Zombi Genler: Bazı Genler Ölümden Sonra Faaliyetlerini Sürdürmekle Kalmıyorlar; Daha da Aktif Hale Geçiyorlar!
İnsanlarda, Farelerde ve Zebra Balıklarında, Bazı Genlerin Aktivitelerinin Ölümden Sonra Arttırdığı Gösterildi!





Zombi genler, hayvanlarda bulunan ve ölümden sonra aktivitesi diğer genler gibi azalmak yerine, bir süre sabit kalan ve hatta sonrasında bir miktar artış gösteren genlere verilen isimdir. Zombi genlerin neden evrimleştiğini inceleyen bilim insanları, bu genlerin ölüm sonrasında faaliyetinin artma nedeninin, ölmekte olan organizmanın yaşama tutunma çabasıyla ilişkili bir adaptasyon olduğunu düşünüyorlar. Ayrıca bu sıra dışı genler, kanseri daha iyi anlamamızı ve tedavisi yönünde yeni atılımları mümkün kılabilir. Bugüne kadar zombi genler hem insanlarda hem de fareler ile zebra balıkları gibi diğer hayvanlarda tespit edilebildi.
İnsanlarda Zombi Genler
Aslında insanlarda zombi genlerin keşfi oldukça eskiye gidiyor; ancak 2021 yılında Scientific Reports dergisinde yayınlanan bir çalışma, bize bu konudaki en güncel verileri sunuyor: Illinois Chicago Üniversitesi'nden araştırmacılar, nöropsikiyatrik hastalıkları anlamak amacıyla rutin bir beyin ameliyatı sırasında alınan insan beyin dokularını incelediler. Bu araştırmanın bir parçası olarak, diri beyin dokusu ile ve ölüm sonrası değişimlere uğramış beyin dokusunu kıyasladılar.
Bunu yapmak için, beyin dokularının transkriptom adı verilen niteliğine odaklandılar. Transkriptom, genlerin okunması sonucu üretilen proteinlerin çeşitliliğine verdiğimiz isimdir. Araştırmacılar, nöropsikiyatrik hastalıklar sonucunda ölen kişilerin beyinlerindeki transkriptom ile, canlı insanlardaki beyin transkriptomlarının birbirinden oldukça farklı olduğunu buldular.
Araştırmacılar; transkriptomlar arasındaki farkı analiz etmek için, ameliyattan elde edilen diri beyin dokusundaki gen ifadesini, ölüm sonrası geçen süreyi (İng: "post-mortem interval" ya da kısaca "PMI") ve ölüm biçimini taklit ettiler. Bu çalışma sonucunda bilim insanları, bazı hücrelerdeki gen ifadesinin ölümden sonra arttığını keşfettiler.
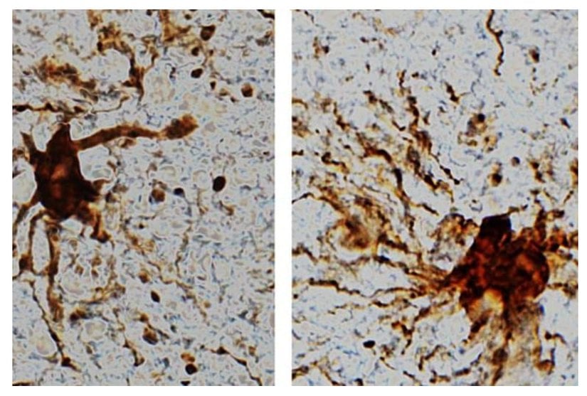
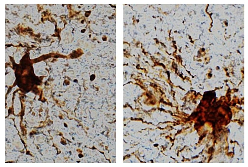
Ölüm sonrasında geçen süre boyunca ifade edimi artan, yani daha fazla miktarda okunarak proteine dönüştürülen bu "zombi genler", özellikle de spesifik bir hücre tipine aitti: gliyal hücreler adı verilen, nöronları destekleyen, koruyan ve tamir eden hücrelere! Araştırmacılar, ölümden saatler sonra gliyal hücrelerin büyüdüğünü ve kol benzeri uzantılar oluşturduğunu gözlemlediler.

Makalenin eş yazarlarından olan ve aynı zamanda Illinois Chicago Üniversitesi Tıp Fakültesi Nöroloji ve Rehabilitasyon departmanı başkanı, ayrıcalıklı profesör Dr. Jeffrey Loeb, şöyle açıklıyor:
Ölümden sonra meydana gelen gliyal hücre büyümesi, yangısal (enflamatuvar) olmaları ve görevlerinin oksijen yoksunluğu ya da felç gibi beyin hasarlarından sonra ortalığı temizlemek olduğu düşünülünce, ölümden sonra artan bu faaliyetleri çok da şaşırtıcı değil.
Çoğu araştırmada uzmanlar, ölüm sonrası elde edilen insan beyin dokularını otizm, şizofreni ve Alzheimer gibi hastalıklara karşı olası çareler bulmak amacıyla kullanılıyor. Ölüm sonrası gen anlatımı ya da hücre aktivitesi nadiren araştırılıyor. Loeb, bu keşfin çıkarımlarının kayda değer olabileceğini belirtiyor:
Çalışmaların birçoğu, kalp atışı sona erdikten sonra beyindeki her şeyin durduğunu farz ediyor; ama olan bu değil. Bizim bulgularımıza, insan beyin dokuları üzerindeki araştırmaları yorumlamak adına ihtiyaç duyulacak. Bu çalışma, bu değişimlerin miktarını belirlememizi mümkün kılıyor.
Loeb ve ekibi, diri insan beyin dokusundaki gen ifadesinin evrensel örüntülerinin, nörolojik hastalıkları olmayan veya otizmden Alzheimer’a kadar geniş çeşitlilikte nörolojik rahatsızlıkları olan insanların beyin dokularını inceleyen çalışmalarla eşleşmediğini fark etti. Loeb, şöyle diyor:
Tüm insan genlerinin ifadelerine bakarak; ölüm anından 24 saat sonrasına kadar olan süreçte olan biteni taklit etmek için oda sıcaklığında korunmuş ve yakın zamanda bol miktarda elde edilmiş beyin dokularından uyarlanmış bir ölüm deneyi yapmaya karar verdik.
Doku düzeyinde incelemenin yanı sıra çalışma, yüksek verimli RNA dizileme (RNA-seq) metodu kullanılarak yapıldı.
Loeb ve meslektaşları, beyin dokusu çalışma konusunda özellikle avantajlıydılar. Loeb, Illinois Üniversitesi Nöro-Veri Havuzu'nun (İng: "NeuroRepository") yöneticisi. Burası nörolojik hastalıkları bulunan insanların, ölümlerinden sonra ya da epilepsi gibi bozuklukların tedavisi için yapılan standart ameliyatlar sırasında dokularının alınmasını ve araştırma amacıyla depolanmasına izin verdiği, insan beyin dokularının bulunduğu bir veri bankası.
Örneğin, epilepsi tedavisinde yapılan bazı ameliyatlarda, epileptik beyin dokusu, hastalıkla ilişkili nöbetleri ortadan kaldırmak amacıyla kesilip alınabilir. Dokuların aktivitelerinin EEG ("Elektroensefalografi") ile ölçülmesi, yüksek ve alçak epileptik aktivite gösteren bölgelerinin ayırt edilmesini sağlar. Beyin bölgelerindeki aktivite farklılıklarının araştırılması, bu ayrıma neden olan moleküllerin, proteinlerin ve genlerin belirlenmesine ve tanımlanmasına yardımcı olur. Dokuların tamamı patolojik tanı için gerekli değildir; o yüzden bir kısmı araştırma amacıyla kullanılabilir.
Aslında maddi destek istememizin nedeni çok basit: Çünkü Evrim Ağacı, bizim tek mesleğimiz, tek gelir kaynağımız. Birçoklarının aksine bizler, sosyal medyada gördüğünüz makale ve videolarımızı hobi olarak, mesleğimizden arta kalan zamanlarda yapmıyoruz. Dolayısıyla bu işi sürdürebilmek için gelir elde etmemiz gerekiyor.
Bunda elbette ki hiçbir sakınca yok; kimin, ne şartlar altında yayın yapmayı seçtiği büyük oranda bir tercih meselesi. Ne var ki biz, eğer ana mesleklerimizi icra edecek olursak (yani kendi mesleğimiz doğrultusunda bir iş sahibi olursak) Evrim Ağacı'na zaman ayıramayacağımızı, ayakta tutamayacağımızı biliyoruz. Çünkü az sonra detaylarını vereceğimiz üzere, Evrim Ağacı sosyal medyada denk geldiğiniz makale ve videolardan çok daha büyük, kapsamlı ve aşırı zaman alan bir bilim platformu projesi. Bu nedenle bizler, meslek olarak Evrim Ağacı'nı seçtik.
Eğer hem Evrim Ağacı'ndan hayatımızı idame ettirecek, mesleklerimizi bırakmayı en azından kısmen meşrulaştıracak ve mantıklı kılacak kadar bir gelir kaynağı elde edemezsek, mecburen Evrim Ağacı'nı bırakıp, kendi mesleklerimize döneceğiz. Ama bunu istemiyoruz ve bu nedenle didiniyoruz.
Loeb ve meslektaşları, araştırmalarında işte böyle bir dokuyu analiz ettiler. İncelenen genlerin %80 kadarının 24 saat boyunca nispeten sabit kaldığını, gen ifadesinin pek değişmediğini buldular.

Bu genler arasında, basit hücresel fonksiyonları sağlayan ve araştırmalarda dokunun kalitesini göstermekte yaygınca kullanılan, "temizlik genleri" (İng: "housekeeping genes") olarak adlandırılan genler de var. Bu genler vücudumuzdaki her hücrede hastalıkta ve sağlıkta, oldukça stabil bir şekilde ifade edilirler; ancak bazı hastalıklarda ifadelerinde artış olabilir.
Araştırmacılar; nöronlarda bulunduğu bilinen ve hafıza, düşünme, nöbet geçirme gibi insan beyin aktiviteleriyle karmaşık bir şekilde ilişkili olan başka bir gen grubunun ifadesinin, ölümden sonraki saatlerde süratle düştüğünü gördüler. Loeb, bu genlerin şizofreni ve Alzheimer gibi hastalıkların çalışılması adına araştırmacılar için çok önemli olduğunu söylüyor.
Nöronal genlerin aktiviteleri genel olarak azalırken, üçüncü bir grup olan "zombi genlerin" aktiviteleri artış gösterdi. Ölüm sonrası değişim şablonu yaklaşık olarak 12 saatte pik yaptı.

Loeb, çalışmalarını şöyle özetliyor:
Bizim bulgularımız, ölen insanlardan alınan dokular üzerinde yapılan araştırmalarda, ölümden sonra geçen sürenin en aza indirilmesi gerektiğini ve ölümden sonra yaşanan bu değişimlerin hesaba katılması gerektiğini gösteriyor. Bulgularımızın verdiği iyi haber ise şu: Artık zaman içerisinde hangi genlerin ve hücre tiplerinin sabit olduğunu, hangilerinin azaldığını ve arttığını biliyoruz; böylece ölüm sonrası yapılan beyin çalışmalarının sonuçları daha iyi anlaşılabilir.
İnsan Harici Hayvanlarda da Keşfedildi!
Söylediğimiz gibi bu, zombi genlerin insanlardaki ilk keşfi değil; sadece en güncel bulgulardan birisi. Ancak eski bir araştırmanın, insan kadavralarındaki bir miktar genin ölümden 12 saat sonra aktif olduğunu tespit etmesi sonrasında Washington Üniversitesi’nden mikrobiyolog Peter Noble önderliğindeki ekip, ölü farelerdeki ve zebra balıklarındaki gen aktivitesini de inceledi. Araştırmacılar binden fazla genin ölümden günler sonra dahi faal olduğunu tespit ettiler. Fakat şaşırtıcı olan, bu genlerin ölüm süresinin vücudun geri kalanından daha uzun sürmesi değildi. Aksine, şaşırtıcı olan, bu genlerin faaliyetlerini daha da arttırmaları oldu!
Farelerde ölümden sonra 515 genin çalışmaya başlayıp, 24 saat boyunca da tam kapasitede faaliyet gösterdikleri tespit edilirken, zebra balıklarında da 548 genin, yavaşlama belirtisi göstermeden ölümden sonra tam 4 gün boyunca faaliyetlerini sürdürdükleri tespit edildi. Ekip bunu, fareler ve zebra balıklarının öldükleri sıradaki ve sonraki 96 saat içindeki mesajcı RNA seviyelerini ölçerek keşfetti.
mRNA bir çeşit ozalit gibidir, genlerimize hangi proteinlerin hangi hücreler tarafından üretilmesi gerektiğini söyler, yani bir hücrede daha çok mRNA varsa o hücrede daha fazla gen aktif durumdadır. İşin daha da garibi bu "postmortem" yani ölüm sonrası genlerin öyle sıradan genler değil de acil durumlarda kullanılan genlerden olması.
Mitch Leslie’nin Science Magazine’e dediği gibi bahsettiğimiz görevler yangı yapmak, bağışıklık sistemini aktifleştirmek ve stres önlemek gibi şeyler. Tespit ettikleri genlerden birkaçı embriyo oluşumuna yardımcı olan, sonra da hiç görülmeyen genlerden. En azından şimdi anlıyoruz ki, bu genler embriyo dönemde aktif olduktan sonra, ölüm sonrasına kadar pek bir iş yapmıyorlar... Noble şöyle söylüyor:
Dudak uçuklatan şeyse gelişimden sorumlu genlerin ölümden sonra aktifleşmesi.
Fakat hepsi yararlı genler değil, ekip aynı zamanda bu hayvanlarda ölümlerinden sonra aktifleşen kanser gelişimini teşvik edici genlere de rastladı. Bu bulguları değerlendiren araştırmacılar, yeni ölmüş bir cesette, vücudun kendini büyüyen embriyo halindeki hücresel koşullara geri döndürdüğünü belirtiyorlar. Belki de yeni bir vücut oluşturmak ya da umutsuzca ölü bir cesedi diriltmeye çalışmak, yüzlerce "zombi" gen için aynı şeydir.
Bu çalışkan genler hiçbir zaman becerip de fareyi, zebra balığını ya da insanı diriltmeyi başaramayacak olsa da ne yaptıklarını ve neden yaptıklarını anlamamız organ nakli ile yaşayan hastalara büyük bir umut kaynağı olabilir. Çalışmaların bulduğuna göre organ nakli alıcıları böbrek kanseri, karaciğer kanseri ve Non-Hodgkin lenfoma da dâhil olmak üzere 32 tür kansere yakalanma açısından daha riskli gruptalar ve doktorlar bunu azaltabilmek için çabalıyorlar. Ulusal Sağlık Enstitüsü (NIH)’ne bağlı Ulusal Kanser Enstitüsü’nden Eric A. Engels şöyle diyor:
Her ne kadar organ nakli son durum organ yetmezliği olan hastalar için hayat kurtarıcı bir tedavi olsa da aynı zamanda alıcıların kansere yakalanma riskini artırıyor. Bu durum, kısmen, bağışıklık sistemini baskılayıp organ naklini reddetmeyi engellemek için verilen ilaçlardan kaynaklanıyor. Organ alıcılarındaki kanser riski, immünsupresyon yüzünden enfeksiyon ilişkili kanser riski artan AIDS hastaları ile benzerlik gösteriyor.
Noble’ın, Science Magazine'e söylediği gibi bu artan kanser riskinin bir kısmı vücutları nakledilen organı reddetmemesi için organ alıcılarının içmek zorunda olduğu çılgın miktardaki ilaçlar tarafından açıklansa da asıl sorumlu, organdaki aktif postmortem genler de olabilir.
Makale, bioRvix isimli ön baskı sitesinde yayınlandı. Dolayısıyla henüz bilimsel değerlendirmeden geçmediğini unutmamakta fayda var. Makaleyi çevrimiçi paylaşarak Noble ve ekibi, araştırmacıları erkenden çalışmaya dâhil olup bir dergiye sunulmadan önce eleştirmeleri için davet ediyor. Bu harika bir şey olsa da, sonuçlar bağımsız bir şekilde onaylanana kadar bu konuda herhangi bir yargıya varmamızı imkansızlaştırıyor ve iddialarıyla ilgili olarak şüpheci kalmamızı gerektiriyor. Özellikle de bu durumu genelleyebilmek için benzer bulguların sadece laboratuvar hayvanlarında değil, insanlarda da bulunması gerekiyor.
Fakat hiçbirimiz bu bulgular sayesinde ölümü çözmeye biraz daha fazla yaklaşmış olma olasılığımızı inkâr edemez. O yüzden bu bulgular, bizlerin “canlı”, “ölü” ve de “daha işi bitmemiş” tanımlarını değiştirebilir. Noble, son olarak şöyle diyor:
Ölümü inceleyerek yaşam üzerine daha çok şey öğrenebiliriz.
Evrim Ağacı'nda tek bir hedefimiz var: Bilimsel gerçekleri en doğru, tarafsız ve kolay anlaşılır şekilde Türkiye'ye ulaştırmak. Ancak tahmin edebileceğiniz gibi Türkiye'de bilim anlatmak hiç kolay bir iş değil; hele ki bir yandan ekonomik bir hayatta kalma mücadelesi verirken...
O nedenle sizin desteklerinize ihtiyacımız var. Eğer yazılarımızı okuyanların %1'i bize bütçesinin elverdiği kadar destek olmayı seçseydi, bir daha tek bir reklam göstermeden Evrim Ağacı'nın bütün bilim iletişimi faaliyetlerini sürdürebilirdik. Bir düşünün: sadece %1'i...
O %1'i inşa etmemize yardım eder misiniz? Evrim Ağacı Premium üyesi olarak, ekibimizin size ve Türkiye'ye bilimi daha etkili ve profesyonel bir şekilde ulaştırmamızı mümkün kılmış olacaksınız. Ayrıca size olan minnetimizin bir ifadesi olarak, çok sayıda ayrıcalığa erişim sağlayacaksınız.
Makalelerimizin bilimsel gerçekleri doğru bir şekilde yansıtması için en üst düzey çabayı gösteriyoruz. Gözünüze doğru gelmeyen bir şey varsa, mümkünse güvenilir kaynaklarınızla birlikte bize ulaşın!
Bu makalemizle ilgili merak ettiğin bir şey mi var? Buraya tıklayarak sorabilirsin.
İlgili Sorular
Soru & Cevap Platformuna Git- 15
- 9
- 7
- 6
- 6
- 4
- 2
- 2
- 0
- 0
- 0
- 0
- Türev İçerik Kaynağı: Science Alert | Arşiv Bağlantısı
- C. M. Hunter, et al. (2016). Accurate Predictions Of Postmortem Interval Using Linear Regression Analyses Of Gene Meter Expression Data. bioRxiv. | Arşiv Bağlantısı
- A. E. Pozhitkov, et al. (2016). Thanatotranscriptome: Genes Actively Expressed After Organismal Death. bioRxiv. | Arşiv Bağlantısı
- P. G. Ferreira. (2018). The Effects Of Death And Post-Mortem Cold Ischemia On Human Tissue Transcriptomes. Nature Communications. | Arşiv Bağlantısı
- M. C. Hunter, et al. (2017). Accurate Predictions Of Postmortem Interval Using Linear Regression Analyses Of Gene Meter Expression Data. Forensic Science International, sf: 90-101. doi: 10.1016/j.forsciint.2017.02.027. | Arşiv Bağlantısı
- F. Dachet, et al. (2021). Selective Time-Dependent Changes In Activity And Cell-Specific Gene Expression In Human Postmortem Brain. Scientific Reports, sf: 1-11. doi: 10.1038/s41598-021-85801-6. | Arşiv Bağlantısı
- J. M. Lackie. (2014). Hücre Ve Moleküler Biyoloji Sözlüğü. ISBN: 978-605-335-061-3. Yayınevi: Nobel Tıp Kitabevleri.
Evrim Ağacı'na her ay sadece 1 kahve ısmarlayarak destek olmak ister misiniz?
Şu iki siteden birini kullanarak şimdi destek olabilirsiniz:
kreosus.com/evrimagaci | patreon.com/evrimagaci
Çıktı Bilgisi: Bu sayfa, Evrim Ağacı yazdırma aracı kullanılarak 18/10/2025 16:18:31 tarihinde oluşturulmuştur. Evrim Ağacı'ndaki içeriklerin tamamı, birden fazla editör tarafından, durmaksızın elden geçirilmekte, güncellenmekte ve geliştirilmektedir. Dolayısıyla bu çıktının alındığı tarihten sonra yapılan güncellemeleri görmek ve bu içeriğin en güncel halini okumak için lütfen şu adrese gidiniz: https://evrimagaci.org/s/4595
İçerik Kullanım İzinleri: Evrim Ağacı'ndaki yazılı içerikler orijinallerine hiçbir şekilde dokunulmadığı müddetçe izin alınmaksızın paylaşılabilir, kopyalanabilir, yapıştırılabilir, çoğaltılabilir, basılabilir, dağıtılabilir, yayılabilir, alıntılanabilir. Ancak bu içeriklerin hiçbiri izin alınmaksızın değiştirilemez ve değiştirilmiş halleri Evrim Ağacı'na aitmiş gibi sunulamaz. Benzer şekilde, içeriklerin hiçbiri, söz konusu içeriğin açıkça belirtilmiş yazarlarından ve Evrim Ağacı'ndan başkasına aitmiş gibi sunulamaz. Bu sayfa izin alınmaksızın düzenlenemez, Evrim Ağacı logosu, yazar/editör bilgileri ve içeriğin diğer kısımları izin alınmaksızın değiştirilemez veya kaldırılamaz.