Pozitron Emisyon Tomografisi (PET) Nedir? PET Taraması ile Görüntüleme Nasıl Yapılıyor? Hastalar Nasıl Bir Süreçten Geçiyor?

Bu içerik tıp ve sağlık ile ilişkilidir. Sadece bilgi amaçlı olarak hazırlanmıştır. Bireysel bir tıbbi tavsiye olarak görülmemelidir. Evrim Ağacı'ndaki hiçbir içerik; profesyonel bir hekim tarafından verilen tıbbi tavsiyelerin, konulan bir teşhisin veya önerilen bir tedavinin yerini alacak biçimde kullanılmamalıdır.
Bu Makalede Neler Öğreneceksiniz?
- Explain PET as a medical imaging technique using radiopharmaceutical drugs with radioactive tracers absorbed by active organs and tissues for early disease diagnosis.
- Describe how positron annihilation emits gamma rays detected by PET scanners, showing bright areas indicating tissue function differences to guide treatment decisions.
- Highlight PET's use for diagnosing cancer, heart, and central nervous system diseases by examining metabolism, blood flow, and oxygen uptake at the cellular level.
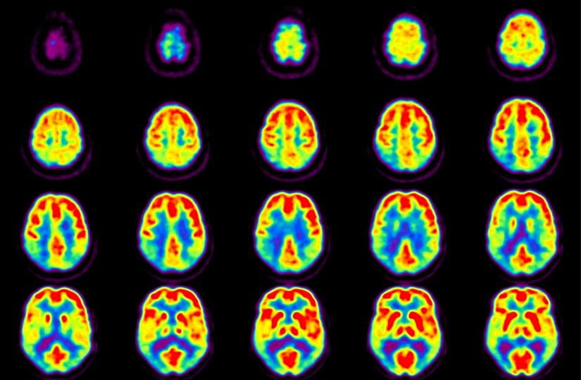
Pozitron Emisyon Tomografisi (PET), hastalıkların erken ve kesin teşhisinde doktorlara yardımcı olan bir tıbbi görüntüleme tekniğidir. Tarama için hastanın vücuduna radyoaktif izleyiciler içeren radyofarmasötik ilaçlar verilir. Bu ilaçlar, yoğun kimyasal aktivite gösteren organlar ve dokular tarafından absorbe edilir.
Radyofarmasötikler, bir taşıyıcı moleküle tutturulmuş radyoaktif izotoplardan oluşur. Kullanılacak taşıyıcı molekül, taraması yapılan hastalığa göre değişebilir. Örneğin, kanser taramalarında genellikle glikozun modifiye edilmiş bir formu olan FDG kullanılır.

Vücuda verilen ilaçtaki radyoaktif izleyicilerin, pozitron anhilasyonu (elektron ve karşıt maddesi olan pozitronun birbirlerini yok edişi) sonucu saçtığı gama dalgaları, PET tarayıcısı tarafından tespit edilir. İlacı absorbe eden dokular, yaptıkları bu ışıma dolayısıyla tarama sonucunda parlak bölgeler hâlinde görülür. Taramada görülen renk ve parlaklık farklılıkları, farklı derecelerdeki doku fonksiyonlarına işaret eder. Bu sayede doktorlar, tedavide nasıl bir yol izleneceğine karar verir. Sadece Amerika Birleşik Devletleri'nde her yıl yaklaşık olarak 2 milyon PET taraması yapılmaktadır.

Neden PET Taramasına Başvurulur?
PET, problemleri hücre düzeyinde göstererek doktorların, kompleks sistemik hastalıkları en iyi şekilde incelemelerini sağlar. Organ ve dokuların metabolizmasını, kan akışını, oksijen alımını incelemek için PET taramasına başvurulabilir.
Teşhisinde PET taramasının en çok kullanıldığı hastalıklar; kanser, kalp hastalıkları ve beyin hastalıkları da içeren merkezi sinir sistemi hastalıklarıdır.
Kanser
Kanser hücreleri, normal hücrelere göre daha yüksek metabolik aktiviteler gösterir. İşleyişlerindeki bu farklılıktan dolayı kanserli dokular, PET taramalarında parlak bölgeler halinde görünür. Bu sayede PET taraması kanser teşhisi dışında şu amaçlara da hizmet eder:
- Kanserin yayılımının izlenmesi
- Kanser tedavisinin etkinliğinin ölçümü
- Tekrarlamış kanserlerin tespiti
Yine de tarama sonuçları doktor tarafından dikkatli incelenmelidir; çünkü taramada, bazı kanser olmayan olaylar kanser gibi görünebilir. Ayrıca, PET taramalarında solid tümörlerin görüntülenmesi başarısız olabilir.

Kalp Problemleri
PET taramaları ile kalpte kan akışının düşük olduğu bölgeler görüntülenebilir. Bu; sağlıklı kalp dokusunun, sağlıksız veya yetersiz kan akışına sahip kalp dokusuna göre daha fazla izleyici absorbe etmesiyle sağlanır.
- Manyetik Endoskopi, Bağırsak Kanserinin Teşhisinde Kilit Rol Oynayan Kolonoskopi Teknolojisinde Büyük Bir Atılım Sağlayabilir!
- Tıbbi Holografi: Görüntüleme Yöntemlerindeki Gelişmeler, Bilimkurgu Filmlerini Gerçek Kılabilir!
- Kolesterolü Düşürmekte Kullanılan Lipofilik Statin, Bunama (Demans) Riskini Artırıyor Olabilir!
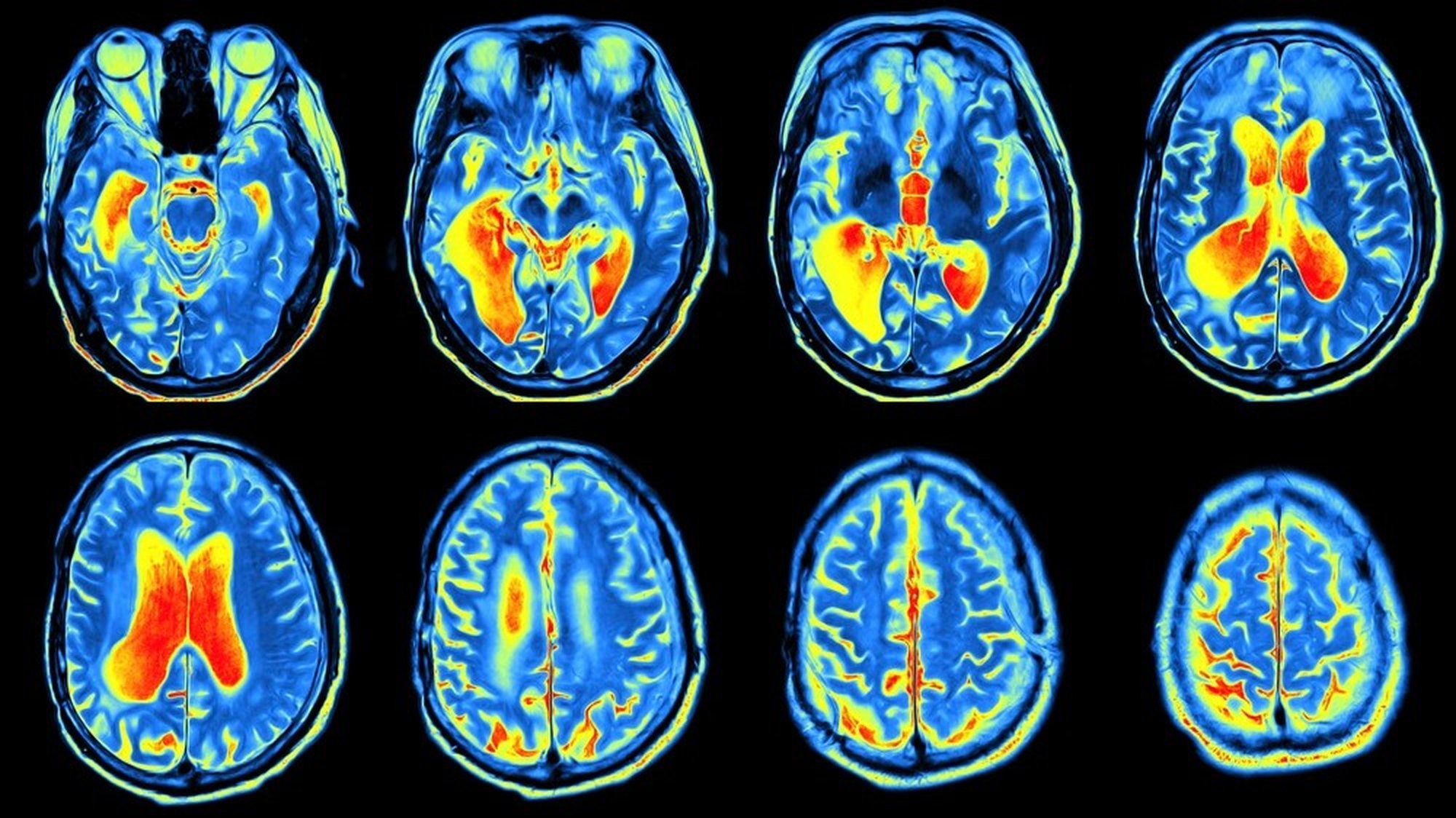
Beyin ve Merkezi Sinir Sistemi Hastalıkları
Glikoz, beynin en temel yakıtıdır. PET taramaları için hazırlanan ilaçlardaki izleyiciler, glikoz ve benzeri bileşiklere tutturulur. Bu şekilde tarayıcı, radyoaktif glikozu görüntüleyerek beynin en fazla oranda glikoz kullandığı bölgeleri tespit eder.
PET taramasının teşhis ve tedavisinde kullanıldığı bazı merkezi sinir sistemi hastalıkları şunlardır:
- Beyin tümörleri
- Alzheimer hastalığı
- Epilepsi
- Parkinson hastalığı
- Depresyon
- Kafa travması

PET ve Diğer Görüntüleme Yöntemlerinin Karşılaştırması
PET taramaları, bir organ veya dokudaki metabolik değişimleri hücre düzeyinde gösterebilir. Bilgisayarlı tomografi (CT, veya Türkçe karşılığı BT) ya da manyetik rezonans görüntülemenin (MRI) sahip olmadığı bu özellik, hastalıkların genellikle hücresel düzeyde başlıyor olmasından dolayı önemlidir.
Aslında maddi destek istememizin nedeni çok basit: Çünkü Evrim Ağacı, bizim tek mesleğimiz, tek gelir kaynağımız. Birçoklarının aksine bizler, sosyal medyada gördüğünüz makale ve videolarımızı hobi olarak, mesleğimizden arta kalan zamanlarda yapmıyoruz. Dolayısıyla bu işi sürdürebilmek için gelir elde etmemiz gerekiyor.
Bunda elbette ki hiçbir sakınca yok; kimin, ne şartlar altında yayın yapmayı seçtiği büyük oranda bir tercih meselesi. Ne var ki biz, eğer ana mesleklerimizi icra edecek olursak (yani kendi mesleğimiz doğrultusunda bir iş sahibi olursak) Evrim Ağacı'na zaman ayıramayacağımızı, ayakta tutamayacağımızı biliyoruz. Çünkü az sonra detaylarını vereceğimiz üzere, Evrim Ağacı sosyal medyada denk geldiğiniz makale ve videolardan çok daha büyük, kapsamlı ve aşırı zaman alan bir bilim platformu projesi. Bu nedenle bizler, meslek olarak Evrim Ağacı'nı seçtik.
Eğer hem Evrim Ağacı'ndan hayatımızı idame ettirecek, mesleklerimizi bırakmayı en azından kısmen meşrulaştıracak ve mantıklı kılacak kadar bir gelir kaynağı elde edemezsek, mecburen Evrim Ağacı'nı bırakıp, kendi mesleklerimize döneceğiz. Ama bunu istemiyoruz ve bu nedenle didiniyoruz.
Bu sayede çoğu hastalığı erken evrede tespit edebilen PET taramaları, kompleks sistemik hastalıkların teşhis ve tedavisi için önem arz eder. CT ve MRI ise, hastalık ileriki aşamalarda organ veya dokuların yapısını bozmaya başladığında tespit yapabilir.
- CT taraması, özel X-ışınları kullanarak vücut içinin görüntüsünü oluşturur.
- MRI taraması ise manyetik alan ve radyo frekansı kullanarak bu işlemi gerçekleştirir.

Bu tarama yöntemlerinden birinin, PET taraması ile birlikte gerçekleştirilmesine görüntü birleştirme denir ve çoğu durumda, bir PET-CT veya PET-MRI taramasından geçmek mümkündür.
Bir bilgisayar, iki taramanın sonuçlarını birleştirerek daha fazla bilgi edinilebilen ve daha kesin teşhis yapmaya yarayan üç-boyutlu (3D) bir görüntü ortaya çıkartır.
PET taramaları ile benzer şekilde; galyum taramalarında, bir radyoaktif izleyici olarak kullanılan galyum sitrat enjeksiyonu uygulanır, ancak enjeksiyondan sonraki 1-3 gün içerisinde tarama yapılır. Bu yüzden kanser teşhisinde sık kullanılmıyor olsa da günümüzde galyum taralamalarının yeni formları, PET ile kombine edilebilmektedir.
PET Taraması Ne Gibi Riskler Taşır?
Tarama için kullanılan izleyicilerdeki radyasyon oranı vücuda zarar vermeyecek kadar azdır. Ancak tabi ki, ortaya çıkabilecek riskleri doktorlara danışmak iyi bir fikirdir.
Ciddi tıbbi hastalıklarda teşhisin önemi göz önünde bulundurulduğunda, tarama testlerinin riski minimumdur.

''İzleyici'' olarak özellikle radyoaktif olarak işaretlenmiş glikoz kullanılır. Bu sayede, hastanın böbrek hastalığı veya diyabeti varsa bile, izleyici kolayca vücuttan atılabilir. Yalnızca, tarama öncesinde diyabet hastalarından özel bir diyet uygulanmaları istenir.
Alerji Hastalıkları ve Diğer Sağlık Durumları
Hasta, radyoaktif izleyiciye karşı alerjik reaksiyon gösterebilir. İyot, aspartam veya sakarine alerjisi olan hastalar tespit edilmeli veya kendileri doktorlarını uyarmalılardır.
- Alerji
- Astım
- Dehidrasyon
- Kalp hastalıkları
- Kan hücresi hastalıkları, orak hücreli anemi, polisistemia vera, multipl miyelom
- Böbrek hastalıkları
gibi rahatsızlıklara sahip olan veya belirli ilaçlar (beta blokerlar, nonsteroidal antienflamatuarlar, interlökin-2) ile tedavi gören insanların iyot izleyicisine alerjisi olma riski vardır.
Hamileler
Radyasyon, gelişmekte olan fetüsler için güvenli görülmez. Hamile olan veya hamile olabileceğini düşünen bir hasta, PET taraması yaptırmamalıdır.
Hasta, emziriyor ise; testten 24 saat öncesinde sütü ayırıp saklaması ve testten 24 saat sonrasına kadar emzirmemesi istenir.
PET-CT Taraması Uygulanan Hastalar
Bir PET-CT taraması yapılırken hastaya ekstra izleyici verilir. Bu, böbrek hastalığı olan veya halihazırda kullandıkları ilaçlardan dolayı böbreğe bağlı kan değerleri (örneğin, kreatinin) yüksek olan hastalar için risklidir.
Diğer Riskler
Eğer hasta klostrofobik ise veya iğnelerden rahatsızlık duyuyorsa hastaya sakinleştirici verilebilir.
Ayrıca, tarama için yapılan sıvı enjeksiyonu; kanama, morarma veya şişik gibi semptomlara neden olabilir.
Hastalar PET Taraması İçin Nasıl Hazırlanır?
Doktorları hastalarına, tarama için gereken tüm hazırlıkları açıklayacaktır. Hastalar da doktorlarına varsa reçetelerinden, kullandıkları reçetesiz ilaçlardan veya tamamlayıcı tedavi ilaçlarından bahsetmelilerdir.
- Taramadan yaklaşık 24-48 saat önce, hastanın yorucu fiziksel aktivitelerden kaçınması istenir.
- Taramadan önceki günden itibaren, düşük karbonhidrat içeren ve şeker içermeyen bir beslenme şekli izlenilmesi istenir. Kaçınılması gereken gıdalar; tahıl, makarna, ekmek, pirinç, süt ve yoğurt, meyve ve meyve suları, alkol, kafeinli içecekler, şeker ve sakızlardır. Et, kuruyemiş ve nişasta içermeyen sebzeler tüketilebilir.
- Taramadan 6 saat önce, hastadan hiçbir gıda (şeker, sakız da dahil olmak üzere) tüketmemesi istenir. Bunun yanında, su içilebilir ve önerilen ilaçlar alınabilir.
Metaller ve takılar (vücut piercingleri de dahil) çıkarılmalıdır. Prosedür öncesinde hastanın, hasta önlüğü giymesi önerilebilir. Eğer hasta PET-CT taramasına girecek ise kalp pilleri ve kalça protezleri sonuçları etkilemeyecektir. Ancak, onaylanmamış medikal cihazlara veya implantlara sahip hastalar, PET-MRI taramasından geçemez.

PET Taraması Nasıl Uygulanır?
Taramadan önce hasta, kol toplardamarından enjeksiyon yoluyla ya da bir solüsyon içerek veya bir gaz soluyarak ''izleyiciyi'' vücuduna alır. Vücudun izleyiciyi absorbe etmesi için zaman gerektiğinden, tarama başlamadan önce yaklaşır bir saat beklenir. İlacın vücuda veriliş yöntemi ve bekleme süresi, tarama yapılacak vücut bölgesine göre değişiklik gösterir.
Bekleme sırasında, hasta rahat olmalı, hareket etmekten kaçınmalı ve üşümemelidir. Eğer hasta, bir beyin taramasına girecek ise, televizyon izlemek, müzik dinlemek ve bir şeyler okumaktan kaçınmalıdır.
Yaklaşık 30-45 dakika süren tarama sırasında hasta, yavaşça ''O'' şeklindeki PET cihazının içerisine doğru kayan bir hasta yatağında yatar. Tarama sırasında sabit durulmalıdır. Hastadan, birkaç saniyeliğine nefesini tutması istenebilir.
Bütün gerekli görüntüler alındığında, test tamamlanmış olur.

Taramadan Sonra Ne Olur?
Taramadan sonra, doktor tarafından yapılan bir uyarı olmadıkça hasta, günlük hayatına devam edebilir. Yine de radyoaktif materyal vücudun içinde 12 saat kadar kalabildiği için, hamileler ve çocuklar ile temas kısıtlı olmalıdır.
Tarama sonrası bolca sıvı tüketimi, izleyicilerin vücuttan atılmasını kolaylaştırır ve hastanın vücudu, 2 gün içerisinde materyalden arınmış olur. Bir sonraki takip randevusunda, hasta ile PET taraması sonuçları paylaşılır.
Evrim Ağacı'nda tek bir hedefimiz var: Bilimsel gerçekleri en doğru, tarafsız ve kolay anlaşılır şekilde Türkiye'ye ulaştırmak. Ancak tahmin edebileceğiniz gibi Türkiye'de bilim anlatmak hiç kolay bir iş değil; hele ki bir yandan ekonomik bir hayatta kalma mücadelesi verirken...
O nedenle sizin desteklerinize ihtiyacımız var. Eğer yazılarımızı okuyanların %1'i bize bütçesinin elverdiği kadar destek olmayı seçseydi, bir daha tek bir reklam göstermeden Evrim Ağacı'nın bütün bilim iletişimi faaliyetlerini sürdürebilirdik. Bir düşünün: sadece %1'i...
O %1'i inşa etmemize yardım eder misiniz? Evrim Ağacı Premium üyesi olarak, ekibimizin size ve Türkiye'ye bilimi daha etkili ve profesyonel bir şekilde ulaştırmamızı mümkün kılmış olacaksınız. Ayrıca size olan minnetimizin bir ifadesi olarak, çok sayıda ayrıcalığa erişim sağlayacaksınız.
Makalelerimizin bilimsel gerçekleri doğru bir şekilde yansıtması için en üst düzey çabayı gösteriyoruz. Gözünüze doğru gelmeyen bir şey varsa, mümkünse güvenilir kaynaklarınızla birlikte bize ulaşın!
Bu makalemizle ilgili merak ettiğin bir şey mi var? Buraya tıklayarak sorabilirsin.
İlgili Sorular
Soru & Cevap Platformuna Git- 20
- 6
- 4
- 3
- 2
- 1
- 0
- 0
- 0
- 0
- 0
- 0
- Türev İçerik Kaynağı: Healthline | Arşiv Bağlantısı
- B. Krans. Pet Scan: Definition, Purpose, Procedure, And Results. (23 Nisan 2018). Alındığı Tarih: 27 Nisan 2021. Alındığı Yer: Healthline | Arşiv Bağlantısı
- T. Bahrampour. Pet Scans Show Many Alzheimer’s Patients May Not Actually Have The Disease. (19 Temmuz 2017). Alındığı Tarih: 27 Nisan 2021. Alındığı Yer: The Washington Post | Arşiv Bağlantısı
Evrim Ağacı'na her ay sadece 1 kahve ısmarlayarak destek olmak ister misiniz?
Şu iki siteden birini kullanarak şimdi destek olabilirsiniz:
kreosus.com/evrimagaci | patreon.com/evrimagaci
Çıktı Bilgisi: Bu sayfa, Evrim Ağacı yazdırma aracı kullanılarak 07/10/2025 19:54:28 tarihinde oluşturulmuştur. Evrim Ağacı'ndaki içeriklerin tamamı, birden fazla editör tarafından, durmaksızın elden geçirilmekte, güncellenmekte ve geliştirilmektedir. Dolayısıyla bu çıktının alındığı tarihten sonra yapılan güncellemeleri görmek ve bu içeriğin en güncel halini okumak için lütfen şu adrese gidiniz: https://evrimagaci.org/s/10387
İçerik Kullanım İzinleri: Evrim Ağacı'ndaki yazılı içerikler orijinallerine hiçbir şekilde dokunulmadığı müddetçe izin alınmaksızın paylaşılabilir, kopyalanabilir, yapıştırılabilir, çoğaltılabilir, basılabilir, dağıtılabilir, yayılabilir, alıntılanabilir. Ancak bu içeriklerin hiçbiri izin alınmaksızın değiştirilemez ve değiştirilmiş halleri Evrim Ağacı'na aitmiş gibi sunulamaz. Benzer şekilde, içeriklerin hiçbiri, söz konusu içeriğin açıkça belirtilmiş yazarlarından ve Evrim Ağacı'ndan başkasına aitmiş gibi sunulamaz. Bu sayfa izin alınmaksızın düzenlenemez, Evrim Ağacı logosu, yazar/editör bilgileri ve içeriğin diğer kısımları izin alınmaksızın değiştirilemez veya kaldırılamaz.