Düşmanla Burun Buruna: Mikroskop Altında Tüm Detaylarıyla SARS-CoV-2 (COVID-19 Virüsü)
COVID-19 Salgınına Sebep Olan Virüse, Nefes Kesici Mikroskop Görüntüleriyle Yakından Bakın!

- Özgün
- Epidemiyoloji
- Viroloji
Bu Makalede Neler Öğreneceksiniz?
- Present electron microscope images captured by Brazilian scientists reveal how SARS-CoV-2 virus particles attach to and enter human cells.
- Show virus particles replicate inside the host cell before the cell dies and releases numerous new virus particles.
- Highlight the contribution of diverse research groups providing varied visual data of the SARS-CoV-2 virus since the pandemic began.
COVID-19 salgını devam ettikçe, bu ölümcül hastalığa neden olan virüsü de daha yakından tanımaya başladık. Bilim insanlarının özverili çabaları sayesinde, salgının başlangıcından kısa bir süre sonra ilk mikroskop görüntüleri gelmeye başladı. Sonrasında yeni grupların araştırmalara katılmasıyla birlikte bu görüntüler giderek çeşitlendi.
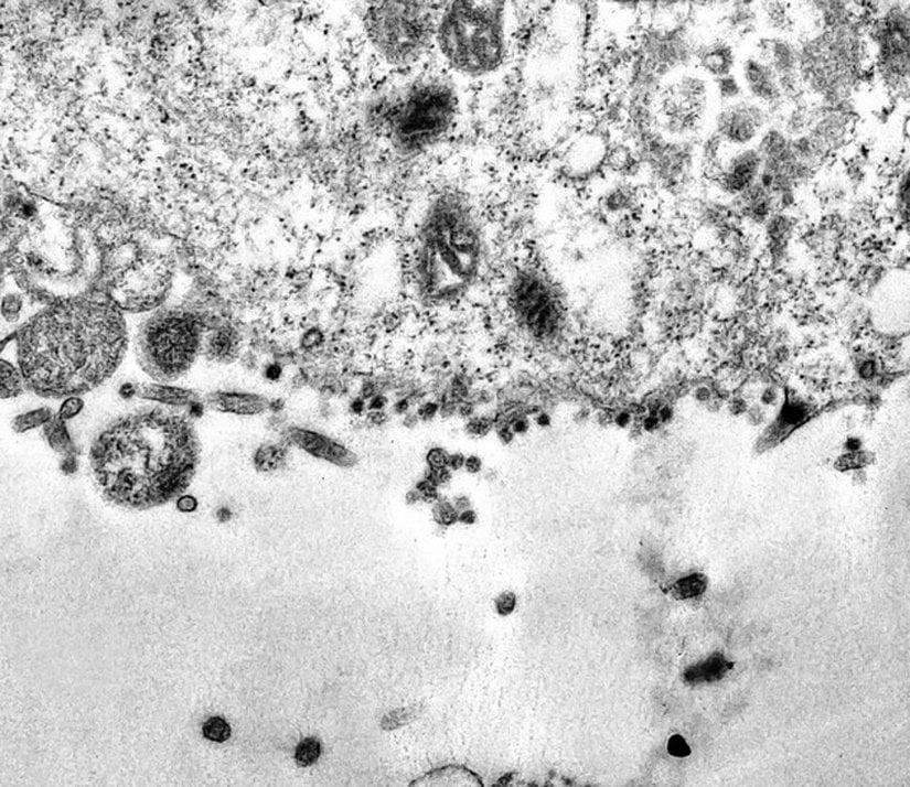
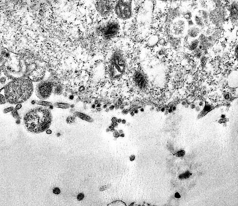
Bu yazımızda, COVID-19 hastalığına neden olan SARS-CoV-2 isimli virüse ait çekilmiş fotoğrafları ve bilgisayar simülasyonları üzerinden giderek, yüzleştiğimiz düşmanı biraz daha yakından tanımanızı sağlamaya çalışacağız. Öncelikle, Brezilyalı bilim insanlarının çalışmaları sonucunda virüsün hücrelerimize nasıl girdiğini adım adım takip edelim:




Geçirimli Elektron Mikroskobu (TEM) ile çekilen bu kareler, bile bize virüsün üreme döngüsünü harika bir şekilde göstermeye yetiyor. Ancak bazı bilim insanları işi bir adım öteye götürerek, bu virüsleri olabildiğince yüksek çözünürlükte fotoğraflayıp, sonrasında renklendirmeyi seçiyorlar. Bu sayede çok daha şaşırtıcı ve bilgilendirici kareler ortaya çıkıyor. İşte onlardan birisi:

Koronavirüslere ismini veren "korona", yani "taç" yapısı bu fotoğrafta çok net bir şekilde görülüyor. Bu taç görünümüne sebep olan unsur, virüsün yüzeyinde bulunan mızrak (spike) proteinleridir. Virüs, bu proteinleri kullanarak hücrelerimizin yüzeyindeki reseptörlere tutunur ve hücre içine giriş yapar. Bu nedenle bu etkileşimi engelleyecek her türlü unsur, hastalığın tedavisinde büyük bir rol oynayacaktır.
Yapıyı daha net anlayabilmeniz adına, bir sonraki karemiz bir fotoğraf değil; ancak burada gördüğünüz fotoğraflardan yola çıkarak hazırlanmış bir bilgisayar animasyonu. Bu kareyi muhtemelen bugüne kadar çokça gördünüz; ancak tekrarlayacak olursak:

Bu animasyonda yüzey proteinleri çok daha net bir şekilde anlaşılabiliyor. Ama bilgisayar animasyonunu bir kenara bırakıp, bu virüslerin bir küme halinde bulunduğunda ortaya nasıl bir görüntü çıktığına bir bakalım:

Daha da kalabalık bir kümeye bakacak olursanız, karşınıza bu tarz bir görüntü çıkacaktır:

Mikroskop altında bir video görmek isterseniz, Doherty Enstitüsü tarafından izole edilen SARS-CoV-2 virüslerine ait videoyu aşağıdan izleyebilirsiniz:
SARS-CoV-2 ismi, "Ağır Akut Solunum Sendromu Koronavirüsü 2" sözcüklerinin İngilizcesinin kısaltmasından geliyor. Yani "Severe Acute Respiratory Syndrome Coronavirus 2". Bu kalıbı daha meşhur olarak SARS kısaltmasıyla biliyor olabilirsiniz.
2003-2004 yıllarında yine Çin'de evrimleşen, eski adıyla "SARS-CoV", şimdiki adıyla "SARS-CoV-1" virüsü, COVID-19 hastalığına nazaran artık oldukça ufak çapta sayılabilecek bir salgına neden olup, Dünya genelinde paniğe sebep olmuştu. Ancak COVID-19 salgınının sebep olduğu panik ve ölümler, SARS salgınını gölgede bıraktı demek yanlış olmayacaktır.
Devam edelim. Yukarıdaki fotoğraf silsilesinde virüslerin bir hücreye girişlerini ve çoğaldıktan sonra o hücreyi terk edişlerini görmüştük. Ancak bunu daha yüksek çözünürlükte ve renkli bir şekilde görmek de mümkündür. Önce, hücreye girişlerini daha yakından görelim:
Evrim Ağacı'nın çalışmalarına Kreosus, Patreon veya YouTube üzerinden maddi destekte bulunarak hem Türkiye'de bilim anlatıcılığının gelişmesine katkı sağlayabilirsiniz, hem de site ve uygulamamızı reklamsız olarak deneyimleyebilirsiniz. Reklamsız deneyim, sitemizin/uygulamamızın çeşitli kısımlarda gösterilen Google reklamlarını ve destek çağrılarını görmediğiniz, %100 reklamsız ve çok daha temiz bir site deneyimi sunmaktadır.
KreosusKreosus'ta her 50₺'lik destek, 1 aylık reklamsız deneyime karşılık geliyor. Bu sayede, tek seferlik destekçilerimiz de, aylık destekçilerimiz de toplam destekleriyle doğru orantılı bir süre boyunca reklamsız deneyim elde edebiliyorlar.
Kreosus destekçilerimizin reklamsız deneyimi, destek olmaya başladıkları anda devreye girmektedir ve ek bir işleme gerek yoktur.
PatreonPatreon destekçilerimiz, destek miktarından bağımsız olarak, Evrim Ağacı'na destek oldukları süre boyunca reklamsız deneyime erişmeyi sürdürebiliyorlar.
Patreon destekçilerimizin Patreon ile ilişkili e-posta hesapları, Evrim Ağacı'ndaki üyelik e-postaları ile birebir aynı olmalıdır. Patreon destekçilerimizin reklamsız deneyiminin devreye girmesi 24 saat alabilmektedir.
YouTubeYouTube destekçilerimizin hepsi otomatik olarak reklamsız deneyime şimdilik erişemiyorlar ve şu anda, YouTube üzerinden her destek seviyesine reklamsız deneyim ayrıcalığını sunamamaktayız. YouTube Destek Sistemi üzerinde sunulan farklı seviyelerin açıklamalarını okuyarak, hangi ayrıcalıklara erişebileceğinizi öğrenebilirsiniz.
Eğer seçtiğiniz seviye reklamsız deneyim ayrıcalığı sunuyorsa, destek olduktan sonra YouTube tarafından gösterilecek olan bağlantıdaki formu doldurarak reklamsız deneyime erişebilirsiniz. YouTube destekçilerimizin reklamsız deneyiminin devreye girmesi, formu doldurduktan sonra 24-72 saat alabilmektedir.
Diğer PlatformlarBu 3 platform haricinde destek olan destekçilerimize ne yazık ki reklamsız deneyim ayrıcalığını sunamamaktayız. Destekleriniz sayesinde sistemlerimizi geliştirmeyi sürdürüyoruz ve umuyoruz bu ayrıcalıkları zamanla genişletebileceğiz.
Giriş yapmayı unutmayın!Reklamsız deneyim için, maddi desteğiniz ile ilişkilendirilmiş olan Evrim Ağacı hesabınıza üye girişi yapmanız gerekmektedir. Giriş yapmadığınız takdirde reklamları görmeye devam edeceksinizdir.

Bu virüsler, insan hücrelerine hücum ettikten sonra, hücrenin içine girerek RNA isimli genetik materyallerini hücre içine enjekte ediyorlar. Bu RNA, insan DNA'sına bağlandıktan sonra, genetik kopyalama mekanizmalarını ele geçirerek kendi kopyalarını üretmeye zorluyor. Böylece tek bir virüs, binlerce, on binlerce, milyonlarca virüs olacak biçimde çoğalabiliyor. Aşağıda, hücrenin içine girmiş virüsleri görebilirsiniz:

Bu renkli fotoğrafların yukarıda verdiklerimiz gibi siyah-beyaz çekildiğini ve sonradan özellik-tespit algoritmalarıyla ve Photoshop gibi araçlarla renklendirildiğini hatırlatmak isteriz. SARS-CoV-2 hücre çıkışını bir başka fotoğrafta da bu şekilde görmek mümkün:


Bu fotoğrafların ne kadar küçük ölçeklerde çekildiğini anlamak için, tek bir koronavirüsün çapının 60-140 nanometre büyüklükte olduğunu hatırlayın! Saçınızın kalınlığı 90.000 nanometre (90 mikrometre) civarındadır. Yani tek bir saç telinizin kalınlığına (boyuna değil!) yüzlerce koronavirüs sığdırmak mümkündür!

Virüsler hücrelerinize bulaştıktan sonra hızla çoğalarak hücrelerinizi öldürmeye başlarlar. Örneğin aşağıdaki fotoğrafta, ağır bir şekilde koronavirüs enfeksiyonu geçiren insan hücreleri görülmektedir:

Bu virüsler konuşma, şarkı söyleme, bağırma, öksürük veya hapşırık sırasında ağzınızdan çıkan hava ve damlacıklarla dışarı atılırlar ve gerek bu atığın doğrudan size ulaşması, gerekse de havada asılı kalan aerosoller yoluyla sizin gözünüze, burnunuza veya ağzınıza ulaşırlar. Kimi zaman bu virüsü taşıyan bir yüzeye dokunup, hemen sonrasında elinizi bu organlarınıza götürmeniz sonucunda da virüsü alabilirsiniz; ancak bu, çok daha nadir olmaktadır. Sonuç olarak vücudunuza ulaşan virüs çoğalır ve sizin vücudunuzun doğru çalışmasını engelleyerek hastalanmanıza neden olur.
Evrim Ağacı'nda tek bir hedefimiz var: Bilimsel gerçekleri en doğru, tarafsız ve kolay anlaşılır şekilde Türkiye'ye ulaştırmak. Ancak tahmin edebileceğiniz gibi Türkiye'de bilim anlatmak hiç kolay bir iş değil; hele ki bir yandan ekonomik bir hayatta kalma mücadelesi verirken...
O nedenle sizin desteklerinize ihtiyacımız var. Eğer yazılarımızı okuyanların %1'i bize bütçesinin elverdiği kadar destek olmayı seçseydi, bir daha tek bir reklam göstermeden Evrim Ağacı'nın bütün bilim iletişimi faaliyetlerini sürdürebilirdik. Bir düşünün: sadece %1'i...
O %1'i inşa etmemize yardım eder misiniz? Evrim Ağacı Premium üyesi olarak, ekibimizin size ve Türkiye'ye bilimi daha etkili ve profesyonel bir şekilde ulaştırmamızı mümkün kılmış olacaksınız. Ayrıca size olan minnetimizin bir ifadesi olarak, çok sayıda ayrıcalığa erişim sağlayacaksınız.
Makalelerimizin bilimsel gerçekleri doğru bir şekilde yansıtması için en üst düzey çabayı gösteriyoruz. Gözünüze doğru gelmeyen bir şey varsa, mümkünse güvenilir kaynaklarınızla birlikte bize ulaşın!
Bu makalemizle ilgili merak ettiğin bir şey mi var? Buraya tıklayarak sorabilirsin.
Soru & Cevap Platformuna Git- 44
- 24
- 23
- 20
- 13
- 11
- 9
- 2
- 2
- 0
- 0
- 0
- J. Mendes. Imagens Mostram O Exato Momento Da Infecção Do Novo Coronavírus Em Célula. (8 Nisan 2020). Alındığı Tarih: 23 Nisan 2020. Alındığı Yer: Instituto Oswaldo Cruz | Arşiv Bağlantısı
- A. Chapelle. Up Close With The Enemy: The Coronavirus In Stunning Detail. (31 Mart 2020). Alındığı Tarih: 23 Nisan 2020. Alındığı Yer: Radio Free Europe | Arşiv Bağlantısı
Evrim Ağacı'na her ay sadece 1 kahve ısmarlayarak destek olmak ister misiniz?
Şu iki siteden birini kullanarak şimdi destek olabilirsiniz:
kreosus.com/evrimagaci | patreon.com/evrimagaci
Çıktı Bilgisi: Bu sayfa, Evrim Ağacı yazdırma aracı kullanılarak 06/10/2025 08:58:59 tarihinde oluşturulmuştur. Evrim Ağacı'ndaki içeriklerin tamamı, birden fazla editör tarafından, durmaksızın elden geçirilmekte, güncellenmekte ve geliştirilmektedir. Dolayısıyla bu çıktının alındığı tarihten sonra yapılan güncellemeleri görmek ve bu içeriğin en güncel halini okumak için lütfen şu adrese gidiniz: https://evrimagaci.org/s/8598
İçerik Kullanım İzinleri: Evrim Ağacı'ndaki yazılı içerikler orijinallerine hiçbir şekilde dokunulmadığı müddetçe izin alınmaksızın paylaşılabilir, kopyalanabilir, yapıştırılabilir, çoğaltılabilir, basılabilir, dağıtılabilir, yayılabilir, alıntılanabilir. Ancak bu içeriklerin hiçbiri izin alınmaksızın değiştirilemez ve değiştirilmiş halleri Evrim Ağacı'na aitmiş gibi sunulamaz. Benzer şekilde, içeriklerin hiçbiri, söz konusu içeriğin açıkça belirtilmiş yazarlarından ve Evrim Ağacı'ndan başkasına aitmiş gibi sunulamaz. Bu sayfa izin alınmaksızın düzenlenemez, Evrim Ağacı logosu, yazar/editör bilgileri ve içeriğin diğer kısımları izin alınmaksızın değiştirilemez veya kaldırılamaz.