinsufficiency") bağlanmaktadır. Bu aynı zamanda yüksek kemerli damak, obstrüktif uyku apnesi, kepçe kulaklar ve kronik otitis media gibi Turner Sendromunda belirtilen diğer özellikleri de açıklar.
Sendromdan etkilenen bireyler gerçek büyüme hormonu eksikliğine sahip olmasalar da, izole SHOX gen eksikliği olanlarda görüldüğü gibi büyüme hormonuna yanıt verirler ve ortalama 7 cm boy artışı elde edebilirler. Bununla birlikte, bu, başlama yaşı ve tedavi süresi ile ilgili olduğunda bile hala yaşa bağlıdır.
Yumurtalık Yetmezliği
Hızlı ve ilerleyici oosit kaybından kaynaklanan yumurtalık yetmezliği, hemen hemen tüm Turner Sendromlu bireylerde sendromun bir başka özelliğidir ve ergen kızlarda pubertal gelişimin olmaması veya gecikmesi; doğurganlık çağındaki kadınlarda infertilite olarak kendini gösterir. Oositlerin bu hızlandırılmış dejenerasyonu, mayotik profazın erken evresindeki kromozom eşleşmesindeki başarısızlıkla ilişkilidir.
Spontan pubertal gelişim, mozaik olan hastalarda daha yaygındır ve bu popülasyonun yaklaşık üçte birinde meydana gelir. Bununla birlikte, bu grubun sadece daha küçük bir yüzdesi menarş oluşumuna kadar ilerlemeye devam edecektir.
Turner Sendromu'ndaki klinik sunumun değişkenliği ile uyumlu olarak, primordial folikül havuzunun boyutunda da önemli farklılıklar vardır. Bu, yeterince büyük bir havuza sahip mozaiklerin nasıl kendiliğinden ergenlik ve menarş geçirebileceğini açıklar; ancak yine de normal 46,XX olan kadınlardan daha hızlı folikül apoptoz oranına sahip olacaklardır.
Evrim Ağacı'nın çalışmalarına Kreosus, Patreon veya YouTube üzerinden maddi destekte bulunarak hem Türkiye'de bilim anlatıcılığının gelişmesine katkı sağlayabilirsiniz, hem de site ve uygulamamızı reklamsız olarak deneyimleyebilirsiniz. Reklamsız deneyim, sitemizin/uygulamamızın çeşitli kısımlarda gösterilen Google reklamlarını ve destek çağrılarını görmediğiniz, %100 reklamsız ve çok daha temiz bir site deneyimi sunmaktadır.
KreosusKreosus'ta her 50₺'lik destek, 1 aylık reklamsız deneyime karşılık geliyor. Bu sayede, tek seferlik destekçilerimiz de, aylık destekçilerimiz de toplam destekleriyle doğru orantılı bir süre boyunca reklamsız deneyim elde edebiliyorlar.
Kreosus destekçilerimizin reklamsız deneyimi, destek olmaya başladıkları anda devreye girmektedir ve ek bir işleme gerek yoktur.
PatreonPatreon destekçilerimiz, destek miktarından bağımsız olarak, Evrim Ağacı'na destek oldukları süre boyunca reklamsız deneyime erişmeyi sürdürebiliyorlar.
Patreon destekçilerimizin Patreon ile ilişkili e-posta hesapları, Evrim Ağacı'ndaki üyelik e-postaları ile birebir aynı olmalıdır. Patreon destekçilerimizin reklamsız deneyiminin devreye girmesi 24 saat alabilmektedir.
YouTubeYouTube destekçilerimizin hepsi otomatik olarak reklamsız deneyime şimdilik erişemiyorlar ve şu anda, YouTube üzerinden her destek seviyesine reklamsız deneyim ayrıcalığını sunamamaktayız. YouTube Destek Sistemi üzerinde sunulan farklı seviyelerin açıklamalarını okuyarak, hangi ayrıcalıklara erişebileceğinizi öğrenebilirsiniz.
Eğer seçtiğiniz seviye reklamsız deneyim ayrıcalığı sunuyorsa, destek olduktan sonra YouTube tarafından gösterilecek olan bağlantıdaki formu doldurarak reklamsız deneyime erişebilirsiniz. YouTube destekçilerimizin reklamsız deneyiminin devreye girmesi, formu doldurduktan sonra 24-72 saat alabilmektedir.
Diğer PlatformlarBu 3 platform haricinde destek olan destekçilerimize ne yazık ki reklamsız deneyim ayrıcalığını sunamamaktayız. Destekleriniz sayesinde sistemlerimizi geliştirmeyi sürdürüyoruz ve umuyoruz bu ayrıcalıkları zamanla genişletebileceğiz.
Giriş yapmayı unutmayın!Reklamsız deneyim için, maddi desteğiniz ile ilişkilendirilmiş olan Evrim Ağacı hesabınıza üye girişi yapmanız gerekmektedir. Giriş yapmadığınız takdirde reklamları görmeye devam edeceksinizdir.
Otoimmün Tiroidit
Turner Sendromuna sahip bireyler, otoimmün hastalıklar, özellikle otoimmün tiroid hastalıkları geliştirme riski altındadır. Bireylerin yaklaşık %41-45'inde tiroid peroksidaz antikorları bulunur ve Hashimoto Hastalığı prevalansı %30-50'dir. Hashimoto Hastalığı'ndan daha nadir görülen Graves Hastalığı, genel popülasyona kıyasla Turner Sendromu'nda hala daha sık görülür ve tahmini prevalansı %1,7-3'tür.
Otoimmün tiroid hastalıkları, tüm Turner Sendromu karyotiplerinde gözlenmesine rağmen, birçok çalışma, izole Xp delesyonu ve izokromozom Xq olanlarda otoimmün tiroid hastalıkları dahil otoimmün bozuklukların ortaya çıkma olasılığının daha yüksek olduğunu göstermiştir. Bu kromozom anomalilerinin her ikisi de X kromozomunun kısa kolundan yoksundur ve Xter-p11.2 bölgesinde yer alan bağışıklık düzenleyici genlerin haplo-yetersizliği, otoimmün bozukluklara artan yatkınlığın en olası açıklamasıdır.
Turner Sendromunda otoimmün bozuklukların artan sıklığının nedeni için önerilen diğer mekanizmalar şunları içerir:
- X kromozomunun maternal orijini,
- Hipogonadizm,
- Daha fazla pro-inflamatuar sitokin ve daha az anti-inflamatuar sitokin ile sitokin dengesizliği.
Diyabet ve Metabolik Sendrom
Turner Sendromlu hastaların tip 1 veya tip 2 diyabet geliştirme riskleri daha yüksektir. Tip 1 diyabet için artan risk, Turner Sendromu'nda otoimmün durumların gelişmesi için genel olarak daha yüksek risk ile açıklanmaktadır. Turner Sendromunda tip 2 diyabet de dahil olmak üzere metabolik sendrom için ilişkili risk, birkaç faktörün katkıda bulunduğu karmaşık bir patofizyolojik süreci içerir.
Turner Sendromu'na sahip hastalarda gözlenen metabolik sendromun özelikleri arasında şunlar bulunur:
- Abdominal yağlanma,
- Bozulmuş vasküler fonksiyon,
- Hipertansiyon,
- Dislipidemi,
- İnsülin direnci.
X kromozomu gen dozajının, 45,X monozomisinde risk faktörlerinin kümelenmesi raporlarıyla birlikte, Turner Sendromunda metabolik bozuklukların oluşumunu etkilediği düşünülmektedir.
Turner Sendromlu bireylerin vücut kitle indeksi ile eşleştirilmiş Turner Sendromlu olmayan kadınlara göre daha yüksek vücut kitle indeksine ve daha yüksek bel çevresine sahip oldukları görülmüştür.
Turner Sendromlu gençlerin %20-40'ında ve yetişkin bireylerin %60'ında renal anomalilere bağlı ya da idiyopatik olabilen sistemik hipertansiyon vardır. Bazı çalışmalarda yüksek trigliserit, yüksek düşük yoğunluklu lipoprotein (LDL) ile düşük yüksek yoğunluklu lipoproteinden (HDL) oluşan aterojenik bir lipit profili de gözlenmiştir ve hiperkolesterolemi Turner Sendromlu hastaların %37-50'sinde rapor edilmiştir.
Turner Sendromunda değişen glukoz ve insülin metabolizması, büyük olasılıkla azalmış birinci faz insülin salınımı ile birlikte azalmış beta-hücre yanıtına bağlıdır. PAR1'in haploid gen eksikliğinin, uygun insülin yanıtında rol oynayan belirli reseptör tipleri, transkripsiyon faktörleri, fosfolipaz ve protein lipazlarını içeren, genin kodladığı moleküllerin ekspresyonunun değişmesiyle sonuçlandığına inanılmaktadır.
Keşfedilen bir başka genetik mekanizma, X kromozomunun uzun kolunun, adacık hücresi antijeni ve insülin benzeri büyüme faktörü II gibi diyabetle ilgili genlerin aşırı ekspresyonunu tetikleyen Xq'nin ek kopyaları ile daha yüksek diyabet insidansı ile ilişkisidir. Bu aşırı ekspresyon daha sonra beta hücrelerinde immün aracılı hasarla bağlantılıdır ve bu da yanıtın azalmasına neden olur.
Kardiyak Belirtiler
Turner Sendromuna sahip bireylerin yaklaşık yarısında konjenital (doğuştan) veya kazanılmış (edinsel, sonradan edinilen) kardiyovasküler hastalıklar mevcuttur.
/old/content_media/b651e95b75e06ca3bc14be9c207b25c5.jpeg)
Sendromdan etkilenen tüm bireyler bir kardiyolog tarafından değerlendirmeli ve periyodik takibe alınmalıdır. Östrojen tedavisine veya yardımcı üremeye başlamadan önce değerlendirme yapılması şiddetle tavsiye edilir.
Konjenital Malformasyonlar
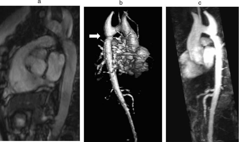
En yaygın konjenital kardiyovasküler malformasyon, Turner Sendromuna sahip hastalarının %20 ila %30'unda bulunan biküspit aorttur. Bununla birlikte, asemptomatik vasküler anormallikler yetişkinliğe kadar teşhis edilemediğinden prevalansını belirlemek zordur. Biküspit aort, sonraki aort dilatasyonu ve hatta aort diseksiyonu için zemin hazırlayıcı bir faktördür. Bu nedenle, Turner Sendromu ve biküspit aortu olan hastalar aort dilatasyonu geliştirmeye eğilimlidir ve yaşamları boyunca kardiyovasküler takibe ihtiyaç duyarlar.
İkinci en sık görülen konjenital malformasyon, hastaların %7-18'inde görülen aort koarktasyonudur. Tersine, yeni doğan bir kız çocuğunda aort koarktasyonu bulgusu, vakaların %12'sinde mevcut olduğu için Turner Sendromu tanısını gerektirmelidir.
Klinik olarak asimetrik kan basıncı tanıdan yanadır. Boyun ağı ve artan ön-arka torasik çap, Turner Sendromunda arteriyo-venöz anormalliklerin güçlü belirleyicileridir.
/old/content_media/ec05a04f572ca518a78c860d94eddbe4.jpeg)
MR'da transvers aort uzamasının sık görülmesi aort koarktasyonuna eşdeğerdir. Aort kanalının yanındaki fibrotik süreç, aort çaprazı seviyesinde aort darlığına neden olur. Aort koarktasyonundan kaynaklanan sol ventrikül çıkışının ters akış fenomeni, hipertansiyon ve aort dilatasyonundan sorumludur.
Biküspit aort kapakçıkları ve aort koarktasyonu dışında tanımlanan diğer kalp ve damar anormallikleri arasında ise şunlar bulunur:
- Parsiyel anormal pulmoner venöz bağlantı,
- Sol superior vena kava,
- Uzamış transvers ark ve brakiyosefalik arterlerin dilatasyonu,
- Hipoplastik sol kalp sendromu,
- Mitral kapak anomalileri,
- Azigos ile devam eden kesintili inferior vena kava,
- Kardiyak dekstropozisyon,
- Ventriküler septal defekt,
- Atriyoventriküler septal defekt,
- Pulmoner kapak anormallikleri.
Kalp Ritim Bozuklukları
Turner Sendromlu hastaların kontrollerinde istirahat elektrokardiyogramı gereklidir. Taşikardi genel popülasyondan daha sık görülür. Ayrıca Turner Sendromlu hastalarda uzamış hıza göre düzeltilmiş QT aralığı (QTc) tanımlanmıştır. Dinlenme sırasında QTc > 460 ms, egzersiz testi ve 24 saat Holter izleme tanıyı doğrulamalıdır. Bu tür hastalarda QTc'yi uzatan ilaçlardan kaçınılmalıdır.
Kazanılmış Kalp Hastalıkları
Aort Dilatasyonu ve Aort Diseksiyonu
Turner Sendromunda kalp kusurlarının nadir fakat potansiyel olarak ölümcül bir komplikasyonu, aort damarının farklı sebeplerle yırtılması ve duvar içine kan dolmasıyla oluşan aort diseksiyonudur. Aort değerlendirmesi için iki ana görüntüleme tekniği vardır:
- Transtorasik Kardiyak Ekokardiyografi (TTE): Maliyet ve bulunabilirlik açısından avantajlı olsa da, muayenenin konjenital kalp hastalıkları konusunda eğitimli bir klinisyen tarafından yapılması gereklidir. Ayrıca, özellikle bebeklik döneminde muayene sırasındaki hareketlere bağlı torasik hipotez ekojenite ve artefaktlar TTE'nin sık görülen bir dezavantajıdır.
- Aort Manyetik Rezonans Görüntüleme (MRI): Manyetik rezonans görüntüleme, operatöre daha az bağımlıdır ve inen aort dahil tüm aortik ark değerlendirilebilir. Bu teknik, dünya çapında giderek daha fazla kullanılmaktadır.
Turner Sendromuna sahip kadınların %23'ünde aort dilatasyonu rapor edilmiştir. Aort dilatasyonu, sendromdan etkilenen kadınların yaklaşık %5'inde tek başına daha az sıklıkla meydana gelebilir. Bu da, yine tüm hastaların periyodik olarak izlenmesi gerektiğini gösterir ve aort kökü en azından şu dört seviyede ölçülmelidir:
- Aort halkası,
- Valsalva sinüsleri,
- Sino-tübüler birleşme yeri,
- Tübüler (boru şeklinde) yükselen aort.
Aort kökü büyümüş hastaların her yıl ekokardiyografik değerlendirmeden geçmesi ve aort kökü boyutları normal olan hastaların 2-3 yılda bir değerlendirilmesi önerilmiştir. Yaş ve vücut boyutuna göre düzeltilmiş aort çapı, aort olaylarını tahmin etmede doğrudur ve aort diseksiyonu için başlıca risk belirtecidir.
Hipertansiyon
Hipertansiyon, aort dilatasyonu, aort diseksiyonu ve inme için önemli bir kazanılmış predispozan faktördür. Turner Sendromu hastalarında hipertansiyon prevalansı %13 ile %58 arasında değişmektedir. Hipertansiyon, pediatrik hastaların yaklaşık %25'inde erken bir bulgudur.
Hastalarda, anormal nokturnal dipping (uyku sırasında kan basıncında düşüş) sık görülür ve 24 saatlik ayaktan kan basıncı ölçümü ile tespit edilebilir.
Turner Sendromunda hipertansiyonun nedenleri tam olarak anlaşılamamıştır ve muhtemelen çok faktörlüdür. Aşırı kilo, dislipidemi, diyabet ve inflamasyon, bozulmuş insülin aracılı vazodilatasyon, sempatik sinir sisteminin artan stimülasyonu ve östrojen eksikliği muhtemelen rol oynamaktadır. Hipertansiyon varlığından önce mevcut olan artmış sol ventrikül kitlesi de patofizyolojisine katkıda bulunabilir.
İlginç bir şekilde, estradiol takviyesinin kan basıncı seviyesi üzerinde hafif bir pozitif etkiye sahip olduğu görülmüştür.
Koronopati
Turner Sendromu, koroner arter hastalığı ile ilişkilidir. Glukoz homeostazı sıklıkla hiperinsülinemi, insülin direnci ve düşük birinci faz insülin sekresyonu ile bozulur. Tip 1 ve tip 2 diyabet riski her yaşta sırasıyla 10 ve 4 kat artmaktadır. Dislipidemi genel popülasyona göre daha sıktır.
Turner Sendromudan etkilenen hastalar genel popülasyona göre daha yüksek kardiyovasküler risklere sahiptir. Bu nedenle, sendromdan etkilenen hastalarda aşağıdaki parametreler düzenli olarak değerlendirilmelidir:
- Kilo,
- Kan Basıncı,
- Glisemi,
- Kolesterol.
Diğer Belirtiler
Turner Sendromunda görülen olası diğer belirtiler şunları içerebilir:
- Dental: Yüksek kemerli bir damak tanıyı düşündürür. Hastalarda diş çapraşıklığı veya maloklüzyon (diş kapanış bozukluğu) olabilir.
- Perdeli Boyun: Rahim içi lenfödem (lenf bezlerinin tıkanması), geniş bir boyuna ile düşük veya belirsiz bir saç çizgisine neden olabilir.
/old/content_media/3ae1ff34b62c22af4a8f7585a4f76778.jpeg)
- Tırnaklar: Birçok hastada hipoplastik (az gelişmiş) veya hiperkonveks tırnaklar vardır. Bunlar klinik bir problem olmasa da diğer hastalarda nadiren görülürler.
- Nevüs (Ben): Diğer aile üyelerine kıyasla aşırı sayıda nevüs yaygındır. Giysilerin sürtünmesiyle tahriş olabilir veya kopabilirler.
- Cubitus Valgus: Troklear başının anormal gelişimi nedeniyle kızlarda sık görülen, ön kolun vücuttan dışarı açılı olduğu bir iskelet anomalisidir.
/old/content_media/ebf25bceaa7c002331906789335f6199.jpeg)
- Lenfödem: Lenfatik sistemdeki bozukluktan dolayı hücreler arası sıvıda meydana gelen artış olarak tanımlanan lenfödem, vücudun dokularında şişmeye neden olan uzun süreli (kronik) bir durumdur. Lenfödem her yaşta olabilir ve fetal ultrasonografide Turner Sendromunu düşündürebilecek bir bulgudur. Lenfödem, perdeli boyun ve düşük arka saç çizgisi gibi diğer anomalilerin nedenidir. Bebeklerde, displastik veya hipoplastik tırnaklar ve lenfödem kombinasyonu, el ve ayak parmaklarına karakteristik sosis benzeri bir görünüm verir.
/old/content_media/a44900ba2f65dd19ef7161ae5a113389.jpeg)
A(ii) ve B(ii): Eller ve parmakların iki taraflı şişmesi.
A(iii) ve B(iii): Ayak bileklerin ve ayakların iki taraflı şişmesi.
A(iv): Ayak parmakları. Papillomatoz, küçük displastik ayak tırnakları ve derin cilt kıvrım kırışıklıkları ile şişme.
B(iv): Ayak parmakları. Küçük displastik ayak tırnaklarıyla şişme.
- Gözler: Turner Sendromuna sahip kızlarda pitoz, şaşılık, ambliyopi ve katarakt daha sık görülür. Epikantal kıvrımlar mevcut olabilir.
- Kulaklar ve İşitme: Seröz otitis media, muhtemelen orta kulağın yüksek kemerli bir damakla ilişkili olabilecek zayıf anatomik drenajı nedeniyle daha yaygındır. Kulak kepçeleri, lenfödemin bir sonucu olarak arkaya dönmüş veya düşük ayarlanmış olabilir. Otoskleroza bağlı işitme kaybı yetişkinlerde sık görülür.
- Gastrointestinal Kanama: Genellikle bağırsak vasküler malformasyonlarından kaynaklanır, ancak Crohn hastalığı ve ülseratif kolit insidansı da artar.
- Kalça Çıkığı: Bebeklerde doğuştan kalça çıkığı görülme sıklığı daha yüksektir. Klinik olarak değerlendirilmeli ve gerekirse daha ileri tedavi için sevk edilmelidirler.
- Skolyoz: Turner Sendromuna sahip ergen kızların %10'unda skolyoz görülür ve boy kısalığına katkıda bulunabilir.
- Cutis Laxa: Yenidoğanların özellikle boynundaki gevşek cilt kıvrımları sendromun belirtileridir. Bu kıvrımlar, lenfödemin çözülmesinin bir sonucudur ve bazen bebeklikten sonra görülür.
Hastalıkla İlişkili Genler, Etken Faktörler ve Risk Faktörleri
İnsanlar, cinsiyete karar veren iki cinsiyet kromozomu ve diğer faktörleri belirleyen 44 kromozom ile birlikte 46 çift kromozoma sahiptir. Genellikle bir kadının iki X kromozomu vardır, fakat Turner Sendromuna sahip kadınlarda bu kromozomlardan biri yoktur veya anormaldir.
/old/content_media/ea15e43fdbb40bc1e0733c80c130d5c9.jpeg)
Etyopatogenez
Turner Sendromu en yaygın anöploidi olarak kabul edilir, ancak konjenital oluşumların %99'u spontan düşükle sonuçlanır. Diğer anöploidilerde olduğu gibi, Turner Sendromuna katkıda bulunduğuna inanılan birincil mekanizma, öz hücreler arasında genetik materyalin eşit olmayan bir dağılımına yol açan bir süreç olan mayotik ayrılmamadır, öyle ki bazı hücreler ek kromozomlara sahip olabilirken, diğerlerinde bu kromozomlar eksik olabilir.
/old/content_media/48d6b21d93f8590820fb669b5822c50c.jpeg)
Turner Sendromunun patofizyolojisi, X kromozomundaki eksik veya değiştirilmiş genlerin eksik ekspresyonu ile ilgilidir. Henüz tam olarak aydınlatılamamış olsa da, birden fazla genin dahil olduğuna ve bu nedenle Turner Sendromunda görülen heterojen klinik özelliklere yol açtığına inanılmaktadır.
Turner Sendromunun Varyantları
Turner Sendromuna sahip kadınlarda, tümü X-kromozomal materyalden yoksun olan ve klinik sendromun gelişmesine yol açan farklı karyotipler bulunabilir. Bu karyotipler arasında şunlar bulunur:
- Monozomi (İkinci X kromozomunun tamamen veya kısmen yokluğu: Örneğin, 45,X),
- Mozaisizm (45,X'in başka bir hücre dizisi ile mozaikliği. Örneğin, 45,X/46,XX veya 45,X/47,XXX),
- İzokromozom (p veya q kolundan bir izokromozomun varlığı),
- Halka kromozomları,
- Y-kromozomal materyalin varlığı,
- Daha karmaşık diğer karyotipler.
/old/content_media/16312fdeed19179414d74537d12fb9cb.jpeg)
X kromozomu sadece cinsiyet tayini için önemli değildir, aynı zamanda embriyonik dönemde büyüme ve gelişmeden sorumlu birkaç geni içerir ve herhangi bir anormallik veya kusur sonuçta Turner Sendromu hastalık koşullarının patogenezine yol açabilir.
'Gen Dozaj Etkisi' hipotezi ayrıca Turner Sendromu özelliklerinin, X kromozomunun gen dozajına duyarlı belirli bölgelerine haritalanabileceğini varsaymaktadır. Ancak Turner Sendromunda fenotipik değişkenlik tek başına genomik dengesizlik ile açıklanamaz. Epigenetik faktörlerin bir sonucu olarak X kromozomu inaktivasyonu ve değişmiş gen ekspresyonu gibi diğer süreçlerin de katkıda bulunduğu varsayılmaktadır.
- Gen Dozajı: Bir genomda bulunan belirli bir genin kopya sayısıdır. Gen dozajının, hücrenin ifade edebildiği gen ürünü miktarı ile ilişkili olduğu bilinmektedir; yine de, bir hücrede üretilen gen ürününün miktarı daha çok gen ekspresyonunun düzenlenmesine bağlıdır. Bununla birlikte, gen eklemeleri veya delesyonları nedeniyle gen dozajındaki değişiklikler (kopya sayısı varyasyonları) önemli fenotipik sonuçlara sahip olabilir.
Monozomi (Klasik Turner Sendromu)
Monozomi, bir çiftten sadece bir kromozomun bulunduğu bir anöploidi şeklidir. Her hücrede iki yerine yalnızca bir X kromozomu vardır, yani etkilenen bireyler, 46 kromozom yerine sadece 45 kromozoma sahiptir. Kısmi monozomi ise bir çiftteki bir kromozomun bir kısmı eksik olduğunda ortaya çıkar, örneğin, X kromozomunun kısa kolundaki bir delesyon gibi çeşitli kısmi monozomiler olabilir.
Turner Sendromu vakalarının yaklaşık %40-50'sinde Monozomi X vardır. Genetik açıdan, bu hastalar ne erkek ne de kadındır çünkü cinsiyeti belirleyen ikinci kromozom yoktur. Bununla birlikte, fenotipik olarak, etkilenen bireyler dişi olarak gelişir çünkü fetal gonadları erkek konfigürasyonuna yönlendirecek bir Y kromozomu yoktur.
/old/content_media/97a74af45fbb92172c18bfb622ab0ed9.jpeg)
Mozaisizm (Mozaik Turner Sendromu)
Mozaizm veya genetik mozaisizm, çok hücreli organizmalarda, tek bir organizmanın genetik mutasyon sonucu birden fazla genetik çizgiye sahip olduğu bir durumdur. Bu, çeşitli genetik hatların tek bir döllenmiş yumurtadan kaynaklandığı anlamına gelir.
/old/content_media/82190accae2cd5bb4b1eaae79b9fd3e2.jpeg)
Mozaik Turner Sendromuna sahip bireylerin bazı hücrelerinde normal (çift X kromozomu) kromozom yapısı bulunurken, diğer hücrelerindede X kromozomunun bir kopyası eksiktir. Vakaların yaklaşık yarısında mozaisizm vardır. Bu vakalarda semptomlar genellikle daha azdır veya hiç semptom görülmeyebilir.
- 45,X/46,XX: Mozaisizmin en yaygın biçimi 45,X/46,XX (%15) olup hem normal karyotipli hücre dizisini hem de patolojik sitogenetik yapıyı içerir. Bu hastalar tipik Turner Sendromu özelliklerinden ziyade normal bir fenotipe sahip olabilir. Bununla birlikte, 45,X karyotipine sahip kadınların yaklaşık %3'ünde ve mozaik kadınlarının %20'sine kadar spontan menstrüasyon görülür. Mozaik dişilerde ortalama ergin uzunluğu daha yüksek iken, somatik anomali bulunma olasılığı daha düşüktür. Psikiyatrik bozukluklar da görülebilir. Özellikle Turner Sendromuna sahip şizofreni hastalarının çoğunluğu mozaik 45,X/46,XX karyotipine sahiptir.
- 45,X/46,XY: 46,XY hücre hattı ile Turner Sendromu hastaların %5-10'unda görülebilir. Klinik özellikleri oldukça değişkendir. Hastalarda tipik Turner Sendromu fenotipi, normal erkek görünümü, orta derecede maskülinizasyon, erkek psödohermafroditizm ve malign forma dönüşebilen mikst gonadal disgenezi olabilir. Ancak fenotipten Y hücre hattının varlığı tahmin edilemez. Erkekleşme kanıtı olmayan normal kadın fenotipi olan hastalarda da 46,XY hücre çizgisi olabilir. Bu nedenle gonadoblastom başta olmak üzere herhangi bir germ hücreli tümör riski nedeniyle hastalar yakın takip edilmelidir. Güncel literatürde 45,X/46,XY karyotipli hastalarda germ hücreli tümör gelişme sıklığı yaklaşık %15 olarak bildirilmektedir.
- 45,X/47,XXX: Triple X Sendromu, canlı doğan dişilerde 1/1000 sıklıkta görülür. Klinik özellikler, büyük eller/ayaklar ve mikrosefalik görünüm, hipotoni, nöbetler, genitoüriner anormallikler ve erken yumurtalık yetmezliği ile uzun boy içerir. Ergenliğin başlangıcı, cinsel gelişim ve doğurganlık genellikle normaldir. 47,XXX karyotipli hastalarda da konuşma ve motor gerilik, öğrenme güçlüğü, dikkat eksikliği ve davranış bozuklukları görülebilir. Son derece nadir görülen 45,X/47,XXX karyotipi Turner Sendromlu hastaların %3-4'ünü oluşturur ve etiyoloji, normal disomik hücre dizilerinde meydana gelen zigot-sonrası ayrılmama ile ilişkilendirilebilir. Hastalar genellikle daha hafif bir fenotipe sahiptir ve Turner Sendromunun karakteristik özellikleri görülmeyebilir. Ancak yumurtalık yetmezlik görülebilir ve 45,X/47,XXX karyotipli hastalarda monozomili hastalardan daha sık spontan menarş (ilk adet döngüsü) ve fertilite görülür.
Delesyon (Xp veya Xq)
Delesyon, bir kromozomun bir bölümünün eksik (silinmiş) olduğu anlamına gelir. Çok küçük bir kromozom parçası birçok farklı gen içerebilir ve delesyon, genetik materyalin kaybolmasına neden olur.
Turner Sendromuna sahip hastalarda Xp delesyon prevalansı yaklaşık %2'dir. Boy kısalığı, gonadal disgenezi ve karakteristik Turner Sendromu belirtileri özellikle kısa kolun tamamında delesyon gösteren hastalarda görülür. Ayrıca kısmi silmelerde fenotip değişkendir. Xp22.33-Xp22.12 bölgesi, terminal bölgede bulunan SHOX genini içerir. Gen, X inaktivasyonundan kaçar ve işlevi doza bağlıdır. Bu nedenle SHOX geninin haplo-yetersizliği büyüme geriliğine neden olur.
SHOX geni faringeal ark, uzuvlar, osteojenik hücreler, kemik iliği ve fibroblastlarda eksprese edilir. Genin haplo-yetersizliğinde boy kısalığının yanı sıra kısa metakarp, yüksek damak, kubitus valgus, Madelung deformitesi ve mezomelik displazi gibi iskelet anomalileri de görülebilir. SHOX genini veya onun düzenleyici bölgelerini içeren mutasyonlar, idiyopatik boy kısalığı olan hastaların yaklaşık %17'sinde, Leri-Weill Sendromlu hastaların ise %50-90'ında saptanabilmektedir.
Xp ve Yp üzerinde bulunan genler, kardiyovasküler sistemin normal gelişimi için gereklidir. Turner Sendromlu hastalarda konjenital kalp hastalıklarının doğum öncesi ve doğum sonrası ölümlerde önemli rolü vardır. En yaygın kardiyovasküler defektler hastaların %30'unda görülen biküspit aort kapağı ve aort koarktasyonudur. Ek olarak, genellikle ölümcül olan hipoplastik sol kalp sendromu hastaların yaklaşık %10'unda görülür. Özellikle, sol ventrikül çıkış yolu kusurları, Xp'nin terminal bölgesi ile ilişkilidir.
Sitogenetik çalışmalar, Xq13 ve Xq28 arasındaki bölgenin normal yumurtalık fonksiyonu için önemli olduğunu göstermiştir. Xq13-q21 bölgesi kritik bölge (CR) 1 olarak tanımlanır ve bu bölgenin proksimal delesyonları genellikle normal adet görme ve doğurganlık ile uyumludur. Xq23-q28'deki CR2'nin terminal ve interstisyel silmeleri, çoğunlukla erken yumurtalık yetmezliğinden sorumludur.
Yumurtalık fonksiyonunda önemli olan FMR1 geni, Xq27.3 lokusunda bulunur ve genin ekson 1 üçlü tekrarındaki genişlemeler, erken menopoz riskinin artmasıyla ilişkilidir.
Halka Kromozomu [46,X,r(X)]
Halka kromozomlar genellikle her iki kromozom kolundaki iki terminal kırılmasından ve ardından kırık uçların birleşmesinden kaynaklanır. Asentrik kısım genellikle kaybolur ve kısmi monozomi meydana gelir.
/old/content_media/74b6df5a8a8d67b38b074e402c8dbb66.jpeg)
Halka kromozomları karmaşık mitotik olaylara neden olur. Fenotip, halka kromozomunun boyutuna ve kısa ve uzun kol delesyonlarına göre oldukça değişkendir. Turner Sendromlu hastaların yaklaşık %6'sında bir halka X kromozomu bulunur ve genellikle 45,X hücre hattı için mozaisizm bulunur.
46,X,r(X) karyotipli kadınlarda boy kısalığı, periferik ödem, karakteristik yüz hatları, düşük boyun saç çizgisi, yumurtalık disgenezisi ve endokrin bozukluklar gibi tipik Turner Sendromu bulguları olabilir. Öte yandan, halka kromozomlu Turner Sendromunda, 45,X karyotipli Turner Sendromuna göre zeka geriliği, öğrenme güçlüğü, otizm spektrum bozuklukları ve yapısal beyin anormallikleri daha sık görülmektedir. Bazı hastalarda daha şiddetli fenotipik özellikler olabilir ve bunun X inaktivasyon merkezinin işlevsel olup olmamasına bağlı olduğu düşünülmektedir.
Normal dişilerde, iki X kromozomundan biri yaşamın erken evrelerinde inaktif hale gelir ve X'e bağlı genlerin ifadesi her iki cinsiyet için eşitlenir. Bir X kromozomunun inaktivasyonu rastgeledir ve sonraki hücre bölünmeleri boyunca klonal bir şekilde korunur. Sonuç olarak, dişiler, X kromozomu ile ilişkili gen ekspresyonu açısından mozaik hale gelir.
X inaktif spesifik transkript (XIST) geninin ekspresyonunda önemli rol oynayan X inaktivasyon merkezi, X kromozomu üzerinde q13 konumunda bulunur. Ayrıca, XIST geni, X inaktivasyonu için kilit bir ana düzenleyici lokus gibi görünmektedir. X kromozomunun yapısal anormallikleri olan hastalarda, anormal X kromozomu (delesyonlar, duplikasyonlar, izokromozomlar gibi) her zaman inaktive olandır. Daha küçük halka kromozomları, XIST lokusundan yoksun olabilir ve bu da onları halkada bulunan genler için işlevsel olarak disomik hale getirir.
XIST ekspresyonu olmayan mozaik halka X kromozomu olan dişilerde, zeka geriliğine ek olarak ekstremite anomalileri, anormal pigmentasyon ve Kabuki Make-Up Sendromunun yüz özellikleri de olabilir. Hiperinsülinemik hipoglisemi özellikle mozaik karyotipli hastalarda görülebilen atipik bir özelliktir.
İzokromozom X [46,X,i(X)]
İzokromozom, sentromer bölünmesiyle türetilen iki kısa kol veya iki uzun koldan oluşan yapısal bir kromozomal anormalliktir. X kromozomunun en yaygın yapısal anormalliği 46,X,i(Xq)'dir. Mozaisizm olan veya olmayan Turner Sendromu olgularında izokromozom sıklığı %15-18 olarak bildirilmiştir.
En sık gözlenen klinik özelliklerden biri olan boy kısalığı SHOX haplo-yetersizliği ile açıklanabilir. Bu nedenle 46,X,i(Xq) karyotipli hastalarda boy kısalığı daha sık görülürken, çok nadir bir oluşum olan 46,X,i(Xp) karyotipli hastalarda gonadal disfonksiyon görülme olasılığı daha fazladır.
Turner Sendromunda otoimmün tiroid hastalığı insidansı ileri yaşla birlikte artmaktadır. Son zamanlarda, izokromozom karyotipi olan hastalarda yaşamın ilk on yılından üçüncü on yılına kadar otoimmün tiroid hastalığı prevalansında iki kat artış gözlenmiştir. Ayrıca 45,X veya 46,X,i(Xq) karyotipli hastalarda mozaik karyotipli hastalara göre daha yüksek işitme kaybı gelişme riski vardır.
X-İnaktivasyonunun Fenotipe Katkıları
X kromozomunun kısa kolundaki X inaktivasyonundan kaçan genler Turner Sendromu fenotipinde rol oynar. X inaktivasyonu, erkek ve dişi memeliler arasındaki gen dozajlarını eşitlemek için X kromozomlarından birinin susturulduğu ve tüm somatik hücrelerde X kromozomunun bir fonksiyonel kopyasının elde edildiği süreçtir.
Normal koşullar altında, bir X inaktivasyonu epigenetik süreci, her hücrede bulunan iki X kromozomundan birini rastgele metiller, böylece sadece bir X kromozomundan gelen genler aktif olarak eksprese edilir. Bununla birlikte, X kromozomunun psödootozomal bölgesi 1 (PAR1) ve psödootozomal bölgesi 2 (PAR2)'deki belirli genler, X inaktivasyonundan kaçabilir ve bu genler susturulmuş X kromozomunda olsalar bile yine de eksprese edilebilir. Erkeklerdeki Y kromozomu ayrıca PAR'larda bulunan genleri içerir; dolayısıyla hem 46,XX hem de 46,XY bireyleri, dişilerde X inaktivasyonundan kaçan psödootozomal genlerin iki kopyasını ifade eder.
Buna karşılık, Turner Sendromu için, yalnızca bir X kromozomu olan hücreler, bu psödootozomal genlerin ikinci kopyasından veya ikinci bir cinsiyet kromozomunun bulunmaması nedeniyle tipik olarak X inaktivasyonundan kaçacak diğer genlerden yoksundur. Haplo-yetersizliği (İng: "haploinsufficiency") olarak adlandırılan bu durum genlerin ekspresyonunun azalmasına neden olur. Turner Sendromunda yer alan haplo-yetmezlik derecesi karyotipe bağlıdır; 45,X karyotipi, mozaik karyotiplerinden daha fazla haplo-yetersizlik içerir.
Turner Sendromu karyotipinden kaynaklanan çarpık inaktivasyon paterni ile ilişkili haplo-yetersizliği katkısının bir örneği, daha önce tanımlanmış kısa boy homeobox veya Xp22.23'te bulunan ve şimdiye kadar Turner Sendromunun özellikleriyle zorunlu olarak ilişkilendirilen tek gen olan SHOX geni ile ilgilidir. SHOX, kemik büyümesine katkıda bulunabilecek osteojenik genlere yol açabilen kemik iliği fibroblastlarında eksprese edilir.
PAR1'de bulunan bir başka gen, Turner Sendromu ile ilişkili yüksek rahim içi ölüm oranlarında rol oynayabilecek olan CSF2RA genidir. SHOX geninin haplo-yetersizliği Turner Sendromu hastalarında büyümeye engel olabilse de, CSF2RA'nın haplo-yetersizliği uygun plasental fonksiyonu engelleyebilir.
PAR'larda bulunanların yanı sıra X kromozomundaki diğer genler de X inaktivasyonundan kaçabilir. Örneğin, TIMP1 genellikle X inaktivasyonundan kaçar, bu nedenle Turner Sendromu, potansiyel olarak bir biküspit aort kapağının (normal bir triküspit aort kapağı yerine) oluşumunu teşvik eden TIMP1'in haplo-yetersizliği içerir. Unutulmamalıdır ki, kromozom 22 üzerinde bulunan bir gen olan TIMP3'ün belirli varyantları da biküspit aort kapağı ile ilişkilidir ve kişide bu TIMP3 varyantları varsa, TIMP1'in azalmış ifadesi kalp kusurları riskini artırabilir.
TIMP1 ve TIMP3 arasındaki ilişki, bazı otozomal genlerin varlığı ile birlikte X kromozomu genlerinin yetersiz ekspresyonunun Turner Sendromunda görülen klinik belirtileri ortaya çıkarabileceğini gösterir.
Kardiyak Etkilerin Nedenleri
X kromozomunun (Xp) kısa kolunda bulunan gen(ler)in haplo-yetersizliği kardiyovasküler fenotiple ilişkilendirilmiştir. Biküspit aort Turner Sendromunda genel popülasyona göre çok daha sık görüldüğünden, bu ikinci X kromozomunun biküspit aorta karşı koruyucu bir faktör olduğunu düşündürür.
Turner Sendromlu hastaların dahil edildiği bir genom çalışmasının analizi, TIMP3 adlı bir genin aortopati indeksleri ile ilişkili olduğunu ortaya çıkardı. İlginçtir ki, TIMP3 geni Xp'de bulunur. Transkripsiyon ürünü, aortik matriks metalloproteinazların bir doku inhibitörüdür (TIMP).
Başka bir TIMP'yi kodlayan ikinci bir gen olan TIMP1, X kromozomu üzerinde bulunur ve inaktivasyondan kaçar. TIMP3 ile etkileşime girer ve her ikisi de aort kapağının gelişiminde rol oynar. Aort ortamının doku bütünlüğünü korurlar. Dolayısıyla, ikinci X kromozomunun kaybı nedeniyle tek bir TIMP1 kopyasının varlığı ve risk aleli TIMP3'ün varlığı aortopati riskinin artmasına neden olur.
İlişkili Genler
Şimdiye kadar cinsiyet kromozomları üzerindeki sadece bir gen, X ve Y kromozomlarının psödootozomal 1. bölgesinde yer alan SHOX (kısa boy homeo kutu proteinini kodlayan), Turner Sendromundaki fenotipe inandırıcı bir şekilde bağlanmıştır. SHOX, X inaktivasyonundan kaçar ve SHOX'un azalmış ekspresyonu, Turner Sendromuyla ilişkili büyüme açığının bir kısmını açıklar. Ek olarak, SHOX haplo-yetersizliği genellikle skolyoz, mikrognati, yüksek kemerli damak, Madelung deformitesi ve düşük bacak uzunluğu (ancak normal oturma yüksekliği) varlığı ile ilişkilidir.
SHOX geni, diğer genlerin aktivitesini düzenleyen bir protein yapmak için talimatlar sağlar. Bu role dayanarak, SHOX proteini bir transkripsiyon faktörü olarak adlandırılır. SHOX geni, birçok vücut yapısının oluşumunu kontrol etmek için erken embriyonik gelişim sırasında hareket eden geniş bir homeobox gen ailesinin parçasıdır. Spesifik olarak, SHOX geni iskeletin gelişimi için gereklidir. Kol ve bacaklardaki kemiklerin büyümesinde ve olgunlaşmasında özellikle önemli bir rol oynar.
SHOX geninin bir kopyası, psödootozomal bölge adı verilen bir alanda cinsiyet kromozomlarının (X ve Y kromozomlarının) her birinde bulunur. Pek çok gen, X veya Y kromozomuna özgü olmasına rağmen, psödootozomal bölgedeki genler her iki kromozomda da bulunur. Sonuç olarak, hem dişiler (iki X kromozomu olan) hem de erkekler (bir X ve bir Y kromozomu olan) her hücrede SHOX geninin iki işlevsel kopyasına sahiptir.
Turner sendromunda biküspit aort kapakçıklarının sık görülmesi ve aort dilatasyonu iki çalışma ile açıklanabilir. Birincisi, paralog bir genin spesifik risk alellerinin mevcudiyeti ile birlikte ortaya çıkan X kromozomu geni TIMP1'in haplo-yetersizliği, Turner Sendromlu kadınlarda biküspit aort kapağı ve aort dilatasyonu riskinin >10 kat artmasını açıklamaktadır. Ek olarak, TIMP1 geni, 46,XX'li kadınlara kıyasla Turner sendromlu kadınlarda birkaç farklı şekilde metillenmiş bölge içerir. Birlikte ele alındığında, bu bulgular ilginçtir çünkü TIMP1 aort anevrizması oluşumunda da rol oynar.
Gözlemler, Turner sendromunda aort disfonksiyonu riskini artırmak için iki olayın gerekli olduğunu göstermektedir: birincisi, yalnızca bir TIMP1 kopyası ile sonuçlanan bir X kromozomunun kaybı; ikincisi, riskli bir TIMP3 alelinin varlığı. Ancak, bu model fonksiyonel çalışmalarda doğrulama gerektirir. İlginç bir şekilde, bu genetik değişiklikler Turner sendromundaki diğer fenotipik özellikleri açıklamaz.
Kalıtım
Turner Sendromu vakalarının çoğu örneği kalıtsal değildir. Bu durum monozomi X'ten kaynaklandığında, kromozomal anormallik, kişinin ebeveyninde üreme hücrelerinin oluşumu sırasında rastgele bir olaydır. Ayrılmama adı verilen hücre bölünmesindeki bir hata, anormal sayıda kromozoma sahip üreme hücrelerine neden olabilir. Örneğin, ayrılmama nedeniyle bir yumurta veya sperm hücresinden bir cinsiyet kromozomu kaybolabilir. Atipik bir üreme hücresi çocuğun genetik yapısına katkıda bulunuyorsa, her hücre tek bir X kromozomuna sahip olacak ve diğer cinsiyet kromozomu eksik olacaktır.
Mozaik Turner Sendromu da aynı şekilde kalıtsal bir durum değildir. Etkilenen bireyin erken fetal gelişiminde hücre bölünmesi aşamasında rastgele bir olay nedeniyle oluşur. Sonuç olarak, etkilenen kişinin hücrelerinin bazılarında olağan iki cinsiyet kromozomu bulunurken, diğer hücreler X kromozomunun yalnızca bir kopyasını içerir.
Teşhis Yöntemleri
Turner Sendromu tanısında mozaisizmi dışlamak için standart bir 30 hücreli karyotip analizi gereklidir. Tanı, 45,X hücre hattının veya X kromozomunun kısa kolunun delesyonu (Xp delesyonu) olan bir hücre hattının varlığı ile doğrulanır. Barr cisimcikleri için bukkal yayma artık kullanılmamaktadır.
Tanı, kronik villöz örnekleme veya amniyosentez kullanılarak yapılan kromozomal analiz ile prenatal olarak konulmuşsa, karyotiplemenin postnatal dönemde tekrarlanması önerilir.
Y kromozomu materyalinin varlığı, gonadoblastom ve germ hücreli tümör riskinin arttığını düşündürür. Virilize edici özelliklere sahip hastalarda, kriptik Y materyalini saptamak için X ve Y probları kullanılarak en az iki ila üç farklı dokunun floresan in situ hibridizasyon (FISH) analizi önerilir. Gerçek cinsiyet kromozomu monozomisi yaşamla bağdaşmadığından ve bu hastalarda potansiyel olarak Y kromozom materyali ile kriptik mozaisizm olabileceğinden, 45,X karyotipli hastalar için ek testler önerilmiştir.
Ayırıcı Tanı
Turner Sendromunun ayırıcı tanısında düşünülmesi gereken en önemli durum Noonan Sendromudur. Noonan Sendromu, en yaygın olarak PTPN11 genindeki bir mutasyonun neden olduğu otozomal dominant geçişli bir durumdur ve Turner Sendromunun aksine, hem erkekleri hem de kadınları etkileyebilir. Noonan Sendromunun başlıca özellikleri şunlardır:
- Pulmoner stenoz gibi konjenital kalp kusurları,
- Boy kısalığı,
- Perdeli boyun,
- Lenfödem,
- Pektus ekskavatum,
- Kriptorşidizm,
- Gonadal disgenezi,
- Zeka geriliği,
- Orta yüz hipoplazisi ve hipertelorizm ile karakteristik fasiyesler.
Turner Sendromunun ayırıcı tanısında göz önünde bulundurulması gereken diğer durumlar şunları içerebilir:
- Leri-Weill Sendromu (Madelung'un ön kol deformitesi ile birlikte mezomelik cücelik),
- Brakidaktili Tip E,
- Büyüme hormonu eksikliği,
- Hipotiroidizm,
- Saf gonadal disgenezi,
- Stein-Leventhal Sendromu,
- Kalıtsal konjenital lenfödem.
Tedaviler veya İdare Yöntemleri
Kromozomal bir durum olarak Turner Sendromunun kesin bir tedavisi yoktur, bu yüzden tedavi planı, her bireyde belirgin olan semptomlara yöneliktir. Tedavi, multidisipliner bir ekibin koordineli çabalarını gerektirebilir. Etkilenen bireyler ve aileleri için genetik danışmanlık önerilir.
Büyüme Hormonu Tedavisi
Turner Sendromu hastalarında 4-6 yaşlarında başlayan büyüme hormonu tedavisi, aynı yaştaki akranlarına benzer normal büyüme paterninin elde edilmesine yardımcı olur. Büyüme hormonu ile tedavi edilmeyen Turner Sendromu hastalarının ortalama ortalama boyunun, genel popülasyonun ortalama boyundan yaklaşık 20 cm daha az olan 142-144 cm civarında olduğu belirtilmektedir.
Büyüme hormonu ile tedavi edildiğinde, Turner Sendromlu hastaların yıllık boy artışı, hormon tedavisinin her yılı için 1-2 cm'dir. Büyüme hormonu, büyümeyi teşvik etmenin yanı sıra, kemik kütlesini arttırır, lipid ve glikoz metabolizmasını düzenler ve kasta amino asit taşınmasını arttırır.
Uzun süreli tedavi ayrıca Turner Sendromunda kraniyofasiyal gelişim üzerinde, çoğunlukla mandibular ramusu ve posterior yüz yüksekliğini etkileyen olumlu etkilerle ilişkilidir. Büyüme hormonunun kardiyovasküler sistem üzerindeki etkilerini inceleyen sistematik bir derleme, özellikle estradiol tedavisi ile birlikte ise kardiyovasküler hastalık riskini azaltarak lipid profili üzerinde olumlu etkisi olduğunu gösterdi.
Büyüme hormonu tedavisinin başarısını çeşitli faktörler etkiler. Doz, süre ve tedaviye uyum ve tedaviye uyumun tümü nihai yetişkin boyunu etkiler. 9 aylıktan 4 yaşına kadar büyüme hormonu tedavisine erken başlanmasının etkilerine bakan bir çalışma, erken tedavi edilen grubun baştan sona daha uzun olduğunu, ancak erken tedavi edilmeyen grupla karşılaştırıldığında yetişkine yakın boyda anlamlı bir fark olmadığını ortaya koydu. Bu, daha iyi yetişkin boyunu desteklemek için kesintisiz tedavinin önemini gösteren, büyüme hormonu tedavisinin gecikmeleri sırasında erken tedavi edilen grupta not edilen büyümeyi yakalamaya bağlandı. Tedaviye daha sonra başlama, yalnızca yetişkin boy tahminlerini sınırlamakla kalmaz, aynı zamanda ergenlikle ilişkili büyümeyi de geciktirebilir. Doğuştan kalp hastalığı, hipotiroidizm veya çölyak hastalığı gibi diğer sağlık koşullarının varlığı, büyüme hormonu etkilerinden bağımsız olarak büyüme eksikliklerine katkıda bulunabilir.
Değiştirilemeyen diğer faktörler arasında, büyüme hormonu tedavisinin başlangıcında ebeveynlerin boyu ve hastanın boyu yer alır. Östrojen reseptör alfa (ESR1) ve tirozin-protein fosfataz reseptör olmayan tip1 (PTPN1) gibi spesifik genetik belirteçler de Turner Sendromunda büyüme hormonu tedavisine yanıtla bağlantılıdır, her ikisinin de Turner Sendromunda boy hızını etkilediği belirtilirken, SOCS-2, GHR için homozigotluk ekson3 tam uzunluk ve IGFBP3-202 C allelleri, büyüme hormonu tedavisine zayıf yanıt ile ilişkilendirildi.
Büyüme hormonunun başlangıç dozu 0.35-0.375 mg/kg/haftadır ve boy uzunluğu prognozu kötü olan hastalarda dikkatli bir değerlendirmeden sonra daha yüksek dozlarda başlanabilir. Gecikmiş tanı nedeniyle büyüme hormonu tedavisinin başlatılmasında gecikme varsa, Oxandrolone ile eşz""amanlı tedavi, nihai yüksekliği iyileştirmek için bir seçenektir. 10 yaş ve üzerindeki Turner Sendromu hastalarında 0.03-0.05 mg/kg/gün dozunda Oxandrolone ile birlikte büyüme hormonu tedavisi, tek başına büyüme hormonu ile tedavi edilenlere kıyasla nihai boyda 2-5 cm artışla sonuçlanır.
Oxandrolone, büyüme hızlanması üzerinde sinerjik bir etkiye sahip olabilse de, virilizasyon ve gecikmiş pubertal gelişim dahil olmak üzere istenmeyen etkilerle ilişkilidir. Bu yan etkiler, 0.06 mg/kg/gün'den daha düşük dozlarla tedavi edildiğinde orta düzeydedir.
Östrojen Replasman Tedavisi
Turner Sendromunda östrojen replasman tedavisinin amacı, normal göğüsler ve uterus boyutu ve şekli dahil olmak üzere sekonder cinsel özelliklerle normal puberte gelişimini indüklemek ve sürdürmektir. Diğer hedefler, kemik mineralizasyonu ve kardiyovasküler sağlığın korunması gibi endojen östrojenlerin fizyolojik etkilerinin elde edilmesini içerir.
Turner Sendromundaki östrojen eksikliğinin olumsuz etkileri arasında zayıf intrauterin büyüme, azalmış bilişsel ve motor reaksiyon süresi, azalmış kemik kütlesi, kötü kardiyovasküler sonuçlar, düşük benlik saygısı ve düşük yaşam kalitesi yer alır.
Güncel öneriler, tercih edilen tedavi transdermal 17-β estradiol olmak üzere, yaklaşık 11-12 yaşlarında östrojen replasmanına başlamayı gerektirmektedir. Gonadotropinlerin, özellikle folikül stimüle edici hormonun (FSH) yaklaşık 11 yaşından itibaren izlenmesi, ergenlik indüksiyonundan önce hipergonadotropik hipogonadizmin saptanmasına ve doğrulanmasına yardımcı olur. Düşük anti-Müllerian hormon (AMH) seviyeleri de yumurtalık yetmezliğini gösterebilir.
/old/content_media/3dba636649c7bec37b0245c6737e897b.jpeg)
Peripubertal dönemde normal fizyolojik ortamı taklit etmek için, düşük dozlarda östrojen (3-7 μg/kg/gün) ile başlanması tavsiye edilir, her 6 ayda bir kademeli olarak artırılır ve sonunda 23 yıl içinde günde 100 mg'a kadar yetişkin dozlarına ulaşılır.
Turner Sendromu bireyleri genellikle normal uterusa sahiptir ve ergenliğin başlamasından 2 yıl sonra ya da lekelenme veya adet kanaması başladıktan sonra progestin tedavisinin eklenmesi önerilir.
Puberte indüksiyonundan sonra önerilen birkaç progestin ve östrojen/progestin replasman seçeneği vardır. Hormon replasman tedavisi için yetişkin dozu belirlendikten sonra, normal menopoz yaşına kadar devam ettirilmelidir. Bu hastaların östrojen tedavisiyle ilişkili riskler açısından yıllık olarak izlenmesi gerekir.
Yumurtalık foliküler tükenmesi nedeniyle Turner Sendromuna sahip kadınların çoğu kısırdır. Hastalar genellikle yumurtalık dokusu veya oositlerin dondurularak saklanması seçeneğine sahiptirler. Bu seçenek yalnızca yumurtalık işlevi kanıtı olan kişiler için geçerlidir ve 12 yaşından önce önerilmez.
Komorbiditeler İçin Tarama ve Hasta Takibi
- Y Kromozomu: Turner Sendromlu hastalar, Y-sentromerik bir prob kullanılarak Y kromozomal materyalin varlığı açısından araştırılmalıdır. Bu hastalarda malign gonadoblastomlar veya testis dokusu olabilir. Virilizasyonun (androjenik aktivite sonucu görülen erkek tipi vücut gelişimi, seste kalınlaşma ve kıllanma durumu) varlığı, gonadal, adrenal veya orta hat tümörleri için kapsamlı bir araştırma gerektirir. 45,X/46,XY mozaikliği olan hastalarda mikst gonadal disgenezi olabilir ve gonadoblastom için yüksek risk altındadır. Bu hastalarda maligniteden ölümü önlemek için profilaktik gonadektomi gerekebilir. Halka kromozomları veya kromozom parçaları olan hastalar da aynı nedenle Y kromozom materyali açısından incelenmelidir.
- Gonadotropinler: 4 yaşından küçük tedavi edilmemiş hastalarda hem LH hem de FSH yükselebilir. Gonadotropinler daha sonra normal veya normale yakın seviyelere baskılanır, ancak 10 yaşından sonra menopoz seviyelerine yükselir. Östrojen replasman tedavisine başlamadan önce, hastanın hem LH hem de FSH düzeyleri değerlendirilir.
- Tiroid Fonksiyon Testleri: Turner Sendromunda hipotiroidi prevalansının yüksek olması nedeniyle tanı anında tiroid fonksiyon testleri yapılmalıdır. Tiroid stimüle edici hormon (TSH) ölçümleri her yıl veya semptomlar gelişirse tekrarlanmalıdır, çünkü hastalarda ileri yaşlarda hipotiroidi gelişebilir.
- Glikoz Metabolizması: Overt diyabet dahil olmak üzere glukoz metabolizması anormallikleri, etkilenmemiş çocuklara göre daha yaygındır. HbA1c, 10 yaşından sonra yetişkinliğe kadar her yıl ölçülmelidir.
- Çölyak Hastalığı: Turner Sendromlu hastalarda rutin sağlık bakımı olarak hemoglobin A1C, açlık lipidleri, karaciğer enzimleri çocukluktan sonra yıllık olarak ölçülmelidir. Çölyak taraması 2 yaşından sonra, çocuklukta 2 yılda bir yapılmalıdır.
- Virilizasyon: Aşırı androjen belirtileri genellikle yoktur. Virilizasyon meydana gelirse, olası gonadoblastom değerlendirmesinin bir parçası olarak floresan in situ hibridizasyon (FISH) veya polimeraz zincir reaksiyonu (PCR) ile Y kromozomal materyalinin araştırılması gereklidir.
- Renal (Böbreğe ait): Tanı anında renal ultrason gereklidir. Obstrüksiyona yatkınlık yaratan renal toplayıcı sistem anormallikleri olan hastalarda yıllık idrar kültürleri ve BUN ve kreatinin düzeylerinin ölçülmesi önerilir. Herhangi bir anormallik varsa, hasta nefrolojiye sevk edilmelidir.
- Karaciğer: ALT, AST, GGT ve alkalin fosfataz on yaşından sonra yıllık olarak ölçülmelidir. Bu laboratuvarlar genellikle Turner Sendromunda yükselir, ancak kalıcıysa ve normalin iki katından fazlaysa, bir hepatolog tarafından daha fazla değerlendirme gerektirir
- Kardiyovasküler: Teşhis üzerine kalp ve aort ekokardiyografi, manyetik rezonans görüntüleme veya her ikisi ile değerlendirilmelidir. Aort koarktasyonunun yüksek insidansı nedeniyle 4 ekstremitenin (sırasıyla sağ ve sol kol, sağ ve sol ayak bileği) kan basıncını ölçülmeli ve bir kardiyolog anormallikleri izlemelidir. Aort diseksiyonu riski nedeniyle erişkin dönemde kardiyovasküler muayeneler 5 yılda bir tekrarlanmalıdır. Yardımcı üreme girişiminden önce tam bir kardiyovasküler değerlendirme tamamlanmalıdır.
- Kemik Yaşı: Kemik yaşı genellikle ergenlikten önce normaldir, ancak östrojen eksikliği nedeniyle daha sonra geride kalır. Büyüme hormonu veya östrojen tedavisine başlamadan önce kemik yaşını öğrenilmelidir. Epifizler kaynaşmışsa büyüme hormonu kontrendikedir (Büyüme hormonu, epifizler kaynaşmışsa yüksekliği artırmaz).
- Kemik Yoğunluğu: Turner Sendromlu hastalarda düşük kemik mineral yoğunluğu ve kırık riski yüksektir. Östrojen tedavisi ve ek D vitamini ve kalsiyum ile riskleri azalır. Osteoporoz yaygındır, ancak kısa bireylerde aşırı teşhis edilebilir. Aşırı teşhis, herhangi bir bulgusu olmayan veya çoğunlukla bulgusu olduğu halde kişinin yaşamı süresince bir engele veya ölüme yol açmayacak durumun, tıbben hastalık tanımı eşiğinin üzerinde değerlendirilip hastalık olarak ele alınmasıdır. Turner Sendromu ayrıca skolyoz riskini artırır ve hastalar büyüme hormonu tedavisi alırken yılda bir ve altı ayda bir tarama yaptırmalıdır. Kemik yoğunluğunu başlangıçta yetişkinlerde ve 5 yıl sonra ve hormon replasmanını keserken ölçülmelidir.
- Diğer Testler: Turner Sendromlu hastalarda odyoloji endikedir. Doğumda teşhis edilen bebekler, kreşte işitme değerlendirmesine tabi tutulmalıdır. Aksi takdirde, 1 yaşında ve okula başlamadan önce işitme değerlendirmesi önerilir. Her 3 yılda bir yeniden değerlendirme tavsiye edilmiştir. Tekrarlayan orta kulak iltihabı olan çocuklarda daha sık test yapılması gerekir. Yetişkinler de her 5 yılda bir işitme değerlendirmesi yaptırmalıdır.
- Metabolik Sendrom: Hemoglobin A1c, hiperglisemi taraması için on yaşından başlayarak yıllık olarak ölçülmelidir. Hastalar ayrıca, en az bir kardiyovasküler hastalık risk faktörü varsa, yılda bir lipid paneli ölçülerek dislipidemi taramasından geçmelidir.
- D Vitamini Eksikliği: Serum 25-hidroksivitamin D, 9 ila 11 yaş arasında ve daha sonra her 2 ila 3 yılda bir ölçülmelidir.
İlaç Tedavisi
- Büyüme Hormonu: Bu ajanlar boy kısalığı için birincil tedavidir. Lineer kemik, iskelet kası ve organların büyümesini uyarırlar.
- Somatotropin (Nutropin, Genotropin, Humatrope, Norditropin, Saizen, Tev-Tropin): Daha uzun yetişkin boyları, daha erken tedavi ve uyarılmış veya spontan ergenlik öncesi tedavi süresi ile ilişkilidir. Tedavi ile hastaların yaklaşık %50'si yetişkin boyuna 150 cm veya daha fazla ulaşırken, tedavi edilmeyen ortalama yetişkin boyu 142 cm olur.
- Anabolik Steroidler: Bu, büyüme hormonu tedavisi için bir adjuvandır (koryucu, destekleyici, tamamlayıcı).
- Oksandrolon (Oxandrin, Anavar): Bazı endokrinologlar, maksimum yetişkin boyuna hızla ulaşmak için ergenlik çağında teşhis edilen hastalarda kullanılmasını önermektedir. Kullanıldığında, genellikle daha düşük bir doza izin vermek için büyüme hormonu ile birleştirilir, böylece olumsuz etki potansiyelini azaltır.
- Tiroid Replasman Tedavileri: Bu ajanlar hipotiroidizm tedavisinde kullanılır.
- Levotiroksin (Synthroid, Levoxyl, Levothroid, L-tiroksin): Hipotiroidizm Turner sendromunda yaygındır ve diğer hipotiroidizm gibi tedavi edilir. Tiroid hormonları dokuların büyümesini ve olgunlaşmasını etkiler. Normal büyüme, metabolizma ve gelişme ile ilgilidir.
- Östrojen Replasman Tedavileri: Hemen hemen tüm bireyler östrojen replasmanı gerektirir. Östrojen genellikle kronolojik yaşta 12 yaş veya üzerinde başlatılır. Yetişkinler genellikle hem östrojen hem de progestin ile döngüsel tedavi gerektirir. Transdermal veya parenteral östrojen, östrojen tedavisinin bazı olumsuz etkilerini sınırlamada faydalı olabilir.
- Östrojenler: Birçok formda bulunur (örneğin, estradiol, konjuge östrojenler). Transdermal tedavi, oral ilaçlardan daha fizyolojiktir. Östrojen seviyelerini, gonadotropik düzenleyici merkezlerde negatif geri beslemeyi indükleyen konsantrasyonlara geri yükler, bu da gonadotropinlerin hipofizden salınımını azaltır. Hedef dokularda DNA, RNA ve birçok proteinin sentezini arttırır.
- Antihipertansif Ajanlar: Bu ürünler hipertansiyonu kontrol etmek ve nihayetinde aort diseksiyonu gibi komplikasyonları önlemek için kullanılır. Pediatrik hastalarda bu amaçlar için kullanılan en yaygın 2 ilaç sınıfı beta blokerler ve ACE inhibitörleridir. Propranolol, pediatride kullanılan beta blokerlerden birinin bir örneğidir, kaptopril ise bir ACE inhibitörünün bir örneğidir.
- Propranolol (İnderal): Membran stabilize edici aktiviteye sahiptir ve kasılmaların otomatikliğini azaltır.
- Kaptopril (Kapoten): Anjiyotensin I'in güçlü bir vazokonstriktör olan anjiyotensin II'ye dönüşümünü önleyerek daha düşük aldosteron salgılanmasına neden olur.
- Vitaminler ve Mineraller: Osteoporoz yaygındır ve yetişkinlerde önemli bir morbidite nedenidir. Tedavi, osteoporozlu diğer yetişkin kadınlarla aynıdır. Hastanın diyeti izlenir ve en az 1 g/d kalsiyum ve 400 IU/d D vitamini alımı sağlanır. Büyüme hormonu ve östrojen tedavisi de ileriki yaşlarda osteoporozun önlenmesinde önemlidir.
- Ergokalsiferol (Kalsiferol, Drisdol): D vitamini, kalsiyum ve fosforun normal emilimi için gerekli bir mikro besindir. Ayrıca ultraviyole B ışığına maruz kalmaya tepki olarak üretilir.
- Kalsiyum tuzları (asetat, karbonat, klorür, glukonat): Ek besin kalsiyum kaynağı. Kalsiyum karbonat %40 elemental kalsiyumdur.
Müddet Tahminleri (Prognoz)
Turner Sendromlu hastalar, genel popülasyondan üç kat daha yüksek bir ölüm oranına sahiptir. Yaşlı hastalarda koroner kalp hastalığına bağlı kardiyovasküler hastalık ve inme önemli bir faktördür. Konjenital kardiyovasküler hastalıkların en büyük nedeni aort anevrizmasıdır.
Hastalar ayrıca pnömoni, diyabet, epilepsi, karaciğer hastalığı ve böbrek hastalığına bağlı ölüm oranlarında bir artış göstermektedir.
Komplikasyonlar
Turner Sendromu ile ilgili bazı yaygın komplikasyonlar veya ilişkili bulgular şunları içerir:
- İşitme kaybı
- Hipotiroidizm
- Karaciğer fonksiyon anormallikleri
- Nörobilişsel eksiklikler ve okulda özel hizmetler gerektirebilir.
- Otoimmün hastalık riskinde artış
- Aort Diseksiyonu
- Obezite
- Tip 2 diyabet
- Dislipidemi (Kolestrol bozuklukları)
Görülme Sıklığı ve Dağılımı (Epidemiyoloji)
Literatüre göre Turner Sendromu yaklaşık 2000'de 1 ile 2500 canlı kadın doğumda 1'de görülmektedir. Bununla birlikte, hafif bir fenotipe sahip birçok hasta teşhis edilemeyebileceği veya yetişkinliğin sonlarında teşhis edilebileceği için gerçek prevalans bilinmemektedir.
Turner Sendromunun ortaya çıkışı, farklı etnik kökenlerde ve farklı ülkelerde hemen hemen aynıdır.
Doğum öncesi ultrason taramalarına yönelik artan farkındalıkla birlikte doğumda Turner Sendromunun prevalansı azalmaktadır. Bunun nedeni Turner Sendromlu fetüs taşıyan bazı annelerin hamileliği sonlandırmayı seçmesidir.
Önlem Yöntemleri
Turner Sendromunu önlemenin bilinen bir yolu yoktur.
Etimoloji
Sendrom adını, 1938'de Illinois'li bir endokrinolog olan Henry Turner'dan almıştır. Avrupa'da, daha önceki vakaların Avrupalı doktorlar tarafından da tanımlandığını kabul etmek için genellikle Ullrich-Turner Sendromu veya Bonnevie-Ullrich-Turner Sendromu olarak adlandırılır. Rus ve SSCB literatüründe, durumun ilk kez 1925'te gonadların ve ön hipofiz bezinin az gelişmişliğinden kaynaklandığına inanan Sovyet endokrinolog Nikolai Shereshevsky tarafından kalıtsal olarak tanımlandığını kabul etmek için Shereshevsky-Turner Sendromu denir.
Evrim Ağacı'nda tek bir hedefimiz var: Bilimsel gerçekleri en doğru, tarafsız ve kolay anlaşılır şekilde Türkiye'ye ulaştırmak. Ancak tahmin edebileceğiniz gibi Türkiye'de bilim anlatmak hiç kolay bir iş değil; hele ki bir yandan ekonomik bir hayatta kalma mücadelesi verirken...
O nedenle sizin desteklerinize ihtiyacımız var. Eğer yazılarımızı okuyanların %1'i bize bütçesinin elverdiği kadar destek olmayı seçseydi, bir daha tek bir reklam göstermeden Evrim Ağacı'nın bütün bilim iletişimi faaliyetlerini sürdürebilirdik. Bir düşünün: sadece %1'i...
O %1'i inşa etmemize yardım eder misiniz? Evrim Ağacı Premium üyesi olarak, ekibimizin size ve Türkiye'ye bilimi daha etkili ve profesyonel bir şekilde ulaştırmamızı mümkün kılmış olacaksınız. Ayrıca size olan minnetimizin bir ifadesi olarak, çok sayıda ayrıcalığa erişim sağlayacaksınız.
Makalelerimizin bilimsel gerçekleri doğru bir şekilde yansıtması için en üst düzey çabayı gösteriyoruz. Gözünüze doğru gelmeyen bir şey varsa, mümkünse güvenilir kaynaklarınızla birlikte bize ulaşın!
Bu makalemizle ilgili merak ettiğin bir şey mi var? Buraya tıklayarak sorabilirsin.
İlgili Sorular
Soru & Cevap Platformuna Git- 4
- 2
- 1
- 1
- 1
- 0
- 0
- 0
- 0
- 0
- 0
- 0
- D. S. Maala, et al. Turner Syndrome: Practice Essentials, Background, Pathophysiology. (19 Mart 2021). Alındığı Tarih: 22 Haziran 2022. Alındığı Yer: Medscape | Arşiv Bağlantısı
- X. Cui, et al. (2018). A Basic Understanding Of Turner Syndrome: Incidence, Complications, Diagnosis, And Treatment. Intractable & Rare Diseases Research, sf: 223-228. doi: 10.5582/irdr.2017.01056. | Arşiv Bağlantısı
- Mayo Clinic. Turner Syndrome - Symptoms And Causes. (22 Haziran 2022). Alındığı Tarih: 22 Haziran 2022. Alındığı Yer: Mayo Clinic | Arşiv Bağlantısı
- Cleveland Clinic. Turner Syndrome: Causes, Symptoms, Diagnosis & Treatment. (22 Haziran 2022). Alındığı Tarih: 22 Haziran 2022. Alındığı Yer: Cleveland Clinic | Arşiv Bağlantısı
- medlineplus. Turner Syndrome: Medlineplus Genetics. (1 Ekim 2007). Alındığı Tarih: 22 Haziran 2022. Alındığı Yer: MedlinePlus | Arşiv Bağlantısı
- nhs. Turner Syndrome. (26 Şubat 2018). Alındığı Tarih: 22 Haziran 2022. Alındığı Yer: NHS | Arşiv Bağlantısı
- NORD. Turner Syndrome - Nord (National Organization For Rare Disorders). (1 Mart 2019). Alındığı Tarih: 22 Haziran 2022. Alındığı Yer: NORD | Arşiv Bağlantısı
- Turner Syndrome Foundation. What Is Turner Syndrome?. (7 Mart 2022). Alındığı Tarih: 22 Haziran 2022. Alındığı Yer: Turner Syndrome Foundation | Arşiv Bağlantısı
- rarediseases. Turner Syndrome - About The Disease - Genetic And Rare Diseases Information Center. (8 Kasım 2021). Alındığı Tarih: 22 Haziran 2022. Alındığı Yer: Rare Diseases | Arşiv Bağlantısı
- N. S. Kikkeri, et al. (2021). Turner Syndrome. StatPearls Publishing. | Arşiv Bağlantısı
- C. Arefa. What Is Turner Syndrome?. (11 Ağustos 2020). Alındığı Tarih: 22 Haziran 2022. Alındığı Yer: WebMD | Arşiv Bağlantısı
- Genome. About Turner Syndrome. (24 Eylül 2013). Alındığı Tarih: 22 Haziran 2022. Alındığı Yer: Genome | Arşiv Bağlantısı
- Orphanet. Orphanet: Clinical Signs And Symptoms. (21 Haziran 2022). Alındığı Tarih: 22 Haziran 2022. Alındığı Yer: OrphaNet | Arşiv Bağlantısı
- S. Gürsoy, et al. (2017). Turner Syndrome And Its Variants. Galenos Yayinevi, sf: 171-175. doi: 10.4274/jpr.35744. | Arşiv Bağlantısı
- A. C. Huang, et al. (2021). A Review Of Recent Developments In Turner Syndrome Research. Journal of Cardiovascular Development and Disease, sf: 138. doi: 10.3390/jcdd8110138. | Arşiv Bağlantısı
- C. A. Bondy. (2007). Care Of Girls And Women With Turner Syndrome: A Guideline Of The Turner Syndrome Study Group. The Journal of Clinical Endocrinology & Metabolism, sf: 10-25. doi: 10.1210/jc.2006-1374. | Arşiv Bağlantısı
- C. H. Gravholt, et al. (2019). Turner Syndrome: Mechanisms And Management. Nature Reviews Endocrinology, sf: 601-614. doi: 10.1038/s41574-019-0224-4. | Arşiv Bağlantısı
- E. G. Clemente, et al. (2022). Turner Syndrome. Endocrines, sf: 240-254. doi: 10.3390/endocrines3020022. | Arşiv Bağlantısı
- D. F. Gunther, et al. (2004). Ascertainment Bias In Turner Syndrome: New Insights From Girls Who Were Diagnosed Incidentally In Prenatal Life. American Academy of Pediatrics (AAP), sf: 640-644. doi: 10.1542/peds.2003-1122-L. | Arşiv Bağlantısı
- M. L. Loscalzo, et al. (2006). Issues In Prenatal Counseling And Diagnosis In Turner Syndrome. International Congress Series, sf: 26-29. doi: 10.1016/j.ics.2006.07.005. | Arşiv Bağlantısı
- E. Quezada, et al. (2015). Aortic Dimensions In Turner Syndrome. Wiley, sf: 2527-2532. doi: 10.1002/ajmg.a.37208. | Arşiv Bağlantısı
- E. Los, et al. (2016). Pilot Study Of Blood Pressure In Girls With Turner Syndrome. Hypertension, sf: 133-136. doi: 10.1161/HYPERTENSIONAHA.115.07065. | Arşiv Bağlantısı
- K. H. Mortensen, et al. (2012). Cardiovascular Phenotype In Turner Syndrome—Integrating Cardiology, Genetics, And Endocrinology. Endocrine Reviews, sf: 677-714. doi: 10.1210/er.2011-1059. | Arşiv Bağlantısı
- M. Silberbach, et al. (2018). Cardiovascular Health In Turner Syndrome: A Scientific Statement From The American Heart Association. Circulation. Genomic and precision medicine. doi: 10.1161/HCG.0000000000000048. | Arşiv Bağlantısı
- A. E. Lin, et al. (2019). Recognition And Management Of Adults With Turner Syndrome: From The Transition Of Adolescence Through The Senior Years. Wiley, sf: 1987-2033. doi: 10.1002/ajmg.a.61310. | Arşiv Bağlantısı
- C. A. Bondy. (2007). Care Of Girls And Women With Turner Syndrome: A Guideline Of The Turner Syndrome Study Group. The Journal of Clinical Endocrinology & Metabolism, sf: 10-25. doi: 10.1210/jc.2006-1374. | Arşiv Bağlantısı
- F. Álvarez-Nava, et al. (2018). Epigenetics In Turner Syndrome. Clinical Epigenetics, sf: 1-20. doi: 10.1186/s13148-018-0477-0. | Arşiv Bağlantısı
- A. C. Pimblett, et al. (2017). The Turner Syndrome Life Course Project: Karyotype-Phenotype Analyses Across The Lifespan. Wiley, sf: 532-538. doi: 10.1111/cen.13394. | Arşiv Bağlantısı
- A. Uematsu, et al. (2002). Parental Origin Of Normal X Chromosomes In Turner Syndrome Patients With Various Karyotypes: Implications For The Mechanism Leading To Generation Of A 45,X Karyotype. Wiley, sf: 134-139. doi: 10.1002/ajmg.10506. | Arşiv Bağlantısı
- T. Ogata, et al. (1995). Turner Syndrome And Female Sex Chromosome Aberrations: Deduction Of The Principal Factors Involved In The Development Of Clinical Features. Human Genetics, sf: 607-629. doi: 10.1007/BF00209476. | Arşiv Bağlantısı
- C. A. Bondy, et al. (2009). Monosomy For The X Chromosome. Chromosome Research, sf: 649-658. doi: 10.1007/s10577-009-9052-z. | Arşiv Bağlantısı
- M. Clement-Jones, et al. (2000). The Short Stature Homeobox Gene Shox Is Involved In Skeletal Abnormalities In Turner Syndrome. Human Molecular Genetics, sf: 695-702. doi: 10.1093/hmg/9.5.695. | Arşiv Bağlantısı
- E. Fiot, et al. (2019). X Chromosome Gene Dosage As A Determinant Of Congenital Malformations And Of Age-Related Comorbidity Risk In Patients With Turner Syndrome, From Childhood To Early Adulthood. European Journal of Endocrinology, sf: 397-406. doi: 10.1530/EJE-18-0878. | Arşiv Bağlantısı
- M. Elsheikh, et al. (2003). Autoimmune Thyroid Syndrome In Women With Turner's Syndrome-The Association With Karyotype. Wiley, sf: 223-226. doi: 10.1046/j.1365-2265.2001.01296.x. | Arşiv Bağlantısı
- K. Oktay, et al. (2010). Fertility Preservation By Ovarian Stimulation And Oocyte Cryopreservation In A 14-Year-Old Adolescent With Turner Syndrome Mosaicism And Impending Premature Ovarian Failure. Elsevier BV, sf: 753.e15-753.e19. doi: 10.1016/j.fertnstert.2010.01.044. | Arşiv Bağlantısı
Evrim Ağacı'na her ay sadece 1 kahve ısmarlayarak destek olmak ister misiniz?
Şu iki siteden birini kullanarak şimdi destek olabilirsiniz:
kreosus.com/evrimagaci | patreon.com/evrimagaci
Çıktı Bilgisi: Bu sayfa, Evrim Ağacı yazdırma aracı kullanılarak 27/02/2026 23:57:44 tarihinde oluşturulmuştur. Evrim Ağacı'ndaki içeriklerin tamamı, birden fazla editör tarafından, durmaksızın elden geçirilmekte, güncellenmekte ve geliştirilmektedir. Dolayısıyla bu çıktının alındığı tarihten sonra yapılan güncellemeleri görmek ve bu içeriğin en güncel halini okumak için lütfen şu adrese gidiniz: https://evrimagaci.org/s/11858
İçerik Kullanım İzinleri: Evrim Ağacı'ndaki yazılı içerikler orijinallerine hiçbir şekilde dokunulmadığı müddetçe izin alınmaksızın paylaşılabilir, kopyalanabilir, yapıştırılabilir, çoğaltılabilir, basılabilir, dağıtılabilir, yayılabilir, alıntılanabilir. Ancak bu içeriklerin hiçbiri izin alınmaksızın değiştirilemez ve değiştirilmiş halleri Evrim Ağacı'na aitmiş gibi sunulamaz. Benzer şekilde, içeriklerin hiçbiri, söz konusu içeriğin açıkça belirtilmiş yazarlarından ve Evrim Ağacı'ndan başkasına aitmiş gibi sunulamaz. Bu sayfa izin alınmaksızın düzenlenemez, Evrim Ağacı logosu, yazar/editör bilgileri ve içeriğin diğer kısımları izin alınmaksızın değiştirilemez veya kaldırılamaz.