Amebiyazis (Amipli Dizanteri) Nedir? Entamoeba histolytica Enfeksiyonu Nasıl Tedavi Edilir?

- Hastalık Kataloğu
- Tıp
- Protozooloji
Bu içerik tıp ve sağlık ile ilişkilidir. Sadece bilgi amaçlı olarak hazırlanmıştır. Bireysel bir tıbbi tavsiye olarak görülmemelidir. Evrim Ağacı'ndaki hiçbir içerik; profesyonel bir hekim tarafından verilen tıbbi tavsiyelerin, konulan bir teşhisin veya önerilen bir tedavinin yerini alacak biçimde kullanılmamalıdır.
- Türkçe Adı Amebiyazis
- İngilizce Adı Amebiasis
- Latince Adı Amoebiasis
- NIH
- Diğer İsimleri Amipli Dizanteri
Bu Makalede Neler Öğreneceksiniz?
- Identify Amebiasis as an intestinal infection caused by the parasitic amoeba Entamoeba histolytica, affecting 500 million people annually worldwide.
- Describe the parasite's life stages as cyst and trophozoite forms, with cysts spreading infection through contaminated food, water, or contact.
- List symptoms including diarrhea, abdominal pain, and blood in stool, and note diagnosis challenges due to asymptomatic carriers and extraintestinal infections.
Amebiyazis ya da bilinen adıyla amipli dizanteri, tek hücreli parazitik bir amip türünün sebep olduğu bir bağırsak enfeksiyonudur. Parazitik olduğu gibi doğada serbest olarak da yaşayabilen Entamoeba histolytica adlı amip türünün neden olduğu bu hastalık, asemptomatik olabildiği gibi şiddetli amebik kolit ve hatta ekstraintestinal amebiyazis gibi çeşitli patolojik olgularda karşımıza çıkar. Bu amip türü her yıl dünyada beş yüz milyon insana bulaşmakta, elli milyon insanda hastalığa sebep olmakta ve yüz bin insanın ölümünden sorumlu tutulmaktadır [1].
Hastalığın etkeni Entamoeba histolytica’nın yaşam döngüsünde diğer Entamoeba türlerinde olduğu gibi iki adet evre vardır; Kist ve trofozoit evreleri. Amip, insan veya diğer memelilerin intestinal (bağırsak) sisteminde ve doğada trofozoit yani aktif beslenebilen ve bölünerek çoğalabilen evresinde yaşamaktadır. Patojen olan hali de trofozoit formudur.
Parazitin yaşam döngüsü, insanların (nadir de olsa kedi köpek gibi diğer memelilerin) kalın bağırsağında bahsettiğimiz trofozoit formunda başlar. Amip, burada proteolitik ve doku parçalayıcı olarak etki gösterir. Besin ihtiyacını bağırsak epitel hücrelerini yiyerek karşılar (amiplerde yemenin karşılığı fagosite etmektir). Yeterince beslenip büyüyen amipler ikiye bölünerek (İng: "binary fission") çoğalır ve parçalardan birisi kist formuna dönüşür. Parazitin çevreye yayıldığı ve yeni bulaş sebebi olduğu formu ise bu kist formudur.
Kistler, konağın dışkısı ile dış ortama atılır ve burada çevre şartlarına günlerce dayanabilir. İçerisinde kist bulunduran dışkı içme sularını, tarla bahçede yetiştirilen meyve sebzeleri kontamine ederse veya direkt olarak el-ağız ile fiziksel temasta bulunursa, enfeksiyon kistlerin yutulması ile yayılmış olur. Konağın ince bağırsaklarına gelen kistler burada ekskiste olarak kist formundan trofozoit formuna dönüşürler. Buradan da kalın bağırsaklara geçen trofozoitler enfeksiyonun döngüsünü sağlamış olur. Bazı durumlarda amip, konağın bağırsak epitellerinde açtığı portantrelerden kan dolaşımına geçebilmekte ve karaciğere giderek karaciğer apselerine sebep olabilmektedir. Ekstraintestinal amebiyazis adı verilen bu durum amipli dizanteri ile aynı semptomları göstermeyeceğinden teşhisi de zorlaşmaktadır.[2]
Parazitin histopatolojik etkileri spesifik değildir. Kalın bağırsaklarda oluşturduğu histolojik hasarlar genelde ülserler, mukozal kalınlaşma, mukozal ödem ve nadir de olsa matara şekilli ülserler (İng: "flask-shaped ulcer") olarak görülür.[3]
Belirti ve Semptomlar
Entamoeba ile enfekte insanların yaklaşık %10 ila %20 kadarı semptom göstermektedir.[4] Kalanı ise asemptomatik olarak taşıyıcı görevi görmektedir. Hastalıkta görülen başlıca semptomlar şunlardır:
- Gevşek kıvamlı dışkılama veya ishal,
- Karın ağrısı ve krampları,
- Yoğun enfeksiyonlarda dışkıda sindirilmemiş kan görülmesi,
- Belli belirsiz ateş.
Enfeksiyon, ekstraintestinal olarak karaciğerde şekillenirse semptomlar da karaciğer hasarına spesifik olarak görülecektir. Bunun yanında çok nadir de olsa parazitin akciğerlere ve beyin dokusunda ulaştığı da görülmüştür.
Teşhis Yöntemleri
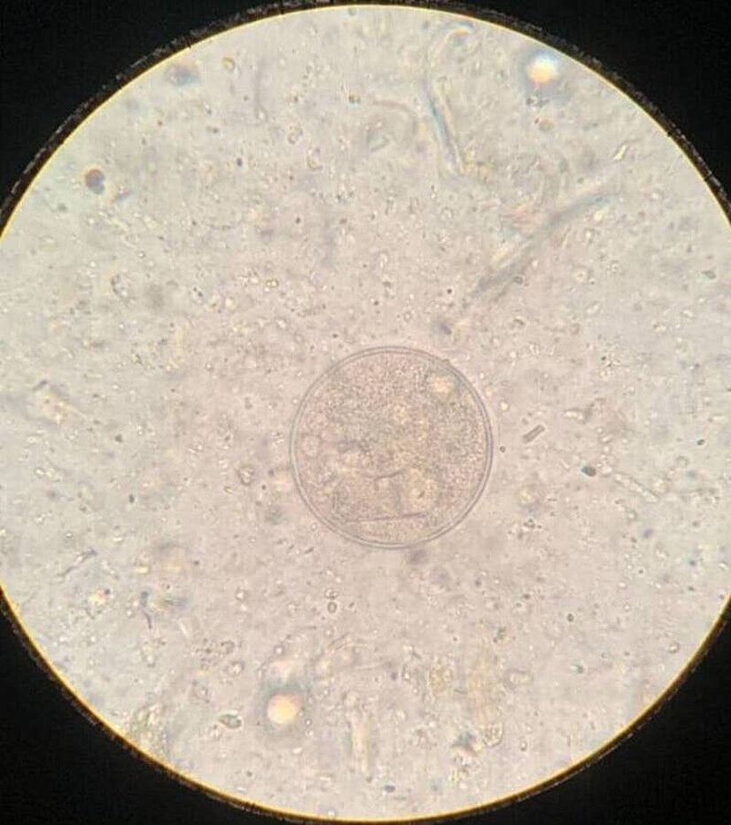
E. histolytica'nın teşhisi zorlayıcı olabilmektedir. Dışkı yoluyla bulaşan bu parazitin en kolay ve hızlı teşhis yöntemi direkt veya indirekt dışkı mikroskopisidir. Ancak semptomlar kısmında bahsettiğimiz gibi enfekte insanların yaklaşık %10'luk kısmı semptom göstermekte ve bu %10'luk kesimin yalnızca %30'luk kısmının direkt dışkı örneklerinde parazite rastlanmaktadır[5]. Dışkısında parazitin kistlerini çevreye yayan kişilerin bile her dışkılamalarında kist bulunmayabilmektedir. Bunun için şüpheli bireylerin birkaç günlük dışkı örnekleri incelenmektedir.
Daha kesin tanı yöntemleri ise moleküler tanı yöntemleridir. Bunların başında ELISA (İng: "Enzym Linked Immunosorbent Assay") ve PCR (İng: "Polymerase Chain Reaction") gelmektedir. Moleküler tanı yöntemlerinin amebiyazis tanısında kullanılmaları gerekmesinin bir diğer önemli sebebi ise E. histolytica'nın ona çok benzeyen yakın bir akrabası olmasıdır: Entamoeba dispar. Mikroskobik görüntülerde neredeyse birebir aynı görünen bu iki türü ayırt etmek çok zordur. E. dispar türü, insanların bağırsaklarında doğal olarak yaşayabilir ve hiçbir zaman hastalık yapmaz. Bu yüzden bu iki türün ayrımının yapılması çok önemlidir. Moleküler testlerden E. dispar sonucunun çıkması, kişide dizanteri veya kolit gibi hastalıklara sebep olan başka bir etken olduğu anlamına gelmektedir.

İnsan bağırsaklarında bulunabilen bir diğer Entamoeba türü de Entamoeba moshkovskii türüdür. Bu tür de yapılan moleküler çalışmalarda rapor edilmektedir; ancak patojenitesi tam olarak belirlenememiştir.
Bağırsaklardan alınan sürüntü veya dışkı örneklerinden ve karaciğer biyopsi örneklerinden E. histolytica için kültürler de yapılabilmektedir. Ancak kültür muayenelerini başarı oranı çok yüksek değildir.
Evrim Ağacı'nın çalışmalarına Kreosus, Patreon veya YouTube üzerinden maddi destekte bulunarak hem Türkiye'de bilim anlatıcılığının gelişmesine katkı sağlayabilirsiniz, hem de site ve uygulamamızı reklamsız olarak deneyimleyebilirsiniz. Reklamsız deneyim, sitemizin/uygulamamızın çeşitli kısımlarda gösterilen Google reklamlarını ve destek çağrılarını görmediğiniz, %100 reklamsız ve çok daha temiz bir site deneyimi sunmaktadır.
KreosusKreosus'ta her 50₺'lik destek, 1 aylık reklamsız deneyime karşılık geliyor. Bu sayede, tek seferlik destekçilerimiz de, aylık destekçilerimiz de toplam destekleriyle doğru orantılı bir süre boyunca reklamsız deneyim elde edebiliyorlar.
Kreosus destekçilerimizin reklamsız deneyimi, destek olmaya başladıkları anda devreye girmektedir ve ek bir işleme gerek yoktur.
PatreonPatreon destekçilerimiz, destek miktarından bağımsız olarak, Evrim Ağacı'na destek oldukları süre boyunca reklamsız deneyime erişmeyi sürdürebiliyorlar.
Patreon destekçilerimizin Patreon ile ilişkili e-posta hesapları, Evrim Ağacı'ndaki üyelik e-postaları ile birebir aynı olmalıdır. Patreon destekçilerimizin reklamsız deneyiminin devreye girmesi 24 saat alabilmektedir.
YouTubeYouTube destekçilerimizin hepsi otomatik olarak reklamsız deneyime şimdilik erişemiyorlar ve şu anda, YouTube üzerinden her destek seviyesine reklamsız deneyim ayrıcalığını sunamamaktayız. YouTube Destek Sistemi üzerinde sunulan farklı seviyelerin açıklamalarını okuyarak, hangi ayrıcalıklara erişebileceğinizi öğrenebilirsiniz.
Eğer seçtiğiniz seviye reklamsız deneyim ayrıcalığı sunuyorsa, destek olduktan sonra YouTube tarafından gösterilecek olan bağlantıdaki formu doldurarak reklamsız deneyime erişebilirsiniz. YouTube destekçilerimizin reklamsız deneyiminin devreye girmesi, formu doldurduktan sonra 24-72 saat alabilmektedir.
Diğer PlatformlarBu 3 platform haricinde destek olan destekçilerimize ne yazık ki reklamsız deneyim ayrıcalığını sunamamaktayız. Destekleriniz sayesinde sistemlerimizi geliştirmeyi sürdürüyoruz ve umuyoruz bu ayrıcalıkları zamanla genişletebileceğiz.
Giriş yapmayı unutmayın!Reklamsız deneyim için, maddi desteğiniz ile ilişkilendirilmiş olan Evrim Ağacı hesabınıza üye girişi yapmanız gerekmektedir. Giriş yapmadığınız takdirde reklamları görmeye devam edeceksinizdir.
Tedaviler veya İdare Yöntemleri
Parazitin tedavisinde kullanılan ilaçlar bağırsak mukozasını geçip geçmemesine göre değişmektedir. Eğer bağırsak mukozasını geçip epitel hücreleri ile beslenmeye başlamışsa yani hasta birey semptom gösteriyorsa Metronidazol adı verilen bir antibiyotik etkili olacaktır. Ancak parazit bağırsak lümeninde serbest halde yaşıyor ve asemptomatik seyrediyorsa Paromomisin ve Diloxanide furoate etken maddeli ilaçların peş peşe kullanımı gerekmektedir. Bu iki ilaç sayesinde bağırsaktaki kist halinde bulunan amipler de etkisiz hale gelecek ve enfekte bireyin taşıyıcılığı da engellenmiş olacaktır.
Müddet Tahminleri (Prognoz)
E. histolytica konağa oral yolla giriş yaptıktan sonra bir inkubasyon sürecine girer. Bu süre 2 ila 4 hafta arasında değişmekle birlikte konağın immun sistemine, bağırsakların doğal mikrobiyatasına ve alınan kist sayısına bağlı olarak birkaç gün ila birkaç ay dolaylarında değişmektedir.
Hastalığın prognozu yine inkubasyon süresinin bağlı olduğu faktörlere bağlı olarak değişmektedir. Çok fazla sayıda kist ile enfekte olmuş bireyler daha şiddetli semptomlar gösterebilir. Dünyada her sene yüz bin dolaylarında ölümden sorumlu olan bu parazit genel olarak pediatrik ve geriatrik hastalarda ölüme sebep olmaktadır. Bağışıklık sistemi güçlü yetişkinlerde neredeyse tamamen asemptomatik ya da hafif şiddetle ilerlemektedir. Ancak bu yüksek ölüm oranları (mortalite) yüksek bulaş yeteneği (morbidite) ile ilişkilidir. Risk grubu içerisinde hamileler, yeni doğum yapmış kadınlar, yeni doğan bebekler, immun sistemi baskılanmış olanlar ve kanser benzeri immunsupresif hastalıklara sahip olanlar bulunmaktadır.
Parazitin ekstraintestinal yerleşimlerinde ise mortalite oranı daha fazladır. Özellikle akciğer ve perikart yerleşimlerinde mortalite %20'lere kadar çıkabilmektedir. Komplikasyonsuz ve bir diğer hastalığın etkisi altında olmayan hastalarda zamanında tedaviden sonra mortalitenin ancak %1 civarında seyrettiği görülmektedir.
Görülme Sıklığı ve Dağılımı (Epidemiyoloji)
Dünya genelinde amebiyazisin görülme oranı gelişmemiş ve gelişmekte olan ülkelerde oldukça fazladır. Bu parazitin yayılma ve bulaşmada en önemli kaynağı kontamine olmuş sular ve tarım ürünleridir. Bu nedenle gelişmemiş veya gelişmekte olan ülkelere yapılan seyahatlerde hastalığa yakalanma riski oldukça fazladır.
Bulaş yollarından bir diğeri de direkt anal-rektal temaslardır. Bu bağlamda hastanede yapılan rektal muayene, kolonoskopi gibi yöntemler bulaşta risk teşkil etmektedir. Nadir de olsa anal-oral seks kaynaklı bulaşlar olduğu raporlanmıştır.[6]
Önlem Yöntemleri
Amebiyazisin önlenmesinde dikkat edilmesi gereken en önemli husus diğer birçok hastalıkta olduğu gibi hijyendir. Kontamine olmuş sular ve yiyecekler E. histolytica'nın en sevdiği bulaş kaynaklarıdır. Özellikle organik sebze meyvelerin yenmeden önce düzgün bir şekilde yıkanması gerekmektedir. Endemik denebilecek bölgelerde yaşıyorsanız doğal su kaynaklarından su içmemek, mümkünse ev ve iş yerlerinde su arıtıcıları kullanmak veya çeşme suyu tüketmemek gerekmektedir. Endemik bölgelere yapılacak seyahatlerde ise mümkün olduğunda şişelenmiş su tüketilmelidir. Sokak yiyecekleri de önemli bir bulaş kaynağı olabileceğinden herhangi bir sokak yiyeceğini çiğ tüketmemeye özen gösterilmelidir. Entamoeba kistlerinin dış ortam şartlarına oldukça dayanıklı olabileceği unutulmamalıdır.
Etimoloji
"Amebiyazis" adı amiplerin sebep olduğu enfeksiyon/hastalık anlamına gelmektedir. Halk arasında daha çok amipli dizanteri olarak bilinmektedir. Dizanteri, çoğu zaman kanlı ishal ve kalın bağırsak tahribatı ile seyreden; karın ağrısı, mide krampları, kusma ve ateş ile karakterize bir gastrointestinal sistem hastalığıdır. Dizanteriye genellikle bakteriler sebep olurken Entamoeba histolytica'nın sebep olduğu dizanteri çeşidine amipli dizanteri denmektedir.
Halk arasında kullanılmamasına rağmen bazı bilimsel kaynaklarda cins adına ithafen entamoebiasis adı da kullanılmaktadır.
Evrim Ağacı'nda tek bir hedefimiz var: Bilimsel gerçekleri en doğru, tarafsız ve kolay anlaşılır şekilde Türkiye'ye ulaştırmak. Ancak tahmin edebileceğiniz gibi Türkiye'de bilim anlatmak hiç kolay bir iş değil; hele ki bir yandan ekonomik bir hayatta kalma mücadelesi verirken...
O nedenle sizin desteklerinize ihtiyacımız var. Eğer yazılarımızı okuyanların %1'i bize bütçesinin elverdiği kadar destek olmayı seçseydi, bir daha tek bir reklam göstermeden Evrim Ağacı'nın bütün bilim iletişimi faaliyetlerini sürdürebilirdik. Bir düşünün: sadece %1'i...
O %1'i inşa etmemize yardım eder misiniz? Evrim Ağacı Premium üyesi olarak, ekibimizin size ve Türkiye'ye bilimi daha etkili ve profesyonel bir şekilde ulaştırmamızı mümkün kılmış olacaksınız. Ayrıca size olan minnetimizin bir ifadesi olarak, çok sayıda ayrıcalığa erişim sağlayacaksınız.
Makalelerimizin bilimsel gerçekleri doğru bir şekilde yansıtması için en üst düzey çabayı gösteriyoruz. Gözünüze doğru gelmeyen bir şey varsa, mümkünse güvenilir kaynaklarınızla birlikte bize ulaşın!
Bu makalemizle ilgili merak ettiğin bir şey mi var? Buraya tıklayarak sorabilirsin.
Soru & Cevap Platformuna Git- 13
- 7
- 7
- 4
- 3
- 2
- 2
- 1
- 1
- 0
- 0
- 0
- ^ H. Zulfiqar, et al. (2022). Amebiasis. StatPearls Publishing. doi: 10.30137820. | Arşiv Bağlantısı
- ^ CDC. Entamoeba Histolytica Infection. Alındığı Tarih: 29 Aralık 2021. Alındığı Yer: CDC | Arşiv Bağlantısı
- ^ Á. Guevara, et al. (2018). Use Of Real-Time Polymerase Chain Reaction To Differentiate Between Pathogenic Entamoeba Histolytica And The Nonpathogenic Entamoeba Dispar In Ecuador. The American Journal of Tropical Medicine and Hygiene, sf: 81-82. doi: 10.4269/ajtmh.17-1022. | Arşiv Bağlantısı
- ^ Z. Fonseca, et al. (2019). Pathogenic Entamoeba Histolytica,But Not Entamoeba Dispar,Induce Neutrophil Extracellular Trap (Net) Formation. Journal of Leukocyte Biology. doi: 10.1002/JLB.MA0818-309RRR. | Arşiv Bağlantısı
- ^ M. Kantor, et al. (2018). Entamoeba Histolytica: Updates In Clinical Manifestation, Pathogenesis, And Vaccine Development. Canadian Journal of Gastroenterology and Hepatology. | Arşiv Bağlantısı
- ^ L. A. Baxt, et al. (2008). New Insights Into Entamoeba Histolytica Pathogenesis : Current Opinion In Infectious Diseases. Current Opinion in Infectious Diseases. doi: 10.1097/QCO.0b013e32830ce75f. | Arşiv Bağlantısı
Evrim Ağacı'na her ay sadece 1 kahve ısmarlayarak destek olmak ister misiniz?
Şu iki siteden birini kullanarak şimdi destek olabilirsiniz:
kreosus.com/evrimagaci | patreon.com/evrimagaci
Çıktı Bilgisi: Bu sayfa, Evrim Ağacı yazdırma aracı kullanılarak 04/10/2025 11:52:11 tarihinde oluşturulmuştur. Evrim Ağacı'ndaki içeriklerin tamamı, birden fazla editör tarafından, durmaksızın elden geçirilmekte, güncellenmekte ve geliştirilmektedir. Dolayısıyla bu çıktının alındığı tarihten sonra yapılan güncellemeleri görmek ve bu içeriğin en güncel halini okumak için lütfen şu adrese gidiniz: https://evrimagaci.org/s/13323
İçerik Kullanım İzinleri: Evrim Ağacı'ndaki yazılı içerikler orijinallerine hiçbir şekilde dokunulmadığı müddetçe izin alınmaksızın paylaşılabilir, kopyalanabilir, yapıştırılabilir, çoğaltılabilir, basılabilir, dağıtılabilir, yayılabilir, alıntılanabilir. Ancak bu içeriklerin hiçbiri izin alınmaksızın değiştirilemez ve değiştirilmiş halleri Evrim Ağacı'na aitmiş gibi sunulamaz. Benzer şekilde, içeriklerin hiçbiri, söz konusu içeriğin açıkça belirtilmiş yazarlarından ve Evrim Ağacı'ndan başkasına aitmiş gibi sunulamaz. Bu sayfa izin alınmaksızın düzenlenemez, Evrim Ağacı logosu, yazar/editör bilgileri ve içeriğin diğer kısımları izin alınmaksızın değiştirilemez veya kaldırılamaz.