İnflamasyon Nedir? İnsan Vücudunda Neden Ateş Çıkar?

- Çeviri
- Mikrobiyoloji
Bu içerik tıp ve sağlık ile ilişkilidir. Sadece bilgi amaçlı olarak hazırlanmıştır. Bireysel bir tıbbi tavsiye olarak görülmemelidir. Evrim Ağacı'ndaki hiçbir içerik; profesyonel bir hekim tarafından verilen tıbbi tavsiyelerin, konulan bir teşhisin veya önerilen bir tedavinin yerini alacak biçimde kullanılmamalıdır.
Bu Makalede Neler Öğreneceksiniz?
- Define inflammation as a biological process triggered by cell damage or pathogen invasion activating chemical and cellular responses.
- Describe acute inflammation as the rapid response to tissue injury involving vasoconstriction followed by vasodilation and increased vascular permeability.
- Explain how mast cells release histamine to increase blood flow and vascular permeability, causing redness, swelling, heat, pain, and functional changes.
İnflamatuar yanıt veya inflamasyon (iltihap); hücreler hasar görmeleri nedeniyle strese girdiğinde veya patojenler doğuştan gelen bağışıklık sisteminin fiziksel bariyerini aşmayı başardığında ortaya çıkabilen bir biyolojik süreçtir. Bir dizi kimyasal aracı ve hücresel yanıt tarafından tetiklenir. İnflamasyon tipik olarak yaralanma veya hastalığın olumsuz sonuçlarıyla ilişkilendirilse de patojenleri ortadan kaldırmak, hasarlı ve ölü hücreleri uzaklaştırmak ve onarım mekanizmalarını başlatmak için gereken hücresel savunmaların devreye girmesine izin verdiği ölçüde gerekli bir süreçtir. Ancak aşırı inflamasyon, lokal doku hasarına yol açabilir ve ciddi vakalarda ölümcül bile olabilir.
Akut İnflamasyon Nedir?
Doku yaralanmalarında mümkün olduğunda hızla verilen yanıt akut inflamasyondur. Bir yaralanmanın hemen ardından kan kaybını en aza indirmek için vazokonstriksiyon gerçekleşir. Kan damarlarında gerçekleşen vazokonstriksiyonun miktarı, vasküler hasarın miktarıyla ilişkilidir, ancak vazokonstriksiyon genellikle kısa sürelidir.
Vazokonstriksiyonu, yerleşik mast hücrelerinden histamin salınımının doğrudan bir sonucu olarak vazodilatasyon ve artmış vasküler geçirgenlik takip eder. Bunlar, ayrıca inflamatuar yanıtla ilişkili beş gözlemlenebilir belirtiye de katkıda bulunurlar:
- Eritem (kızarıklık),
- Ödem (şişme),
- Sıcaklık,
- Ağrı,
- İşlevde değişiklik.
Vazodilatasyon ve artmış vasküler geçirgenlik de yaralanma ve/veya enfeksiyon bölgesinde fagosit artışı ile ilişkilidir. Fagositler hasarlı hücrelerden salınan hücresel tehlike sinyalleri, PAMP'ler veya patojenlerin yüzeyindeki opsoninler tarafından aktive edildiklerinde proinflamatuar kimyasallar salgılayabildikleri için bu durum inflamatuar yanıtı artırabilir. Kompleman (tamamlayıcı) sisteminin aktivasyonu, anafilatoksin C5a üretimi yoluyla inflamatuar yanıtı daha da artırabilir. Aşağıdaki şekil, bir cilt yarası bölgesinde tipik bir akut inflamasyon vakasını göstermektedir.

İnflamasyon esnasında bradikinin salınımı; kılcal damarların genişlemesine, dokuların sıvı ile dolmasına ve ödem oluşmasına neden olur. Patojenlerle savaşmak için bölgeye artan sayıda nötrofil toplanır. Mücadele devam ederken nötrofiller; ölü hücreler, doku sıvıları ve lenflerin birikiminden iltihap oluşur. Tipik olarak, birkaç gün sonra makrofajlar bu irinin temizlenmesine yardımcı olacaktır. Sonunda, yaralı bölgede doku onarımı başlayabilir.
Kronik İnflamasyon Nedir?
Akut inflamasyon bulaşıcı bir patojeni temizleyemediğinde kronik inflamasyon meydana gelebilir. Bu durum genellikle konak organizma ile patojen arasında devam eden (ve bazen sonuçsuz kalabilen), akut inflamasyondan daha düşük seviyeli bir savaşla sonuçlanır. Yaralı bölge yüzeysel düzeyde iyileşebilir ancak patojenler daha derin dokularda hala mevcut olabilir ve inflamasyonun devam etmesini tetikleyebilir. Ayrıca kronik inflamasyon, Alzheimer ve Parkinson gibi dejeneratif nörolojik hastalıkların, kalp hastalıklarının ve metastatik kanserin ilerlemesinde rol oynayabilir.
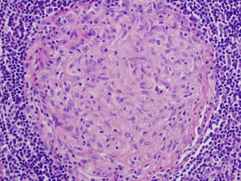
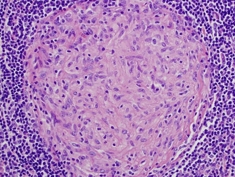
Kronik inflamasyon granülom oluşumuna yol açabilir. Granülomlar enfekte dokunun WBC'lerle çevrilmesinden oluşan keseciklerdir. Makrofajlar ve diğer fagositler granülom içindeki patojenleri ve ölü hücresel materyalleri ortadan kaldırmak için bir savaş verseler de başarılı olamazlar. Kronik inflamasyon üreten hastalıklara bir örnek, akciğer dokularında granülom oluşumuna neden olan tüberkülozdur. Tüberküloz granülomuna tüberkül denir.
Kronik inflamasyon sadece bakteriyel enfeksiyonlarla ilişkili değildir. Kronik inflamasyon, viral enfeksiyonlardan kaynaklanan doku hasarının da önemli bir nedeni olabilir. Hepatit C enfeksiyonları ve karaciğer sirozunda gözlenen geniş yara izleri kronik inflamasyonun sonucudur.

Kronik Ödem
Granülomlara ek olarak, kronik inflamasyon da uzun süreli ödemle sonuçlanabilir. Lenfatik Filariasis (fil hastalığı olarak da bilinir) olarak bilinen bir durum buna uç bir örnek teşkil eder. Lenfatik filariasise, larvaları sivrisinekler tarafından insan konakçılar arasında taşınan mikroskobik nematodlar (parazitik solucanlar) neden olur.
Yetişkin solucanlar lenfatik damarlarda yaşar ve buradaki varlıkları lenfositler, plazma hücreleri, eozinofiller ve trombositler tarafından infiltrasyonu tetikler. Hastalığın kronik doğası nedeniyle granülomlar oluşabilir, ayrıca fibrozis ve lenfatik sistemin tıkanması gözlenebilir.
Bu tıkanıklıklar onlarca yıl boyunca tekrarlanan enfeksiyonlarla daha da kötüleşebilir, ödem ve fibrozis ile kalınlaşmış cilde yol açabilir. Lenf (hücre dışı doku sıvısı), lenfatik alanlardan dışarı ve dokulara geri akarak aşırı şişmeye neden olabilir. Bunu genellikle ikincil bakteriyel enfeksiyonlar takip eder. Bir parazitin neden olduğu bir hastalık olduğu için, eozinofili (kandaki eozinofil sayısında aşırı artış) akut enfeksiyonun karakteristik özelliğidir. Ancak antiparazit granülositlerdeki bu artış birçok vakada enfeksiyonu temizlemek için yeterli değildir.
Aslında maddi destek istememizin nedeni çok basit: Çünkü Evrim Ağacı, bizim tek mesleğimiz, tek gelir kaynağımız. Birçoklarının aksine bizler, sosyal medyada gördüğünüz makale ve videolarımızı hobi olarak, mesleğimizden arta kalan zamanlarda yapmıyoruz. Dolayısıyla bu işi sürdürebilmek için gelir elde etmemiz gerekiyor.
Bunda elbette ki hiçbir sakınca yok; kimin, ne şartlar altında yayın yapmayı seçtiği büyük oranda bir tercih meselesi. Ne var ki biz, eğer ana mesleklerimizi icra edecek olursak (yani kendi mesleğimiz doğrultusunda bir iş sahibi olursak) Evrim Ağacı'na zaman ayıramayacağımızı, ayakta tutamayacağımızı biliyoruz. Çünkü az sonra detaylarını vereceğimiz üzere, Evrim Ağacı sosyal medyada denk geldiğiniz makale ve videolardan çok daha büyük, kapsamlı ve aşırı zaman alan bir bilim platformu projesi. Bu nedenle bizler, meslek olarak Evrim Ağacı'nı seçtik.
Eğer hem Evrim Ağacı'ndan hayatımızı idame ettirecek, mesleklerimizi bırakmayı en azından kısmen meşrulaştıracak ve mantıklı kılacak kadar bir gelir kaynağı elde edemezsek, mecburen Evrim Ağacı'nı bırakıp, kendi mesleklerimize döneceğiz. Ama bunu istemiyoruz ve bu nedenle didiniyoruz.
Lenfatik filariasis, çoğunlukla Afrika ve Asya'da yoğunlaşmak üzere dünya çapında tahminen 120 milyon insanı etkilemektedir. İyileştirilmiş sağlık önlemleri ve sivrisinek kontrolü bulaşma oranlarını azaltabilir.

Ateş Nedir?
Ateş, enfeksiyon bölgesinin ötesine uzanan ve tüm vücudu etkileyerek vücut ısısında genel bir artışa neden olan inflamatuar bir yanıttır. Vücut ısısı normalde, vücuttaki homeostazın korunması için işlev gören hipotalamus tarafından düzenlenir ve korunur. Bununla birlikte, bazı bakteriyel veya viral enfeksiyonlar, vücut ısısını yükseltmek ve ateşe neden olmak için hipotalamusun "termostat ayarını" etkili bir şekilde değiştiren kimyasallar olan pirojenlerin üretimiyle sonuçlanabilir. Pirojenler eksojen veya endojen olabilir.
Örneğin, gram-negatif bakteriler tarafından üretilen endotoksin lipopolisakkarit (LPS), lökositleri interlökin-1 (IL-1), IL-6, interferon-γ (IFN-γ) ve tümör nekroz faktörü (TNF) gibi endojen pirojenleri salmaya teşvik edebilen eksojen bir pirojendir. Aşamalı bir etkiyle bu moleküller daha sonra diğer hücrelerden prostaglandin E2 (PGE2) salınımına yol açarak hipotalamusu ateşi başlatmak üzere sıfırlayabilir.

Diğer inflamasyon türleri gibi, ateş de patojenleri öldürmek için lökositleri uyararak doğuştan gelen bağışıklık savunmasını güçlendirir. Vücut sıcaklığındaki artış birçok patojenin büyümesini de engelleyebilir çünkü insan patojenleri mezofil olup optimum büyümeleri 35 °C civarında gerçekleşir. Buna ek olarak, bazı çalışmalar ateşin karaciğerden demir tutucu bileşiklerin salınımını da uyarabileceğini ve böylece büyümek için demire ihtiyaç duyan mikropları aç bırakabileceğini öne sürmektedir.
Ateş sırasında, ciltteki kan damarlarının vazokonstriksiyonu nedeniyle cilt soluk görünebilir, bu da kan akışını ekstremitelerden uzaklaştırmak, ısı kaybını en aza indirmek ve çekirdek sıcaklığı yükseltmek için hipotalamus tarafından yönlendirilir. Hipotalamus aynı zamanda kasların titremesini de uyaracaktır, bu da ısı üretmenin ve çekirdek sıcaklığı yükseltmenin bir başka etkili mekanizmasıdır.
Kriz aşaması ateş düştüğünde ortaya çıkar. Hipotalamus vazodilatasyonu uyararak cilde kan akışının geri dönmesini ve ardından vücuttan ısı salınımını sağlar. Hipotalamus ayrıca terlemeyi de uyarır ve ter buharlaştıkça cildi soğutur.
Düşük seviyeli bir ateş bireyin bir hastalığın üstesinden gelmesine yardımcı olsa da bazı durumlarda bu bağışıklık tepkisi çok güçlü olabilir, bu nedenle de doku ve organ hasarına ve hatta ciddi vakalarda ölüme neden olabilir. Bakteriyel süperantijenlere karşı gelişen inflamatuar yanıt, yaşamı tehdit edecek seviyede ateşin gelişebileceği senaryolardan biridir.
Süperantijenler, spesifik adaptif immün savunmadan T hücrelerinin aşırı aktivasyonuna ve inflamatuar yanıtı aşırı uyaran sitokinlerin aşırı salınımına neden olabilen bakteriyel veya viral proteinlerdir. Örneğin, Staphylococcus aureus ve Streptococcus pyogenes sırasıyla toksik şok sendromuna ve kızıl hastalığına neden olan süperantijenler üretebilmektedir. Bu durumların her ikisi de 42 °C'yi aşan çok yüksek, hayatı tehdit eden ateşlerle ilişkilendirilebilir.
Evrim Ağacı'nda tek bir hedefimiz var: Bilimsel gerçekleri en doğru, tarafsız ve kolay anlaşılır şekilde Türkiye'ye ulaştırmak. Ancak tahmin edebileceğiniz gibi Türkiye'de bilim anlatmak hiç kolay bir iş değil; hele ki bir yandan ekonomik bir hayatta kalma mücadelesi verirken...
O nedenle sizin desteklerinize ihtiyacımız var. Eğer yazılarımızı okuyanların %1'i bize bütçesinin elverdiği kadar destek olmayı seçseydi, bir daha tek bir reklam göstermeden Evrim Ağacı'nın bütün bilim iletişimi faaliyetlerini sürdürebilirdik. Bir düşünün: sadece %1'i...
O %1'i inşa etmemize yardım eder misiniz? Evrim Ağacı Premium üyesi olarak, ekibimizin size ve Türkiye'ye bilimi daha etkili ve profesyonel bir şekilde ulaştırmamızı mümkün kılmış olacaksınız. Ayrıca size olan minnetimizin bir ifadesi olarak, çok sayıda ayrıcalığa erişim sağlayacaksınız.
Makalelerimizin bilimsel gerçekleri doğru bir şekilde yansıtması için en üst düzey çabayı gösteriyoruz. Gözünüze doğru gelmeyen bir şey varsa, mümkünse güvenilir kaynaklarınızla birlikte bize ulaşın!
Bu makalemizle ilgili merak ettiğin bir şey mi var? Buraya tıklayarak sorabilirsin.
Soru & Cevap Platformuna Git- 6
- 3
- 1
- 1
- 1
- 0
- 0
- 0
- 0
- 0
- 0
- 0
- Çeviri Kaynağı: OpenStax | Arşiv Bağlantısı
- N. Parker, et al. (2016). 17.5 Inflammation And Fever - Microbiology | Openstax. OpenStax. | Arşiv Bağlantısı
Evrim Ağacı'na her ay sadece 1 kahve ısmarlayarak destek olmak ister misiniz?
Şu iki siteden birini kullanarak şimdi destek olabilirsiniz:
kreosus.com/evrimagaci | patreon.com/evrimagaci
Çıktı Bilgisi: Bu sayfa, Evrim Ağacı yazdırma aracı kullanılarak 23/10/2025 09:45:32 tarihinde oluşturulmuştur. Evrim Ağacı'ndaki içeriklerin tamamı, birden fazla editör tarafından, durmaksızın elden geçirilmekte, güncellenmekte ve geliştirilmektedir. Dolayısıyla bu çıktının alındığı tarihten sonra yapılan güncellemeleri görmek ve bu içeriğin en güncel halini okumak için lütfen şu adrese gidiniz: https://evrimagaci.org/s/15736
İçerik Kullanım İzinleri: Evrim Ağacı'ndaki yazılı içerikler orijinallerine hiçbir şekilde dokunulmadığı müddetçe izin alınmaksızın paylaşılabilir, kopyalanabilir, yapıştırılabilir, çoğaltılabilir, basılabilir, dağıtılabilir, yayılabilir, alıntılanabilir. Ancak bu içeriklerin hiçbiri izin alınmaksızın değiştirilemez ve değiştirilmiş halleri Evrim Ağacı'na aitmiş gibi sunulamaz. Benzer şekilde, içeriklerin hiçbiri, söz konusu içeriğin açıkça belirtilmiş yazarlarından ve Evrim Ağacı'ndan başkasına aitmiş gibi sunulamaz. Bu sayfa izin alınmaksızın düzenlenemez, Evrim Ağacı logosu, yazar/editör bilgileri ve içeriğin diğer kısımları izin alınmaksızın değiştirilemez veya kaldırılamaz.
This work is an exact translation of the article originally published in OpenStax. Evrim Ağacı is a popular science organization which seeks to increase scientific awareness and knowledge in Turkey, and this translation is a part of those efforts. If you are the author/owner of this article and if you choose it to be taken down, please contact us and we will immediately remove your content. Thank you for your cooperation and understanding.