Mikropların Çeşitliliği Uçsuz Bucaksız ve Antik!

- Çeviri
- Mikrobiyoloji
- Taksonomi
Bu haber 11 yıl öncesine aittir. Haber güncelliğini yitirmiş olabilir; ancak arşivsel değeri ve bilimsel gelişme/ilerleme anlamındaki önemi dolayısıyla yayında tutulmaktadır. Ayrıca konuyla ilgili gelişmeler yaşandıkça bu içerik de güncellenebilir.
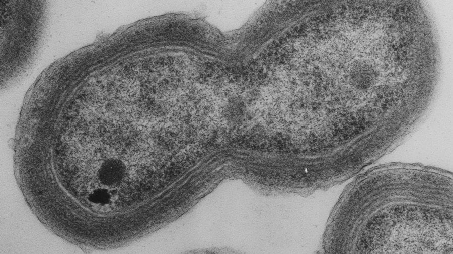
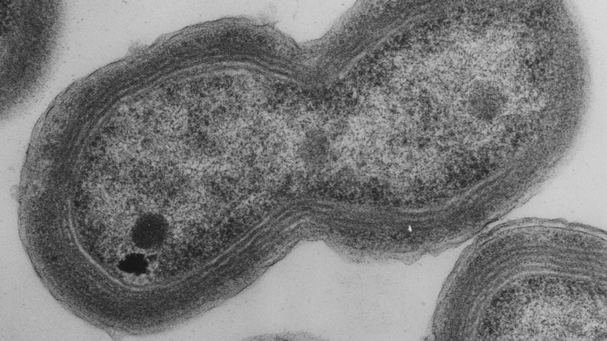
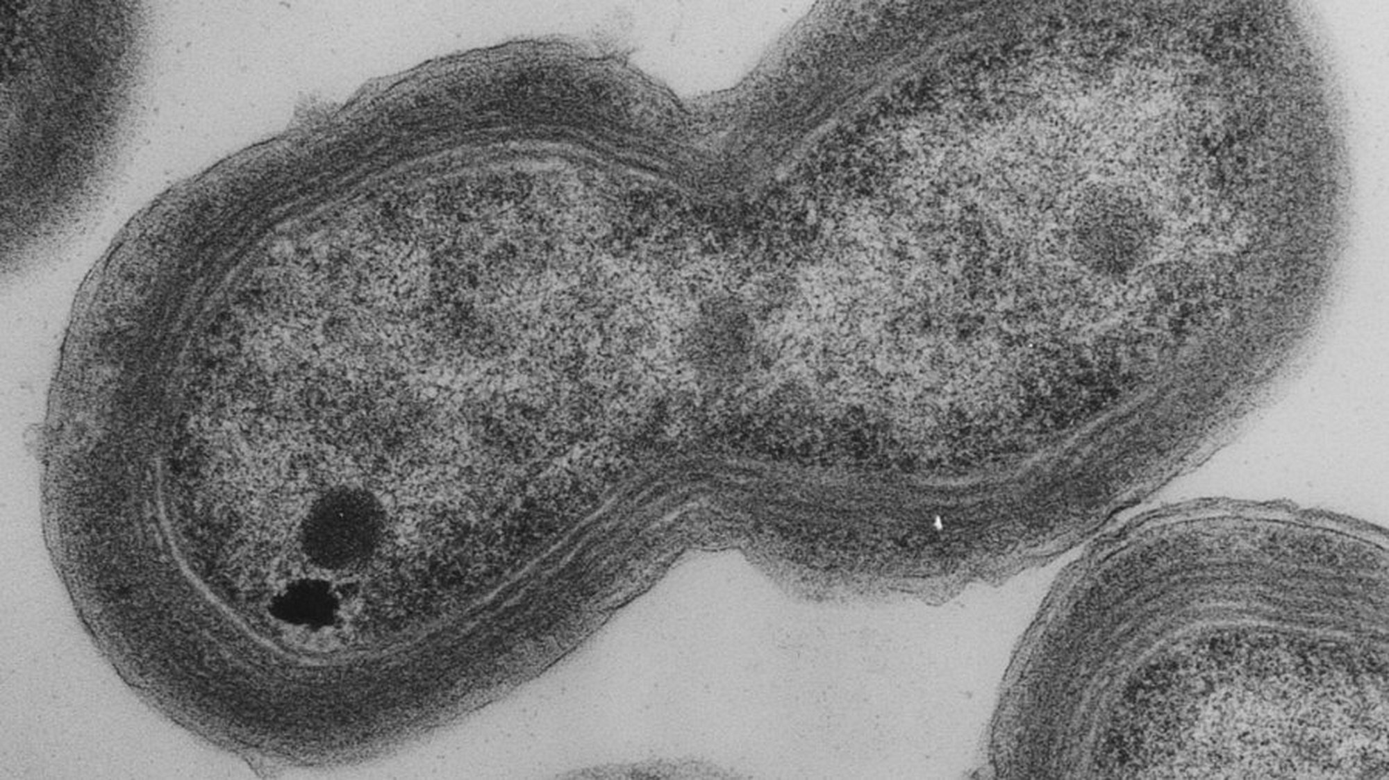
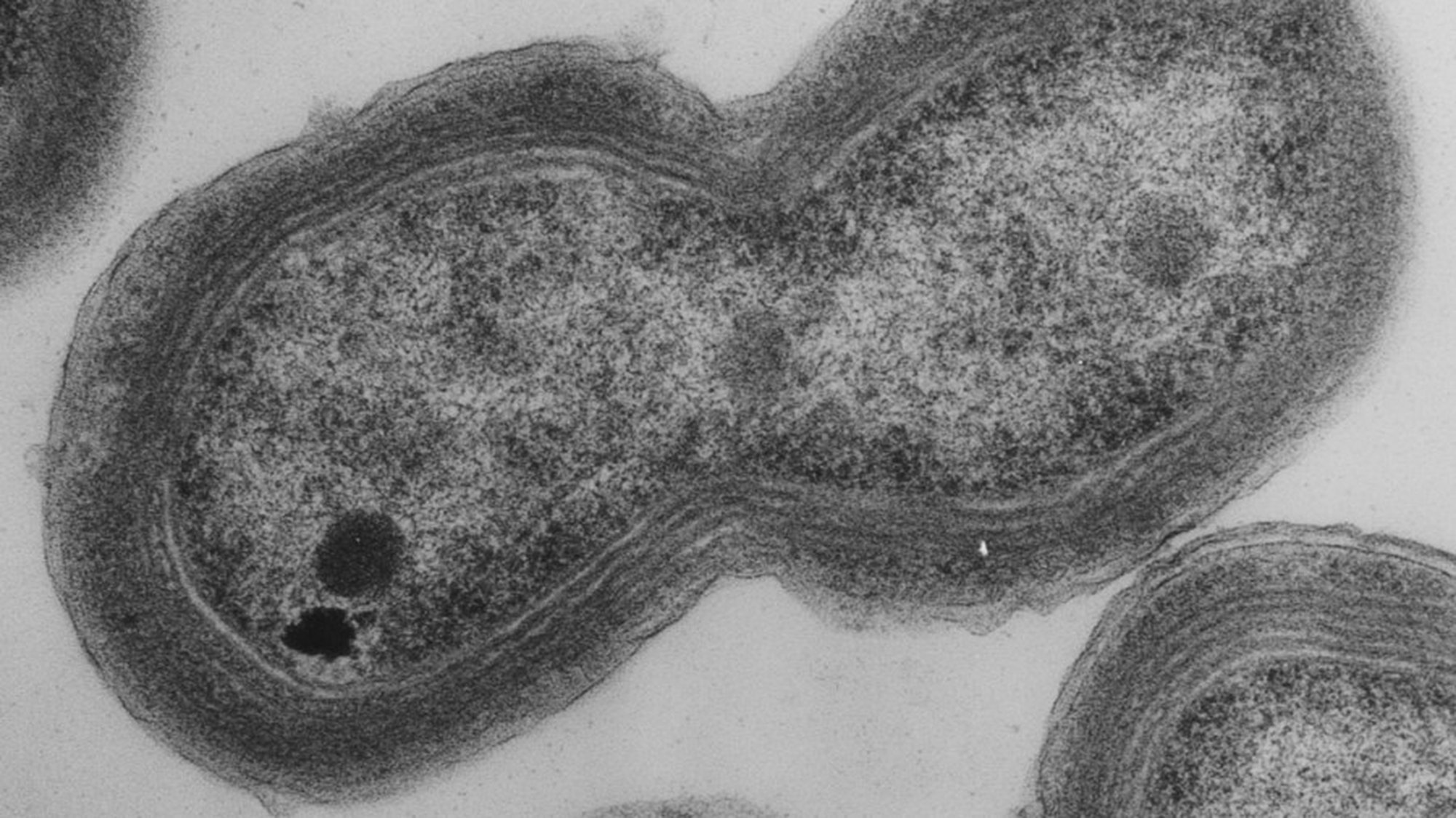
Prochlorococcus siyanobakterisi iş, yaşamı desteklemeye geldiğinde muhtemelen dünyadaki en önemli organizmalardan birisi. Okyanus yüzeyine yakın seviyelerde süzülen bu mikroplar –bunların trilyon kere trilyonlarcası– dünyadaki oksijenin yarısını üretiyor.
Çok bolca bulunmaları göz önünde bulundurulunca 24 Nisan 2014’te Science dergisinde yayımlanan ve bu mikropların müthiş genomik çeşitliliğini gösteren sonuçlar çok da şaşırtıcı değil. Aynı zamanda çalışma, milyonlarca yıl önce ortaya çıkmış olabilecek genomik nesilleri ya da “omurgaları” da meydana çıkardı. Çalışmada yer almayan ve Oregon Eyalet Üniversitesinde bacterioplankton çalışmaları yapan Steve Giovannoni hâkim bir varsayıma karşın şöyle söylüyor:
Mikropların sonsuz çeşitli olduğuna bazılarımız inanmadı. Bu çok yüksek çeşitlilik belli kalıplara yönlendirilmişti ve bu kalıpların neye benzediğini görmeye başlıyoruz.
MIT’den bir mikrop ekologu olan Sallie Chisholm, yıllardır Prochlorococcus üzerinde çalışıyor. Mikrop üzerinde daha önce yapılan genomik çalışmalar, bireylerin birbirinden büyük ölçüde farklı olduklarını ortaya koydu. Dikkate değer şekilde; mevcut çalışmasındaki Prochlorococcus soyu içerisindeki –yüksek ışık adaptasyonlu Prochlorococcus olarak da adlandırılan– bireyler her bir genomdaki 2.000 genden sadece yaklaşık 1.450 “temel” geni paylaşıyor. Geri kalanlar değişken (karşılaştırma yapmak için; insanlar genlerinin yüzde 95’ini şempanzeler ile paylaşıyor).
Prochlorococcus çeşitliliğinin daha derinlerine dalmak için, Chisholm’un grubu Atlantik Okyanusundan Bermuda’nın güneydoğusundan yılda üç kez –Kasım, Şubat ve Nisan’da– örnekler topladı. Araştırmacılar 96 bireysel bakteriyi tek hücre dizilimine maruz bıraktı ki bu da yaklaşık her bir genomun yüzde 70’inin kapsadı. Beklendiği üzere, grup, genomun hiper-değişken olduğu bilinen bölgelerinde yüksek çeşitlilik buldu. Chisholm, The Scientist dergisine şöyle söyledi:
Burada şaşırtıcı olan merkezi genomdaki çeşitlilik ve farklı alellere sahip olmalarıydı.
Chisholm‘un ekibi, her biri farklı daha değişken ya da “esnek” gen yığınları ile ilişkili, belirli merkezi gen alelleri setine sahip alt popülasyonlar belirledi. Merkezi aleller ve bunların ilişkili esnek genleri birlikte genomik omurga olarak adlandırılan yapıyı temsil ediyor. Yazarlar raporlarına şöyle yazdı:
Temel aleller ve esnek gen içeriği arasındaki bu kovaryasyon (bağlı değişim) ve bunun ince ölçek çözünürlüğü vahşi Prochlorococcus popülasyonları içerisinde yeni bir mikro çeşitlilik boyutunu temsil ediyor.
Temel genler içerisinde böyle bir çeşitlilik, Prochlorococcus soylarının belki de milyonlarca yıl önce ortaya çıktığını akla getiriyor. Araştırmada yer almayan ve Elche, İspanya’daki Miguel Hernandez Üniversitesinde mikrop genomları üzerine çalışmalar yapan Francisco Rodriguez-Valera şunları söylüyor:
İnsanlar genellikle, bu çeşitliliğin sürekli olarak üretildiği için mevcut olduğunu düşünüyor. Tek nükleotitli bu polimorfizmlerin temel genlerde ortaya çıkması için zamana ihtiyaçları var.
Chisholm’un grubu, omurga alt popülasyonlarının bolluğunun yılın belli zamanlarına göre değiştiğini buldu. Chisholm’un laboratuvarında bir doktora sonrası araştırmacı olarak çalışmayı yürüten ve çalışmanın baş yazarı olan Nadav Kashtan, çalışma sonuçlarının “alt popülasyonlarının her birinin ekolojik olarak birbirinden farklı” olduğunu da desteklediğini söyledi. Kashtan ise şöyle söylüyor:
Bulgular ayrıca, Prochlorococcus popülasyonlarının spesifik koşullara göre alt popülasyonların göreli bolluğunu ayarlayarak, onlarca nesil zamanı içerisinde ortaya çıkan çevresel koşullardaki mevsimsel değişikliklere nasıl tepki verdiklerini de ortaya koyuyor.
California Üniversitesi, San Francisco’daki Gladstone Enstitüsü’nde evrimsel genom uzmanı olarak çalışan Katherine Pollard çalışmanın “bu kadar çok veri elde etmesinin etkileyici bir teknik başarı” olduğunu söyledi. Ancak yine de Rodriguez-Valera, dizilimlerin tam genomları içermediğini belirtti ve ekledi:
Bulmacanın parçalarını elde ediyorsunuz ancak tüm bulmacayı değil.
Chisholm’un grubu şimdi dünyanın farklı yerlerinden gelen Prochlorococcus örneklerini karşılaştırmak için çalışıyor.
Teşekkür: Bu yazıyı çeviren Yalçın Baysan'a teşekkür ederiz.
Evrim Ağacı'nda tek bir hedefimiz var: Bilimsel gerçekleri en doğru, tarafsız ve kolay anlaşılır şekilde Türkiye'ye ulaştırmak. Ancak tahmin edebileceğiniz gibi Türkiye'de bilim anlatmak hiç kolay bir iş değil; hele ki bir yandan ekonomik bir hayatta kalma mücadelesi verirken...
O nedenle sizin desteklerinize ihtiyacımız var. Eğer yazılarımızı okuyanların %1'i bize bütçesinin elverdiği kadar destek olmayı seçseydi, bir daha tek bir reklam göstermeden Evrim Ağacı'nın bütün bilim iletişimi faaliyetlerini sürdürebilirdik. Bir düşünün: sadece %1'i...
O %1'i inşa etmemize yardım eder misiniz? Evrim Ağacı Premium üyesi olarak, ekibimizin size ve Türkiye'ye bilimi daha etkili ve profesyonel bir şekilde ulaştırmamızı mümkün kılmış olacaksınız. Ayrıca size olan minnetimizin bir ifadesi olarak, çok sayıda ayrıcalığa erişim sağlayacaksınız.
Makalelerimizin bilimsel gerçekleri doğru bir şekilde yansıtması için en üst düzey çabayı gösteriyoruz. Gözünüze doğru gelmeyen bir şey varsa, mümkünse güvenilir kaynaklarınızla birlikte bize ulaşın!
Bu makalemizle ilgili merak ettiğin bir şey mi var? Buraya tıklayarak sorabilirsin.
Soru & Cevap Platformuna Git- 3
- 2
- 1
- 1
- 0
- 0
- 0
- 0
- 0
- 0
- 0
- 0
- Çeviri Kaynağı: The Scientist | Arşiv Bağlantısı
- N. Kashtan, et al. (2014). Single-Cell Genomics Reveals Hundreds Of Coexisting Subpopulations In Wild Prochlorococcus. Science, sf: 416-420. | Arşiv Bağlantısı
Evrim Ağacı'na her ay sadece 1 kahve ısmarlayarak destek olmak ister misiniz?
Şu iki siteden birini kullanarak şimdi destek olabilirsiniz:
kreosus.com/evrimagaci | patreon.com/evrimagaci
Çıktı Bilgisi: Bu sayfa, Evrim Ağacı yazdırma aracı kullanılarak 09/10/2025 00:57:03 tarihinde oluşturulmuştur. Evrim Ağacı'ndaki içeriklerin tamamı, birden fazla editör tarafından, durmaksızın elden geçirilmekte, güncellenmekte ve geliştirilmektedir. Dolayısıyla bu çıktının alındığı tarihten sonra yapılan güncellemeleri görmek ve bu içeriğin en güncel halini okumak için lütfen şu adrese gidiniz: https://evrimagaci.org/s/2330
İçerik Kullanım İzinleri: Evrim Ağacı'ndaki yazılı içerikler orijinallerine hiçbir şekilde dokunulmadığı müddetçe izin alınmaksızın paylaşılabilir, kopyalanabilir, yapıştırılabilir, çoğaltılabilir, basılabilir, dağıtılabilir, yayılabilir, alıntılanabilir. Ancak bu içeriklerin hiçbiri izin alınmaksızın değiştirilemez ve değiştirilmiş halleri Evrim Ağacı'na aitmiş gibi sunulamaz. Benzer şekilde, içeriklerin hiçbiri, söz konusu içeriğin açıkça belirtilmiş yazarlarından ve Evrim Ağacı'ndan başkasına aitmiş gibi sunulamaz. Bu sayfa izin alınmaksızın düzenlenemez, Evrim Ağacı logosu, yazar/editör bilgileri ve içeriğin diğer kısımları izin alınmaksızın değiştirilemez veya kaldırılamaz.
This work is an exact translation of the article originally published in The Scientist. Evrim Ağacı is a popular science organization which seeks to increase scientific awareness and knowledge in Turkey, and this translation is a part of those efforts. If you are the author/owner of this article and if you choose it to be taken down, please contact us and we will immediately remove your content. Thank you for your cooperation and understanding.