Down Sendromu, Oluşumu, Evrimsel Anlamı

21 Mart Dünya Down Sendromu Günü olarak belirlenmiştir. Bunun özel bir anlamı bulunur: 21 Mart, yani 21.3 gösterimi, Down sendromunun ana nedeni olan 21. kromozomun üçlenmesi (üç katına çıkması) olayına işaret eder. Biz de, Evrim Ağacı ailesi olarak, bu inceleme yazımızı tüm Down sendromlu okurlarımıza ve Dünya'daki tüm Down sendromlu türdaşlarımıza ithaf ediyoruz!

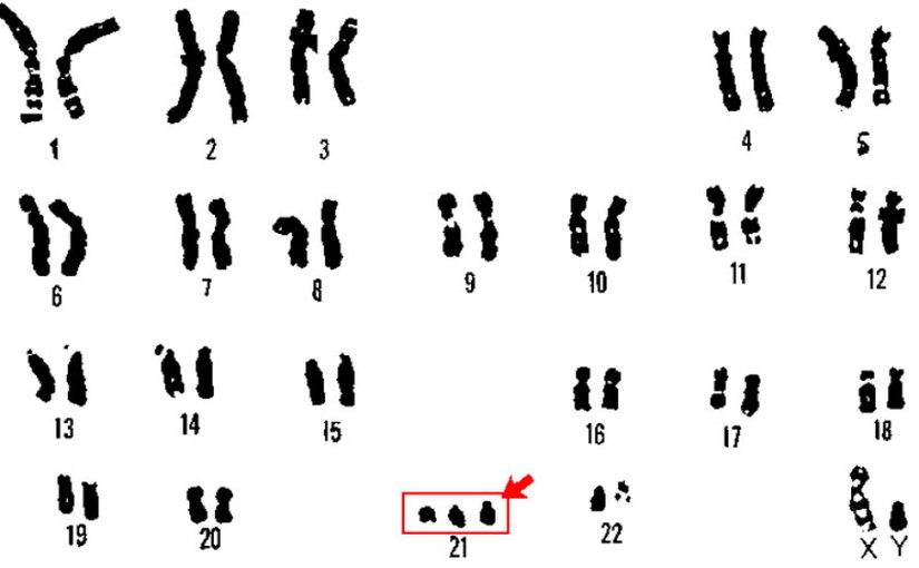
Down Sendromu, az önce de belirttiğimiz üzere, bir bireyde 21. kromozomun 2 yerine 3 kopyası olmasından kaynaklanan bir kromozomal bozukluktur. Bu sebeple trizomi 21 olarak da bilinmektedir ("trizomi", "üçlenme" anlamına gelir). Aşağıda Down sendromlu bir erkeğe ait bir hücrenin içerisindeki koromozomların dağılımı gözükmektedir.

Bu durum, genellikle mayozda meydana gelen bölünme hatalarından kaynaklanmaktadır. Normalde, 46 kromozoma sahip olan insanın üreme hücrelerinde (yumurtasında ve sperminde) 23 kromozom bulunur ve bunlar birleştiğinde, yeniden 46 kromozomlu bir birey elde edilir. Ancak kimi zaman mayoz sırasında 46 kromozom eşit olarak ikiye bölünemez ve bu durumda, anöplodi (anormal kromozom sayısı) durumu oluşur. İşte bunun sonucunda, böyle anormal bir üreme hücresiyle (olması gerekene göre 2 kat kromozoma sahip bir hücreyle) normal bir hücre birleştiğinde, 21. kromozomdan 3 parçaya sahip bir zigot oluşur. Bunun sonucunda oluşan duruma Down Sendromu adını veriyoruz. Bu isim, bu durumun yarattığı fiziksel farklılıkları 1866'da tanımlayan İngiliz fizisyen John Langdon Down'dan gelmektedir. Durumun kromozomal karşılığını tanımlayan ise 1959 senesinde Jerome Lejeune'dir.
En tipik özellikleri arasında algısal kapasitenin normalin altında olması ve fiziksel gelişimin normalden sapması olarak belirlenmektedir. Daha en başından belirtmekte fayda görüyoruz ki, Down sendromu her geçen yıl daha az hastalık ve daha çok çeşitlilik olarak kabul edilmektedir. Yani günümüzde bu kromozomal farklılık, bir "kusur" olarak değil, bir "farklılık" olarak görülmektedir. Zira Down sendromlu insanların başarabildiklerinin ve zihinsel yeteneklerinin her geçen gün biraz daha fazla anlaşılıyor olması, bunun bir hastalık ya da eksiklik olarak görülmesini güçleştirmektedir.

Down sendromunun bir hastalık olarak görülmesinin nedeni, özellikle IQ konusundaki eksikliklerdir. Ancak IQ testlerinin sadece belirli tip zekayı ölçmekte kullanılan bir araç olmasından ötürü, sadece IQ testlerine dayandırılan bir analiz yeterli olmamaktadır. Öte yandan, Down sendromuna sahip bireylerde analitik zekanın ortalamanın altında olduğu ve öğrenme zorlukları çektikleri de bir gerçektir. Normal düzeyde bir yetişkin bireyin IQ'su 100 olarak belirlenmekteyken, Down sendromlu yetişkinlerin IQ'su 50 civarında ölçülmektedir. Bir katsayı belirten IQ birimine göre bu durum, Down sendromunun analitik zekayı yarı yarıya azalttığını göstermektedir. Bununla birlikte, doğumdan itibaren özel olarak eğitilen Down sendromlu bireylerde IQ'nun 90'a kadar çıkabildiği bilinmektedir. Dolayısıyla, IQ'nun genelinde olduğu gibi Down sendromunda da analitik zeka, alınan eğitim ve yapılan çalışmalar ile doğrudan ilişkilidir ve evrensel bir ölçüm aracı olarak görülmemelidir.
Üstelik, Down sendromlu bireyler yönlendirildikleri zaman analitik zeka haricindeki zeka formlarında oldukça başarılı olabildiklerini göstermektedirler. Örneğin Vanderbilt Kennedy Sanat Merkezi'nde Down sendromlu bireylerin yaptıkları çizimleri görmeniz mümkündür. Aşağıda ise, Clarissa isimli bir Down sendromlu gencin elinden çıkan birbirinden ilginç resimlerden birkaçı görülmektedir. Sadece bu resimlere bakarak bile, Down sendromlu bireylerin sanat gibi karmaşık süreçleri işleyebilmesinden ötürü, özel ve alışılmışın dışında bir çeşitlilik/varyasyon olduklarını düşünmek mümkündür.
Down Sendromu'nun Özellikleri
Down sendromlu birini birçoğumuz kolaylıkla fark edebiliriz ve birçoğumuz da, bu benzer fiziksel özelliklerinin nedenini merak etmiştir. Bunun, sadece evrimsel biyoloji ile açıklanabilir bir anlamı bulunmaktadır (ve böyle bir durumda bile, evrimsel biyolojinin açıklayıcı gücünü bize göstermektedir): Down sendromunda gözlediğimiz kromozomal farklılık, bireyin embriyolojik gelişimi sırasında neoteni dediğimiz bir süreci hızlandırmaktadır. Neoteninin ne olduğunu merak ediyorsanız, buradan bilgi alabilirsiniz.
En kısa tanımıyla vermemiz gerekirse, Down sendromu sırasında daha embriyolojik evrede, yani bireysel özellikler tam olarak oluşmadan yavaşlatılmış erişkinlik (neoteni), tamamlanmamış morfogenez ve atavizm görülmektedir (atavizm hakkında buradan bilgi alabilirsiniz). Bunların hepsi, evrimsel açıdan daha az gelişkin, yani atasal özellikleri daha fazla taşıyan bireylerin oluşması anlamına gelmektedir. Çünkü embriyolojik dönemde genlerimiz, yaklaşık olarak "evrimsel geçmişimiz" ile benzer bir sırada aktive olmakta okunmaktadır. Embriyo halimizde, insan-öncesi atalarımıza ait birçok dönüm noktasından geçerek vücut planımız oluşturulmaktadır. 21. kromozomdaki bu fazlalıktan doğan biyokimyasal sorunlar, bu süreci yavaşlatır ve dolayısıyla embriyonun, bugün bizlerin "normal" olarak tanımladığımız fiziksel özelliklere erişmesine engel olur.
Bu evrimsel özelliklerdeki sapmadan ötürü tüm Down sendromlu bireylerde aşağıdaki özellikler bir arada ya da kısmen bulunabilir:
- mikrogeni (küçük çene)
- eğik göz çukuru yarıkları
- kas sıkılığında (tonusunda) azalma
- burun kemerinde basıklık/yassılık
- tek avuç-içi çizgisi
- yapısal bozukluğu olan ağızdan ötürü dışarı çıkık bir dil
- makroglassi (şişkin dil)
- geniş ve yassı yüz,
- kısa boyun,
- gözlerde beyaz benekler (Brushfield noktaları),
- atlanto-aksiyal dengesizlikten ötürü eklem gevşeklikleri,
- ayaklarda başparmak ile diğer parmaklar arasında geniş açıklık,
- kısa parmaklılık,
- parmak izlerinde aşırı ulnar döngüleri,
- vücut ölçülerinde (boy ve uzunluk) normalden düşük değerler
Bu belirtilerin sayısını arttırmak mümkünken, bu özelliklerin çoğunun Down sendromlularda görüldüğünü bilmek gerekmektedir. Aşağıda, bu özelliklerin yüze ait olanlarının gösterildiği biz çizim görülmektedir:

Yukarıda saydığımız bu özelliklerin, Down sendromlular arasında ne kadar sık görüldüğüne dair de araştırmalar sürdürülmektedir. Örneğin, istisnasız her Down sendromlu bireyde gelişim zayıflıkları görülmekteyken, kas gevşekliği %80'inde, kısa uzuvluluk %70'inde, kısa boyun %50'sinde, gözdeki Brushfield noktaları ise %35'inde görülmektedir. Dolayısıyla bu özellikler, her Down sendromluda istisnasız bulunmak zorunda değildir. Zaten bu da, Down sendromlu bireyler arasında da, normal insanlardaki kadar çeşitlilik olduğunu; bu çeşitliliğin Down sendromlular arasında özel olduğunu göstermekte, Down sendromunun bir hastalıktan çok özel bir genetik durum olduğunu düşünmemize sebep olmaktadır.
Evrim Ağacı'nın çalışmalarına Kreosus, Patreon veya YouTube üzerinden maddi destekte bulunarak hem Türkiye'de bilim anlatıcılığının gelişmesine katkı sağlayabilirsiniz, hem de site ve uygulamamızı reklamsız olarak deneyimleyebilirsiniz. Reklamsız deneyim, sitemizin/uygulamamızın çeşitli kısımlarda gösterilen Google reklamlarını ve destek çağrılarını görmediğiniz, %100 reklamsız ve çok daha temiz bir site deneyimi sunmaktadır.
KreosusKreosus'ta her 50₺'lik destek, 1 aylık reklamsız deneyime karşılık geliyor. Bu sayede, tek seferlik destekçilerimiz de, aylık destekçilerimiz de toplam destekleriyle doğru orantılı bir süre boyunca reklamsız deneyim elde edebiliyorlar.
Kreosus destekçilerimizin reklamsız deneyimi, destek olmaya başladıkları anda devreye girmektedir ve ek bir işleme gerek yoktur.
PatreonPatreon destekçilerimiz, destek miktarından bağımsız olarak, Evrim Ağacı'na destek oldukları süre boyunca reklamsız deneyime erişmeyi sürdürebiliyorlar.
Patreon destekçilerimizin Patreon ile ilişkili e-posta hesapları, Evrim Ağacı'ndaki üyelik e-postaları ile birebir aynı olmalıdır. Patreon destekçilerimizin reklamsız deneyiminin devreye girmesi 24 saat alabilmektedir.
YouTubeYouTube destekçilerimizin hepsi otomatik olarak reklamsız deneyime şimdilik erişemiyorlar ve şu anda, YouTube üzerinden her destek seviyesine reklamsız deneyim ayrıcalığını sunamamaktayız. YouTube Destek Sistemi üzerinde sunulan farklı seviyelerin açıklamalarını okuyarak, hangi ayrıcalıklara erişebileceğinizi öğrenebilirsiniz.
Eğer seçtiğiniz seviye reklamsız deneyim ayrıcalığı sunuyorsa, destek olduktan sonra YouTube tarafından gösterilecek olan bağlantıdaki formu doldurarak reklamsız deneyime erişebilirsiniz. YouTube destekçilerimizin reklamsız deneyiminin devreye girmesi, formu doldurduktan sonra 24-72 saat alabilmektedir.
Diğer PlatformlarBu 3 platform haricinde destek olan destekçilerimize ne yazık ki reklamsız deneyim ayrıcalığını sunamamaktayız. Destekleriniz sayesinde sistemlerimizi geliştirmeyi sürdürüyoruz ve umuyoruz bu ayrıcalıkları zamanla genişletebileceğiz.
Giriş yapmayı unutmayın!Reklamsız deneyim için, maddi desteğiniz ile ilişkilendirilmiş olan Evrim Ağacı hesabınıza üye girişi yapmanız gerekmektedir. Giriş yapmadığınız takdirde reklamları görmeye devam edeceksinizdir.
Down sendromunun halen bir hastalık olarak tanımlanmasının sebebiyse, bazı diğer hastalıklara yakalanma riskini arttırıyor olmasıdır (hastalık tanımlarıyla ilgili bilgiyi buradan veya kitaplarımızdan alabilirsiniz). Daha önceden de belirttiğimiz gibi, Down sendromlu bireylerde analitik zekaya bağlı gelişim oldukça zayıftır. Buna bağlı olarak dil gelişimi ve konuşma çok daha geç olur veya hiç olmayabilir. Hassas motor faaliyetler zayıflar. Hareketler arasında koordinasyon eksiklikleri görülür. Birçok Down sendromlu çocuk, normalde 1 yaş civarında yürüme başlaması gerekirken, 2 yaşına kadar yürüyemez; hatta bunun 4 yaşına kadar uzadığı defalarca gözlenmiştir. Fakat yapılan çalışmalar, tüm bunların fiziksel ve mental çalışmalarla pekiştirilebileceğini ve Down sendromlu bireylere de, normal bireylerle eşdeğer yaşam standartlarının sunulmasının o kadar da zor olmadığını göstermektedir.
Bunun haricinde Down sendromlu bireylerde kalp hastalıklarına yakalanma riski ciddi miktarda artmaktadır. Öyle ki, doğan her 2 Down sendromlu çocuktan 1 tanesinde kalp rahatsızlıkları görülmektedir. Dolayısıyla, Down sendromlu bireylerin hemen gözetim altına alınmaları gerekmektedir.
İlginç bir biçimde, Down sendromlu bireylerde kötü huylu tümörlere (kansere), normalden daha az rastlanmaktadır. Öte yandan lösemi ve testis kanseri gibi kanser tipleriyse normalden biraz daha fazla görülmektedir. Dolayısıyla, Down sendromu ile kanser arasında da henüz tam olarak anlaşılamamış bir ilişki bulunuyor olabilir. Bu ilişkinin, fazladan bulunan 21. kromozomdan üretilen tümör baskılayıcı proteinlerin sayısındaki artıştan kaynaklandığı düşünülmektedir.
Bunlar haricinde Down sendromlu bireylerde tiroid hastalıkları, mide hastalıklar (özellikle Hirschprung hastalığı), kısırlık, görme bozuklukları, işitme bozuklukları daha sık görülmektedir. Bu sebeplerle Down sendromlu bireylerin, normal bireylerden çok daha sıkı gözetim altında tutulması gerekmektedir. Ancak yine de, birçok Down sendromu vakasında, düzgün ve disiplinli bir çalışma sonrasında kendi hayatını sürdürebilen bireyler gelişebilmekte ve sıradan insanlar gibi yaşayabilmektedirler.
Down Sendromunun Teşhisi ve Tedavisi
Genellikle Down sendromunun teşhisi, doğumdan sonra, doktorun, bebeğin fiziksel özelliklerine bakmasıyla anlaşılır. Daha önce de bahsettiğimiz gibi, Down sendromlu bireylerin yarısında doğuştan kalp bozuklukları olduğundan, kalbin dinlenmesi sırasında bu sorunlar fark edilebilir. En net tanıyı ise, kan yoluyla yapılan basit bir test sonucunda, ekstra kromozomun gözlenmesi sayesinde yapabilmekteyiz.
Teşhis sonrasında ekokardiyogram testleri ile kalp durumu, ECG ile kalbin ritmik fonksiyonları ve X-ışınları ile de göğüs ve sindirim kanalı sorunları analiz edilir. Sonrasında, Down sendromlu bireyler yakından takip edilerek sağlık durumları gözlenir. Her sene göz muayenesi yapılır, 6-12 ayda bir işitme testi yapılır, 6 ayda bir dişler kontrol edilir, 3-5 yaş aralığında düzenli olarak X-ışını taraması yapılır, 21 yaşına kadar kalça kemiği ve diğer kemikler takip edilir, 12 ayda bir tiroid testi yapılır.
Ne yazık ki, günümüzde Down sendromunun işe yarar bir tedavisi bulunmamaktadır; ancak sendromun belirtileri kısmen ya da tamamen yok edilecek kadar başarılı fizyolojik ve mental uygulamalar (zihinsel faaliyeti geliştirmek için yapılan aktiviteler) bulunmaktadır. Aynı zamanda, acil müdahale gereken durumlarda (Down sendromunda görülen bloke olmuş sindirim kanalı gibi), ameliyat yoluyla müdahalelerde bulunulabilmektedir.
Annelerin Down sendromlu çocuklarına süt verirken dikkatli olmaları gereken şey, çocuklarını sıkı sıkıya desteklemeleri ve tam uyanık olduklarından emin olmalarıdır. Beyinsel fonksiyonları tam olarak çalışamadığından çocuklar boğulabilmektedirler. Süt emme sırasında ağızdan süt kaçabilmektedir. Bunun sebebi de, ağız yapısında ve dilde oluşan farklılıklardır.
Genellikle Down sendromlu çocuklar, özellikle etraflarını tanımaya başladıkça öfkeli ve takıntılı davranışlar geliştirebilmektedirler. Bunu önlemek için çocuklara şefkatle ve sevgiyle yaklaşmak, kendi durumunun da son derece normal olduğunu anlatmak gerekmektedir. Çünkü diğer zihinsel sorunlara kıyasla, Down sendromlu bireyler kendilerindeki farklılığı anlayabileceklerdir ve bundan nefret etmelerinin önüne geçilmelidir. Down sendromlu bireylerin ebeveynleri ya da bakıcılarının yapması gereken en temel şey, onların özgür yaşamlarını desteklemek ve sağlamaktır. Yani, bu kişilerin bakımında yapılması gereken şey %100 kontrol altında tutmak ve her adımlarını takip ve kontrol etmek değil, giderek artan bir özgürlük sunmak, böylece kendilerine olan güvenlerini sağlamaktır (tabii gerekli önlemleri alarak).
Günümüzde, Down sendromlu bireylerin neredeyse tamamı yetişkinlik düzeyine erişebilmektedirler. Meslek sahibi olabilmekte ve baş döndürücü işlere imza atabilmektedirler. Aşağıda, bir orkestrayı yöneten Down sendromlu Hu Yizhou'yu görebilirsiniz:
Ne yazık ki, Down sendromuna bağlı olarak gelen diğer hastalıklar (özellikle kalp ile ilgili olan sorunlar), bireylerin daha erken ölmelerine neden olabilmektedir. Bu durumları da, iyi bir bakım ve sürekli sağlık kontrollerinden geçmekle önlemek, en azından olabildiğince ertelemek mümkün olabilmektedir.
Down Sendromunun Evrimsel Analizi
Evrimsel Biyoloji'nin gücü sayesinde eskiden düzgün analiz edemediğimiz birçok konuya çok daha etraflı ve çok daha sağlam temelli incelemelerde bulunmamız mümkün olabilmiştir. Down sendromuna da, bu açıdan yaklaşmak mümkündür.
Yapılan incelemelerde, Down sendromunun birçok özelliğinin türümüzün atasal özelliklerini yansıttığı (atavistik özellikleri gösterdiği) gerçeğini gün yüzüne çıkarmıştır. Birçok evrimsel biyolog, uzun yıllar boyunca Down sendromunun vahşi doğada elenmesi gerektiğini iddia etse de, son zamanlarda yapılan çalışmalar, Down sendromunun vahşi hayatta özellikle zorlu ve düşük kaynaklı koşullarda bazı avantajlar sağlayabileceğini, dolayısıyla evrimsel bir çeşitlilik olarak bu genetik varyasyonun korunabileceği düşünülmektedir.
50 yaşın üzerindeki annelerin doğurduğu her 11 bebekten 1'i Down sendromu ile doğarken, 30 yaşındaki annelerin doğurduğu her 1.000 bebekten sadece 1'inde Down sendromu görülmektedir. Bu da, annenin yaşı ve bedensel koşullarıyla Down sendromu arasında bir ilişki olabileceği fikrini akıllara getirmektedir. Yapılan incelemelerde, vahşi hayatta yaşayan atalarımızda, ileri yaştaki annelerin, muhtemelen yavruları kendi başlarına hayatta kalabilecek düzeye varamadan öleceklerini ortaya koymaktadır. Dolayısıyla anne, gerekli katkıyı yavrusuna sağlayamadan ölecek ve yavruyu tek başına bırakacaktır.
Down sendromlu bireylerin vücut bazında, ömürleri boyunca harcadıkları bireysel enerji, normal insanlara göre çok daha düşüktür. Bu da, evrimsel uyum sürecinde bu şekilde kıt ve sıkışık dönemlerde, yaşlı ve bakımı sağlayamayacak annelerden doğan bireylerde Down sendromunun oluşma sıklığının artması konusunda bir seçilim baskısı doğurmuş olabilir. Yani Down sendromu, zorlu koşullarda türün devamını sağlayacak bir adaptasyon olarak gelişmiş olabilir. Bu enerji sarfiyatının düşüklüğünün ana sebebi, yukarıda saydığımız kas, kemik, iskelet, vb. unsurların gelişimindeki zayıflıklardan ileri gelmektedir. Bunlar, her ne kadar normal bir bireye göre düşük olsa da, Down sendromlu bir birey hayatta kalabilecek kadar donanımlıdır. Dolayısıyla, Down sendromunda kanser veya bir diğer ölümcül hastalık kadar tehdit edici bir unsur bulunmamaktadır; sadece bir çeşitlilik olarak amansız bir ortama uygun nesillerin oluşumu sağlanıyor olabilir. Normal bireyler, zorlu koşullarda hayatta kalmak için çok daha fazla çaba sarfetmeleri gerekiyorken, Down sendromlu bireyler, insan nesillerinde bu koşullara daha kolay adapte olmuş olabilirler.
Çünkü evrimleştirdiğimiz zekamız, özellikle sosyal ilişkilerin gelişimine paralel olarak bu denli ileri gitmiştir; ancak doğada hayatta kalabilmek için esasında bu kadar yüksek bir zeka düzeyine sahip olmamız şart değildir. İşte bu sebeple, zihinsel ve fiziksel fonksiyonlardan yitirilerek, enerji sarfiyatında daha başarılı olan Down sendromlu bireyler, popülasyon içerisindeki bir çeşit olarak varlığını sürdürmüş olabilirler. Sonrasında, tıp biliminn gelişmesi ve yaşam standartlarımızın artmasıyla da bu bireyler korunarak, günümüzdeki varlıklarını sürdürmüş olabilirler. Kısaca Down sendromu, günümüzde "normal" olarak isimlendirdiğimiz insan çeşitliliği içerisindeki, "düşük enerji sarfiyatı"na yönelik oluşan bir varyasyon olabilir. Bu da, Down sendromunun, evrimsel biyoloji ışığı altında ne kadar normal olduğunu anlamamıza yardımcı olacaktır.
Bu, Down sendromunun evrimsel analizinin sadece bir boyutudur. Ancak yine de bize, böylesine ilginç bir durumun evrimsel açıdan nasıl bir avantaj sağlıyor olabileceğini göstermek açısından çok net örnekler sunmaktadır. Yani hiç beklemediğimiz bir durum, evrimsel açıdan tahmin bile etmekte güçlük çekeceğimiz bir avantaj sağlıyor olabilir ve bu sebeple popülasyon içerisindeki varlığını sürdürüyor olabilir. Down sendromu, muhtemelen buna en güzel örneklerden biridir.
Down sendromunun embriyolojik dönemdeki gelişimi etkilemesinden ötürü, atalarımıza ait özelliklerin bireylerde daha net bir şekilde ortaya çıkması da, bize evrimsel anlamda birçok bilgi sunmaktadır. Özellikle yüze ait niteliklerin, atalarımız ile benzerlik taşıyor olması, evrimsel biyolojinin genler üzerindeki delillerini canlı bir şekilde ortaya koymaktadır. Elbette buradan, Down sendromlu bireylerin evrimini tamamlamamış bireyler olarak anlaşılması hatalı olacaktır; zira onları "insan" yapan, bu nitelikleri değil, hücresel özellikleri ve genomlarıdır. Dolayısıyla, doğuştan kıllı doğan bir bebek ne kadar "insan-dışı" ise (ki hiç değildir), Down sendromlu bireyler de o kadar "insan-dışıdır" (ki hiç değildirler). Burada görülen, sadece belli başlı atasal özelliklerin, kromozomlarda meydana gelen değişimlerden ötürü ortaya çıkmasıdır. Bu da bize analiz için bir imkan sunar; daha fazlasını ileri sürmek, aşırıya kaçmak olacaktır.
Özellikle ayak başparmaklarının diğer parmaklardan ayrı olması, oldukça ilgi çekicidir. Çünkü biz biliyoruz ki ağaçlar üzerinde yaşadığımız zamanlarda, ayak baş parmaklarımızı da, el baş parmaklarımız kadar beceriyle kullanabilmekteydik (bu, milyonlarca yıl önce olmaktadır). Ancak sonradan, ağaç üzerindeki arboreal yaşantımızı terk ederek önce karasal yaşama, sonra bipedal (iki ayaklı) yaşama adapte olmamızla, ayaklarımız ve sonrasında parmaklarımız giderek farklılaşmış ve bugünkü yassı ve denge sağlayıcı hallerini almışlardır. Down sendromunda oluşan evrimsel geçmişin ortaya çıkışı, bu baş parmakların ayrıklığını da açıklayabilir.
Benzer şekilde yüzde gördüğümüz burun basıklığı, göz yapısı, çene yapısı, boy, en gibi özelliklerdeki farklılıklar, evrimsel geçmişimizdeki birçok tür ile paralellik göstermektedir. Dolayısıyla, 21. kromozomun fazlalığının neden olduğu bu evrimsel yavaş gelişim niteliği, bizlere atalarımıza ait ufak kesitler sunmaktadır. Ancak tekrar belirtmekte fayda vardır ki, bunların hiçbiri Down sendromlu bireylerin "az evrimleşmiş" bireyler olduğunu iddia etmemiz için yeterli değildir. Çünkü burada gördüğümüz, toplam bir gerilik değil, belli başlı özelliklerdeki, eksik gelişimlerdir. Dolayısıyla bunlar en fazla birer çeşitlilik olarak görülmelidir.
Sonuç
Down sendromlu bireylere "hastalıklı", "ucube" ya da "sorunlu" olarak yaklaşmak, yapacağımız en ciddi hata olacaktır. Çünkü sıklıkla belirttiğimiz gibi, düzgün bir şekilde yetiştirilen Down sendromlu bireyler, hiçbir dış desteğe ihtiyaç duymaksızın hayatlarını sürdürebilecek kadar kendilerini geliştirebilirler. Örneğin, normalde motor fonksiyonlar konusunda ciddi sıkıntılar çeken Down sendromlu bireylerin, eğitim sonrasında normal bireyler gibi el-göz koordinasyonuna ve motor faaliyetlere kavuştukları görülmektedir. Aşağıda, kendi mobilyalarını birleştiren Down sendromlu bir çocuk görülmektedir:

Benzer bir şekilde, zihinsel fonksiyonları üzerinde çalışılan Down sendromlu bir birey, normal çocuklar gibi puzzle yapmayı ve analitik zeka kullanmayı gerektiren işlerin başarıyla üstesinden gelmeyi sağlayabilir.
Dolayısıyla bizler, Down sendromlu bireylerin normal insanlar gibi yaşayabilecekleri standartların sağlanması konusunda çalışmalı, onların fizyoterapik ve mental eğitimlerini vermek için her türlü çabanın altına elimizi koymalıyız.
Evrim Ağacı olarak bizler, Down sendromlu bireyleri sadece bir diğer insan çeşitliliği olarak görüyor, Anadolu'da yaşayan bir insan ile Japonya'da yaşayan bir insanın arasındaki çeşitliliğin bir benzeri olarak görülmesini teşvik ediyoruz. Çünkü her birimiz, farklı yapıdaki genlerle doğuyoruz ve popülasyonun geneli, tipik bir gen grubuyla doğuyor. Bizler, dönüp buna baktığımızda, bu bireyleri "normal" olarak tanımlıyoruz. Halbuki doğa için "normal" diye bir şey bulunmamaktadır. Doğada, genlerin ve çevrenin ortak etkisiyle oluşan, geniş bir skalada özelliklerin dağıldığı bireyler bulunur ve bu bireylerin ortama adaptasyonları, evrimsel yönelimleri belirler. Doğada, her şey normaldir, her şey doğaldır. Evrimsel Biyoloji'nin bize kattığı bu anlayış, egomuzu yenmemiz ve ekolojik bütünlüğü fark etmemiz için ekstra önem taşımaktadır.
Dünya'daki her bireyin 21 Mart Down Sendromu Günü mutlu, sağlıklı ve "normal" olsun.
Evrim Ağacı'nda tek bir hedefimiz var: Bilimsel gerçekleri en doğru, tarafsız ve kolay anlaşılır şekilde Türkiye'ye ulaştırmak. Ancak tahmin edebileceğiniz gibi Türkiye'de bilim anlatmak hiç kolay bir iş değil; hele ki bir yandan ekonomik bir hayatta kalma mücadelesi verirken...
O nedenle sizin desteklerinize ihtiyacımız var. Eğer yazılarımızı okuyanların %1'i bize bütçesinin elverdiği kadar destek olmayı seçseydi, bir daha tek bir reklam göstermeden Evrim Ağacı'nın bütün bilim iletişimi faaliyetlerini sürdürebilirdik. Bir düşünün: sadece %1'i...
O %1'i inşa etmemize yardım eder misiniz? Evrim Ağacı Premium üyesi olarak, ekibimizin size ve Türkiye'ye bilimi daha etkili ve profesyonel bir şekilde ulaştırmamızı mümkün kılmış olacaksınız. Ayrıca size olan minnetimizin bir ifadesi olarak, çok sayıda ayrıcalığa erişim sağlayacaksınız.
Makalelerimizin bilimsel gerçekleri doğru bir şekilde yansıtması için en üst düzey çabayı gösteriyoruz. Gözünüze doğru gelmeyen bir şey varsa, mümkünse güvenilir kaynaklarınızla birlikte bize ulaşın!
Bu makalemizle ilgili merak ettiğin bir şey mi var? Buraya tıklayarak sorabilirsin.
Soru & Cevap Platformuna Git- 45
- 20
- 10
- 9
- 7
- 6
- 4
- 1
- 0
- 0
- 0
- 0
- J. E. Reser. (2006). Evolutionary Neuropathology And Down Syndrome: An Analysis Of The Etiological And Phenotypical Characteristics Of Down Syndrome Suggests That It May Represent An Adaptive Response To Severe Maternal Deprivation. Medical Hypotheses, sf: 474-481. | Arşiv Bağlantısı
- Peter Goward, et al. (2005). Learning Disability: A Life Cycle Approach To Valuing People. ISBN: 978-0-335-21439-6. Yayınevi: Open University Press.
- J. M. Opitz, et al. (1990). Reflections On The Pathogenesis Of Down Syndrome. American Journal of Medical Genetics, sf: 38-51. | Arşiv Bağlantısı
- G. V. Mendonca. (2014). Health Issues Among Persons With Down Syndrome, 1St Ed.. Adapted Physical Activity Quarterly, sf: 390-392. | Arşiv Bağlantısı
- Terri J. Pikora, et al. (2014). Health Conditions And Their Impact Among Adolescents And Young Adults With Down Syndrome. PLOS ONE, sf: e96868. | Arşiv Bağlantısı
- C. Genetics. (2001). Health Supervision For Children With Down Syndrome. Pediatrics, sf: 442-449. | Arşiv Bağlantısı
- E. Parens, et al. (2003). Disability Rights Critique Of Prenatal Genetic Testing: Reflections And Recommendations. Mental Retardation and Developmental Disabilities Research Reviews, sf: 40-47. | Arşiv Bağlantısı
- Marilyn J. Bull, et al. (2011). Health Supervision For Children With Down Syndrome. Pediatrics, sf: 393-406. | Arşiv Bağlantısı
- J. Calefati. College Is Possible For Students With Intellectual Disabilities | Higher Education | Us News. (13 Şubat 2009). Alındığı Tarih: 21 Mart 2019. Alındığı Yer: US News | Arşiv Bağlantısı
Evrim Ağacı'na her ay sadece 1 kahve ısmarlayarak destek olmak ister misiniz?
Şu iki siteden birini kullanarak şimdi destek olabilirsiniz:
kreosus.com/evrimagaci | patreon.com/evrimagaci
Çıktı Bilgisi: Bu sayfa, Evrim Ağacı yazdırma aracı kullanılarak 23/10/2025 04:06:50 tarihinde oluşturulmuştur. Evrim Ağacı'ndaki içeriklerin tamamı, birden fazla editör tarafından, durmaksızın elden geçirilmekte, güncellenmekte ve geliştirilmektedir. Dolayısıyla bu çıktının alındığı tarihten sonra yapılan güncellemeleri görmek ve bu içeriğin en güncel halini okumak için lütfen şu adrese gidiniz: https://evrimagaci.org/s/359
İçerik Kullanım İzinleri: Evrim Ağacı'ndaki yazılı içerikler orijinallerine hiçbir şekilde dokunulmadığı müddetçe izin alınmaksızın paylaşılabilir, kopyalanabilir, yapıştırılabilir, çoğaltılabilir, basılabilir, dağıtılabilir, yayılabilir, alıntılanabilir. Ancak bu içeriklerin hiçbiri izin alınmaksızın değiştirilemez ve değiştirilmiş halleri Evrim Ağacı'na aitmiş gibi sunulamaz. Benzer şekilde, içeriklerin hiçbiri, söz konusu içeriğin açıkça belirtilmiş yazarlarından ve Evrim Ağacı'ndan başkasına aitmiş gibi sunulamaz. Bu sayfa izin alınmaksızın düzenlenemez, Evrim Ağacı logosu, yazar/editör bilgileri ve içeriğin diğer kısımları izin alınmaksızın değiştirilemez veya kaldırılamaz.