Balantidiasis Nedir? Nadiren Semptom Veren "Balantidium coli" Paraziti Tedavi Edilebilir mi?

- Hastalık Kataloğu
- Enfeksiyon Hastalıkları
- Türkçe Adı Balantidiasis
- İngilizce Adı Balantidiasis
- OrphaNet 1223
- Diğer İsimleri Balantidiosis, Balantidium Dizanterisi
Bu Makalede Neler Öğreneceksiniz?
- Identify Balantidiasis as a rare intestinal infection caused by the protozoan Balantidium coli, primarily transmitted to humans through contact with pig feces.
- Recognize symptoms ranging from mild diarrhea to severe dysentery, with diagnosis relying on stool tests and colon examinations due to symptom similarity with other diseases.
- Treat Balantidiasis effectively using antibiotics like tetracycline and metronidazole, emphasizing hygiene and food safety to prevent infection.
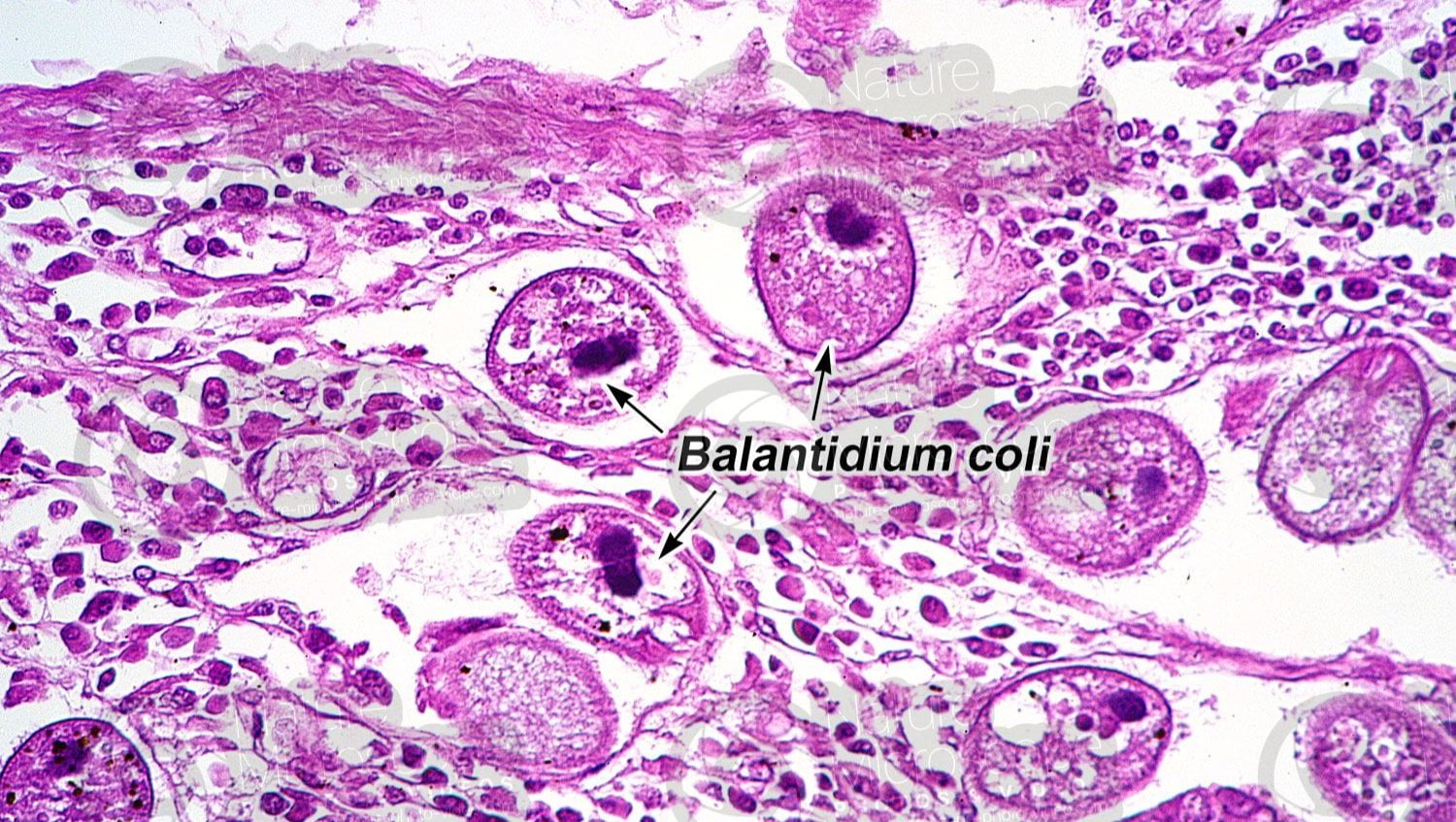
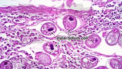
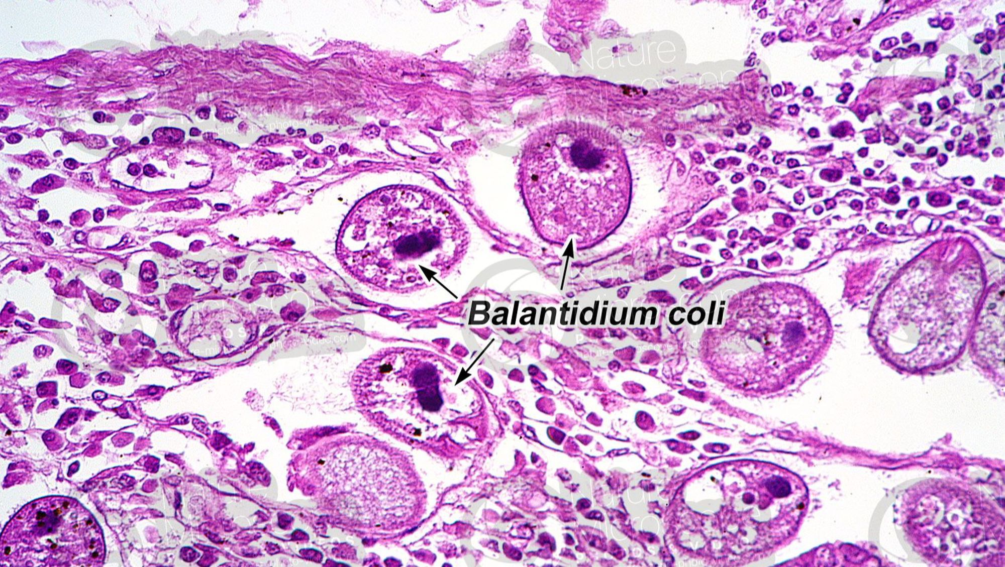
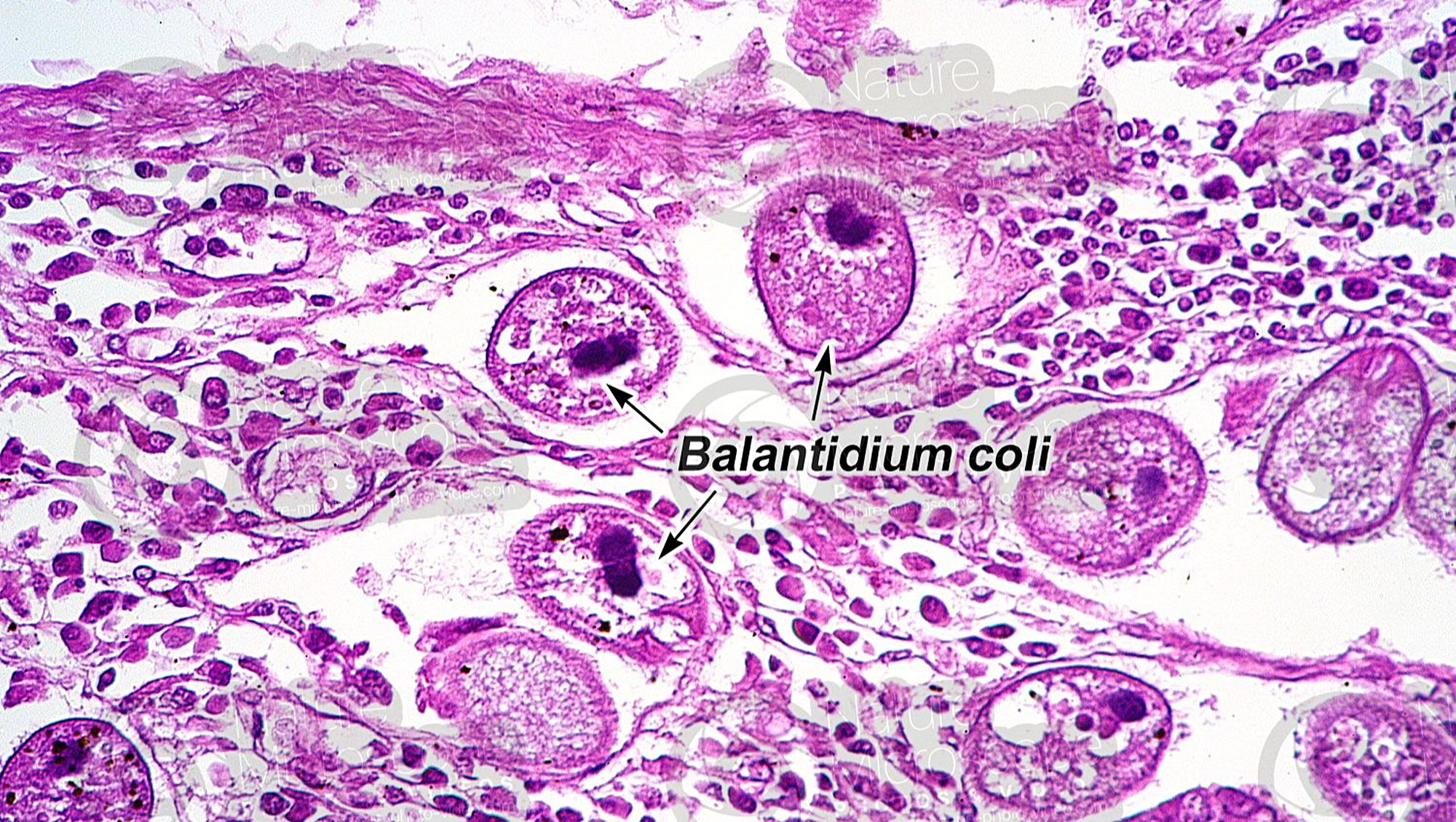
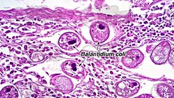
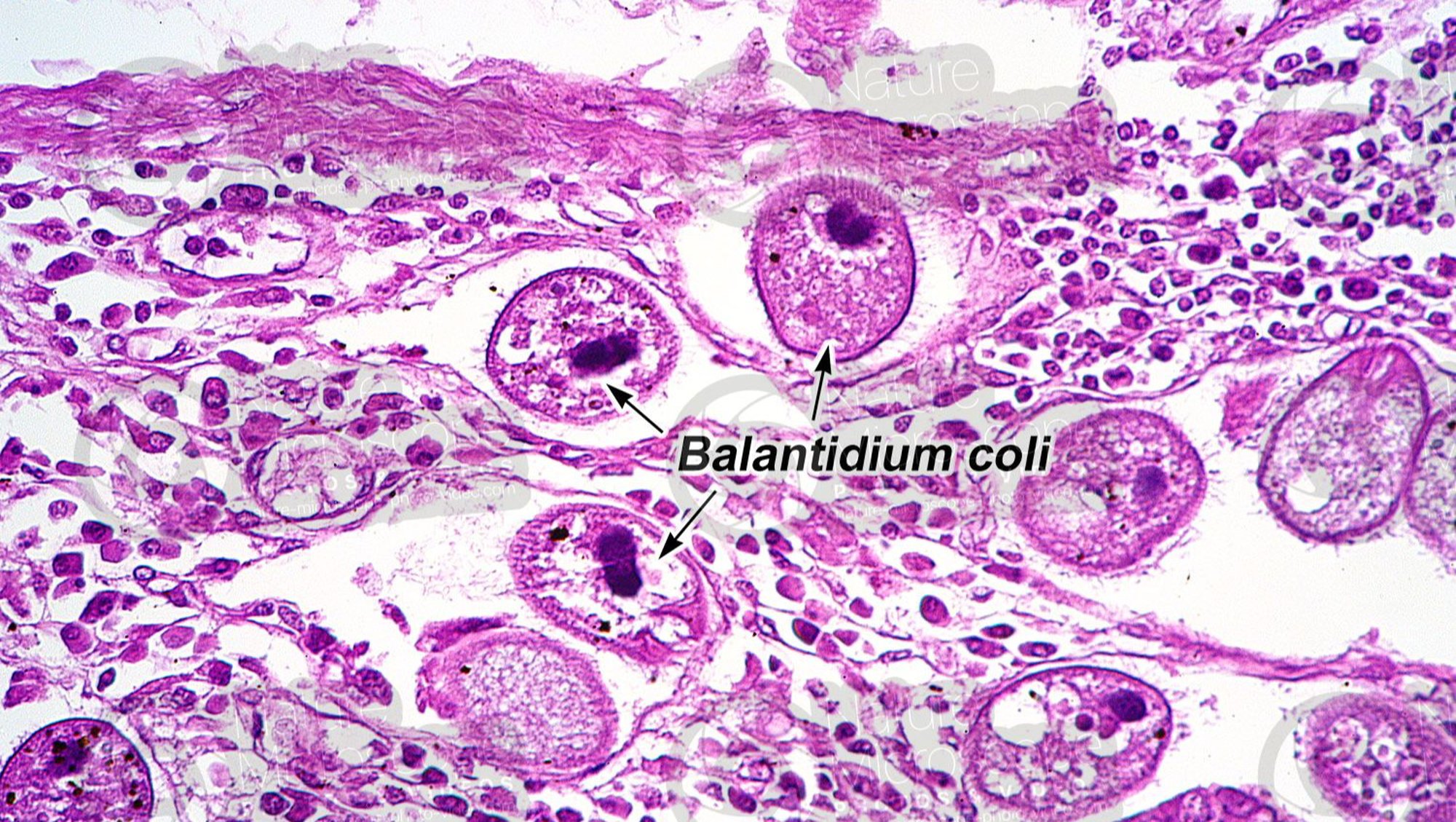
Balantidiasis, Balantidium coli isimli tek hücreli parazitin sebep olduğu nadir görülen intestinal bir enfeksiyondur. Genellikle domuzları etkileyen bu parazit, nadir olsa da domuz dışkısıyla dolaylı veya doğrudan etkileşimlerle insana bulaşabilmektedir. Çoğunlukla asemptomatik olmakla beraber, bağırsak iltihaplanmasını ya da amipli dizanteriyi andıran hafif şiddetli semptomlar gösterebilir. Çok nadir durumlarda bu parazit sadece bağırsakları etkilemekle kalmayıp akciğeri de etkileyebilir. Bu parazit hijyenin yetersiz olduğu ortamlarda çoğunlukla kontamine sıvı veya yiyecekler yoluyla bulaşmaktadır.
Belirti ve Bulgular
Balantidiasis, genelde semptom göstermediği için teşhisi zor bir enfeksiyondur. Bazı vakalarda hafif şiddetli seyrettiği izlenmiştir. Enfeksiyon gelişmiş bir kişide semptomlar genellikle parazitle temastan çok kısa bir süre sonra ortaya çıkar. Bu temas beraberinde birçok belirti getirir. Bu belirtiler arasında en yaygın gözlenenler şunlardır:
- Diyare (İshal),
- Kusma,
- Karın Ağrısı,
- Dizanteri.
B. coli parazitinin sebep olduğu bu hastalık semptomlarının ağırlığına göre Hafif, Kronik, Akut ve Ekstraintestinal Balantidiasis olarak farklı gruplara ayrılmıştır.
- Hafif Balantidiasis: Hastallığın en sık görülen çeşidi olup sadece diyare ile kendini belli eder.
- Akut Balantidiasis: Ağrılı dışkılama, karın ağrısı, mide bulantısı, kusma ve kanlı ishal gibi belirtiler gösterir.
- Kronik Balantidiasis: Hastalık tedavi edilmediği takdirde karşımıza çıkan bir tablodur. İştah kaybı, diyare, baş ağrısı, sıvı kaybına bağlı dehidrasyon ve kilo kaybı gibi belirtiler gösterir.
- Ekstraintestinal Balantidiasis: Çok nadir görülmekle beraber apandisit, genitoüriner sistem enfeksiyonları ya da pnömoni ile kendini gösterir.
Hastalıkla İlişkili Genler, Etken Faktörler ve Risk Faktörleri
Balantidiasis'in en büyük risk faktörü domuzlardır. Çünkü Balantidium coli paraziti çoğunlukla domuzları enfekte eder ve domuzların dışkısıyla direkt veya dolaylı yoldan temas eden yiyecek ve sulardan insana bulaşabilir.
Teşhis Yöntemleri
Hastada B. coli parazitinin varlığının incelenmesi için çeşitli tetkikler bulunur. Bu parazit değişen zamanlarda ve miktarlarda dışkı ile beraber atıldığı için birkaç gün arayla gaita incelemesi önem arz etmektedir. Kolorektal sürüntü, rektoskopi, kolorektal mukozadan örnek alınması ya da kolonoskopi; tanının kesinleşmesi için kullanılabilecek teşhis yöntemlerindendir. Ülseratif Kolit, Crohn hastalığı ve Huzursuz Bağırsak Sendromu gibi hastalıklar ile benzer semptomlar gösterdiği için ayırıcı tanılar da dikkate alınmalıdır.
Tedaviler veya İdare Yöntemleri
Balantidiasis enfeksiyonunu tedavi etmek için genellikle antibiyotik tedavisinden yararlanılır. Tedavide sıklıkla kullanılan ilaçlar ise tetrasiklin ve metronidazoldur.
Müddet Tahminleri (Prognoz)
Balantidiasis enfeksiyonu Balantidium coli paraziti ile temastan kısa bir süre sonra semptom göstermeye başlar. Uygun tedaviye başlandığında ise hastalığın semptomları azalır ve yok olur. Tedaviye aksatılmadan devam edilmesi ve uzman hekimin önerdiği süre boyunca antibiyotiklerin kullanılması enfeksiyondan tamamen kurtulma oranını arttıracaktır.
Görülme Sıklığı ve Dağılımı (Epidemiyoloji)
Kadın ve erkekleri eşit derece etkileyen bu hastalık; çoğunlukla hijyenin gerekli seviyede sağlanamadığı, kontaminasyon riski yüksek tropikal bölgelerde rastlanan nadir bir hastalıktır.
Önlem Yöntemleri
Balantidium coli parazitinin çoğunlukla kontamine gıda veya su ile bulaştığı bilindiğinden, içme sularının arıtılması, yiyeceklerin uygun şekilde temizlenmesi, işlenmesi, pişirilmesi ve Balantidiasis hastaları ile temastan kaçınılması önlem yöntemleri arasında sayılabilir.
Etimoloji
Balantidium coli paraziti kese görünümünde olduğu için eski Yunanca'da "çanta" veya "kese" anlamına gelen "βαλαντίδιον" (balantídion) kelimesinden esinlenilerek isimlendirilmiş bir parazittir. Hastalık da adını, sebebi olan parazitin isminin türetilmesiyle almıştır.
Evrim Ağacı'nda tek bir hedefimiz var: Bilimsel gerçekleri en doğru, tarafsız ve kolay anlaşılır şekilde Türkiye'ye ulaştırmak. Ancak tahmin edebileceğiniz gibi Türkiye'de bilim anlatmak hiç kolay bir iş değil; hele ki bir yandan ekonomik bir hayatta kalma mücadelesi verirken...
O nedenle sizin desteklerinize ihtiyacımız var. Eğer yazılarımızı okuyanların %1'i bize bütçesinin elverdiği kadar destek olmayı seçseydi, bir daha tek bir reklam göstermeden Evrim Ağacı'nın bütün bilim iletişimi faaliyetlerini sürdürebilirdik. Bir düşünün: sadece %1'i...
O %1'i inşa etmemize yardım eder misiniz? Evrim Ağacı Premium üyesi olarak, ekibimizin size ve Türkiye'ye bilimi daha etkili ve profesyonel bir şekilde ulaştırmamızı mümkün kılmış olacaksınız. Ayrıca size olan minnetimizin bir ifadesi olarak, çok sayıda ayrıcalığa erişim sağlayacaksınız.
Makalelerimizin bilimsel gerçekleri doğru bir şekilde yansıtması için en üst düzey çabayı gösteriyoruz. Gözünüze doğru gelmeyen bir şey varsa, mümkünse güvenilir kaynaklarınızla birlikte bize ulaşın!
Bu makalemizle ilgili merak ettiğin bir şey mi var? Buraya tıklayarak sorabilirsin.
İlgili Sorular
Soru & Cevap Platformuna Git- 6
- 5
- 4
- 4
- 3
- 2
- 2
- 1
- 1
- 1
- 0
- 0
- National Organization for Rare Disorders. Balantidiasis - Symptoms, Causes, Treatment | Nord. Alındığı Tarih: 10 Haziran 2023. Alındığı Yer: National Organization for Rare Disorders | Arşiv Bağlantısı
- Empendium. Balantidiasis. Alındığı Tarih: 10 Haziran 2023. Alındığı Yer: Empendium | Arşiv Bağlantısı
- B. S. E. Henderson. What Is Balantidiasis?. Alındığı Tarih: 10 Haziran 2023. Alındığı Yer: News Medical Life Science | Arşiv Bağlantısı
- W. Levinson, et al. (2018). Review Of Medical Microbiology And Immunology. ISBN: 978-1-25-964450-4. Yayınevi: McGraw-Hill/Appleton & Lange. sf: 833.
- C. -. C. F. D. C. A. Prevention. Cdc - Balantidiasis. (26 Mayıs 2023). Alındığı Tarih: 10 Haziran 2023. Alındığı Yer: CDC | Arşiv Bağlantısı
Evrim Ağacı'na her ay sadece 1 kahve ısmarlayarak destek olmak ister misiniz?
Şu iki siteden birini kullanarak şimdi destek olabilirsiniz:
kreosus.com/evrimagaci | patreon.com/evrimagaci
Çıktı Bilgisi: Bu sayfa, Evrim Ağacı yazdırma aracı kullanılarak 21/10/2025 14:59:57 tarihinde oluşturulmuştur. Evrim Ağacı'ndaki içeriklerin tamamı, birden fazla editör tarafından, durmaksızın elden geçirilmekte, güncellenmekte ve geliştirilmektedir. Dolayısıyla bu çıktının alındığı tarihten sonra yapılan güncellemeleri görmek ve bu içeriğin en güncel halini okumak için lütfen şu adrese gidiniz: https://evrimagaci.org/s/14818
İçerik Kullanım İzinleri: Evrim Ağacı'ndaki yazılı içerikler orijinallerine hiçbir şekilde dokunulmadığı müddetçe izin alınmaksızın paylaşılabilir, kopyalanabilir, yapıştırılabilir, çoğaltılabilir, basılabilir, dağıtılabilir, yayılabilir, alıntılanabilir. Ancak bu içeriklerin hiçbiri izin alınmaksızın değiştirilemez ve değiştirilmiş halleri Evrim Ağacı'na aitmiş gibi sunulamaz. Benzer şekilde, içeriklerin hiçbiri, söz konusu içeriğin açıkça belirtilmiş yazarlarından ve Evrim Ağacı'ndan başkasına aitmiş gibi sunulamaz. Bu sayfa izin alınmaksızın düzenlenemez, Evrim Ağacı logosu, yazar/editör bilgileri ve içeriğin diğer kısımları izin alınmaksızın değiştirilemez veya kaldırılamaz.