Manipülasyon Hipotezi ve Paraziter Manipülasyon: Plasmodium Cinsi Sıtma Paraziti, Anopheles Cinsi Sivrisinekleri Nasıl Kontrol Ediyor?
Derinizin biyokimyası, sivrisineklerin sizi tercih etmesine neden olabilir. Bu da, sıtmaya yakalanma riskini doğrudan etkilemektedir. Bu süreç nasıl evrimleşti?

Bu Makalede Neler Öğreneceksiniz?
- Explain how malaria parasites manipulate host behavior by altering volatile organic compounds and skin microbiota to increase mosquito attraction.
- Describe how Plasmodium falciparum slows host activities during the non-infective ookinete stage to reduce mosquito mortality risk.
- Report studies showing mosquitoes prefer humans carrying infective sporozoite stages, increasing malaria transmission efficiency.
Parazitler, uygun konak türlerine bulaşmayı artırmak ve yaşam döngülerini tamamlayabilmek için, konak davranışlarını değiştirebilir. Manipülasyon hipotezi olarak da adlandırılan bu fenomenin kanıtları; Toxoplasma gondii, Dicrocoelium dendriticum ve Diplostomum pseudospathaceum gibi birçok parazit türünde çalışılmış ve konuyla ilgili bir takım veriler ortaya çıkartılmıştır. Bu fenomenden faydalanan parazitlerden biri de, her yıl milyonlarca insanı etkileyen, sıtma (İng: "malaria") etkenleridir.
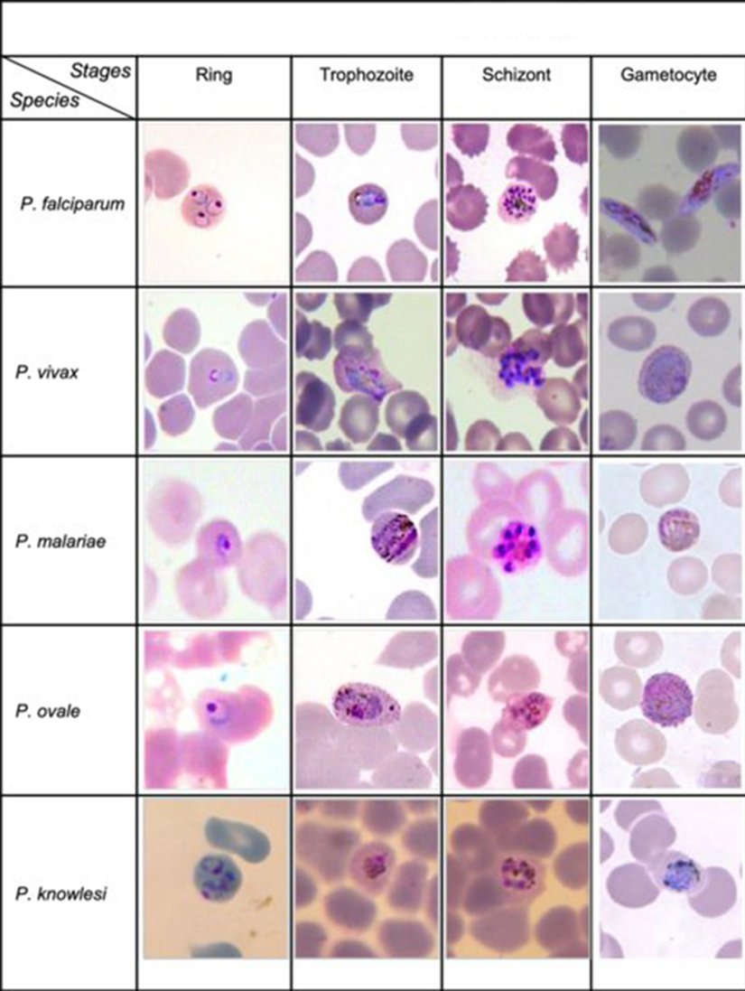
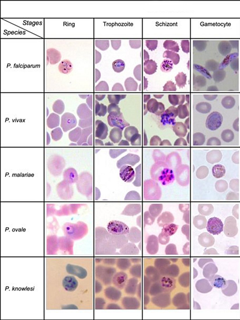
Sıtma, Plasmodium cinsi içerisinde sınıflandırılan Apicomplexan protozoonlardan kaynaklı, memeli ve omurgalılarda şekillenen paraziter bir enfeksiyondur. İnsanlarda Plasmodium falciparum, P. malariae, P. vivax, P. ovale ve P. knowlesi türleri enfeksiyona neden olurken, Anopheles türleri de vektörlük yapmaktadır.
Anopheles sivrisinekleri, sıtma ile enfekte bireyleri (özellikle gametositleri veya parazit sinyal metabolitlerini taşıyan konakları), enfekte olmayan bireylere göre daha sık tercih ederler. Manipülasyon hipotezine göre bunun iki farklı nedeni olduğu düşünülmektedir.
- Uçucu organik bileşikler (VOC, Volatile Organic Compounds)
- Deri mikrobiyatası
Bu hipoteze göre, sıtma parazitleri/etkenleri, bulundukları konakların beslenme ve uçma gibi hayati davranışlarını yavaşlatarak, enfektif dönem öncesi, yani etken ookist aşamasındayken sivrisineğin (vektör: Anopheles spp.) yaşamsal faaliyetleri sırasında taşıdığı ölüm riskini azaltır. Paraziter etken, enfektif form olan sporozoit dönemine ulaştığında ise, vektör sivrisinekler beslenme oranını artırarak etkeni sonkonak olan insana kan emme yoluyla aktarırlar.
Sivrisineklerin beslenme davranışları, sadece parazitin varlığına değil, aynı zamanda parazitin gelişim aşamalarına da duyarlıdır.
Uçucu Organik Bileşikler
Emami ve arkadaşlarının yaptığı çalışmada, uçucu organik bileşiklerin artan salınımına bağlı olarak, Plasmodium falciparum metaboliti içeren kanın, etken veya metabolitleri içermeyen kana göre, sivrisinekleri daha fazla cezbettiği görülmüştür.[1]
Lacroix ve arkadaşları tarafından Kenya'da yapılan çalışmada ise, P. falciparum'un gametositlerini barındıran çocuklar, enfekte olmayan veya parazitin enfektif formunu taşımayan çocuklara kıyasla yaklaşık iki kat daha fazla sivrisinek saldırılarına maruz kaldığı ortaya çıkarılmıştır.[2]
Vantaux ve arkadaşları tarafından yapılan çalışmada enfektif form olan sporozoitleri taşıyan Anopheles cinsi sivrisineklerin, sıtma etkeni için sonkonak insanları seçme olasılığının, enfekte olmayan veya ookist formunu taşıyan sivrisineklere göre %24 daha fazla olduğunu ortaya çıkarılmıştır.[3]
Sivrisinekler bu yönelimi sadece parazitin sonkonağı olan insan varlığında göstermektedir. Konak seçimi, sivrisinek için önemli olmayabilir; ancak Plasmodium falciparum sadece hominidlerde veya yakın akraba primatlarda gelişimini tamamlayabilmektedir. Vantaux ve arkadaşları, bu %24 artışın sonuçlarını daha iyi ifade edebilmek için matematiksel bir modelden de faydalanmışlardır. Sonuç olarak, 15 günlük yaşam süresine sahip bu sivrisineklerin sporozoit taşıyan ve taşımayanlar arasında bir karşılaştırma yapılmış, enfekte olmayan sinekler 4 kez insanları ısırırken enfekte olanlar ise 14 kez ısırmışlardır. Bu da enfeksiyonun, bulaştırıcı ısırık sayısını %250 yükselttiğini göstermektedir. Daha uzun bir yaşam süresine sahip sivrisinek türlerinde bulaştırıcı ısırık sayıları daha da fazla olacaktır.

Deri Mikrobiyotası
Deride bulunan mikroorganizmaların ter bileşenlerini sivrisinekleri cezbeden uçucu organik bileşiklere dönüştürdüğü bilinmektedir. Penn ve Potts, bu veriye dayanarak sıtma parazitleri ile enfekte olunduğu durumlarda, vektörler tarafından sonkonak olan insanlara karşı da bir duyarlılık olabileceğini öne sürmüşlerdir. Yaptıkları çalışmada, vektörler için cezbedici konakların deri mikrobiyatası yoğunken, cezbetmeyen konaklarda ise tam tersi bir durum söz konusudur. Staphylococcus spp sağlıklı insanlarda cezbedicilik ile pozitif olarak ilişkili iken, Pseudomonas spp için tam tersi durum tespit edilmiştir.[7] Sıtma etkenlerini enfekte konağın deri bakteri profilini, enfekte olmayanlara göre daha fazla Staphylococcus spp barındıracak şekilde değiştirmesi bu hipoteze desteklemektedir.
Verhulst ve arkadaşlarının insanlar üzerinde yaptığı çalışmada ise, bakteri kaynaklı uçucu organik bileşiklerin (VOC) Plasmodium enfeksiyonu ile ilişkili olduğu dair kanıtlar tespit edilmiştir.[8] İnsan derisine ait koku örnekleri, P. falciparum ile kontrollü enfeksiyon (öncesinde, sırasında ve sonrasında) boyunca üç ayrı zaman periyodunda analiz edilmiştir. Sonuçlar, bakteri kaynaklı uçucu organik bileşiklerin, Anopheles sivrisineklerinin Plasmodium ile enfekte insanlara yönelik konak arama davranışını yönlendirdiğini destekler niteliktedir. Bu uçucu organik bileşikler, Anofeles gambiae için cezbedicidir ve bu da sıtmayla enfekte olmuş konakların vektörler tarafından tespit edilmesine aracılık etmede deri mikrobiyatasının potansiyel rolünü göstermektedir.
Aslında maddi destek istememizin nedeni çok basit: Çünkü Evrim Ağacı, bizim tek mesleğimiz, tek gelir kaynağımız. Birçoklarının aksine bizler, sosyal medyada gördüğünüz makale ve videolarımızı hobi olarak, mesleğimizden arta kalan zamanlarda yapmıyoruz. Dolayısıyla bu işi sürdürebilmek için gelir elde etmemiz gerekiyor.
Bunda elbette ki hiçbir sakınca yok; kimin, ne şartlar altında yayın yapmayı seçtiği büyük oranda bir tercih meselesi. Ne var ki biz, eğer ana mesleklerimizi icra edecek olursak (yani kendi mesleğimiz doğrultusunda bir iş sahibi olursak) Evrim Ağacı'na zaman ayıramayacağımızı, ayakta tutamayacağımızı biliyoruz. Çünkü az sonra detaylarını vereceğimiz üzere, Evrim Ağacı sosyal medyada denk geldiğiniz makale ve videolardan çok daha büyük, kapsamlı ve aşırı zaman alan bir bilim platformu projesi. Bu nedenle bizler, meslek olarak Evrim Ağacı'nı seçtik.
Eğer hem Evrim Ağacı'ndan hayatımızı idame ettirecek, mesleklerimizi bırakmayı en azından kısmen meşrulaştıracak ve mantıklı kılacak kadar bir gelir kaynağı elde edemezsek, mecburen Evrim Ağacı'nı bırakıp, kendi mesleklerimize döneceğiz. Ama bunu istemiyoruz ve bu nedenle didiniyoruz.
Bununla birlikte bakterilerin vektörler üzerindeki etkilerini ortaya çıkarmada moleküler teknikler kullanılarak, enfekte olanlar ve olmayanlar arasında ya da enfeksiyon öncesi ve sonrası arasındaki deri mikrobiyota profil farklılıklarını ortaya çıkarmak için daha fazla araştırmaya ihtiyaç vardır.

Enfekte omurgalı konağa karşı artan vektör cezbediciliği/duyarlılığı, konak-vektör temasını artırdığı için parazite evrimsel bir avantaj sağlayacaktır ve bu da muhtemelen bulaşma şansını artıracaktır. Eğer böyle bir fenomen olmasaydı, parazitin henüz enfektif formunu taşımayan vektörler, omurgalı hayvanların saldırılarına maruz kalma veya omurgalılar tarafından öldürülme gibi risklere maruz kalacak, bu da sıtma etkeni için dezavantajlı bir durum olacaktır.
Bu sonuçlardan epidemiyolojik tahmin ve hastalık yönetimi için önemli çıkarımlar yapılabilir. Halk sağlığı stratejileri, sporozoit ile enfekte sivrisinekleri tuzağa düşürmenin yolları, sonkonak olan insanları bulmak için kullandıkları yönelimleri taklit etme veya henüz bulaşıcı olmayan Plasmodium etkenleri barındıran sivrisineklerin davranışlarını tanımlamanın ve onları ısırmadan önce tuzağa düşürmenin olası yollarına odaklanabilir.
Evrim Ağacı'nda tek bir hedefimiz var: Bilimsel gerçekleri en doğru, tarafsız ve kolay anlaşılır şekilde Türkiye'ye ulaştırmak. Ancak tahmin edebileceğiniz gibi Türkiye'de bilim anlatmak hiç kolay bir iş değil; hele ki bir yandan ekonomik bir hayatta kalma mücadelesi verirken...
O nedenle sizin desteklerinize ihtiyacımız var. Eğer yazılarımızı okuyanların %1'i bize bütçesinin elverdiği kadar destek olmayı seçseydi, bir daha tek bir reklam göstermeden Evrim Ağacı'nın bütün bilim iletişimi faaliyetlerini sürdürebilirdik. Bir düşünün: sadece %1'i...
O %1'i inşa etmemize yardım eder misiniz? Evrim Ağacı Premium üyesi olarak, ekibimizin size ve Türkiye'ye bilimi daha etkili ve profesyonel bir şekilde ulaştırmamızı mümkün kılmış olacaksınız. Ayrıca size olan minnetimizin bir ifadesi olarak, çok sayıda ayrıcalığa erişim sağlayacaksınız.
Makalelerimizin bilimsel gerçekleri doğru bir şekilde yansıtması için en üst düzey çabayı gösteriyoruz. Gözünüze doğru gelmeyen bir şey varsa, mümkünse güvenilir kaynaklarınızla birlikte bize ulaşın!
Bu makalemizle ilgili merak ettiğin bir şey mi var? Buraya tıklayarak sorabilirsin.
Soru & Cevap Platformuna Git- 2
- 2
- 2
- 1
- 1
- 0
- 0
- 0
- 0
- 0
- 0
- 0
- ^ S. N. Emami, et al. (2020). Can Plasmodium’s Tricks For Enhancing Its Transmission Be Turned Against The Parasite? New Hopes For Vector Control. Pathogens and Global Health, sf: 325-335. doi: 10.1080/20477724.2019.1703398. | Arşiv Bağlantısı
- ^ L. J. Cator, et al. (2012). Do Malaria Parasites Manipulate Mosquitoes?. Trends in Parasitology, sf: 466-470. doi: 10.1016/j.pt.2012.08.004. | Arşiv Bağlantısı
- ^ A. Vantaux, et al. (2018). Field Evidence For Manipulation Of Mosquito Host Selection By The Human Malaria Parasite, Plasmodium Falciparum. bioRxiv, sf: 207183. doi: 10.1101/207183. | Arşiv Bağlantısı
- A. O. Busula, et al. (2017). Mechanisms Of Plasmodium-Enhanced Attraction Of Mosquito Vectors. Trends in parasitology, sf: 961-973. doi: 10.1016/j.pt.2017.08.010. | Arşiv Bağlantısı
- N. Dumanlı, et al. (2010). Veteriner Protozooloji. Yayınevi: Medisan Yayınevi. sf: 163-181.
- M. A. Özcel. (1999). Sıtma, Malaria. Yayınevi: Türkiye Parazitoloji Derneği.
- ^ D. Penn, et al. (1998). How Do Major Histocompatibility Complex Genes Influence Odor And Mating Preferences?. Academic Press, sf: 411-436. doi: 10.1016/S0065-2776(08)60612-4. | Arşiv Bağlantısı
- ^ N. O. Verhulst, et al. (2009). Cultured Skin Microbiota Attracts Malaria Mosquitoes. Malaria Journal, sf: 1-12. doi: 10.1186/1475-2875-8-302. | Arşiv Bağlantısı
Evrim Ağacı'na her ay sadece 1 kahve ısmarlayarak destek olmak ister misiniz?
Şu iki siteden birini kullanarak şimdi destek olabilirsiniz:
kreosus.com/evrimagaci | patreon.com/evrimagaci
Çıktı Bilgisi: Bu sayfa, Evrim Ağacı yazdırma aracı kullanılarak 22/10/2025 08:10:40 tarihinde oluşturulmuştur. Evrim Ağacı'ndaki içeriklerin tamamı, birden fazla editör tarafından, durmaksızın elden geçirilmekte, güncellenmekte ve geliştirilmektedir. Dolayısıyla bu çıktının alındığı tarihten sonra yapılan güncellemeleri görmek ve bu içeriğin en güncel halini okumak için lütfen şu adrese gidiniz: https://evrimagaci.org/s/9601
İçerik Kullanım İzinleri: Evrim Ağacı'ndaki yazılı içerikler orijinallerine hiçbir şekilde dokunulmadığı müddetçe izin alınmaksızın paylaşılabilir, kopyalanabilir, yapıştırılabilir, çoğaltılabilir, basılabilir, dağıtılabilir, yayılabilir, alıntılanabilir. Ancak bu içeriklerin hiçbiri izin alınmaksızın değiştirilemez ve değiştirilmiş halleri Evrim Ağacı'na aitmiş gibi sunulamaz. Benzer şekilde, içeriklerin hiçbiri, söz konusu içeriğin açıkça belirtilmiş yazarlarından ve Evrim Ağacı'ndan başkasına aitmiş gibi sunulamaz. Bu sayfa izin alınmaksızın düzenlenemez, Evrim Ağacı logosu, yazar/editör bilgileri ve içeriğin diğer kısımları izin alınmaksızın değiştirilemez veya kaldırılamaz.