Yolunu Kaybetmiş Dişler: Dişler Yalnızca Ağızda Oluşmuyor!

Bu Makalede Neler Öğreneceksiniz?
- Describe teeth functions as chewing food, enhancing digestion, increasing enzyme activity, and enabling speech through phonation.
- Explain teeth structure from outer to inner as enamel (or cement at root), dentin, and pulp, with enamel being the hardest body substance.
- Report the rare case of ectopic teeth formation inside a brain tumor of a 4-month-old baby, highlighting occurrences outside the oral cavity.
Dişlerin işlevlerini besinleri ezerek yutulabilir hale getirmek, çiğneyerek sindirimi daha etkin hale getirmek, sindirim enzimlerinin ağızdaki etkinliğini besinlerin yüzey alanlarını artırarak yükseltmek, konuşma sırasında fonasyonu sağlamak olarak özetleyebiliriz. Tüm bu fonksiyonlarını yerine getirmek için ağızda bulunmaları yeterli. Peki dişler başka nerelerde ve neden oluşabilir?
Diş yapısı en dıştan içe doğru mine (kök kısmında sement), dentin, pulpa olarak sıralayabiliriz. Mine, sement ve dentin hidroksiapatit kristalleri dediğimiz kalsifiye yapıdan oluşur ve büyük ölçüde kemiğe benzer. Hidroksiapatit kristalleri dişlere sertliğini verir ve dişlerin molekül yapısında eser miktarda su bulunduğundan dolayı oldukça serttir ve böylece çok büyük çiğneme kuvvetlerine dayanabilirler. Mine, vücuttaki en sert maddedir; öyle ki kemikten bile daha serttir. Bu kadar yoğun kalsifiye yapıların yumuşak dokuda gelişmeleri oldukça zor ve nadir olmasına rağmen çarpıcı örnekleri vardır.

4 aylık bebeğinin normalden daha hızlı büyüyen kafatası ailenin dikkatini çekmesini takiben doktora başvurduklarında, uzmanlar kraniofarinjiyomadan (bir tür beyin tümöründen) şüphelendi. MRI ile incelenen tümör yapısının içerisinde düzenli kalsifiye yapı izlendi. Operasyon anına kadar bu kalsifiye yapının diş olduğu bilinmiyordu. Tümör uzaklaştırıldıktan sonra bebek sağlığına kavuştu. Fakat 2014 yılında yayımlanan bu vaka raporu ilk defa pediatrik popülasyona ait bir bireyde beyin tümörüne eşlik eden diş ektopisi (ektopi: bir doku/ organın olması gerekenden farklı bir yerde, konumda, pozisyonda olması) olarak büyük ses getirdi.
Ektopik diş sürmeleri çoğu zaman baş-boyun bölgesinde karşımıza çıkar. Peki vücudumuz ağız dokusu haricinde neden ve nasıl diş üretiyor? Treacher-Collins sendromu* gibi sendromlara eşlik edebildiği gibi, izole damak yarıklarında, dudak ve damak yarığı olgularında, makrostomi olgularında prevalansı (görülme sıklığı) artar. Hastanın geçmişte aldığı bir travma, dişin sürme doğrultusunu değiştirip yolundan saptırabilir. “Diş germi” yani henüz sürmemiş, ağız yüzeyine açılmamış bir diş ve içerisinde muhafaza edildiği torba eğer enfeksiyona maruz kalırsa da sürme yolunu karıştırabilir. Ektopi ve heterotopi olguları genetik olabilir. Hastada çoğu zaman herhangi bir şikayete neden olmaz ve tesadüfi olarak tespit edilir. (*Treacher-Collins sendromu: Etkisini yüz bölgesinde gösteren ve hastanın yüzünde ciddi kusurların meydana gelmesine sebep olan kalıtsal bir hastalık).

Embriyogenezden itibaren kök hücreler başta özelleşmemiş, her hücreye dönüşebilme potansiyelinde olan hücrelerdir. Kök hücreler, dokuya özel hücreler haline gelir ve böylece vücutta her bir hücre, ait olduğu dokuda çoğalır yada çoğalması gerekmiyorsa görevini bu şekilde yerine getirir. Basit bir örnekle şu şekilde açıklayabiliriz: Kan kök hücresi, kemik iliğinde bir eritrosit oluşturmak için önce proeritoblasta farklılaşır, proeritroblast ise olgunlaşınca bazofilik eritroblasta, daha sonra polikromatik eritroblasta, ortokromatik eritroblasta, retikülosite ve son olarak eritrosite farklılaşır. Vücutta her hücre buna benzer aşamalardan geçerek son “olgun” halini alır.
İşte bu aşamalarda oluşacak bir hata çeşitli karmaşıklıklara yol açar. Totipotent kök hücre dediğimiz, her hücreye farklılaşabilme potansiyeline sahip hücre, aslında sperm ile yumurtanın birleşmesinin akabinde oluşan zigottur. Döllenmeyi takiben ilk 4 gün içinde oluşan her hücre totipotent kök hücredir. Beşinci günden itibaren oluşan hücreler pluripotent hücrelerdir. Pluripotent kök hücreler olgunlaşıp biraz daha özel görevler edinerek farklılaştıklarında multipotent kök hücreler adını alır.
Olgunlaştıkça, dönüşebildikleri hücre çeşidi azalan bu kök hücreler, eğer embriyonolojik yaşam veya postnatal yaşam boyunca bir yerlerde varlıklarını muhafaza ederlerse, işte o zaman hiç beklemediğimiz dokularda alakasız yapılar oluşabilir. “Teratom” dediğimiz tümör çeşidinde, totipotent kök hücrelerin başkalaşmasından oluşan karmaşık hücresel yapıları izleyebilmekteyiz. Çoğunlukla testis ve overlerde artık olarak kalan totipotent hücreler, rahimde oluşan bir dişin sırrını açıklamaya yetmektedir!

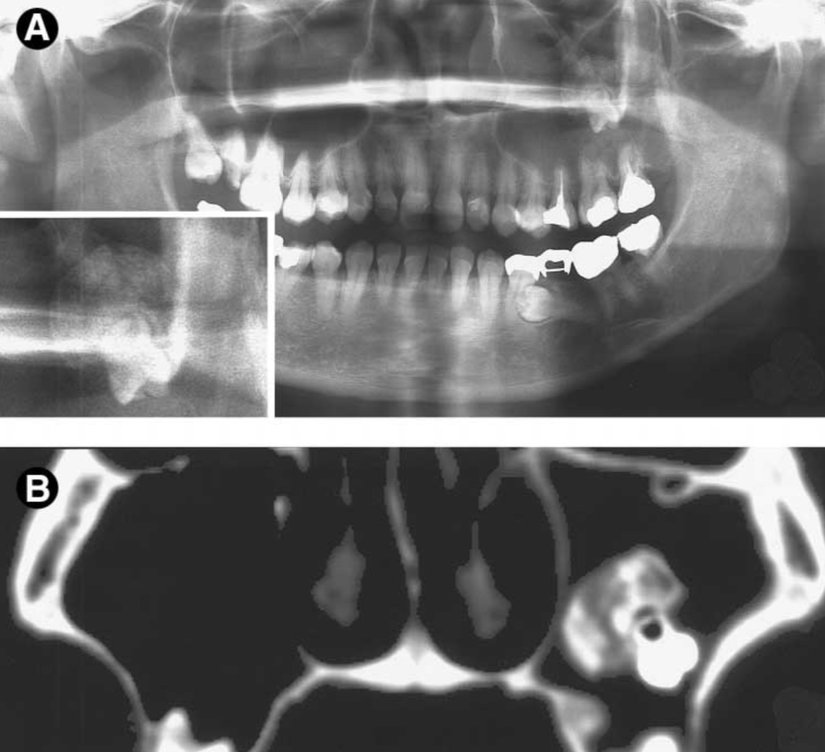
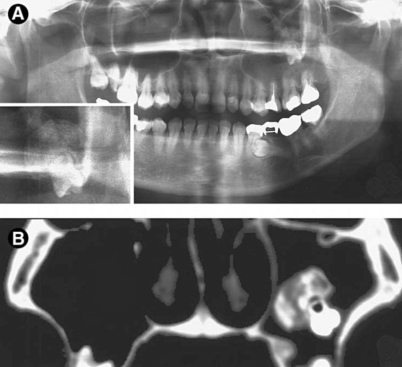
Yukarıda görülen vakada ise maxiller sinüste süren bir 20 yaş dişi görüyoruz. Sol üst 20 yaş dişi olması gereken yerde sürmek yerine, kafa boşluklarımızdan olan maxiller sinüste sürmeye karar vermiş olmalı. Sağ 20 yaş dişi doğru pozisyonunda sürerken, sol taraftaki diş hem yanlış yerde sürmüş hem de yine kendisi gibi oldukça kalsifiye bir yapıya eşlik etmekte.

Dişin morfolojisinin de normalden oldukça sapmış olduğunu izlediğimiz bu vakada hasta, yanağına yayılan yoğun ağrı ile uzun süre vakit geçirmiş ve ağrının başlamasından ancak 1 yıl sonra kaynağın bu diş olduğu anlaşılmıştır.

Yukarıdaki vakada fazla uzaklaşmamış bir 20 yaş dişi, hastada herhangi bir şikayete neden olmadığından bulunduğu yerde öylece bırakılmasına karar verilmiş.

Sırası ile Endoskopik (A), Tomografi (B,C) ve postoperatif görüntülerini gördüğümüz bu ektopik diş vakası ise hastaya burun tıkanıklığı, yüze yayılan ağrı ve yüzde baskı hissi şikayetleri vermiştir. Dişin çıkarılmasını ve rinoplastiyi içeren bir operasyondan sonra hasta sağlığına kavuşmuştur.
Aslında maddi destek istememizin nedeni çok basit: Çünkü Evrim Ağacı, bizim tek mesleğimiz, tek gelir kaynağımız. Birçoklarının aksine bizler, sosyal medyada gördüğünüz makale ve videolarımızı hobi olarak, mesleğimizden arta kalan zamanlarda yapmıyoruz. Dolayısıyla bu işi sürdürebilmek için gelir elde etmemiz gerekiyor.
Bunda elbette ki hiçbir sakınca yok; kimin, ne şartlar altında yayın yapmayı seçtiği büyük oranda bir tercih meselesi. Ne var ki biz, eğer ana mesleklerimizi icra edecek olursak (yani kendi mesleğimiz doğrultusunda bir iş sahibi olursak) Evrim Ağacı'na zaman ayıramayacağımızı, ayakta tutamayacağımızı biliyoruz. Çünkü az sonra detaylarını vereceğimiz üzere, Evrim Ağacı sosyal medyada denk geldiğiniz makale ve videolardan çok daha büyük, kapsamlı ve aşırı zaman alan bir bilim platformu projesi. Bu nedenle bizler, meslek olarak Evrim Ağacı'nı seçtik.
Eğer hem Evrim Ağacı'ndan hayatımızı idame ettirecek, mesleklerimizi bırakmayı en azından kısmen meşrulaştıracak ve mantıklı kılacak kadar bir gelir kaynağı elde edemezsek, mecburen Evrim Ağacı'nı bırakıp, kendi mesleklerimize döneceğiz. Ama bunu istemiyoruz ve bu nedenle didiniyoruz.

Dışarıdan bakıldığında diş gözükmese bile radyografik ve histopatolojik incelemelerde dişe rastlanılan bir vaka. “Teratom”un nadir bir çeşidini gördüğümüz bu vakada, totipotent hücrelerin diş benzeri hücrelere farklılaşmış olduğunu anlıyoruz.
Mevcut bir dişin sürme doğrultusu değişebildiği gibi, alakasız bir dokuda yepyeni bir diş oluşumu da mümkün. Vakaların tümü ilginçliğini korumakla beraber, çoğu zaman asemptomatik olması ve semptomatik halde bile diş (ve/veya eşlik ettiği tümör) uzaklaştırıldığında prognozun (hastalığın seyrinin) iyi olması sevindiricidir.
Evrim Ağacı'nda tek bir hedefimiz var: Bilimsel gerçekleri en doğru, tarafsız ve kolay anlaşılır şekilde Türkiye'ye ulaştırmak. Ancak tahmin edebileceğiniz gibi Türkiye'de bilim anlatmak hiç kolay bir iş değil; hele ki bir yandan ekonomik bir hayatta kalma mücadelesi verirken...
O nedenle sizin desteklerinize ihtiyacımız var. Eğer yazılarımızı okuyanların %1'i bize bütçesinin elverdiği kadar destek olmayı seçseydi, bir daha tek bir reklam göstermeden Evrim Ağacı'nın bütün bilim iletişimi faaliyetlerini sürdürebilirdik. Bir düşünün: sadece %1'i...
O %1'i inşa etmemize yardım eder misiniz? Evrim Ağacı Premium üyesi olarak, ekibimizin size ve Türkiye'ye bilimi daha etkili ve profesyonel bir şekilde ulaştırmamızı mümkün kılmış olacaksınız. Ayrıca size olan minnetimizin bir ifadesi olarak, çok sayıda ayrıcalığa erişim sağlayacaksınız.
Makalelerimizin bilimsel gerçekleri doğru bir şekilde yansıtması için en üst düzey çabayı gösteriyoruz. Gözünüze doğru gelmeyen bir şey varsa, mümkünse güvenilir kaynaklarınızla birlikte bize ulaşın!
Bu makalemizle ilgili merak ettiğin bir şey mi var? Buraya tıklayarak sorabilirsin.
Soru & Cevap Platformuna Git- 9
- 7
- 5
- 3
- 3
- 1
- 0
- 0
- 0
- 0
- 0
- 0
- N. B. Beaty, et al. (2014). Adamantinomatous Craniopharyngioma Containing Teeth. The New England Journal of Medicine. | Arşiv Bağlantısı
- T. Kamei, et al. (2001). Bony Ossicle In The Maxillary Sinus Containing A Tooth. Journal of Oral and Maxillofacial Surgery. | Arşiv Bağlantısı
- R. Vij, et al. (2015). Heterotopic Tooth: An Exceptional Entity. Journal of Clinical and Diagnostic Research. | Arşiv Bağlantısı
- W. Lai, et al. (2020). Intranasal Ectopic Tooth. The Indian Journal of Medical Research. | Arşiv Bağlantısı
- B. Chawla, et al. (2012). Mature Orbital Teratoma With An Ectopic Tooth And Primary Anophthalmos. The International Journal on Orbital Disorders, Oculoplastic and Lacrimal Surgery. | Arşiv Bağlantısı
Evrim Ağacı'na her ay sadece 1 kahve ısmarlayarak destek olmak ister misiniz?
Şu iki siteden birini kullanarak şimdi destek olabilirsiniz:
kreosus.com/evrimagaci | patreon.com/evrimagaci
Çıktı Bilgisi: Bu sayfa, Evrim Ağacı yazdırma aracı kullanılarak 16/10/2025 07:43:32 tarihinde oluşturulmuştur. Evrim Ağacı'ndaki içeriklerin tamamı, birden fazla editör tarafından, durmaksızın elden geçirilmekte, güncellenmekte ve geliştirilmektedir. Dolayısıyla bu çıktının alındığı tarihten sonra yapılan güncellemeleri görmek ve bu içeriğin en güncel halini okumak için lütfen şu adrese gidiniz: https://evrimagaci.org/s/8756
İçerik Kullanım İzinleri: Evrim Ağacı'ndaki yazılı içerikler orijinallerine hiçbir şekilde dokunulmadığı müddetçe izin alınmaksızın paylaşılabilir, kopyalanabilir, yapıştırılabilir, çoğaltılabilir, basılabilir, dağıtılabilir, yayılabilir, alıntılanabilir. Ancak bu içeriklerin hiçbiri izin alınmaksızın değiştirilemez ve değiştirilmiş halleri Evrim Ağacı'na aitmiş gibi sunulamaz. Benzer şekilde, içeriklerin hiçbiri, söz konusu içeriğin açıkça belirtilmiş yazarlarından ve Evrim Ağacı'ndan başkasına aitmiş gibi sunulamaz. Bu sayfa izin alınmaksızın düzenlenemez, Evrim Ağacı logosu, yazar/editör bilgileri ve içeriğin diğer kısımları izin alınmaksızın değiştirilemez veya kaldırılamaz.