Psikoterapi, Depresyon Hastalarının Beyinlerinde Nasıl Değişimler Yaratıyor?

Son yıllarda araştırmacılar psikoterapinin yarattığı değişimleri sinirsel bağlantılar düzeyinde anlamak için görüntüleme tekniklerini kullanmaya başlamışlardır. Bu bağlantıları anlamak sadece psikoterapiden etkilenen süreçleri tam olarak belirlemek ve dolayısıyla edindiğimiz yararlara odaklanmamıza yardım etmekle kalmayacak, aynı zamanda terapiyi tamamlayıcı farmakolojik müdahalelerin ne zaman gerekli olacağını ve terapiyi ne zaman engelleyeceğini de gösterecektir.
Psychiatry Research: Neuroimaging dergisinde yayımlanan bir sistematik inceleme ve meta-analiz makalesi (Anjali Sankar et al. 2018), terapinin depresif beyin üzerindeki etkileri hakkında şu ana kadar bilinen her şeyi bir araya getirdi. Makale, beyindeki duygusal işlem bölümlerinde kilit değişiklikler gerçekleştiğini öne sürüyor.

Cynthia Fu ve Doğu Londra Üniversitesi Psikiyatri, Psikoloji ve Nörobilim Enstitüsünden birinci yazar Anjali Sankar’ın liderliğini yaptığı uluslararası bir ekip, beyin görüntüleme literatüründe bir araştırma yürüttü. Odaklandıkları çalışmalar özellikle psikodinamik terapi ve bilişsel davranış terapisi de dahil olmak üzere psikoterapinin çeşitli yöntemlerini takiben gerçekleşen depresyondan kurtulmanın beyinde yarattığı değişimleri açığa çıkaran çalışmalardı.
İnceledikleri 17 makale, terapi sonrası duygusal ve nötr uyaranlara bakarken amigdala aktivitesinin azalması gibi bazı tekrar eden modellere işaret ediyor. Ne var ki bazı nadir sonuçların yorumlanması daha zordu, örnek olarak bir araştırma hipokampal alanlarda daha fazla aktivite gösterirken diğeri aynı bölgelerde daha az aktivite gösterdi. Böyle yeni bir araştırma alanında, özellikle farklı laboratuvarlar farklı deney tasarımları kullanırken bu tutarsızlık beklenebilir bir sonuçtur, dolayısıyla üzerinde fazla durulmamalıdır.
Bu inceleme makalesinin en değerli kısmı ise depresif gönüllülerin psikoterapi öncesi ve sonrasında beyin tarayıcısı içinde duygusal görüntülere bakmalarını isteyen 5 çalışmanın meta-analiziydi.
Veriler gösteriyor ki bilişsel davranış terapisi sonrası majör depresyon hastalarında sol Rolando önü kıvrımı (precentral gyrus) aktivitesinde düşüş yaşanıyor. Bu alan beynin düşünme ve yansıtma süreçlerinde görev alan prefrontal korteksinde bulunuyor. Depresif bireyler, aşırı kafa yorma ve kaygılanmaya yatkınlıklarını yansıtacak şekilde, duygusal görevlerde bu alanda daha çok aktivite sergiliyorlar. Terapi sonrası prefrontal korteksteki aktivite düşüşü, terapinin yukarıda bahsedilen olumsuz bilişsel yatkınlıkları engellemekteki etkililiğine -gerçekleri olabilecek en karamsar şeyleri düşünmede başlangıç noktası olarak kullanmak yerine olduğu gibi görmek- işaret ediyor olabilir.
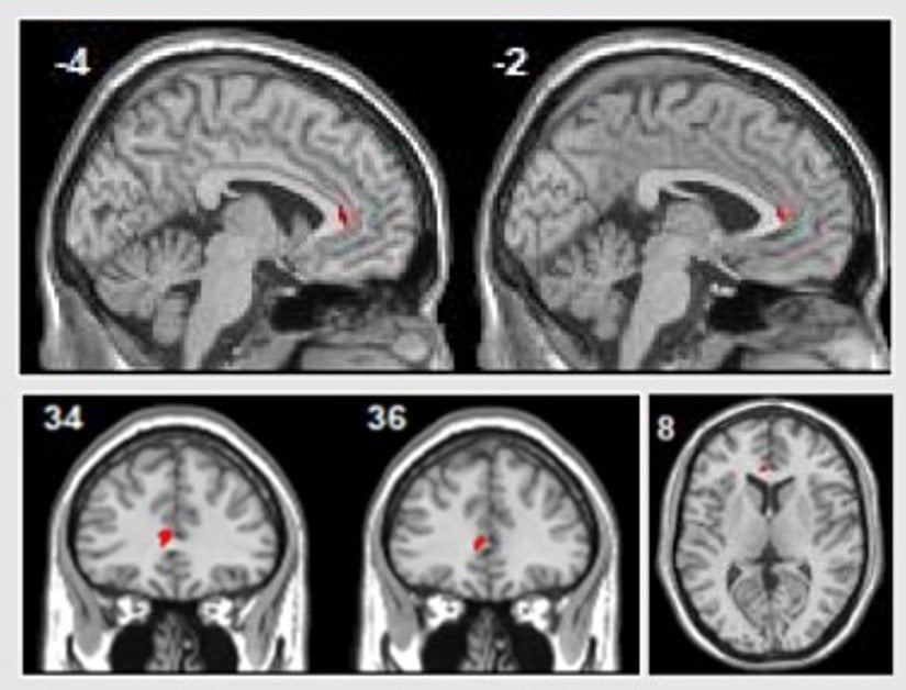
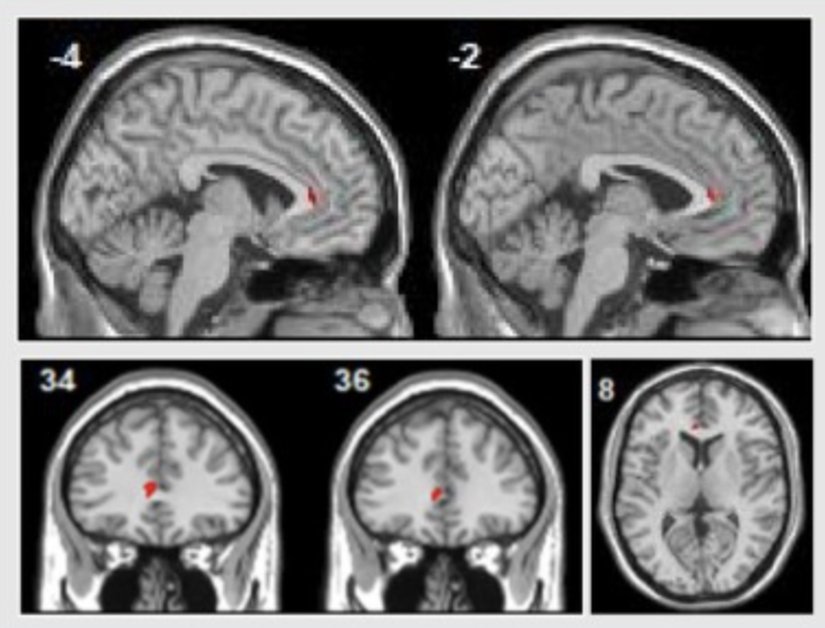
Bir başka bulgu bilişsel davranış terapisi ve psikodinamik terapi sonrasında hastaların sol rostral ön singulat alanlarındaki aktivite artışını gösteriyor (yukarıdaki görsele bakınız; sağlıklı kontrol gruplarının bu değişimi göstermemesi bulgunun sadece görüntü izleme görevlerindeki geçen zaman ya da pratik yapma etkisine bağlı olmadığını belirtiyor). Bu beyin bölgesi, amigdala aktivitesini baskılamak gibi etkilerle, çekirdek duygu işlemlerini gerçekleştiren bölgelerle güçlü şekilde bağlantılıdır. Daha önceki kanıtlar ön singulat ve amigdala arasındaki bağlantıların majör depresyonda daha zayıf olduğunu gösteriyor.
Bu durum majör depresyon hastalarında duyguların neden daha yoğun bir şekilde hissedildiğini açıklıyor. Yani öyle gözüküyor ki psikoterapinin etkilerinden biri de bu zarar görmüş bağlantının yeniden inşası olabilir. Meta-analiz bize bu inşanın nasıl gerçekleştiğini kesin olarak gösteremese de ihtimallerden biri “bilişsel yeniden değerlendirme” gibi yöntemlerle zorlu deneyimleri yorumlamanın yeni yollarını bulmak olabilir.
Fu, Sankar ve diğer ekip arkadaşları hâlâ beyindeki değişimler ve klinik tepkiler arasındaki ilişkiden anlam çıkarmak için erken olduğunu vurguluyor, özellikle ne kadar gelişim sağlandığı açısından. Buna örnek olarak “Hayattan keyif almanın artması beynin belirli bir bölgesindeki değişimle ne kadar ilgilidir?” gibi henüz yanıt alınamayan sorular gösterilebilir.
Araştırma ekibinin belirttiğine göre geçmişte yapılan bir başka çalışma (Buchheim et al. 2012) daha bu yaklaşımı takip ederek depresyon ölçeğindeki gelişim derecesinin ön singulat korteksindeki aktivite artışıyla gösterdiği korelasyonu ortaya çıkarmıştır. Bu bulgu da bahsedilen bölgenin daha fazla araştırılmaya değecek bir bölge olduğunu destekliyor.
Şimdilik hâlâ, devasa bir görev olan, terapi sürecinin kafatasımızın içindeki sinirsel dokulara etkisini haritalandırmakla boğuşuyoruz. Bu devam etmeye değer bir uğraş, Sankar ve arkadaşlarının belirtiği gibi:
Tedavinin beyin aktivitesi üzerindeki mekanizmalarını anlamak, tanısal biyolojik işaretler geliştirme ve faydalı tedavi şekillerinde yeni hedefler belirleme potansiyeli taşıyor.
Evrim Ağacı'nda tek bir hedefimiz var: Bilimsel gerçekleri en doğru, tarafsız ve kolay anlaşılır şekilde Türkiye'ye ulaştırmak. Ancak tahmin edebileceğiniz gibi Türkiye'de bilim anlatmak hiç kolay bir iş değil; hele ki bir yandan ekonomik bir hayatta kalma mücadelesi verirken...
O nedenle sizin desteklerinize ihtiyacımız var. Eğer yazılarımızı okuyanların %1'i bize bütçesinin elverdiği kadar destek olmayı seçseydi, bir daha tek bir reklam göstermeden Evrim Ağacı'nın bütün bilim iletişimi faaliyetlerini sürdürebilirdik. Bir düşünün: sadece %1'i...
O %1'i inşa etmemize yardım eder misiniz? Evrim Ağacı Premium üyesi olarak, ekibimizin size ve Türkiye'ye bilimi daha etkili ve profesyonel bir şekilde ulaştırmamızı mümkün kılmış olacaksınız. Ayrıca size olan minnetimizin bir ifadesi olarak, çok sayıda ayrıcalığa erişim sağlayacaksınız.
Makalelerimizin bilimsel gerçekleri doğru bir şekilde yansıtması için en üst düzey çabayı gösteriyoruz. Gözünüze doğru gelmeyen bir şey varsa, mümkünse güvenilir kaynaklarınızla birlikte bize ulaşın!
Bu makalemizle ilgili merak ettiğin bir şey mi var? Buraya tıklayarak sorabilirsin.
Soru & Cevap Platformuna Git- 14
- 5
- 3
- 3
- 2
- 1
- 1
- 1
- 0
- 0
- 0
- 0
- Çeviri Kaynağı: Research Digest | Arşiv Bağlantısı
- A. Sankar. This Is How Psychotherapy For Depression Changes The Brain. (6 Kasım 2018). Alındığı Tarih: 10 Aralık 2018. Alındığı Yer: Research Digest | Arşiv Bağlantısı
Evrim Ağacı'na her ay sadece 1 kahve ısmarlayarak destek olmak ister misiniz?
Şu iki siteden birini kullanarak şimdi destek olabilirsiniz:
kreosus.com/evrimagaci | patreon.com/evrimagaci
Çıktı Bilgisi: Bu sayfa, Evrim Ağacı yazdırma aracı kullanılarak 08/10/2025 05:41:50 tarihinde oluşturulmuştur. Evrim Ağacı'ndaki içeriklerin tamamı, birden fazla editör tarafından, durmaksızın elden geçirilmekte, güncellenmekte ve geliştirilmektedir. Dolayısıyla bu çıktının alındığı tarihten sonra yapılan güncellemeleri görmek ve bu içeriğin en güncel halini okumak için lütfen şu adrese gidiniz: https://evrimagaci.org/s/7498
İçerik Kullanım İzinleri: Evrim Ağacı'ndaki yazılı içerikler orijinallerine hiçbir şekilde dokunulmadığı müddetçe izin alınmaksızın paylaşılabilir, kopyalanabilir, yapıştırılabilir, çoğaltılabilir, basılabilir, dağıtılabilir, yayılabilir, alıntılanabilir. Ancak bu içeriklerin hiçbiri izin alınmaksızın değiştirilemez ve değiştirilmiş halleri Evrim Ağacı'na aitmiş gibi sunulamaz. Benzer şekilde, içeriklerin hiçbiri, söz konusu içeriğin açıkça belirtilmiş yazarlarından ve Evrim Ağacı'ndan başkasına aitmiş gibi sunulamaz. Bu sayfa izin alınmaksızın düzenlenemez, Evrim Ağacı logosu, yazar/editör bilgileri ve içeriğin diğer kısımları izin alınmaksızın değiştirilemez veya kaldırılamaz.
This work is an exact translation of the article originally published in Research Digest. Evrim Ağacı is a popular science organization which seeks to increase scientific awareness and knowledge in Turkey, and this translation is a part of those efforts. If you are the author/owner of this article and if you choose it to be taken down, please contact us and we will immediately remove your content. Thank you for your cooperation and understanding.