Sheehan Sendromu Nedir? Doğum Sonrası Kanamaya Bağlı Hipofiz Doku Ölümünün Belirtileri Nelerdir? Nasıl Tedavi Edilir?

- Hastalık Kataloğu
- Endokrinoloji
- Obstetrik ve Jinekoloji (Ob-Jin)
Bu içerik tıp ve sağlık ile ilişkilidir. Sadece bilgi amaçlı olarak hazırlanmıştır. Bireysel bir tıbbi tavsiye olarak görülmemelidir. Evrim Ağacı'ndaki hiçbir içerik; profesyonel bir hekim tarafından verilen tıbbi tavsiyelerin, konulan bir teşhisin veya önerilen bir tedavinin yerini alacak biçimde kullanılmamalıdır.
- Türkçe Adı Sheehan Sendromu
- İngilizce Adı Sheehan Syndrome
- Latince Adı Sheehan Syndrome
- OrphaNet 91355
- Diğer İsimleri Doğum Sonrası Hipofiz Bezi Nekrozu
Bu Makalede Neler Öğreneceksiniz?
- Describe the pituitary gland as a pea-sized endocrine organ under the hypothalamus, which grows by about 33% during pregnancy mainly due to lactotroph cell proliferation.
- Define Sheehan Syndrome as necrosis of pituitary cells caused by postpartum hemorrhage and hypovolemia, leading to hormone deficiencies and serious complications.
- List Sheehan Syndrome symptoms including acute signs like lactation failure and hypotension, and chronic symptoms such as fatigue, menstrual irregularities, and hair loss.
Genel Bilgiler: Patoloji ve Mekanizma
Hipofiz Nedir?
Hipofiz; bezelye büyüklüğünde, yaklaşık 0,5 gram ağırlığında, hipotalamusun altında ve sella turcica'ya yerleşmiş vaziyette bir endokrin bezdir. Salgıladığı hormonlarla vücudumuzdaki çeşitli fizyolojik süreçlerin düzenlenmesinde kritik rol alır. Hamilelik sırasında değişen biyolojik koşullar ve hormonal gereksinimler hipofiz bezinde bir dönüşüm meydana getirir.
Hipofiz bezi gebelik süresince, gebelik öncesi boyutuna göre ciddi oranda büyür. Kesit alanı ve ağırlığı yaklaşık olarak %33 artar.[1] Bu artış daha çok prolaktin hormonu üreten laktotrop hücreler tarafından gerçekleşir. Hipofiz bezi gebelik süresince bu kadar hızlı büyümesine rağmen kanlanması aynı oranda artmaz ve iskemiye (kan akımının azalması veya tamamen kesilmesi sonucu hayati moleküllere erişimin engellenmesi durumu) duyarlı hale gelir.
Sheehan Sendromu Nedir?
Sheehan Sendromu, doğum sonrası kanama ve hipovolemi sonrasında, halihazırda iskemiye duyarlı hale gelmiş ön hipofiz bezi hücrelerinin nekrozunu (hücre ölümü) ifade eder. İskeminin şiddetine bağlı olarak hipofiz bezi hücrelerinin bir bölümü veya tamamı nekroza (doku ölümüne) gidebilir. Bunun sonucunda tiroid hormonları, büyüme hormonu (GH), prolaktin, glukokortikoidler ve gonadotropinler (FSH ve LH) gibi sentezinde veya düzenlenmesinde hipofiz bezinin rol aldığı bu hormonlarda eksiklikler görülür ve klinik belirtiler ortaya çıkar.
Sheehan Sendromu, gelişmemiş ülkelerde halen önemli bir mortalite (ölüm) ve morbidite (hastalık hali) nedenidir. Adrenal kriz gibi hayatı tehdit eden çok ciddi komplikasyonlara yol açabileceğinden, zamanında teşhis edilip tedavisinin yapılması son derece önemlidir.[2]

Belirti ve Bulgular
Sheehan Sendromu, doğumdan sonra belirtilerin ortaya çıkma süresine bağlı olarak akut veya yavaş seyirli olabilir. Belirtilerin genellikle ilk 6 haftada ortaya çıktığı akut formu yaygın değildir ancak son derece tehlikelidir. Akut formda, hipofiz bezinin çok büyük kısmı nekroza gitmiştir ve hastalar doğum sonrasında şu bulgularla hastaneye başvurabilirler:[3]
- Laktasyon yetersizliği (Süt üretim yetersizliği)
- Hipotansiyon (Tansiyon düşüklüğü)
- Taşikardi (Kalp hızı artışı)
- Hiponatremi (Sodyum düşüklüğü)
- Hipoglisemi (Glikoz düşüklüğü)
Yavaş gelişen Sheehan Sendromlu birçok hasta doğumdan sonra aylar, hatta yıllar boyunca asemptomatik olabilir. Hipofiz hasarı, akut duruma nispeten daha azdır. İlk hasardan uzun bir süre sonra hastaneye başvuran bu hastalar, hipopitüitarizm (bir veya daha fazla hipofiz hormonunun yetersiz yapımı veya salınımı sonucu gelişen klinik sendrom) nedeniyle beliren semptomlarla teşhis edilirler. Sık görülen bazı belirtiler şunlardır:[4]
- Emzirmede zorluk veya emzirememe
- Adet düzensizliği veya adet görememe
- Tıraş edilmiş kasık kıllarının yeniden çıkmaması
- Yorgunluk
- Saç ve kaş dökülmesi
- Tükenmişlik
- Hipotansiyon
- Kabızlık ve kilo alma
- Dikkat problemleri
- Soğuğa tahammül edememe
- Meme küçülmesi
- Düzensiz kalp atışı
- Hipopigmentasyon (cilt pigmenti veya renginin kaybı)
- Kuru cilt
- Anormal susuzluk ve su alımı
- Yaygın vücut ödemi
Hipofiz bezindeki hasar çok az ise nispeten semptomsuz da kalınabilir. Bazı kadınlar bu durumu bilmeden çok uzun yıllar yaşasalar dahi, ameliyat gibi aşırı fiziksel stres veya şiddetli enfeksiyon durumlarında adrenal kriz tetiklenebilir.

Hastalıkla İlişkili Genler, Etken Faktörler ve Risk Faktörleri
Postpartum kanama (doğumu takiben oluşabilen, acil müdahale gereken kanama durumu) riskini artıran her türlü faktör Sheehan Sendromu riskini artırır. Bunlardan bazıları:
- Çoklu gebelikler
- Annenin sahip olduğu kan hastalıkları
- Makrozomik yenidoğan (iri bebek)
- Plasental bozukluklar
- Yumuşak doku hasarı
- Preeklampsi (gebelikte meydana gelen kan basıncı bozukluğu)
- Obezite
Ayrıca obstetrik (doğum ve sonraki dönemde kadın üreme yolları ve yenidoğan bakımıyla ilgilenen tıbbi alan) bakım imkanlarının yeterince iyi olmadığı kırsal alanlarda, gelişmemiş ülkelerde ve evde doğumlarda da risk mevcuttur.[5]
Teşhis Yöntemleri
Hastanın postpartum kanama öyküsünün bulunması ve bununla birlikte hastada düşük hormon seviyelerinin izlenmesi Sheehan Sendromu düşünülmesine yardımcı olacaktır. Tanı için tiroid fonksiyon testleri (TSH, T3, T4), FSH, LH, prolaktin, östrojen, kortizol ve büyüme hormonu testleri ile birlikte tam kan sayımı istenebilir.
Teşhise giden süreçte yapılan değerlendirmelerde hematolojik anormalliklere çok sık rastlanılır. Sheehan Sendromu ile birlikte normositik/normokromik anemi, trombositopeni veya pansitopeni, faktör 8 ve von Willebrand faktör eksikliği görülebilir.[6] Hiponatremi ve hipoglisemi de mevcut olabilir.
Evrim Ağacı'nın çalışmalarına Kreosus, Patreon veya YouTube üzerinden maddi destekte bulunarak hem Türkiye'de bilim anlatıcılığının gelişmesine katkı sağlayabilirsiniz, hem de site ve uygulamamızı reklamsız olarak deneyimleyebilirsiniz. Reklamsız deneyim, sitemizin/uygulamamızın çeşitli kısımlarda gösterilen Google reklamlarını ve destek çağrılarını görmediğiniz, %100 reklamsız ve çok daha temiz bir site deneyimi sunmaktadır.
KreosusKreosus'ta her 50₺'lik destek, 1 aylık reklamsız deneyime karşılık geliyor. Bu sayede, tek seferlik destekçilerimiz de, aylık destekçilerimiz de toplam destekleriyle doğru orantılı bir süre boyunca reklamsız deneyim elde edebiliyorlar.
Kreosus destekçilerimizin reklamsız deneyimi, destek olmaya başladıkları anda devreye girmektedir ve ek bir işleme gerek yoktur.
PatreonPatreon destekçilerimiz, destek miktarından bağımsız olarak, Evrim Ağacı'na destek oldukları süre boyunca reklamsız deneyime erişmeyi sürdürebiliyorlar.
Patreon destekçilerimizin Patreon ile ilişkili e-posta hesapları, Evrim Ağacı'ndaki üyelik e-postaları ile birebir aynı olmalıdır. Patreon destekçilerimizin reklamsız deneyiminin devreye girmesi 24 saat alabilmektedir.
YouTubeYouTube destekçilerimizin hepsi otomatik olarak reklamsız deneyime şimdilik erişemiyorlar ve şu anda, YouTube üzerinden her destek seviyesine reklamsız deneyim ayrıcalığını sunamamaktayız. YouTube Destek Sistemi üzerinde sunulan farklı seviyelerin açıklamalarını okuyarak, hangi ayrıcalıklara erişebileceğinizi öğrenebilirsiniz.
Eğer seçtiğiniz seviye reklamsız deneyim ayrıcalığı sunuyorsa, destek olduktan sonra YouTube tarafından gösterilecek olan bağlantıdaki formu doldurarak reklamsız deneyime erişebilirsiniz. YouTube destekçilerimizin reklamsız deneyiminin devreye girmesi, formu doldurduktan sonra 24-72 saat alabilmektedir.
Diğer PlatformlarBu 3 platform haricinde destek olan destekçilerimize ne yazık ki reklamsız deneyim ayrıcalığını sunamamaktayız. Destekleriniz sayesinde sistemlerimizi geliştirmeyi sürdürüyoruz ve umuyoruz bu ayrıcalıkları zamanla genişletebileceğiz.
Giriş yapmayı unutmayın!Reklamsız deneyim için, maddi desteğiniz ile ilişkilendirilmiş olan Evrim Ağacı hesabınıza üye girişi yapmanız gerekmektedir. Giriş yapmadığınız takdirde reklamları görmeye devam edeceksinizdir.
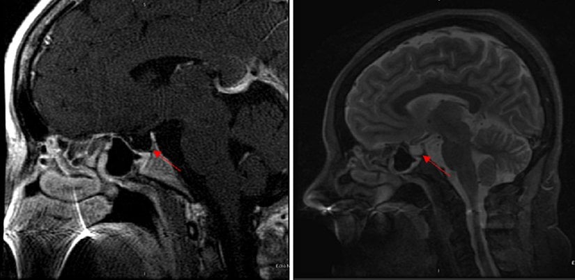
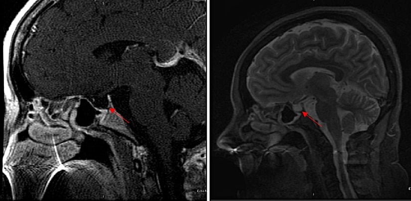
Tanıyı doğrulamak için MRI görüntülemesi kullanılır. Radyolojik inceleme sonucunda boş sella (%70) veya kısmen boş sella (%30) görüntülenebilir.[6]

Tedaviler veya İdare Yöntemleri
Sheehan Sendromu, hormon replasmanı ile tedavi edilir. Tedavi, eksik olan hormonu yerine koymaya yöneliktir. Sheehan Sendromuna bağlı sekonder olarak hipotiroidizm, kortizol eksikliği, gonadotropin eksikliği, büyüme hormonu (GH) eksikliği ve diabetes insipidus (şekersiz diyabet) görülür. Tedavide kortizolün yerini alması için hidrokortizon ya da prednizon kullanılır.
Hipotiroidizm, levotiroksin replasman tedavisi ile tedavi edilir. Östrojen/progesteron replasmanı oral kontraseptifler ile sağlanır (fayda/risk konusu tartışmalıdır). ADH eksikliği sonucu ortaya çıkan diabetes insipidus için desmopressin veya vazopressin tercih edilir. Büyüme hormonu replasman tedavisi ise GH eksikliği olan yetişkinler için FDA tarafından onaylanmış bir tedavi seçeneğidir.[7]
Müddet Tahminleri (Prognoz)
Hastalığın prognozu, teşhis zamanına ve hormon replasman tedavisine göre değişir. Zamanında teşhis edilemeyen olguların prognozu (seyri) kötü olabilir.
Görülme Sıklığı ve Dağılımı (Epidemiyoloji)
Günümüzde modern obstetrik imkanlar sayesinde Sheehan Sendromu birçok ülkede neredeyse unutulan bir hastalık haline gelmiştir. Özellikle gelişmiş ülkelerde doğum esnasında oluşabilecek hemodinamik komplikasyonlara müdahalenin son derece ilerlemiş olması bu ülkelerde Sheehan Sendromunun görülme sıklığını azaltsa da, gelişmekte olan ve özellikle gelişmemiş ülkelerde halen önemli bir morbidite ve mortalite nedenidir.
Sheehan Sendromlu hastaların büyük çoğunluğunun evde doğum yaptığı tespit edilmiştir. 2005 yılında Hindistan'da yapılan bir çalışmada taranan 20-39 yaşları arasındaki kadınların %3.20' sinin; 40 yaş ve üzeri kadınların ise %4.18' inin Sheehan Sendromu olduğundan şüphelenilmiştir.[8]
Önlem Yöntemleri
Obezite değiştirilebilir risk faktörlerinden biridir, gebe kalmayı planlayan kadınlar sağlıklı kilo aralığında olmaya özen göstermelidir. Kanama riskini artırabilecek her türlü müdahaleden (vakum gibi), tutarlı olacak şekilde mümkün olduğunca kaçınılmalıdır.
Devletler, her gebe kadının yeterli obstetrik bakıma erişebilmesi için çalışmalarda bulunmalıdır.
Etimoloji
Sendromun adı, postpartum kanama ve hipofiz nekrozu ilişkisini 1937 yılında yayınladığı ''Ön Hipofizin Doğum Sonrası Nekrozu'' makalesiyle ilk kez ortaya koyan İngiliz Patolog Harold Leen Sheehan'ın soy isminden gelmektedir.[9]
Evrim Ağacı'nda tek bir hedefimiz var: Bilimsel gerçekleri en doğru, tarafsız ve kolay anlaşılır şekilde Türkiye'ye ulaştırmak. Ancak tahmin edebileceğiniz gibi Türkiye'de bilim anlatmak hiç kolay bir iş değil; hele ki bir yandan ekonomik bir hayatta kalma mücadelesi verirken...
O nedenle sizin desteklerinize ihtiyacımız var. Eğer yazılarımızı okuyanların %1'i bize bütçesinin elverdiği kadar destek olmayı seçseydi, bir daha tek bir reklam göstermeden Evrim Ağacı'nın bütün bilim iletişimi faaliyetlerini sürdürebilirdik. Bir düşünün: sadece %1'i...
O %1'i inşa etmemize yardım eder misiniz? Evrim Ağacı Premium üyesi olarak, ekibimizin size ve Türkiye'ye bilimi daha etkili ve profesyonel bir şekilde ulaştırmamızı mümkün kılmış olacaksınız. Ayrıca size olan minnetimizin bir ifadesi olarak, çok sayıda ayrıcalığa erişim sağlayacaksınız.
Makalelerimizin bilimsel gerçekleri doğru bir şekilde yansıtması için en üst düzey çabayı gösteriyoruz. Gözünüze doğru gelmeyen bir şey varsa, mümkünse güvenilir kaynaklarınızla birlikte bize ulaşın!
Bu makalemizle ilgili merak ettiğin bir şey mi var? Buraya tıklayarak sorabilirsin.
Soru & Cevap Platformuna Git- 9
- 5
- 3
- 2
- 2
- 2
- 1
- 1
- 0
- 0
- 0
- 0
- ^ H. E. Carlson. (2011). The Pituitary Gland In Pregnancy And The Puerperium. ScienceDirect, sf: 397 - 412. doi: 10.1016/B978-0-12-380926-1.10012-4. | Arşiv Bağlantısı
- ^ Mayo Clinic. Sheehan's Syndrome. (26 Kasım 2019). Alındığı Tarih: 18 Ağustos 2021. Alındığı Yer: Mayo Clinic | Arşiv Bağlantısı
- ^ S. Matsuzaki, et al. (2017). A Case Of Acute Sheehan’s Syndrome And Literature Review: A Rare But Life-Threatening Complication Of Postpartum Hemorrhage. BMC Pregnancy and Childbirth, sf: 1-10. doi: 10.1186/s12884-017-1380-y. | Arşiv Bağlantısı
- ^ M. P. Schury, et al. Sheehan Syndrome. (17 Temmuz 2021). Alındığı Tarih: 18 Ağustos 2021. Alındığı Yer: STATPEARLS | Arşiv Bağlantısı
- ^ 5-Minute Clinical Consult. Sheehan Syndrome. (19 Ağustos 2021). Alındığı Tarih: 19 Ağustos 2021. Alındığı Yer: 5-Minute Clinical Consult | Arşiv Bağlantısı
- ^ a b C. Shivaprasad. (2011). Sheehan's Syndrome: Newer Advances. Indian Journal of Endocrinology and Metabolism, sf: 203 - 207. doi: 10.4103/2230-8210.84869. | Arşiv Bağlantısı
- ^ National Organization for Rare Disorders. Sheehan Syndrome. (19 Ağustos 2021). Alındığı Tarih: 19 Ağustos 2021. Alındığı Yer: Rare Disaeses | Arşiv Bağlantısı
- ^ A. Zargar, et al. (2005). Epidemiologic Aspects Of Postpartum Pituitary Hypofunction (Sheehan’s Syndrome). Fertility and Sterility, sf: 523-528. doi: 10.1016/j.fertnstert.2005.02.022. | Arşiv Bağlantısı
- ^ H. L. Sheehan. (1937). Post-Partum Necrosis Of The Anterior Pituitary. The Journal of Pathology and Bacteriology, sf: 189-214. doi: 10.1002/path.1700450118. | Arşiv Bağlantısı
- R. Krysiak, et al. (Review, 2015). Sheehan's Syndrome--A Forgotten Disease With 100 Years' History. Not: PMID: 26817341.
Evrim Ağacı'na her ay sadece 1 kahve ısmarlayarak destek olmak ister misiniz?
Şu iki siteden birini kullanarak şimdi destek olabilirsiniz:
kreosus.com/evrimagaci | patreon.com/evrimagaci
Çıktı Bilgisi: Bu sayfa, Evrim Ağacı yazdırma aracı kullanılarak 14/10/2025 06:24:20 tarihinde oluşturulmuştur. Evrim Ağacı'ndaki içeriklerin tamamı, birden fazla editör tarafından, durmaksızın elden geçirilmekte, güncellenmekte ve geliştirilmektedir. Dolayısıyla bu çıktının alındığı tarihten sonra yapılan güncellemeleri görmek ve bu içeriğin en güncel halini okumak için lütfen şu adrese gidiniz: https://evrimagaci.org/s/10868
İçerik Kullanım İzinleri: Evrim Ağacı'ndaki yazılı içerikler orijinallerine hiçbir şekilde dokunulmadığı müddetçe izin alınmaksızın paylaşılabilir, kopyalanabilir, yapıştırılabilir, çoğaltılabilir, basılabilir, dağıtılabilir, yayılabilir, alıntılanabilir. Ancak bu içeriklerin hiçbiri izin alınmaksızın değiştirilemez ve değiştirilmiş halleri Evrim Ağacı'na aitmiş gibi sunulamaz. Benzer şekilde, içeriklerin hiçbiri, söz konusu içeriğin açıkça belirtilmiş yazarlarından ve Evrim Ağacı'ndan başkasına aitmiş gibi sunulamaz. Bu sayfa izin alınmaksızın düzenlenemez, Evrim Ağacı logosu, yazar/editör bilgileri ve içeriğin diğer kısımları izin alınmaksızın değiştirilemez veya kaldırılamaz.