Mikroskop Nedir? Mikroskoplarların Genel Özellikleri Nelerdir? Hangi Mikroskop, Hangi Deneyde Kullanılır?
Işık Mikroskobu, Flüoresan Mikroskop ve Elektron Mikroskobunun Farkları Nelerdir?

- Özgün
- Biyoteknoloji
- Mikrobiyoloji
Bu Makalede Neler Öğreneceksiniz?
- Define microscopes as laboratory tools used to examine objects too small to be seen with the naked eye, enabling study of tiny structures and behaviors.
- Describe the development of cell theory, initiated by Robert Hooke's 1665 discovery and expanded by Schleiden and Schwann, establishing all living things are composed of cells.
- Explain light microscopes use visible light passing through samples to magnify images, with image quality dependent on magnification and resolution factors.
Mikroskop, çıplak gözle görülemeyecek kadar küçük nesneleri incelemek için kullanılan bir laboratuvar ekipmanıdır. Bilim insanları, mikroskoplar yardımıyla çok küçük nesnelerin özelliklerini ve davranışlarını inceleyebilirler.
Mikroskopların kullanımı, hücresel ve daha küçük boyutlardaki yapıların incelenmesinin anahtar basamağıdır. Öyle ki "hücre" kavramı ilk kez Robert Hooke, 1665 yılında basit ışık mikroskobunu keşfettiğinde ve mantar dokusu parçalarının inceleyerek, dokuların küçük, oda benzeri yapılardan oluştuğunu gördüğünde ortaya atıldı. Hücre kavramının oluşması aşamasında bilim insanları için yeni bir kaynak olmasının yanında, mikroskopların kullanılmasıyla modern hücre teorisi de geliştirilmiştir. 1838 yılında Matthias Schleiden farklı bitki dokuları üzerinde, Teodor Schwann ise farklı hayvan dokuları üzerinde çalışmalar yapmış ve "tüm canlıların hücrelerden oluştuğu" gerçeğini fark etmiştir.
İlerleyen zamanlarda ise bu hücrelerin (abiyogenez haricinde) de novo olarak oluşmadığı, her hücrenin bölünme yolu ile kendisinden bir önceki hücreden köken aldığı görülmüştür. Mikroskobun icadı ile bilim insanları, normalde çıplak gözle görülemeyecek kadar küçük boyutlarda gerçekleşen biyolojik süreçleri aydınlatmaya başlamıştır. Gelişen teknoloji ile bir çok yeni mikroskop çeşidi açığa çıkmıştır. Bu yazımızda sizlere bu farklı mikroskop türlerini tanıtmaya çalışacağız.
Işık Mikroskobu
Işık mikroskopları, temelde, bir ışık kaynağından gönderilen görünür dalga boylarındaki ışık demetlerinin, incelenmek istenen numuneden geçmesi ve mercekler tarafından büyütülen görüntünün kontrast, yoğunluk ve kalınlık farklarına göre gözlemci tarafından algılanmasına dayanır. Hem ışık mikroskobunda hem de diğer mikroskop çeşitlerinde elde edilen görüntünün kalitesi, temelde iki özellik tarafından belirlenir. Bunlardan ilki olan büyütme oranı (magnifikasyon), bir cismin orijinal boyutundan kaç kat büyük bir görüntü elde edildiğini belirtir. İkinci özellik olan çözünürlük (rezolüsyon), gözlenen cismin yapıları arasındaki uzaklık ve yoğunluk farkı gibi durumların, büyütülmüş görüntüde ne derece korunduğunu, kısaca görüntünün ne kadar net olduğunu belirtir.
Çözünürlük arttıkça, birbirine yakın iki nesne daha detaylı ve berrak şekilde görünecektir. Genellikle prokaryotik hücrelere gibi küçük hücreler üzerine çalışmak için yağa daldırılmış mercekler kullanıldığında büyütme oranı 1000 kat artar. Işık numuneye aşağıdan gelip gözlemcinin gözüne odaklandığından, numune ışık mikroskobu ile görüntülenebilir. Bu nedenle ışığın numuneden geçebilmesi için numune ince ya da yarı saydam olmalıdır.
Mikroskop görüntülerinde çözünürlüğü etkileyen iki etmen vardır: mikroskop ışığının dalga boyu (λ) ve merceğin ışığı toplama gücünü ifade eden sayısal açıklık (NA). Bu iki etmen kullanılarak yapılan hesaplamalar sonucunda, ortalama bir ışık mikroskobunda çözünürlük sınırının yaklaşık 0,2 µm olduğu bulunur. 0,2 µm çözünürlük sınırı, numunede incelenen yapılardan aralarında 0,2 µm ve daha küçük mesafe bulunanların sanki tek bir yapıymış gibi görünmesi ve birbirinden ayırt edilememesi anlamına gelir.
Bir ışık mikroskobunda mercekler nesneden yansıyan ışığın doğrultusunu değiştirir. Yani mikroskop lamında yukarı ve sağa bakan bir numune, mikroskopla bakıldığında baş aşağı ve sola bakacak şekilde görünecektir. Benzer bir şekilde eğer lam mikroskoptan bakıldığında sola dönükse gerçek görüntüde sağa, aşağı bakıyorsa gerçek görüntüde yukarı baktığı söylenebilir. Mikroskoplar görüntüyü büyütmek için iki takım mercek kullandığından bu durum meydana gelmektedir. Işığın mercekler boyunca kırılmasından ötürü sistem ters bir görüntü oluşturur. (Dürbün ve diseksiyon mikroskobu da benzer bir şekilde çalışsa da son görüntüyü düzgün oluşturan ek bir büyütme sistemi bulundururlar.)
Işık mikroskopları genellikle üniversitelerin lisans laboratuvarlarında görüntüyü yaklaşık 400 kez büyütmek için kullanılır. Bu mikroskoplarda görünür ışığın merceklerden geçip kırılması gözlemciye numuneyi görme şansı verir. Işık mikroskopları yaşayan organizmaları görüntülemek için avantajlıdır ancak tekil hücreleri çoğu zaman gösteremezler. Yani bu mikroskoplar özel boyalar ile renklendirilmezlerse hücre bileşenlerini ayırt edemez. Ancak çoğu hücre renklendirme kullanıldığında ölecektir.
Parlak Alan Mikroskobu
Parlak alan mikroskobu, ışığın doğrudan numuneden geçmesi ve merceğe ulaşmasına dayanır. Elde edilen görüntünün kalitesi, incelenen numunede ne kadar yoğunluk ve faz farkı olduğuna bağlıdır. Ek optik araçlar ya da boyama teknikleri kullanılmadığı sürece, parlak alan mikroskobunda çoğu hücresel bölge transparan olarak görülür ve kalın örneklerde tabakalar arası farklar ayırt edilemez. Daha iyi gözlem yapabilmek ve faz farkını artırmak adına çoğu zaman incelenen doku veya hücreler, onlara özel boyalarla boyanır. Ayrıca numuneler alkol, asetik asit veya formaldehit gibi fiksatörler tarafından sabitlenerek incelenir. Bu nedenle bu mikroskop yöntemi canlı hücrelerin incelenmesinde kullanılamaz.

Karanlık Alan Mikroskobu
Karanlık alan mikroskobu, parlak alan mikroskobuna bir alternatif oluşturur. Numunelerin boyanmadan iyi çözünürlüklerde görüntülerinin elde edilebilmesi için kullanışlı ve ucuz bir yöntemdir. Bu yöntemde ışık doğrudan bir huzme olarak merceğe ulaşmaz. Bunun yerine dairesel, opak bir disk sayesinde sadece halkasal bir ışık demetinin geçmesine izin verilir. Bu şartlar altında merceğe doğrudan ışık ulaşmaz ve karanlık bir görüntü elde edilir. Ne zaman bir numune slaytı mikroskoba dahil edilirse, ışığın yönü saptırılır ve mercekte karanlık arka plana karşı parlak numune görüntüsü elde edilir. Bu yöntem, numune nispeten transparan olsa ve faz farkı az olsa bile işe yarar. Bu nedenle normal parlak alan ışık mikroskobu yerine, faz kontrast mikroskobunda olduğu gibi tercih edilebilir.

Kontrast Mikroskobu
Kontrast mikroskopları, incelenmek istenen örnekten alınan ince kesitler şeklindeki numunelerin incelendiği faz-kontrast mikroskobu ve daha kalın kesitler şeklinde numunelerin incelendiği diferansiyel girişim-kontrast mikroskobu olarak ikiye ayrılabilir. Her iki mikroskop sisteminde de hücre yapıları arasındaki faz, yoğunluk ve kalınlık farklılıklarını gözlemcinin algılayabileceği, ışık yoğunluğundaki farklılıklara çeviren optik araçlar bulunur. Bu araçların başarılı bir şekilde çalışmalarının arkasında, ışığın ortamlardan geçerken kırılmaya, yansımaya ve yavaşlamaya uğramasının algılanması temeli yatar. Tekniğin kendisinin faz farklılıklarını açığa çıkarmasından dolayı numunelerin boyanmasına gerek yoktur; bu sayede canlı hücre dokuları ve kültürleriyle çalışmak mümkün olur.
Evrim Ağacı'nın çalışmalarına Kreosus, Patreon veya YouTube üzerinden maddi destekte bulunarak hem Türkiye'de bilim anlatıcılığının gelişmesine katkı sağlayabilirsiniz, hem de site ve uygulamamızı reklamsız olarak deneyimleyebilirsiniz. Reklamsız deneyim, sitemizin/uygulamamızın çeşitli kısımlarda gösterilen Google reklamlarını ve destek çağrılarını görmediğiniz, %100 reklamsız ve çok daha temiz bir site deneyimi sunmaktadır.
KreosusKreosus'ta her 50₺'lik destek, 1 aylık reklamsız deneyime karşılık geliyor. Bu sayede, tek seferlik destekçilerimiz de, aylık destekçilerimiz de toplam destekleriyle doğru orantılı bir süre boyunca reklamsız deneyim elde edebiliyorlar.
Kreosus destekçilerimizin reklamsız deneyimi, destek olmaya başladıkları anda devreye girmektedir ve ek bir işleme gerek yoktur.
PatreonPatreon destekçilerimiz, destek miktarından bağımsız olarak, Evrim Ağacı'na destek oldukları süre boyunca reklamsız deneyime erişmeyi sürdürebiliyorlar.
Patreon destekçilerimizin Patreon ile ilişkili e-posta hesapları, Evrim Ağacı'ndaki üyelik e-postaları ile birebir aynı olmalıdır. Patreon destekçilerimizin reklamsız deneyiminin devreye girmesi 24 saat alabilmektedir.
YouTubeYouTube destekçilerimizin hepsi otomatik olarak reklamsız deneyime şimdilik erişemiyorlar ve şu anda, YouTube üzerinden her destek seviyesine reklamsız deneyim ayrıcalığını sunamamaktayız. YouTube Destek Sistemi üzerinde sunulan farklı seviyelerin açıklamalarını okuyarak, hangi ayrıcalıklara erişebileceğinizi öğrenebilirsiniz.
Eğer seçtiğiniz seviye reklamsız deneyim ayrıcalığı sunuyorsa, destek olduktan sonra YouTube tarafından gösterilecek olan bağlantıdaki formu doldurarak reklamsız deneyime erişebilirsiniz. YouTube destekçilerimizin reklamsız deneyiminin devreye girmesi, formu doldurduktan sonra 24-72 saat alabilmektedir.
Diğer PlatformlarBu 3 platform haricinde destek olan destekçilerimize ne yazık ki reklamsız deneyim ayrıcalığını sunamamaktayız. Destekleriniz sayesinde sistemlerimizi geliştirmeyi sürdürüyoruz ve umuyoruz bu ayrıcalıkları zamanla genişletebileceğiz.
Giriş yapmayı unutmayın!Reklamsız deneyim için, maddi desteğiniz ile ilişkilendirilmiş olan Evrim Ağacı hesabınıza üye girişi yapmanız gerekmektedir. Giriş yapmadığınız takdirde reklamları görmeye devam edeceksinizdir.
Bir çok ışık mikroskobu türünde, sisteme ek dijital ya da optik araçlar sayesinde deneylerin işlevselliği artırılır. Örneğin video destekli diferansiyel girişim-kontrast mikroskoplarında, hücre içerisindeki organellerin mikrotübüller üzerinde hareketleri gözlemlenebilir. Bu sayede dinamik ve detaylı biyolojik süreçler de ışık mikroskoplarının yardımı ile incelenebilir.

Bunların yanında ışık mikroskoplarına yapılan tüm ek teknik geliştirmelere rağmen, görünür ışığın dalga boyu ve mikroskobun sayısal açıklığı, ışık mikroskoplarının kullanım alanlarını sınırlandırmaktadır. Örneğin, yukarıda da belirtildiği üzere ışık mikroskobunun çözünürlük sınırı 0,2 µm olduğundan, her ne kadar dinamik süreçlerin canlı olarak incelenmesini sağlasa da, diferansiyel girişim-kontrast mikroskoplarında mikrotübüller 0,2 µm'lik yığınlar halinde görülür. Işık mikroskoplarına ek olarak floresan mikroskoplar, numunelerin daha detaylı ve bazı yöntemlerde 3 boyutlu görüntülerini; elektron mikroskopları ise numunelerin çok daha yüksek boyutlardaki çözünürlüklerde görüntülerini verir.
Flüoresan Mikroskobu
Flüoresan mikroskoplarında klasik ışık mikroskobunda kullanılanın aksine, belirli bir flüoresan boyanın absorbe ettiği dalga boyundaki ışıklar kullanılır. Bu flüoresan boya hücrelerde nükleik asit, protein, hücre zarı ya da daha spesifik makromoleküllere bağlanan bir boyadır. Belirli bir dalga boyunda ışığı absorbe ettikten sonra bu boyalar, farklı bir dalga boyunda ışık yayarlar. Flüoresan mikroskoplarında mercek, bu yayılan dalga boyunu algılayacak şekilde ayarlanır ve bu sayede hücrelerin ya da incelenen başka numunelerin yaptığı flüoresan parlamaya bakılır.
Flüoresan boyama tekniği, antikor problama tekniği ile birleştirilerek hücrelerde belirli proteinlerin ya da diğer makromoleküllerin konumları çok spesifik olarak belirlenir. İmmunoblotlama yönteminde, konumu öğrenilmek istenilen makromoleküle özel olan antikorlar geliştirilir, ardından bu antikora bağlanan ve flüoresan bir "etiket" taşıyan ikinci bir antikor numunelere eklenir. Bu sayede hücre içinde renkli görünen kısımlar, incelenmek istenen makromolekülün konumunu gösterir. En klasik flüoresan boyama tekniği, yeşil floresan proteini olan GFP'nin rekombinasyon yöntemleri kullanılarak incelenmek istenen proteinin bir bölgesine insert edilmesidir.
Konfokal Mikroskop
Konfokal mikroskoplar, klasik flüoresan mikroskoplarının elektronik görüntüleme teknikleri ile birleştirilip hücrelerin ya da dokuların 3 boyutlu görüntülerinin elde edilmesinde kullanılan mikroskoplardır. Flüoresan boyaların, boyanın absorbe edeceği dalga boyunda lazer ışıklarının, ve boyanın yayacağı dalga boyunu algılayacak olan detektörlerin kullanımı floresan mikroskoplarda olduğu gibi konfokal mikroskopta da geçerlidir. Konfokal mikroskopta farklı olarak, numunenin belli bir derinliğinden yayılan ışığın geçebileceği, konumu belli bir derinliğe özel olan konfokal açıklık denen sistemler bulunur. Başka bir deyişle, bu mikroskoplar sadece numunenin belli bir derinliğinden gelen ışığı algılamak için özelleştirilebilirler. Farklı derinliklerden alınan görüntülerin bilgisayar ortamında işlenmesi ile de numunelerin 3 boyutlu görüntülerinin oluşturulması sağlanır.

Diseksiyon Mikroskobu
Laboratuvarlarda kullanılan bir diğer mikroskop tipiyse diseksiyon mikroskoplarıdır. Bu mikroskoplar ışık mikroskoplarından daha düşük bir büyütme oranına sahiptir (nesnenin 20 ila 80 katı) ancak numunenin üç boyutlu bir görüntüsünü sağlayabilirler. Kesiti kalın nesneler birçok farklı bileşen odakta olacak biçimde gözlemlenebilir. Işık mikroskopları gibi çoğu modern diseksiyon mikroskobu da ayrıca binoküler; yani iki gözlü, dürbünlüdür. Bu da iki gözün her biri için farklı bir mercek sistemi olduğu anlamına gelir. Mercek sistemleri belirli bir mesafeyle birbirlerinden ayrıdırlar. Bu da görüntüyü el ile ayarlayabilmeyi kolaylaştırır ve görüntüye derinlik sağlar. Diseksiyon mikroskopları görüntüyü düzeltme işlevi yapan bir merceğe daha sahiptir ve bu şekilde çıplak göze görünen görüntü mikroskopta ters görünmez. Diseksiyon mikroskobu altındaki bir örneğin aydınlanması tipik olarak yukarıdan sağlanır, ancak bazen alttan da aydınlatılabilir.

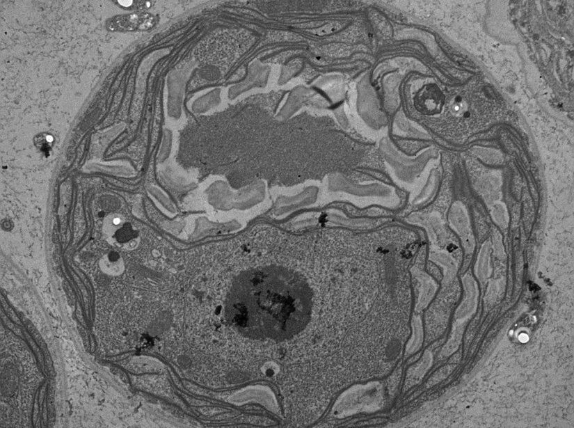
Elektron Mikroskobu
1931 yılında iki Alman bilim insanı, Ernst Ruska ve Max Knoll, görünür ışıktan daha iyi çözünürlük sağlayacak bir yöntem geliştirdiler. Bu yöntemde bilim insanları numuneden ışık yerine elektronların geçmesini ve bu şekilde görüntünün elde edilmesini sağladılar. Sonuç olarak transmisyon elektron mikroskobunun ilk örneği açığa çıkmış oldu. 1940-1950 yılları arasında ise Albert Claude, Keith Parter ve George Palade tarafından yapılan çalışmalar sayesinde elektron mikroskobu biyolojinin de kullanım alanı haline geldi.
Elektron mikroskobu, ışık mikroskobundan daha iyi çözünürlük sağlar; çünkü elektronların dalga boyu, 0,004 nm kadardır. Bu, görünür ışığın dalga boyundan yaklaşık 100.000 kat daha kısadır! Elektronların dalga boyunun getirdiği avantajın yanında, mikroskop lensinin sayısal açıklığı elektron mikroskobunda çözünürlüğü sınırlayan etmendir. Elektron dalga boyu, sayısal açıklık, ekipmanların elverişliliği ve incelenen numunelerin özellikleri gibi bir çok etmen sonucu bir elektron mikroskobunun yaklaşık çözünürlük sınırının 1-2 nm olduğu söylenir. Bu sınır, klasik ışık mikroskobunda olduğundan çok daha düşüktür.
Elektron mikroskobunda, bir elektron demeti elektron tabancası tarafından salınır. Ardından yoğunlaştırıcı mercekler elektron demetini tek ve ince bir ışın haline getirir. Bu sayede elektronların tek bir noktaya odaklanması sağlanır. Elektronların aşağı yönde hareket etmesi ve numuneye hedeflenmesi için, numunenin etrafında pozitif yüklü sistemler bulunur. Elektron mikroskobunda kullanılan numune, ışık mikroskobunda olduğundan çok daha ince kesitler halinde hazırlanmalıdır. Bu numuneden elektronlar doğrudan geçirilerek floresan yüzey üzerinde oluşan koyuluğun derecesine göre görseller oluşturulabilir ya da elektronlar numune yüzeyine çarpar, incelenen örneğin derinliğine ve yoğunluğuna göre farklı açılarda ve oranlarda saptırılır. Sapan elektronlar detektörler tarafından algılanır ve sonuçta, numunenin dijital bir görüntüsü elde edilmiş olur.
Bir hücrenin elektron mikroskobu altında gözlemlenmesi için hazırlanması hücrenin ölümüne sebep olacaktır. Bu nedenle canlı hücreler bu tip mikroskoplar altında gözlemlenemez. Ek olarak elektron ışını en iyi boşlukta hareket eder ki bu da canlı materyallerin incelenmesini imkânsız hale getirir. Bir taramalı elektron mikroskobunda, bir elektron demeti bir hücrenin yüzeyi boyunca ileri geri hareket ederek hücre yüzeyi özelliklerinin ayrıntılarını yansıma yoluyla gösterir.

Bu teknikte hücreler ve diğer yapılar genellikle altın gibi bir metalle kaplanmaktadır. Bir transmisyon elektron mikroskobunda, elektron ışını hücre içinden geçer ve böylece hücre içi yapılar detaylı olarak görülebilir. Tahmin edebileceğiniz gibi, elektron mikroskopları ışık mikroskoplarından önemli ölçüde daha büyük ve pahalıdır.
Transmisyon Elektron Mikroskobu (TEM)
Transmisyon elektron mikroskobu, yöntem olarak olmasa da, elde edilen görüntülerin verdiği bilgiler açısından ışık mikroskobuna benzerdir. Transmisyon elektron mikroskobu ile hücre içi yapılar incelenebilir, proteinlerin şekilleri açığa çıkarılabilir, virüs ya da organeller gibi kompakt yapıların yüzeysel görüntüleri elde edilebilir ve hücre zarının yapısı incelenebilir.
Parlak alan ışık mikroskobunda hücrelerin çeşitli renklerdeki boyalarla boyanmasının aksine TEM'de hücreler, ağır metal tuzları ile muamele edilir. Yüksek derecede odaklanmış ve hızlandırılmış elektron demetleri numuneye gönderilir. Numunenin farklı derinliklerinden ve fazlarından sapan elektronlar farklı motiflerin oluşmasına yol açar. Bu motifler, numunenin yüksek çözünürlükte görüntüsünü verir.

Pozitif Boyama
Bu yöntem 1950'lilerin sonundan beri, hücresel yapılar ve virüsler gibi biyolojik numuneleri incelemek için kullanılmaktadır. Pozitif boyamada numune, ağır metal tuzları ile boyanır. Uranil asetat ve kurşun sitrat günümüzde en yaygın kullanılan tuzlardır. Proteinlere, nükleik asitlere, lipitlere ya da başka makromoleküllere spesifik olan başka tuzlar da kullanılabilir. Sonuç olarak numune elektron bombardımanına tutulduğunda, mikroskop çıktısında yoğun boyalı bölgeler koyu görünür.
Negatif Boyama
Negatif boyama tekniğinde, pozitif boyamanın aksine numunenin kendisi değil arka planı metal tuzları ile boyanır ve koyu arka plana karşı parlak renkli numune görüntüsü elde edilir. Bu yöntem virüsler, bakteriler, saflaştırılmış organeller gibi kompakt yapıların incelenmesi ve şekillerinin belirlenmesi için kullanışlıdır.
Metal Gölgelendirme ile Boyama
Bu yöntemde genelde metal olarak gaz fazına geçmiş platin kullanılır. Platin incelenen numuneye belli bir açıdan püskürtülür. Sonuçta numunenin bir yüzü diğer yüzlerinden daha ağır olmuş olur. Elektron bombardımanının ardından oluşan görüntü incelendiğinde platin püskürtülmüş yüzün daha koyu olduğu görülür ve bu da incelenen görselde bir gölge efektinin açığa çıkmasını sağlar. Sonuç olarak bu yöntem, numunenin 3 boyutlu yapısının anlaşılmasında yardımcı olur.
Taramalı Elektron Mikroskobu (SEM)
Taramalı elektron mikroskobu, transmisyon elektron mikroskobunun aksine hücrelerin ya da diğer biyolojik numunelerin iç yapılarını değil, yüzeylerini ve 3 boyutlu şekillerini incelemeye yardımcı olur. Biyolojik yapıların incelenmesinin yanında malzeme biliminde, yarı iletken maddelerin çalışılmasında, mikroçip montajında, toprak ve kayaç araştırmaları gibi birçok konuda kullanılır.

Taramalı elektron mikroskobunda elektronlar doğrudan numunenin içerisinden geçmez. bunun yerine numunenin farklı derinliklerinden ve farklı yoğunluklardaki bölgelerinden saptırılır. Bir seferde sadece çok küçük bir nokta elektron lazerine maruz kalır ve tüm numune adım adım ilerleyen, otomatik bir işlemle "taranır". Bu nedenle yöntemin adı taramalı elektron mikroskobudur.
Bu Alanda Bir Kariyer: Sitoteknologluk
"Pap Smear" tıbbi testini duydunuz mu? Rahim kanseri teşhisi için kullanılan bu testte, bir doktor hastanın serviksinden örnek hücre alır ve sitoteknoloğun hücreyi renklendirerek rahim ağzı kanserine ya da mikrobiyal bir enfeksiyona işaret edebilecek herhangi bir belirtiyi incelediği tıbbi laboratuvara yollar.

Sitoteknologlar hücreyi mikroskobik incelemelerle ya da başka laboratuvar testleriyle inceleyen profesyonellerdir. Hücresel değişimlerin normal sınırlar içerisinde olup olmadığını belirlemede uzmanlaşmışlardır. Sadece servikal hücrelere odaklanmazlar, bütün organlardan alınmış numunelerle çalışabilirler. Anormal bir durum fark ettiklerinde klinik bir teşhis yapabilen patologlara danışmaktadırlar. Sitoteknologlar insanların hayatının kurtarılmasında önemli bir rol oynar. Anormallikler erken teşhis edildiğinde bir hastanın tedavisi erken başlayabilir, ki bu tedavinin başarı şansını arttırmaktadır.
Evrim Ağacı'nda tek bir hedefimiz var: Bilimsel gerçekleri en doğru, tarafsız ve kolay anlaşılır şekilde Türkiye'ye ulaştırmak. Ancak tahmin edebileceğiniz gibi Türkiye'de bilim anlatmak hiç kolay bir iş değil; hele ki bir yandan ekonomik bir hayatta kalma mücadelesi verirken...
O nedenle sizin desteklerinize ihtiyacımız var. Eğer yazılarımızı okuyanların %1'i bize bütçesinin elverdiği kadar destek olmayı seçseydi, bir daha tek bir reklam göstermeden Evrim Ağacı'nın bütün bilim iletişimi faaliyetlerini sürdürebilirdik. Bir düşünün: sadece %1'i...
O %1'i inşa etmemize yardım eder misiniz? Evrim Ağacı Premium üyesi olarak, ekibimizin size ve Türkiye'ye bilimi daha etkili ve profesyonel bir şekilde ulaştırmamızı mümkün kılmış olacaksınız. Ayrıca size olan minnetimizin bir ifadesi olarak, çok sayıda ayrıcalığa erişim sağlayacaksınız.
Makalelerimizin bilimsel gerçekleri doğru bir şekilde yansıtması için en üst düzey çabayı gösteriyoruz. Gözünüze doğru gelmeyen bir şey varsa, mümkünse güvenilir kaynaklarınızla birlikte bize ulaşın!
Bu makalemizle ilgili merak ettiğin bir şey mi var? Buraya tıklayarak sorabilirsin.
Soru & Cevap Platformuna Git- 22
- 17
- 12
- 8
- 8
- 2
- 2
- 2
- 1
- 1
- 1
- 1
- G. M. Cooper. (2000). The Cell. ISBN: 9780878931064. Yayınevi: Sinauer Associates.
- Scientifica. A Guide To Phase Contrast. (1 Ocak 2021). Alındığı Tarih: 1 Ocak 2021. Alındığı Yer: Scientifica | Arşiv Bağlantısı
- Nanoscience Instruments. Scanning Electron Microscopy. (1 Ocak 2021). Alındığı Tarih: 1 Ocak 2021. Alındığı Yer: Nanoscience Instruments | Arşiv Bağlantısı
- L. Shaber. The History Of The Electron Microscope. (9 Ocak 2019). Alındığı Tarih: 5 Ocak 2021. Alındığı Yer: Thermo Fisher | Arşiv Bağlantısı
- Atascientific. The Applications And Practical Uses Of Scanning Electron Microscopes. (2 Ağustos 2019). Alındığı Tarih: 5 Ocak 2021. Alındığı Yer: Atascientific | Arşiv Bağlantısı
Evrim Ağacı'na her ay sadece 1 kahve ısmarlayarak destek olmak ister misiniz?
Şu iki siteden birini kullanarak şimdi destek olabilirsiniz:
kreosus.com/evrimagaci | patreon.com/evrimagaci
Çıktı Bilgisi: Bu sayfa, Evrim Ağacı yazdırma aracı kullanılarak 04/10/2025 22:03:09 tarihinde oluşturulmuştur. Evrim Ağacı'ndaki içeriklerin tamamı, birden fazla editör tarafından, durmaksızın elden geçirilmekte, güncellenmekte ve geliştirilmektedir. Dolayısıyla bu çıktının alındığı tarihten sonra yapılan güncellemeleri görmek ve bu içeriğin en güncel halini okumak için lütfen şu adrese gidiniz: https://evrimagaci.org/s/9830
İçerik Kullanım İzinleri: Evrim Ağacı'ndaki yazılı içerikler orijinallerine hiçbir şekilde dokunulmadığı müddetçe izin alınmaksızın paylaşılabilir, kopyalanabilir, yapıştırılabilir, çoğaltılabilir, basılabilir, dağıtılabilir, yayılabilir, alıntılanabilir. Ancak bu içeriklerin hiçbiri izin alınmaksızın değiştirilemez ve değiştirilmiş halleri Evrim Ağacı'na aitmiş gibi sunulamaz. Benzer şekilde, içeriklerin hiçbiri, söz konusu içeriğin açıkça belirtilmiş yazarlarından ve Evrim Ağacı'ndan başkasına aitmiş gibi sunulamaz. Bu sayfa izin alınmaksızın düzenlenemez, Evrim Ağacı logosu, yazar/editör bilgileri ve içeriğin diğer kısımları izin alınmaksızın değiştirilemez veya kaldırılamaz.