Maymunları Boşverin! Sürüngen Atalarımızdan Kalma 7 Özelliğimiz...

Şu lafı belki duymuşsunuzdur:
İnsanlar sadece maymunlardan evrimleşmiş ve hatta halen maymun olan canlılar değiller. Aynı zamanda insanlar; aşırı evrimleşmiş bir balık türüdürler.
İnsanlar elbette taksonomik olarak bir balık türü değil. Ancak insanlar da dahil olmak üzere bütün karasal canlıların (memelilerin, sürüngenlerin ve hatta yarı-karasal olan amfibilerin) ortak ataları balıklar. Balıklar Sınıfı içinden ayrılan bir kol, günümüzden 375 milyon yıl kadar önce ilk defa karasal yaşama adapte olacak biçimde evrimleşmeye başladı. Bu grup, önce amfibilere evrimleşti. Onlardan ayrılan bir kol, sürüngenlere ve hemen ardında memelilere gidecek olan evrimsel yolakları oluşturdu. Dolayısıyla Sürüngenler Sınıfı'nın ufak bir kolu, Balıklar Sınıfı ile Memeliler Sınıfı arasında bir ara geçiş grubudur.
Bu süreçte evrimleşen sürüngensi özellikler, tüm torun türlere, dolayısıyla o noktadan sonra evrimleşecek olan bütün memelilere, dolayısıyla da nihayetinde biz insanlara da miras olarak kalmıştır. Peki bu sürüngen özelliklerimizi tanıyor muyuz? Onların kökenlerini biliyor muyuz? Gelin, bunlardan 7 tanesine hızlı bir bakış atalım:
1. Yumurta (Yolk) Kesesi
Biz insanlar, Plasentalı Memeli Hayvanlar'danız. Doğurarak ürüyoruz. Ama bu demek değil ki bebek üretmemizi sağlayan süreçlerde atalarımızın izi hiç yok... Yumurta kesesi, sürüngen atalarımızdan kalma en belirgin özelliklerden birisi. Bu kesenin amacı, ana rahminde gelişecek olan embriyoya besin sağlamak. Bu keselerin, günümüzden 300 milyon yıl kadar önce evrimleştiği düşünülüyor.

O dönemlerde yaşayan amfibi ve sürüngen atalarımızda bu keseler, kara yaşantısına bir adaptasyon olarak evrimleşti. Amniyotik Kese ile birlikte bu yumurta kesesi, okyanuslar yerine karasal ortamda yumurtaların kuruyarak ölmesine engel oluyordu. Biz, artık yumurtalarla üremiyor olsak da, bu kese embriyolarımızı besleme görevini sürdürüyor.
2. Güçlü Bir Deri
Kalın bir deri yapısı, memelilerin ayırt edici özelliklerinden olmasa da, bilindik özelliklerinden birisidir. Bu özellik, sürüngen atalarımızın karalarda verdikleri en erken yaşam mücadelesinin doğrudan bir ürünüdür. Günümüzden 300 milyon yıl kadar önce, kurak karalarda yaşamaya başlayan sürüngenlerde, bu kuraklıkla mücadele edebilmek için deriler kalınlaşacak biçimde evrimleşmiştir.

Bu kalın derilerin görevi, ölü deri hücrelerinden bir bariyer oluşturarak, vücuttaki suyun dış ortama kaybedilmesinin önüne geçmektir. Bu ölü deri hücreleri, canlı olanların üzerinde birikerek kalın bir savunma görevi de görmüştür. İşte bu katmanlı deri yapısı, bizlere sürüngen atalarımızdan mirastır.
3. Kafalarımızdaki (ve Diğer Yerlerimizdeki) Kıllar
Kıllar, Memeli Hayvanlar'ın ayırt edici özelliğidir. Ancak bu kılların en erken formları, ilk olarak sürüngenlerde evrimleşmiştir. Günümüzden 245 milyon yıl kadar önce yaşamış olan Thrinaxodon gibi tünel kazıcı sürüngenlerin vücudunda, "bıyık" diyebileceğimiz kıllar evrimleşmiştir.

Bu kılların görevi, karanlık oyuklar ve kuyularda etraflarında olan biteni algılamaktır. Bu basit yapılı kıllar, 20 milyon yıl boyunca evrimleşerek, vücudu kaplamaya başlar hale gelmiştir. İşte sürüngenlerin bu soy hattından, kıllarıyla ayırt edilebilen Memeliler Sınıfı'nın ilk üyeleri evrimleşmiştir.
4. Kulaklarımız ve "Duyma" Duyumuz
Neil Shubin'in efsanevi şaheseri İçimizdeki Balık kitabını okuyanlarınız (veya belgeselini izleyenleriniz), kulaklarımızdaki kemiklerin sürüngenlerden aldığımız bir miras olduğunu yakından bileceklerdir. Örs, üzengi ve çekiç olarak ezberlediğimiz üç ufak kemikten iki tanesi, sürüngenlerdeki çene kemikleridir! 200 milyon yıl kadar önce bu iki çene kemiği farklılaşmaya ve kafada giderek geriye doğru kaymaya başlamıştır.

Hadrocodium gibi fare-benzeri, 190 milyon yıl önce yaşamış ön-memeli canlılarda (ara geçiş türlerinde) ilk defa üç kemikli kulak yapısına rastlamaya başlamaktayız. Yani sürüngen atalarımızın çene kemikleri farklılaşmamış olsaydı, belki de hiçbir zaman duyma yetisini bu kadar hassas bir şekilde edinemeyecektik.
Evrim Ağacı'nın çalışmalarına Kreosus, Patreon veya YouTube üzerinden maddi destekte bulunarak hem Türkiye'de bilim anlatıcılığının gelişmesine katkı sağlayabilirsiniz, hem de site ve uygulamamızı reklamsız olarak deneyimleyebilirsiniz. Reklamsız deneyim, sitemizin/uygulamamızın çeşitli kısımlarda gösterilen Google reklamlarını ve destek çağrılarını görmediğiniz, %100 reklamsız ve çok daha temiz bir site deneyimi sunmaktadır.
KreosusKreosus'ta her 50₺'lik destek, 1 aylık reklamsız deneyime karşılık geliyor. Bu sayede, tek seferlik destekçilerimiz de, aylık destekçilerimiz de toplam destekleriyle doğru orantılı bir süre boyunca reklamsız deneyim elde edebiliyorlar.
Kreosus destekçilerimizin reklamsız deneyimi, destek olmaya başladıkları anda devreye girmektedir ve ek bir işleme gerek yoktur.
PatreonPatreon destekçilerimiz, destek miktarından bağımsız olarak, Evrim Ağacı'na destek oldukları süre boyunca reklamsız deneyime erişmeyi sürdürebiliyorlar.
Patreon destekçilerimizin Patreon ile ilişkili e-posta hesapları, Evrim Ağacı'ndaki üyelik e-postaları ile birebir aynı olmalıdır. Patreon destekçilerimizin reklamsız deneyiminin devreye girmesi 24 saat alabilmektedir.
YouTubeYouTube destekçilerimizin hepsi otomatik olarak reklamsız deneyime şimdilik erişemiyorlar ve şu anda, YouTube üzerinden her destek seviyesine reklamsız deneyim ayrıcalığını sunamamaktayız. YouTube Destek Sistemi üzerinde sunulan farklı seviyelerin açıklamalarını okuyarak, hangi ayrıcalıklara erişebileceğinizi öğrenebilirsiniz.
Eğer seçtiğiniz seviye reklamsız deneyim ayrıcalığı sunuyorsa, destek olduktan sonra YouTube tarafından gösterilecek olan bağlantıdaki formu doldurarak reklamsız deneyime erişebilirsiniz. YouTube destekçilerimizin reklamsız deneyiminin devreye girmesi, formu doldurduktan sonra 24-72 saat alabilmektedir.
Diğer PlatformlarBu 3 platform haricinde destek olan destekçilerimize ne yazık ki reklamsız deneyim ayrıcalığını sunamamaktayız. Destekleriniz sayesinde sistemlerimizi geliştirmeyi sürdürüyoruz ve umuyoruz bu ayrıcalıkları zamanla genişletebileceğiz.
Giriş yapmayı unutmayın!Reklamsız deneyim için, maddi desteğiniz ile ilişkilendirilmiş olan Evrim Ağacı hesabınıza üye girişi yapmanız gerekmektedir. Giriş yapmadığınız takdirde reklamları görmeye devam edeceksinizdir.
5. Büyük Beyinlerimiz
Memeliler Sınıfı, yine sürüngenlerden evrimleşmiş olan Kuşlar Sınıfı ile birlikte, Hayvanlar Alemi'nin en zeki gruplarını bünyesinde barındırmaktadır. Bunu, iri beyinlerimize borçluyuz. Bu iri beyinleri de, sürüngen atalarımıza...
Az önce yer verdiğimiz bıyıklar ve giderek gelişen duyma hissi gibi yetenekler, beyinlerin irileşerek daha fazla veriyi, daha hızlı bir şekilde işleyebilecek biçimde özelleşmesini gerektirmiştir. Bu da, sürüngenlerden evrimleşen gruplarda giderek irileşen beyinleri mümkün kılmıştır.

Primatlar gibi dev beyinlere sahip canlıları barındıran gruplar, memelilerin sürüngenlerden ilk ayrılmasından on milyonlarca yıl önce (günümüzden 47 milyon yıl kadar önce) evrimleşmiş olsa da, bu iri beyinlerin temelleri sürüngen atalarımızda ve onların başından geçen evrimsel değişimlerde atılmıştır.
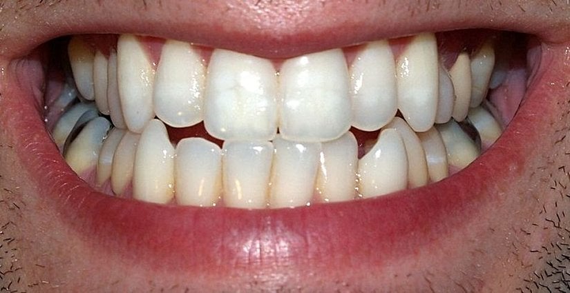
6. Dişlerimiz
Sürüngenler ile ilgilenen herkes, sahip oldukları uzun, sivri ve kesici dişleri bilecektir. Nihayetinde dinozorlar, sürüngendi. Günümüzde halen var olan timsahlar da öyle... Sürüngen atalarımızın azı dişleri yoktur. Azı dişleri de, Memeliler Sınıfı'nın ayırt edici özelliklerinden birisidir. Ancak bu dişler de, sürüngenlerden memelilere geçiş sırasında ilk defa evrimleşmeye başlamıştır.

Köpek-benzeri sürüngenler olan gorgonopsid türlerde ilk defa sivri azı dişlerine rastlamaktayız. Sonradan, günümüzden 230 milyon yıl kadar önce ilk defa evrimleşmeye başlayan kemirgenlerin zamanında sürüngenler çoktan bitkileri tüketmeye ve molar-benzeri dişleri evrimleştirmeye başlamışlardı. Dişler, evrimsel süreç boyunca karmaşıklaşarak, bizlere kadar ulaştı.
7. Bizi "Biz" Yapan Genlerimiz
Elbette ki bu saydığımız özelliklerin hiçbiri, fiziksel özellikler olarak gelecek nesillere aktarılmamıştır. Aktarılan, genlerdir. Özellikle de EDA isimli bir gen, sürüngenlerden bize miras kalmış en kritik genlerden birisidir. Bu genin; diş sayısı, dişlerin neye benzediği, kıl miktarı ve deri yapısı ile ilgili özellikleri etkilediği bilinmektedir.

Yani sürüngenlerdeki EDA genlerinin mutasyonları ve bunların seçilimi, memelilerin evrimini mümkün kılan en önemli olaylardan birisidir.
Evrim Ağacı'nda tek bir hedefimiz var: Bilimsel gerçekleri en doğru, tarafsız ve kolay anlaşılır şekilde Türkiye'ye ulaştırmak. Ancak tahmin edebileceğiniz gibi Türkiye'de bilim anlatmak hiç kolay bir iş değil; hele ki bir yandan ekonomik bir hayatta kalma mücadelesi verirken...
O nedenle sizin desteklerinize ihtiyacımız var. Eğer yazılarımızı okuyanların %1'i bize bütçesinin elverdiği kadar destek olmayı seçseydi, bir daha tek bir reklam göstermeden Evrim Ağacı'nın bütün bilim iletişimi faaliyetlerini sürdürebilirdik. Bir düşünün: sadece %1'i...
O %1'i inşa etmemize yardım eder misiniz? Evrim Ağacı Premium üyesi olarak, ekibimizin size ve Türkiye'ye bilimi daha etkili ve profesyonel bir şekilde ulaştırmamızı mümkün kılmış olacaksınız. Ayrıca size olan minnetimizin bir ifadesi olarak, çok sayıda ayrıcalığa erişim sağlayacaksınız.
Makalelerimizin bilimsel gerçekleri doğru bir şekilde yansıtması için en üst düzey çabayı gösteriyoruz. Gözünüze doğru gelmeyen bir şey varsa, mümkünse güvenilir kaynaklarınızla birlikte bize ulaşın!
Bu makalemizle ilgili merak ettiğin bir şey mi var? Buraya tıklayarak sorabilirsin.
Soru & Cevap Platformuna Git- 50
- 30
- 21
- 18
- 17
- 14
- 7
- 3
- 1
- 0
- 0
- 0
- Türev İçerik Kaynağı: Mental Floss | Arşiv Bağlantısı
Evrim Ağacı'na her ay sadece 1 kahve ısmarlayarak destek olmak ister misiniz?
Şu iki siteden birini kullanarak şimdi destek olabilirsiniz:
kreosus.com/evrimagaci | patreon.com/evrimagaci
Çıktı Bilgisi: Bu sayfa, Evrim Ağacı yazdırma aracı kullanılarak 06/10/2025 04:01:27 tarihinde oluşturulmuştur. Evrim Ağacı'ndaki içeriklerin tamamı, birden fazla editör tarafından, durmaksızın elden geçirilmekte, güncellenmekte ve geliştirilmektedir. Dolayısıyla bu çıktının alındığı tarihten sonra yapılan güncellemeleri görmek ve bu içeriğin en güncel halini okumak için lütfen şu adrese gidiniz: https://evrimagaci.org/s/3079
İçerik Kullanım İzinleri: Evrim Ağacı'ndaki yazılı içerikler orijinallerine hiçbir şekilde dokunulmadığı müddetçe izin alınmaksızın paylaşılabilir, kopyalanabilir, yapıştırılabilir, çoğaltılabilir, basılabilir, dağıtılabilir, yayılabilir, alıntılanabilir. Ancak bu içeriklerin hiçbiri izin alınmaksızın değiştirilemez ve değiştirilmiş halleri Evrim Ağacı'na aitmiş gibi sunulamaz. Benzer şekilde, içeriklerin hiçbiri, söz konusu içeriğin açıkça belirtilmiş yazarlarından ve Evrim Ağacı'ndan başkasına aitmiş gibi sunulamaz. Bu sayfa izin alınmaksızın düzenlenemez, Evrim Ağacı logosu, yazar/editör bilgileri ve içeriğin diğer kısımları izin alınmaksızın değiştirilemez veya kaldırılamaz.