Koronavirüsten Kurtulanlarda Solunum Yetmezliği Problemlerinin Devam Edebileceği Düşünülüyor!
İyileşme Sonrası Akciğer Yetmezliğinin Devam Ettiğini Gösteren Daha Fazla Araştırma Gerekiyor!
 
            - Türev
- Epidemiyoloji
- Viroloji
Bu içerik tıp ve sağlık ile ilişkilidir. Sadece bilgi amaçlı olarak hazırlanmıştır. Bireysel bir tıbbi tavsiye olarak görülmemelidir. Evrim Ağacı'ndaki hiçbir içerik; profesyonel bir hekim tarafından verilen tıbbi tavsiyelerin, konulan bir teşhisin veya önerilen bir tedavinin yerini alacak biçimde kullanılmamalıdır.
 
       
           
          Hong Kong'taki doktorlar, bir hasta yeni koronavirüs hastalığını (COVID-19) atlatsa dahi akciğerlerinin büyük ölçüde zayıflayabileceğini, örneğin hızlı bir şekilde yürürken nefes nefese kalabileceğini tespit etti.
Hong Kong Hastanesi yetkilileri, bu bulgulara COVID-19'dan tamamen kurtulan ve hastaneden taburcu edilen, ilk grubu oluşturan hastaların raporlarını inceledikten sonra ulaştı.
Gruptaki 12 kişinin 2 ila 3 tanesi, akciğer kapasitelerinde değişim olduğu gözlemlendi.
Infectious Disease Centre (Bulaşıcı Hastalık Merkezi) tıbbi direktörü Owen Tsang Tak-yin, 12 Mart 2020 günü düzenlenen ve ayrıntıları South China Morning Post gazetesinde yayınlanan bir basın toplatısında şöyle diyor:
Bu kişiler, biraz hızlı yürüseler dahi nefes almakta zorlanıyorlar. Bazı hastalar, akciğer fonksiyonlarında %20 ile %30 arasında bir düşüşe sahip.
Ancak Tsang, bu hastaların yüzme gibi kardiyovasküler egzersizler yaparak akciğer kapasitelerini zamanla artırabileceklerini ekliyor.
Gazete, Tsang'in basın toplantısında, hastalığın uzun vadeli etkilerini belirlemek için çok erken olmasına rağmen, raporları incelenen dokuz hastanın da akciğer taramasında birbirine benzer buzlu cama benzeyen desenler gördüğünü açıkladığını söylüyor. Doktor bu desenlerin organ hasarı olduğunu düşünüyor.
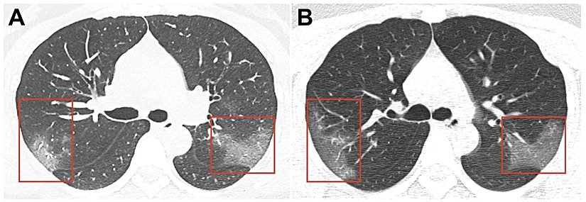
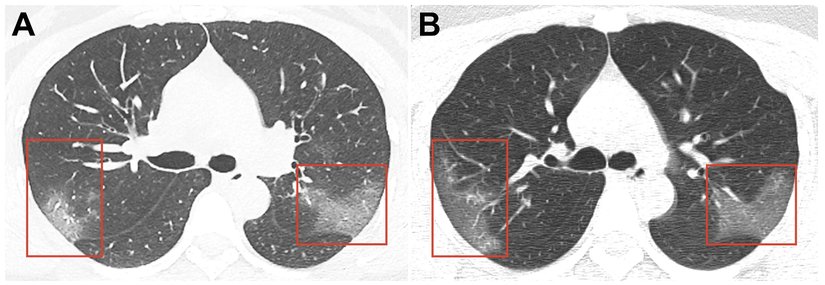
Mevcut koronavirüs hastalarının akciğer taramalarında, sıvının akciğerlerde biriktiği ve beyaz lekeler olarak göründüğü bir durum olan "buzlu cam (ING: ground glass)" görünüyor.
Aşağıdaki taramalar, farklı zamanlarda aynı hastadan alınmış. Kişinin akciğerindeki "buzlu cam"ın hastalık ilerledikçe daha da belirginleştiği görülüyor.
 Science Alert
Science AlertAraştırma Akciğer Yetmezliği Üzerine Değil!
Bu çalışmayı yapan araştırmacılar, 12 hasta içerisinden 2 veya 3 hastanın akciğer fonksiyonlarında %20-30 azalma görüldüğünü; ama doğrulamak için uzun dönemli veri ihtiyacı olduğunu söylüyorlar.
Bu konuda bir diğer kaynak, JAMA dergisinde yayınlanmış olan ve Çin’deki COVID-19 hastası olan 138 kişinin analizidir. Bu makalede ateş (%98.6), halsizlik (%96.6) ve kuru öksürük (%59.4) en önemli bulgulardı. Ama, bulantı, kusma, ishal, karın ağrısı gibi bulgular da görülebiliyordu. Zatürre ile başvuran hastaların %26.1'i Yoğun Bakım Ünitesine (YBÜ) alındı.
İlk bulgular, nefes darlığına geçen sürenin 5 gün, hastaneye başvurmaya kadar geçen sürenin 7 gün, Akciğer Solunum Yetmezliği bulgularına kadar geçen süre 8 gün, YBÜ yatışa kadar geçen süre 10 gün olduğunu gösterdi. Hastaların çoğunun hastaneye yatış sırasında çekilen Akciğer Bilgisayarlı Tomografilerinde; çift taraflı buzlu cam alanları ve yama şeklinde tutulum vardı.
Aslında maddi destek istememizin nedeni çok basit: Çünkü Evrim Ağacı, bizim tek mesleğimiz, tek gelir kaynağımız. Birçoklarının aksine bizler, sosyal medyada gördüğünüz makale ve videolarımızı hobi olarak, mesleğimizden arta kalan zamanlarda yapmıyoruz. Dolayısıyla bu işi sürdürebilmek için gelir elde etmemiz gerekiyor.
Bunda elbette ki hiçbir sakınca yok; kimin, ne şartlar altında yayın yapmayı seçtiği büyük oranda bir tercih meselesi. Ne var ki biz, eğer ana mesleklerimizi icra edecek olursak (yani kendi mesleğimiz doğrultusunda bir iş sahibi olursak) Evrim Ağacı'na zaman ayıramayacağımızı, ayakta tutamayacağımızı biliyoruz. Çünkü az sonra detaylarını vereceğimiz üzere, Evrim Ağacı sosyal medyada denk geldiğiniz makale ve videolardan çok daha büyük, kapsamlı ve aşırı zaman alan bir bilim platformu projesi. Bu nedenle bizler, meslek olarak Evrim Ağacı'nı seçtik.
Eğer hem Evrim Ağacı'ndan hayatımızı idame ettirecek, mesleklerimizi bırakmayı en azından kısmen meşrulaştıracak ve mantıklı kılacak kadar bir gelir kaynağı elde edemezsek, mecburen Evrim Ağacı'nı bırakıp, kendi mesleklerimize döneceğiz. Ama bunu istemiyoruz ve bu nedenle didiniyoruz.
Akciğer bulguları kötüleşerek YBÜ alınan hastalar daha ileri yaşlarda (66 ve 51), daha çok eşlik eden hastalıkları olan (%72), nefes darlığı (%63.9) ve iştahsızlık (%66.7) şikayetleri daha çok olan hastalardı. Zatürre ile yatan hastalarda ölüm oranı %4.3 , iyileşmeye kadar geçen süre 10 gündü. Bu çalışmada hastaların akciğer bulguları, bu yazıda sözünü ettiğimiz 12 hastalık çalışmadaki bulgular ile uyumlu idi.
Bu nedenlerle, COVID19 zatürresi, akciğerde “pulmoner fibrozis” olarak tanımlanan kalıcı değişiklilere yol açıyor mu sorusu öne çıktı. Ama bu sorunun cevabı henüz araştırılmadı; çünkü bunu yapabilmek için en az 3 ay kontrol akciğer bilgisayarlı taraması ve solunum fonksiyonları testleri gereklidir.
Ocak başında yatırılan ve iyileşen ilk olgunun, seri akciğer tomografileri hastanın akciğer bulgularının tümüyle iyileştiğini göstermişti.
Sonuç olarak virüs, üst solunum yolları ile beraber sıklıkla akciğerleri tutmaktadır. Hastaların akciğerdeki radyolojik bulguları ciddi bir hasara işaret etmektedir. Ama uzun vadeli, üçüncü ay bilgisayarlı tomografi taramaları yapılmadan akciğerde bir hasar kaldığını söylememiz mümkün değildir. Çin’den yayınlanan olgulardaki sonuçlar, akciğerlerin iyileştiğini gösteriyor diyebiliriz.
Gidişat Ne Yöne?
Evrim Ağacı COVID-19 Raporundan da görebileceğiniz resmi verilere göre, 15 Mart 2020 sabahı itibariyle, doğrulanan 128.392 vakadan 69.607'si koronavirüsten kurtuldu. 4.700'den fazlasıysa hayatını kaybetti.
Bu salgın, İtalya örneğinin de gösterdiği gibi, yaşlıları ve bağışıklık sistemi zayıf olan kişileri diğer herkesten daha çok etkiliyor. Yine de, Dünya Sağlık Örgütü Genel Müdürü Tedros Adhanom Ghebreyesus, 9 Mart 2020'de "Hastalığa yakalanan çoğu insan iyileşecek." açıklamasında bulunmuştu.
Dünya Sağlık Örgütü verilerine göre en sık görülen semptomlar ateş, kuru öksürük ve nefes darlığı. Ancak hastaların %80'i bu salgını hafif bir şekilde atlatacak.
Evrim Ağacı'nda tek bir hedefimiz var: Bilimsel gerçekleri en doğru, tarafsız ve kolay anlaşılır şekilde Türkiye'ye ulaştırmak. Ancak tahmin edebileceğiniz gibi Türkiye'de bilim anlatmak hiç kolay bir iş değil; hele ki bir yandan ekonomik bir hayatta kalma mücadelesi verirken...
O nedenle sizin desteklerinize ihtiyacımız var. Eğer yazılarımızı okuyanların %1'i bize bütçesinin elverdiği kadar destek olmayı seçseydi, bir daha tek bir reklam göstermeden Evrim Ağacı'nın bütün bilim iletişimi faaliyetlerini sürdürebilirdik. Bir düşünün: sadece %1'i...
O %1'i inşa etmemize yardım eder misiniz? Evrim Ağacı Premium üyesi olarak, ekibimizin size ve Türkiye'ye bilimi daha etkili ve profesyonel bir şekilde ulaştırmamızı mümkün kılmış olacaksınız. Ayrıca size olan minnetimizin bir ifadesi olarak, çok sayıda ayrıcalığa erişim sağlayacaksınız.
Makalelerimizin bilimsel gerçekleri doğru bir şekilde yansıtması için en üst düzey çabayı gösteriyoruz. Gözünüze doğru gelmeyen bir şey varsa, mümkünse güvenilir kaynaklarınızla birlikte bize ulaşın!
Bu makalemizle ilgili merak ettiğin bir şey mi var? Buraya tıklayarak sorabilirsin.
Soru & Cevap Platformuna Git- 15
- 6
- 2
- 2
- 2
- 1
- 1
- 0
- 0
- 0
- 0
- 0
- Türev İçerik Kaynağı: Science Alert | Arşiv Bağlantısı
Evrim Ağacı'na her ay sadece 1 kahve ısmarlayarak destek olmak ister misiniz?
Şu iki siteden birini kullanarak şimdi destek olabilirsiniz:
kreosus.com/evrimagaci | patreon.com/evrimagaci
Çıktı Bilgisi: Bu sayfa, Evrim Ağacı yazdırma aracı kullanılarak 31/10/2025 06:15:55 tarihinde oluşturulmuştur. Evrim Ağacı'ndaki içeriklerin tamamı, birden fazla editör tarafından, durmaksızın elden geçirilmekte, güncellenmekte ve geliştirilmektedir. Dolayısıyla bu çıktının alındığı tarihten sonra yapılan güncellemeleri görmek ve bu içeriğin en güncel halini okumak için lütfen şu adrese gidiniz: https://evrimagaci.org/s/8369
İçerik Kullanım İzinleri: Evrim Ağacı'ndaki yazılı içerikler orijinallerine hiçbir şekilde dokunulmadığı müddetçe izin alınmaksızın paylaşılabilir, kopyalanabilir, yapıştırılabilir, çoğaltılabilir, basılabilir, dağıtılabilir, yayılabilir, alıntılanabilir. Ancak bu içeriklerin hiçbiri izin alınmaksızın değiştirilemez ve değiştirilmiş halleri Evrim Ağacı'na aitmiş gibi sunulamaz. Benzer şekilde, içeriklerin hiçbiri, söz konusu içeriğin açıkça belirtilmiş yazarlarından ve Evrim Ağacı'ndan başkasına aitmiş gibi sunulamaz. Bu sayfa izin alınmaksızın düzenlenemez, Evrim Ağacı logosu, yazar/editör bilgileri ve içeriğin diğer kısımları izin alınmaksızın değiştirilemez veya kaldırılamaz.
 
             
             
                 
                   
                   
                   
                   
                   
                   
                   
                   
                   
                   
                   
                  