İnsan Papilloma Virüsü (HPV) Nedir? Kansere Nasıl Yol Açar? Olabildiğince Erken Yaşta HPV Aşısı Olmak Neden Önemlidir?

Bu içerik tıp ve sağlık ile ilişkilidir. Sadece bilgi amaçlı olarak hazırlanmıştır. Bireysel bir tıbbi tavsiye olarak görülmemelidir. Evrim Ağacı'ndaki hiçbir içerik; profesyonel bir hekim tarafından verilen tıbbi tavsiyelerin, konulan bir teşhisin veya önerilen bir tedavinin yerini alacak biçimde kullanılmamalıdır.
Bu Makalede Neler Öğreneceksiniz?
- Identify HPV as the most common sexually transmitted virus worldwide, infecting nearly all sexually active individuals at some point.
- Recommend HPV vaccination between ages 9-45, ideally before sexual activity begins, to prevent genital warts and HPV-related cancers.
- Explain HPV transmission mainly through vaginal and anal sex, with asymptomatic carriers capable of spreading the virus unknowingly.
İnsan Papilloma Virüsü ya da kısaca HPV, insan türünün gördüğü cinsel yolla en sık bulaşan hastalıktır. AIDS'e neden olan HIV ile "uçuk" veya "herpes" olarak da bilinen HSV'den farklıdır. Bunu şöyle söyleyebiliriz: HPV öylesine yaygın bir virüstür ki, şu anda Dünya üzerinde cinsel olarak aktif olan her kadın ve her erkek hayatlarının bir evresinde bu virüsü mutlaka kapacaktır!
Ancak tabii ki, HPV'nin birçok farklı türü olmasından ötürü, her birinin tehlike arz etme miktarı farklıdır. Bunlardan bazıları cinsel organlara zarar verirken, kimisi vajinal kansere ve penis kanserine bile neden olabilmektedir. Neyse ki aşı teknolojimiz sayesinde HPV'yi önlemeyi başarabiliyoruz.
9-45 yaş arasındaki herkes HPV aşısı olabilir ve bu sayede hem cinsel organları etrafındaki siğillere, hem de HPV'nin sebep olabildiği kanserlere karşı direnç kazanabilir. Size tavsiyemiz, en geç 11-12 yaşında HPV aşısı olmanızdır; eğer olmadıysanız da, ne kadar erken bu aşıyı olursanız o kadar iyidir. Bunun sebebi, cinsel olarak aktif hale gelmeden önce aşının olunması ve direncin kazanılmasıdır.

Unutmayın ki HPV; vajinal, anal veya oral seksle bulaşabilen bir hastalıktır. Ancak HPV'nin en "sevdiği" bulaşım yöntemi vajinal ve anal sekstir. Ayrıca HPV öylesine sinsidir ki, bireyde en ufak bir semptom olmasa bile hastalığı taşıyor olabilir ve size de bulaşabilir.
Ayrıca kondom kullanımı ve genel olarak güvenli seks de önemlidir. Çünkü tamamen zinde, dinç ve sağlıklı olmanıza rağmen ve hayatınızda sadece 1 defa seks yapmış olsanız bile HPV kapma ihtimaliniz bulunmaktadır. Ayrıca "Ohoo, kaç defa seks yaptım, hiçbir şey olmadı!" iddiasında da bulunmayın. Çünkü HPV'nin semptomları, son yaptığınız seksten yıllar sonra ortaya çıkabilir.
Şimdi gelin, bu sinsi ve tehlikeli olabilen virüsü biraz daha yakından tanıyalım.
HPV'nin Genel Özellikleri
Papillomavirüsler, skuamöz epitelyumu (veya skuamöz olarak olgunlaşma potansiyeli olan hücreleri) enfekte eden, deri siğilinin tipik bir örneği olduğu, proliferatif lezyonları indükleyen küçük çift sarmallı DNA virüsleridir. Virüsler keskin bir şekilde türe özgüdür, bu nedenle HPV'ler (insan papilloma virüsleri) yalnızca insanları enfekte eder. Papilloma virüsler serotipe değil, direkt genotiplerine göre sınıflandırılırlar.
Papillomavirüs genomları (PV'ler), 8 protein kodlama genine (Kapsid proteinlerini kodlayan L1 ve L2; replikasyona, transkripsiyona ve transformasyona katılan proteinleri kodlayan E1, E2, E4, E5, E6 ve E7) ve kodlama yapmayan, düzenleyici bir uzun kontrol bölgesine (LCR) sahip, 8 kb, çift sarmallı, dairesel DNA içerir. PV'ler, insanlar dahil olmak üzere farklı omurgalı türlerinin deri ve mukozasındaki keratinositleri enfekte eder. İnsan papilloma virüsü (HPV) yalnızca insanları enfekte eder. Mukozal α-cinsi HPV türleri kapsamlı bir şekilde incelenmiştir ve şimdiye kadar iyi karakterize edilmişlerdir. HPV ile ilgili çalışmaların neredeyse tamamı, α cinsinin analizinden türetilmiştir ve sonuç olarak, bilgilerin çoğu, sadece α cinsine ait mukozal HPV'lere atfedilebilir.
HPV, papilloma virüs ailesinden çift sarmallı dairesel DNA'ya sahip bir virüstür. Tüm HPV'lerin ikozahedral kapsitleri vardır. Genomları büyük ölçüde DNA replikasyonu, transkripsiyonu veya viral birleşme ve salımı için gerekli, yapısal olmayan proteinleri ifade eden genleri içerirler. Geç kopyalanan genler (Late-genleri), sırasıyla L1 ve L2 olarak adlandırılan viral kapsit proteinlerini içerir. Papillomavirüs kapsidi, 2 yapısal proteinden oluşur: ana bazik protein (L1) ve küçük bazik protein (L2). Her bir kapsit, her biri 5 L1 ve L2 proteininden oluşan 72 pentamerik kapsomer içerir. Viral birleşme, hücrenin çekirdeğinde meydana gelir; L1 proteini, virüs benzeri parçacıklar halinde kendi kendine birleşirken, L2'nin daha az bilinen bir rolü vardır, ancak viryon üretimiyle ilgili olabilir. E6 ve E7 proteinlerinin ekspresyonu; viral DNA'nın konakçı genomuna entegrasyonu, kötü huylu transformasyona ve nihayetinde kansere ilerleme ile bağlantılıdır. 3 ana viral onkoprotein (E5, E6 ve E7), hücre döngüsü regülasyonunu ve telomer düzenlenimini değiştirerek, DNA hasarını ve genomik dengesizliği indükleyerek veya tümör baskılayıcı yolları ve apoptozu bloke ederek kanserin başlamasına ve ilerlemesine katkıda bulunur. HPV, epitelyumu yavru hücrelerle yenilemekten sorumlu yetişkin epitel kök hücrelerini barındıran epitelyal bazal tabakaya doğru tropizm gösterir. E6 / E7 onkoproteinleri, birincil transforme olan viral proteinlerdir ve hücre proliferasyonunu veya interferon tepkilerini değiştirmek için sitokin ekspresyonunu hedefleyerek bağışıklıktan kaçmada önemli bir rol oynarlar. E7 proteinleri, promotorlardan uzaklaştırıldığında transkripsiyonu aktive eden histon deasetilazlarla etkileşimleri yoluyla genom çapında transkripsiyonu modüle eder. Önemli olarak, HPV viral proteinlerinin ekspresyonu ve viral entegrasyon, kromozomal anomalileri ve hücresel ölümsüzleşmeyi teşvik eder. 200'den fazla farklı HPV türü tanımlanmış ve 5 cins, α, β, γ, μ ve ν olarak sınıflandırılmıştır. Yüksek riskli α mukozal HPV'ler en çok çalışılanlardır.
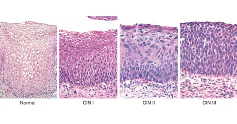
Bu sınıfların yanında HPV'ler kanser yapma potansiyellerine göre yüksek-riskli, orta-düzey riskli ve düşük-riskli olarak sınıflandırılabilir. Bunlar, baskın olarak iyi huylu anogenital siğiller veya kondilomalar (HPV tip 6 ve 11 ve akrabaları) ile ilişkili olanlar ve özellikle serviksin prekürsör (intraepitelyal neoplazi) lezyonlarıyla ilişkili olanlar (HPV tip 16, 18, 31, 33, 35 ve 45 ve küçük tipler) olarak ikiye ayrılabilir. Dünya çapında kadınlarda en yaygın ikinci kanser olan rahim ağzı kanserlerinin neredeyse % 100'ü, yüksek riskli onkojenik genital HPV'den kaynaklanır ve HPV DNA dizilerini içerir. En çok rastlananlar, vakaların % 50-70'inde bulunan HPV-16 ve vakaların % 7-20'sinde bulunan HPV-18'dir. Servikal ve diğer anogenital kanserlerden önce bir dizi intraepitelyal anormallikler oluşur. Servikste bunlar düşük dereceli CIN (servikal intraepitelial neoplazi) 1, orta CIN2 ve yüksek dereceli CIN3 arasında değişen bir spektrum oluşturur. Yüksek dereceli CIN3 lezyonları rahim ağzı kanseri için öncü lezyonlardır. Yüksek dereceli CIN'lerin % 90'ı yüksek riskli HPV DNA dizileri içerir ve yine HPV-16 en çok rastlanandır.

HPV-16'nın Genom Organizasyonu

HPV16'da bulunan genlerin ve elemanların görevleri şunlardır:
Aslında maddi destek istememizin nedeni çok basit: Çünkü Evrim Ağacı, bizim tek mesleğimiz, tek gelir kaynağımız. Birçoklarının aksine bizler, sosyal medyada gördüğünüz makale ve videolarımızı hobi olarak, mesleğimizden arta kalan zamanlarda yapmıyoruz. Dolayısıyla bu işi sürdürebilmek için gelir elde etmemiz gerekiyor.
Bunda elbette ki hiçbir sakınca yok; kimin, ne şartlar altında yayın yapmayı seçtiği büyük oranda bir tercih meselesi. Ne var ki biz, eğer ana mesleklerimizi icra edecek olursak (yani kendi mesleğimiz doğrultusunda bir iş sahibi olursak) Evrim Ağacı'na zaman ayıramayacağımızı, ayakta tutamayacağımızı biliyoruz. Çünkü az sonra detaylarını vereceğimiz üzere, Evrim Ağacı sosyal medyada denk geldiğiniz makale ve videolardan çok daha büyük, kapsamlı ve aşırı zaman alan bir bilim platformu projesi. Bu nedenle bizler, meslek olarak Evrim Ağacı'nı seçtik.
Eğer hem Evrim Ağacı'ndan hayatımızı idame ettirecek, mesleklerimizi bırakmayı en azından kısmen meşrulaştıracak ve mantıklı kılacak kadar bir gelir kaynağı elde edemezsek, mecburen Evrim Ağacı'nı bırakıp, kendi mesleklerimize döneceğiz. Ama bunu istemiyoruz ve bu nedenle didiniyoruz.
- E6: p53'e bağlanır, p53'ün Ubiqutin aracılı degredasyonunu yönlendirir. E7 ile keratinositleri etkisiz, hareketsiz hale getirir.
- E7: Retinablastoma proteinine bağlanır ve G1/S geçiş evresini yeniden düzenler. (Retinablastoma inhibe olduğunda G1'den S evresine geçiş hızlanır ve kontrolsüz hale gelir.)
- E1: Helikaz, ATPaz, viral DNA replikasyonu için gerekli bir ATP bağlayıcı bir proteindir.
- E2: Viral DNA transkripsiyon faktörüdür.
- E5: Büyüme faktörü reseptörlerinin ifadesini arttıran bir transkripsiyon faktörüdür.
- E4: Sitoiskelet elemanları ile etkileşerek virüs-hücre birleşmesine izin verir.
- L1: Majör kapsit proteini.
- L2: Minör kapsit proteini.
HPV'nin Enfeksiyöz Döngüsü
Virüs replikasyon döngüsü, bu virüslerin patogenezini ve immünobiyolojisini anlamak için anahtardır, çünkü bulaşıcı döngü kendi içinde virüsün konakçı tespitini inhibe eden bir immün-kaçınma mekanizması içermektedir. Enfeksiyon ve vejetatif viral büyüme evresi kesinlikle bir keratinosit farklılaşması sürecine bağlıdır. Virüsler, muhtemelen kök hücreleri hedef alarak öncül bazal keratinositleri enfekte eder, ancak viral proteinlerin ve viral birleşmenin yüksek seviyeli ekspresyonu, yalnızca skuamöz epiteldeki stratum spinozum ve granülozumun üst katmanlarında meydana gelir. Viral gen ekspresyonu, keratinositler ile sınırlıdır ve viral genlerin keratinositler dışında herhangi bir hücrede eksprese edildiğine dair hiçbir kanıt yoktur.
Enfekte epitelde zamansal bir HPV gen ekspresyon modeli vardır. Virüs, ilkel bazal hücrelerin bir alt kümesini, muhtemelen kök hücreleri, düşük kopya sayısıyla enfekte eder. Enfeksiyondan bir süre sonra, hücre döngüsünden bağımsız gibi görünen ve viral kopya sayısını yaklaşık 50–100 kopya / hücre oranına çıkaran bir süreç başlar. Daha sonra enfekte olmuş hücrenin, epitelin çoğalan kısımlarına girmek için bu öncül kök hücre benzeri bölmeyi terk ettiği düşünülmektedir. Daha sonra bir plazmid veya epizomal bakım fazı vardır, viral gen ekspresyonu minimumdur ve özellikle onkojen E6 ve E7'nin ekspresyonu çok sıkı kontrol altındadır. Enfekte olan keratinosit farklılaşan bölmeye girdiğinde, yani hücre döngüsünden çıktığında, viral gen ekspresyonunun ifadesi oldukça artar, viral DNA replikasyonu meydana gelir. Viral kopya sayısı en az 1000 kopya / hücre oranına yükselir.
Bu olayların, farklılaşan ve hücre döngüsünden çıkan hücrelerde meydana geldiğini bilmek önemlidir. Papillomavirüsler, yalnızca DNA replikasyonu için E1'i kodlar ve viral E2 proteininin dışında, replikasyon tamamen konak hücrenin DNA sentezleme mekanizmasına bağlıdır. Virüs için sorun, hücresel DNA polimerazlarının ve replikasyon faktörlerinin yalnızca mitotik olarak aktif olan hücrelerde üretilmesidir. Bu sorunu çözmek için virüsler, viral yaşam döngüsü bağlamında, döngü içerisinde olmayan hücrelerde, hücresel DNA sentezini yeniden etkinleştiren, apoptozu inhibe eden ve enfekte olmuş keratinositin farklılaşma programını geciktiren proteinleri kodlayarak viral çoğalma için uygun bir ortam yaratır. Bunun elde edildiği çalışmalar tam olarak anlaşılmamıştır, ancak bu işlevlerin merkezindeki viral genler E6 ve E7'dir, ancak yüksek riskli HPV replikasyonundaki bu rolün nadir görülen bir yan ürünü, enfekte hücrede kanserin gelişmesi ve büyüme kontrolünün deregülasyonudur.
Çoğalma döngüsü uzun zaman alır: en iyi senaryoda bile, enfeksiyondan virüsün yayılmasına kadar geçen süre yaklaşık olarak 3 haftadır, çünkü bu, keratinositin tamamen farklılaşması ve küçültülmesi için gerekli olan süredir. Gerçekte, enfeksiyon ile lezyonların ortaya çıkması arasındaki süre oldukça değişkendir, haftalar ve aylar arasında değişebilir. Bu virüs, temelde, epitelde ilkel bir bazal hücre olarak yolculuğunun başlangıcında olan bir keratinosit ile başlayan, terminalde farklılaşmış bir skuamöz hücresi olarak devam eden bir yolculuğun otostopçusudur. Bu, viral DNA replikasyonunun ve virüs birleşmesinin, zaten doğal nedenlerle ölüme mahkum edilmiş bir hücrede meydana geldiği bir replikasyon stratejisidir; viral kaynaklı sitoliz veya nekroz yoktur ve bu nedenle iltihaplanma yoktur. Bu nedenle, HPV bulaşıcı döngü süresinin çoğunda, dendritik hücre aktivasyonu ve göçü için önemli olan pro-inflamatuar sitokinler yerel ortamına çok az salınır veya hiç salınmaz. Bağışıklığı başlatmak için merkezi sinyaller skuamöz epitelde yanıt oluşturmazlar.
HPV yaşam döngüsünün kanla taşınan bir aşaması yoktur ve yalnızca minimum miktarda çoğalan virüs bağışıklık savunmasına maruz kalır; gerçekte virüs, konakçı tarafından görünmezdir. Bu, konakçı uzun süreler boyunca patojenden habersiz kaldığı için kalıcı kronik enfeksiyonlarla sonuçlanan viral bir stratejidir. HPV enfeksiyonları yalnızca epitelyaldir ve teorik olarak HPV saldırısı, engellenebilmesi için skuamöz epitelinin APC'si (antijen sunan hücre) ve Langerhans hücresi tarafından tespit edilmelidir. Virüs kapsit girişi genellikle dendritik hücreler için aktive edici bir sinyaldir, ancak Langerhans hücreleri HPV kapsitlerinin alımı tarafından etkinleştirilmediğine dair kanıtlar vardır. Langerhans hücreleri, HPV-16'nın L1 VLP'leri (virüs benzeri partiküller) ile inkübe edildiğinde, L1'den türetilmiş antijenlere karşı epitopa spesifik immün yanıtları başlatmaz. Bunun aksine, stromal dendritik hücreler VLP'ler tarafından aktive edilir ve HPV'ye özgü T hücrelerini uyarır. TLR (Toll benzeri reseptör) 4 eksikliği olan farelerde yapılan çalışmalar, TLR4'ün HPV-16 VLP'lerin stromal DC'ler tarafından tanınmasına katkıda bulunduğunu göstermektedir. TLR aktivasyonunun hücre yüzeyi glikozaminoglikanlarının VLP bağlanmasına ikincil olabileceğini düşündüren bazı veriler vardır.
HPV İlişkili Mukozal Kanserler
α\alpha - cinsine ait tek HPV enfeksiyonu, hemen hemen tüm skuamöz intraepitelyal lezyonlar ve serviks-anüs kanserleriyle ilişkilendirilmiştir. Bu HPV cinsi aynı zamanda penis, vulvar ve vajina kanserlerinin bir alt kümesiyle de bağlantılıdır. Bu kanserlerle ilişkili en yaygın 14 onkojenik HPV türünden HPV-16, en yaygın olanıdır ve kansere ilerleme riski en yüksek olanıdır. Rahim ağzı kanserine neden olan aynı α HPV genotipleri (veya "türleri") aynı zamanda çoğu anal kanser vakasına ve, erkeklerde ve kadınlarda önemli oranda orofaringeal kansere, vulvar ve vajina kanserine önemli bir oranda neden olur. Kuzey Amerika, Avrupa, Asya ve Güney Amerika'daki anogenital kanserlerin bir meta-analizi, HPV-16 tipinin HPV pozitif servikal olmayan anogenital kanserlerin % 75'inde bulunduğunu ortaya çıkardı.
Onkojenik HPV tipleri, hem anüs hem de servikste olgunlaşmamış skuamöz hücreleri enfekte etmeye yönelik bir afiniteye sahiptir. "Dönüşüm bölgesi" olarak adlandırılan bu alan, dış serviks skuamöz epitelinin endoserviksin kolumnar hücrelerine dönüştüğü yerde ve epitelin anüsün keratinize olmayan skuamöz epitelinden rektumun kolumnar epiteline değiştiği anüs bölgesinden oluşur. Onkojenik HPV'nin dişi genital sistemini enfekte etmesi için servikal transformasyon bölgesinin varlığı gerekli değildir. Sonuç olarak, vajinadaki onkojenik HPV alt tiplerinin prevalansı, histerektomi geçirmiş ve geçirmemiş kadınlarda benzerdir. Benzer şekilde, HPV sadece anal transformasyon bölgesindeki anal kanalı değil, aynı zamanda anal çıkıntının keratinize derisi ve perianal bölge dahil olmak üzere daha uzak bölgeleri de enfekte edebilir. Artan kanıtlar, özellikle HPV tip 16 ile HPV enfeksiyonu geçiren ve özellikle 50 yaşın altındaki kişilerde ağız boşluğunun skuamöz hücreli karsinomu arasında bir ilişki olduğunu göstermektedir.
HPV, kötü huylu tümörlerde konak genomuna entegre olur, bu nedenle HPV genom entegrasyonu kanserin birincil kanıtı olabilir. HPV entegranları, tekrarlamayan çoklu amplifikasyon bölgelerinde ve delesyonların meydana geldiği çevrelenmiş bölgelerde bulunur. HPV entegre-kırılma noktaları ile kromozomal translokasyonlar, delesyonlar, inversiyonlar ve intrakromozomal yeniden düzenlemeler dahil olmak üzere genomik yapısal varyasyonlar arasında güçlü bir ilişki vardır ve tüm bunlar sonuçta HPV pozitif kanserlerin ayırt edici özelliği olan genomik istikrarsızlıkla sonuçlanır.

Bununla birlikte, HPV tek başına epitel hücrelerini dönüştürmek için yeterli değildir, ancak kanserin korunmasında önemli bir rol oynar. HPV enfeksiyonuna ikincil olan genetik ve epigenetik olaylar, hücresel dönüşüm kanser gelişimi için gereklidir. Bu fenomen, kısmen, kanser gelişiminde ortaya çıkan gecikme dönemini açıklayabilir. Yüksek riskli HPV türleri ile kalıcı enfeksiyon, yüksek dereceli lezyonlara veya kansere ilerleme için gereklidir. α\alpha -HPV ile ilişkili kanserlerin tam aksine, β- HPV genomunun varlığı, malign fenotipin oluşması için zorunlu görünmemektedir. Karsinojenik HPV türleri ile kalıcı viral enfeksiyon, neredeyse tüm rahim ağzı kanserlerine ve çoğu anal kanser vakasına neden olur.
Yüksek dereceli displazi ve kansere ilerleme için risk faktörleri arasında: HPV enfeksiyonunun kalıcılığı, onkojenik HPV tipleri ile enfeksiyon, 30 yaş üstü, çoklu HPV tipleri ile enfeksiyon, immünosupresyon ve tütün kullanımı yer alır. HIV pozitif hastalarda HPV ile ilişkili tümörler, HPV klirensinde HIV ile ilişkili azalmalarla tutarlı olarak, HIV negatif hastalara göre daha genç yaşta ve daha ileri bir aşamada ortaya çıkma eğilimindedir. Dahası, genital siğilleri olan HIV pozitif hastaların standart tedaviye daha fazla direnci vardır ve servikal intraepitelyal neoplazi tedavisi gören HIV pozitif kadınların genel popülasyona kıyasla nüksetme olasılığı daha yüksektir. Genellikle kronik inflamasyon veya liken skleroz ile ilişkili olan HPV negatif kanserlerin aksine, HPV ile ilişkili penis ve vulvar kanserleri daha genç yaşta ortaya çıkar, keratinize patoloji yerine bazaloid gösterir, p53 mutasyonlarına sahip değildir.
HPV Karsinojenezinin Mekanizması
Papillomavirüsler, doğal konak dokularına, deri veya mukozanın farklılaşan epitel hücresine mükemmel bir şekilde adapte olmuştur ve hücresel mekanizmayı kendi amaçları için kullanır. Döngü, enfeksiyöz partiküller küçük kırılmalarla bağlandıkları ve hücrelere girdikleri epitelin bazal tabakasına ulaştığında başlar. Enfeksiyonun sürdürülmesi için virüsün bir epitelyal kök hücreyi enfekte etmesi gerektiği öne sürülmüştür. Epitel içindeki replikasyon döngüsü iki kısma ayrılabilir. İlk olarak, viral genom, hücre başına yaklaşık 50-100 kopya sayısına kopyalanır ve başlangıçta enfekte olan, ancak yine de replike olan yetkin hücreler içinde bu düşük kopya sayısında değişen süreler boyunca muhafaza edilir. Viral proteinler E1 ve E2, bu bazal DNA replikasyonu için gereklidir. Viral kalıcılık sırasında bağışıklık sisteminin enfeksiyonu bu durumda tuttuğu tahmin edilebilir. İkincisi, bazal hücreler supra-bazal bölmeye itildiğinde, bölünme yeteneklerini kaybederler ve bunun yerine terminal farklılaşma sürecini başlatırlar. Papillomavirüsler bu bölmede çoğalırlar ve çevreye salınmaları için yüzeysel tabakalarda doğal dönüşümlerinin bir sonucu olarak ortaya çıkan epitel hücrelerinin parçalanmasından yararlanırlar.
Virüs replikasyonu sürecindeki kritik moleküller, bir dizi hücresel protein ile etkileşime giren viral proteinler olan E6 ve E7'dir. Deneysel sistemlerde, bu etkileşimlerin çoğalmaya, hücrelerin ölümsüzleşmesine ve kötü huylu dönüşümüne neden olduğu gösterilmiştir. Yüksek riskli ve düşük riskli HPV türlerinin E6 / E7 proteinleri arasında farklılıklar vardır, ancak bunlar genellikle niteliksel olmaktan çok niceliksel niteliktedir. En iyi karakterize edilen etkileşimler, hücre döngüsü kontrolünde merkezi moleküller olan ve dikkat çekici bir şekilde birçok insan kanserinde mutasyona uğramış olan pRB (Retinablastoma) ve p53 proteinleridir. E7'nin pRB'ye bağlanması, DNA replikasyonu için gerekli proteinlerin ekspresyonunu tetikleyen E2F transkripsiyon faktörünü aktive eder. Planlanmamış S-fazı normalde p53'ün etkisiyle apoptoza yol açar; bununla birlikte, HPV ile enfekte olmuş hücrelerde, bu işlem, proteolitik bozunma amacıyla p53'ü hedefleyen viral E6 proteini tarafından bastırılır.
Sonuç olarak, hücre döngüsü kontrolüne olan bağımlılık ortadan kalkar ve normal keratinosit farklılaşması geciktirilir. HPV-16'nın maligniteye doğru ilerlemeyi sürdürme ve indükleme konusundaki olağanüstü yeteneği, yaşam döngüsünün bu aşamasındaki bir özellik ile açıklanabilir. Virüs enfeksiyonunun bir anormalliği olarak, viral proteinler E6 ve E7'nin sabit aktivitesi, artan genomik kararsızlığa, onkojen mutasyonlarının birikmesine, daha fazla hücre büyümesi kontrol kaybına ve nihayetinde kansere yol açar. Tümör ilerlemesi sırasında, viral genomlar genellikle konak kromozomuna entegre olurlar, bu da mRNA'nın stabilizasyonu yoluyla, modifiye edilmiş kromatin yapılarının etkisiyle veya viral tarafından aracılık edilen transkripsiyonun negatif regülasyonunun kaybıyla sabit bir E6 / E7 protein seviyesi ile sonuçlanır.
Evrim Ağacı'nda tek bir hedefimiz var: Bilimsel gerçekleri en doğru, tarafsız ve kolay anlaşılır şekilde Türkiye'ye ulaştırmak. Ancak tahmin edebileceğiniz gibi Türkiye'de bilim anlatmak hiç kolay bir iş değil; hele ki bir yandan ekonomik bir hayatta kalma mücadelesi verirken...
O nedenle sizin desteklerinize ihtiyacımız var. Eğer yazılarımızı okuyanların %1'i bize bütçesinin elverdiği kadar destek olmayı seçseydi, bir daha tek bir reklam göstermeden Evrim Ağacı'nın bütün bilim iletişimi faaliyetlerini sürdürebilirdik. Bir düşünün: sadece %1'i...
O %1'i inşa etmemize yardım eder misiniz? Evrim Ağacı Premium üyesi olarak, ekibimizin size ve Türkiye'ye bilimi daha etkili ve profesyonel bir şekilde ulaştırmamızı mümkün kılmış olacaksınız. Ayrıca size olan minnetimizin bir ifadesi olarak, çok sayıda ayrıcalığa erişim sağlayacaksınız.
Makalelerimizin bilimsel gerçekleri doğru bir şekilde yansıtması için en üst düzey çabayı gösteriyoruz. Gözünüze doğru gelmeyen bir şey varsa, mümkünse güvenilir kaynaklarınızla birlikte bize ulaşın!
Bu makalemizle ilgili merak ettiğin bir şey mi var? Buraya tıklayarak sorabilirsin.
İlgili Sorular
- 19 yaşında HPV virüsünü kaptığını fark eden birisi 23 yaşında aşı yaptırırsa yine de etkili olur mu?
- 7
- 6
- 4
- 3
- 2
- 2
- 1
- 1
- 1
- 0
- 0
- 0
- M. A. Stanley, et al. (2007). Hpv: From Infection To Cancer. Biochemical Society Transactions, sf: 1456-1460. doi: 10.1042/BST0351456. | Arşiv Bağlantısı
- P. Brianti, et al. (2017). Review Of Hpv-Related Diseases And Cancers. The New Microbiologica. | Arşiv Bağlantısı
- N. Muñoz, et al. (2006). Chapter 1: Hpv In The Etiology Of Human Cancer. Vaccine, sf: S1-S10. doi: 10.1016/j.vaccine.2006.05.115. | Arşiv Bağlantısı
- X. Castellsagué. (2008). Natural History And Epidemiology Of Hpv Infection And Cervical Cancer. Gynecologic Oncology, sf: S4-S7. doi: 10.1016/j.ygyno.2008.07.045. | Arşiv Bağlantısı
- N. Abdelmutti, et al. (2009). Risk Messages About Hpv, Cervical Cancer, And The Hpv Vaccine Gardasil: A Content Analysis Of Canadian And U.s. National Newspaper Articles. Women & Health, sf: 422-440. doi: 10.1080/03630240903238776. | Arşiv Bağlantısı
- G. D'Souza, et al. (2011). The Role Of Hpv In Head And Neck Cancer And Review Of The Hpv Vaccine. Preventive Medicine, sf: S5-S11. doi: 10.1016/j.ypmed.2011.08.001. | Arşiv Bağlantısı
- D. R. Lowy, et al. (2012). Reducing Hpv-Associated Cancer Globally. Cancer Prevention Research, sf: 18-23. doi: 10.1158/1940-6207.CAPR-11-0542. | Arşiv Bağlantısı
- F. X. Bosch, et al. (2008). Hpv And Cervical Cancer: Screening Or Vaccination?. British Journal of Cancer, sf: 15-21. doi: 10.1038/sj.bjc.6604146. | Arşiv Bağlantısı
Evrim Ağacı'na her ay sadece 1 kahve ısmarlayarak destek olmak ister misiniz?
Şu iki siteden birini kullanarak şimdi destek olabilirsiniz:
kreosus.com/evrimagaci | patreon.com/evrimagaci
Çıktı Bilgisi: Bu sayfa, Evrim Ağacı yazdırma aracı kullanılarak 16/10/2025 00:43:27 tarihinde oluşturulmuştur. Evrim Ağacı'ndaki içeriklerin tamamı, birden fazla editör tarafından, durmaksızın elden geçirilmekte, güncellenmekte ve geliştirilmektedir. Dolayısıyla bu çıktının alındığı tarihten sonra yapılan güncellemeleri görmek ve bu içeriğin en güncel halini okumak için lütfen şu adrese gidiniz: https://evrimagaci.org/s/9900
İçerik Kullanım İzinleri: Evrim Ağacı'ndaki yazılı içerikler orijinallerine hiçbir şekilde dokunulmadığı müddetçe izin alınmaksızın paylaşılabilir, kopyalanabilir, yapıştırılabilir, çoğaltılabilir, basılabilir, dağıtılabilir, yayılabilir, alıntılanabilir. Ancak bu içeriklerin hiçbiri izin alınmaksızın değiştirilemez ve değiştirilmiş halleri Evrim Ağacı'na aitmiş gibi sunulamaz. Benzer şekilde, içeriklerin hiçbiri, söz konusu içeriğin açıkça belirtilmiş yazarlarından ve Evrim Ağacı'ndan başkasına aitmiş gibi sunulamaz. Bu sayfa izin alınmaksızın düzenlenemez, Evrim Ağacı logosu, yazar/editör bilgileri ve içeriğin diğer kısımları izin alınmaksızın değiştirilemez veya kaldırılamaz.