Toksoplazmoz (T. gondii Paraziti Hastalığı)

- Hastalık Kataloğu
- Mikrobiyoloji
- Parazitoloji
Bu içerik tıp ve sağlık ile ilişkilidir. Sadece bilgi amaçlı olarak hazırlanmıştır. Bireysel bir tıbbi tavsiye olarak görülmemelidir. Evrim Ağacı'ndaki hiçbir içerik; profesyonel bir hekim tarafından verilen tıbbi tavsiyelerin, konulan bir teşhisin veya önerilen bir tedavinin yerini alacak biçimde kullanılmamalıdır.
- Türkçe Adı Toksoplazmoz (T. gondii Paraziti Hastalığı)
- OrphaNet 858
- Diğer İsimleri Toksoplazmosis, Toxoplasmosis
Genel Bilgiler: Patoloji ve Mekanizma
Toksoplazmoz, Dünya'daki en yaygın parazitlerden biri olan Toxoplasma gondii parazitinin bulaşmasıyla oluşan bir hastalıktır. Genellikle az pişmiş et, enfekte olmuş kedilerin dışkılarına dokunma veya anneden çocuğa gebelik yoluyla geçer. Bu parazitin ekolojisi, evrimi ve insanlar da dahil konağı olan hayvanlarda sebep olduğu davranışsal değişimler ile ilgili daha fazla bilgiyi buradaki yazımızdan alabilirsiniz.
Toksoplazmoz bazı insanlarda grip-benzeri belirtilerle görülür; ancak enfekte olan birçok insanda hiçbir belirti veya semptom görülmez. Enfekte olmuş annelerden doğan bebeklerde ve zayıf savunma sistemine sahip bireylerde bazı ciddi komplikasyonlar görülebilir.
Genel olarak sağlıklı iseniz ve gebe değilken size toksoplazmoz enfeksiyonu tanısı konulacak olursa herhangi bir tedavi uygulamanıza gerek olmayacaktır. Savunma sisteminiz zaten bu parazitle rahatlıkla mücadele edebilecektir ve hekiminiz genel olarak size koruyucu bazı müdahaleler önerecektir. Eğer hamileyseniz veya zayıf bir savunma sistemine sahipseniz, ciddi sorunlarla yüzleşmemek adına tedavi başlanacaktır. Bu nedenle, bu parazite karşı en iyi çare, bulaşmayı en başından önleyici önlemler almaktır.

Toxoplasma gondii Nedir?
T. gondii, kendi başına yaşayamayan ve bir konağa bağlı olarak hayatını sürdüren bir protozoandır. İnsan dahil enfekte edebildiği tüm memelilerde zorunlu hücre içi paraziti olarak yaşar. Bir parazitin aktif-inaktif hal değişimleri parazitolojide “tetikleyici” olarak adlandırılan faktörler sayesinde gerçekleşir. T. gondii de tıpkı diğer canlılar ve parazitler gibi çevresindeki değişimleri algılar ve buna tepki olarak ya metabolizmasını neredeyse durdurur ya da daha aktif hale geçerek parazitlik aktivitelerini “konuşturmaya” başlar.
T.gondii’nin tek bir formu yoktur ve bu formlar konağa ve hatta konak içerisindeki değişik konumlarda ve durumlarda bile farklılık gösterebilmektedir. Bu formlar “Trofozoit”, “Bradizoit” ve “Ookist” olarak karşımıza çıkmaktadır:
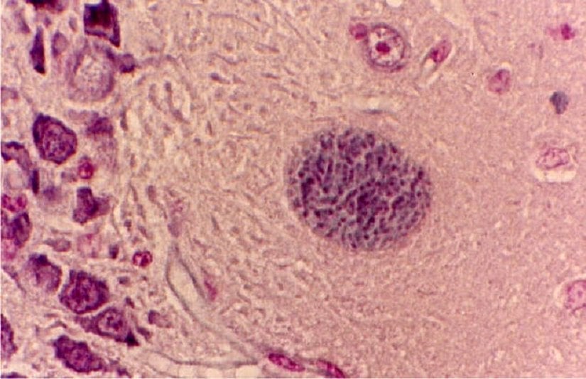
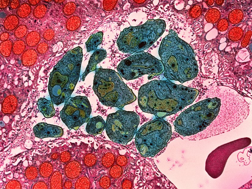
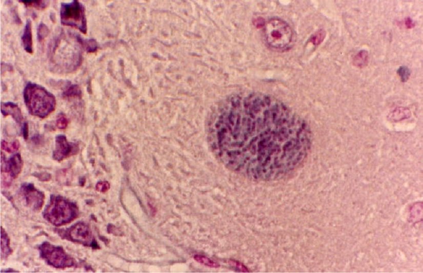
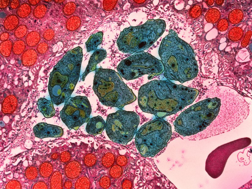
- Trofozit ışık mikroskobunda belirli işlemlere tabi tutulduktan sonra gözlenebilmektedir ve bu yapı histopatolojik olarak portakal şeklini andırmaktadır. Yaşamak ve çoğalmak için hücre içi konumlanmayı tercih etmektedir. Bu yapılar hücre sitoplazmasında ikiye bölünerek çoğalırlar ve hücre içinde rozete benzer yapılar oluşturarak hücrede koloni oluştururlar. Daha sonrasında hücre kapasitesini aşarak hücrenin patlamasına sebebiyet verirler. Bu sayede diğer hücreleri de enfekte ederler. Özellikle Merkezi Sinir Sistemi ve çizgili kas hücrelerinin etrafında kistler oluştururlar. Bunun sebebi T.gondii parazitinin “nörotropik” etkisinin yüksek olmasından kaynaklandığı düşünülmektedir. Trofozitler bazı tetikleyiciler vasıtası ile Bradizoitlere dönüşebilmektedirler.
- Bradizoitler ise genelde Trofozitlerin konağın immün sistemiyle veya antiparazitik ilaçla karşılaşması sonucunda metabolizmalarını yavaşlatıp kistik forma dönüştükleri bir yapı olarak kabul edilmektedir.
- Ookistler ise genelde ana konak tarafından bağırsağa kadar iletilerek dışkı yoluyla dışarı atılırlar ve farklı konaklara yayılırlar.
Toxoplasma gondii parazitinin birçok ara konağı olduğunu bilmekteyiz ancak bir parazitin yaşam döngüsünü tamamlayabilmesi için "kesin" ya da "ana" olarak adlandırılan spesifik bir konağı olmalıdır. T. gondii için bu ana konak evcil ve yabani kedilerdir.
Yaşam Döngüsü
Parazitin yaşam döngüsü kısaca şu şekilde ifade edilebilir; bir kedi bahsi geçen paraziti kaptığında parazit kistleri bağırsak epitel hücrelerine tutunur ve orada çoğalarak dışkı yoluyla ookist olarak dışarı atılır. Bir fare T. gondii içeren dışkı ile temas ettiğinde/yediğinde bu paraziti kapar. Parazit farenin dokularında kist oluşturarak hücreleri mesken tutar. Enfekte fare kedi tarafından yenildiğinde parazit kedinin bağırsaklarına tekrardan yerleşir ve yaşam döngüsü tamamlanmış olur.

Bulaşma Yolları
Parazitin başlıca bulaş yolları şunlardır:
- Çiğ veyahut az pişmiş kontamine hayvan etleri. Dünya Sağlık Örgütü etlerin-özellikle domuz eti- minimum 63oC (145oF ) sıcaklıkta 3 dakika boyunca pişirilmesini önermektedir. Etlerin içi kırmızıdan kahverengiye dönmelidir.
- Çiğ süt tüketilmesi.
- Çiğ yumurta tüketilmesi.
- Kontamine olmuş suların tarımda kullanılması ve buna bağlı olarak iyi yıkanmamış ve kabuğu soyulmamış sebze-meyvelerin tüketilmesi.
- Kontamine su tüketilmesi.
- Kan ve organ nakli.
- Anne adaylarının T.gondii enfeksiyonuna sahip olması ile fetüsün de aynı enfeksiyona yakalanması (Transplasental geçiş).
- Kedi dışkıları ve ölü yabani hayvanlar ile temasa geçilmesi.
Toxoplasma gondii parazitinin herhangi bir formunun ağız yolu ile yutulması, enfeksiyonun gerçekleşmesi ve vücudu mesken tutması için yeterli bir fenomendir. Yutulan parazit, gastrointestinal sistemde trofozoit formundadır ve bu haldeyken epitel hücreleri enfekte edebilir, kana sızabilir ve diğer organları da enfekte edebilir. Ulaştığı organ dokusunda latent hale geçebilir ve yıllarca asemptomatik seyrederek uykuda kalır ya da akut enfeksiyona sebebiyet verebilir ki bu da immün sistemin aktivitesine bağlıdır.
Klinik semptomlar, genelde akut veya asemptomatik izler ancak semptomatik vakalar genelde ikinci bir hastalığa sahip olan ve bu hastalık sonucunda immün sistemin zayıfladığı “immunsüpresif” kişileri kapsamaktadır.
Bunu daha rahat anlayabilmek için, AIDS hastalığına sahip bireyler örnek verilebilir. Çünkü bu hastalık dolayısıyla vücut direnci kırılmış ve immün sistem oldukça zayıf düşmüştür. Bunun sonucunda basit enfeksiyonlar bile kişinin hayatını tehdit edebilirken T.gondii enfeksiyonu da normalde asemptomatik seyrederken bu tarz bireylerde oldukça tehlikeli doku yıkımları, körlük, organ iflasları, kalp krizi, lenfodenopati, ve beyinde geniş spektrumlu hasarların sorumlusu haline gelebilmektedirler.
Aslında maddi destek istememizin nedeni çok basit: Çünkü Evrim Ağacı, bizim tek mesleğimiz, tek gelir kaynağımız. Birçoklarının aksine bizler, sosyal medyada gördüğünüz makale ve videolarımızı hobi olarak, mesleğimizden arta kalan zamanlarda yapmıyoruz. Dolayısıyla bu işi sürdürebilmek için gelir elde etmemiz gerekiyor.
Bunda elbette ki hiçbir sakınca yok; kimin, ne şartlar altında yayın yapmayı seçtiği büyük oranda bir tercih meselesi. Ne var ki biz, eğer ana mesleklerimizi icra edecek olursak (yani kendi mesleğimiz doğrultusunda bir iş sahibi olursak) Evrim Ağacı'na zaman ayıramayacağımızı, ayakta tutamayacağımızı biliyoruz. Çünkü az sonra detaylarını vereceğimiz üzere, Evrim Ağacı sosyal medyada denk geldiğiniz makale ve videolardan çok daha büyük, kapsamlı ve aşırı zaman alan bir bilim platformu projesi. Bu nedenle bizler, meslek olarak Evrim Ağacı'nı seçtik.
Eğer hem Evrim Ağacı'ndan hayatımızı idame ettirecek, mesleklerimizi bırakmayı en azından kısmen meşrulaştıracak ve mantıklı kılacak kadar bir gelir kaynağı elde edemezsek, mecburen Evrim Ağacı'nı bırakıp, kendi mesleklerimize döneceğiz. Ama bunu istemiyoruz ve bu nedenle didiniyoruz.
Belirti ve Semptomlar
Sağlıklı kişilerde hastalık herhangi bir belirti veya semptom göstermese de, bazı diğer kişilerde parazitin bulaşması sonrasında grip-benzeri şu semptomlar görülür:
- Vücut ağrısı
- Şişmiş lenf düğümleri
- Baş ağrısı
- Ateş
- Bitkinlik
Parazit, ayrıca insanların davranışlarında (özellikle de cinsel davranışlarında) değişimlere neden olabilmektedir. Bu konudaki kapsamlı bir analizi buradan okuyabilirsiniz.
Savunma Sistemi Zayıf Kişiler
Eğer HIV/AIDS durumunuz varsa, kemoterapi tedavisi görüyorsanız veya yakın geçmişte bir organ bağışı aldıysanız, eskiden Toxoplasma enfeksiyonu yaşasanız bile bunun belirtileri geri gelebilir. Bu durumda daha güçlü semptomlar deneyimleyebilirsiniz:
- Baş ağrısı
- Kafa karışıklığı
- Koordinasyon bozukluğu
- Nöbetler
- Verem-benzeri akciğer problemleri
- Görmede bulanıklık ve retinada enflamasyon (oküler toksoplazmoz)
Bebekler
Eğer gebelikten hemen önce veya hamileliğiniz sırasında parazit size bulaşırsa, bu parazitin yavrunuza geçme ihtimali bulunmaktadır. Buna doğuştan toksoplazmoz adı verilmektedir. Unutmayın ki kendinizde hiçbir semptom olmasa bile, çocuğunuza bu paraziti aktarma ihtimaliniz vardır.
Üçüncü trimesterde meydana gelen bulaşmalar, bebeğe aktarım ihtimali en yüksek olanlardır; birinci trimester ise aktarım ihtimalinin en düşük olduğu dönemdir. Ancak gebeliğin ne kadar erken döneminde parazit yavruya aktarılırsa, bebeğin sağlığına yönelik risk faktörleri de o kadar yüksek olmaktadır.
Erken dönemde meydana gelen enfeksiyonların birçoğu ölü doğum veya düşük ile sonuçlanmaktadır. Hayatta kalabilen bebeklerde de ciddi sağlık sorunları görülmektedir:
- Nöbetler
- Şişmiş karaciğer ve dalak
- Deride ve gözde sararma (sarılık)
- Ciddi göz enfeksiyonları
Toksoplazmoz olan bebeklerin çok küçük bir kısmı, doğum sırasında herhangi bir belirtiye sahiptir. Çoğu zaman yenidoğanlarda, onlu yaşlara kadar hiçbir belirti görülmez. Bu yaştan sonra çocuklarda işitme kaybı, zihinsel sorunlar ve göz enfeksiyonları görülebilir.
Hastalıkla İlişkili Etken Faktörler ve Risk Faktörleri
Hastalık, Toxoplasma gondii isimli bir parazitin insana bulaşması yoluyla görülür. Bu bulaşma çoğu zaman kediler ve kuşlardan olmaktadır. T. gondii paraziti sadece kedi dışkısıyla dış dünyaya ulaştığı için, evcil ve vahşi kediler bu parazitin insana bulaşmasındaki nihai kaynaktır. Bu konularda daha fazla bilgiyi buradan alabilirsiniz.Toksoplazmoz hastalığı bireyden bireye bulaşıcı değildir (gebelikte anneden yavruya geçiş hariç); dolayısıyla bir kişiden bu hastalığı kapamazsınız. Hastalığı şu şekillerde kapabilirsiniz:
- Parazitin bulaştığı kedi dışkılarına dokunmak. Bu illa kedi sahibi olma halinde değil, mesela bahçıvanlıkla uğraşıyorsanız kedi dışkısı bulaşmış otlara dokunma ve bu elinizi ağzınıza, burnunuza, gözlerinize dokundurma yoluyla olabilir. Ayrıca kedi dışkısını temizlemeye çalışırken de bu paraziti kapabilirsiniz.
- Parazitin bulaştığı yiyecek ve içecekleri tüketmek. Özellikle kuzu, domuz ve geyik etlerinde bu parazit sık görülmektedir. Ara sıra pastörize edilmemiş süt ürünlerinde de bu paraziti bulmak mümkündür. Temiz suya erişim olmayan bölgelerde su içinde de bu parazit bulunabilir.
- Parazitin bulaştığı bıçak, tahta ve diğer mutfak aletlerini kullanmak. Parazit, özellikle de çiğ ete dokunmuş olan mutfak aletlerine bulaşabilir. Eğer bu aletler iyi bir şekilde yıkanmazsa, parazit de yaşamını sürdürecektir.
- Yıkanmamış meyve ve sebzeleri tüketmek. Meyve ve sebzelerin yüzeylerinde bu parazite rastlamak mümkündür. Her meyve ve sebze çok iyi bir şekilde yıkanmalı veya soyulmalıdır.
- Enfekte olmuş bir organ nakli. Nadir bazı vakalarda toksosplazmoz olan bir organ veya kan nakil edilebilir.
Bu hastalık kişiye bulaştığında, vücudun hemen her yerinde kistler oluşur. Bu kistlere özellikle beyin ve kalp de dahil kas dokusunda rastlamaktayız.
Eğer genel olarak sağlıklıysanız, savunma sisteminiz bu paraziti kontrol altında tutabilecektir. Bu süreçte parazit, vücudunuzda inaktif bir durumda kalacaktır ve bu sayede ömür boyunca, doğal savunma kazanmış olursunuz - parazit sizi bir daha enfekte edemez. Ancak eğer ki vücudunuz bir ilaç veya hastalık nedeniyle savunma sistemini yitirecek olursa, enfeksiyon yeniden aktive olabilir ve söz konusu sonuçlar doğabilir.
Risk Faktörleri
Toksoplazmoz, herkeste görülebilen bir hastalıktır. Parazite Dünya'nın her yerinde rastlamak mümkündür. Ancak özellikle şu kişiler dikkatli olmalıdır:
- HIV/AIDS'li kişiler
- Kemoterapi tedavisi gören kişiler
- Steroid veya diğer savunma sistemi baskılayıcı ilaçlar alanlar
Teşhis Yöntemleri
Parazitin varlığını teşhis etmek için ELISA testiyle IgM ve IgG antikorlarına bakılmaktadır. Ayrıca Dye Testi ile IgG, ELISA testiyle IgA ve IgE gibi antikorlara da bakılabilmektedir. Dahası avidite endeksi ile de teşhis yapılabilmektedir. Ancak bu testler pahalıdır ve erken teşhis sonrası uygulanan tedavi yöntemlerinin işlevselliği son derece tartışmalıdır. Dahası, test sonuçlarına bakarak enfeksiyon olduğu sonucuna varmak da zordur; hatalı negatif oranı yüksektir.
Bu nedenle Fransa gibi ülkelerde gebelikte toksoplazmoz testi rutin olarak uygulanmaktayken, ABD'de bu uygulamada rutin değildir. Türkiye'de ise 2014 yılına kadar rutin tarama tavsiye edilmemekteydi; ancak 2014'ten sonra T. C. Sağlık Bakanlığı tarama kılavuzuna bu tarama eklendi.

Bebeklerde enfeksiyon ultrason ve amniyosentez yöntemleriyle teşhis edilebilir.

Tedaviler veya İdare Yöntemleri
Sağlıklı kişilerde tedaviye gerek yoktur. Ancak duruma bağlı olarak, aslen sıtma tedavisinde kullanılan pirimetamin (Daraprim) tedavisi önerilebilir. Folik asit baskılayıcı role sahip olan bu ilaç, B9 vitamini emiliminizi düşürebilir ve bu nedenle tedaviye ek olarak bu vitamini almanız önerilebilir. Ayrıca sulfadiyazin antibiyotik kullanımıyla da parazit öldürülür.
Görülme Sıklığı ve Dağılımı (Epidemiyoloji)
Hastalığa, Antarktika kıtası haricinde tüm Dünya'da rastlamak mümkündür. Türkiye'de 1999-2009 yılları arasında 19 ayrı makalede, erişkin bireylerde 27.429 vakadan söz edilmektedir. Aynı yıllar arasında, 24 ayrı makalede, hamileler arasında 17.203 vakadan söz edilmektedir.
Ancak gerçek sayılar muhtemelen bundan çok daha yüksektir; çünkü Dünya'daki insanların üçte birinin T. gondii parazitini taşıdığı ve enfekte insanların çok büyük bir kısmı bu paraziti taşıdıklarının farkında bile olmadığı düşünülmektedir; çünkü parazit çoğu insanın immün sistemi sayesinde baskılanmış ve uyku durumundadır.
Önlem Yöntemleri
Şu yöntemlere başvurarak kendinizi koruyabilirsiniz:
- Bahçe veya toprak işleriyle uğraşırken eldiven giyin. Eldiven giyseniz bile, bu işler bittikten sonra ellerinizi sabunlu suyla yıkayın ve ağzınıza/yüzünüze götürmeyin.
- Az pişmiş veya hiç pişmemiş et yemeyin. Evde bakılan kedilere de aynı şekilde hayvansal gıdalar verilmemelidir. Kedilerin fare ve kuş gibi parazit için ara konak olabilecek hayvanları avlamaları önlenmelidir.
- Mutfak alet edevatını iyi temizleyin. Özellikle de ete veya hayvan kanına dokunmuş olan aletlerin bulaşık makinasında sıcak suyla ve deterjanla/sabunla yıkandığından emin olun.
- Tüm meyve ve sebzelerinizi yıkayın. Özellikle de pişirmeden yiyeceğiniz meyve ve sebzelerin yıkandığından veya soyulduğundan emin olun. Soymadan önce meyveyi mutlaka yıkayın.
- Pastörize edilmemiş süt içmeyin. Pastörizasyon, paraziti öldürmektedir.
- Çocukların oyun oynadıkları kum alanlarını kedilerin erişemeyeceği şekilde kapatın. Kediler, kendi kumları yerine çocukların kum alanlarına dışkı yapabilmektedir. Bu nedenle çocuklarınızın kumlarıyla, kedilerinizinkini ayrı tutun.
- Kedi dışkıları günlük olarak uzaklaştırın.
Riskli meslek grubunda çalışan insanların alması gereken tedbirler daha detaylı olabilmektedir. Bu mesleklerden bazıları şunlardır; Hayvancılıkla uğraşanlar, çiftçiler, mezbaha çalışanları, hayvan besleyicileri, aşçılar, veteriner hekimler vs. Ayrıca daha teknik önlemlerin de alınması gerekebilir:
- İşlem görmemiş suların tüketilmesi ya da kalitesinden emin olunmayan su kaynaklarından su tüketmek ve kullanmak T.gondii dahil birçok enfeksiyon için risklidir.
- Kan transfüzyonu yapılmadan önce bütün tetkiklerin gerçekleştirilmesi gerekmektedir.
- Organ ve fekal transplantasyon işlemlerinden önce bütün tetkiklerin gerçekleştirilmesi gerekmektedir.
Risk Grubunda Olan Kedi Severlere Özel Tavsiyeler
Toxoplasma paraziti, kedilerinizi dışlamak için bir sebep olmasın! Eğer genel olarak sağlıklı bir bireyseniz, kedilerinizden korkmanıza gerek yok! Ancak hamileyseniz veya savunma sisteminiz bir sebeple zayıfsa, şunları uyguladığınızdan emin olun:
- Kedinizin sağlığına özen gösterin. Kedinizi her zaman evin içinde tutun, kuru veya konserve mamalarla besleyin. Asla çiğ et vermeyin. Kedilerinizin vahşi biçimde avlanmasına izin vermeyin; az pişmiş etlerle beslemeyin.
- Sahipsiz kedilerden veya kedi yavrularından uzak durun. Sahipsiz kedilerin iyi bir evde yaşamaya ihtiyacı olsa da, Toxoplasma analizi yapılmamış, sahipsiz kedileri doğrudan doğruya evinize almayın. Bu testlerin sonuçlarının gelmesi 1 ay kadar sürebilmektedir. Bırakın o kedileri, sağlığı yerinde olan bir başkası sahiplensin.
- Kedi kumlarınızı, risk grubunda olmayan bir başka kişiye temizletmeye çalışın. Eğer bu mümkün değilse, kedi kumunuzu değiştirirken mutlaka eldiven ve yüz maskesi takın. Sonrasında ellerinizi sabunlu suyla yıkayın. Kedi kumunuzu mutlaka her gün değiştirin.
- Köpeklerden ve diğer evcil hayvanlardan T. gondii paraziti bulaşmamaktadır; ancak bu canlılar, parazitin taşınabileceği bir yüzey görevi görebilirler. Tıpkı COVID-19 salgınında olduğu gibi... Köpekler ve dışarıda gezdirilen diğer hayvanlar, eve girdikten sonra temizlenmezse, hayvanın patilerine tutunmuş olan virüsler size bulaşabilir. Bu yüzden evde beslediğimiz hayvanların temiz olmaları ve doğru şekilde önlem alınması durumunda, herhangi bir enfeksiyondan korkmak yersizdir.
Peki Kedilerimizi Evden Uzaklaştırmalı mıyız?
Cevap kesinlikle hayır! Eğer basit birkaç kuralı uygularsanız bu parazitten korkmanız için herhangi bir sebebiniz de yok. Evlerimizde yaşayan dostlarımız da tıpkı bizler gibi viral, parazitik, bakteriyel ve fungal enfeksiyonlara yakalanabilmektedirler. Onlardan uzaklaşmak yerine gerekli tedbirlerin alınması ve tedavilerinin veteriner hekimler yardımı ile doğru bir şekilde yapılması yeterlidir.

Parazitin Kedi Dışkısında Aktivasyon ve Yaşam Süresi
Toxoplasma gondii parazitinin kedi dışkısında aktive olabilmesi için en az 24 saate, en fazla ise 5 güne ihtiyacı vardır. Dolayısıyla ilk 24 saat içinde dışkıdaki ookistlerin (parazit yavrularının) bulaşıcılığı yoktur. İşte tam da bu nedenle kedi kumunuzu en fazla 24 saatte bir değiştirmek, kedi sahiplerinin sağlıklarını korumak yolundaki en büyük adım olacaktır.
Ancak parazit bir defa aktive olduktan sonra (yani dışkı içindeki ilk 24 saat ila 5 gün geçtikten sonra), ortalama 18 ay boyunca hayatta kalabilir ve bulaşıcılığını korur. Dolayısıyla kedi dışkısını düzenli bir şekilde evinizden atmıyorsanız, parazitin size bulaşma ihtimali çok yüksek olacaktır.
Kediniz, parazit kendisine bulaştıktan sonraki 7-20 gün boyunca her gün yaklaşık 100 milyon ookisti dışkısıyla dışarı atacaktır.
Etimoloji
Parazitin ismi olan Toxoplasma, Antik Yunancadaki τόξον, yani "eğilmiş", "yay-gibi" sözcüğü ile, πλάσμα, yani "şekillendirilmiş" veya "kalıplandırılmış" sözcüklerinden türetilmiştir. Parazitin yay şeklinde eğilmiş yapısından gelmektedir. Toksoplazmoz hastalığının ismindeki -oz (İng: "-osis") soneki ise "durum", "vaziyet" demektir.
Evrim Ağacı'nda tek bir hedefimiz var: Bilimsel gerçekleri en doğru, tarafsız ve kolay anlaşılır şekilde Türkiye'ye ulaştırmak. Ancak tahmin edebileceğiniz gibi Türkiye'de bilim anlatmak hiç kolay bir iş değil; hele ki bir yandan ekonomik bir hayatta kalma mücadelesi verirken...
O nedenle sizin desteklerinize ihtiyacımız var. Eğer yazılarımızı okuyanların %1'i bize bütçesinin elverdiği kadar destek olmayı seçseydi, bir daha tek bir reklam göstermeden Evrim Ağacı'nın bütün bilim iletişimi faaliyetlerini sürdürebilirdik. Bir düşünün: sadece %1'i...
O %1'i inşa etmemize yardım eder misiniz? Evrim Ağacı Premium üyesi olarak, ekibimizin size ve Türkiye'ye bilimi daha etkili ve profesyonel bir şekilde ulaştırmamızı mümkün kılmış olacaksınız. Ayrıca size olan minnetimizin bir ifadesi olarak, çok sayıda ayrıcalığa erişim sağlayacaksınız.
Makalelerimizin bilimsel gerçekleri doğru bir şekilde yansıtması için en üst düzey çabayı gösteriyoruz. Gözünüze doğru gelmeyen bir şey varsa, mümkünse güvenilir kaynaklarınızla birlikte bize ulaşın!
Bu makalemizle ilgili merak ettiğin bir şey mi var? Buraya tıklayarak sorabilirsin.
Soru & Cevap Platformuna Git- 19
- 14
- 8
- 6
- 5
- 5
- 4
- 4
- 0
- 0
- 0
- 0
- J. Flegr. (2017). Does Toxoplasma Infection Increase Sexual Masochism And Submissiveness? Yes And No. Communicative & Integrative Biology, sf: 5-6. | Arşiv Bağlantısı
- F. Robert-Gangneux, et al. (2012). Epidemiology Of And Diagnostic Strategies For Toxoplasmosis. Clinical Microbiology Reviews, sf: 264-296. | Arşiv Bağlantısı
- J. Flegr. (2017). Effects Of Toxoplasma On Human Behavior. Schizophrenia Bulletin, sf: 757-760. | Arşiv Bağlantısı
- B. Thomas. Meet The Parasites That Control Human Brains. (29 Ekim 2015). Alındığı Tarih: 31 Ağustos 2019. Alındığı Yer: Discover Magazine | Arşiv Bağlantısı
- BEC Crew. We Finally Know How The 'Mind-Altering' Cat Parasite Controls Our Immune Response. (28 Kasım 2016). Alındığı Tarih: 31 Ağustos 2019. Alındığı Yer: Science Alert | Arşiv Bağlantısı
- BEC Crew. There's Little Evidence That The Infamous 'Cat Parasite' Causes Psychological Changes In Humans, Study Finds. (22 Şubat 2016). Alındığı Tarih: 31 Ağustos 2019. Alındığı Yer: Science Alert | Arşiv Bağlantısı
- CDC. Parasites - Toxoplasmosis (Toxoplasma Infection). (29 Ağustos 2018). Alındığı Tarih: 31 Ağustos 2019. Alındığı Yer: CDC | Arşiv Bağlantısı
- E. F. Torrey, et al. (2007). Antibodies To Toxoplasma Gondii In Patients With Schizophrenia: A Meta-Analysis. Schizophrenia Bulletin, sf: 729-736. doi: 10.1093/schbul/sbl050. | Arşiv Bağlantısı
- D. G. Goodwin, et al. (2011). Evaluation Of Five Antischizophrenic Agents Against Toxoplasma Gondii In Human Cell Cultures. Journal of Parasitology, sf: 148-151. doi: 10.1645/GE-2536.1. | Arşiv Bağlantısı
- J. P. Webster. (2007). The Effect Of Toxoplasma Gondii On Animal Behavior: Playing Cat And Mouse. Schizophrenia Bulletin, sf: 752-756. doi: 10.1093/schbul/sbl073. | Arşiv Bağlantısı
- E. A. Gaskell, et al. (2009). A Unique Dual Activity Amino Acid Hydroxylase In Toxoplasma Gondii. PLOS ONE, sf: e4801. doi: 10.1371/journal.pone.0004801. | Arşiv Bağlantısı
- E. Prandovszky, et al. (2011). The Neurotropic Parasite Toxoplasma Gondii Increases Dopamine Metabolism. PLOS ONE, sf: e23866. doi: 10.1371/journal.pone.0023866. | Arşiv Bağlantısı
- J. P. Webster, et al. (2006). Parasites As Causative Agents Of Human Affective Disorders? The Impact Of Anti-Psychotic, Mood-Stabilizer And Anti-Parasite Medication On Toxoplasma Gondii's Ability To Alter Host Behaviour. Proceedings of the Royal Society B: Biological Sciences. | Arşiv Bağlantısı
- I. Reiter-Owona, et al. (2000). Is Stage Conversion The Initiating Event For Reactivation Of Toxoplasma Gondii In Brain Tissue Of Aids Patients?. Journal of Parasitology, sf: 531-536. doi: 10.1645/0022-3395(2000)086[0531:ISCTIE]2.0.CO;2. | Arşiv Bağlantısı
- F. K. Conley, et al. (1981). Immunohistological Study Of The Anatomic Relationship Of Toxoplasma Antigens To The Inflammatory Response In The Brains Of Mice Chronically Infected With Toxoplasma Gondii.. Infection and Immunity, sf: 1184-1192. | Arşiv Bağlantısı
- A. L. Sutterland, et al. (2019). Driving Us Mad: The Association Of Toxoplasma Gondii With Suicide Attempts And Traffic Accidents – A Systematic Review And Meta-Analysis. Psychological Medicine, sf: 1608-1623. doi: 10.1017/S0033291719000813. | Arşiv Bağlantısı
- Ç. Kılınç. (2015). Toxoplasma And Cytomegalovirus Seroprevalence In Pregnant Women In Amasya District. Euro Journal Health Science, sf: 72-75. | Arşiv Bağlantısı
- Mayo Clinic. Toxoplasmosis. (3 Ekim 2017). Alındığı Tarih: 11 Eylül 2019. Alındığı Yer: Mayo Clinic | Arşiv Bağlantısı
- AVMA. Toxoplasmosis. (11 Eylül 2019). Alındığı Tarih: 11 Eylül 2019. Alındığı Yer: AVMA | Arşiv Bağlantısı
- A. Arı. Gebelerde Toksoplazma Enfeksiyonu. (11 Eylül 2019). Alındığı Tarih: 11 Eylül 2019. Alındığı Yer: tuseb | Arşiv Bağlantısı
Evrim Ağacı'na her ay sadece 1 kahve ısmarlayarak destek olmak ister misiniz?
Şu iki siteden birini kullanarak şimdi destek olabilirsiniz:
kreosus.com/evrimagaci | patreon.com/evrimagaci
Çıktı Bilgisi: Bu sayfa, Evrim Ağacı yazdırma aracı kullanılarak 07/10/2025 04:12:35 tarihinde oluşturulmuştur. Evrim Ağacı'ndaki içeriklerin tamamı, birden fazla editör tarafından, durmaksızın elden geçirilmekte, güncellenmekte ve geliştirilmektedir. Dolayısıyla bu çıktının alındığı tarihten sonra yapılan güncellemeleri görmek ve bu içeriğin en güncel halini okumak için lütfen şu adrese gidiniz: https://evrimagaci.org/s/5522
İçerik Kullanım İzinleri: Evrim Ağacı'ndaki yazılı içerikler orijinallerine hiçbir şekilde dokunulmadığı müddetçe izin alınmaksızın paylaşılabilir, kopyalanabilir, yapıştırılabilir, çoğaltılabilir, basılabilir, dağıtılabilir, yayılabilir, alıntılanabilir. Ancak bu içeriklerin hiçbiri izin alınmaksızın değiştirilemez ve değiştirilmiş halleri Evrim Ağacı'na aitmiş gibi sunulamaz. Benzer şekilde, içeriklerin hiçbiri, söz konusu içeriğin açıkça belirtilmiş yazarlarından ve Evrim Ağacı'ndan başkasına aitmiş gibi sunulamaz. Bu sayfa izin alınmaksızın düzenlenemez, Evrim Ağacı logosu, yazar/editör bilgileri ve içeriğin diğer kısımları izin alınmaksızın değiştirilemez veya kaldırılamaz.