Derinin Evrimi Üzerine... Deri Neden ve Nasıl Evrimleşmiştir?

- Özgün
- Evrimsel Biyoloji
- Makroevrim
Ne yazık ki derinin evrimini takip etmek çok kolay bir iş değil; çünkü yumuşak dokuların fosilleşmesi neredeyse olanaksız oluyor ve bu da fosil kaydı konusunda büyük sıkıntılara sebep oluyor. Bu sebeple, deri ile ilgili sorularımızın cevaplarını günümüz tetrapodlarında aramak durumunda kalıyoruz.
Unutmamak lazım ki derinin evrimindeki en önemli basamak, sudan karaya çıkış öncesinde ve sırasında gerçekleşen amfibi evrimindeki derinin değişimidir. Amfibiler, derilerini nemli tutabilmek için bazı sıvılar salgılamaktalar ve bunu ilk evrimleştikleri zaman da yapmak durumundaydılar. Daha sonra bu yapı evrimleşerek sürüngen ve memeli derisini meydana getirdi.
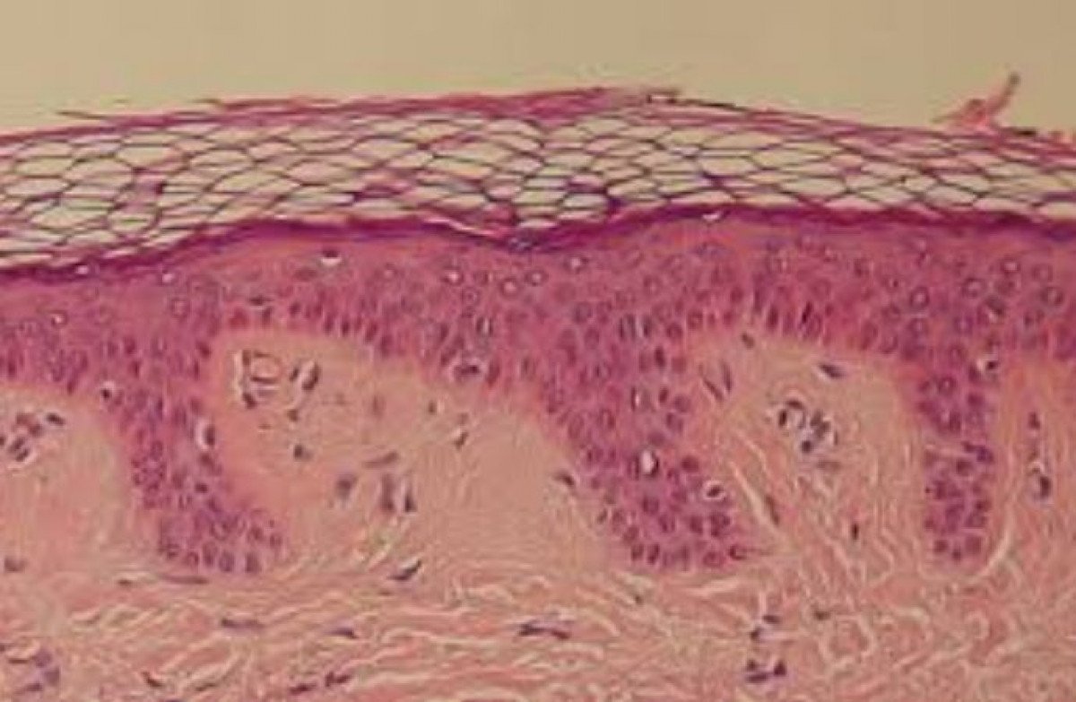
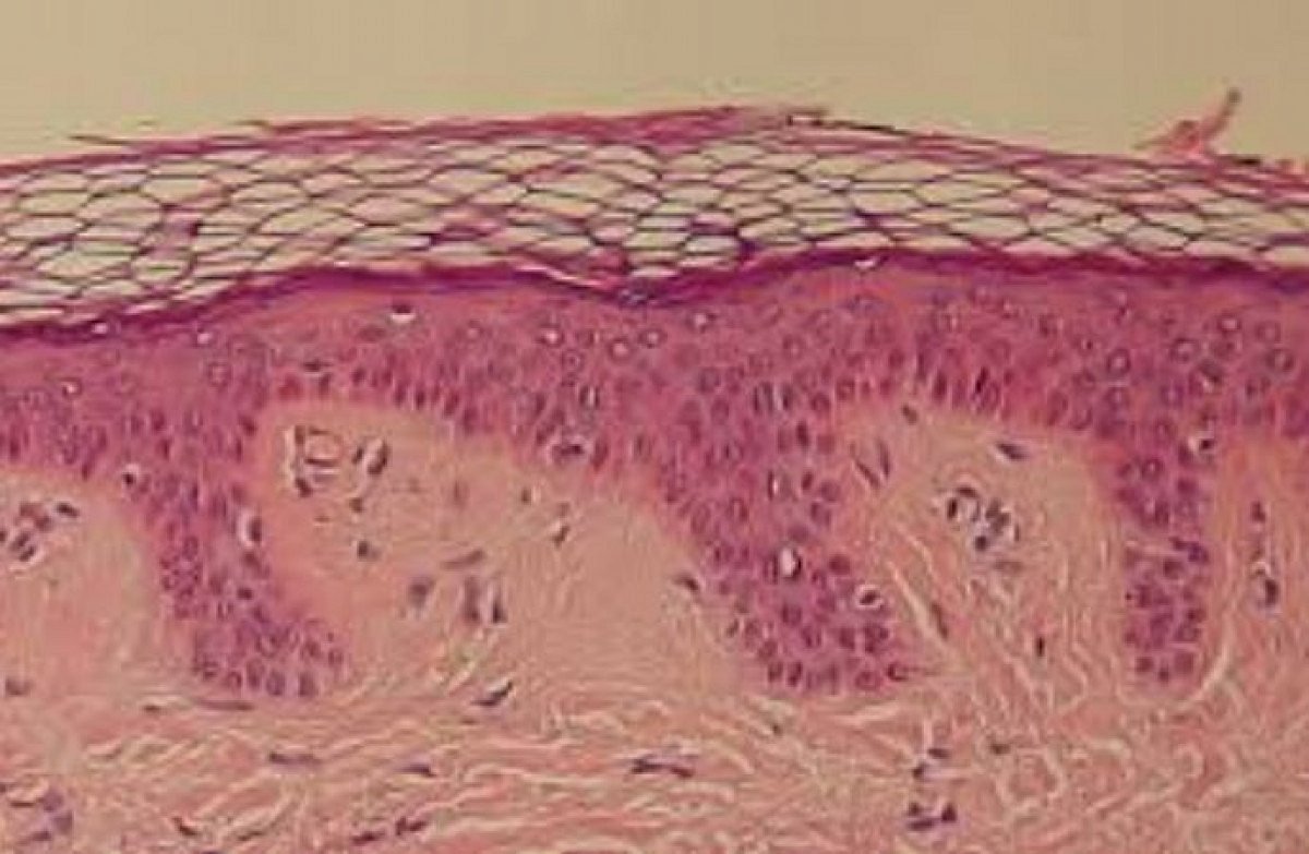
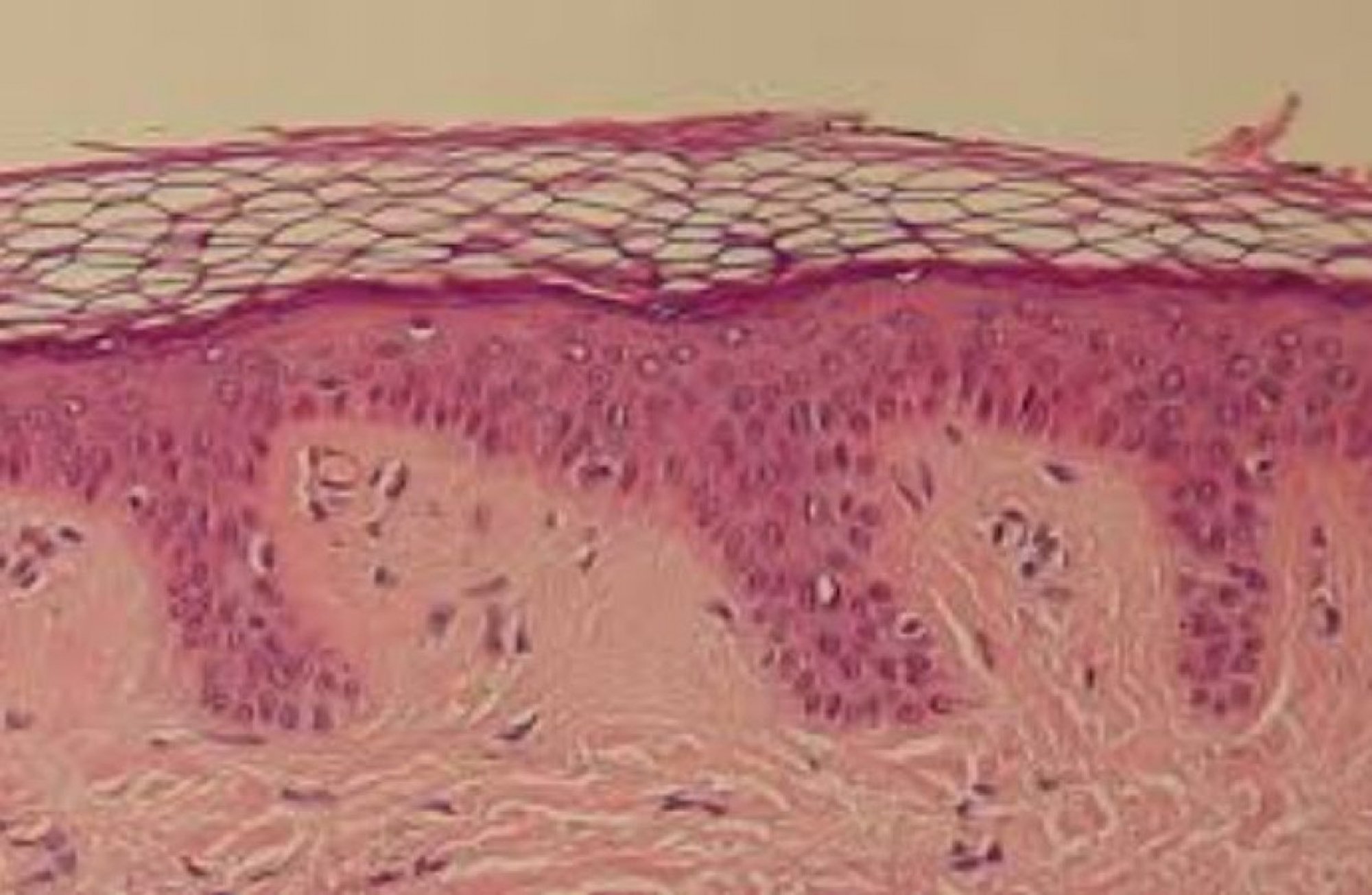
Deri Sistemi (Integumentary System) dediğimiz sistem, en baştan ikiye ayrılır ve omurgasızlarda da, omurgalılarda da görülür. Elbette yaşanılan ortama göre farklılık göstermektedir. Ayrıca omurgasızlarda deri olsa bile omurgalılardaki gibi keratinleşme görülmez. Omurgasızlarda, keratin yerine IF proteinleri (Intermediate Filament - Ara Lif) görülür. Keratin'in en büyük faydası, su kaybını ayarlamak konusunda son derece faydalı bir proteindir.
Bu noktada, derinin evrimi ile ilgili olarak omurgayı ön plana çıkarmaktansa, habitata önem vermekte fayda vardır. Örneğin, dediğimiz gibi, amfibiler nemli ortama bağımlıdırlar ve buna göre evrimleşmiş bir deriye sahiptirler. Sürüngenler, kurak ortama adapte olabilecek şekilde sert pullarla kaplı derilere sahiptirler. Balıklar, sürekli suda yaşamalarına rağmen pulları vardır ve bu pullardan, su içerisinde kayganlaştırıcılığı arttıran bazı maddeler salgılanır. Memeli derileri genel olarak amfibiler ile sürüngenler arasındadır ve bol bezle ve kılla desteklenmektedir.
Derinin oluşumunu tetikleyen temel mekanizma ise, yukarıdaki açıklamadan da anlaşılabileceği ve sizin de dediğiniz gibi, vücudun içi ile dış ortamı birbirinden ayırma ihtiyacı, koruma, ısı ve sıvı kaybını denetleme, vb. etmenlerdir.
Konuyla ilgili pek çok ayrıntılı makale mevcuttur. Bunlardan faydalı olabileceğini düşündüğümüz ikisini aşağıya ekliyoruz, ilginizi çekenleri okumanızı tavsiye ediyoruz:
Teşekkür: Gülşah Güler
Ayrıca şöyle bir cevap da ekleyebiliriz:
Aslında omurga gelişimine bağlı değil, omurgayla paralel olarak evrilmiştir diyebiliriz.
Böceklerde kitin tabaka, nematodlarda koruyucu beir dermis vs. bir çok canlı grubunda derinin işlevini yapan yapılar vardır ve dış ortamdan ayıran bu tabakanın bulunması neredeyse bir zorunluluktur.
Şimdi omurgalılara dönecek olursak. Deri karaya geçiş sırasında su kaybını önleyici bir tabaka olarak önemli bir işlev göstermiştir. Organları koruma görevinin yanında vücud ısısının dengelenmesini sağlamak(sıcakta terlemeyle düşürmek, soğukta izolasyon sağlamak) önemli görevlerindendir.
Aslında maddi destek istememizin nedeni çok basit: Çünkü Evrim Ağacı, bizim tek mesleğimiz, tek gelir kaynağımız. Birçoklarının aksine bizler, sosyal medyada gördüğünüz makale ve videolarımızı hobi olarak, mesleğimizden arta kalan zamanlarda yapmıyoruz. Dolayısıyla bu işi sürdürebilmek için gelir elde etmemiz gerekiyor.
Bunda elbette ki hiçbir sakınca yok; kimin, ne şartlar altında yayın yapmayı seçtiği büyük oranda bir tercih meselesi. Ne var ki biz, eğer ana mesleklerimizi icra edecek olursak (yani kendi mesleğimiz doğrultusunda bir iş sahibi olursak) Evrim Ağacı'na zaman ayıramayacağımızı, ayakta tutamayacağımızı biliyoruz. Çünkü az sonra detaylarını vereceğimiz üzere, Evrim Ağacı sosyal medyada denk geldiğiniz makale ve videolardan çok daha büyük, kapsamlı ve aşırı zaman alan bir bilim platformu projesi. Bu nedenle bizler, meslek olarak Evrim Ağacı'nı seçtik.
Eğer hem Evrim Ağacı'ndan hayatımızı idame ettirecek, mesleklerimizi bırakmayı en azından kısmen meşrulaştıracak ve mantıklı kılacak kadar bir gelir kaynağı elde edemezsek, mecburen Evrim Ağacı'nı bırakıp, kendi mesleklerimize döneceğiz. Ama bunu istemiyoruz ve bu nedenle didiniyoruz.
Farklı canlıları göz önüne alırsak çok farklı işlevlerini de görebiliriz. Diken gibi yapılar (kertenkelelerden, kirpilere) bir çok canlıda korunma görevi yapar. Plakalarda benzer işlevlere sahiptir ve yine bir çok canlıda bulunur.(timsahlardan, armadillolara)
Sürüngenlerin plaka yapıları memelilerde kıllara, kuşlarda tüylere evrilmiştir. Kıl ve tüy yapıları izolasyon sağlama, kamuflaj oluşturma, kuşların uçmasını(tüyler) sağlama özelliklerinin yanında farklı renklerde bulunmaları cinsel seçilim için önemli bir ayrım olmuştur.
En geniş ve kısa olarak derinin işlevlerinin değişimiyle evrimsel olarak yönlenmesini bu şekilde açıklayabilirim.
B.E.
Evrim Ağacı'nda tek bir hedefimiz var: Bilimsel gerçekleri en doğru, tarafsız ve kolay anlaşılır şekilde Türkiye'ye ulaştırmak. Ancak tahmin edebileceğiniz gibi Türkiye'de bilim anlatmak hiç kolay bir iş değil; hele ki bir yandan ekonomik bir hayatta kalma mücadelesi verirken...
O nedenle sizin desteklerinize ihtiyacımız var. Eğer yazılarımızı okuyanların %1'i bize bütçesinin elverdiği kadar destek olmayı seçseydi, bir daha tek bir reklam göstermeden Evrim Ağacı'nın bütün bilim iletişimi faaliyetlerini sürdürebilirdik. Bir düşünün: sadece %1'i...
O %1'i inşa etmemize yardım eder misiniz? Evrim Ağacı Premium üyesi olarak, ekibimizin size ve Türkiye'ye bilimi daha etkili ve profesyonel bir şekilde ulaştırmamızı mümkün kılmış olacaksınız. Ayrıca size olan minnetimizin bir ifadesi olarak, çok sayıda ayrıcalığa erişim sağlayacaksınız.
Makalelerimizin bilimsel gerçekleri doğru bir şekilde yansıtması için en üst düzey çabayı gösteriyoruz. Gözünüze doğru gelmeyen bir şey varsa, mümkünse güvenilir kaynaklarınızla birlikte bize ulaşın!
Bu makalemizle ilgili merak ettiğin bir şey mi var? Buraya tıklayarak sorabilirsin.
Soru & Cevap Platformuna Git- 3
- 3
- 2
- 2
- 2
- 2
- 1
- 1
- 1
- 0
- 0
- 0
- m. Vickaryous, et al. The Integument Story: Origins, Evolution And Current Knowledge’. (7 Ekim 2009). Alındığı Tarih: 19 Ağustos 2019. Alındığı Yer: NCBI | Arşiv Bağlantısı
Evrim Ağacı'na her ay sadece 1 kahve ısmarlayarak destek olmak ister misiniz?
Şu iki siteden birini kullanarak şimdi destek olabilirsiniz:
kreosus.com/evrimagaci | patreon.com/evrimagaci
Çıktı Bilgisi: Bu sayfa, Evrim Ağacı yazdırma aracı kullanılarak 07/10/2025 20:14:26 tarihinde oluşturulmuştur. Evrim Ağacı'ndaki içeriklerin tamamı, birden fazla editör tarafından, durmaksızın elden geçirilmekte, güncellenmekte ve geliştirilmektedir. Dolayısıyla bu çıktının alındığı tarihten sonra yapılan güncellemeleri görmek ve bu içeriğin en güncel halini okumak için lütfen şu adrese gidiniz: https://evrimagaci.org/s/112
İçerik Kullanım İzinleri: Evrim Ağacı'ndaki yazılı içerikler orijinallerine hiçbir şekilde dokunulmadığı müddetçe izin alınmaksızın paylaşılabilir, kopyalanabilir, yapıştırılabilir, çoğaltılabilir, basılabilir, dağıtılabilir, yayılabilir, alıntılanabilir. Ancak bu içeriklerin hiçbiri izin alınmaksızın değiştirilemez ve değiştirilmiş halleri Evrim Ağacı'na aitmiş gibi sunulamaz. Benzer şekilde, içeriklerin hiçbiri, söz konusu içeriğin açıkça belirtilmiş yazarlarından ve Evrim Ağacı'ndan başkasına aitmiş gibi sunulamaz. Bu sayfa izin alınmaksızın düzenlenemez, Evrim Ağacı logosu, yazar/editör bilgileri ve içeriğin diğer kısımları izin alınmaksızın değiştirilemez veya kaldırılamaz.