Prototheca Nedir? Bir Alg, Neden Fotosentez Yeteneği Kaybedip de Parazit Olacak Biçimde Evrimleşmiştir?

- Özgün
- Fikoloji (Algoloji)
Bu Makalede Neler Öğreneceksiniz?
- Highlight cyanobacteria's evolution as key to transforming Earth's conditions from anoxic to oxic, enabling eukaryotic diversification supported by paleontological and geological studies.
- Explain the taxonomic separation of cyanobacteria and algae due to advances in bioinformatics and omics technologies, clarifying their distinct evolutionary lineages.
- Differentiate cyanobacteria as prokaryotic organisms within Bacteria domain from eukaryotic algae, which include macro and micro groups and serve as primary oxygen producers.
Siyanobakterilerin evrimi, dünyayı anoksik koşullardan oksik koşulların dönüşümünü sağlayan en kritik dönem olarak bilinir. Bu canlılar, fotosentetik yetenekleri ile dünya yüzeyinin biyofizikokimyasal parametrelerini değiştirip ökaryotların "patlamasına" yol açtığı bilgisi paleontolojik ve jeolojik çalışmalarla desteklenmektedir.
Algler ve siyanobakteriler uzunca bir dönem eski sistematik içerisinde aynı grupta incelendiler ve bir dönem bu canlıların neredeyse hepsi "bitki" olarak kabul edildi. Ancak günümüzde siyanobakteriler ve algler farklı alemlerde incelenmelerinin yanı sıra "Üç Alan sistematiği"nde de farklı konumlarda yerlerini aldılar. Bu sistematik değişimlerin en temel sebebi, organizmaların akrabalık ilişkilerinin artık kantitatif olarak saptanabilmesi ve biyoinformatik ve omics teknolojilerinin gelişmesiyle de günümüzde organizmaların yaşam soylarını elde edebilmenin mümkün hale gelmesidir.
Algler; siyanobakterilerden hücre yapıları, organizasyonları, genomik düzenlemeleri ve daha birçok bakımdan ayrılmaktadır. Ancak bazı filamentöz siyanobakteriler, algal patlamalarda (ötrofikasyon) büyük yığınlar oluşturup gözle görünür hale geldiklerinden bunlar eski sistematikte "mavi-yeşi algler" olarak karşımıza çıkmaktadır. Fakat tekrar üzerinde durulmalıdır ki siyanobakteriler prokaryotik mikroorganizmalardır; yani Bacteria domaini içerisinde incelenirler.
Ancak alglere bakacak olursak, bitki benzeri yapılaşmaları ve primitif doku oluşumları ilk bu canlı grubunda görülmektedir. Özellikle makroalglerden birkaç tür karasal bitkilere geçişte ara form olarak evrimsel biyolojide model organizma olarak kullanılmaktadır. Algler genel itibariyle makro ve mikro olmak üzere anlatım kolaylığı açısından iki grupta incelenirler. Algler ökaryotik organizmalar olup sucul ekosistemde oksijenin primer üreticileri arasında yerlerini alırlar. Ancak algler sadece sucul alanlarda değil aynı zamanda ekstrem şartlarda (örneğin çöllerde ve sıcak yeraltı sularının yüzeye ulaştığı kaynaklarda) da görülebilmektedirler. Bu organizmalar; yeşil algler (Chlorophyta), kırmızı algler (Rhodophyta) ve kahverengi algler (Phaephytya) olmak üzere üç grupta incelenmektedirler.

Makroalgler, günümüzde yaşayan sucul ve karasal tohumlu bitkilerin atalarıdır ve mikroalglerden gerek hücresel yapı gerekse fonksiyon olarak farklılık gösterirler. Mikroalgler, çeşitli hücresel morfolojilere, adaptasyonlara, hücresel inklüzyonlara ve simbiyotik birlikteliklere sahiptirler. Bu simbiyotik birlikteliklere göz atacak olursak, birkaç ekstrem örnek haricinde algler çeşitli canlılarla mutualistik ve kommensal ilişkiler kurarlar. Ancak çok özel bir alg olan Prototheca sp. evrimsel süreçte kloroplast organelini ve beraberinde klorofil pigmentini de kaybetmiştir ve dolayısıyla fotosentezi yürüten biyokimyasal yolaklarını kullanamayıp kendi besinini üretemez hale gelmiştir. Bu kayıptan dolayı neredeyse hiçbir ototrofik canlıda görülmeyen parazitlik durumunun ortaya çıktığı görülmektedir.

Prototheca Genel Özellikleri
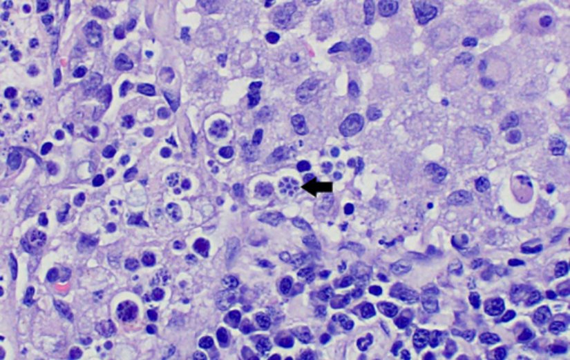
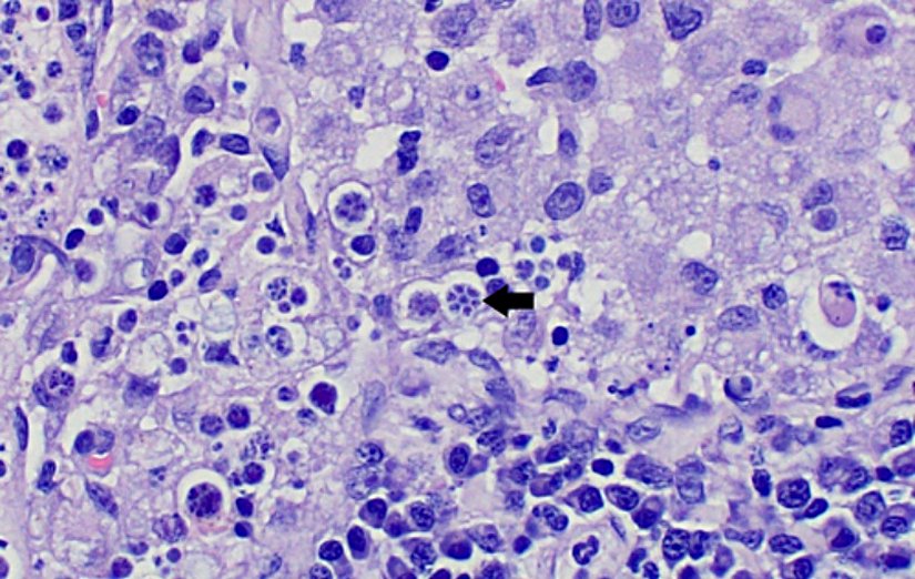
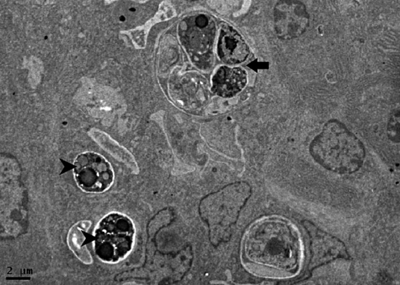
Prototheca, dairesel bir hücre yapısına sahip olup türe ve gelişme evresine göre çapı ve büyüklüğü değişmektedir. Lakin tipik olgun bir Prototheca hücresi 2-30 mikrometre çapa sahip olup ancak ışık mikroskobunda gözlemlenebilen çoğunlukla saydam görünen bir mikroalg genusudur. Mikroskobik muayenesi mutlaka boyama yapılarak gerçekleştirilmelidir.
Prototecha endosporulasyon olarak adlandırılan bir çeşit eşeysiz üreme şekliyle kendi soyunu devam ettirir. Histopatolojik veya sitolojik boyama teknikleri sayesinde bir vejetatif hücre içerisine bulunan birden fazla soyu tespit etmek mümkündür. Bu da mikroskoptaki karakteristik özelliklerinden birisidir.


Her ne kadar klorofilini kaybetmiş de olsa evrimsel süreçte kökeni yeşil alglerin bulunduğu Chlorophyta filumuna dayanmaktadır. Alt türlerin dışında şu ana kadar 6 farklı Prototheca türü saptanmıştır. Bunlar arasında en iyi bilinenleri ve epidemiyolojik açıdan prevalansın daha yüksek olduğu P. zopfii ve P.wickerhamii türleridir.
Prototheca ile yakın akraba olan ve klorofilini kaybetmiş başka bir alg genusu da Helicosporidium’dur. Bu genus da özellikle bazı böceklerin intestinal sistemlerine yaşayarak parazitik etki göstermekte ve entemopatojenik (böcek patojeni) etkisi bilinen tek alg türüdür! Buna ek olarak klorofilini kaybetmemiş ve iyi bilinen Chlorella genusuna ait bazı türler de insan ve hayvanlarda deri lezyonundan sorumlu enfeksiyonlarda çok ender rastlanmaktadırlar. Fakat Prototheca bunlar arasında en önemlisidir. Bunun temelinde ise rutin tanımlanması zor, mantar enfeksiyonları ile karıştırılmakta ve hayvancılıkta ciddi ekonomik kayıplara yol açması yatmaktadır.
Prototheca cins adının etimolojik olarak kökenini inceleyecek olursak: Eski Yunanca’da Proto- ön eki "ilk" anlamına gelmektedir. -theca eki ise "koruyucu kapsül", "örtü" veyahut "kabuk" anlamına gelmektedir.
Mikrobiyal Ekolojideki Habitatları
Prototheca, zorunlu bir dokusal veya hücresel parazit değildir. Bu da demek oluyor ki tamamen asalak olarak yaşamayıp, serbest formu da bulunmaktadır. Özellikle serbest formu tatlı ve sucul alanlar, nispeten fekal bulaşın ve tarımsal gübre atıklarının döküldüğü su kaynaklarına ek olarak çiftlik hayvanlarının su içtiği yalaklarda bu canlıların serbest formlarına rastlanmıştır. Asalak formlar genel olarak mastitisli ineklerde, evcil hayvanların derilerinde, insan derisinde ve çok ender olmakla birlikte ileri iç organ infeksiyonu geçiren immün yanıtı baskılanmış hastalarda saptanmıştır. Virulens faktörleri, parazit-serbest yaşam form dönüşümleri hakkında literatürde yeteri kadar bilgi bulunmamaktadır.
Evrim Ağacı'nın çalışmalarına Kreosus, Patreon veya YouTube üzerinden maddi destekte bulunarak hem Türkiye'de bilim anlatıcılığının gelişmesine katkı sağlayabilirsiniz, hem de site ve uygulamamızı reklamsız olarak deneyimleyebilirsiniz. Reklamsız deneyim, sitemizin/uygulamamızın çeşitli kısımlarda gösterilen Google reklamlarını ve destek çağrılarını görmediğiniz, %100 reklamsız ve çok daha temiz bir site deneyimi sunmaktadır.
KreosusKreosus'ta her 50₺'lik destek, 1 aylık reklamsız deneyime karşılık geliyor. Bu sayede, tek seferlik destekçilerimiz de, aylık destekçilerimiz de toplam destekleriyle doğru orantılı bir süre boyunca reklamsız deneyim elde edebiliyorlar.
Kreosus destekçilerimizin reklamsız deneyimi, destek olmaya başladıkları anda devreye girmektedir ve ek bir işleme gerek yoktur.
PatreonPatreon destekçilerimiz, destek miktarından bağımsız olarak, Evrim Ağacı'na destek oldukları süre boyunca reklamsız deneyime erişmeyi sürdürebiliyorlar.
Patreon destekçilerimizin Patreon ile ilişkili e-posta hesapları, Evrim Ağacı'ndaki üyelik e-postaları ile birebir aynı olmalıdır. Patreon destekçilerimizin reklamsız deneyiminin devreye girmesi 24 saat alabilmektedir.
YouTubeYouTube destekçilerimizin hepsi otomatik olarak reklamsız deneyime şimdilik erişemiyorlar ve şu anda, YouTube üzerinden her destek seviyesine reklamsız deneyim ayrıcalığını sunamamaktayız. YouTube Destek Sistemi üzerinde sunulan farklı seviyelerin açıklamalarını okuyarak, hangi ayrıcalıklara erişebileceğinizi öğrenebilirsiniz.
Eğer seçtiğiniz seviye reklamsız deneyim ayrıcalığı sunuyorsa, destek olduktan sonra YouTube tarafından gösterilecek olan bağlantıdaki formu doldurarak reklamsız deneyime erişebilirsiniz. YouTube destekçilerimizin reklamsız deneyiminin devreye girmesi, formu doldurduktan sonra 24-72 saat alabilmektedir.
Diğer PlatformlarBu 3 platform haricinde destek olan destekçilerimize ne yazık ki reklamsız deneyim ayrıcalığını sunamamaktayız. Destekleriniz sayesinde sistemlerimizi geliştirmeyi sürdürüyoruz ve umuyoruz bu ayrıcalıkları zamanla genişletebileceğiz.
Giriş yapmayı unutmayın!Reklamsız deneyim için, maddi desteğiniz ile ilişkilendirilmiş olan Evrim Ağacı hesabınıza üye girişi yapmanız gerekmektedir. Giriş yapmadığınız takdirde reklamları görmeye devam edeceksinizdir.

Prototheca'nın Epidemiyolojisi ve Oluşturduğu Hastalık Semptomları
Prototheca ile ilgili çalışmalar özellikle bu organizmanın insanlarda ve çiftlik hayvanlarında oluşturduğu semptomların mantar infeksiyonuna benzer olmasından kaynaklı, yapılan tedavilerin sonuç vermemesiyle artmıştır. Daha sonra bu organizmanın sistematiği Polimeraz Zincir Reaksiyonu (PCR) ve diğer moleküler analiz teknikleri ile aydınlatılmıştır.
Tanımlamaya giden yoldaki kilit olay ise, bu enfeksiyonların mantarlar tarafından gerçekleştiğine inanılıp buna göre bir tedavi uygulanması, ciddi antifungal ilaçların uygulanmasıyla birlikte "hiç iyileşmeyen kronik mantar enfeksiyonları" ortaya çıkması ve bu durumun şüpheli olarak görülmesiydi!
Günümüzde neyse ki Prototheca kendi başına bir mantar türü sanılmamaktadır ancak rutin tanılama, kültüre alma ve saptama konusunda ciddi eksiklikler söz konusudur. Bu yüzden de literatüre hakim olmayan bir veteriner veyahut tıp hekimleri hala bu enfeksiyonları mantarların oluşturduğu tıbbi enfeksiyonlarla karıştırabilmektedir.

Son zamanlarda mikrobiyolojik besiyeri formülasyonu çalışmalarının ilerlemesiyle Prototheca’ya özel sentetik bir besiyeri tasarlanmıştır; fakat izolasyon ve kültür koşullarının standardizasyonunun yapılamamış olması da mikroorganizmayı elde etmeyi zor hale getiren etmenlerden birisidir. Buna ek olarak geleneksel kültivasyon yöntemleri ile sürekli elde edilen bir tür de olmadığından izolasyon, inkübasyon ve kültüre bağlı tanılama konusunda var olan bilgi oldukça sınırlıdır.
İnsanlarda oluşturduğu enfeksiyonlardan ziyade süt üreticisi olan ineklerde ve diğer çiftlik hayvanlarının meme bezi dokularını ve deriyi mesken tutması sebebiyle daha ön plandadır. Meme başı dokusu ve süt bezlerindeki harabiyet sonucunda sütün fiziksel, kimyasal ve biyolojik kalitesi doğrudan etkilenmektedir. İneklerde meydana gelen Prototheca sp. kaynaklı mastitis "Protothecosis" veya "Protothecal Mastitis" olarak literatüre yansımıştır.
Algin tanımlanması ve enfeksiyon sebebinin anlaşılması yine de prototekal mastitisin tedavisini kolaylaştırmamaktadır. Hala pek çok çiftçi antibiyotik ve antifungal uygulayarak Prototheca’yı hedef alabilen birkaç potansiyel kimyasalı kullanmadıklarından enfeksiyon süregelen bir formda seyredebilmektedir. Bu da süt veremeyen ineklerin kesime gitmesine veya mandıra ineklerinin düşük kalitede süt üretimine yol açtığından, süt endüstrisi ve damızlık popülasyonların istenilen dinamikte tutulamamasına yol açmaktadır.
Prototheca insanlarda kronik veya akut Protothecosis etmenidir. Tipik olarak deride lezyonlar, göz çevresinde yangı, döküntü, kaşıntı ve kutanöz enfeksiyondan sorumludur. Konak immün sistemini ve kan bariyerini geçebilecek kadar küçük olmadığından dermis tabakasına kadar yayılım gösterir. Ancak nadir de olsa bazı bireylerde iç organlara kadar yayılım gösterebildiği de rapor edilmiştir. HIV (+) bireylerde prototekal infeksiyon şu ana kadar kaydedilmemiş olup genelde immün-supresif bireyler bu paraziti riskli alanlardan bünyelerine alma konusunda daha hassastırlar.
Prototheca daha çok su kalitesinin iyi olmadığı tatlı, tuzlu ve acı sularda vakit geçiren insanlara, mastitisli dokuya veya kontamine bir materyale direkt temas ile insanlara bulaşmaktadır. Literatüre bakıldığında dünyanın farklı bölgelerinde özellikle Asya ve Doğu Avrupa’da prevalans nispeten yoğundur. Prototekal mastitisin prevalansının diğer mastitis etmenlerine oranla çok düşük olduğu bilinmektedir.
Protothecosis Tanı ve Tedavisi
Hastalığın ne yazık ki standardize edilmiş bir tedavi protokolü bulunmamaktadır. Bunun sebebi enfeksiyonun prevalansının insanlarda ve çiftlik hayvanlarında dünya genelinde çok yoğun olmaması, enfeksiyonların bilinen kesin bir ölümle sonuçlanmaması ve organizmanın izolasyonunun tam anlamıyla yapılamamasına ek olarak fungal infeksiyonlarla karıştırılması da hastalığın ilgili bilim insanları ve hekimler tarafından çalışılmasının önüne geçmektedir. Yakın zamanda nispeten daha görünür olan bu hastalığa karşı şu an uygulanan bir optimal farmakolojik silah bulunmamaktadır. Esasında bir antifungal ve yer yer antiparazitik bir ilaç olan Ampothericin B, protothecosis de en yaygın kullanılan ajanlardan birisidir. Bu ilaç normal şartlar altında ciddi fungal dermatitis infeksyonlarında ve Leishmaniasis gibi kutanöz ve subkutanöz infeksiyonlarda kullanılmaktadır. Ancak Prototheca üzerindeki etkisi henüz tam olarak bilinememekle birlikte enfekte dokunun operasyonla alınmasının ardından bu ilacın kullanımı sonucunda enfeksiyonun gerilediği kaydedilmiştir.
Tanılamada en güvenilir yöntemler arasında histopatolojik metotlar ve PCR gibi moleküler tanılama teknikleri bulunmaktadır. Rutinde özellikle Prototheca sp. ile ilgili kullanılan serolojik bir tanılama yöntemi bulunmamaktadır. Buna ek olarak kültivasyonu gerçekleştirilen bir Prototheca, besiyeri üzerinde maya morfolojisi vermektedir.

Potansiyel Riskler
Özellikle küresel iklim krizinin ve antropojenik etkilerden kaynaklı değişen çevre koşullarından dolayı Protothecosis prevalansı ve mortalite değerleri artabilir. Günümüz modern insanının yakalandığı yeni hastalıklar ve immün yetmelik sendromları da bu organizmanın çeşitli sistemik infeksiyonlara yol açabilmesini tetikleyebilir. Prototheca zoonoz bir enfektif ajan olarak kabul görmekle birlikte bu fenomeni destekleyen çok fazla çalışma bulunmamaktadır. Kontamine sütün yavrular tarafından içilmesi bu enfeksiyonun taşınmasında önemli rol oynamaktadır.
Organizmanın çalışılması ile ilgili bahsettiğimiz engellerden ve yeteri kadar önem verilmemesinden ötürü yalnızca belirli araştırma grupları ve akademisyenler tarafından çalışılan bu aklorofilik (klorofili olmayan) algal parazitin daha fazla çalışılmaya ve kontrollü deneyler için kültür koşullarının ve izolasyon metodunun optimize edilmesi elzemdir. Henüz Prototheca ile ilgili bilgimizin yetersiz olması (asalak-serbest form geçişleri, konak seçim mekanizması, immün sisteme tepkisi vd.) iyi fonlanmış ve detayları düşünülmüş bir çalışma sonucunda elde edilecek bilgi birikimini literatüre kazandıracaktır.
Prototheca'nın Evrimsel Süreçte Ödediği Bedel
Normal şartlar altında yeşil algler grubuna dahil olan bu organizmaya evrimsel süreçte fotosentezden "vazgeçmenin" ödettiği bedel; tam bir fizyolojik aktivite için hayat döngüsünün bir kısmında asalak şekilde yaşamaktır. Fakat evrimsel mekanizmalar göz önünde bulundurulduğunda eğer bir bedel ödeniyorsa bu evrimsel süreçte izlenilen yolda organizma ödediği bedel sonucunda "kusurlu" da olsa hayatına devam edebilmesi için gerekli olan azami fonksiyonları saklar veyahut bu fonksiyonları daha stratejik bir halde modifiye eder.
Prototheca fotosentetik mekanizmasını kaybetmesinin sonucunda parazitik bir yaşam formuna dönüşmüş olsa da parazitliğin getireceği avantajlar da bu durumda azımsanmamalıdır. Çünkü Prototheca her ne kadar parazitik özelliklere sahip de olsa sucul ekosistemlerde planktonik olarak belli bir süre yaşamını sürdürebilmektedir. Pek çok parazite baktığımızda en asalak olan türün dahi evrimsel süreçte geliştirdiği ve kendisini garanti altına alabileceği birtakım adaptasyonlara rastlamak oldukça mümkündür (bkz. kist oluşumu).
Son olarak Prototheca ile ilgili sahip olduğumuz sınırlı bilgiler ve "köşeye itilmiş olması" onun yeteri kadar önemli bir canlı olmadığını göstermez. Prototheca ve bunun gibi algal parazitler veyahut "arafta kalmış" yaşam formları aslında yaşam ve evrim ilişkisi hakkında oldukça önemli ve ciddi ipuçlarını saklamaktalar.
Evrim Ağacı'nda tek bir hedefimiz var: Bilimsel gerçekleri en doğru, tarafsız ve kolay anlaşılır şekilde Türkiye'ye ulaştırmak. Ancak tahmin edebileceğiniz gibi Türkiye'de bilim anlatmak hiç kolay bir iş değil; hele ki bir yandan ekonomik bir hayatta kalma mücadelesi verirken...
O nedenle sizin desteklerinize ihtiyacımız var. Eğer yazılarımızı okuyanların %1'i bize bütçesinin elverdiği kadar destek olmayı seçseydi, bir daha tek bir reklam göstermeden Evrim Ağacı'nın bütün bilim iletişimi faaliyetlerini sürdürebilirdik. Bir düşünün: sadece %1'i...
O %1'i inşa etmemize yardım eder misiniz? Evrim Ağacı Premium üyesi olarak, ekibimizin size ve Türkiye'ye bilimi daha etkili ve profesyonel bir şekilde ulaştırmamızı mümkün kılmış olacaksınız. Ayrıca size olan minnetimizin bir ifadesi olarak, çok sayıda ayrıcalığa erişim sağlayacaksınız.
Makalelerimizin bilimsel gerçekleri doğru bir şekilde yansıtması için en üst düzey çabayı gösteriyoruz. Gözünüze doğru gelmeyen bir şey varsa, mümkünse güvenilir kaynaklarınızla birlikte bize ulaşın!
Bu makalemizle ilgili merak ettiğin bir şey mi var? Buraya tıklayarak sorabilirsin.
Soru & Cevap Platformuna Git- 4
- 3
- 2
- 2
- 1
- 1
- 0
- 0
- 0
- 0
- 0
- 0
- T. Jagielski, et al. (2019). The Genus Prototheca (Trebouxiophyceae, Chlorophyta) Revisited: Implications From Molecular Taxonomic Studies. Algal Research, sf: 101639. doi: 10.1016/j.algal.2019.101639. | Arşiv Bağlantısı
- J. E. Bennet, et al. (2020). Uncommon Fungi And Related Species. ISBN: 9780323482554.
- J. E. Skyes. (2014). Chapter 70 Protothecosis. Canine and Feline Infectious Diseases. doi: 10.1016/B978-1-4377-0795-3.00070-3. | Arşiv Bağlantısı
- B. M. Abu Ali, et al. (2023). As A Cause Of Pneumonia And Disseminated Infection In Febrile Neutropenia: A Case Report And Literature Review. American Journal of Case Reports. doi: 10.12659/AJCR.933694. | Arşiv Bağlantısı
- Frederik Leliaert. Phylogeny And Molecular Evolution Of The Green Algae. Alındığı Tarih: 20 Şubat 2023. Alındığı Yer: Diversity and Evolution of Algae | Arşiv Bağlantısı
- İ. Tüney Kızılkaya, et al. (2006). Association Of Prototheca Species And Protothecosis In Man And Animals. Reviews in Medical Microbiology. doi: 10.1097/MRM.0b013e328010ded6. | Arşiv Bağlantısı
- Z. Bakula, et al. (2021). A First Insight Into The Genome Of Prototheca Wickerhamii, A Major Causative Agent Of Human Protothecosis. BMC Genomics. | Arşiv Bağlantısı
- S. C. Chao, et al. (2002). Cutaneous Protothecosis: Report Of Five Cases. PubMed. doi: 10.1046/j.1365-2133.2002.04609.x. | Arşiv Bağlantısı
Evrim Ağacı'na her ay sadece 1 kahve ısmarlayarak destek olmak ister misiniz?
Şu iki siteden birini kullanarak şimdi destek olabilirsiniz:
kreosus.com/evrimagaci | patreon.com/evrimagaci
Çıktı Bilgisi: Bu sayfa, Evrim Ağacı yazdırma aracı kullanılarak 05/10/2025 22:55:41 tarihinde oluşturulmuştur. Evrim Ağacı'ndaki içeriklerin tamamı, birden fazla editör tarafından, durmaksızın elden geçirilmekte, güncellenmekte ve geliştirilmektedir. Dolayısıyla bu çıktının alındığı tarihten sonra yapılan güncellemeleri görmek ve bu içeriğin en güncel halini okumak için lütfen şu adrese gidiniz: https://evrimagaci.org/s/14075
İçerik Kullanım İzinleri: Evrim Ağacı'ndaki yazılı içerikler orijinallerine hiçbir şekilde dokunulmadığı müddetçe izin alınmaksızın paylaşılabilir, kopyalanabilir, yapıştırılabilir, çoğaltılabilir, basılabilir, dağıtılabilir, yayılabilir, alıntılanabilir. Ancak bu içeriklerin hiçbiri izin alınmaksızın değiştirilemez ve değiştirilmiş halleri Evrim Ağacı'na aitmiş gibi sunulamaz. Benzer şekilde, içeriklerin hiçbiri, söz konusu içeriğin açıkça belirtilmiş yazarlarından ve Evrim Ağacı'ndan başkasına aitmiş gibi sunulamaz. Bu sayfa izin alınmaksızın düzenlenemez, Evrim Ağacı logosu, yazar/editör bilgileri ve içeriğin diğer kısımları izin alınmaksızın değiştirilemez veya kaldırılamaz.