Keşfedin, Öğrenin ve Paylaşın
Evrim Ağacı'nda Aradığın Her Şeye Ulaşabilirsin!
Yeni Soru Sor
Paylaşım Yap
2,500 ATP Ödüllü Soru: Dinozorların etini, kırmızı et ya da beyaz et olarak sınıflandırabilir miyiz? Hemen cevapla! 500 ATP Ödüllü Soru: Eğer Karadeliğin yuttuğu maddeler bir yerden çıkıyorsa bu gök cisimlerinin büyümemesi gerekmez mi? Hemen cevapla!
Sorulara Dön
Gökhan Özmen
Gökhan Özmen
20.3K UP
Üye 11 Haziran 2023
3

Domuzlar arasında nasıl yayılır? İnsanın domuz eti yemesi durumunda insana bulaşırmı?

Domuzların dışkı yeme alışkanlıkları var. Dışkı yolu ile insana bulaşan bu hastalık, hasta olan domuzun dışkısını sağlıklı bir domuzun yemesi durumunda başka domuza bulaşırmı? Bu hastalığa karşı domuzların bir bağışıklığı varmı? Dışkı yemiş olan domuza insan gibi bulaşma söz konusu olabilirmi? Hasta olan domuzun eti yenirse insana bulaşırmı?
1 Cevap - 1,003 görüntülenme
  • Şikayet Et
  • Mantık Hatası
0
  • Paylaş
  • Alıntıla
  • Alıntıları Göster
Tüm Reklamları Kapat
1 Cevap
Binnur Balantekin
Moleküler Biyolog 14 Haziran 2023

Merhaba Gökhan Bey,

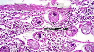
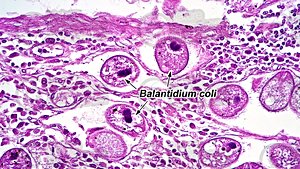
Balantidiasis, Balantidium Coli isimli parazitin sebep olduğu nadir görülen intestinal bir hastalıktır. Çoğunlukla domuzları etkiler. Domuzlar arasında bulaş şekli de sorduğunuz gibi dışkı yoluyla olur. Çünkü intestinal bir enfeksiyon olduğu için parazit dışkı yoluyla atılır. Bu dışkıyla temas eden her şeyden balantidium coli paraziti hem hayvanlara hem de insanlara geçebilir. Dışkı yiyen sağlıklı bir domuz bu paraziti vücuduna alarak enfeksiyon kapabilir ve diğer sağlıklı domuzlara da bulaştırabilir. Bir çok araştırma okudum fakat domuzların balantidium coli isimli parazite bir bağışıklığının olup olmadığı konusunda bir çalışmaya denk gelmedim. Paraziter enfeksiyonlar hem humoral hem de hücresel düzeyde çeşitli savunma mekanizmalarını harekete geçirmektedir. Bağışıklık yanıtının türü parazit ve enfeksiyonun evresiyle ilişkilidir. Özetlemek gerekirse bu parazit, insanlarda da hayvanlarda da aynı şekilde bulaşır ve dışkı ile kontamine olmuş yiyecek veya içeceklerin vücuda girmesi ile enfeksiyon oluşur. Balantidium Coli Paraziti intestinal bir enfeksiyondur çok nadir durumlarda akciğerde de kendini gösterebilir. Bu yüzden domuz etine geçmesi gibi bir durum söz konusu değildir. Domuz eti eğer balantidium coli içeren dışkı ile temas ederse bu etin yenmesi durumunda insana bulaşabilir. Umarım sorunuzu yanıtlayabilmişimdir. Belki bu hastalığın mekanizmasını daha detaylı öğrenmek isterseniz diye sizinle bir kaç kaynak paylaşıyorum. Sağlıklı günler dilerim.

Tüm Reklamları Kapat

Kaynaklar

  1. C. M. Curtis, et al. Parasitic Infections Of The Gastrointestinal Tract. (4 Kasım 2020). Alındığı Tarih: 14 Haziran 2023. Alındığı Yer: Elsevier BV doi: 10.1016/B978-0-323-04579-7.00108-8. | Arşiv Bağlantısı
  2. B. S. E. Henderson. What Is Balantidiasis?. Alındığı Tarih: 14 Haziran 2023. Alındığı Yer: News-Medical | Arşiv Bağlantısı
Bu cevap, soru sahibi tarafından en iyi cevap seçilmiştir. Ancak bu, cevabın doğru olduğunu garanti etmez.
3
  • Şikayet Et
  • Mantık Hatası
0
  • Paylaş
  • Alıntıla
  • Alıntıları Göster
Daha Fazla Cevap Göster
Cevap Ver
Bu soru yeni cevap alımına kapatılmıştır. Tekrar açılana kadar lütfen diğer soruları ziyaret ediniz.
Evrim Ağacı Soru & Cevap Platformu, Türkiye'deki bilimseverler tarafından kolektif ve öz denetime dayalı bir şekilde sürdürülen, özgür bir ortamdır. Evrim Ağacı tarafından yayınlanan makalelerin aksine, bu platforma girilen soru ve cevapların içeriği veya gerçek/doğru olup olmadıkları Evrim Ağacı yönetimi tarafından denetlenmemektedir. Evrim Ağacı, bu platformda yayınlanan cevapları herhangi bir şekilde desteklememekte veya doğruluğunu garanti etmemektedir. Doğru olmadığını düşündüğünüz cevapları, size sunulan denetim araçlarıyla işaretleyebilir, daha doğru olan cevapları kaynaklarıyla girebilir ve oylama araçlarıyla platformun daha güvenilir bir ortama evrimleşmesine katkı sağlayabilirsiniz.
Popüler Yazılar
30 gün
90 gün
1 yıl
Evrim Ağacı'na Destek Ol

Evrim Ağacı'nın %100 okur destekli bir bilim platformu olduğunu biliyor muydunuz? Evrim Ağacı'nın maddi destekçileri arasına katılarak Türkiye'de bilimin yayılmasına güç katın.

Evrim Ağacı'nı Takip Et!
Aklımdan Geçen
Komünite Seç
Aklımdan Geçen
Fark Ettim ki...
Bugün Öğrendim ki...
İşe Yarar İpucu
Bilim Haberleri
Hikaye Fikri
Video Konu Önerisi
Başlık
Bugün Türkiye'de bilime ve bilim okuryazarlığına neler katacaksın?
Gündem
Bağlantı
Ekle
Soru Sor
Stiller
Kurallar
Komünite Kuralları
Bu komünite, aklınızdan geçen düşünceleri Evrim Ağacı ailesiyle paylaşabilmeniz içindir. Yapacağınız paylaşımlar Evrim Ağacı'nın kurallarına tabidir. Ayrıca bu komünitenin ek kurallarına da uymanız gerekmektedir.
1
Bilim kimliğinizi önceleyin.
Evrim Ağacı bir bilim platformudur. Dolayısıyla aklınızdan geçen her şeyden ziyade, bilim veya yaşamla ilgili olabilecek düşüncelerinizle ilgileniyoruz.
2
Propaganda ve baskı amaçlı kullanmayın.
Herkesin aklından her şey geçebilir; fakat bu platformun amacı, insanların belli ideolojiler için propaganda yapmaları veya başkaları üzerinde baskı kurma amacıyla geliştirilmemiştir. Paylaştığınız fikirlerin değer kattığından emin olun.
3
Gerilim yaratmayın.
Gerilim, tersleme, tahrik, taciz, alay, dedikodu, trollük, vurdumduymazlık, duyarsızlık, ırkçılık, bağnazlık, nefret söylemi, azınlıklara saldırı, fanatizm, holiganlık, sloganlar yasaktır.
4
Değer katın; hassas konulardan ve öznel yoruma açık alanlardan uzak durun.
Bu komünitenin amacı okurlara hayatla ilgili keyifli farkındalıklar yaşatabilmektir. Din, politika, spor, aktüel konular gibi anlık tepkilere neden olabilecek konulardaki tespitlerden kaçının. Ayrıca aklınızdan geçenlerin Türkiye’deki bilim komünitesine değer katması beklenmektedir.
5
Cevap hakkı doğurmayın.
Aklınızdan geçenlerin bu platformda bulunmuyor olabilecek kişilere cevap hakkı doğurmadığından emin olun.
Keşfet
Ara
Yakında
Sohbet
Agora

Bize Ulaşın

ve seni takip ediyor
Türkiye'deki bilimseverlerin buluşma noktasına hoşgeldiniz!

Göster

Şifremi unuttum Üyelik Aktivasyonu

Göster

Şifrenizi mi unuttunuz? Lütfen e-posta adresinizi giriniz. E-posta adresinize şifrenizi sıfırlamak için bir bağlantı gönderilecektir.

Geri dön

Eğer aktivasyon kodunu almadıysanız lütfen e-posta adresinizi giriniz. Üyeliğinizi aktive etmek için e-posta adresinize bir bağlantı gönderilecektir.

Geri dön

Close
"Tarihte ilk kez bir toprak parçasının etrafını çitle çevirip “Burası benimdir” diyen ve buna inanacak kadar saf olan insanlar bulabilen ilk insan, uygar toplumun ilk kurucusu oldu. O zaman biri çıkıp, çitleri söküp atacak ya da hendeği dolduracak, sonra da insanlara “Sakın dinlemeyin bu sahtekârı. Meyveler herkesindir. Toprak hiç kimsenin değildir. Ve bunu unutursanız mahvolursunuz” diye haykırsaydı, işte o adam, insan türünü, nice suçlardan, nice savaşlardan, nice cinayetlerden kurtaracaktı."
Jean-Jacques Rousseau
Kapak Görseli Seç
Videodan otomatik olarak çıkartılan karelerden birini seçin.
Kareler yükleniyor…
Videoyu kaydırarak istediğiniz kareyi seçin.
0:00 / 0:00
Kendi kapak görselinizi yükleyin. Görsel otomatik olarak kırpılacaktır.
Görseli sürükleyin veya tıklayın PNG, JPG veya WEBP (Maks. 10MB)