Astım Nedir? Astımın Belirtileri Nelerdir? Astım Tedavi Edilebilir mi?

- Hastalık Kataloğu
- Solunum Fizyolojisi
- Göğüs Hastalıkları
Bu içerik tıp ve sağlık ile ilişkilidir. Sadece bilgi amaçlı olarak hazırlanmıştır. Bireysel bir tıbbi tavsiye olarak görülmemelidir. Evrim Ağacı'ndaki hiçbir içerik; profesyonel bir hekim tarafından verilen tıbbi tavsiyelerin, konulan bir teşhisin veya önerilen bir tedavinin yerini alacak biçimde kullanılmamalıdır.
- Türkçe Adı Astım
- İngilizce Adı Asthma
- ICD J45
- Diğer İsimleri Kronik Solunum Yolu Hastalığı, Bronşiyal Astım
Bu Makalede Neler Öğreneceksiniz?
- Define asthma as a chronic inflammatory lung disease characterized by variable symptoms, reversible airway obstruction, and easily triggered bronchospasms.
- Identify genetic and environmental factors, including allergens and pollutants, as causes of asthma, diagnosed through symptom patterns and spirometry.
- Explain asthma treatment involves avoiding triggers and using inhaled corticosteroids, with additional medications for uncontrolled or severe symptoms.
Astım, akciğer hava yollarının uzun süreli inflamatuar bir hastalığıdır.[1] Değişken ve tekrarlayan semptomlar, geri dönüşümlü hava akımı obstrüksiyonu ve kolayca tetiklenen bronkospazmlar ile karakterizedir. Semptomlar hırıltı, öksürük, göğüste sıkışma ve nefes darlığı ataklarını içerir. Bunlar günde veya haftada birkaç kez olabilir. Kişiye bağlı olarak astım semptomları geceleri veya egzersizle daha da kötüleşebilir.
Astımın genetik ve çevresel faktörlerin bir kombinasyonundan kaynaklandığı düşünülmektedir. Çevresel faktörler, hava kirliliğine ve alerjenlere maruz kalmayı içerir. Diğer potansiyel tetikleyiciler arasında aspirin ve beta blokerler gibi ilaçlar bulunur. Tanı genellikle semptomların paternine, tedaviye zaman içinde verilen yanıta ve spirometri testine dayanır. Astım; semptomların sıklığına, bir saniyedeki zorlu ekspiratuar hacim ve tepe ekspiratuar akım hızına göre sınıflandırılır.[2] Aynı zamanda atopik veya atopik olmayan olarak da sınıflandırılabilir; burada "atopi", tip 1 aşırı duyarlılık reaksiyonu geliştirmeye yönelik bir yatkınlığı ifade eder.[3], [4]
Astımın bilinen bir tedavisi yoktur; ancak kolayca kontrol altına alınabilir. Alerjenler ve solunum yolunu tahriş edici maddeler gibi tetikleyicilerden kaçınılarak semptomlar önlenebilir ve inhale kortikosteroid kullanımı ile baskılanabilir. Astım semptomları kontrolsüz kalırsa, inhale kortikosteroidlere ek olarak uzun etkili beta agonistleri (LABA) veya antilökotrien ajanlar kullanılabilir.[5] Hızla kötüleşen semptomların tedavisi genellikle salbutamol ve kortikosteroidler gibi inhale kısa etkili beta-2 agonistleri ile ağızdan alınır. Çok şiddetli vakalarda intravenöz kortikosteroidler, magnezyum sülfat ve hastaneye yatış gerekebilir.

Patofizyoloji ve Patogenez
Astımda hava akımı kısıtlaması tekrarlayıcıdır ve hava yolundaki çeşitli değişikliklerden kaynaklanır. Bunlar şunları içerir:
Bronkokonstriksiyon
Astımda, klinik semptomlara yol açan baskın fizyolojik olay, hava yolunun daralması ve ardından hava akımına müdahaledir. Astımın akut alevlenmelerinde, alerjenler veya tahriş edici maddeler de dahil olmak üzere çeşitli uyaranlara maruz kalmaya yanıt olarak hava yollarını daraltmak için bronşiyal düz kas kasılması (bronkokonstriksiyon) hızla meydana gelir.
Alerjene bağlı akut bronkokonstriksiyon, histamin, triptaz, lökotrienler ve doğrudan hava yolu düz kasını kasılan prostaglandinleri içeren mast hücrelerinden IgE'ye bağlı aracıların salınımından kaynaklanır.[6] Aspirin ve diğer nonsteroid antiinflamatuar ilaçlar da bazı hastalarda akut hava akımı obstrüksiyonuna neden olabilir ve kanıtlar, bu IgE'ye bağımlı olmayan yanıtın aynı zamanda hava yolu hücrelerinden aracı salınımını da içerdiğini gösterir.[7]
Ek olarak, diğer uyaranlar (egzersiz, soğuk hava ve tahriş ediciler dahil) akut hava akımı obstrüksiyonuna neden olabilir. Bu faktörlere hava yolu yanıtını düzenleyen mekanizmalar daha az iyi tanımlanmıştır, ancak yoğunluk yanıtın yüzdesi, altta yatan hava yolu inflamasyonu ile ilgili görünmektedir. Stres, astım alevlenmelerini hızlandırmada da rol oynayabilir.
Hava Yolu İltihaplanması
Hastalık ve iltihaplanma daha kalıcı ve ilerleyici hale geldikçe diğer faktörler hava akışını daha da sınırlandırır. Bunlar ödem, iltihaplanma, aşırı mukus salgısı ve inspire mukus tıkaçlarının oluşumunu ve ayrıca hava yolu düz kasının hipertrofisi ve hiperplazisini içeren yapısal değişiklikleri içerir. Bu son değişiklikler olağan tedaviye yanıt vermeyebilir.

Hava Yolu Aşırı Duyarlılığı
Çok çeşitli uyaranlara karşı abartılı bir bronkokonstriktör yanıtı olan hava yolu aşırı duyarlılığı, astımın önemli bir özelliğidir ancak mutlaka benzersiz değildir. Hava yolu aşırı duyarlılığının, metakolin ile zorluklara verilen kontraktil yanıtlarla tanımlanabilme derecesi, astımın klinik şiddeti ile ilişkilidir. Hava yolu aşırı duyarlılığını etkileyen mekanizmalar çoktur ve inflamasyon, işlevsiz nöroregülasyon ve yapısal değişiklikleri içerir; inflamasyon, hava yolu aşırı duyarlılığının derecesini belirlemede önemli bir faktör gibi görünmektedir. İnflamasyonu azaltmaya yönelik tedavi, hava yolu aşırı duyarlılığını azaltabilir ve astım kontrolünü iyileştirebilir.
Hava Yollarının Yeniden Yapılanması
Astımı olan bazı kişilerde hava akımı sınırlaması sadece kısmen geri döndürülebilir olabilir. Hava yolunda kalıcı yapısal değişiklikler meydana gelebilir; bunlar, mevcut tedavi ile önlenemeyen veya tamamen geri döndürülemeyen, ilerleyici bir akciğer fonksiyonu kaybı ile ilişkilidir. Hava yolunun yeniden şekillenmesi, hava yolu obstrüksiyonunu ve hava yolu yanıtını artıran ve hastayı tedaviye daha az yanıt veren hale getiren hava yolundaki kalıcı değişikliklerle birlikte birçok yapısal hücrenin aktivasyonunu içerir.[8] Bu yapısal değişiklikler, alt taban zarının kalınlaşmasını, epitel altı fibrozu, hava yolu düz kas hipertrofisi ve hiperplazisini, kan damarı proliferasyonu ve genişlemesini ve mukus bezi hiperplazisi ve hipersekresyonunu içerebilir. Onarım ve yeniden şekillenme sürecinin düzenlenmesi henüz tam olarak anlaşılmamıştır ancak hem onarım süreci hem de düzenlenmesi, hastalığın kalıcı doğasını ve terapötik bir yanıtın sınırlamalarını açıklamada kilit olaylar olması muhtemeldir.
Uyaranlar
- Yaygın ev zararlıları, ev tozu akarı ve hamamböceğinin yanı sıra çimen poleni, küf sporları ve evcil hayvan epitel hücrelerinin atıkları dahil, genellikle solunan doğadan alerjenler.
- Parfümler ve parfümlü ürünler dahil olmak üzere uçucu organik bileşiklerden kaynaklanan iç hava kirliliği. Örnekler arasında sabun, bulaşık deterjanı, çamaşır deterjanı, yumuşatıcı, kağıt mendil, kağıt havlu, tuvalet kağıdı, şampuan, saç spreyi, saç jölesi, kozmetik, yüz kremi, güneş kremi, deodorant, kolonya, tıraş kremi, tıraş losyonu, oda spreyi sayılabilir. Bunun yanı sıra mumlar ve yağ bazlı boya gibi ürünler de listeye dahildir.
- Aspirin, beta-adrenerjik antagonistler (beta blokerler), ibuprofen ve penisilin dahil ilaçlar.
- Süt, yer fıstığı ve yumurta gibi gıda alerjileri.
- Sülfit duyarlılığı, astım, koruyucu olarak gıdalara ve şaraba eklenen sülfitlerin yutulması veya solunması reaksiyonunda ortaya çıkabilir.
- Salisilatlar, hassas kişilerde astımı tetikleyebilir. Salisilatlar birçok sağlıklı gıdada doğal olarak bulunur. Aspirin aynı zamanda bir salisilattır.
- Ozon, sis, nitrojen dioksit ve kükürt dioksit gibi fosil yakıta bağlı alerjenik hava kirliliğinin kullanımı, kentsel alanlarda astımın yüksek prevalansının başlıca nedenlerinden biri olarak düşünülmekte.
- Çeşitli endüstriyel bileşikler (örneğin toluen diizosiyanat) ve diğer kimyasallar, özellikle sülfitler; klorlu yüzme havuzları, çevrelerindeki havada astıma neden olduğu bilinen monokloramin (NH2Cl), dikloramin (NHCl2) ve trikloramin (NCl3) üretir.[9], [10]
- Erken çocukluk çağı enfeksiyonları, özellikle viral üst solunum yolu enfeksiyonları. Altı yaşından önce sık solunum yolu enfeksiyonlarından mustarip olan çocuklar, özellikle bu durumdaki bir ebeveynleri varsa, astım geliştirme riski daha yüksektir. Bununla birlikte, normal uyaranları başka bir kategoriden olsa ve enfeksiyon anında mevcut olmasa da her yaştaki kişide soğuk algınlığı ve diğer solunum yolu enfeksiyonları tarafından tetiklenen astım olabilir.[11]
- Etkileri kısa olduğu için diğer uyaranlardan biraz farklı olan egzersiz veya solunum sisteminin yoğun kullanımı. Öncelikle hava yolu epitelinin soğuk ve kuru havaya maruz kalmasına tepki olarak olduğu düşünülmektedir.
- Ergen kızlarda ve yetişkin kadınlarda adet döngüsüyle ilişkili hormonal değişiklikler astımın kötüleşmesine neden olabilir. Bazı kadınlar hamilelik sırasında astımlarında kötüleşme yaşarken diğerleri önemli bir değişiklik görmez ve diğer kadınlarda astım hamilelik sırasında düzelir.
- Psikolojik stresin bir tetikleyici olduğuna dair artan kanıtlar var. Bağışıklık sistemini modüle ederek alerjenlere ve kirleticilere karşı artan bir inflamatuar yanıta neden olabilir.[12]
- Soğuk hava, hastaların nefes almasını zorlaştırabilir. Yüksek irtifanın astıma yardımcı olup olmadığı veya astımı kötüleştirdiği tartışmalıdır ve kişiden kişiye değişebilir.[13]
- Obezite ve obezitenin sistemik inflamasyonunun akciğer fonksiyonunu kötüleştirdiği ve astım alevlenmeleri geliştirme riskini arttırdığı gösterilmiştir.[14]
İlişkili Durumlar
Gastroözofageal reflü hastalığı, rinosinüzit ve obstrüktif uyku apnesi dahil olmak üzere astımlı kişilerde bir dizi başka sağlık durumu daha sık görülür.[15] Psikolojik bozukluklar da daha yaygındır, anksiyete bozuklukları %16 ila %52 arasında ve duygudurum bozuklukları %14-41'de ortaya çıkmaktadır.[16] Astımın psikolojik sorunlara mı yol açtığı yoksa psikolojik sorunların mı astıma yol açtığı bilinmiyor.[17] Erişkinlikte başlayan astım, artan tüm nedenlere bağlı mortalite, kalp hastalığı mortalitesi ve kronik alt solunum yolu hastalığı mortalitesi ile ilişkilidir.[18] Astım, özellikle şiddetli astım, kronik obstrüktif akciğer hastalığının (KOAH) gelişimi ile güçlü bir şekilde ilişkilidir.[19], [20], [21] Astımı olanlar, özellikle kötü kontrol ediliyorsa, radyokontrast reaksiyonları için yüksek risk altındadır.
Aslında maddi destek istememizin nedeni çok basit: Çünkü Evrim Ağacı, bizim tek mesleğimiz, tek gelir kaynağımız. Birçoklarının aksine bizler, sosyal medyada gördüğünüz makale ve videolarımızı hobi olarak, mesleğimizden arta kalan zamanlarda yapmıyoruz. Dolayısıyla bu işi sürdürebilmek için gelir elde etmemiz gerekiyor.
Bunda elbette ki hiçbir sakınca yok; kimin, ne şartlar altında yayın yapmayı seçtiği büyük oranda bir tercih meselesi. Ne var ki biz, eğer ana mesleklerimizi icra edecek olursak (yani kendi mesleğimiz doğrultusunda bir iş sahibi olursak) Evrim Ağacı'na zaman ayıramayacağımızı, ayakta tutamayacağımızı biliyoruz. Çünkü az sonra detaylarını vereceğimiz üzere, Evrim Ağacı sosyal medyada denk geldiğiniz makale ve videolardan çok daha büyük, kapsamlı ve aşırı zaman alan bir bilim platformu projesi. Bu nedenle bizler, meslek olarak Evrim Ağacı'nı seçtik.
Eğer hem Evrim Ağacı'ndan hayatımızı idame ettirecek, mesleklerimizi bırakmayı en azından kısmen meşrulaştıracak ve mantıklı kılacak kadar bir gelir kaynağı elde edemezsek, mecburen Evrim Ağacı'nı bırakıp, kendi mesleklerimize döneceğiz. Ama bunu istemiyoruz ve bu nedenle didiniyoruz.
Astım ve Uyku Apnesi
Hem obstrüktif uyku apnesi hem de astımı olan hastaların, uyku apnesi teşhis edilip tedavi edildiğinde sıklıkla büyük ölçüde düzeldiği artan bir sıklıkla kabul edilmektedir.[22] CPAP (Sürekli Pozitif Havayolu Basıncı Cihazı) sadece gece astımı olan hastalarda etkili değildir.[23]
Astım ve Gastroözofageal Reflü Hastalığı
Gastroözofageal reflü hastalığı (GÖRH) varsa, hasta tekrarlayan asit aspirasyon atakları yaşayabilir. GÖRH, kontrol edilmesi zor astımda yaygın olabilir ancak bir çalışmaya göre, tedavi edilmesi astımı etkilemiyor gibi görünmektedir.[24] Astımın nedeni olarak GÖRH için klinik bir şüphe olduğunda, tanıyı doğrulamak ve GÖRH ile astım arasındaki ilişkiyi kurmak için bir Özofagus pH İzleme gereklidir.
Hamilelikte Astım ve Hava Kirliliğine Maruz Kalma
Astım her yüz hamile kadından dördü ila sekizini etkiler.[25] Bunun nedeni hamilelik sırasında hormonal dalgalanmalara bağlı olarak immünolojik bir kayma olmasıdır.[26] Bazı durumlarda, östrojen seviyelerinde bir artış vardır ve bu da doğal öldürücü hücrelerin aktivitesini, TH1 hücresinin inflamatuar sitokin üretimini ve anti-inflamatuar sitokin üretimini azaltır.[26]
Araştırmacılar, astımlı hamile kadınlarda erken doğum ile hava kirliliğine maruz kalma arasında bir bağlantı bulmuştur. Sonuçlar astımlı kadınların erken doğum riskinin daha yüksek olduğunu ve hamile kadınlarda astım ataklarının, hava kirletici türleri olan nitrojen dioksit ve karbon monoksite sürekli maruz kalma ile ilişkili olduğunu öne sürmüştür.[27]
Araştırmacılar ayrıca kadınların astım geliştirmeye en yatkın oldukları zamanı da incelediler. Veriler, gebe kalmadan önce ve hamilelik sırasında kirleticilere maruz kalan kadınların astım geliştirme riskinin daha yüksek olduğunu göstermiştir.[27]
Diğer çalışmalarda, bilim insanları çocuklarda astım ile doğum öncesi hava kirliliğine maruz kalma arasında bir bağlantı bulmuştur. 65.000 Kanadalı çocuktan oluşan bir araştırmanın sonuçları, hamilelikleri sırasında otoyol yakınında yaşayan annelerin çocuklarının, otoyol yakınında yaşamayan annelerin çocuklarına kıyasla, beş yaşından önce astım geliştirme riskinin %25 arttığını ortaya koydu.[28] Karayolları, karayollarının yakınında nitrojen dioksit ve karbon monoksit (araçlardan yayılan) gibi hava kirleticilerinin birikmesi gibi trafikle ilgili hava kirliliğinin önemli bir kaynağıdır.[28]
Başka bir çalışmada, araştırmacılar Kaliforniya'daki devlet okullarına devam eden 6.000 çocuktan veri topladı. Sonuçlar, doğum öncesinde yüksek düzeyde hava kirliliğine maruz kalmanın, çocukluk döneminde astıma karşı artan duyarlılıkla güçlü bir şekilde ilişkili olduğunu göstermiştir.[29]
Belirti ve Semptomlar
Astım Atakları
Bazı kişilerde astım haftalarca, hatta aylarca stabildir ve ardından aniden bir akut astım atağı gelişebilir. Farklı bireyler, çeşitli faktörlere farklı şekillerde tepki verir.[30] Çoğu kişi, bir dizi tetikleyici uyaran nedeniyle ciddi ataklar geliştirebilir.[30]
Okul çağındaki çocuklarda astım atakları, çocuklar okula döndükten kısa bir süre sonra sonbaharda zirveye ulaşır. Bu, tedaviye zayıf uyum, artan alerjen ve viral maruziyet ve değişmiş bağışıklık toleransı gibi faktörlerin bir kombinasyonunu yansıtabilir. Sonbahar ataklarını azaltmaya yönelik olası yaklaşımlara rehberlik edecek sınırlı kanıt vardır ancak maliyetli olsa da okula dönüşten dört ila altı hafta önce mevsimsel omalizumab tedavisi sonbahar astımı ataklarını azaltabilir.[31]
Akut astım alevlenmelerinde klasik semptomlar nefes darlığı, hırıltı ve göğüste sıkışmadır. Hırıltı özellikle nefes verirken görülür. Bunlar astımın birincil semptomları olmakla birlikte, bazı insanlar öncelikle öksürük şikayeti ile başvururlar ve şiddetli vakalarda hava hareketi, hırıltı duyulmayacak şekilde önemli ölçüde bozulabilir.[32] Çocuklarda göğüs ağrısı sıklıkla mevcuttur.[33]
Astım atağı sırasında ortaya çıkan belirtiler arasında yardımcı solunum kaslarının (sternokleidomastoid ve skalen kaslar) kullanımı, paradoksal bir nabız (inhalasyon sırasında daha zayıf ve ekshalasyon sırasında daha güçlü bir nabız) olabilir ve göğüste aşırı şişme olabilir.[34] Oksijen eksikliğinden ciltte ve tırnaklarda mavi bir renk meydana gelebilir.
Hastalıkla İlişkili Genler, Etken Faktörler ve Risk Faktörleri
Astım, karmaşık ve tam olarak anlaşılmamış çevresel ve genetik etkileşimlerin bir kombinasyonundan kaynaklanır.[35], [36] Bunlar hem şiddetini hem de tedaviye yanıtı etkiler.[37] Son zamanlarda artan astım oranlarının, değişen epigenetik (DNA dizisiyle ilgili olanlar dışındaki kalıtsal faktörler) ve değişen yaşam ortamı nedeniyle meydana geldiğine inanılmaktadır. 12 yaşından önce başlayan astımın genetik etkenlerden kaynaklanması daha olasıyken 12 yaşından sonra başlayan astımın çevresel etkenlere bağlı olması daha olasıdır.[38]
Çevresel Faktörler
Alerjenler, hava kirliliği ve diğer çevresel kimyasallar dahil olmak üzere birçok çevresel faktör astımın gelişimi ve alevlenmesi ile ilişkilendirilmiştir.[39] Hamilelik sırasında ve doğumdan sonra sigara içmek astım benzeri semptomların görülme riskinin artmasıyla ilişkilidir.[40] Trafik kirliliği veya yüksek ozon seviyeleri gibi çevresel faktörlerden kaynaklanan düşük hava kalitesi, hem astım gelişimi hem de artan astım şiddeti ile ilişkilendirilmiştir.[40], [41] Amerika Birleşik Devletleri'ndeki çocuklarda görülen vakaların yarısından fazlası, hava kalitesinin EPA standartlarının altında olduğu bölgelerde meydana gelmektedir.[42] Düşük hava kalitesi, düşük gelirli toplumlar ve azınlık topluluklarında daha yaygındır.
Ev içi uçucu organik bileşiklere maruz kalmak astımı tetikleyebilir; örneğin formaldehit maruziyeti pozitif bir ilişkiye sahiptir.[43] PVC'nin belirli türlerindeki ftalatlar hem çocuklarda hem de yetişkinlerde astım ile ilişkilidir.[44], [45] Pestisitlere maruz kalma astım gelişimiyle bağlantılı olsa da henüz bir neden-sonuç ilişkisi kurulmamıştır.[46], [47]
Kanıtların çoğu, asetaminofen (parasetamol) veya antibiyotik kullanımı ile astım arasında nedensel bir rolü desteklememektedir.[48], [49] 2014 yılında yapılan sistematik bir inceleme, solunum yolu enfeksiyonları dikkate alındığında asetaminofen kullanımı ile astım arasındaki ilişkinin ortadan kalktığını ortaya koydu.[50] Bir annenin hamilelik sırasında asetaminofen kullanması, çocuğun astım geliştirme riskinin artmasıyla da ilişkilidir.[51] Hamilelik sırasında annenin psikolojik stresi, çocuğun astım geliştirmesi için bir risk faktörüdür.[52]
Astım, iç mekan alerjenlerine maruz kalma ile de ilişkilendirilmiştir.[53] Yaygın iç mekan alerjenleri arasında toz akarları, hamamböcekleri, hayvan tüyleri (kürk veya tüy parçaları) ve küf bulunur.[54], [55] Toz akarlarını azaltmaya yönelik çabaların, duyarlı kişilerde semptomlar üzerinde etkisiz olduğu bulunmuştur.[56], [57] Zayıf kanıtlar, binaları onararak küfü azaltma çabalarının yetişkinlerde astım semptomlarını iyileştirmeye yardımcı olabileceğini düşündürmektedir.[58] Respiratuar sinsityal virüs ve rinovirüs gibi belirli viral solunum yolu enfeksiyonları, küçük çocukken edinildiğinde astım gelişme riskini artırabilir.[59] Ancak bazı diğer enfeksiyonlar riski azaltabilir.
Hijyen Hipotezi
Hijyen hipotezi; dünya çapında artan astım oranlarını, çocukluk döneminde patojenik olmayan bakteri ve virüslere maruz kalmada azalmanın doğrudan ve istenmeyen bir sonucu olarak açıklamaya çalışır.[60], [61] Bakteri ve virüslere maruz kalmanın azalmasının kısmen modern toplumlarda artan temizlik ve azalan aile büyüklüğünden kaynaklandığı öne sürülmüştür.[62] Erken çocukluk döneminde bakteriyel endotoksine maruz kalmak astım gelişimini önleyebilir ancak daha ileri yaşlarda maruz kalmak bronkokonstriksiyona neden olabilir.[63] Hijyen hipotezini destekleyen kanıtlar, çiftliklerde ve evcil hayvanların bulunduğu evlerde daha düşük astım oranlarını içerir.[62]
Yaşamın erken döneminde antibiyotik kullanımı astım gelişimiyle ilişkilendirilmiştir.[64] Ayrıca, sezaryen ile doğum, astım riskinin artmasıyla (%20-80 olarak tahmin edilmektedir) ilişkilidir. Bu artan risk, yenidoğanın doğum kanalından geçerken kazanacağı sağlıklı bakteri kolonizasyonunun olmamasına bağlanmaktadır.[65] Daha az varlıklı bireyler genellikle bakteri ve virüslere daha fazla maruz kaldıklarından, astım ile refah derecesi arasında hijyen hipotezi ile ilgili olabilecek bir bağlantı vardır.[66]
Genetik Faktörler
Ailenin tıbbi geçmişi astım için bir risk faktörüdür ve pek çok farklı gen söz konusudur.[67] Tek yumurta ikizlerinden biri etkilenirse, diğerinin hastalığa yakalanma olasılığı yaklaşık %25'tir.[67] 2005'in sonunda, diğerleri arasında GSTM1, IL10, CTLA-4, SPINK5, LTC4S, IL4R ve ADAM33 dahil olmak üzere altı veya daha fazla ayrı popülasyonda 25 gen astımla ilişkilendirilmişti.[68] Bu genlerin çoğu, bağışıklık sistemi veya inflamasyonu modüle etme ile ilgilidir. Yüksek oranda kopyalanmış çalışmalarla desteklenen bu gen listesi arasında bile, sonuçlar test edilen tüm popülasyonlar arasında tutarlı olmamıştır. 2006'da sadece bir genetik ilişki çalışmasında 100'den fazla gen astımla ilişkilendirildi, daha fazlası bulunmaya devam ediyor.[69]
Bazı genetik varyantlar, yalnızca belirli çevresel maruziyetlerle birleştiğinde astıma neden olabilir. Bir örnek, CD14 bölgesindeki spesifik bir tek nükleotid polimorfizmi ve endotoksine maruz kalmadır. Endotoksin maruziyeti; tütün dumanı, köpekler ve çiftlikler dahil olmak üzere çeşitli çevresel kaynaklardan gelebilir. Bu halde astım riski, hem kişinin genetiği hem de endotoksine maruz kalma düzeyi tarafından belirlenir.[70]
Diğer Faktörler
Atopik egzama, alerjik rinit ve astım üçlüsüne atopi denir.[71] Astım gelişimi için en güçlü risk faktörü, atopik hastalık geçmişidir. Astım, egzama veya saman nezlesi olanlarda çok daha yüksek oranda ortaya çıkar.[58], [72] Astım, bir otoimmün hastalık ve vaskülit olan polianjit (eski adıyla Churg-Strauss sendromu) ile birlikte eozinofilik granülomatozis ile ilişkilendirilmiştir.[73] Belirli ürtiker tiplerine sahip kişilerde astım semptomları da görülebilir.[71]
Obezite ile astım riski arasında, her ikisinin de son yıllarda artması arasında bir ilişki vardır.[74], [75] Yağ birikmesi nedeniyle solunum fonksiyonunun azalması ve yağ dokusunun proinflamatuar bir duruma yol açması gibi çeşitli faktörler rol oynuyor olabilir.[76]
Propranolol gibi beta bloker ilaçlar, duyarlı kişilerde astımı tetikleyebilir.[77] Bununla birlikte, kardiyoselektif beta blokerler, hafif veya orta derecede hastalığı olanlarda güvenli görünmektedir.[78], [79] Diğer ilaçlar astımlı hastalarda sorunlara neden olabilen anjiyotensin dönüştürücü enzim inhibitörleri, aspirin ve NSAID'lerdir.[80] Hamilelik sırasında asit baskılayıcı ilaçların (proton pompa inhibitörleri ve H2 blokerleri) kullanımı, çocukta astım riskinin artmasıyla ilişkilidir.[81]
Astımla İlişkili Mikroplar
Kronik Mycoplasma pnömonisi ve Chlamydia pnömonisi enfeksiyonları astımın başlaması ve alevlenmesi ile ilişkilidir.[82] Bu mikrobiyal enfeksiyonlar, kronik alt solunum yolu inflamasyonu, mukosiliyer klirensin bozulması, mukus üretiminde artış ve nihayetinde astım ile sonuçlanır. Ayrıca, yaşamın erken dönemlerinde ciddi viral solunum yolu enfeksiyonları yaşayan çocukların daha sonra astım olma olasılığı yüksektir. Bu viral solunum yolu enfeksiyonlarına çoğunlukla respiratuar sinsityal virüs (RSV) ve insan rinovirüsü (HRV) neden olur. RSV enfeksiyonları erken çocukluk döneminde astım riskini artırsa da yaş arttıkça astım ve RSV arasındaki ilişki azalmaktadır.
HRV ise bronşiyolitin önemli bir nedenidir ve astım gelişimi ile güçlü bir şekilde ilişkilidir. Yerleşik astımı olan çocuklarda ve yetişkinlerde viral üst solunum yolu enfeksiyonları, özellikle HRV enfeksiyonları, astımın akut alevlenmelerine neden olabilir. Bu nedenle Chlamydia pneumoniae, Mycoplasma pneumoniae ve insan rhinovirüsleri atopik olmayan astımda önemli rol oynayan mikroplardır.[82]
Chlamydophila pnömoni (Chlamydophila Pneumoniae)
Atopik olmayan astım arasında uzun süredir devam eden astım ile C. pneumoniae arasında güçlü bir ilişki vardır.[83] Aslında astımın ciddiyeti, C. pneumoniae'ye karşı yüksek titrelerle belirlenebilir ancak Mycoplasma pneumoniae, adenovirüs, influenza A ve B veya parainfluenza virüsü gibi diğer potansiyel patojenlere karşı belirlenemez.[83] C. pneumoniae'nin bronş epitel hücrelerinde siliostaza neden olduğu tespit edildiğinden, C. pneumoniae'nin astım ile ilişkili olduğu varsayılmaktadır.[83]

Bu arada, sero-epidemiyolojik veriler de C. pneumoniae'nin inflamasyonu güçlendirerek ve hastalık sürecini tetikleyerek astımda rol oynadığını destekleyen kanıtlar sağlar.[83] C. pneumoniae ve astım ilişkisi, uzun süreli antijenik uyarım sağlayan 60 kDa ısı şoku proteinleri üreten C. pneumoniae ile başlar.[83] Bu özel ısı şoku proteini, hem ökaryotlarda hem de prokaryotlarda bulunabilen stres proteinlerinin hsp60 ailesinin bir üyesi olarak bilinir. C. pneumoniae uykudayken ve çoğalmadığında bile hsp60 üretimi değişmeden kalır çünkü bu hsp60 koruyucu bir antijen görevi görür.[83] Antijenik uyarımı, enfekte hücreler tarafından proinflamatuar sitokinler, tümör nekroz faktörü (TNF)-α, interlökin (IL)-1β, IL-6 ve IFN-y üretimini artırarak kronik inflamasyonu güçlü bir şekilde güçlendirir. Bu da, astımlı akciğerlerde immünopatolojik doku hasarına ve yara izine yol açar.[83]
Ayrıca, C. pneumonia ile enfeksiyon, kronik astım ile ilişkili olan serum immünoglobulin IgA ve IgG yanıtlarını da indükler.[84] En çarpıcı şekilde, yakın zamanda yapılan bir sistematik inceleme ve meta-analiz, incelenen astım vakalarının neredeyse yarısı ile C. pneumoniae'ye özgü IgE'nin ilişkili olduğunu bulmuştur.[85] Son olarak, hayvan modeli çalışmalarından elde edilen artan sayıda kanıt, C. pneumoniae enfeksiyonunun yalnızca "astım fenotipi" yaratmadığını, aynı zamanda daha önce alerjik olmayan hayvanların ekzojen (yani klamidyal olmayan) alerjenlere karşı alerjik tepkiler göstermesine neden olduğunu ortaya koymaktadır.[86]
Mikoplazma Pnömonisi (Mycoplasma Pneumoniae)
M. pneumoniae insanlarda, hayvanlarda, bitkilerde ve hücre kültürlerinde enfeksiyonlara neden olabilir. Nazofarenks, boğaz, trakea, bronşlar, bronşiyoller ve alveoller dahil olmak üzere üst ve alt solunum yollarının mukozal zarlarını istila eden parazitik bir bakteridir.[87] M. pneumoniae hayatta kalabilmek için amino asitler, kolesterol, nükleik asit sentezinin öncüleri ve konakçının mukozal epitel hücrelerinden elde edilen yağ asitleri gibi temel besinlere ve bileşiklere ihtiyaç duyar. Yapışma proteinleri, hücre yüzeyinde bulunan sialoglikoproteinler veya sialoglikolipid reseptörleri ile trakeal epitel hücrelerine bağlanır.
M. pneumoniae hücre içi lokalizasyon potansiyeline sahiptir. M. pneumoniae'nin hücre içi varlığı, latent veya kronik durumların kurulmasını, mikoplazmasit bağışıklık mekanizmalarını atlatmasını, mukozal bariyerleri geçme ve iç dokulara erişim kazanmasını kolaylaştırabilir. Ayrıca, mikoplazmal hücre zarının konağınkiyle füzyonu, yalnızca mikoplazma tarafından üretilen çeşitli hidrolitik enzimlerin salınmasıyla sonuçlanmaz; aynı zamanda, potansiyel olarak reseptör tanıma bölgelerini değiştirebilecek ve sitokin indüksiyonunu ve ekspresyonunu etkileyebilecek bir süreç olan, konakçı hücre zarına mikoplazmal membran bileşenlerinin eklenmesine de yol açar.[87]
2007'de yapılan çalışmada belirtildiği gibi M. pneumonia, akut pnömoniden iyileştikten sonra birkaç aya kadar solunum yollarında kalabilir.[88] Aslında, M. pneumonia, pnömoni hastaları etkili antibiyotiklerle tedavi edildikten sonra bile solunum salgılarından kültürlenebilir. Bu nedenle, M. pneumonia enfeksiyonu kronik ve kalıcıdır. Yapılan çalışma ayrıca, M. pneumonia enfeksiyonunun, astımlı olmayan bireylerde ekspiratuar akım hızlarında azalmaya ve hava yollarının aşırı duyarlılığında artışa neden olarak pulmoner yapısal anormalliklere neden olduğunu da ekler.[88]
M. pneumoniae enfeksiyonu, bu gibi durumlarda astım alevlenmesinin %3,3 ila %50 oranında tetiklenmesinden sorumludur.[88] Ayrıca, M. pnömonisi astımın başlangıcından önce de olabilir çünkü M. pneumonia ile akut enfeksiyonu olan ve ardından astım gelişen hastalarda, M. pneumonia'ya karşı antimikrobiyal tedavi verildikten sonra akciğer fonksiyonlarında ve astım semptomlarında önemli bir iyileşme görülür. M. pneumoniae enfeksiyonuna yanıt olarak proinflamatuar sitokinlerin salınımı bronşiyal astıma yol açan olası bir mekanizma olarak belirtilmiştir.[87] Bunun nedeni, sitokin üretiminin artmasının hava yolunda devam eden bir inflamatuar yanıtla sonuçlanması ve ardından C. pneumonia'nın astım bölümünde açıklandığı gibi immünopatolojik doku hasarı ve skar oluşumu gibi olumsuz etkilerin olmasıdır.
Ayrıca, astımlı hastalarda, tip II sitokinlerin, özellikle IL4 ve IL5'in salınımının arttığı ancak tip I sitokin üretiminin normal veya düşük düzeyde olduğu bulunmuştur. Benzer şekilde, M. pneumoniae enfeksiyonu, bir T yardımcı tip 2 yanıtını destekler; bu nedenle, astımı olan M pneumoniae-pozitif hastalarda, tümör nekroz faktörü a, IL4 ve IL5'in solunum yollarında ekspresyonunun artmasının nedeni budur.
M. pnömoni enfeksiyonunun neden olduğu T yardımcı tip 2 baskın hava yolu hastalığı, IgE ile ilişkili aşırı duyarlılığa ve eozinofil işlevine yol açarak astımın başlamasına neden olabilir.[88] Ayrıca M. pneumoniae enfeksiyonunun solunum yolu mukoza hücrelerini yok etme ve antijenlerin mukozaya penetrasyonunu kolaylaştırma olasılığı da vardır.[88] Yapılan bir çalışma, M. pneumoniae enfeksiyonunun epitel yüzeyini soyduğunu ve tahriş edici reseptörleri açığa çıkardığını öne sürdü.[89] Bunun üzerine M. pneumoniae, serotonin ve heksosaminidaz salgılayarak mast hücrelerinin aktivasyonunu indükler.[87] M. pneumonia, antijen üreterek bir antikor tepkisini başlatabilir. Antijeni, mast hücrelerine bağlanan IgE ile etkileşime girerek histamin salınımının uyarılmasına ve ardından hava yolu tıkanıklığına yol açar.[88]
İnsan Rinovirüsleri (HRVs)
Rinovirüslerin, en önemli soğuk algınlığı virüsleri olduğu bilinmektedir.[90] DNA aşaması olmayan ssRNA pozitif zincirli virüslerdir ve Picornaviridae ailesi içinde sınıflandırılırlar.[90] Rinovirüsler küçüktür, yaklaşık 30 nm uzunluğundadır ve bir zarf içermezler.

9 ila 11 yaşındaki astımlı hastalarda, azalan tepe ekspiratuar akış hızları ve hırıltı ile ilişkili astım alevlenmelerinin %80 ila %85'i viral üst solunum yolu enfeksiyonlarına bağlıdır. Erişkinlerde de rinovirüs enfeksiyonuna bağlı yüksek oranlarda astım atakları bulunur.[91] Rinovirüsün; epitel hücrelerini, hava yolu aşırı duyarlılığı, nörojenik inflamatuar yanıtlar, mukus salgılanması, inflamatuar hücre alımı ve aktivasyonu ve plazma sızıntısı ile sonuçlanan proinflamatuar sitokinler üretmesi için indükleyebildiği ortaya çıktı. Bu ifadeyi desteklemek için, rinovirüs bulaşmış astımlı denekler; hava yolu aşırı duyarlılığında, hava yolu tıkanıklığında ve iltihaplanmada bir artış göstermiştir. Benzer şekilde, rinovirüs enfeksiyonu alerjik riniti olan ancak astım geçmişi olmayan deneklerin önemli ölçüde artmış hava yolu hiperreaktivitesine ve ayrıca önemli ölçüde artmış geç astımlı reaksiyon insidansına sahip olmasına neden olmuştur.
Bu, rinovirüsün hava yolu hiperreaktivitesine neden olmasının yanı sıra atopik olmayan astımın başlamasını da desteklediğini göstermektedir.[91] Ayrıca, rinovirüs enfeksiyonu, antijen yüklemesinden sonra hava yolu segmentlerine eozinofil alımını da teşvik eder ve böylece astım gelişimine yol açan, antijenlere karşı hava yolu inflamatuar yanıtını yoğunlaştırır.
Teşhis Yöntemleri
Astım iyi bilinen bir durum olsa da üzerinde uzlaşılan evrensel bir tanım yoktur.[92] GINA tarafından "birçok hücre ve hücresel elementin rol oynadığı hava yollarının kronik inflamatuar bozukluğu" olarak tanımlanır. Kronik inflamasyon, özellikle geceleri veya sabahın erken saatlerinde tekrarlayan hırıltı, nefes darlığı, göğüste sıkışma ve öksürük nöbetlerine yol açan hava yolu aşırı duyarlılığı ile ilişkilidir. Bu ataklar genellikle, akciğerde sıklıkla kendiliğinden veya tedavi ile geri döndürülebilen akciğerde yaygın fakat değişken hava akımı obstrüksiyonu ile ilişkilidir.[40]
Şu anda, tipik olarak semptomların modeline ve zaman içinde tedaviye verilen yanıta dayanan tanı için kesin bir test yoktur.[92], [93] Tekrarlayan hırıltı, öksürük veya nefes almada zorluk öyküsü varsa ve bu semptomlar egzersiz, viral enfeksiyonlar, alerjenler veya hava kirliliği nedeniyle ortaya çıkıyor veya kötüleşiyorsa astımdan şüphelenilebilir.[58] Daha sonra tanıyı doğrulamak için spirometri kullanılır.[58] Altı yaşın altındaki çocuklarda spirometri için çok küçük olduklarından tanı daha zordur.[40]
Doktorunuz solunum yolu enfeksiyonu veya kronik obstrüktif akciğer hastalığı (KOAH) gibi diğer olası durumları ekarte etmek için fiziki muayene de yaparak belirtileriniz, semptomlarınız ve diğer sağlık sorunlarınız hakkında aşağıdaki gibi sıralanabilen konularda bazı sorular soracaktır:
- Astım semptomlarının olup olmadığı (öksürük, hırıltılı solunum vb.)
- Semptomların başlama zamanı/yaşı
- Semptomların zamanlaması (gündüz ya da gece gibi)
- Semptomların kötüleşmesinin mevsimsel bir bileşeninin olup olmadığı
- Muhtemel tetikleyiciler (viral enfeksiyonlar, hayvanlara maruz kalma, polenler, tütün dumanı, duygu durumu)
- Semptomların şiddeti (Sıklıkla bir klinikte veya acil serviste planlanmamış doktor randevuları, hastane başvuruları ve oral kortikosteroid ile kurtarılma ihtiyacıyla yansıtılır.)
- Göğüs röntgeni, spirometri, alerji testi, ter klorür testi dahil olmak üzere geçmiş kayıtları
- Diğer komorbiditeler (örneğin gıda alerjisi, zehir alerjisi)
- Mevcut ve geçmiş tedaviler, bunların ne kadar sürdüğü
- Tedavinin önündeki engeller (ilaç maliyeti, yakınındaki hastaneler gibi)
- Pasif içiciliğe maruziyeti
- Ev hayvanlarının varlığı
- Semptomların hasta/aile yaşam kalitesi üzerindeki etkisi (astım semptomları nedeniyle aktivitelerden, okuldan veya işten zaman kaybı)
Spirometri
Teşhis ve tedaviye yardımcı olması için kullanılan spirometri, astım için en iyi tek testtir.[94] Bu teknikle ölçülen FEV1 salbutamol gibi bir bronkodilatör uygulamasını takiben %12'den fazla iyileşirse ve en az 200 mililitre artarsa bu tanıyı destekler niteliktedir. Ancak hafif astım öyküsü olan ve şu anda belirti göstermeyenlerde normal olabilir.[94] Kafein, astımlı kişilerde bir bronkodilatör olduğundan (bronkodilatasyon etkisi gösterdiği için), akciğer fonksiyon testinden önce kafein kullanılması sonuçları etkileyebilir.[95] Tek nefeste yayılma kapasitesi, astımı KOAH'tan ayırmaya yardımcı olabilir.[94] Bir kişinin astımının ne kadar iyi kontrol edildiğini takip etmek için bir veya iki yılda bir spirometri yapmak mantıklıdır.
Peak Flow Metre (Zirve Akım Ölçer)
Bir zirve akım ölçer, ne kadar zor nefes alabileceğinizi ölçen basit bir cihazdır. Normalden daha düşük tepe akış değerleri, akciğerlerinizin iyi çalışmadığının ve astımınızın kötüleştiğinin bir işaretidir. Doktorunuz, düşük tepe akış okumalarını nasıl izleyeceğiniz ve bunlarla nasıl başa çıkacağınız konusunda size talimatlar verecektir.

Akciğer fonksiyon testleri genellikle, albuterol gibi bir bronkodilatör adı verilen solunum yollarınızı açmak için bir ilaç almadan önce ve sonra yapılır. Bronkodilatör kullanımıyla akciğer fonksiyonunuz düzeliyorsa muhtemelen astımınız var demektir.
Diğer Yöntemler
Astım teşhisi için diğer testler şunları içerir:
- Metakolin testi: Metakolin bilinen bir astım tetikleyicisidir. Solunduğunda, solunum yollarınızın hafifçe daralmasına neden olur. Metakoline tepki verirseniz, muhtemelen astımınız vardır. Bu test, ilk akciğer fonksiyon testiniz normal olsa bile kullanılabilir.
- Görüntüleme teknikleri: Göğüs röntgeni, solunum sorunlarına neden olabilecek veya bu sorunları ağırlaştırabilecek yapısal anormallikleri veya hastalıkları (enfeksiyon gibi) belirlemeye yardımcı olabilir.
- Alerji testi: Alerji testleri cilt testi veya kan testi ile yapılabilir. Evcil hayvanlara, toza, küfe veya polene alerjiniz olup olmadığını söyler. Alerji tetikleyicileri tespit edilirse doktorunuz alerji iğneleri önerebilir.
- Nitrik oksit testi: Bu test, nefesinizdeki gaz nitrik oksit miktarını ölçer. Astım belirtisi olan solunum yollarınız iltihaplandığında, normal nitrik oksit düzeylerinden daha yüksek olabilir. Ancak bu test yaygın olmadığından her yerde mevcut değildir.
- Eozinofil sayımı: Bu test, öksürürken boşalttığınız tükürük ve mukus (balgam) karışımında belirli beyaz kan hücrelerini (eozinofiller) arar. Eozinofiller, semptomlar geliştiğinde ve gül renkli bir boya ile boyandığında görünür hale geldiğinde mevcuttur.
- Egzersiz ve soğuğa bağlı astım için kışkırtıcı testler: Bu testlerde doktorunuz, şiddetli fiziksel aktivite gerçekleştirmeden veya birkaç soğuk hava solumadan önce ve sonra hava yolu tıkanıklığınızı ölçer.
Sınıflandırma
Astım şiddetini sınıflandırmak için doktorunuz belirti ve semptomlarınızın ne sıklıkta olduğunu ve bunların ne kadar şiddetli olduğunu değerlendirecek, ayrıca fizik muayene ve teşhis testlerinizin sonuçlarını da dikkate alacaktır. Astım klinik olarak semptomların sıklığına, bir saniyedeki zorlu ekspiratuar volüm (FEV1) ve tepe ekspiratuar akım hızına göre sınıflandırılır.[2] Astım şiddetini belirlemek, doktorunuzun en iyi tedaviyi seçmesine yardımcı olur. Astım şiddeti genellikle zamanla değişir ve tedavi ayarlamaları gerektirir.
Astım, semptomların alerjenler tarafından tetiklenip (dışsal) olup olmamasına (içsel) göre atopik veya atopik olmayan olarak da sınıflandırılabilir.[96] Şiddete göre sınıflandırma yaparken şu anda bu sistemin ötesinde astımın farklı alt gruplarını sınıflandırmak için net bir yöntem yoktur.[97] Farklı tedavi türlerine iyi yanıt veren alt grupları belirlemenin yollarını bulmak, astım araştırmalarının güncel kritik hedeflerinden biridir.
Sınıflandırma dört genel kategoriye ayrılır:
- Hafif Aralıklı
- Haftada ikiden az öksürük, hırıltılı solunum, göğüste sıkışma veya nefes almada zorluk belirtileri
- Alevlenmeler kısadır, ancak yoğunluk değişebilir.
- Gece semptomları ayda ikiden azdır.
- Alevlenmeler arasında belirti yoktur.
- Akciğer fonksiyon testi FEV1 normal değerlerin %80 veya daha fazla üzerindedir.
- Pik akışı, günden güne sabahtan akşama veya öğleden sonraya %20'den daha az değişkenliğe sahiptir.
- Hafif Kalıcı
- Haftada 3-6 kez öksürük, hırıltılı solunum, göğüste sıkışma veya nefes almada zorluk belirtileri
- Alevlenmeler aktivite seviyesini etkileyebilir.
- Gece semptomları ayda 3-4 kez
- Akciğer fonksiyon testi FEV1 normal değerlerin %80 veya daha fazla üzerindedir.
- Tepe akışı %20-30'dan daha az değişkenliğe sahiptir.
- Orta derecede kalıcı
- Öksürük, hırıltı, göğüste sıkışma veya günlük nefes almada zorluk belirtileri
- Alevlenmeler aktivite seviyesini etkileyebilir.
- Gece semptomları ayda 5 veya daha fazladır
- Akciğer fonksiyon testi FEV1, normal değerlerin %60'ının üzerinde ancak %80'inin altındadır.
- Pik akışı %30'dan fazla değişkenliğe sahiptir.
- Şiddetli kalıcı
- Sürekli olan öksürük, hırıltılı solunum, göğüste sıkışma veya nefes almada zorluk belirtileri
- Sık gece semptomları
- Akciğer fonksiyon testi FEV1, normal değerlerin %60'ı veya daha azıdır.
- Pik akışı %30'dan fazla değişkenliğe sahiptir.
Buna karşılık, 2019 Küresel Astım Girişimi (GINA) kılavuzları astım şiddetini hafif, orta veya şiddetli olarak sınıflandırır. Şiddet, semptomları ve alevlenmeleri kontrol etmek için gereken tedavi düzeyinden geriye dönük olarak aşağıdaki şekilde değerlendirilir:
- Hafif astım: Tek başına gerektiği gibi rahatlatıcı ilaçlarla veya düşük doz inhale kortikosteroidler (ICS'ler), lökotrien reseptör antagonistleri veya kromonlar gibi düşük yoğunluklu kontrol edici tedaviyle iyi kontrol edilirler.
- Orta dereceli astım: Düşük doz ICS/uzun etkili beta2-agonistleri (LABA) ile iyi kontrol edilirler.
- Şiddetli astım: Kontrolsüz hale gelmesini önlemek için yüksek doz ICS/LABA gerektiren veya bu tedaviye rağmen kontrolsüz kalan astım
Ağır astımın değerlendirilmesi ve tedavisine ilişkin 2013 ortak Avrupa Solunum Derneği/Amerikan Toraks Derneği (ERS/ATS) kılavuzları, dirençli astımı olan ve eşlik eden hastalıkların tedavisine yanıtın eksik olduğu hastalar için şiddetli astım tanımını saklı tutar.[98]
2019 GINA kılavuzları, şiddetli astım ve kontrolsüz astım arasında ayrım yapmanın önemini vurgulamaktadır çünkü ikincisi kalıcı semptomlar ve alevlenmeler için çok daha yaygın bir nedendir ve daha kolay iyileştirilebilmektedir. Şiddetli astım tanısı konmadan önce dışlanması gereken en yaygın sorunlar şunlardır:
- Hatalı inhaler kullanımı
- Uygun olmayan ilaç kullanımı
- Üst solunum yolu disfonksiyonu, kalp yetmezliği veya zindelik eksikliği gibi alternatif durumlara bağlı semptomlarla birlikte yanlış astım teşhisi
- Rinosinüzit, gastroözofageal reflü, obezite ve obstrüktif uyku apnesi gibi komorbiditeler ve komplike durumlar
- Evde veya iş ortamında hassaslaştırıcı veya tahriş edici maddelere sürekli maruz kalma
Akut Şiddetli Astım
Önceden status astmatikus olarak bilinen akut şiddetli astım, standart bronkodilatör ve kortikosteroid tedavilerine yanıt vermeyen astımın akut alevlenmesidir.[99] Vakaların yarısı alerjen, hava kirliliği veya yetersiz ya da uygun olmayan ilaç kullanımından kaynaklanan diğer enfeksiyonlardan kaynaklanmaktadır.[99]
Brittle Astım (Kırılgan Astım)
Brittle astım, tekrarlayan şiddetli ataklarla diğer formlardan ayırt edilebilen bir astım türüdür. Semptomlara göre ayrılan iki alt tip vardır: Hastanın maksimum ekspirasyon hızının veya tepe ekspiratuar akış hızının (TAH) stabilitesine bağlı olarak Tip 1 ve Tip 2. Tip 1, TAH'ın sürekli, kronik değişkenliği ile karakterize edilirken tip 2, astım semptomlarının başka türlü iyi kontrol edildiği ve akciğerlerin fonksiyonunun önemli ölçüde bozulmadığı TAH'daki ani öngörülemeyen düşüşlerle ayırt edilir.
Egzersize/Efora Bağlı Astım
Egzersiz, astımı olan veya olmayan kişilerde bronkokonstriksiyonu tetikleyebilir.[100] Astımı olan çoğu insanda ve astımı olmayanların %20'sinde görülür.[100] Egzersize bağlı bronkokonstriksiyon, profesyonel sporcularda yaygındır. En yüksek oranlar bisikletçiler (%45'e kadar), yüzücüler ve kros kayakçıları arasındadır.[101] Her türlü hava koşulunda ortaya çıkabileceği gibi, kuru ve soğuk havalarda daha sık görülür.[40] Solunan beta2-agonistlerin astımı olmayanlar arasında atletik performansı iyileştirdiği görülmemektedir, ancak oral dozlar dayanıklılık ve gücü iyileştirebilir.[102], [103], [104]
Mesleki Astım
İşyeri maruziyetlerinin bir sonucu olarak astım, yaygın olarak bildirilen bir meslek hastalığıdır.[105] Bununla birlikte, birçok vaka rapor edilmemekte veya bu şekilde tanınmamaktadır.[106], [107] Erişkinlerdeki astım vakalarının %5-25'inin işle ilgili olduğu tahmin edilmektedir. En yaygınları izosiyanatlar, tahıl ve odun tozu, kolofoni, lehim eritkeni, lateks, hayvanlar ve aldehitler olmak üzere birkaç yüz farklı etken suçlanmıştır. En yüksek sorun riskiyle ilişkili istihdam şunları içerir: boya püskürtücüler, fırıncılar ve gıda işleyenler, hemşireler, kimya işçileri, hayvanlarla çalışanlar, kaynakçılar, kuaförler ve kereste işçileri.
Aspirine Bağlı Astım
Aspirinle tetiklenen astım olarak da bilinen aspirinle alevlenen solunum yolu hastalığı (AERD), astımlıların %9'unu etkiler.[108] AERD astım, nazal polipler, sinüs hastalığı ve aspirin ve diğer NSAID ilaçlarına (ibuprofen ve naproksen gibi) verilen solunum reaksiyonlarından oluşur.[109] İnsanlar genellikle koku kaybı da geliştirir ve çoğu alkole karşı solunum reaksiyonları yaşar.[110]
Alkole Bağlı Astım
Alkole bağlı astım, giderek artan bir şekilde, birçok insanı "klasik" bir astım formuyla etkileyen alkol tüketimine patolojik bir bronkokonstriksiyon yanıtı olarak kabul edilmektedir ve insanların üçte birine kadar astım semptomlarını kötüleştirebilir.[111] Japonlar ve aspirine bağlı astımı olanlar gibi bazı etnik gruplarda daha da yaygındır.[111]
Atopik Olmayan Astım
İntrinsik veya alerjik olmayan olarak da bilinen atopik olmayan astım, vakaların %10 ila %33'ünü oluşturur. Yaygın inhalan alerjenlere karşı negatif cilt testi vardır. Genellikle yaşamın ilerleyen dönemlerinde başlar ve kadınlar erkeklerden daha sık etkilenir. Normal tedaviler de işe yaramayabilir.[112] "Atopik olmayan"ın "alerjik olmayan" ile eşanlamlı olduğu kavramı, epidemiyolojik verilerle astım prevalansının yaş ve cinsiyete göre standardize edilmiş serum IgE düzeyi ile yakından ilişkili olduğunu sorgulamaktadır, bu da, astımın neredeyse her zaman bir tür IgE ile ilişkili reaksiyonla ilişkili olduğunu ve bu nedenle astıma neden olan tüm alerjik uyaranların çalışılan aeroalerjenler dizisine dahil edilmemiş gibi görünse de alerjik bir temeli olduğunu gösterir.
Enfeksiyona Bağlı Astım
Enfeksiyonun astımdaki rolü, yerleşik astımı şiddetlendirebilmesi veya astımın klinik başlangıcının ilk gelişimine katkıda bulunabilmesi bakımından çeşitlilik göstermektedir. Artan kanıtlar, astım başlangıcındaki en olası suçlular arasında belirli viral patojenler, yani insan rinovirüsü (HRV) ve solunum sinsityal virüsü (RSV) ile her iki rolü de içerir. Astım mevcut olduğunda, enfeksiyon, özellikle viral enfeksiyonlar, astım alevlenmelerinin yaygın bir tetikleyicisidir. Bakteriyel enfeksiyonlar ve kolonizasyon ayrıca alevlenme ve tekrarlayan hırıltı ile ilişkilendirilmiştir, bu etki bağımsız olabilen veya virüslerle birlikte bir kofaktör olabilir. Mycoplasma pneumoniae ve Chlamydia pneumoniae gibi atipik bakteriyel enfeksiyonlar ve alerjik bronkopulmoner aspergilloz (ABPA) durumunda mantarlar da bu hastalığın indüklenmesinde ve alevlenmesinde potansiyel bir rol oynar. Ek olarak, bazı kişilerde viral kaynaklı hırıltılı solunum ve astım gelişimine karşı genetik bir yatkınlık olabilir.
Ayırıcı Tanı
Diğer birçok durum astıma benzer semptomlara neden olabilir. Çocuklarda semptomlar, alerjik rinit ve sinüzit gibi diğer üst solunum yolu hastalıklarına bağlı olabileceği gibi, yabancı cisim aspirasyonu, trakeal stenoz, laringotrakeomalazi, vasküler halkalar, genişlemiş lenf düğümleri veya boyun kitleleri gibi diğer hava yolu obstrüksiyonu nedenlerine de bağlı olabilir.[58] Bronşiolit ve diğer viral enfeksiyonlar da hırıltı üretebilir.[113] Yetişkinlerde KOAH, konjestif kalp yetmezliği, hava yolu kitleleri ve ayrıca ACE inhibitörlerine bağlı ilaca bağlı öksürük benzer semptomlara neden olabilir. Her iki popülasyonda da vokal kord disfonksiyonu benzer şekilde ortaya çıkabilir.
Kronik obstrüktif akciğer hastalığı astımla birlikte bulunabilir ve kronik astımın bir komplikasyonu olarak ortaya çıkabilir. 65 yaşından sonra, obstrüktif hava yolu hastalığı olan çoğu insanda astım ve KOAH olacaktır. Bu durumda KOAH, artmış hava yolu nötrofilleri, anormal derecede artmış duvar kalınlığı ve bronşlarda artmış düz kas ile ayırt edilebilir. Ancak, KOAH ve astımın benzer yönetim ilkelerini (kortikosteroidler, uzun etkili beta-agonistler ve sigarayı bırakma gibi) paylaşması nedeniyle bu düzeyde araştırma yapılmamaktadır.[114] Semptomlarda astıma çok benzer, sigara dumanına daha fazla maruz kalma, daha ileri yaş, bronkodilatör uygulamasından sonra daha az semptom geri dönüşlülüğü ve ailede atopi öyküsü olasılığının azalması ile ilişkilidir.[115]
Vokal Kord disfonksiyonu veya İndüklenebilir Laringeal Obstrüksiyon
Vokal kord disfonksiyonu tek başına veya astımla birlikte olabilir, inspirasyon sırasında vokal kordların paradoksal addüksiyonundan kaynaklanır ve nefes nefese, konuşma veya gülme ile kaybolabilir.[116] Astımı düşündüren kronik semptomları, normal spirometrisi, astım ilaçlarına zayıf yanıtı ve sık değerlendirmeleri olan hastalar vokal kord disfonksiyonu açısından değerlendirilmelidir.[117] Genellikle tanı doğrudan laringoskopi kullanılarak konulabilir, ancak yalnızca semptomatik dönemlerde veya egzersiz sonrasında yapılabilir. Akış-hacim döngüsünün inspiratuar uzvunun düzleşmesinin varlığı da vokal kord disfonksiyonuna işaret edebilir, ancak bu başlangıçta hastaların sadece %28'inde görülür.[118]
Trakeal ve Bronş Lezyonları
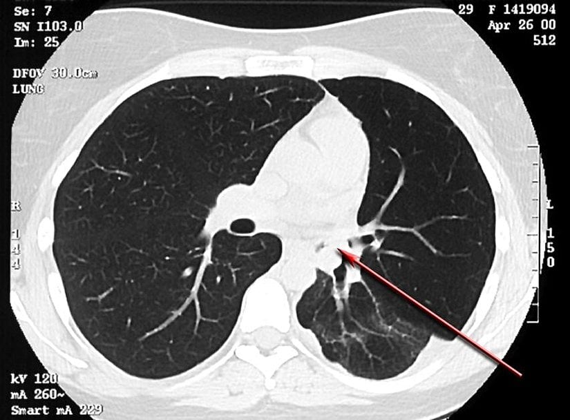
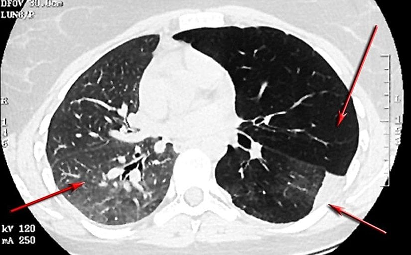
Çeşitli hava yolu tümörlerinin astıma benzer semptomlarla kendini gösterdiği rapor edilmiştir. Bu tümörler, aşağıdaki resimlerde gösterildiği gibi endobronşiyal karsinoid ve mukoepidermoid tümörleri içerir. Bir vakada, sol akciğerinde hiperlüsensi olan 14 yaşındaki bir erkek çocuğunun nihayetinde sol ana bronşta bronşiyal karsinoid olduğu bulundu.[119]


Diğer trakeal lezyonlar arasında bronkosentrik granülomatozis, subglottik stenoz, subglottik ağ, trakeal hamartom, bronkojenik kistler, leiomyoma ve trakeobronkopatia osteoplastika yer alabilir. Tüm bu trakeal lezyon tipleri astıma benzer semptomlarla rapor edilmiştir.
Yabancı Cisim Aspirasyonu
Yabancı cisim aspirasyonu sadece lokalize hırıltıya değil aynı zamanda yaygın hırıltıya da neden olabilir. Hırıltı, yetişkinlerde olduğu gibi küçük çocuklarda da görülür. Bir hastada tanımlandığı gibi, yabancı cisim aspirasyonu, hasta tetikleyici olayı hatırlamadan önce bronkoskopik olarak alınmasını gerektirebilir ve hastaların %25'i olayı hiç hatırlamayabilir.[120] Ayrıca, aspire edilen yabancı cisimler radyolüsent olabilir ve bu nedenle göğüs radyografisinde görülmeyebilir. Radyografi tek taraflı hiperinflasyon (hava hapsinden), infiltrat (bronş tıkanmasından) gösterebilir veya normal olabilir.
Pulmoner Migren
Pulmoner migren, kombine tekrarlayan astımdan oluşur; kalın mukoid balgamla öksürük; omuza yayılan bel ağrısı; bir segment veya lobun subtotal veya total atelektazisi ve bazen kusma ile birlikte mide bulantısı.[121] Semptomlara sıklıkla fokal baş ağrısı eşlik eder. Bronşların spastik (obstrüktif) daralmasının, tutulan mukus sekresyonları, düz kas hipertrofisi ve kalınlaşmış bronş duvarları ile birlikte, seçilmiş hava yollarının ekspiratuar kollapsına neden olduğu varsayılır. Pulmoner migrene serebral ve abdominal vasküler migren ataklarının eşlik ettiğine inanılmaktadır.
Konjestif Kalp Yetmezliği
Konjestif kalp yetmezliği, akciğer kompliyansını azaltan ve nefes darlığı ve hırıltı hissine katkıda bulunan tıkanmış pulmoner damarlara ve interstisyel pulmoner ödeme neden olur. Kardiyak astım, konjestif kalp yetmezliğinde bronkospazma sekonder hırıltı ile karakterizedir ve paroksismal nokturnal dispne ve noktürnal öksürük ile ilişkilidir.[32]
Diffüz Panbronşiolit
Diffüz panbronşiolit Japonya ve Uzak Doğu'da yaygındır ve hırıltılı solunum, öksürük, egzersiz sırasında nefes darlığı ve sinüzit ile bronşiyal astımı taklit edebilir.[122] BT bulguları arasında, bazen astımda gözlenen multifokal bronşiolar impaksiyondan genellikle daha bol olan sentrilobüler nodüller ve lineer işaretler bulunur.
Aortik Ark Anomalileri
Aortik ark anomalileri yetişkinlikte daha sonra ortaya çıkabilir. Bir vakada, egzersize bağlı astımı simüle eden anomaliler ilk olarak genç bir kadında ancak şiddetli bir egzersiz programından sonra fark edildi.[123] Test sırasında, bu hastanın akış-hacim görüntüsü intratorasik obstrüksiyonu düşündürdü. Hastada trakeanın önüne doğru uzanan ligamentum arteriyozumlu sağ aortik ark vardı. Bu durum, egzersizle artan pulmoner kan akımı, oksijen ihtiyacı ve trakeal hava akımı ve trakeal halkanın distalinden aşağı akım türbülansından intratrakeal basınçta azalma meydana geldiğinde daralmaya neden oldu; birleştiğinde, bu faktörler hırıltı ve nefes darlığı üretti.
Sinüs Hastalığı
Sinüs hastalığı, özellikle çocuklarda bronşiyal astım ve hırıltı ile ilişkilidir. Hafif sinüs mukozal kalınlaşmasının BT kanıtı olan hastalarda ilişki güçlü olmasa da, Newman ve arkadaşları tarafından geliştirilen bir skorlama sistemi, yaygın sinüs hastalığının sadece hafif kalınlaşması olan hastalardakinden önemli ölçüde daha yüksek oranda hışıltı ile ilişkili olduğunu gösterdi. 104 yetişkinin %39'unda astım ve periferik eozinofili ile korele olan BT taramalarında görüldüğü gibi yaygın hastalık vardı.[124]
Diğer Koşullar ve Faktörler
Sarkoidozdan kaynaklanan lenfadenopati veya üst mediastenin Hodgkin lenfoması gibi diğer dış koşullar astıma katkıda bulunabilir. Ayrıca aspirin veya NSAID aşırı duyarlılığı ve reaktif hava yolu disfonksiyonu sendromu astımla karıştırılabilir. Dirençli bronşiyal astım olarak yanlış teşhisler, kortikosteroidlerle uygun olmayan uzun süreli tedavi ile sonuçlanmıştır.
20 yıldan daha uzun süredir önemli bir sigara içme öyküsü, kronik obstrüktif akciğer hastalığı (KOAH) tanısını astımdan daha olası bir tanı yapmalıdır.
Tüm hastalarda ve özellikle astımı düşündüren yeni semptomları olan 30 yaşından büyük ve 2 yaşından küçük hastalarda alternatif tanılar düşünülmelidir. İlk spirometri bulgularında hava yolu obstrüksiyonu olmaması, alternatif tanılar ve ek testler için düşünmeye sevk etmelidir.
Tedaviler veya İdare Yöntemleri
Tıbbi bakım, akut astım ataklarının tedavisini ve gece ve egzersize bağlı astım semptomları dahil olmak üzere kronik semptomların kontrolünü içerir. Farmakolojik yönetim, inhale kortikosteroidler, uzun etkili bronkodilatörler (beta-agonistler ve antikolinerjikler), teofilin, lökotrien düzenleyiciler gibi kontrol ajanları ve seçilmiş hastalarda anti-immünoglobulin E (IgE) antikorlarının (omalizumab), anti-IL5 antikorlarının ve anti-IL4/IL13 antikorlarının kullanımı gibi daha yeni stratejileri içerir. Rahatlatıcı ilaçlar arasında kısa etkili bronkodilatörler, sistemik kortikosteroidler ve ipratropium bulunur.
En ciddi şekilde etkilenen hastalar dışında tüm hastalar için nihai hedef, semptomları önlemek, akut ataklardan kaynaklanan morbiditeyi en aza indirmek ve çocuğun yaşına uygun sağlıklı (veya sağlıklıya yakın) bir yaşam tarzı sağlamak için fonksiyonel ve psikolojik morbiditeyi önlemektir.
Tüm hastalar için hızlı rahatlama ilaçları, semptomlar için gerektiğinde hızlı etkili beta2 agonistlerini içerir. Tedavinin yoğunluğu semptomların şiddetine bağlıdır. Semptomların giderilmesi için hızlı etkili beta2 agonistleri haftada 2 günden fazla kullanılıyorsa (egzersizle indüklenen semptomların önlenmesi için hızlı etkili beta2 agonistlerinin kullanımı dahil değildir), tedavinin hızlandırılması gerekebilir.
Genel olarak, hastalar astım kontrolü için her 1-6 ayda bir değerlendirilmelidir. Her ziyarette, uyum, çevresel kontrol ve komorbid durumlar kontrol edilmelidir. Hasta en az 3 aydır astımını iyi kontrol ediyorsa, tedavide basamaklar kesilebilir; ancak yeni tedavi ile kontrolün sürdürüldüğünden emin olmak için hasta 2-4 hafta içinde yeniden değerlendirilmelidir.
Çevresel Kontrol
Çevresel maruziyetler ve tahriş edici maddeler semptom alevlenmelerinde güçlü bir rol oynayabilir. Bu nedenle, kalıcı astımı olan hastalarda, çok yıllık iç mekan alerjenlerine duyarlılığı değerlendirmek için cilt testi veya in-vitro testlerin kullanılması önemlidir. Rahatsız edici alerjenler belirlendikten sonra, hastalara bu maruziyetlerden kaçınmaları konusunda tavsiyelerde bulunun. Ek olarak, astımlı hastalar için tütün dumanından (hem birinci elden hem de ikinci elden maruziyetten) kaçınma eğitimi önemlidir.
Alerjenden kaçınma, spesifik alerjen boyutuna ve özelliğine bağlı olarak farklı biçimler alır. Alerjenin kendisi (örneğin kedi tüyü) kaynağın birincil olarak uzaklaştırılmasından sonra çevrede aylarca kalabilmesine rağmen, alerjenden kaçınıldıktan sonra semptomlarda iyileşme oldukça hızlı bir şekilde sonuçlanmalıdır. Mümkünse, evde daha yüksek bir kata (daha az toz ve küf) veya farklı bir mahalleye (daha az hamamböceği) taşınmaya dikkat edilebilir. Aktif sigara içiciliği ve pasif dumana maruz kalmaktan kaçınılmalıdır.
Trafikten kaynaklanan hava kirliliği, özellikle EPHX1 gen ve enzim aktivitesine sahip bireylerde astım ve hırıltı riskini artırabilir.[125] Buna hava yolu oksidatif stres oluşumu aracılık edebilir.
Toz akarları
Toz akarları durumunda (dermatophagoides pteronyssinus ve farina, 30 µm boyutunda), birincil alerjen dışkı partikülleri üzerindeki bir bağırsak enzimidir. Alerjen, nispeten büyük boyutu nedeniyle kumaşa yerleşir; bu nedenle, hava filtrasyonu çok etkili değildir. Toz akarlarını önlemeye yönelik önlemler, su geçirmez örtüler (örn. şilteler, yastıklar, yorganlar, en önemli müdahale), diğer yatak takımlarını sıcak suda yıkamak (en etkili 54,4°C), yatak odasındaki kilimleri kaldırmak, döşemeli mobilyaları sınırlamak, panjur sayısını azaltmak ve giysileri dolap ve çekmecelere koymak şeklinde sıralanabilir. Yumuşak oyuncakların sayısını en aza indirin ve haftada bir veya periyodik olarak dondurucuya koyun. Oda nemini azaltın (< %50).
Hayvanlar
Kedilerin ve diğer hayvanların kepek, tükürük, idrar veya serum proteinlerinin küçük boyutu (1-20 µm) nedeniyle, bu alerjenler ağırlıklı olarak hava yoluyla taşınan iç mekan alerjenleridir. Kaçınma, hayvanları evden (veya en azından yatak odasından) uzaklaştırmayı, ısıtma ve soğutma kanalları üzerinde yoğun filtreleme malzemesi kullanmayı ve kedi ve köpekleri haftada iki kez yıkamayı içerir. Antijenler, kediler evden çıkarıldıktan sonra 6 ay veya daha fazla bir süre evde kalabilir ve kedilerin hiç bulunmadığı evlerde ve ofislerde kedi antijeni bulunabilir, bu da sık temizliğin önemini vurgular.
Hamam Böcekleri
Görünür istilası olmayan evlerin %20'si hala hassaslaştırıcı seviyelerde hamamböceği alerjeni (boyut 30 μm) üretir. Başarılı alerjen yok etme önlemleri, özellikle kötü yaşam koşullarında zordur. Hamam böceklerini kontrol etmek, zehirli yem tuzakları kullanın, yatak odasından yiyecek bulundurmayn ve genel olarak yiyecekleri asla açıkta bırakmayın.
Küf
İç mekan küflerinden (1-150 μm boyutunda) kaçınma için alanları daima kuru tutun (örneğin, ıslak zeminlerdeki halıları kaldırın), eski duvar kağıtlarını kaldırın, temizliği için çamaşır suyu kullanın ve yakılacak odun vb şeyleri açık havada depolayın.
Polen
Polenden (1-150 μm boyutunda) kaçınmak zor ve neredeyse imkansızdır, ancak maruziyeti azaltmaya yönelik çabalar arasında pencere ve kapıların kapatılması, arabada ve evde klima ile yüksek verimli partikül hava filtrelerinin kullanılması, polenin en yüksek olduğu öğle ve öğleden sonrası saatlerinde dışarı çıkılmaması sayılabilir. Yine dışarı çıkarken, güneş gözlüğü ve yüz maskesi takmak da fayda sağlayacaktır.
Alerjen İmmünoterapi
Astım tedavisinde immünoterapinin kullanımı tartışmalıdır. Birkaç büyük, iyi yürütülmüş çalışma herhangi bir fayda göstermedi, ancak 75 randomize kontrollü çalışmanın meta-analizi astımda etkinliği doğruladı.[126] Ulusal Astım Eğitimi ve Önleme Programı Uzman Paneli Raporu, aşağıdaki kriterler yerine getirildiğinde immünoterapinin düşünülmesini önerir.
- Semptomlar ile hastanın duyarlı olduğu kaçınılmaz bir alerjene maruz kalma arasındaki ilişki açıktır.
- Semptomlar tüm yıl boyunca veya yılın büyük bir bölümünde ortaya çıkar.
- İlaç etkisiz olduğundan, birden fazla ilaç gerektiğinden veya hasta ilacı kabul etmediğinden semptomların farmakolojik tedavi ile kontrol edilmesi zordur.
Alerjik riniti tedavi etmek için neredeyse 100 yıldan fazla bir süredir küçük dozlarda alerjen enjeksiyonları kullanılmaktadır. Bu tedavi açıkça etkilidir ve olumlu etkiler tedavi durdurulduktan yıllar sonra bile devam edebilir. Hayatı tehdit eden arı ve yaban arısı sokması (hymenoptera zehiri) reaksiyonları için de bu tedavi zorunlu kabul edilir. Astımlı hastalarda tekrarlayan alerjen enjeksiyonlarının rolü, göreceli bir endikasyondan endikasyon olmamasına kadar değişen daha tartışmalı olmuştur. Alerjiye bağlı astımı olan bireylerde fayda gösterilmiştir.[127]
Destekleyenler, uyumun sağlanabileceğini savunuyor ve kanıtlar, altta yatan hastalık sürecinin değiştirilebileceğini ve hatta önlenebileceğini gösteriyor (örneğin, alerjik rinitli çocuklarda astımın önlenmesi). Yeni duyarlılıkların kazanılması, monosensitize veya oligosensitize edilmiş çocukların immünoterapisi ile azaltılabilir ya da ortadan kaldırılabilir.
2003 yılında 75 randomize kontrollü çalışmanın meta-analizinde immünoterapi astım semptomlarını ve ilaç ihtiyacını azaltmıştır.[128]
Spesifik alerjenlerin semptomlarla kanıtlanmış bir ilişkisi varsa ve alerjene karşı bir aşı mevcutsa, alerjen immünoterapisi düşünülmelidir. Yukarıda tartışıldığı gibi bu tedavi, özellikle astımın alerjik rinit ile ilişkili olması durumunda faydalıdır. Bir alerji uzmanına başvurmak gereklidir ve hasta 3-5 yıllık bir tedavi süreci taahhüt edebilmelidir (ancak birkaç aylık bir deneme düşünülebilir).
Monoklonal Antikor Tedavisi
Omalizumab
Omalizumab, pozitif deri testi sonucu veya çok yıllık bir aeroalerjene karşı in vitro reaktivitesi olan ve semptomları inhale kortikosteroidlerle yeterince kontrol edilemeyen orta-şiddetli persistan astımı olan yetişkinler ve 6 yaş ve üzeri çocuklar için endikedir. Hastaların IgE seviyeleri 30 ila 700 IU arasında olmalı ve 150 kg'dan fazla olmamalıdır.
Bu, IgE antikorunun Fc bileşenine (mast hücre yüzeylerine bağlanan kısım) karşı insanlaştırılmış bir murin IgG antikorudur. Bu antikorun kullanılması, IgE'nin doğrudan mast hücre reseptörüne bağlanmasını önler, böylece degranülasyonun kendisine neden olmadan hücre degranülasyonunu önler.
Terapinin serbest IgE antikor düzeylerini %99 ve IgE antikoru için hücre reseptör bölgelerini %97 oranında azalttığı gösterilmiştir. Bu azalma, sırasıyla, histamin üretiminin azalması (%90), erken faz bronkospazm (%40) ve geç faz bronkospazm (%70) ile ilişkili olduğu kadar bunların sayısında, migrasyonunda ve aktivitesinde azalma ile ilişkilidir. eozinofiller. Seviyeler hızla düşer ve en az bir ay boyunca düşük kalır. Bu terapi alerjik rinit için de etkilidir.
Çoklu faz 3 çalışmaları, plasebo enjeksiyonları ile karşılaştırıldığında, tedavinin daha büyük medyan inhale steroid dozu azaltımı (%83'e karşı %50), inhale steroidlerin daha yüksek kesilme yüzdesi (%42'ye karşı %19) ve daha az astım alevlenmesi (yaklaşık olarak) ile ilişkili olduğunu göstermektedir. %15'e karşı %30). Yaşam kalitesi ve kurtarma inhaler ve acil servis kullanımı da iyileştirilebilir. Omalizumabın astım alevlenmelerinin sayısını azalttığı gösterilmiştir.
Omalizumab, başlangıç serum IgE düzeyi ve vücut ağırlığına göre 2-4 haftada bir subkutan enjeksiyonla verilir. Hastalar genellikle en az 12 hafta süren bir deneme süresi boyunca tedavi edilir. Maliyetler yıllık 6,110 ila 36,600 dolar arasında olabilir, bu nedenle omalizumab, standart tedaviyle tam olarak kontrol edilmeyen orta-şiddetli kalıcı alerjik astımı olan hastalar için ikinci basamak tedavidir.[129]
Mepolizumab
Mepolizumab, interlökin 5'e (IL-5) spesifik hümanize bir IgG1 kappa monoklonal antikordur. Mepolizumab, IL-5'e bağlanır ve bu nedenle IL-5'in eozinofillerin yüzeyindeki reseptörüne bağlanmasını durdurur. IL-5'in eozinofillere bağlanmasını inhibe etmek, kan, doku ve balgam eozinofil seviyelerini azaltır. 12 yaş ve üzeri şiddetli astımı olan ve eozinofilik fenotipi olan hastaların ilave idame tedavisi için endikedir.
Onay, üç temel faz 3 denemesine (DREAM, MENSA ve SIRIUS) dayanıyordu. Her deneme, astım alevlenmelerinin ve acil servis ziyaretlerinin veya hastaneye yatışların azaltılmasında istatistiksel olarak anlamlı iyileşme gösterdi. Mepolizumab grubunda glukokortikoid kullanımındaki ortalama azalma, astım alevlenme oranını da azaltırken %50 idi. Plaseboya kıyasla FEV1'de de önemli iyileşme gözlendi.[130], [131], [132]
Reslizumab
Reslizumab, IL-5'i inhibe eden bir IgG kappa monoklonal antikorudur. FDA tarafından Mart 2016'da onaylanmıştır ve eozinofilik fenotipli 18 yaş ve üzeri şiddetli astımlı hastaların ek idame tedavisi için endikedir. Her 4 haftada bir intravenöz infüzyon olarak uygulanır. Onay, yüksek eozinofilleri olan astımlı hastalarda çok merkezli, uluslararası üç denemeye dayanıyordu. Bu çalışmaların ikisinde, reslizumab alan hastalarda astım alevlenmelerinin sıklığında plasebo alanlara kıyasla %59'a varan önemli bir azalma olmuştur.[133]
Benralizumab
Benralizumab, FDA tarafından Kasım 2017'de onaylanan bir IL-5 reseptörü, alfaya yönelik sitolitik mAb'dir (IgG1, kappa). IL-5 reseptörü, eozinofillerin ve bazofillerin yüzeyinde ifade edilir. Benralizumab, antikora bağlı hücre aracılı sitotoksisite (ADCC) yoluyla eozinofilleri ve bazofilleri azaltır. Eozinofilik fenotipi olan 12 yaş ve üzeri hastalarda şiddetli astımın ek idame tedavisi için endikedir.
Onay, faz III alevlenme denemeleri, SIROCCO ve CALIMA ve faz III oral kortikosteroid (OCS) koruyucu deneme, ZONDA dahil olmak üzere WINDWARD klinik deneme programından elde edilen sonuçlara dayanmaktadır.[31], [134], [135]
Bu denemelerden elde edilen 8 haftalık benralizumab doz rejimine ilişkin sonuçlar aşağıdakileri göstermiştir:
- Plaseboya kıyasla yıllık astım alevlenme oranında (AAER) %51'e varan azalma
- Plaseboya kıyasla bir saniyedeki zorlu ekspiratuar hacim (FEV1) ile ölçülen akciğer fonksiyonunda 159 mL'ye kadar önemli iyileşme
- Uygun hastaların %52'sinde günlük OCS kullanımında ortalama %75 azalma ve OKS kullanımının kesilmesi
Dupilumab
Dupilumab için onay, LIBERTY QUEST (n=1902) ve VENTURE (n=210) faz 3 klinik denemelerine dayanmaktadır.
LIBERTY QUEST çalışmasında, orta-şiddetli kontrolsüz astımı olan hastalara, mevcut idame tedavisine ek olarak 2 haftada bir dupilumab tedavisi veya eşleştirilmiş plasebo uygulandı. 200 mg doz alanlar, plasebo ilavesiyle karşılaştırıldığında %47.7 daha düşük yıllık şiddetli astım alevlenmesi oranı gösterdi (P< .001). 300 mg doz benzer bir yanıt gösterdi.[136]
LIBERTY VENTURE çalışmasında, oral kortikosteroide bağımlı şiddetli astımı olan hastalara ek dupilumab tedavisi uygulandı veya 24 hafta boyunca 2 haftada bir mevcut idame tedavisiyle eşleştirilmiş plasebo veya eşleştirilmiş plasebo uygulandı. Kortikosteroid dozları 4. haftadan 20. haftaya kadar kademeli olarak azaltıldı ve ardından 4 hafta sürdürüldü. Dupilumab alan hastalarda, plasebo ilavesi için %41.9'a kıyasla %70.1 daha fazla kortikosteroid dozu azaltımı olmuştur (P< .001). Ek olarak, dupilumab alan hastalarda, plasebo ilavesi alanlara göre %59 (%95 güven aralığı, 37-74) daha düşük şiddetli astım alevlenme oranı vardı.[137]
Bronşiyal Termoplasti
Bronşiyal termoplasti, akciğerlerdeki düz kasları hedef alan bir astım tedavisidir. Tedavi, düz kası küçültmek için ısı kullanır, böylece kasılmaz ve astım semptomlarına neden olmaz. Tedavi, her seans arasında üç hafta olmak üzere üç seanstan oluşur ve bir göğüs hastalıkları uzmanı (tarafından yapılır. Göğüs hastalıkları uzmanınız her seansta akciğerlerinizin farklı bir bölümünü tedavi edecektir.
Bronşiyal termoplasti, yalnızca şiddetli astımı olan yetişkinleri tedavi etmek için onaylanmıştır. Sağlık uzmanınız önce astım iltihabını tedavi etmenin başka yollarını deneyecektir.

Bronşiyal termoplasti hala yeni ve nispeten kanıtlanmamış bir tedavidir. Birçok insan için sınırlı faydalar, potansiyel risklere değmeyebilir. Astımınızın bu tedaviyi denemeye yetecek kadar şiddetli olup olmadığına siz ve sağlık uzmanınız karar vermeniz gerekecektir.[138], [139]
Sinüzit
Astımlı hastaların %50'sinde eşzamanlı sinüs hastalığı vardır. Sinüzit, astım semptomlarını alevlendiren en önemli faktördür. Akut enfeksiyöz sinüs hastalığı veya kronik inflamasyon, hava yolu semptomlarının kötüleşmesine katkıda bulunabilir. Nazal ve sinüs iltihabının tedavisi, hava yolu reaktivitesini azaltır. Akut sinüzit tedavisi, astım semptomlarını iyileştirmek için en az 10 gün antibiyotik gerektirir.[140]
Gece Astımı
Gece astımı agresif bir şekilde ele alınması gereken önemli bir klinik problemdir. Semptomların ve müdahalelerin objektif olarak değerlendirilmesini sağlamak için tepe akış ölçerler kullanılmalıdır. Uyku apnesi, semptomatik GÖRH (gastroözofageal reflü) ve sinüzit varsa kontrol edilmelidir. İlaçlar uygun şekilde zamanlanmalı ve uzun etkili inhale veya oral beta2 agonisti ve inhale kortikosteroidlerle birlikte bir lökotrien değiştirici kullanımına dikkat edilmelidir. Günde bir kez sürekli salımlı teofilin preparatı ve oral kortikosteroidlerin zamanlamasının öğleden sonraya değiştirilmesi de kullanılabilir.
Uzun Vadeli Hasta Takibi
Astımlı tüm hastalar için, hastalığın genel yönetiminde yardımcı olan aşağıdaki parametrelere dayalı olarak sürekli olarak izleme yapılmalıdır:
- Astım belirti ve semptomlarının izlenmesiyle ilgili olarak, hastalara yetersiz astım kontrolünü tanımaları öğretilmeli ve hizmet sağlayıcılar her ziyarette kontrolü değerlendirmelidir.
- Pulmoner fonksiyonu izlemek için düzenli olarak spirometri ve tepe akış izleme gerçekleştirilmeli.
- Yaşam kalitesi ve fonksiyonel durum için, kaçırılan iş veya okul günleri, aktivitelerde azalma, uyku bozuklukları veya bakıcı aktivitelerinde değişiklik olup olmadığı sorgulanmalı.
- Astım alevlenmelerinin geçmişini izlemek için, hastaların astım alevlenmelerini saptamak için kendilerini izleyip izlemediklerini ve bu alevlenmelerin kendi kendine mi yoksa sağlık hizmeti sağlayıcıları tarafından mı tedavi edildiğini belirlenmeli.
- Farmakoterapinin izlenmesi ile ilgili olarak, ilaçlara uyumu ve kısa etkili beta agonistlerinin kullanımı sağlanmalı.
Havayolu Obstrüksiyonunun Fonksiyonel Değerlendirmesi
Hastanın tedaviye yanıtını değerlendirmek için başlangıçta FEV1 veya tepe akım hızı (TAH) ölçümüyle hava yolu obstrüksiyonunun işlevsel bir değerlendirmesini yapılır. TAH ölçümü ucuz ve taşınabilirdir. Seri ölçümler tedaviye yanıtı belgeler ve diğer parametrelerle birlikte, acil servis ortamında hastanın hastaneye kabul edilip edilmeyeceğini veya acil servisten taburcu edilip edilmeyeceğini belirlemek için yardımcı olur. TAH'ın bir sınırlaması, hastanın çabasına bağlı olmasıdır. FEV1'de çabaya bağlıdır, ancak TAH'dan daha azdır.
Perioperatif (Ameliyat Dönemi) Hususlar
Ameliyatla ilişkili astıma bağlı komplikasyonlar arasında entübasyon, bozulmuş öksürük, hipoksemi, hiperkapni, atelektazi, solunum yolu enfeksiyonu ve latekse maruziyetten kaynaklanan akut bronkokonstriksiyon yer alır. Bu komplikasyonların meydana gelme olasılığı, altta yatan astımın ciddiyetine, ameliyatın tipine (torasik ve üst abdominal) ve anestezi tipine bağlıdır.[141]
Astımlı hastalar ameliyattan önce astım semptomlarının gözden geçirilmesini, ilaç kullanımını (özellikle son 6 ay içinde 2 haftadan fazla oral sistemik kortikosteroidler) ve akciğer fonksiyonunun ölçümünü içeren bir değerlendirmeden geçmelidir. Mümkünse, akciğer fonksiyonunu ya tahmin edilen değerlere ya da kişisel en iyi seviyeye çıkarmak için ameliyat öncesi girişimlerde bulunulmalıdır. Akciğer fonksiyonunu optimize etmek için kısa süreli oral sistemik kortikosteroidler gerekli olabilir.
Hava akımı obstrüksiyonu kanıtı (başlangıç değerlerinin < %80'i) mevcutsa, kısa bir kortikosteroid kürü önerilir. Son 6 ayda astım alevlenmesi için oral kortikosteroid alan hastalar, perioperatif dönemde sistemik kortikosteroidler (100 mg hidrokortizon IV q 8 saat) almalıdır.
Egzersiz Düzeyine Yaklaşım
Aktivite genellikle hastaların egzersiz yapma yeteneği ve ilaçlara verdikleri yanıtla sınırlıdır. Astımlı hastalar için, hastalıklarını alevlendirebilecek ajanlara maruz kalmaktan kaçınmaları gerekse de, herhangi bir spesifik sınırlama önerilmemektedir.
Astımlı hastaların önemli bir kısmında ayrıca egzersize bağlı bronkokonstriksiyon vardır ve hastalıklarının başlangıçtaki kontrolü, egzersiz semptomlarını önlemek için yeterli olmalıdır. Egzersize bağlı bronkokonstriksiyonu olan hastaların egzersiz yapma yeteneği, egzersizin düzeyine, zindelik derecesine ve egzersiz yaptıkları ortama bağlıdır.
Birçok hasta, içeride veya sıcak, nemli bir ortamda egzersiz yaparken, dışarıda veya soğuk, kuru bir ortamda olduğundan daha az sorun yaşar.
Diyetle İlgili Hususlar
Son birkaç yıldaki ileriye dönük kohort çalışmalarından ve popülasyona dayalı çalışmalardan elde edilen bilgiler, astım ve obezite arasında bir ilişki olduğunu düşündürmektedir. Vücut kitle indeksi yüksek olan hastalarda astım gelişme riski daha yüksektir. 5 yıl boyunca gözlemlenen Nurses' Health Study II'de yaklaşık 86.000 yetişkin kadın üzerinde yapılan ileriye dönük bir kohort çalışması, vücut kitle indeksi ile astım geliştirme riski arasında doğrusal bir ilişki olduğunu göstermiştir.[142] 2019 GINA kılavuzu, astımlı obez hastaların normal kilolu astım hastalarına göre daha düşük akciğer fonksiyonuna ve daha fazla komorbiditeye sahip olduğunu ekler.[72] Obez hastalarda astımı kontrol etmek daha zordur, ancak %5-10 kilo kaybı astım kontrolünü ve yaşam kalitesini iyileştirebilir.[143]
Genellikle özel bir diyet belirtilmez. Astım için bir tetikleyici olarak gıda alerjisi nadirdir. Spesifik bir alerji için ikna edici kanıtlar olmadığı sürece, süt ürünlerinden kaçınılması gerekmez. Olumlu sonuçlar veren çift kör bir gıda denemesinden sonra gıdalardan kaçınılması önerilir. Sülfitler bazı şiddetli astım alevlenmelerinde rol oynar ve hassas kişilerde bundan kaçınılmalıdır.
İlaç Tedavileri
Astımı tedavi etmek için kullanılan ilaçlar iki genel sınıfa ayrılır: akut semptomları tedavi etmek için kullanılan hızlı rahatlama ilaçları (rahatlatıcı ilaçlar da denir) ve daha fazla alevlenmeleri (atakları) önlemek için kullanılan uzun süreli kontrol ilaçları (kontrol edici ilaçlar da denir).[58] Astım tedavisi için genellikle antibiyotiklere ihtiyaç duyulmaz.[144]
Rahatlatıcılar
Akut astım ataklarını hafifletmek ve efora bağlı bronkokonstriksiyon semptomlarını önlemek için hızlı rahatlama ilaçları kullanılır. Bu ilaçlar arasında kısa etkili beta agonistleri (SABA'lar), antikolinerjikler (yalnızca şiddetli ataklar için kullanılır) ve akut alevlenmelerde iyileşmeyi hızlandıran sistemik kortikosteroidler bulunur.
- Beta2-Adrenerjik Agonist Ajanlar: Beta2 agonistleri, bronşların düz kaslarını gevşeterek geri dönüşümlü bronkospazmı rahatlatır. Bu ajanlar bronkodilatör görevi görür ve akut astım ataklarında bronkospazmı tedavi etmek ve egzersize bağlı astım veya gece astımı ile ilişkili bronkospazmı önlemek için kullanılır.
- Albuterol sülfat (Proventil HFA, Ventolin HFA, ProAir HFA, ProAir RespiClick, ProAir Digihaler): Bu beta2-agonist, en sık kullanılan bronkodilatördür ve çeşitli formlarda mevcuttur (örn. nebulizasyon için solüsyon, ölçülü doz inhaler, oral solüsyon). Yaygın olarak akut astım semptomları için kurtarma tedavisinde ve gerektiğinde kullanılır. Beta2 reseptör aşağı regülasyonu ve reseptör hiposensitivitesi nedeniyle uzun süreli kullanım taşifilaksi ile ilişkili olabilir.
- Levalbuterol (Xopenex, Xopenex HFA): Albuterolün rasemik olmayan bir formu olan levalbuterol (R izomeri), daha küçük dozlarda etkilidir ve daha az yan etkiye sahip olduğu bildirilmiştir (örneğin, taşikardi, hiperglisemi, hipokalemi). Bronkodilatör yanıtında hafif bir artış bile tedavi stratejisinde (örneğin hasta ventilasyonundan kaçınmada) büyük bir fark yarattığında, akut şiddetli ataklarda doz iki katına çıkarılabilir.
- Oral Kortikosteroidler: Yetersiz kontrollü akut astım ataklarının hızlı kontrolünü sağlamak için kısa süreli (3-10 gün) oral steroidler kullanılır. Ayrıca şiddetli persistan astımda semptomların uzun süreli önlenmesi için ve ayrıca inflamasyonun baskılanması, kontrolü ve tersine çevrilmesi için kullanılırlar. Beta2 agonistlerinin sık ve tekrarlayan kullanımı, beta2 reseptör duyarlılığı ve aşağı regülasyonu ile ilişkilendirilmiştir; bu süreçler kortikosteroidlerle tersine çevrilir.
- Prednizon (Deltasone, Rayos): Prednizon, otoimmün bozuklukların tedavisi için bir immünosupresandır; artan kılcal geçirgenliği tersine çevirerek ve polimorfonükleer lökosit aktivitesini baskılayarak iltihabı azaltabilir.
- Metilprednizolon (Solu-Medrol, Medrol, Depo-Medrol): Metilprednizolon, artan kılcal geçirgenliği tersine çevirerek ve polimorfonükleer lökosit aktivitesini baskılayarak iltihabı azaltabilir.
- Prednizolon (Pediapred, Millipred, Orapred ODT): Bu glukosteroid doğal ve sentetik olarak oluşur. Hem akut hem de kronik astım için kullanılır. Artan kılcal geçirgenliği tersine çevirerek ve polimorfonükleer lökosit aktivitesini baskılayarak inflamasyonu azaltabilir.
Kontrol Ediciler
Genellikle günlük olarak alınan uzun süreli astım kontrol ilaçları astım tedavisinin temel taşıdır. Bu ilaçlar astımı günlük olarak kontrol altında tutar ve astım krizi geçirme olasılığınızı azaltır.
- İnhale Kortikosteroidler: Steroidler en güçlü antiinflamatuar ajanlardır. Bu ilaçları maksimum yararlarına ulaşmadan önce birkaç gün ila haftalarca kullanmanız gerekebilir. Solunan formlar topikal olarak aktiftir, zayıf emilir ve yan etkilere neden olma olasılığı çok düşüktür.
- Siklesonid (Alvesco): Siklesonid, 12 yaş ve üzeri yetişkin ve adolesan hastalarda profilaktik tedavi olarak astımın idame tedavisi için endike olan bir aerosol inhale kortikosteroiddir. Akut bronkospazmın giderilmesi için endike değildir. Kortikosteroidlerin, iltihaplanma ile ilgili birçok hücre tipi (örneğin, mast hücreleri, eozinofiller, nötrofiller, makrofajlar, lenfositler) ve aracılar (örneğin, histaminler, eikosanoidler, lökotrienler, sitokinler) üzerinde geniş bir etkisi vardır.
- Beklometazon (QVAR Redihaler): Bu ajan bronkokonstriksiyon mekanizmalarını inhibe eder; doğrudan düz kas gevşemesine neden olur; ve inflamatuar hücrelerin sayısını ve aktivitesini azaltabilir, bu da hava yolu aşırı duyarlılığını azaltır.
- İnhale Flutikazon (Flovent Diskus, Flovent HFA, ArmonAir RespiClick, Arnuity Ellipta): Flutikazon son derece güçlü vazokonstriktif ve anti-inflamatuar aktiviteye sahiptir. Topikal olarak uygulandığında zayıf bir HPA ekseni inhibitör gücüne sahiptir. Ölçülü doz inhaler aerosolize ürün (HFA) veya DPI (Diskus) olarak mevcuttur.
- İnhale Budesonid (Pulmicort, Pulmicort Flexhaler): Astım atağını daha az şiddetli hale getiren akciğerlerdeki iltihabı (şişmeyi) önleyerek çalışır. İnhale budesonid, akciğerlerde daralmış solunum yollarını açmak için de kullanılan bronkodilatörler gibi diğer astım ilaçları ile birlikte kullanılabilir.
- Mometasone (Asmanex Twisthaler, Asmanex HFA): Mometazon, oral inhalasyon için bir kortikosteroiddir. Astım için profilaktik tedavi olarak endikedir.
- Lökotrien Reseptör Antagonisti: Lökotrienlerin bronkospazm, artmış vasküler geçirgenlik, mukozal ödem ve inflamatuar hücre infiltrasyonuna neden olduğu bilgisi, farmakolojik ajanlar kullanarak etkilerini değiştirme kavramına yol açar.
- Zafirlukast (Accolate): Zafirlukast, LTD4 ve LTE4 reseptörlerinin seçici bir rekabetçi inhibitörüdür.
- Montelukast (Singulair): Montelukast, sınıfında tanıtılan son ajandır. Avantajları çiğnenebilir olması, günde bir kez dozlanmasıdır (Montelukast, ajitasyon, saldırganlık, halüsinasyonlar, depresyon ve intihar düşüncesi gibi psikolojik reaksiyonlarla ilişkilendirilmiştir. Bu reaksiyonlardan herhangi birini yaşarsanız hemen tıbbi yardım alın).
- Seçici Olmayan Fosfodiesteraz Enzim İnhibitörleri: Bu ajanlar, özellikle gece semptomları olmak üzere semptomların uzun süreli kontrolü ve önlenmesi için kullanılır.
- Teofilin (Theo-24, Theochron, Ellixophyllin): Teofilin, kısa ve uzun etkili formülasyonlarda mevcuttur. İlaç seviyelerinin izlenmesi ihtiyacı nedeniyle, bu ajan nadiren kullanılır. Doz ve uygulama sıklığı, seçilen belirli ürüne bağlıdır.
- Uzun Etkili Beta2 Agonistleri: Akut bronkospazm tedavisinde uzun etkili bronkodilatörler kullanılmaz. Kortikosteroidlerle kombinasyon halinde astım semptomlarının önleyici tedavisinde kullanılırlar.
- Salmeterol (Serevent Diskus): Salmeterol, bronşit, amfizem, astım veya bronşektazi ile ilişkili durumlarda bronşiyollerin düz kaslarını gevşeterek bronkospazmı rahatlatabilir. Etki ayrıca balgam çıkarmayı kolaylaştırabilir. Salmeterol yüksek dozlarda veya önerilenden daha sık dozlarda uygulandığında yan etkiler daha olasıdır. Monoterapi olarak değil, inhale kortikosteroidlerle birlikte kullanılmalıdır.
- Formoterol (Performist): Formoterol, uzun etkili bir beta2 agonistidir. Formoterol, bronşit, amfizem, astım veya bronşektazi ile ilişkili durumlarda bronşiyollerin düz kaslarını gevşeterek bronkospazmları rahatlatabilir. Etkiler ayrıca balgam çıkarmayı kolaylaştırabilir. Semptomları ve sabah pik akışlarını iyileştirdiği gösterilmiştir. Formoterol, önerilenden daha yüksek dozlarda veya daha sık dozlarda uygulandığında yan etkiler daha olasıdır. Monoterapi olarak değil, inhale kortikosteroidlerle birlikte kullanılmalıdır.
- Beta2-Agonist/Kortikosteroid Kombinasyonları: Bu kombinasyonlar, inhale kısa etkili beta2 agonistleri ve kortikosteroidler başarısız olduğunda astım alevlenmelerini azaltabilir.
- Budesonid/formoterol (Symbicort): Formoterol, astımla ilişkili durumlarda bronşiyollerin düz kaslarını gevşeterek bronkospazmı giderir. Budesonid, çok sayıda inflamatuar hücre tipini inhibe ederek ve astmatik yanıtta rol oynayan sitokinlerin ve diğer aracıların üretimini azaltarak hava yollarındaki inflamasyon seviyesini değiştiren inhale bir kortikosteroiddir.
- Mometazon ve formoterol (Dulera): Kombinasyon kortikosteroid ve uzun etkili seçici beta-2 agonist (LABA) ölçülü doz inhaler. Mometazon, minimal sistemik absorpsiyon ile solunum yolunda lokal anti-inflamatuar etkiler ortaya çıkarır. Formoterol, bronşiyal düz kas gevşemesini sağlar. Diğer astım kontrol ilaçları (örneğin, düşük ila orta doz inhale kortikosteroidler) ile yeterince kontrol edilemeyen veya hastalık şiddeti, bir LABA dahil 2 idame tedavisi ile tedavinin başlatılmasını açıkça garanti eden hastalarda astım semptomlarının önlenmesi ve sürdürülmesi için endikedir. 3 güçte mevcuttur; her çalıştırma mometazon/formoterol 50 mcg/5 mcg, 100 mcg/5 mcg veya 200 mcg/5 mcg verir.
- Salmeterol/flutikazon inhale (Advair Diskus, Advair HFA, AirDuo RespiClick): Flutikazon, bronkokonstriksiyon mekanizmalarını inhibe eder, doğrudan düz kas gevşemesi sağlar ve inflamatuar hücrelerin sayısını ve aktivitesini, dolayısıyla hava yolu aşırı duyarlılığını azaltabilir. Ayrıca vazokonstriktif aktiviteye sahiptir. Salmeterol bronşit, amfizem, astım veya bronşektazi ile ilişkili durumlarda bronşiyollerin düz kaslarını gevşetir ve bronkospazmları giderebilir. Etkileri ayrıca balgam çıkarmayı kolaylaştırabilir. Ajan önerilenden daha yüksek veya daha sık dozlarda uygulandığında yan etkilerin ortaya çıkma olasılığı daha yüksektir.
- Vilanterol/flutikazon furoat inhale (Breo Ellipta): Uzun süreli astım kontrol ilacı (örn., inhale kortikosteroid) ile yeterince kontrol edilmeyen veya hastalık şiddeti hem inhale kortikosteroid hem de uzun etkili beta agonisti ile tedavinin başlatılmasını açıkça garanti eden yetişkinler için günde bir kez astım tedavisi için endikedir. Oral inhalasyon yoluyla günde bir kez öngörülen gücü (hareket başına 25 mcg/100 mcg veya 25 mcg/200 mcg) kullanın. Flutikazon furoat, anti-inflamatuar aktiviteye sahip bir kortikosteroiddir. Vilanterol, hücre içi adenil siklazı uyaran (ATP'nin siklik AMP'ye dönüşümünü katalize eden) uzun etkili bir beta agonistidir (LABA). Artan siklik AMP seviyeleri, bronşiyal düz kasın gevşemesine ve hücrelerden, özellikle mast hücrelerinden ani aşırı duyarlılık aracılarının salınımının inhibisyonuna neden olur.
- Antikolinerjik Ajanlar: Uzun etkili antikolinerjik ajan olan tiotropium, uzun süreli idame tedavisi için düşünülebilir, ancak astım alevlenmelerinin akut tedavisi için düşünülemez.
- Tiotropium (Spiriva HandiHaler, Spiriva Respimat): Tiotropium, genellikle antikolinerjik olarak adlandırılan uzun etkili bir antimuskarinik ajandır. Düz kastaki M3 reseptörlerini inhibe ederek bronkodilatasyona neden olur. 6 yaş ve üzeri hastalarda astımın uzun süreli, günde bir kez idame tedavisi için endikedir.
- İpratropyum (Atrovent HFA): Ipratropium kimyasal olarak atropin ile ilişkilidir. Antisekretuar özelliklere sahiptir ve lokal olarak uygulandığında nazal mukozayı kaplayan seröz ve seröz bezlerden salgıları inhibe eder. KOAH için onaylanmıştır, ancak literatürde beta2-agonist tedavisine ek olarak astımın akut alevlenmelerinde endikasyon dışı kullanımı tanımlanmıştır. 15 dakikalık başlangıçlı kısa etkili antikolinerjik bir ajandır.
- Antikolinerjik Ajan Kombinasyonları: İpratropium ve albuterol ile kombinasyon ajanları. Bu kombinasyonu ilk kez kullanmadan önce ve aerosol 24 saatten fazla kullanılmadığında 3 püskürtmelik bir test spreyi önerilir. Ipratropium kimyasal olarak atropin ile ilişkilidir. Antisekretuar özelliklere sahiptir ve lokal olarak uygulandığında nazal mukozayı kaplayan seröz ve seröz bezlerden salgıları inhibe eder. Albuterol, epinefrine dirençli bronkospazm için beta-agonisttir. Beta2-reseptörlerine etki ederek bronşiyal düz kasları gevşetir, kalp kası kontraktilitesi üzerinde çok az etkisi vardır.
- Ipratropium ve albuterol (Combivent Respimat): Ipratropium kimyasal olarak atropin ile ilişkilidir. Antisekretuar özelliklere sahiptir ve lokal olarak uygulandığında nazal mukozayı kaplayan seröz ve seröz bezlerden salgıları inhibe eder. Albuterol, epinefrine dirençli bronkospazm için beta-agonisttir. Beta2-reseptörlerine etki ederek bronşiyal düz kasları gevşetir, kalp kası kontraktilitesi (kasılabilirlik) üzerinde çok az etkisi vardır.
Astımla Yaşam
İyi yönetilen bir astım ile normal ve aktif bir yaşam sürdürebilirsiniz. Astımla yaşamanın anahtarı onu kontrol altında tutmaktır; astımınız günlük hayatınıza müdahale etmediğinde ve normal aktiviteleri engellemediğinde kontrol altındadır. Bu, semptomlarınıza neyin neden olduğunu, tetikleyicilerinizden nasıl kaçınacağınızı ve ilaçlarınızı doğru şekilde nasıl kullanacağınızı öğrenmek anlamına gelir.
Astımınızı izlemek ve kontrol altına almak için birlikte çalışabilmeniz için düzenli kontroller için doktorunuzu görmeniz önemlidir. Doktorunuzla, astımınızı izlemenize ve yönetmenize yardımcı olmak için kişisel yazılı astım eylem planınızı da doldurabilirsiniz. Eylem planlarını takip eden kişilerin astımları nedeniyle daha iyi kontrollü astım, daha az astım krizi geçirme ve işten veya okuldan daha az gün izin alma olasılığı daha yüksektir.
Unutmayın, iyi bir tedavi planı ve iyi bir yönetim ile astımla iyi yaşamak mümkündür.
Astım Eylen Planı
Astım yönetiminin ayrılmaz bir parçası, astımı olan kişi veya bakıcısı tarafından doktorlarıyla birlikte yazılı bir astım eylem planının geliştirilmesidir. Bir astım eylem planı, astımı olan kişinin kötüleşen astımı fark etmesine yardımcı olur ve yanıt olarak ne yapması gerektiği konusunda net talimatlar verir.
Astım eylem planının amacı, astımı olan kişiye ve/veya bakıcısına, astım atağının şiddetini önlemek veya azaltmak için erken önlem almalarında yardımcı olmaktır. Astım eylem planı, semptomlara ya da tepe akım hızı ölçümlerine dayalı olabilir ve kişinin astım modeline göre kişiselleştirilir. Çocuklarda semptom temelli planlar tercih edilir. Planı tamamlandıktan sonra astımı olan kişiye ve(ya) bakıcısına tutması için verilir. Ebeveynler, çocuklarının astım eylem planının bir kopyasını okula, okul öncesi eğitim kurumuna ve(ya) kreşe vermelidir.
Bir kişinin astım şiddeti veya kontrol düzeyi zamanla değişebileceğinden, astım eylem planının düzenli olarak gözden geçirilmesi önemlidir.
Astım Eylem Planı Neleri İçerir
Farklı astım eylem planları farklı insanlara uygundur, ancak tüm planlar şu temel özelliklere sahip olmalıdır:
- Genel bir örnek yerine bireysel olarak reçete edilmelidir.
- Hastanın ve(ya) bakıcısının atakları (alevlenmeler) tanımasını sağlayan bilgileri içermelidir.
- Bu ataklara yanıt olarak ne yapılması gerektiği hakkında bilgi içermerlidir.
- Temel ayrıntılar tarih, hastanın adı ve doktorunun iletişim bilgilerini içermelidir. Bazıları ayrıca hastanın bakıcısı veya acil durumda irtibat kurulacak kişi için iletişim bilgilerini de içerebilir.

Bir astım eylem planı, semptomlarınız veya en yüksek tepe akım hızınız veya her ikisi tarafından tanımlanan bölgelere dayanır. Astım semptomlarınızda ani bir artış olursa ne yapmanız gerektiğini söyler. Astım eylem planının yeşil bölgesi, astımlı bir kişinin her gün olmak istediği yerdir. Yeşil bölgedeyken:
- Kişide herhangi bir astım krizi belirtisi yoktur.
- Kişi normal aktivitelerini yapabilir ve semptomlar olmadan uyuyabilir.
- Tepe akım hızı, kişinin en iyi tepe akış ölçümünün %80 ila %100'ü kadardır.
Sarı bölge, astım krizi geçirdiğiniz veya ilacınızın artırılması gerektiği anlamına gelebilir. Semptomlar mevcut olduğunda hafif ila orta şiddette olabilir veya sizi normal aktivitelerinizden alıkoyabilir ya da uykunuzu bozabilir. Belirtiler şunları içerebilir:
- Öksürük ve hırıltı.
- Nefes darlığı ve göğüste sıkışma hissi (Çocuklar göğüs sıkışmasını karın ağrısı olarak ifade edebilirler).
Sarı bölgede, tepe akım hızınız, kişisel en iyi tepe akım ölçümünüzün %50 ila %80'i kadardır. Herhangi bir semptomunuz olmayabilir, ancak akciğer fonksiyonunuz azalır. Sarı bölgedeki semptomların tedavisi şunları içerir:
- İlacınızı astım eylem planınıza göre alınız.
- Semptomlar 20 ila 60 dakika içinde düzelmezse veya tepe akım hızınız akışınız kişisel en iyi ölçümünüzün %70'inden daha az kalırsa veya her ikisi birden olursa, akciğerleriniz ilaca yanıt vermediğinden astım eylem planınızın kırmızı bölge talimatlarını izleyin.
Yeşil bölgeden sarı bölgeye gitmeye devam ederseniz doktorunuzla konuşun. Normal ilacınızın değiştirilmesi gerekebilir.
Şiddetli astım semptomlarınız varsa, astım eylem planınızın kırmızı bölgesindesiniz. Belirtiler şunları içerir:
- Yürürken, konuşurken veya dinlenirken nefes darlığı vardır.
- Nefes almak için göğüs kaslarının kullanılması. Kaburgaların arasındaki, üstündeki ve altındaki deri her nefeste içe doğru çöker.
- Hırıltı vardır. Ancak belirtiler çok şiddetliyse, herhangi bir hırıltı duymayabilirsiniz. Bronş tüplerinden geçen hava miktarı tehlikeli derecede azaldığında hırıltı durur. Bu durumda, hiçbir hırıltı, hırıltı duymaktan daha kötü değildir.
- Tepe akım hızı, kişisel en iyi tepe akış ölçümünüzün %50'sinden azdır.
Kırmızı bölgedeki astım ataklarının tedavisi şunları içerir:
- Astım eylem planınızı takip ederken derhal tıbbi yardım istemek
- Astım eylem planınıza göre ilaç kullanmak
- Daha sonra ne yapılacağı konusunda hemen bir doktorla konuşmak
Müddet Tahminleri (Prognoz)
Astım kronik bir hastalık olarak kabul edilse de, koruyucu önlemler ve inhalasyon tedavisi doğru yapılırsa, hastaların büyük çoğunluğunda hastalık iyi bir şekilde kontrol altına alınır. Hastaların sadece küçük bir yüzdesinde konvansiyonel tedaviye dirençli astım vardır.
Görülme Sıklığı ve Dağılımı (Epidemiyoloji)
Son 40 yılda, özellikle çocuklarda astımla ilişkili küresel prevalans, morbidite, mortalite ve ekonomik yükte keskin bir artış olmuştur. Dünya çapında yaklaşık 300 milyon insan şu anda astım hastası ve prevalansı her on yılda bir %50 artıyor. Kuzey Amerika'da nüfusun %10'unda astım var. Astım, inhale kortikosteroidlerin kullanımı sonuçlar üzerinde olumlu bir etki yapmasına rağmen, yetersiz teşhis ve yetersiz tedavi edilmektedir. En çok küçük çocuklarda görülen astım nedeniyle hastane başvurularının artan sayısı, şiddetli astım, kötü hastalık yönetimi ve yoksulluktaki artışı yansıtmaktadır. Genel ölüm oranları 1980'lerden beri düşmesine rağmen, dünya çapında yılda yaklaşık 180.000 ölüm astıma atfedilebilir. Astım ölümlerinin çoğu ≥ 45 yaşında olanlarda meydana gelir ve büyük ölçüde önlenebilir, sıklıkla yetersiz uzun süreli tıbbi bakım veya son atak sırasında tıbbi yardım almadaki gecikmelerle ilişkilidir. Farklı Batı ülkelerinde astımlı hastalar üzerindeki mali yük, hasta başına yılda 300 ila 1.300 dolar arasında değişmekte olup, orantısız bir şekilde en şiddetli hastalığı olanları etkilemektedir. Özellikle birçok hastanın bakıma ve temel ilaçlara sınırlı erişiminin olduğu gelişmekte olan ülkelerde astım yükünü azaltmanın önünde çok sayıda önemli engel bulunmaktadır. Küresel Astım Girişimi, birinci basamakta artan sayıda hastanın etkin bir şekilde ele alınmasını ele almak için altı maddelik bir hasta yönetim planının ana hatlarını çizmiştir. Plan, hasta eğitimi, yazılı tedavi planları ve hastalar ve sağlayıcıları ile devam eden iletişim ve incelemeye odaklanır.[145]
Önlem Yöntemleri
Astım gelişimini önlemeye yönelik önlemlerin etkinliğine ilişkin kanıtlar zayıftır.[58] Dünya Sağlık Örgütü tütün dumanı, hava kirliliği, parfüm gibi kimyasal tahriş edici maddeler ve alt solunum yolu enfeksiyonlarının sayısı gibi risk faktörlerinin azaltılmasını önermektedir.[1], [146]
Evcil hayvanlarla erken tanışma yararlı olabilir.[147] Diğer zamanlarda evcil hayvanlara maruz kalmanın sonuçları kesin değildir ve evcil hayvanların evden yalnızca bir kişinin söz konusu evcil hayvana karşı alerjik semptomları varsa uzaklaştırılması önerilir.[148], [149]
Hamilelik sırasında veya emzirme döneminde diyet kısıtlamaları çocuklarda astımı önlemede etkili bulunmamıştır ve önerilmemektedir.[149] Omega-3 tüketimi, akdeniz diyeti ve antioksidanlar, bazı araştırmalarda krizi önlemeye yardımcı olabileceği öne sürülmüş, ancak kanıtlar hala yetersizdir.[150]
Kişilerce hassas olunduğu bilinen bileşiklerin işyerinden azaltılması veya ortadan kaldırılması etkili olabilir.[105] Yıllık grip aşılarının astım atağı riskini etkileyip etkilemediği açık değildir.[151] Ancak aşılama Dünya Sağlık Örgütü tarafından tavsiye edilmektedir.[152] Sigara içme kısıtlamaları astım ataklarını azaltmada etkilidir.[153]
Etimoloji ve Hastalığın Kısa Tarihi
'Astım' kelimesinin uzun bir geçmişi vardır. Sanskritçe 'rüzgar' anlamına gelen vayu'dan türetilmiştir, Yunanca'ya α' ίω (esmek, ing. to blow) olarak girmiştir ve Latince aracılığıyla Orta İngilizce'ye asma olarak girmiştir. Terim başlangıçta hastalıkla ilişkili değildi. Homeros'un savaş yorgunu kahramanların aşırı nefes darlığını tanımlamak için 'pant' (nefes nefese) (άσθμα) terimini kullanması, nefes nefese kalma ile ifade edilen deneyimsel nefes alma içeriğinin, Avrupa kültüründe geliştikçe astım teriminin semantik bir bileşeni haline gelmesini sağlamış görünüyor.[154], [155]

MÖ 200'de en azından kısmen duygularla ilgili olduğuna inanılıyordu.[156] 12. yüzyılda Yahudi hekim-filozof Maimonides, kısmen Arap kaynaklarına dayanan, astım hakkında Arapça bir inceleme yazdı, burada semptomları tartıştı, çeşitli diyet ve diğer tedavi yöntemlerini önerdi ve iklim ve temiz havanın önemini vurguladı.[157]
1873'te modern tıpta konuyla ilgili ilk makalelerden biri hastalığın patofizyolojisini açıklamaya çalışırken, 1872'de astımın göğsü kloroform liniment ile ovarak tedavi edilebileceği sonucuna varıldı.[158], [159] 1880'deki tıbbi tedavi, pilokarpin adı verilen bir ilacın intravenöz dozlarının kullanımını içeriyordu.[160] 1886'da F. H. Bosworth, astım ve saman nezlesi arasındaki bağlantıyı kuramlaştırdı.[161] Epinefrin ilk olarak 1905 yılında astım tedavisinde kullanılmıştır.[162] 1950'lerde oral kortikosteroidler bu durum için kullanılmaya başlanırken, 1960'larda inhale kortikosteroidler ve seçici kısa etkili beta agonistleri yaygın olarak kullanılmaya başlandı.[163], [164]
19. yüzyılda kayda değer ve iyi belgelenmiş bir vaka, genç Theodore Roosevelt'in (1858-1919) vakasıydı. O zaman etkili bir tedavi yoktu. Roosevelt'in gençliği, büyük ölçüde, kısmen astımıyla ilgili olan kötü sağlığı tarafından şekillendirildi. Boğularak ölme deneyimine neden olan, çocuğu ve anne babasını korkutan, tekrarlayan gece astım krizleri yaşadı.[165]
1930'lardan 1950'lere kadar astım, "kutsal yedi" psikosomatik hastalıktan biri olarak biliniyordu. Tedavi genellikle psikanalize ve diğer konuşma tedavilerine dayalı olarak, nedeninin psikolojik olduğu düşünülüyordu.[166] Bu psikanalistler astımlı hırıltıyı çocuğun annesi için bastırılmış ağlaması olarak yorumladıklarından, depresyon tedavisinin özellikle astımlı bireyler için önemli olduğunu düşünmüşlerdir.
Ocak 2021'de Fransa'daki bir temyiz mahkemesi, astım hastası olan 40 yaşındaki Bangladeşli bir erkeğe yönelik sınır dışı etme kararını bozdu. Avukatları, Bangladeş'teki tehlikeli kirlilik seviyelerinin muhtemelen sağlık durumunun kötüleşmesine ve hatta erken ölüme yol açabileceğini savundu.[167]
Diğer Başlıklar
Toplum ve Sağlık Bilinci
Dünya Astım Günü, astım farkındalığını ve dünya çapında bakımı geliştirmek için GINA (Küresel Astım Girişimi) tarafından düzenlenen yıllık bir etkinliktir ve her yıl 5 Mayısta gerçekleşir.
İlk Dünya Astım Günü, 1998 yılında, İspanya'nın Barselona kentinde düzenlenen ilk Dünya Astım Toplantısı ile birlikte 35'ten fazla ülkede kutlandı. O günden bugüne düzenlenen her Dünya Astım Günü ile katılım artmış ve gün dünyanın en önemli astım farkındalık ve eğitim etkinliklerinden biri haline gelmiştir.
2021 yılında seçilen tema "Astım Yanılgılarını Ortaya Çıkarmak" oldu ve düzenlenen etkinlikte astımla ilgili doğru bilinen yanlışlar anlatıldı.
Evrim Ağacı'nda tek bir hedefimiz var: Bilimsel gerçekleri en doğru, tarafsız ve kolay anlaşılır şekilde Türkiye'ye ulaştırmak. Ancak tahmin edebileceğiniz gibi Türkiye'de bilim anlatmak hiç kolay bir iş değil; hele ki bir yandan ekonomik bir hayatta kalma mücadelesi verirken...
O nedenle sizin desteklerinize ihtiyacımız var. Eğer yazılarımızı okuyanların %1'i bize bütçesinin elverdiği kadar destek olmayı seçseydi, bir daha tek bir reklam göstermeden Evrim Ağacı'nın bütün bilim iletişimi faaliyetlerini sürdürebilirdik. Bir düşünün: sadece %1'i...
O %1'i inşa etmemize yardım eder misiniz? Evrim Ağacı Premium üyesi olarak, ekibimizin size ve Türkiye'ye bilimi daha etkili ve profesyonel bir şekilde ulaştırmamızı mümkün kılmış olacaksınız. Ayrıca size olan minnetimizin bir ifadesi olarak, çok sayıda ayrıcalığa erişim sağlayacaksınız.
Makalelerimizin bilimsel gerçekleri doğru bir şekilde yansıtması için en üst düzey çabayı gösteriyoruz. Gözünüze doğru gelmeyen bir şey varsa, mümkünse güvenilir kaynaklarınızla birlikte bize ulaşın!
Bu makalemizle ilgili merak ettiğin bir şey mi var? Buraya tıklayarak sorabilirsin.
Soru & Cevap Platformuna Git- 3
- 1
- 1
- 0
- 0
- 0
- 0
- 0
- 0
- 0
- 0
- 0
- ^ a b WHO. Asthma. (8 Şubat 2022). Alındığı Tarih: 3 Mayıs 2021. Alındığı Yer: WHO | Arşiv Bağlantısı
- ^ a b B. P. Yawn. (2008). Factors Accounting For Asthma Variability: Achieving Optimal Symptom Control For Individual Patients. Primary Care Respiratory Journal, sf: 138-147. doi: 10.3132/pcrj.2008.00004. | Arşiv Bağlantısı
- ^ V. Kumar. (2009). Robbins And Cotran Pathologic Basis Of Disease [With Student Consult Online Access]. ISBN: 9781416031215. Yayınevi: Saunders. sf: 688.
- ^ Stedman's. (2005). Stedman's Medical Dictionary. ISBN: 9780781733908. Yayınevi: Stedman's.
- ^ J. P. Scott, et al. (2013). Antileukotriene Agents For The Treatment Of Lung Disease. American Journal of Respiratory and Critical Care Medicine, sf: 538-544. doi: 10.1164/rccm.201301-0023PP. | Arşiv Bağlantısı
- ^ W. W. Busse, et al. (2009). Asthma. Massachusetts Medical Society, sf: 350-362. doi: 10.1056/NEJM200102013440507. | Arşiv Bağlantısı
- ^ D. D. Stevenson, et al. (2006). Clinical And Pathologic Perspectives On Aspirin Sensitivity And Asthma. Journal of Allergy and Clinical Immunology, sf: 773-786. doi: 10.1016/j.jaci.2006.07.024. | Arşiv Bağlantısı
- ^ S. T. Holgate, et al. (2006). The Mechanisms, Diagnosis And Management Of Severe Asthma In Adults. The Lancet, sf: 780-793. doi: 10.1016/S0140-6736(06)69288-X. | Arşiv Bağlantısı
- ^ B. Nemery, et al. (2002). Indoor Swimming Pools, Water Chlorination And Respiratory Health. European Respiratory Journal, sf: 790-793. doi: 10.1183/09031936.02.00308602. | Arşiv Bağlantısı
- ^ C. E. Mapp, et al. (2005). Occupational Asthma. American Journal of Respiratory and Critical Care Medicine, sf: 280-305. doi: 10.1164/rccm.200311-1575SO. | Arşiv Bağlantısı
- ^ J. Zhao, et al. (2003). Altered Eosinophil Levels As A Result Of Viral Infection In Asthma Exacerbation In Childhood. Wiley, sf: 47-50. doi: 10.1034/j.1399-3038.2002.00051.x. | Arşiv Bağlantısı
- ^ E. Chen, et al. (2007). Stress And Inflammation In Exacerbations Of Asthma. Elsevier BV, sf: 993-999. doi: 10.1016/j.bbi.2007.03.009. | Arşiv Bağlantısı
- ^ Body Results. Asthma And Altitude. Alındığı Tarih: 8 Şubat 2022. Alındığı Yer: Body Results | Arşiv Bağlantısı
- ^ M. C. Peters, et al. (2016). Plasma Interleukin-6 Concentrations, Metabolic Dysfunction, And Asthma Severity: A Cross-Sectional Analysis Of Two Cohorts. The Lancet Respiratory Medicine, sf: 574-584. doi: 10.1016/S2213-2600(16)30048-0. | Arşiv Bağlantısı
- ^ L. Boulet. (2009). Influence Of Comorbid Conditions On Asthma. European Respiratory Journal, sf: 897-906. doi: 10.1183/09031936.00121308. | Arşiv Bağlantısı
- ^ L. Boulet, et al. (2014). Asthma-Related Comorbidities. Expert Review of Respiratory Medicine, sf: 377-393. doi: 10.1586/ers.11.34. | Arşiv Bağlantısı
- ^ M. Thomas, et al. (2011). Asthma And Psychological Dysfunction. Primary Care Respiratory Journal, sf: 250-256. doi: 10.4104/pcrj.2011.00058. | Arşiv Bağlantısı
- ^ X. He, et al. (2021). Adults With Current Asthma But Not Former Asthma Have Higher All-Cause And Cardiovascular Mortality: A Population-Based Prospective Cohort Study. Scientific Reports, sf: 1-9. doi: 10.1038/s41598-020-79264-4. | Arşiv Bağlantısı
- ^ G. E. Silva, et al. (2004). Asthma As A Risk Factor For Copd In A Longitudinal Study. CHEST, sf: 59-65. doi: 10.1378/chest.126.1.59. | Arşiv Bağlantısı
- ^ R. D. Marco, et al. (2015). Asthma, Copd And Overlap Syndrome: A Longitudinal Study In Young European Adults. European Respiratory Journal, sf: 671-679. doi: 10.1183/09031936.00008615. | Arşiv Bağlantısı
- ^ P. G. Gibson, et al. (2015). Asthma–Copd Overlap 2015: Now We Are Six. Thorax, sf: 683-691. doi: 10.1136/thoraxjnl-2014-206740. | Arşiv Bağlantısı
- ^ Web Archive. Umhs Press Release: Sleep-Related Breathing Problems Linked With Asthma. (25 Mayıs 2005). Alındığı Tarih: 8 Şubat 2022. Alındığı Yer: Web Archive | Arşiv Bağlantısı
- ^ Web archive. Asthma And Osa - American Sleep Apnea Association - Asaa. (16 Nisan 2021). Alındığı Tarih: 8 Şubat 2022. Alındığı Yer: Web Archive | Arşiv Bağlantısı
- ^ S. Ayazi, et al. (2019). Objective Documentation Of The Link Between Gastroesophageal Reflux Disease And Obesity. Ovid Technologies (Wolters Kluwer Health), sf: S138-S139. doi: 10.14309/00000434-200709002-00059. | Arşiv Bağlantısı
- ^ March of Dimes. Asthma During Pregnancy. (1 Kasım 2013). Alındığı Tarih: 9 Şubat 2022. Alındığı Yer: MarchofDimes | Arşiv Bağlantısı
- ^ a b D. P. Robinson, et al. (2012). Pregnancy And Pregnancy-Associated Hormones Alter Immune Responses And Disease Pathogenesis. Hormones and Behavior, sf: 263-271. doi: 10.1016/j.yhbeh.2012.02.023. | Arşiv Bağlantısı
- ^ a b P. Mendola, et al. (2016). Preterm Birth And Air Pollution: Critical Windows Of Exposure For Women With Asthma. Journal of Allergy and Clinical Immunology, sf: 432-440.e5. doi: 10.1016/j.jaci.2015.12.1309. | Arşiv Bağlantısı
- ^ a b H. Sbihi, et al. (2016). Perinatal Air Pollution Exposure And Development Of Asthma From Birth To Age 10 Years. European Respiratory Journal, sf: 1062-1071. doi: 10.1183/13993003.00746-2015. | Arşiv Bağlantısı
- ^ B. Ritz. (Bilimsel Rapor, 2008). Air Pollution Impacts On Infants And Children. Not: Southern California Environmental Report Card.
- ^ a b S. N. Baxi, et al. (2010). The Role Of Allergen Exposure And Avoidance In Asthma. Adolescent medicine: state of the art reviews, sf: 57-71. | Arşiv Bağlantısı
- ^ a b P. Nair, et al. (2017). Oral Glucocorticoid–Sparing Effect Of Benralizumab In Severe Asthma. Massachusetts Medical Society, sf: 2448-2458. doi: 10.1056/NEJMoa1703501. | Arşiv Bağlantısı
- ^ a b K. J. Isselbacher. (1994). Harrison's Principles Of Internal Medicine. ISBN: 9780070323728. Yayınevi: McGraw-Hill Companies. sf: 1001.
- ^ M. A. Kaliner. (2013). Current Review Of Asthma. ISBN: 9781461310952. Yayınevi: Springer Science & Business Media. sf: 42.
- ^ B. Maitre, et al. (1995). Physical Examination Of The Adult Patient With Respiratory Diseases: Inspection And Palpation. European Respiratory Journal, sf: 1584-1593. | Arşiv Bağlantısı
- ^ F. D. Martinez. (2007). Genes, Environments, Development And A Asthma: A Reappraisal. European Respiratory Journal, sf: 179-184. doi: 10.1183/09031936.00087906. | Arşiv Bağlantısı
- ^ R. L. Miller, et al. (2012). Environmental Epigenetics And Asthma. American Journal of Respiratory and Critical Care Medicine, sf: 567-573. doi: 10.1164/rccm.200710-1511PP. | Arşiv Bağlantısı
- ^ S. Choudhry, et al. (2007). Dissecting Complex Diseases In Complex Populations: Asthma In Latino Americans. American Thoracic Society, sf: 226-233. doi: 10.1513/pats.200701-029AW. | Arşiv Bağlantısı
- ^ D. J. Tan, et al. (2015). Age-Of-Asthma Onset As A Determinant Of Different Asthma Phenotypes In Adults: A Systematic Review And Meta-Analysis Of The Literature. Expert Review of Respiratory Medicine, sf: 109-123. doi: 10.1586/17476348.2015.1000311. | Arşiv Bağlantısı
- ^ F. J. Kelly, et al. (2011). Air Pollution And Airway Disease. Clinical & Experimental Allergy, sf: 1059-1071. doi: 10.1111/j.1365-2222.2011.03776.x. | Arşiv Bağlantısı
- ^ a b c d e Global Initiative for Asthma. Global Strategy For Asthma Management And Prevention 2011. (31 Ocak 2022). Alındığı Tarih: 8 Şubat 2022. Alındığı Yer: GinaAsthma | Arşiv Bağlantısı
- ^ D. R. Gold, et al. (2005). Population Disparities In Asthma. Annual Reviews, sf: 89-113. doi: 10.1146/annurev.publhealth.26.021304.144528. | Arşiv Bağlantısı
- ^ Environmental Health Perspectives. (2011). Urban Air Pollution And Health Inequities: A Workshop Report. Environmental Health Perspectives, sf: 357-374. doi: 10.1289/ehp.01109s3357. | Arşiv Bağlantısı
- ^ G. M. Jr., et al. (2010). Formaldehyde Exposure And Asthma In Children: A Systematic Review. Environmental Health Perspectives, sf: 313-317. doi: 10.1289/ehp.0901143. | Arşiv Bağlantısı
- ^ J. J. K. Jaakkola, et al. (2008). The Role Of Exposure To Phthalates From Polyvinyl Chloride Products In The Development Of Asthma And Allergies: A Systematic Review And Meta-Analysis. Environmental Health Perspectives, sf: 845-853. doi: 10.1289/ehp.10846. | Arşiv Bağlantısı
- ^ C. G. Bornehag, et al. (2010). Phthalate Exposure And Asthma In Children. International Journal of Andrology, sf: 333-345. doi: 10.1111/j.1365-2605.2009.01023.x. | Arşiv Bağlantısı
- ^ A. Mamane, et al. (2015). Occupational Exposure To Pesticides And Respiratory Health. European Respiratory Review, sf: 306-319. doi: 10.1183/16000617.00006014. | Arşiv Bağlantısı
- ^ A. Mamane, et al. (2015). Environmental Exposure To Pesticides And Respiratory Health. European Respiratory Review, sf: 462-473. doi: 10.1183/16000617.00006114. | Arşiv Bağlantısı
- ^ K. Heintze, et al. (2013). The Case Of Drug Causation Of Childhood Asthma: Antibiotics And Paracetamol. European Journal of Clinical Pharmacology, sf: 1197-1209. doi: 10.1007/s00228-012-1463-7. | Arşiv Bağlantısı
- ^ A. J. Henderson, et al. (2013). Acetaminophen And Asthma. Paediatric Respiratory Reviews, sf: 9-16. doi: 10.1016/j.prrv.2012.04.004. | Arşiv Bağlantısı
- ^ M. Cheelo, et al. (2015). Paracetamol Exposure In Pregnancy And Early Childhood And Development Of Childhood Asthma: A Systematic Review And Meta-Analysis. Archives of Disease in Childhood, sf: 81-89. doi: 10.1136/archdischild-2012-303043. | Arşiv Bağlantısı
- ^ S. Eyers, et al. (2011). Paracetamol In Pregnancy And The Risk Of Wheezing In Offspring: A Systematic Review And Meta-Analysis. Clinical & Experimental Allergy, sf: 482-489. doi: 10.1111/j.1365-2222.2010.03691.x. | Arşiv Bağlantısı
- ^ K. F. E. V. D. Loo, et al. (2016). Prenatal Maternal Psychological Stress And Childhood Asthma And Wheezing: A Meta-Analysis. European Respiratory Journal, sf: 133-146. doi: 10.1183/13993003.00299-2015. | Arşiv Bağlantısı
- ^ S. K. Ahluwalia, et al. (2011). The Indoor Environment And Its Effects On Childhood Asthma. Ovid Technologies (Wolters Kluwer Health), sf: 137-143. doi: 10.1097/ACI.0b013e3283445921. | Arşiv Bağlantısı
- ^ S. H. Arshad. (2010). Does Exposure To Indoor Allergens Contribute To The Development Of Asthma And Allergy?. Current Allergy and Asthma Reports, sf: 49-55. doi: 10.1007/s11882-009-0082-6. | Arşiv Bağlantısı
- ^ A. Custovic, et al. (2012). The Role Of Inhalant Allergens In Allergic Airways Disease. Journal of investigational allergology & clinical immunology, sf: 393-401. | Arşiv Bağlantısı
- ^ P. C. Gøtzsche, et al. (2001). House Dust Mite Control Measures For Asthma. Cochrane Database of Systematic Reviews. doi: 10.1002/14651858.CD001187. | Arşiv Bağlantısı
- ^ M. A. Calderón, et al. (2015). Respiratory Allergy Caused By House Dust Mites: What Do We Really Know?. Journal of Allergy and Clinical Immunology, sf: 38-48. doi: 10.1016/j.jaci.2014.10.012. | Arşiv Bağlantısı
- ^ a b c d e f g National Heart, Lung and Blood Institute. Guidelines For The Diagnosis And Management Of Asthma. (1 Ocak 2007). Alındığı Tarih: 9 Şubat 2022. Alındığı Yer: web.archive.org | Arşiv Bağlantısı
- ^ R. Sauni, et al. (2015). Remediating Buildings Damaged By Dampness And Mould For Preventing Or Reducing Respiratory Tract Symptoms, Infections And Asthma. Cochrane Database of Systematic Reviews. doi: 10.1002/14651858.CD007897.pub3. | Arşiv Bağlantısı
- ^ C. D. Ramsey, et al. (2004). The Hygiene Hypothesis And Asthma. Ovid Technologies (Wolters Kluwer Health), sf: 14-20. doi: 10.1097/01.mcp.0000145791.13714.ae. | Arşiv Bağlantısı
- ^ J. D. Bufford, et al. (2005). The Hygiene Hypothesis Revisited. Immunology and Allergy Clinics of North America, sf: 247-262. doi: 10.1016/j.iac.2005.03.005. | Arşiv Bağlantısı
- ^ a b C. Brooks, et al. (2012). The Hygiene Hypothesis In Allergy And Asthma. Ovid Technologies (Wolters Kluwer Health), sf: 70-77. doi: 10.1097/ACI.0b013e32835ad0d2. | Arşiv Bağlantısı
- ^ D. Rao, et al. (2011). Impact Of Environmental Controls On Childhood Asthma. Current Allergy and Asthma Reports, sf: 414-420. doi: 10.1007/s11882-011-0206-7. | Arşiv Bağlantısı
- ^ W. Murk, et al. (2011). Prenatal Or Early-Life Exposure To Antibiotics And Risk Of Childhood Asthma: A Systematic Review. Pediatrics, sf: 1125-1138. doi: 10.1542/peds.2010-2092. | Arşiv Bağlantısı
- ^ J. Neu, et al. (2011). Cesarean Versus Vaginal Delivery: Long-Term Infant Outcomes And The Hygiene Hypothesis. Clinics in Perinatology, sf: 321-331. doi: 10.1016/j.clp.2011.03.008. | Arşiv Bağlantısı
- ^ L. C. V. Hertzen, et al. (2004). Asthma And Atopy - The Price Of Affluence?. Wiley, sf: 124-137. doi: 10.1046/j.1398-9995.2003.00433.x. | Arşiv Bağlantısı
- ^ a b J. G. Douglas. (2010). Asthma: Clinician's Desk Reference. ISBN: 9781840765137. Yayınevi: CRC Press. sf: 27-29.
- ^ C. Ober, et al. (2006). Asthma Genetics 2006: The Long And Winding Road To Gene Discovery. Genes & Immunity, sf: 95-100. doi: 10.1038/sj.gene.6364284. | Arşiv Bağlantısı
- ^ E. Halapi, et al. (2009). Overview On The Current Status Of Asthma Genetics. The Clinical Respiratory Journal, sf: 2-7. doi: 10.1111/j.1752-699X.2008.00119.x. | Arşiv Bağlantısı
- ^ F. D. Martinez. (2007). Cd14, Endotoxin, And Asthma Risk: Actions And Interactions. American Thoracic Society, sf: 221-225. doi: 10.1513/pats.200702-035AW. | Arşiv Bağlantısı
- ^ a b J. L. Bolognia. (2008). Dermatology. ISBN: 9781416029991. Yayınevi: Mosby.
- ^ a b Global Initiative for Asthma - GINA. Global Initiative For Asthma - Global Initiative For Asthma - Gina. (29 Ekim 2021). Alındığı Tarih: 10 Şubat 2022. Alındığı Yer: Global Initiative for Asthma - GINA | Arşiv Bağlantısı
- ^ J. C. Jennette, et al. (2013). 2012 Revised International Chapel Hill Consensus Conference Nomenclature Of Vasculitides. Arthritis & Rheumatism, sf: 1-11. doi: 10.1002/art.37715. | Arşiv Bağlantısı
- ^ D. A. Beuther. (2009). Recent Insight Into Obesity And Asthma. Ovid Technologies (Wolters Kluwer Health), sf: 64-70. doi: 10.1097/MCP.0b013e3283338fa7. | Arşiv Bağlantısı
- ^ F. Holguin, et al. (2010). Obesity, Asthma And Oxidative Stress. Journal of Applied Physiology, sf: 754-759. doi: 10.1152/japplphysiol.00702.2009. | Arşiv Bağlantısı
- ^ L. G. Wood, et al. (2009). Dietary Factors Lead To Innate Immune Activation In Asthma. Pharmacology & Therapeutics, sf: 37-53. doi: 10.1016/j.pharmthera.2009.03.015. | Arşiv Bağlantısı
- ^ S. T. O'Rourke. (2007). Antianginal Actions Of Beta-Adrenoceptor Antagonists. American Journal of Pharmaceutical Education, sf: 95. doi: 10.5688/aj710595. | Arşiv Bağlantısı
- ^ S. R. Salpeter, et al. (2002). Cardioselective Beta‐Blockers For Reversible Airway Disease. Cochrane Database of Systematic Reviews. doi: 10.1002/14651858.CD002992. | Arşiv Bağlantısı
- ^ D. R. Morales, et al. (2014). Adverse Respiratory Effect Of Acute Β-Blocker Exposure In Asthma: A Systematic Review And Meta-Analysis Of Randomized Controlled Trials. CHEST, sf: 779-786. doi: 10.1378/chest.13-1235. | Arşiv Bağlantısı
- ^ R. A. Covar, et al. (2005). Medications As Asthma Triggers. Immunology and Allergy Clinics of North America, sf: 169-190. doi: 10.1016/j.iac.2004.09.009. | Arşiv Bağlantısı
- ^ T. Lai, et al. (2018). Acid-Suppressive Drug Use During Pregnancy And The Risk Of Childhood Asthma: A Meta-Analysis. Pediatrics. doi: 10.1542/peds.2017-0889. | Arşiv Bağlantısı
- ^ a b T. W. Guilbert, et al. (2014). Role Of Infection In The Development And Exacerbation Of Asthma. Expert Review of Respiratory Medicine, sf: 71-83. doi: 10.1586/ers.09.60. | Arşiv Bağlantısı
- ^ a b c d e f g L. C. V. Hertzen. (2002). Role Of Persistent Infection In The Control And Severity Of Asthma: Focus On Chlamydia Pneumoniae. European Respiratory Journal, sf: 546-556. doi: 10.1183/09031936.02.00254402. | Arşiv Bağlantısı
- ^ C. C. Kuo, et al. (1995). Chlamydia Pneumoniae (Twar). Clinical Microbiology Reviews, sf: 451-461. doi: 10.1128/CMR.8.4.451. | Arşiv Bağlantısı
- ^ D. L. Hahn. (2021). Chlamydia Pneumoniae And Chronic Asthma: Updated Systematic Review And Meta-Analysis Of Population Attributable Risk. PLOS One, sf: e0250034. doi: 10.1371/journal.pone.0250034. | Arşiv Bağlantısı
- ^ W. C. Webley, et al. (2017). Infection-Mediated Asthma: Etiology, Mechanisms And Treatment Options, With Focus On Chlamydia Pneumoniae And Macrolides. Respiratory Research, sf: 1-12. doi: 10.1186/s12931-017-0584-z. | Arşiv Bağlantısı
- ^ a b c d K. B. Waites, et al. (2004). Mycoplasma Pneumoniae And Its Role As A Human Pathogen. Clinical Microbiology Reviews, sf: 697-728. doi: 10.1128/CMR.17.4.697-728.2004. | Arşiv Bağlantısı
- ^ a b c d e f N. Nisar, et al. (2007). Mycoplasma Pneumoniae And Its Role In Asthma. Postgraduate Medical Journal, sf: 100-104. doi: 10.1136/pgmj.2006.049023. | Arşiv Bağlantısı
- ^ L. A. Laitinen, et al. (1980). Bronchial Reactivity Following Uncomplicated Influenza A Infection In Healthy Subjects And In Asthmatic Patients. The American Review of Respiratory Disease, sf: 51-58. | Arşiv Bağlantısı
- ^ a b J. M. Gwaltney. (1975). Medical Reviews Rhinoviruses. Yayınevi: The Yale Journal of Biology and Medience. sf: 17-45.
- ^ a b S. L. Friedlander, et al. (2005). The Role Of Rhinovirus In Asthma Exacerbations. Journal of Allergy and Clinical Immunology, sf: 267-273. doi: 10.1016/j.jaci.2005.06.003. | Arşiv Bağlantısı
- ^ a b R. J. Mason. (2010). Murray And Nadel's Textbook Of Respiratory Medicine: Expert Consult Premium Edition Enhanced Online Features And Print (Textbook Of Respiratory Medicine (Murray)). ISBN: 9781416047100. Yayınevi: Saunders.
- ^ R. F. Lemanske, et al. (2010). Asthma: Clinical Expression And Molecular Mechanisms. Journal of Allergy and Clinical Immunology, sf: S95-S102. doi: 10.1016/j.jaci.2009.10.047. | Arşiv Bağlantısı
- ^ a b c American Academy of Allergy, Asthma & Immunology. Five Things Physicians And Patients Should Question. (3 Kasım 2012). Alındığı Tarih: 10 Şubat 2022. Alındığı Yer: web.archive.org | Arşiv Bağlantısı
- ^ E. J. Welsh, et al. (2010). Caffeine For Asthma. Cochrane Database of Systematic Reviews. doi: 10.1002/14651858.CD001112.pub2. | Arşiv Bağlantısı
- ^ V. Kumar. (2009). Robbins And Cotran Pathologic Basis Of Disease [With Student Consult Online Access]. ISBN: 9781416031215. Yayınevi: Saunders.
- ^ W. C. Moore, et al. (2012). Update In Asthma 2009. American Journal of Respiratory and Critical Care Medicine, sf: 1181-1187. doi: 10.1164/rccm.201003-0321UP. | Arşiv Bağlantısı
- ^ B. Maitre, et al. (1995). Physical Examination Of The Adult Patient With Respiratory Diseases: Inspection And Palpation. The European respiratory journal. | Arşiv Bağlantısı
- ^ a b R. Shah, et al. (2012). Chapter 14: Acute Severe Asthma (Status Asthmaticus). Oceanside Publications Inc., sf: 47-50. doi: 10.2500/aap.2012.33.3547. | Arşiv Bağlantısı
- ^ a b D. A. Khan. (2012). Exercise-Induced Bronchoconstriction: Burden And Prevalence. Oceanside Publications Inc., sf: 1-6. doi: 10.2500/aap.2012.33.3507. | Arşiv Bağlantısı
- ^ J. C. Wuestenfeld, et al. (2013). Special Considerations For Adolescent Athletic And Asthmatic Patients. Open Access Journal of Sports Medicine, sf: 1-7. doi: 10.2147/OAJSM.S23438. | Arşiv Bağlantısı
- ^ K. H. Carlsen, et al. (2008). Treatment Of Exercise-Induced Asthma, Respiratory And Allergic Disorders In Sports And The Relationship To Doping. Allergy, sf: 492-505. doi: 10.1111/j.1398-9995.2008.01663.x. | Arşiv Bağlantısı
- ^ W. Kindermann. (2007). Do Inhaled B2-Agonists Have An Ergogenic Potential In Non-Asthmatic Competitive Athletes?. Sports Medicine, sf: 95-102. doi: 10.2165/00007256-200737020-00001. | Arşiv Bağlantısı
- ^ B. M. Pluim, et al. (2011). Β2-Agonists And Physical Performance. Sports Medicine, sf: 39-57. doi: 10.2165/11537540-000000000-00000. | Arşiv Bağlantısı
- ^ a b X. Baur, et al. (2012). The Management Of Work-Related Asthma Guidelines: A Broader Perspective. European Respiratory Review, sf: 125-139. doi: 10.1183/09059180.00004711. | Arşiv Bağlantısı
- ^ D. M. Publications. (2005). Evidence-Based Medicine Guidelines. ISBN: 9780470011843. Yayınevi: Wiley.
- ^ M. Castro. (2008). Clinical Asthma E-Book. ISBN: 9780323070812. Yayınevi: Mosby.
- ^ J. E. Chang, et al. (2012). Aspirin-Exacerbated Respiratory Disease: Burden Of Disease. Oceanside Publications Inc., sf: 117-121. doi: 10.2500/aap.2012.33.3541. | Arşiv Bağlantısı
- ^ The American Academy of Allergy, Asthma & Immunology. Aspirin-Exacerbated Respiratory Disease | Aaaai. (29 Nisan 2017). Alındığı Tarih: 10 Şubat 2022. Alındığı Yer: The American Academy of Allergy, Asthma & Immunology | Arşiv Bağlantısı
- ^ J. L. Kennedy, et al. (2016). Aspirin-Exacerbated Respiratory Disease: Prevalence, Diagnosis, Treatment, And Considerations For The Future. SAGE Publications, sf: 407-413. doi: 10.2500/ajra.2016.30.4370. | Arşiv Bağlantısı
- ^ a b K. E. Adams, et al. (2013). Adverse Reactions To Alcohol And Alcoholic Beverages. Annals of Allergy, Asthma & Immunology, sf: 439-445. doi: 10.1016/j.anai.2013.09.016. | Arşiv Bağlantısı
- ^ S. P. Peters. (2014). Asthma Phenotypes: Nonallergic (Intrinsic) Asthma. The Journal of Allergy and Clinical Immunology: In Practice, sf: 650-652. doi: 10.1016/j.jaip.2014.09.006. | Arşiv Bağlantısı
- ^ R. Lichtenstein. (2013). Pediatric Emergencies, An Issue Of Pediatric Clinics. ISBN: 9780323227339. Yayınevi: Elsevier Health Sciences. sf: 1022.
- ^ P. G. Gibson, et al. (2010). Asthma In Older Adults. The Lancet, sf: 803-813. doi: 10.1016/S0140-6736(10)61087-2. | Arşiv Bağlantısı
- ^ F. E. Hargreave, et al. (2006). Asthma, Copd And Bronchitis Are Just Components Of Airway Disease. European Respiratory Journal, sf: 264-267. doi: 10.1183/09031936.06.00056106. | Arşiv Bağlantısı
- ^ W. Shao. (Dergi Makalesi, 1995). Fluoroscopic Diagnosis Of Laryngeal Asthma (Paradoxical Vocal Cord Motion)..
- ^ M. J. Morris, et al. (2003). Vocal Cord Dysfunction In Patients With Exertional Dyspnea. Elsevier BV, sf: 1676-1682. doi: 10.1378/chest.116.6.1676. | Arşiv Bağlantısı
- ^ K. J. Nastasi, et al. (1997). Airway Fluoroscopic Diagnosis Of Vocal Cord Dysfunction Syndrome. Annals of Allergy, Asthma & Immunology, sf: 586-588. doi: 10.1016/S1081-1206(10)63220-6. | Arşiv Bağlantısı
- ^ S. R. Wynn, et al. (1986). Exercise-Induced "Asthma" As A Presentation Of Bronchial Carcinoid.. Annals of Allergy, Asthma & Immunology, sf: 139-141. | Arşiv Bağlantısı
- ^ L. M. Rolfe, et al. (1999). A Wheezy Man With A Bony Abnormality. Postgraduate Medical Journal, sf: 503-505. doi: 10.1136/pgmj.75.886.503. | Arşiv Bağlantısı
- ^ G. F. Tucker. (2014). Pulmonary Migraine. SAGE Publications, sf: 671-676. doi: 10.1177/000348947708600524. | Arşiv Bağlantısı
- ^ Y. W. Kim, et al. (2008). The First Report Of Diffuse Panbronchiolitis In Korea: Five Case Reports.. Japanese Society of Internal Medicine, sf: 695-701. doi: 10.2169/internalmedicine.31.695. | Arşiv Bağlantısı
- ^ F. Bevelaqua, et al. (2012). Aortic Arch Anomaly Presenting As Exercise-Induced Asthma. American Review of Respiratory Disease, sf: 805-808. doi: 10.1164/ajrccm/140.3.805. | Arşiv Bağlantısı
- ^ L. J. Newman. (2003). Chronic Sinusitis. Relationship Of Computed Tomographic Findings To Allergy, Asthma, And Eosinophilia. American Psychological Association, sf: 363-367. doi: 10.1001/jama.271.5.363. | Arşiv Bağlantısı
- ^ K. Tung, et al. (2011). Microsomal Epoxide Hydroxylase Genotypes/Diplotypes, Traffic Air Pollution, And Childhood Asthma. CHEST, sf: 839-848. doi: 10.1378/chest.10-2479. | Arşiv Bağlantısı
- ^ M. J. Abramson, et al. (2003). Allergen Immunotherapy For Asthma. Cochrane Database of Systematic Reviews. doi: 10.1002/14651858.CD001186. | Arşiv Bağlantısı
- ^ M. J. Abramson, et al. (2012). Is Allergen Immunotherapy Effective In Asthma? A Meta-Analysis Of Randomized Controlled Trials.. American journal of respiratory and critical care medicine, sf: 969-974. doi: 10.1164/ajrccm.151.4.7697274. | Arşiv Bağlantısı
- ^ B. Brüggenjürgen, et al. (2008). Cost-Effectiveness Of Specific Subcutaneous Immunotherapy In Patients With Allergic Rhinitis And Allergic Asthma. Annals of Allergy, Asthma & Immunology, sf: 316-324. doi: 10.1016/S1081-1206(10)60498-X. | Arşiv Bağlantısı
- ^ P. Marcus. (2006). Incorporating Anti-Ige (Omalizumab) Therapy Into Pulmonary Medicine Practice: Practice Management Implications. CHEST, sf: 466-474. doi: 10.1378/chest.129.2.466. | Arşiv Bağlantısı
- ^ H. G. Ortega, et al. (2014). Mepolizumab Treatment In Patients With Severe Eosinophilic Asthma. Massachusetts Medical Society, sf: 1198-1207. doi: 10.1056/NEJMoa1403290. | Arşiv Bağlantısı
- ^ I. D. Pavord, et al. (2012). Mepolizumab For Severe Eosinophilic Asthma (Dream): A Multicentre, Double-Blind, Placebo-Controlled Trial. The Lancet, sf: 651-659. doi: 10.1016/S0140-6736(12)60988-X. | Arşiv Bağlantısı
- ^ E. H. Bel, et al. (2014). Oral Glucocorticoid-Sparing Effect Of Mepolizumab In Eosinophilic Asthma. Massachusetts Medical Society, sf: 1189-1197. doi: 10.1056/NEJMoa1403291. | Arşiv Bağlantısı
- ^ M. Castro, et al. (2015). Reslizumab For Inadequately Controlled Asthma With Elevated Blood Eosinophil Counts: Results From Two Multicentre, Parallel, Double-Blind, Randomised, Placebo-Controlled, Phase 3 Trials. The Lancet Respiratory Medicine, sf: 355-366. doi: 10.1016/S2213-2600(15)00042-9. | Arşiv Bağlantısı
- ^ J. M. FitzGerald, et al. (2016). Benralizumab, An Anti-Interleukin-5 Receptor Α Monoclonal Antibody, As Add-On Treatment For Patients With Severe, Uncontrolled, Eosinophilic Asthma (Calima): A Randomised, Double-Blind, Placebo-Controlled Phase 3 Trial. The Lancet, sf: 2128-2141. doi: 10.1016/S0140-6736(16)31322-8. | Arşiv Bağlantısı
- ^ L. D. Tan, et al. (2016). Benralizumab: A Unique Il-5 Inhibitor For Severe Asthma. Journal of Asthma and Allergy, sf: 71-81. doi: 10.2147/JAA.S78049. | Arşiv Bağlantısı
- ^ M. Castro, et al. (2018). Dupilumab Efficacy And Safety In Moderate-To-Severe Uncontrolled Asthma. Massachusetts Medical Society, sf: 2486-2496. doi: 10.1056/NEJMoa1804092. | Arşiv Bağlantısı
- ^ K. F. Rabe, et al. (2018). Efficacy And Safety Of Dupilumab In Glucocorticoid-Dependent Severe Asthma. New England Journal of Medicine, sf: 2475-2485. doi: 10.1056/NEJMoa1804093. | Arşiv Bağlantısı
- ^ M. Castro, et al. (2012). Effectiveness And Safety Of Bronchial Thermoplasty In The Treatment Of Severe Asthma. American Journal of Respiratory and Critical Care Medicine, sf: 116-124. doi: 10.1164/rccm.200903-0354OC. | Arşiv Bağlantısı
- ^ P. D. M. Keller. Bronchial Thermoplasty Benefits Asthma Sufferers Long Term. (23 Mayıs 2013). Alındığı Tarih: 9 Şubat 2022. Alındığı Yer: Medscape | Arşiv Bağlantısı
- ^ D. L. Hamilos. (1995). Gastroesophageal Reflux And Sinusitis Asthma. Clinics in Chest Medicine, sf: 683-697. doi: 10.1016/S0272-5231(21)01171-0. | Arşiv Bağlantısı
- ^ C. A. Hirshman. (1991). Perioperative Management Of The Asthmatic Patient. Canadian Journal of Anaesthesia, sf: R26-R38. doi: 10.1007/BF03008432. | Arşiv Bağlantısı
- ^ C. A. Camargo, et al. (1999). Prospective Study Of Body Mass Index, Weight Change, And Risk Of Adult-Onset Asthma In Women. Archives of Internal Medicine, sf: 2582-2588. doi: 10.1001/archinte.159.21.2582. | Arşiv Bağlantısı
- ^ H. A. Scott, et al. (2012). Dietary Restriction And Exercise Improve Airway Inflammation And Clinical Outcomes In Overweight And Obese Asthma: A Randomized Trial. Wiley, sf: 36-49. doi: 10.1111/cea.12004. | Arşiv Bağlantısı
- ^ R. Normansell, et al. (2018). Antibiotics For Exacerbations Of Asthma. Cochrane Database of Systematic Reviews. doi: 10.1002/14651858.CD002741.pub2. | Arşiv Bağlantısı
- ^ S. S. Braman. (2006). The Global Burden Of Asthma. CHEST, sf: 4S-12S. doi: 10.1378/chest.130.1_suppl.4S. | Arşiv Bağlantısı
- ^ P. K. Henneberger. (2007). Work-Exacerbated Asthma. Ovid Technologies (Wolters Kluwer Health), sf: 146-151. doi: 10.1097/ACI.0b013e328054c640. | Arşiv Bağlantısı
- ^ C. J. Lodge, et al. (2011). Perinatal Cat And Dog Exposure And The Risk Of Asthma And Allergy In The Urban Environment: A Systematic Review Of Longitudinal Studies. Clinical and Developmental Immunology, sf: 1-10. doi: 10.1155/2012/176484. | Arşiv Bağlantısı
- ^ C. Chen, et al. (2010). The Role Of Cats And Dogs In Asthma And Allergy – A Systematic Review. International Journal of Hygiene and Environmental Health, sf: 1-31. doi: 10.1016/j.ijheh.2009.12.003. | Arşiv Bağlantısı
- ^ a b S. L. Prescott, et al. (2005). The Australasian Society Of Clinical Immunology And Allergy Position Statement: Summary Of Allergy Prevention In Children. Medical Journal of Australia, sf: 464-467. doi: 10.5694/j.1326-5377.2005.tb06787.x. | Arşiv Bağlantısı
- ^ P. Bertrand. (2020). Pediatric Respiratory Diseases. ISBN: 9783030269616. Yayınevi: Springer Nature.
- ^ C. J. Cates, et al. (2013). Vaccines For Preventing Influenza In People With Asthma. Cochrane Database of Systematic Reviews. doi: 10.1002/14651858.CD000364.pub4. | Arşiv Bağlantısı
- ^ PubMed. (2009). Strategic Advisory Group Of Experts On Immunization - Report Of The Extraordinary Meeting On The Influenza A (H1N1) 2009 Pandemic. Releve epidemiologique hebdomadaire, sf: 301-304. | Arşiv Bağlantısı
- ^ J. V. Been, et al. (2014). Effect Of Smoke-Free Legislation On Perinatal And Child Health: A Systematic Review And Meta-Analysis. The Lancet, sf: 1549-1560. doi: 10.1016/S0140-6736(14)60082-9. | Arşiv Bağlantısı
- ^ G. Netuveli, et al. (2006). Lineages Of Language And The Diagnosis Of Asthma. SAGE Publications, sf: 19-24. doi: 10.1258/jrsm.100.1.19. | Arşiv Bağlantısı
- ^ R. J. Mason. (2010). Murray And Nadel's Textbook Of Respiratory Medicine: Expert Consult Premium Edition Enhanced Online Features And Print (Textbook Of Respiratory Medicine (Murray)). ISBN: 9781416047100. Yayınevi: Saunders.
- ^ A. Harver. (2014). Asthma. ISBN: 9780387782850. Yayınevi: Springer.
- ^ F. Rosner. The Life Of Moses Maimonides, A Prominent Medieval Physician. (14 Nisan 2021). Alındığı Tarih: 12 Şubat 2022. Alındığı Yer: Web Archive | Arşiv Bağlantısı
- ^ J. C. Thorowgood. (1873). On Bronchial Asthma. Br Med J, sf: 600-600. doi: 10.1136/bmj.2.673.600. | Arşiv Bağlantısı
- ^ G. Gaskoin. (1872). On The Treatment Of Asthma. Br Med J, sf: 339-339. doi: 10.1136/bmj.1.587.339. | Arşiv Bağlantısı
- ^ J. B. Berkart. (1880). The Treatment Of Asthma. Br Med J, sf: 960-962. doi: 10.1136/bmj.1.1017.960. | Arşiv Bağlantısı
- ^ F. H. Bosworth, et al. (1886). Hay Fever, Asthma, And Allied Affections. Transactions of the ... Annual Meeting of the American Climatological Association. American Climatological Association. Annual Meeting. | Arşiv Bağlantısı
- ^ R. L. Doig, et al. (1905). Epinephrin; Especially In Asthma. California State Journal of Medicine. | Arşiv Bağlantısı
- ^ E. V. Mutius, et al. (2012). A Patient With Asthma Seeks Medical Advice In 1828, 1928, And 2012. Massachusetts Medical Society, sf: 827-834. doi: 10.1056/NEJMra1102783. | Arşiv Bağlantısı
- ^ G. Crompton. (2006). A Brief History Of Inhaled Asthma Therapy Over The Last Fifty Years. Primary Care Respiratory Journal, sf: 326-331. doi: 10.1016/j.pcrj.2006.09.002. | Arşiv Bağlantısı
- ^ D. McCullough. (2007). Mornings On Horseback. ISBN: 9780743218306. Yayınevi: Simon Schuster.
- ^ M. Opolski, et al. (2005). Asthma And Depression: A Pragmatic Review Of The Literature And Recommendations For Future Research. Clinical Practice and Epidemiology in Mental Health, sf: 1-7. doi: 10.1186/1745-0179-1-18. | Arşiv Bağlantısı
- ^ The Guardian. Man Saved From Deportation After Pollution Plea In French Legal 'First'. (12 Ocak 2021). Alındığı Yer: The Guardian | Arşiv Bağlantısı
Evrim Ağacı'na her ay sadece 1 kahve ısmarlayarak destek olmak ister misiniz?
Şu iki siteden birini kullanarak şimdi destek olabilirsiniz:
kreosus.com/evrimagaci | patreon.com/evrimagaci
Çıktı Bilgisi: Bu sayfa, Evrim Ağacı yazdırma aracı kullanılarak 21/10/2025 13:33:03 tarihinde oluşturulmuştur. Evrim Ağacı'ndaki içeriklerin tamamı, birden fazla editör tarafından, durmaksızın elden geçirilmekte, güncellenmekte ve geliştirilmektedir. Dolayısıyla bu çıktının alındığı tarihten sonra yapılan güncellemeleri görmek ve bu içeriğin en güncel halini okumak için lütfen şu adrese gidiniz: https://evrimagaci.org/s/11458
İçerik Kullanım İzinleri: Evrim Ağacı'ndaki yazılı içerikler orijinallerine hiçbir şekilde dokunulmadığı müddetçe izin alınmaksızın paylaşılabilir, kopyalanabilir, yapıştırılabilir, çoğaltılabilir, basılabilir, dağıtılabilir, yayılabilir, alıntılanabilir. Ancak bu içeriklerin hiçbiri izin alınmaksızın değiştirilemez ve değiştirilmiş halleri Evrim Ağacı'na aitmiş gibi sunulamaz. Benzer şekilde, içeriklerin hiçbiri, söz konusu içeriğin açıkça belirtilmiş yazarlarından ve Evrim Ağacı'ndan başkasına aitmiş gibi sunulamaz. Bu sayfa izin alınmaksızın düzenlenemez, Evrim Ağacı logosu, yazar/editör bilgileri ve içeriğin diğer kısımları izin alınmaksızın değiştirilemez veya kaldırılamaz.