Bruksizm (Diş Gıcırdatma) Nedir? Belirtileri ve Tedavi Seçenekleri Nelerdir?

- Hastalık Kataloğu
- Diş Hekimliği ve Odontoloji
Bu içerik tıp ve sağlık ile ilişkilidir. Sadece bilgi amaçlı olarak hazırlanmıştır. Bireysel bir tıbbi tavsiye olarak görülmemelidir. Evrim Ağacı'ndaki hiçbir içerik; profesyonel bir hekim tarafından verilen tıbbi tavsiyelerin, konulan bir teşhisin veya önerilen bir tedavinin yerini alacak biçimde kullanılmamalıdır.
- Türkçe Adı Bruksizm
- İngilizce Adı Bruxism
- Latince Adı Bruxism
- NIH
- Diğer İsimleri Diş Gıcırdatma, Diş Sıkma
Bu Makalede Neler Öğreneceksiniz?
- Define bruxism as unconscious, non-functional teeth grinding or clenching causing serious dental and medical issues if untreated, occurring nocturnally and diurnally.
- List clinical signs of bruxism including tooth wear, fractures, muscle hypertrophy, pain, limited mouth opening, abnormal joint noises, and soft tissue trauma.
- Identify potential genetic factors involving HTR2A and DRD1 gene polymorphisms contributing to bruxism risk, with multifactorial etiology including psycho-emotional factors.
Bruksizm (Diş Gıcırdatma) dişlerin herhangi bir işleve yönelik olmayan, çoğunlukla bilinçsiz yapılan ve tedavi edilmediği takdirde dental ve tıbbi açıdan ciddi sorunlara sebep olabilen parafonksiyonel hareketleridir.
Bruksizmin nokturnal (gece) ve diurnal (gündüz) olmak üzere 2 temel formu vardır. Gece bruksizmi genellikle dişlerin kenetli haldeyken birbirleri üzerinden kaydırma hareketi olan gıcırdatma, bruksomani adı verilen gündüz bruksizmindeyse dişleri birbirine kenetli tutacak şekilde sıkma tarzında görülmektedir.
Belirti ve Semptomlar
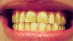
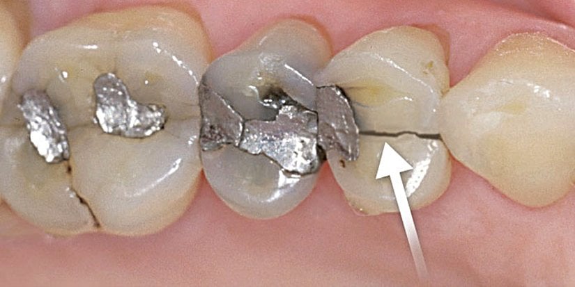
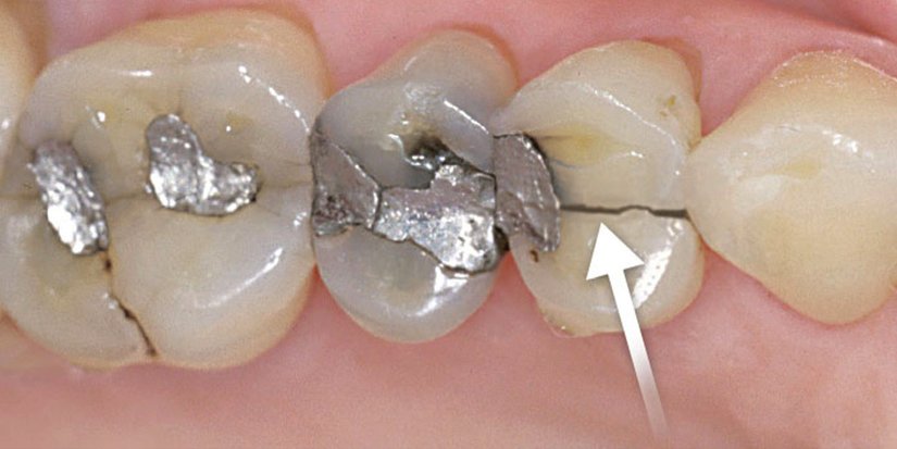
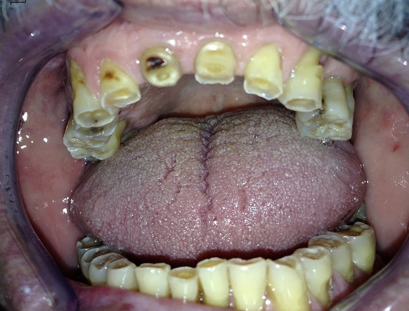
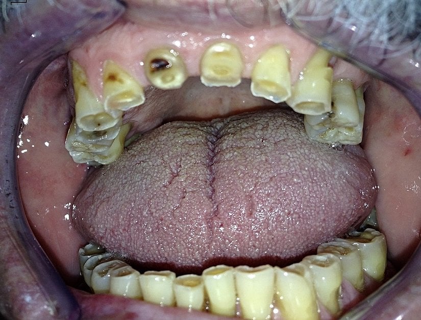
Bruksizmin en yaygın klinik belirtilerinden birisi diş aşınmalarıdır. Ancak bu aşınmalar bruksizmin yanı sıra asitli gıdaların fazla miktarda tüketimi ve yanlış diş fırçalama yöntemleri gibi sebeplerden de meydana gelebildiği için bruksizmin kesin tanısını koymada yetersiz kalmaktadır.[2] Aşağıda, bruksizme ait klinik belirtiler listelenmiştir:
- Diş ve dolgu kırıkları,
- Diş köklerinin kırık ve çatlakları,
- Dişlerde artmış mobilite (hareketlilik),
- Çiğneme kaslarında hipertrofi,
- Yüz, baş ve boyun ağrıları,
- Ağız açmada kısıtlılık,
- Ağzı açıp kapatırken çene ekleminden gelen anormal sesler,
- Dil ve yanağın dişlerin oklüzal düzlemine paralel olan bölgelerinde bruksizmin bu yumuşak dokularda yarattığı travmaya bağlı izler.
Bunlara ek olarak bazı radyografik belirtiler de şöyle sıralanabilir:
- Diş köklerinin alveol kemiğine bakan yüzeylerinde bulunan lamina dura kalınlığında değişimler
- Dişleri çene kemiğine bağlayan peridontal ligament aralığında genişleme


Hastalıkla İlişkili Genler, Etken Faktörler ve Risk Faktörleri
Serotonin reseptör kodlayıcı gendeki (HTR2A) ve muhtemelen dopamin reseptör genindeki (DRD1) değişikliğin bruksizm etiyolojisine olası bir genetik katkısı olduğu düşünülmektedir. DRD1 rs686 polimorfizmi, bruksizm gelişim riskini potansiyel olarak etkiliyor gibi görünmektedir.[3]
Hastalığın Etiyolojisi
Bruksizmin etiyolojisi multifaktöriyel olmakla birlikte henüz kesin olarak bruksizme sebep olan net bir etyoloji bulunamamıştır. Bununla birlikte psiko-duygusal durumlar bruksizmin en önemli etiyolojik faktörlerinden biri olarak kabul edilmektedir. Ayrıca bruksizmin etiyolojisinde lokal, sistemik ve nörolojik etkenler de bulunmaktadır:[1]
- Lokal etkenler arasında travmatik oklüzyon, dental kistler, hatalı diş restorasyonları, oral yumuşak doku anormallikleri vardır.[1]
- Sistemik etkenler incelendiğindeyse bunların beslenme yetersizliği, Down sendromu, alerjik reaksiyonlar, sindirim sistemi bozuklukları, aşırı alkol ve kafein tüketimi, kullanılan bazı ilaçlar ve nörolojik problemler olduğu görülmektedir.[1]
- Bütün bunların yanında anksiyetik, agresif, rekabetçi ve hiperaktif kişilik yapılarının da bruksizm etiyolojisinde önemli bir yeri bulunmaktadır.[6]
- Yapılan birçok çalışmada psikolojik faktörler ile bruksizm arasında güçlü bir bağlantı kurulmuş ve negatif duygu durumlarının bruksizme sebep olduğu veya mevcut olan bruksizmi şiddetlendirdiği bulunmuştur.[7], [8], [9] Ayrıca yapılan bir çalışmada kış mevsiminin bruksizm vakalarını şiddetlendirdiği görülmüştür.[10]
Teşhis Yöntemleri
Bruksizm teşhisinde hastanın şikayetleri, medikal ve dental hikayesi, intraoral (ağız içi) ve extraoral (ağız dışı) muayeneler, başta panoramik filmler olmak üzere radyografik görüntüleme teknikleri ve kesin teşhis için polisomnografi (uyku testi) kullanılmaktadır.
Tedaviler veya İdare Yöntemleri
Bruksizmin spesifik bir tedavisi bulunmamakla birlikte etiyolojiye ve semptomlara yönelik farklı tedavi seçenekleri mevcuttur. Bruksizm tedavisi genellikle multidisipliner bir çalışma gerektirmektedir. İdeal bir teşhis ve tedavi sürecinde diş hekimleri, fizyoterapistler, psikiyatristler, psikologlar ve nörologlar rol almaktadır:[4]
- Eğer etiyolojinin dental nedenlere yönelik olduğu düşünülüyorsa hastaya dikey boyut ayarlamaları ve okluzyon düzeltmeleri gibi dental tedavi yöntemleri uygulanmaktadır.
- Etiyolojinin psiko-duygusal durumlardan kaynaklandığı düşünülüyorsa uygun psikolojik ve psikiyatrik tedavi ile semptomlar hafifletilebilmektedir.
- Sistemik etkenlerden kaynaklandığı düşünülen vakalarda etken faktörün elimine edilmesi bruksizm tedavisine katkı sağlamaktadır.
- Etiyolojisi belli olamayan (idiopatik) vakalarda semptomları hafifletmeye yönelik okluzal splint (şeffaf plak) adı verilen gece veya gündüz plaklarının kullanımı, çiğneme kaslarına botulinum toksin (botoks) uygulaması, egzersiz ve masaj gibi uygulamalar kullanılmaktadır.
- Bruksizme bağlı çene eklemi patolojilerinde artrosentez gibi eklem tedavisi yöntemleri uygulanmaktadır.
- Bruksizmin farmakolojik tedavisindeyse benzodiazepinler, antikonvülzanlar, beta-blokörler, dopamin ajanları, antidepresanlar ve kas gevşeticiler kullanılmaktadır.[5]
- Bütün bu tedavilerin yanı sıra hastalara meditasyon, yoga ve nefes egzersizleri gibi mental olarak rahatlatıcı uygulamalar tavsiye edilmektedir.
- Bruksizmin vücuda verdiği zararları azaltmak için hastalara esnerken çenelerini desteklemeleri, sert gıdalardan uzak durmaları, anatomik pozisyonlarına uygun yastık kullanmaları, günlük çene açma-kapama egzersizleri yapmaları, masa başında otururken çenelerine dirsek desteği yapmamaları tavsiye edilmektedir.


Görülme Sıklığı ve Dağılımı (Epidemiyoloji)
Bruksizm prevalansının cinsiyetten bağımsız olduğu ve yaşla birlikte azaldığı bilinmektedir.[11]
Etimoloji
"Bruksizm" kelimesi "gıcırdama" anlamına gelen Latince "Bruksis" ve Yunanca "Brukein" kelimesinden türetilmiştir.[1]
Evrim Ağacı'nda tek bir hedefimiz var: Bilimsel gerçekleri en doğru, tarafsız ve kolay anlaşılır şekilde Türkiye'ye ulaştırmak. Ancak tahmin edebileceğiniz gibi Türkiye'de bilim anlatmak hiç kolay bir iş değil; hele ki bir yandan ekonomik bir hayatta kalma mücadelesi verirken...
O nedenle sizin desteklerinize ihtiyacımız var. Eğer yazılarımızı okuyanların %1'i bize bütçesinin elverdiği kadar destek olmayı seçseydi, bir daha tek bir reklam göstermeden Evrim Ağacı'nın bütün bilim iletişimi faaliyetlerini sürdürebilirdik. Bir düşünün: sadece %1'i...
O %1'i inşa etmemize yardım eder misiniz? Evrim Ağacı Premium üyesi olarak, ekibimizin size ve Türkiye'ye bilimi daha etkili ve profesyonel bir şekilde ulaştırmamızı mümkün kılmış olacaksınız. Ayrıca size olan minnetimizin bir ifadesi olarak, çok sayıda ayrıcalığa erişim sağlayacaksınız.
Makalelerimizin bilimsel gerçekleri doğru bir şekilde yansıtması için en üst düzey çabayı gösteriyoruz. Gözünüze doğru gelmeyen bir şey varsa, mümkünse güvenilir kaynaklarınızla birlikte bize ulaşın!
Bu makalemizle ilgili merak ettiğin bir şey mi var? Buraya tıklayarak sorabilirsin.
Soru & Cevap Platformuna Git- 19
- 6
- 4
- 3
- 2
- 2
- 1
- 1
- 1
- 0
- 0
- 0
- ^ a b c d R. Vasileva. Bruxism - Description, Epidemiology, Etiology, Classification | Medinform. Alındığı Tarih: 12 Ekim 2022. Alındığı Yer: MedInform | Arşiv Bağlantısı
- ^ N. Veiga, et al. Bruxism – Literature Review. (4 Eylül 2015). Alındığı Tarih: 12 Ekim 2022. Alındığı Yer: Sci Forschen | Arşiv Bağlantısı
- ^ M. Wieckiewicz, et al. (2020). Genetic Basis Of Sleep Bruxism And Sleep Apnea—Response To A Medical Puzzle. Scientific Reports, sf: 1-14. doi: 10.1038/s41598-020-64615-y. | Arşiv Bağlantısı
- ^ M. Wieckiewicz, et al. (2014). Psychosocial Aspects Of Bruxism: The Most Paramount Factor Influencing Teeth Grinding. BioMed Research International, sf: 1-7. doi: 10.1155/2014/469187. | Arşiv Bağlantısı
- ^ C. R. Macedo, et al. (2014). Pharmacotherapy For Sleep Bruxism. Cochrane Database of Systematic Reviews. doi: 10.1002/14651858.CD005578.pub2. | Arşiv Bağlantısı
- ^ G. D. Klasser, et al. (2015). Sleep Bruxism Etiology: The Evolution Of A Changing Paradigm. Journal (Canadian Dental Association). | Arşiv Bağlantısı
- ^ Z. Gungormus, et al. (2013). Evaluation Of The Relationship Between Anxiety And Depression And Bruxism. SAGE Publications, sf: 547-550. doi: 10.1177/147323000903700231. | Arşiv Bağlantısı
- ^ M. I. Flueraşu, et al. (2022). The Epidemiology Of Bruxism In Relation To Psychological Factors. International Journal of Environmental Research and Public Health, sf: 691. doi: 10.3390/ijerph19020691. | Arşiv Bağlantısı
- ^ J. Smardz, et al. (2019). Correlation Between Sleep Bruxism, Stress, And Depression—A Polysomnographic Study. Journal of Clinical Medicine, sf: 1344. doi: 10.3390/jcm8091344. | Arşiv Bağlantısı
- ^ S. Kardeş, et al. (2019). Seasonality Of Bruxism: Evidence From Google Trends. Sleep and Breathing, sf: 695-701. doi: 10.1007/s11325-019-01787-6. | Arşiv Bağlantısı
- ^ D. Manfredini, et al. Epidemiology Of Bruxism In Adults: A Systematic Review Of The Literature. (1 Nisan 2013). Alındığı Tarih: 12 Ekim 2022. Alındığı Yer: Quint Pub | Arşiv Bağlantısı
Evrim Ağacı'na her ay sadece 1 kahve ısmarlayarak destek olmak ister misiniz?
Şu iki siteden birini kullanarak şimdi destek olabilirsiniz:
kreosus.com/evrimagaci | patreon.com/evrimagaci
Çıktı Bilgisi: Bu sayfa, Evrim Ağacı yazdırma aracı kullanılarak 13/10/2025 17:08:59 tarihinde oluşturulmuştur. Evrim Ağacı'ndaki içeriklerin tamamı, birden fazla editör tarafından, durmaksızın elden geçirilmekte, güncellenmekte ve geliştirilmektedir. Dolayısıyla bu çıktının alındığı tarihten sonra yapılan güncellemeleri görmek ve bu içeriğin en güncel halini okumak için lütfen şu adrese gidiniz: https://evrimagaci.org/s/13047
İçerik Kullanım İzinleri: Evrim Ağacı'ndaki yazılı içerikler orijinallerine hiçbir şekilde dokunulmadığı müddetçe izin alınmaksızın paylaşılabilir, kopyalanabilir, yapıştırılabilir, çoğaltılabilir, basılabilir, dağıtılabilir, yayılabilir, alıntılanabilir. Ancak bu içeriklerin hiçbiri izin alınmaksızın değiştirilemez ve değiştirilmiş halleri Evrim Ağacı'na aitmiş gibi sunulamaz. Benzer şekilde, içeriklerin hiçbiri, söz konusu içeriğin açıkça belirtilmiş yazarlarından ve Evrim Ağacı'ndan başkasına aitmiş gibi sunulamaz. Bu sayfa izin alınmaksızın düzenlenemez, Evrim Ağacı logosu, yazar/editör bilgileri ve içeriğin diğer kısımları izin alınmaksızın değiştirilemez veya kaldırılamaz.