Keşfedin, Öğrenin ve Paylaşın
Evrim Ağacı'nda Aradığın Her Şeye Ulaşabilirsin!
Paylaşım Yap
Tüm Reklamları Kapat

Penis Hakkında Bilmeniz Gereken Her Şey!

24 dakika
1,773,188
Penis Hakkında Bilmeniz Gereken Her Şey! Medical News Today
Evrim Ağacı Akademi: Cinsiyetler, Üreme ve Cinsellik Yazı Dizisi
Bu yazı, Cinsiyetler, Üreme ve Cinsellik yazı dizisinin 5. yazısıdır. Bu yazı dizisini okumaya, serinin 1. yazısı olan " Cinsiyetlerin Evrimi: Cinsiyetler Neden, Ne Zaman, Nasıl Evrimleşti?" başlıklı makalemizden başlamanızı öneririz.
Tüm Reklamları Kapat

Bu Makalede Neler Öğreneceksiniz?

  • Penis, omurgalı ve omurgasız hayvanlarda bulunan, erkeğin spermlerini dişi üreme kanalına ileten, kanla dolup şişerek ereksiyon sağlayan kemiksiz bir organdır.
  • Memelilerde penis yapısı kök, gövde ve glans olmak üzere üç kısımdan oluşur ve ereksiyon sırasında corpus cavernosum ve corpus spongiosum dokuları kanla dolar.
  • İnsanlarda penis kemiği (baculum) bulunmazken, farelerde cinsel seçilim, çok eşlilik durumunda baculum kalınlığını artırarak üreme başarısını etkiler.

Penis, yapı ve görevi itibariyle tüm zamanların en ilgi çeken organları arasında yer almaktadır. Kültürel bir tabu haline getirilmiş olmasından ötürü, dalak ya da pankreas hakkında konuşurken kimsenin yüzü kızarmasa da, penis hakkında konuşurken kıkırdamalar, utanıp bozarmalar ve benzeri duygu ve davranışlar oldukça yaygındır. Halbuki, ortalama bir insan söz konusu olduğunda, vücudumuzun kütlece binde 2'sini, yani %0.2'sini oluşturan, kemiksiz, sıklıkla kanla dolarak şişen, damar ve sinir yığını olan bu organ hakkında bahsederken de, en az saçlarımız ya da parmaklarımız ile ilgili konuşurken olduğu kadar rahat olabilmeliyiz.

Dahası, merak etmiyoruz da değil! Bize en sık gelen sorular, cinsellik ve üreme organlarıyla ilgili sorular oluyor. Bu da çok normal; çünkü var oluşumuzu bu organlara ve sistemlere borçluyuz. Örneğin vajina ile ilgili bilmeniz gereken her şeye buradaki yazımızda yer vermiştik. Bu yazıda da penise bir bakış atalım.

Penis Nedir?

İlk olarak "penis" dediğimiz organ nedir, bununla başlayalım. Penis, aynı zamanda boşaltım sisteminin bir uzantısı olarak da görev yapan, erkeğin iç döllenme sırasında testislerde üretilen spermlerin dişi üreme kanalına boşaltılmasını sağlayan organın adıdır. Penis, omurgalı ve omurgasız hayvanlarda bulunur.

Tüm Reklamları Kapat

Penis Ne Anlama Gelir?

Kelime anlamıyla "penis", Latincede "kuyruk" demektir. Hatta penisilin isimli antibiyotiğe ismini veren Penicillium mantarı, bu ismini kalem-benzeri bir görünüme sahip olmaktan almaktadır. İngilizcede halen "kalem" anlamında kullanılan pencil sözcüğü, "kuyruk-benzeri" ya da "küçük kuyruk" anlamına gelen penicillus sözcüğünden gelmektedir.

1379 yılında Oxford İngilizce Sözlüğü'nde, bugün "penis" olarak adlandırdığımız organın ismi "yarda" (İng: yard) olarak geçmektedir. 1684 yılında yayınlanan Fiziksel Sözlük'te Steven Blankaart, bu organı halen "yarda" olarak tanımlamaktadır. Ancak bu tarihlerden sonra, sözcüğün genel kullanımı değişmeye başlamış ve yarda sözcüğü unutularak "penis" sözcüğünün kullanımı yaygınlaşmıştır.

Türkçede penis Türk Dil Kurumu tarafından "erkeklik organı" olarak tanımlanmaktadır.

Biyolojik Erkek Anatomisi. Altyazı çevirmeni: Erdal Kozan
AMAZE Org

Ereksiyon Nedir?

Bilindiği gibi, penisin erekte olmamış hali ile erekte olmuş hali arasındaki boy farkı oldukça fazladır. Bu adaptasyonun hayvanların hareketlerine ve cinsel organlarını korumalarına faydalı olması amacıyla evrimleştiği düşünülmektedir. Çünkü sürekli erekte olmuş halde gezen bir hayvan, çok ciddi cinsel yaralanmalar geçirebileceği gibi, hiç erekte olmayan bir hayvanın, dişilerin vücut içinde güvenle saklanması için evrimleşmiş yumurta kanalının başlangıcına kadar iletebilecekleri bir iletim araçları olmayacaktır. Bu sebeple penis, beyin tarafından uyarıldığı zaman erekte olup, uyarıcı kimyasalların ortadan kalkmasıyla küçük haline dönen bir organdır.

Tüm Reklamları Kapat

Gece Ereksiyonları

Erkekler gece boyunca 3-5 defa erekte olurlar ve bunların her biri 25-35 dakika kadar sürer. Özellikle de sabaha karşı artışa geçen bu ereksiyonlara halk arasında "gündüz sefası" veya "sabah erkesiyonu" denmektedir. Aslında bu ereksiyon, gece boyunca süren serinin sonuncusudur.

Henüz bu ereksiyonların sebebi tam olarak bilinmemektedir; ancak REM uykusu olarak bilinen uyku fazıyla ilişkili olduğu düşünülmektedir. Bu konuyla ilgili daha fazla bilgiyi buradaki yazımızdan alabilirsiniz.

Ana Karnındaki Bebekler de Erekte Olurlar!

Evet, erkek bebeklerin annelerinin karnında ilk ereksiyonlarını yaşadıkları bilinmektedir. Öyle ki, erkek bebekler ana rahminde her saat birden fazla defa erekte olabilirler. Bunun tam olarak neden gerçekleştiği bilinmemektedir, çünkü erkekler normalde ergenlik çağına kadar pek fazla erekte olmazlar. Aşağıdaki fotoğrafta 36 haftalık bir bebeğin ereksiyonu görülmektedir.

Wikipedia

"Melek Şehveti": Ölüm Ereksiyonu!

Bu ne yazık ki birçokları için rahatsız edici olabilecek, ancak bir o kadar da ilginç bir konudur: "ölüm ereksiyonu" olarak da bilinir. Tarih boyunca idam edilmek üzere ip ile asılan birçok erkekte ölümden sonra ereksiyon gözlenmiştir. Ne yazık ki, tıpkı ana karnındaki ereksiyon gibi, ölüm sonrası ereksiyonun da tam sebepleri bilinmemektedir. Belki de beynin ölmeden önce vücuda gönderdiği sinyallerin kontrol edilememesinden kaynaklı bir durum olabilir.

Evrim Ağacı'ndan Mesaj

Aslında maddi destek istememizin nedeni çok basit: Çünkü Evrim Ağacı, bizim tek mesleğimiz, tek gelir kaynağımız. Birçoklarının aksine bizler, sosyal medyada gördüğünüz makale ve videolarımızı hobi olarak, mesleğimizden arta kalan zamanlarda yapmıyoruz. Dolayısıyla bu işi sürdürebilmek için gelir elde etmemiz gerekiyor.

Bunda elbette ki hiçbir sakınca yok; kimin, ne şartlar altında yayın yapmayı seçtiği büyük oranda bir tercih meselesi. Ne var ki biz, eğer ana mesleklerimizi icra edecek olursak (yani kendi mesleğimiz doğrultusunda bir iş sahibi olursak) Evrim Ağacı'na zaman ayıramayacağımızı, ayakta tutamayacağımızı biliyoruz. Çünkü az sonra detaylarını vereceğimiz üzere, Evrim Ağacı sosyal medyada denk geldiğiniz makale ve videolardan çok daha büyük, kapsamlı ve aşırı zaman alan bir bilim platformu projesi. Bu nedenle bizler, meslek olarak Evrim Ağacı'nı seçtik.

Eğer hem Evrim Ağacı'ndan hayatımızı idame ettirecek, mesleklerimizi bırakmayı en azından kısmen meşrulaştıracak ve mantıklı kılacak kadar bir gelir kaynağı elde edemezsek, mecburen Evrim Ağacı'nı bırakıp, kendi mesleklerimize döneceğiz. Ama bunu istemiyoruz ve bu nedenle didiniyoruz.

Erkeğin Boşalması İçin Beynine İhtiyacı Yoktur!

Penise boşalma ve spermleri dışarıya gönderme emri beyinden değil, omurilikten gelmektedir. Dolayısıyla beyni olmayan bir erkek de kolaylıkla boşalabilir. Tabii erekte edilebilirse...

Penisin Yapısı Nasıldır?

Genel kanının (ve "aşk kası" gibi isimlendirmelerin) aksine penis bir kas değildir. Zaten bu nedenle erekte bir penisi kendi başına yönlendirmek mümkün olmamaktadır; anca kasıklardan yönlendirmek mümkündür. Bunun yerine penis, daha ziyade bir "sünger" gibi tanımlanır.

Temel olarak memelilerde 3 kısımdan oluşur: Kök, gövde ve glans. Kök, penisin vücudun geri kalanına bağlanan bölgesidir. Gövde, kökten uzanan kısmın adıdır. Glans ise penisin uyarıcı bölgesinin bulunduğu ve idrar ile sperm çıkışının gerçekleştiği bölgenin bilimsel adıdır.

Earth's Lab

Penis üzerinde bolca erektil doku bulunur. Bu dokular, fiziksel olarak uyarıldıklarında, beyne giden elektrokimyasal uyartılar meydana getirirler. Bunun sonucunda beyinden salgılanan hormonlar, penis içerisinde bulunan corpus spongiosum ve corpus cavernosum denen dokunun kan ile dolmasına sebep olurlar. Kan ile dolan dokular, penisin şişip erekte hale gelmesine sebep olurlar. Erekte haldeyken uretranın (idrar yolunun) açık kalmasını sağlayan dokucorpus spongiosum'dur.

Dikkat: Penisinizi Kırabilirsiniz!

Penis, her ne kadar bir sünger gibi olsa da, kırılamaz değildir. Eğer erekte haldeyken aşırı miktarda bükülecek olursa penis kırılması denen tıbbi bir durum oluşmaktadır. Az sonra değineceğimiz gibi peniste hiçbir kemik bulunmamaktadır; ancak penisin erekte olmasını sağlayan damarlar ve tüplerin bükülerek çatlaması sonucu "penis kırılması" yaşanabilir.

Bu olaya tıp dünyasında nadiren rastlanmaktadır ve bunun nedenlerinden birinin, hastaların doktora gitmekten utanması olduğu düşünülmektedir. Buna rağmen yapılan çalışmalar, partnerlerin erkeklerin üzerinde olduğu pozisyonların, tüm raporlu penis kırılması vakalarının 3'te 1'ini oluşturduğunu göstermektedir. Bu durum, penis vajinadan istemsiz olarak çıkıp da, partnerler tüm ağırlıklarını erekte penis üzerine bindirdiklerinde yaşanmaktadır. Dolayısıyla bu pozisyonda özellikle dikkatli olunmalıdır.

Tüm Reklamları Kapat

Hayvanlarda Farklı Penis Tipleri

Memeliler arasında pek çok penis türü vardır. Örneğin, buradaki yazımızda bahsettiğimiz gibi, erkek kedilerin penisleri tırtıklıdır ve bu dişinin yumurta kanalına yumurtanın düşmesini sağlar. İnsana gelen soy hattındaki antik penislerin dikenli olduğuna dair veriler bulunmaktadır. Ancak Neandertaller ile ortak atamız olan Homo heidelbergensis'in evrimi sırasında bu dikenlerin yitirildiği düşünülmektedir. Bilim insanları, bu dikenlerin görevinin ne olduğundan emin değildirler; ancak bu dikenlerin, uyarılmayı arttırarak ereksiyonu hızlandırdığı düşünülmektedir. Özellikle, bir seferde birden fazla defa çiftleşen hayvanlarda penis dikenleri bu görevi görmektedir. Bu hayvanların başında ise kediler gelmektedir. Konuyla ilgili buraya tıklayarak daha fazla bilgi alabilirsiniz. 

Wikimedia Commons

Boğalarda, koçlarda ve domuzlarda S şeklinde penis yapısı görülür (kas ve doku diziliminden ötürü), ereksiyon sırasında bu şekilde düz bir hal alır.

Kuşların %97'si gibi büyük bir kısmında penis bulunmaz, ancak hem erkek hem dişide olan bir kloak yapısı bulunur. Ancak penisli kuşlar da bulunmaktadır. Bunların başında Koşucu Kuşlar ailesi (Palaeognathae), Ördekgiller (Anatidae) ve flamingolar gibi bazı spesifik türler gelir. Ancak kuşların penisi, memelilerden biraz farklıdır. Örneğin kan ile erekte olmazlar, lenf dokusu ereksiyona sebep olur. Ayrıca genellikle tüysü ya da fırça benzeri yapılara rastlanır. Penissiz kuşların nasıl ürediğini merak ediyorsanız buradaki yazımıza göz atabilirsiniz.

Tüm Reklamları Kapat

Penis Kemiği ve İnsanlar

Çoğu erkek memelinin baculum denen bir penis kemiği vardır. İnsanlarda bu kemik bulunmaz, yakın maymun kuzenlerimizde körelmiştir, daha uzak maymunlarda ise daha gelişkindir. Yani insana gelen kolda bu kemiğin körelerek, hominidlerde (insansılarda) tamamen yok olduğunu görüyoruz. Ayrıca atlarda, eşeklerde, gergedanlarda, keseli memelilerde, tavşanlarda, deniz memelilerinde, fillerde ve sırtlanlarda bu kemik bulunmaz. Ancak bunun haricindeki birçok memeli penisinde bu kemik bulunmaktadır.

Penis Kemikleri
Penis Kemikleri

Baculum büyüklüğü ortalamasının, farklı fare popülasyonlarına göre değiştiği iyi bilinmektedir. Daha önce yapılan çalışmalara göre, dişi bir fare, üreme döneminde birden çok erkekle çiftleşirse (fare çok eşliliği) daha kalın baculum’a sahip olan erkekler daha çok yavru sahibi olmaktadır. 

Bu bağıntı, penis veya baculum yapısının cinsel seçilime maruz kaldığını gösterir. Başka bir deyişle, baculum’u kalın olan fareler daha çok yavru sahibi olduğundan büyük baculum’u sağlayan gen kopyaları, popülasyonda daha sık rastlanır olacak ve ortalama baculum çevresi (çapı) değeri artacaktır. 

Ancak arada bir bağıntının olması, nedensellik kurulmasını gerektirmez; bu hipotezi test etmek için bilim insanları iki fare popülasyonunu 27 kuşak boyunca ürettiler. Bir popülasyonu tek eşli kalmaya mecbur bıraktılar, diğerinde ise bir dişi fareyi bir üreme dönemi boyunca dört erkek fareyle çiftleştirme yoluyla çok eşliliği zorunlu kıldılar. Sadece ikinci popülasyonda ortalama baculum kalınlığının arttığını gördüler, bu da çok eşliliğin daha kalın penis kemiklerini seçtiğini gösterdi. 

Tüm Reklamları Kapat

Agora Bilim Pazarı
Yemen Mocha Pea Berry Yöresel Kahve 250 gr.

The Coffee Belt Yemen Mocha Pea Berry Yöresel Kahve 250 gr.

The Coffee Belt Nedir?

Kahve, kuzeyde yengeç, güneyde oğlak dönencesi boyunca uzanan ve Ekvator’a paralel bir kuşak oluşturan bölgede yetişir. Buna kahve kuşağı (Coffee Belt) denir. Onlarca farklı ülkenin sıralanarak oluşturduğu bu kuşakta, en seçkin kahveleri sizin için seçip titizlikle kavuruyoruz. The Coffee Belt yüksek kaliteli %100 orijin kahve çeşitleri ve blend (harman) kahveleri ile her zaman seçkin, her zaman taze.

Neden The Coffee Belt?

The Coffee Belt kahve çeşitlerimizde %100 o bölge ve ülkeye ait yüksek kaliteli kahve çekirdeklerini seçtik. Daha temiz ve lezzetli bir kahve deneyimi için çiğ çekirdek kahvelerde belli oranda bulunan kusurlu (defekt) kahve çekirdeklerini ayıkladık.

Taze Kavrulmuş Kahve

Her ülke ve bölgenin kahve çekirdekleri farklı karakteristik özelliklere sahiptir. Kahvenin içerisinde yer alan aromaları daha iyi ortaya çıkartmak için çekirdeğin karakteristik özelliğine, ülkenin ve bölgenin yapısına göre en iyi kıvamda taze taze kavurduk.

The Coffee Belt markalı kahvelerimizi “The Coffee Belt Roasting”de haftalık olarak kavurup sipariş anında taze taze paketliyoruz!

İçtiğin her yudum kahve nefis keşiflere dönüşsün diye.UYARI: Bu ürün, müşterilerimizin tercihine göre özel olarak öğütülerek (veya hiç öğütülmeden) temin edilmektedir; yani müşteri talebine özel olarak hazırlanmaktadır. Bu nedenle lütfen sipariş notlarına talep ettiğiniz öğütme türünü ekleyiniz:

  1. Çekirdek (Öğütme İstemiyorum)
  2. Filtre Kahve Makinesi,
  3. Espresso (Öğütülmüş),
  4. French Press,
  5. Moka Pot,
  6. Hario V60,
  7. Aeropress,
  8. Metal Filtre,
  9. Chemex – Pour Over.

Tercih belirtilmemesi halinde öğütülmemiş çekirdekler gönderilecektir ve tarafınızdan öğütülmesi veya değirmen olan bir yerde öğüttürülmesi gerekecektir.

Devamını Göster
₺495.00
Yemen Mocha Pea Berry Yöresel Kahve 250 gr.

Peki, neden kalın penis kemiğine sahip erkeklerin daha çok yavrusu oluyor? Kimse bilmiyor. Henüz... Makalenin özeti şu şekilde:

Erkek üreme organları, cinsine göre yaygın bir hızlı ve çeşitli evrimleşme şekli gösterir. Cinsel seçilim hipotezinin deneysel desteği çoğunlukla böcek çalışmalarından sağlanmış olsa da söz konusu evrimsel çeşitlilik şekillerine cinsel seçilimin yol açtığı düşünülmektedir. Bu çalışmada fare (Mus domesticus) popülasyonlarında baculum yapısındaki evrimsel çeşitliliğe cinsel seçilimin neden olduğunu göstereceğiz. Farklı çiftleşme-sonrası cinsel seçilim seviyeleri olduğu bilinen üç izole popülasyondan fare tedarik ettik ve onları bahçe ortamında çiftleştirdik. Çiftleşme-sonrası cinsel seçilim seviyesi yüksek olan popülasyona ait fareler, seçilim seviyesi düşük olan popülasyona ait farelere göre nispeten daha kalın baculum’a sahipti. Bu çeşitlilik şekillerinin çiftleşme-sonrası cinsel seçilime bağlı olup olmayacağını belirlemek için deneysel evrimleşme yöntemini kullandık. Deneysel evrimleşme 27 kuşak boyunca gerçekleştikten sonra, çiftleşme-sonrası cinsel seçilime maruz kalan fare popülasyonları, zorunlu tek eşliliğe maruz kalan popülasyona göre nispeten daha kalın baculum evrimleştirdi. Elimizdeki veriler çiftleşme sonrası cinsel seçilimin altında memeli baculumundaki cinsel çeşitliliğin yattığına dair kanıt sunuyor ve cinsel seçilimin evrimsel olarak farklı taksonomik gruplar içinde erkek üreme organları morfolojisinin evriminde büyük rol oynadığı hipotezini destekliyor.

Penis Tek Olmak Zorunda mı?

Bazı hayvan gruplarında (Squamata gibi) çift penis görülür, ancak bunların ikisi bir aradayken işlev görebilirler. Bunlara "yarı-penler" (hemipenes) denir. Bazı balıklarda da, kaotik deniz ortamında dişilerin yumurta çıkışı yaptıkları kanallara en yüksek oranda sperm bırakabilmek için özelleşmiş yüzgeçleri olduğu bilinmektedir. 

İnsanlar da difalus adı verilen, iki penislilik örneklerine rastlamak mümkündür. Rahatsız edici olabilecek bir fotoğrafa buraya tıklayarak ulaşabilirsiniz.

Klikdokter

ABD'deki her 5-6 milyon erkekten birini etkileyen bu nadir hastalık, erkeğin iki penisle doğması anlamına gelir. Ne yazık ki neredeyse hiçbir zaman iki penis de işlevsel olmaz ve fazladan olan penis genellikle bazı diğer bozukluklara neden olur, sonunda cerrahi olarak alınması gerekir. Bu hastalığa ait fotoğraf oldukça rahatsız edici olduğu için buraya gerçek bir fotoğraf koymak istemiyoruz; ancak merak ediyorsanız, buraya tıklayarak kendiniz görebilirsiniz. Daha fazla (rahatsız edici olabilecek) görsel içinse buraya tıklayın.

Penis Boyutuyla Vücut Boyutu Arasında İlişki Var mı?

Genellikle vücut büyüklüğü ile penis büyüklüğü arasında bir ilişki kurulabilir; ancak bu durum evrensel değildir. Çok yakın akraba türlerde bile zıtlıklar görülebilir. Örneğin, gorillerin ortalama erekte penis boyu 4 santimetre civarında iken, çok yakın akrabaları olan ve bir gorilden çok daha küçük olan şempanzelerin penis boyu, gorillerinkinin iki katıdır. İnsanın penis boyu ise, primatlar arasında en büyük olanıdır.

Ancak bu tarz istisnalar dışında genel olarak penis boyu ile vücut büyüklüğü ilişkilidir diyebiliriz. Bir diğer ekstrem örnek ise, her ne kadar kuşlarda penise sahip olma oranı az olsa da, omurgalılar arasında, vücut büyüklüğüne göre en büyük penise sahip olan hayvan ördekgillerden Oxyura vittata'dır. Bu türün kendi uzunluğu 40 santimetre civarındayken, penis boyu bunun yarısı kadar, yani 20 santimetre kadardır. Bir örneğin 42.5 santimetre boyunda bir penise sahip olduğu rapor edilmiştir.

Vücut büyüklüğüne göre sahip olduğu bilinen en büyük penis boyu, bir omurgasız ve eklembacaklı olan kaya midyesine aittir. Bu midyenin penisi, kendi boyunun 40 katına kadar uzayabilir ve böylece en yakındaki dişiye uzanabilir. Böceklerde, penis ile analog olan bir organ olarak "aedeagus" bulunur. 

Hayvanlar Alemi'nde penis büyüklükleriyle ilgili daha detaylı bir yazımızı buradan okuyabilirsiniz.

İnsan Penisi Ne Uzunlukta?

Erkekler, özellikle de genç erkekler arasındaki en meşhur çekişmelerden birisi penis boyuyla ilgilidir (bir diğeri de seks süresidir, bunu burada işlemiştik). Elbette ki taraflar ne kendilerininkine dair kanıtlar ortaya koymak, ne de bir başkasının kanıtlarını incelemek isteyeceği için, bu çekişmeler laf dalaşı ve hatta "sidik yarışı" diyebileceğimiz düzeyde kalmaktadır.

Ancak bilim insanları için penis boyu oldukça ilgi çekici bir çalışma sahasıdır; zira toplum içerisinde özellikle "penis büyütme ameliyatları"na rağbet oldukça, penis boyunun gerçekten de uzatılıp uzatılmaması gerektiğini anlamak önem kazanmaktadır. Penislerinin boyutunu büyütmek isteyen erkekler, çoğu zaman oldukça anlamsız iddialara inanarak ve yersiz hayal kırıklıklarına/endişelere kapılarak, kendi penis boylarında herhangi bir problem olmasa bile, bu ameliyatlara başvurmaktadırlar.

Tüm Reklamları Kapat

Konuyla ilgili net bir şekilde söyleyebileceğimiz ilk şey, ortalama penis boyutlarının sandığınızdan çok daha kısa olduğudur. 2015 yılında yapılan bir meta-analiz çalışması, bugüne kadar konuyla ilgili yayınlanmış, 15.500'den fazla erkeğe dair verilere dayanan 17 farklı makaleyi incelemiş ve insan erkeklerinde ortalama penis boyutlarına dair bir sayıya ulaşmayı başarmıştır.

Görselden görebileceğiniz gibi, en yüksek ortalama 16.51 santimetre ile Macaristan iken, en küçük ortalama 12.78 santimetre ile İrlanda. Aynı sitede ABD verileri de bulunmakta ve bu verilere göre 15.74 santimetre ile New Hampshire eyaleti en yüksek ortalamaya sahipken, 13.44 santimetre ile Wyoming eyaleti en düşük ortalamaya sahip.
Görselden görebileceğiniz gibi, en yüksek ortalama 16.51 santimetre ile Macaristan iken, en küçük ortalama 12.78 santimetre ile İrlanda. Aynı sitede ABD verileri de bulunmakta ve bu verilere göre 15.74 santimetre ile New Hampshire eyaleti en yüksek ortalamaya sahipken, 13.44 santimetre ile Wyoming eyaleti en düşük ortalamaya sahip.
Evrim Ağacı

Erekte Olmamış Penis

Çalışmanın gösterdiğine göre erekte olmayan bir penisin boyu (penis şaftının kökünden, penis ucu açıklığına kadar olan mesafe) ortalamada 9.14 santimetredir. Yine erekte olmamış bir penisin şaft çevresi (merkezde veya penis kökünde) ortalamada 9.31 santimetredir. 

Diğer çalışmalar da bunu doğrulamaktadır. Yapılan bir diğer çalışma, ortalama erekte olmamış penis boyunun 7-10 santimetre, penis çevresinin 9-10 santimetre olduğunu göstermektedir.

Erekte Olmuş Penis

Tabii ki erekte olmamış penis pek fazla bilgi vermemektedir; zira o haldeyken penisin idrar atımı haricinde pek bir işlevi bulunmamaktadır. Aynı çalışmada ortaya konduğuna göre erekte olmuş bir penisin boyu ortalamada 13.12 santimetre, şaft çevresi ise 11.66 santimetredir. Araştırmada karşılaşılan en kısa penis 4.8 santimetre boya, en uzun penis ise 21.2 santimetre boya sahiptir.

Tüm Reklamları Kapat

Ek araştırmalar, erekte olmuş penis ortalamasının 12-16 santimetre, şaft çevresi ortalamasının ise 12 santimetre olduğunu göstermektedir.

Çan Eğrisi

Eğer bundan çok farklı boyutlara sahip olduğunuzu iddia ediyorsanız, muhtemelen yalan söylüyorsunuz veya popülasyonun çan eğrisinin çok uçlarında bulunan nadir bir bireysiniz. Çünkü araştırmaya göre her 100 erkekten sadece 5 tanesinin penis boyu 16 santimetre ve üzerinde iken, yine her 100 erkekten sadece 5 tanesinin penis boyu 10.1 santimetre ve altındadır. Bir diğer deyişle, %90 ihtimalle penisinizin erekte olmuş hali 10.1-16 santimetre arasındadır.

Kısa Penisler Çok Daha Fazla Uzar!

2770 erkek üzerinde yapılan bir diğer çalışma, daha kısa penisli olan erkeklerin penis uzunluğunun ortalamada %86 büyüdüğünü göstermiştir. Daha uzun penislilerde ise penis uzama oranı ortalamada %47'lık bir büyüme civarında olmaktadır.

1988 yılında yapılan bir diğer çalışmada, erekte olmamış haldeyken aralarındaki boyut farkı çok bariz olan penislerin, erekte olduktan sonra aralarındaki farkın dikkate değer miktarda azaldığı görülmüştür. Örneğin bu araştırmada erekte olmamış penisler arasındaki büyüklük farkı 3.1 santimetreyken, erekte olduklarında fark 1.7 santimetreye düşmüştür.

Tüm Reklamları Kapat

Penisiniz Sandığınızdan 2 Kata Kadar Daha Uzundur!

İnsan penisinin vücut dışında gözüken kısmı, organın sadece bir kısmıdır. Penisin geri kalanı, erkeğin vücudunun içindedir ve bu kısım, dışarıdaki kısma eşit boyda bile olabilir! Buna bağlı olarak, az önce gösterdiğimiz anatomik çizimde de görebileceğiniz gibi, erekte olmamış bir penis aslında bir çubuk gibi değil, bir bumerang şeklindedir.

En Uzun Penisli Kişi Kim?

1963 doğumlu Roberto Esquivel Cabrera, resmî kayıtlara geçen en uzun penisli kişilerden birisidir. Kayıtlara göre 48 santimetre uzunluğunda olan penisi, ilk etapta bir "avantaj" gibi gözükse de, aslında çok ciddi sıkıntılar yaratmaktadır. Öyle ki, 2017'nin sonunda Cabrera, aşırı uzun penisi dolayısıyla "engelli" olarak kaydedilmiştir.

The Sun

Ne var ki Cabrera, bu penise doğuştan sahip olmamıştır. Ömrü boyunca sayısız metot kullanarak, penisini uzatmak için elinden geleni ardına koymamıştır. Penisine ağırlıklar bağlayarak sündürmüş, ilaçlar kullanmıştır. Uzmanlar, bu nedenle Cabrera'nın "en uzun penisli kişi" iddiasının hatalı olduğunu söylemektedirler; çünkü bu 48 santimetrenin büyük bir kısmı penis şaftı değil, sünmüş deriden ibarettir.

Glenn Miller Show

Eğer doğal nedenlerle penisi en büyük olan kişiyi arıyorsanız, aradığınız kişi muhtemelen Jonah Falcon. 34.29 santimetrelik "doğal" penisiyle Falcon, gezegenimizde yaşayan en büyük penisli erkek olabilir.

Tüm Reklamları Kapat

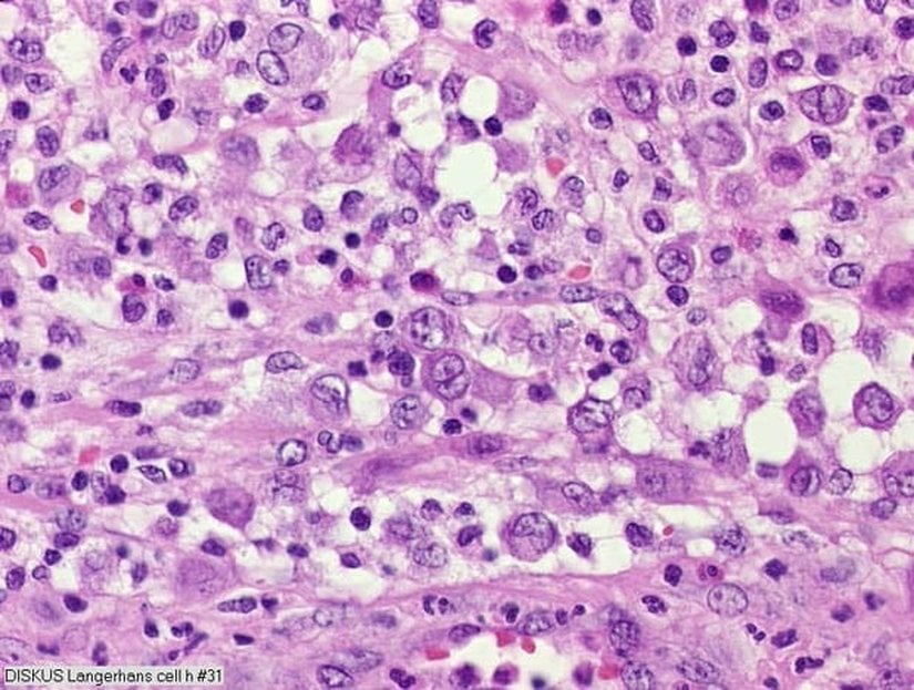
Sünnet Nedir?

Tanımsal olarak sünnet (circumcision), sadece erkekler için tanımlanmaktadır ve penisin ucunda bulunan prepucium (ön deri) olarak adlandırılan deri parçasının cerrahi olarak kesilerek alınması anlamına gelmektedir. 

Study Blue

Penisin genelde sünnetle alınan kısmında bol miktarda Langerhans Hücreleri isimli savunma sistemi hücreleri bulunmaktadır. Bu hücreler, özellikle HIV tarafından enfekte edilebilir. Dolayısıyla 1920-1940 arasında ilk olarak ortaya çıkan HIV'e karşı bir önlem olarak, bu savunma sistemi hücrelerinin bolca bulunduğu bu deri parçası, yüksek AIDS riski olan bölgelerde sünnet edilir. Muhtemelen bu yüzden, Afrika'da sünnet edilen insanlarda AIDS vakalarına %60 daha az rastlanmaktadır. Konuyla ilgili daha derin bir analizi buraya tıklayarak okuyabiliriniz.

Mikropenis Nedir?

Erekte halde 7 santimetreden kısa olan bir penis, bilimde "mikropenis" olarak adlandırılmaktadır. Ayrıca sünnetli erkeklerin, sünnetsizlere göre erekte halde penis boylarının 8 milimetre kadar kısa olduğu bilinmektedir. 

Diğer Organlar Penis Boyuyla İlgili Bilgi Verir mi?

Bu konudaki şehir efsanelerinden bir diğeri ise vücudun başka uzunluklarına bakarak penis boyuna dair çıkarımlarda bulunabileceğimiz safsatasıdır. Şans eseri bir kişinin kol uzunluğu ya da ayak büyüklüğü ile penis boyu arasında bir ilişki olabilir; ancak yapılan meta-analize göre kilo, orta parmak uzunluğu ve ayak büyüklüğü ile penis uzunluğu arasında istatistiki olarak anlamlı hiçbir ilişki bulunmamaktadır.

Tüm Reklamları Kapat

Bir araştırma, penis boyu ile ayak uzunluğu ve boy arasında çok zayıf bir ilişki ortaya çıkarmıştır; ancak bunu genellemek çok güçtür. Benzer şekilde, bir diğer araştırma da ayakkabı numarası ile penis boyu arasında zayıf bir ilişki bulmuştur. Bunların temel sebebi olarak, embriyonik dönemde gelişimi etkileyen HOX genlerinin aktivitesi ileri sürülmektedir. Özellikle HOXA13 VE HOXD13 genleri, uzuvların gelişimini kontrol etmektedir. 

Kadınların Tercihi Ne Yönde?

Son olarak, tabii ki "kadın tercihi" konusu üzerinde durulmalıdır; en nihayetinde bu uzvun evrimleşmesinin ana nedeni dişileri etkileyebilmek ve üreyebilmektir.

Bu konuda farklı araştırmalar farklı sonuçlar verse de, genel olarak çalışmaların gösterdiği üzere "daha uzun daha iyidir" mantığı muhtemelen geçersizdir. Dr. Veale'nin belirttiğine göre kadınların %85'inden fazlası penis boyutunu cinsel tercihlerinde bir kriter olarak kullanmamaktadır. Dahası, kadınların yine %85'i eşlerinin penis boyundan memnun olduklarını ve daha uzun olmasını tercih etmeyeceklerini söylemektedir. Hatta fizyolog Dr. Brandy Engler'e göre bazı araştırmalar, kadınların genellikle daha kısa penisli erkekleri tercih ediyor olabileceğini bile göstermektedir! 

Bunun biyolojik sebepleri de açıktır: Penis boyu, sperm kalitesi ile ilgili herhangi bir bilgi vermemektedir; dolayısıyla daha uzun penislerin seçilmesi için bariz bir sebep bulunmamaktadır. Dahası, daha uzun penisler daha iyi penetrasyon anlamına da gelmemektedir; zira genellikle sperm penisi fışkırarak terk eder ve vajina kanalı içerisindeki mesafeyi bu şekilde kolaylıkla alabilir; daha uzun olmanın daha uzağa ulaştırmak konusunda dikkate değer bir avantajı yoktur. Son olarak, belki de modern hayatta hepsinden önemlisi, seksten alınan keyfin penis boyutları ile doğrudan bir alakası bulunduğuna göre dikkate değer hiçbir bulgu yoktur; zira doğru pozisyon seçimi ve doğru hareketlerle en kısa penisli erkekler bile partnerlerini rahatlıkla tatmin edebilmektedirler. Yani pozisyon tercihi ve eşlerin birbirlerinin hoşlandığı davranışlardan haberdar olması, penis boyundan çok daha önemlidir.

Tüm Reklamları Kapat

Tüm bunlar bir araya geldiğinde, penis boyuyla ilgili birçok hurafenin daha ziyade erkeklerin birbirlerini hor görme veya kendilerini üstün gösterme merakından kaynaklandığı görülebilir. Öyle ki, kadınlar durumdan memnun olsa bile erkeklerin %45'i penislerinin çok küçük olduğuna inanmaktadır. Bu, öyle bir hal almıştır ki, dişilerin tercihlerinin bile erkekler tarafından gerçeklerden saptırılması mümkün olmuştur. Penislere, çalışma prensiplerine, evrimine ve özelliklerine dair daha fazla bilgi sahibi olarak bu gereksiz atışmaların önüne nihai olarak geçmemiz mümkün olabilir. 

Penis Boyu Hep Başarılı Cinsellikle mi İlişkiliydi?

Antik Yunan'da, kısa ve sünnetsiz penis boyu daha arzulanan bir penisti. Yunanlılar büyük ve sünnetli penisler tercih etmemektelerdi. Antik Roma'da ise durum tam tersine dönmüştür. Ne olursa olsun, son birkaç yüz yılda penis boyu net bir şekilde "özgüven" ile ilişkilendirilmektedir ve bu evrensel bir tercih değildir. Kadınlar için penis boyundan çok, penis şaft çevresinin ve cinsel uyarı miktarının önem arz ettiği bilinmektedir.

"Zenci Pipisi": "Irklarla" Penis Büyüklüğü Arasında Bir İlişki Var mı?

Şimdiye kadar yapılan hiçbir araştırma, herhangi bir ırk ile penis boyu arasında bir ilişki göstermemiştir. Günümüzde özellikle siyahilerin penis boyununun büyüklüğü ile Uzak Doğu'luların penis boyunun küçüklüğü algısı revaçtadır. Ne var ki, yapılan hiçbir araştırmada böyle bir ilişki bulunamamıştır.

Açık bir şekilde, bu yanılgının sebebi, porno filmlerin insan hayatındaki etkisidir. Doğal olarak bu filmlerde, çeşitli fanteziler doğrultusunda aktörler oynatılmaktadır ve yapılarından ötürü zencilerin büyük penisleri olması "beklenmektedir". Halbuki biyolojik olarak bu son derece anlamsız ve beklenmedik bir durumdur.

Tüm Reklamları Kapat

Sadece bazı Afrika ülkelerindeki penis uzunluğu ortalamasının 15 yerine 16 civarında olması, bazı Uzak Doğu ülkelerindeki ortalamanın ise 11 civarında olması, porno sektörünün de abartısıyla birleşince gerçek dışı iddialara dönüşmüştür. Dolayısıyla zencilerin beyazlara göre abartılı bir penis uzunluğu ortalaması bulunmamaktadır. Örneğin aşağıdaki haritada ülkeler arasında ciddi farklar varmış gibi gözükse de, bu araştırmalar kişilerin kendi bildirimlerine dayalı olduğu için güvenilir değildirler. Kontrollü olarak yapılan hiçbir araştırmada, büyük farklılıklar görülmemiştir.

Penis Boyları Haritası
Penis Boyları Haritası

Kimi bilim insanları, genellikle siyahilerin kabileler halinde yaşadığını ve bu sebeple halen penis boyuna göre cinsel seçilim işleyebileceğini ileri sürmüşlerdir. Bu, kabileler için doğru olabilecek olsa da, günümüzde Dünya'nın her köşesinde bulunan siyahiler için doğru değildir.

Ortalama Seks ve Boşalma Süresi

Porno sektörü tarafından abartılan bir diğer mevzu da, seks süresidir. Her ne kadar birçok porno filmde bu süre onlarca dakika, hatta zaman zaman saatler ile ifade edilse de, ortalama bir erkeğin seks sırasında boşalma süresi 3-7 dakika arasındadır (hiç duraklanmadığı düşünülürse). Yine, Dünya'daki tüm erkeklerin %95 civarı, 12 dakikadan daha uzun süre boşalmadan seks yapamamaktadır.

Tabii ki bu süreleri kesin olarak tayin etmek çok zordur, çünkü sağlık, beslenme, haftada yapılan seks miktarı, masturbasyon vb. faktörler bu süreleri ciddi miktarda etkilemektedir. Dolayısıyla, eğer ki etrafınızdaki insanlar, insan için "çok uzun" sayılan 13 dakikadan daha uzun süre boyunca seks yaptıklarını iddia ederek kendilerini ispatlamaya çalışıyorlarsa, bilin ki büyük bir ihtimalle yalan söylemektedirler (veya bu konuda gerçek bir uzmandırlar).

Tüm Reklamları Kapat

Bu konuda kapsamlı bir incelememizi buradan okuyabilirsiniz.

Spermler ve Evrim: Spermler Yönlerini Nasıl Buluyorlar?

Spermler arasında da pek çok varyasyon vardır, milyonlarca sperm yumurtayı döllemeye çalışır. Sadece yüz binlercesi yumurtaya ulaşabilir ve bunlardan da sadece 1 tanesi yumurtayı dölleyebilir. Buna "sperm yarışı" denir. Bu yarışla ilgili bir video altyazılandırma çalışmamızı buradan izleyebilirsiniz.

Spermler, milyonlarcadır; çünkü atalarımız sularda yaşayan ve balıkların atalarıyla ortak olan türlerdir. Bu türler, suyun içerisinde, kaotik bir ortama üreme hücrelerini bırakıyorlardı. Akıntıların, gelgitlerin, dalgaların olduğu bir ortamda, tek bir yumurta ve tek bir sperm, şansın çok fazla azalmasına sebep oluyordu. Bu sebeple her zaman daha fazla sperm üretebilen erkekler ve her zaman daha fazla yumurta üretebilen dişiler avantajlı konuma geçebiliyordu.

Daha sonra karalara çıkıldı ve iç döllenme evrimleşti. İç döllenmede, olasılık uzayı çok azaldığı için, yumurtaların sayısında bir azalma oldu. Spermler azalmadı, çünkü çoğu türün erkekleri birden fazla dişi ile çiftleşmeyi amaçlar ve ne kadar çok sperm üretimi, o kadar fayda demektir. Ayrıca döllenme dişi içerisinde gerçekleştiği için, dişilerin yüzlerce yumurta ihtiyacı yoktur; yumurta üretimine harcayacakları enerjiyi, çocuk bakımına ve gelişimine harcayabilirler ve bu yüzden genellikle spermlerden çok çok daha az sayıda yumurta üretirler.

Tüm Reklamları Kapat

İşte günümüzde de, spermlerin evrimi bu şekilde evrimsel süreç içerisinde incelenebilir. Spermlerden her zaman biyokimyasal yapı açısından daha başarılı olabilenler (varyasyonlardan ötürü) avantajlı olurlar ve meydana gelen yavrunun üreteceği spermler de (eğer erkekse tabii), bu şekilde daha başarılı olur. Binlerce nesil sonunda, spermler hep "yumurtayı bulmak konusunda daha başarılı" hale gelir; eğer çevresel koşullar değişmezse tabii.

Spermler, ilginç bir şekilde adeta bir "birey" gibi davranırlar. Diğer spermlerin önüne geçebilmek için "defansif mekanizmalar" ve "ofansif mekanizmalar" evrimleştirmişlerdir. Örneğin bir sperm, yumurtayı döllediği anda salgıladığı enzimler sayesinde yumurtanın bir diğer spermi içine almamasını sağlar. Kimi spermler ise, belirli feromonlarla birlikte salınırlar ve bu feromonlar, daha önceden dişinin içerisine girmiş spermleri etkisiz hale getirir. Bu konularda daha fazla bilgiyi buradaki yazımızdan alabilirsiniz.

Spermin yumurtayı bulmasında ise şaşılacak bir durum yoktur. Sperm, yumurtayı bulabilir, çünkü yumurta "bulunmak ister". Tabii ki, hiçbir yerde olmadığı gibi, burada da bilinçli bir istek söz konusu değildir. Temel olarak olan yumurtanın salgıladığı kimyasallardır (bir çiçeğin arıları üzerine çekmesi gibi). Yumurta, salgıladığı "Spermatozoa Aktive Edici Peptitler" (SAP) isimli enzimler sayesinde, spermlerin kendisine doğru kemotaksi yapmasını sağlar. Yani bu salgılanan kimyasallar, spermleri yumurtanın üzerine çeker. Aslında bu enzimlerin temel etkisi, spermin kuyruğunun simetrik hareketler yapmasını sağlamaktır. Bu enzimler olmaksızın kuyruk asimetrik olarak dalgalanır ve yolunu bulamaz. Bu enzimler ve ortamda bulunan kalsiyum iyonları konsantrasyonu farkından ötürü spermler, daha yüksek kalsiyum konsantrasyonuna yönlenirler. Dolayısıyla ortada bir "yön bulmak" yoktur, bir "yönlendirilme" vardır. Dışarıdan, yumurtaya ait bu kimyasallar farklı yönde verilirse, spermler yumurtayı bulamayacaklardır. Dolayısıyla spermlerde "üstün bilinç" değil, sıradan, biyolojik ve kimyasal bir tepkimeler zinciri vardır.

Penislerle İlgili İlginç Gerçekler

Napoleon'un Penisi

Bu gerçekten eşsizdir. Napoleon Bonaparte öldüğünde, doktoru otopsi için penisini de kesip incelemeye almıştır. 1977 yılında bu penis kalıntısı, bir şekilde elden ele geçerek günümüz parasıyla yaklaşık 3000 Amerikan Doları'na, ABD'nin New Jersey eyaletindeki bir ürologa satılmıştır. Ürolog, bu penisi 30 yaşında öldüğü vakte kadar, yatağının altında saklamıştır. Penis, satıldığı zaman 3.81 santimetre uzunluğundaydı.

Tüm Reklamları Kapat

Napoleon Bonaparte
Napoleon Bonaparte
History

O zamandan bugüne insanlar bu penisle ilgili çok fazla şey söylemişlerdir. Kötü bir şekilde korunduğu için, bir deri parçasına, kuruyarak buruşmuş bir yılan balığına ve hatta bir kurutulmuş bifteğe bile benzetilmiştir. 1977'den öncesinde, 1927 senesinde bir dönem bu penis New York Şehri'nin kalbi olan Manhattan'da sergilenmiştir. O dönem, TIME dergisi Napoleon'un penisinin "kötü davranılmış, erkek geyik derisinden yapılmış bir ayakkabı bağcığı şeridine" benzetildiğini yazmıştır.

İdrar Kanalı İşgalcisi: Candiru

Dünya'daki tüm erkekler, en azılı düşmanınızla tanışın. Candiru, ya da bilimsel adıyla Vandellia cirrhosa, Güney Amerika'da yaşayan, özellikle Amazon Nehri'nde bulunan bir kedibalığı türüdür. Genellikle 2.5 santimetreden uzun değildir, pulsuzdur, yarı saydamdır ve kabaca bir yılanbalığına benzer. Ancak bu hayvanın, hiç de hoş olmayan bir huyu vardır: Erkeklerin penis deliğinden girerek idrar kanalı boyunca tırmanmak! Bunun ilk güvenilir bir kaynak tarafından raporlanması 1997 yılında olmuştur; ancak çok daha eskisine dayanan, çok daha fazla sayıda rapor bulunmaktadır (bir kısmı "güvenilmez" oldukları nedeniyle resmi kayıtlara işlenmemiştir).

Candiru
Candiru
River Monsters

Üstelik sadece idrar kanalından tırmanması sorun değildir. Bu ufak balık, idrar kanalının sonuna kadar tırmandıktan sonra, dikenlerini etraftaki dokuya saplayarak buraya yerleşir. Sonrasında, erkeğin kan akışına erişir ve buradan beslenmeye başlar. Bu süreçte, iltihaplanma, kan toplama ve hatta ölüm gerçekleşebilir. Kurtulmanın tek yolu, cerrahi operasyondur.

Koro Sendromu: Cinsel Organların Yok Olması Fobisi!

Koro, belli başlı kültürlerde görülen, erkeklerde penisi, dişilerde ise meme uçlarını etkileyen bir sendromdur. Bir çeşit fobi olan koro, erkeklerde penislerinin zaman içerisinde küçülerek tamamen yok olacağı korkusu şeklinde görülür. Dişilerde ise aynı durum, meme uçları için geçerlidir. Bu korkunun nasıl oluştuğuna dair hiçbir bilgimiz bulunmamaktadır. Kimi zaman "penis paniği" olarak da bilinir ve iddialara göre, tarih içerisinde kitlesel korkulara neden olmuştur. Ancak buna dair güvenilir kayıtlar bulunmamaktadır.

Tüm Reklamları Kapat

Bir Yemek Olarak Penis

Antik birçok kabilede, kabile kralları, kendilerinden önceki kralların penislerini bir güç aktarımı sembolü olarak yerlerdi. Böylece, kendisinden önceki kralın kutsal gücünü yeni kralın aldığı düşünülürdü. Ancak sonradan, bu gelenek başta Yahudiler olmak üzere birçok toplumda yasaklandı ve unutuldu.

Lover of Creating Flavors

Depresyonu İyileştiren Meni?

Erkek menisi (spermi) içerisinde zihinsel sağlığını iyileştirdiği bilinen estron, keyfi ve şefkati arttırdığı bilinen oksitosin, heyecana karşı duyarlılığı arttırdığı bilinen kortizol, uykuyu tetiklediği bilinen melatonin ve aralarında serotonin ile tirotropin salgılayıcı hormon da bulunan en az 3 farklı antidepresan kimyasal olduğu iddia edilmektedir. Ancak bu iddiaların bir kısmının çok da net olmadığını belirtmekte fayda var. Konuyla ilgili bir tartışma için buradaki yazımızı okuyabilirsiniz.

doi: 10.47023/ea.bilim.1877

Evrim Ağacı, sizlerin sayesinde bağımsız bir bilim iletişim platformu olmaya devam edecek!

Evrim Ağacı'nda tek bir hedefimiz var: Bilimsel gerçekleri en doğru, tarafsız ve kolay anlaşılır şekilde Türkiye'ye ulaştırmak. Ancak tahmin edebileceğiniz gibi Türkiye'de bilim anlatmak hiç kolay bir iş değil; hele ki bir yandan ekonomik bir hayatta kalma mücadelesi verirken...

O nedenle sizin desteklerinize ihtiyacımız var. Eğer yazılarımızı okuyanların %1'i bize bütçesinin elverdiği kadar destek olmayı seçseydi, bir daha tek bir reklam göstermeden Evrim Ağacı'nın bütün bilim iletişimi faaliyetlerini sürdürebilirdik. Bir düşünün: sadece %1'i...

O %1'i inşa etmemize yardım eder misiniz? Evrim Ağacı Premium üyesi olarak, ekibimizin size ve Türkiye'ye bilimi daha etkili ve profesyonel bir şekilde ulaştırmamızı mümkün kılmış olacaksınız. Ayrıca size olan minnetimizin bir ifadesi olarak, çok sayıda ayrıcalığa erişim sağlayacaksınız.

Avantajlarımız
"Maddi Destekçi" Rozeti
Reklamsız Deneyim
%10 Daha Fazla UP Kazanımı
Özel İçeriklere Erişim
+5 Quiz Oluşturma Hakkı
Özel Profil Görünümü
+1 İçerik Boostlama Hakkı
ve Daha Fazlası İçin...
Aylık
Tek Sefer
Destek Ol
₺50/Aylık
Bu Makaleyi Alıntıla
Okundu Olarak İşaretle
227
0
  • Paylaş
  • Alıntıla
  • Alıntıları Göster
Paylaş
Sonra Oku
Notlarım
Yazdır / PDF Olarak Kaydet
Bize Ulaş
Yukarı Zıpla

Makalelerimizin bilimsel gerçekleri doğru bir şekilde yansıtması için en üst düzey çabayı gösteriyoruz. Gözünüze doğru gelmeyen bir şey varsa, mümkünse güvenilir kaynaklarınızla birlikte bize ulaşın!

Bu makalemizle ilgili merak ettiğin bir şey mi var? Buraya tıklayarak sorabilirsin.

Soru & Cevap Platformuna Git
Bu Makale Sana Ne Hissettirdi?
  • Tebrikler! 203
  • Bilim Budur! 99
  • Merak Uyandırıcı! 85
  • İnanılmaz 67
  • Muhteşem! 60
  • Mmm... Çok sapyoseksüel! 53
  • Güldürdü 32
  • Umut Verici! 23
  • İğrenç! 16
  • Korkutucu! 12
  • Üzücü! 10
  • Grrr... *@$# 7
Kaynaklar ve İleri Okuma
  • L. Donnelly. Study On Penises Reveals The Average Size ... And It's Smaller Than You Think. (3 Mart 2015). Alındığı Tarih: 14 Temmuz 2019. Alındığı Yer: Telegraph | Arşiv Bağlantısı
  • Editors. Are You Small Enough?. (27 Haziran 2014). Alındığı Tarih: 14 Temmuz 2019. Alındığı Yer: Men's Health | Arşiv Bağlantısı
  • S. Science. Polygamous Mice Evolve Thicker Penis Bones. (13 Ocak 2014). Alındığı Tarih: 14 Temmuz 2019. Alındığı Yer: Discover Magazine | Arşiv Bağlantısı
  • NHS. 5 Penis Facts. (6 Nisan 2018). Alındığı Tarih: 14 Temmuz 2019. Alındığı Yer: NHS | Arşiv Bağlantısı
  • T. Newman. Top 10 Things You Didn't Know About Your Penis. (8 Şubat 2018). Alındığı Tarih: 14 Temmuz 2019. Alındığı Yer: Medical News Today | Arşiv Bağlantısı
  • M. Downs. 8 Things You Didn't Know About Your Penis. (14 Temmuz 2019). Alındığı Tarih: 14 Temmuz 2019. Alındığı Yer: WebMD | Arşiv Bağlantısı
  • T. Ghose. 8 Wild Facts About The Penis. (4 Ekim 2013). Alındığı Tarih: 14 Temmuz 2019. Alındığı Yer: LiveScience | Arşiv Bağlantısı
Tüm Reklamları Kapat

Evrim Ağacı'na her ay sadece 1 kahve ısmarlayarak destek olmak ister misiniz?

Şu iki siteden birini kullanarak şimdi destek olabilirsiniz:

kreosus.com/evrimagaci | patreon.com/evrimagaci

Çıktı Bilgisi: Bu sayfa, Evrim Ağacı yazdırma aracı kullanılarak 09/02/2026 15:54:00 tarihinde oluşturulmuştur. Evrim Ağacı'ndaki içeriklerin tamamı, birden fazla editör tarafından, durmaksızın elden geçirilmekte, güncellenmekte ve geliştirilmektedir. Dolayısıyla bu çıktının alındığı tarihten sonra yapılan güncellemeleri görmek ve bu içeriğin en güncel halini okumak için lütfen şu adrese gidiniz: https://evrimagaci.org/s/1877

İçerik Kullanım İzinleri: Evrim Ağacı'ndaki yazılı içerikler orijinallerine hiçbir şekilde dokunulmadığı müddetçe izin alınmaksızın paylaşılabilir, kopyalanabilir, yapıştırılabilir, çoğaltılabilir, basılabilir, dağıtılabilir, yayılabilir, alıntılanabilir. Ancak bu içeriklerin hiçbiri izin alınmaksızın değiştirilemez ve değiştirilmiş halleri Evrim Ağacı'na aitmiş gibi sunulamaz. Benzer şekilde, içeriklerin hiçbiri, söz konusu içeriğin açıkça belirtilmiş yazarlarından ve Evrim Ağacı'ndan başkasına aitmiş gibi sunulamaz. Bu sayfa izin alınmaksızın düzenlenemez, Evrim Ağacı logosu, yazar/editör bilgileri ve içeriğin diğer kısımları izin alınmaksızın değiştirilemez veya kaldırılamaz.

Aklımdan Geçen
Komünite Seç
Aklımdan Geçen
Fark Ettim ki...
Bugün Öğrendim ki...
İşe Yarar İpucu
Bilim Haberleri
Hikaye Fikri
Video Konu Önerisi
Başlık
Kafana takılan neler var?
Gündem
Bağlantı
Ekle
Soru Sor
Stiller
Kurallar
Komünite Kuralları
Bu komünite, aklınızdan geçen düşünceleri Evrim Ağacı ailesiyle paylaşabilmeniz içindir. Yapacağınız paylaşımlar Evrim Ağacı'nın kurallarına tabidir. Ayrıca bu komünitenin ek kurallarına da uymanız gerekmektedir.
1
Bilim kimliğinizi önceleyin.
Evrim Ağacı bir bilim platformudur. Dolayısıyla aklınızdan geçen her şeyden ziyade, bilim veya yaşamla ilgili olabilecek düşüncelerinizle ilgileniyoruz.
2
Propaganda ve baskı amaçlı kullanmayın.
Herkesin aklından her şey geçebilir; fakat bu platformun amacı, insanların belli ideolojiler için propaganda yapmaları veya başkaları üzerinde baskı kurma amacıyla geliştirilmemiştir. Paylaştığınız fikirlerin değer kattığından emin olun.
3
Gerilim yaratmayın.
Gerilim, tersleme, tahrik, taciz, alay, dedikodu, trollük, vurdumduymazlık, duyarsızlık, ırkçılık, bağnazlık, nefret söylemi, azınlıklara saldırı, fanatizm, holiganlık, sloganlar yasaktır.
4
Değer katın; hassas konulardan ve öznel yoruma açık alanlardan uzak durun.
Bu komünitenin amacı okurlara hayatla ilgili keyifli farkındalıklar yaşatabilmektir. Din, politika, spor, aktüel konular gibi anlık tepkilere neden olabilecek konulardaki tespitlerden kaçının. Ayrıca aklınızdan geçenlerin Türkiye’deki bilim komünitesine değer katması beklenmektedir.
5
Cevap hakkı doğurmayın.
Aklınızdan geçenlerin bu platformda bulunmuyor olabilecek kişilere cevap hakkı doğurmadığından emin olun.
Size Özel
Makaleler
Daha Fazla İçerik Göster
Popüler Yazılar
30 gün
90 gün
1 yıl
Evrim Ağacı'na Destek Ol

Evrim Ağacı'nın %100 okur destekli bir bilim platformu olduğunu biliyor muydunuz? Evrim Ağacı'nın maddi destekçileri arasına katılarak Türkiye'de bilimin yayılmasına güç katın.

Evrim Ağacı'nı Takip Et!
Geçmiş ve Notlar
Yazı Geçmişi
Okuma Geçmişi
Notlarım
İlerleme Durumunu Güncelle
Okudum
Sonra Oku
Not Ekle
İşaretle
Göz Attım
Site Ayarları

Evrim Ağacı tarafından otomatik olarak takip edilen işlemleri istediğin zaman durdurabilirsin.

[Site ayalarına git...]
Bu Yazıdaki Hareketleri
Daha Fazla göster
Tüm Okuma Geçmişin
Daha Fazla göster
0/10000
Kaydet
Bu Makaleyi Alıntıla
Evrim Ağacı Formatı
APA7
MLA9
Chicago
Ç. M. Bakırcı. Penis Hakkında Bilmeniz Gereken Her Şey!. (12 Ocak 2014). Alındığı Tarih: 9 Şubat 2026. Alındığı Yer: https://evrimagaci.org/s/1877 doi: 10.47023/ea.bilim.1877
Bakırcı, Ç. M. (2014, January 12). Penis Hakkında Bilmeniz Gereken Her Şey!. Evrim Ağacı. Retrieved February 09, 2026. from https://doi.org/10.47023/ea.bilim.1877
Ç. M. Bakırcı. “Penis Hakkında Bilmeniz Gereken Her Şey!.” Edited by Çağrı Mert Bakırcı. Evrim Ağacı, 12 Jan. 2014, https://doi.org/10.47023/ea.bilim.1877.
Bakırcı, Çağrı Mert. “Penis Hakkında Bilmeniz Gereken Her Şey!.” Edited by Çağrı Mert Bakırcı. Evrim Ağacı, January 12, 2014. https://doi.org/10.47023/ea.bilim.1877.
Keşfet
Ara
Yakında
Sohbet
Agora

Bize Ulaşın

ve seni takip ediyor

Göster

Şifremi unuttum Üyelik Aktivasyonu

Göster

Şifrenizi mi unuttunuz? Lütfen e-posta adresinizi giriniz. E-posta adresinize şifrenizi sıfırlamak için bir bağlantı gönderilecektir.

Geri dön

Eğer aktivasyon kodunu almadıysanız lütfen e-posta adresinizi giriniz. Üyeliğinizi aktive etmek için e-posta adresinize bir bağlantı gönderilecektir.

Geri dön

Close