Dişler Kalbin Aynasıdır: Diş Çürüğü, Ölüme Sebep Olabilir mi?

Bu Makalede Neler Öğreneceksiniz?
- Explain how Streptococcus mutans bacteria cause tooth decay and can enter the bloodstream, potentially triggering systemic infections and heart complications.
- Describe how stomach acid from conditions like reflux or frequent vomiting erodes the back teeth, linking digestive issues to dental health problems.
- Highlight the significance of recurrent mouth ulcers as possible indicators of serious diseases like Behçet's and stress the importance of regular dental check-ups.
Ağız ve diş sağlığımızın genel sistemin durumumuz ile sürekli etkileşimde olduğunu biliyoruz. Peki nasıl oluyor da diş çürükleri kalp hastalığını tetikleyebilecek kadar etkin bir role sahip olabiliyor? Yahut diş hekiminiz midenizde bir problem olabileceğini dişlerinize bakarak nasıl anlayabiliyor? Ağzınızda çıkan aftlar o kadar da masum olmayabilir mi yoksa?
Diş çürüğü, mikrobiyolojik ve enfeksiyöz bir hastalıktır. Bu hastalığın sorumlu mikroorganizması ise Streptococcus mutans’tır. S. mutans, yenidoğanda ve dişsiz kişilerde bulunmaz. Oral kolonizasyonu için dişlere ihtiyacı vardır ve organik asitleri fazlaca üretebilme yetenekleri sayesinde dişlerde “demineralizasyona” yani çürüğe neden olurlar.
Çürük dişlerde biriken ve yediğimiz karbonhidrat içerikli besinlerle sayısını katlayarak arttıran S. mutans’ın çok ilginç bir özelliği bulunmakta, kalp kaslarındaki yüzey proteininin S. mutans’a benzerliği dolayısıyla, diş yüzeylerinden ayrılıp kan dolaşımına katıldığında vücut, bireyin sahip olduğu bazı sistemik hastalıklar mevcudiyetinde bunu yabancı bir antijen olarak algılayamıyor. S. mutans sinsice dolaşıyor, bakteriyemi ve sepsise neden oluyor.
Bu her diş çürüğü için ve her birey geçerli olmamakla beraber, eğer immün sistemde sorun oluşturan bir hastalık (AIDS, organ nakli) yada geçirilmiş kalp hastalığı, geçirilmiş büyük ameliyat öyküsü varsa bu bireylerin ağız ve diş sağlıkları ekstra bir önem arz ediyor. Bu bireylerin oldukça sık çürük kontrolünden geçmesi gerekiyor. Amaç, S. mutans birikimini azaltmak ve kan dolaşımına katılmasını engellemek.
Mide Rahatsızlıklarının Dişlere Etkisi Nasıl Oluyor?
Reflü gibi mide hastalıklarında midenin asidik içeriği sıkça, aslında bulunmaması gereken bir bölge olan özofagus ile temas ediyor. Bu asidite ve midedeki gaz birikimi ağıza ulaştığında dişlerin arka bölgelerinde aşınmalara sebep oluyor.
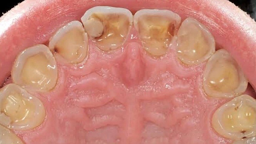
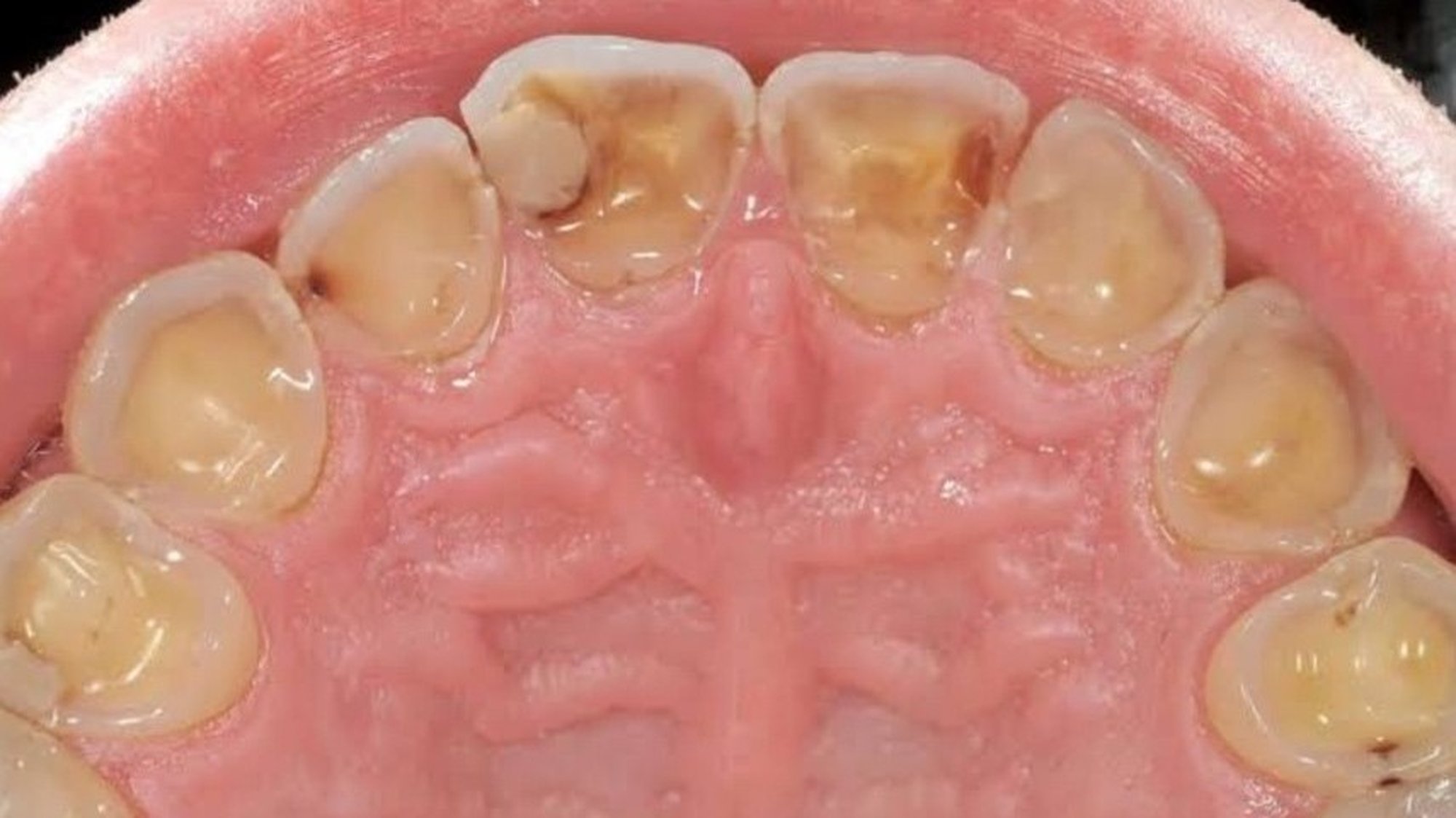
Aynı senaryoyu anoreksiya/blumia’da sık istifra etmeye bağlı olarak midenin asidik içeriğinin dişlerin arka bölgelerine teması sonucunda da izleyebiliyoruz. Bunu, en yukarıdaki görselde görebilirsiniz.
Aftlar ise oldukça ağrılı, minik, bazen tek bazen ise çok sayıda görülen, birkaç gün içinde iyileşen ağız lezyonlarıdır. Bazen vitamin eksikliklerine bağlı olarak, bazen strese bağlı olarak bazen ise Behçet hastalığı gibi çok ciddi bir hastalığın ilk belirtisi olarak ortaya çıkarlar. Çoğu zaman bir önemleri yoktur, fakat ayda 3-4 kezden fazla aft oluşumu, gözlerde ve genital bölgede de benzer lezyonların eşlik etmesi Behçet hastalığının en büyük tanı kriteridir.
Tüm ağız ve diş hastalıklarının bazen görünenden daha büyük bir soruna eşlik ettiğini hiç unutmamak ve düzenli diş hekimi kontrollerini aksatmamak gereklidir.
Unutmayın, sağlık ağızda başlar!
Evrim Ağacı'nda tek bir hedefimiz var: Bilimsel gerçekleri en doğru, tarafsız ve kolay anlaşılır şekilde Türkiye'ye ulaştırmak. Ancak tahmin edebileceğiniz gibi Türkiye'de bilim anlatmak hiç kolay bir iş değil; hele ki bir yandan ekonomik bir hayatta kalma mücadelesi verirken...
O nedenle sizin desteklerinize ihtiyacımız var. Eğer yazılarımızı okuyanların %1'i bize bütçesinin elverdiği kadar destek olmayı seçseydi, bir daha tek bir reklam göstermeden Evrim Ağacı'nın bütün bilim iletişimi faaliyetlerini sürdürebilirdik. Bir düşünün: sadece %1'i...
O %1'i inşa etmemize yardım eder misiniz? Evrim Ağacı Premium üyesi olarak, ekibimizin size ve Türkiye'ye bilimi daha etkili ve profesyonel bir şekilde ulaştırmamızı mümkün kılmış olacaksınız. Ayrıca size olan minnetimizin bir ifadesi olarak, çok sayıda ayrıcalığa erişim sağlayacaksınız.
Makalelerimizin bilimsel gerçekleri doğru bir şekilde yansıtması için en üst düzey çabayı gösteriyoruz. Gözünüze doğru gelmeyen bir şey varsa, mümkünse güvenilir kaynaklarınızla birlikte bize ulaşın!
Bu makalemizle ilgili merak ettiğin bir şey mi var? Buraya tıklayarak sorabilirsin.
Soru & Cevap Platformuna Git- 29
- 11
- 8
- 5
- 3
- 3
- 3
- 2
- 2
- 0
- 0
- 0
- K. Nakano, et al. (2008). Streptococcus Mutans And Cardiovascular Diseases. Japanese Dental Science Review, sf: 29-37. | Arşiv Bağlantısı
- S. Özbayrak. (1993). Oral Mukoza Ve Hastalıkları. ISBN: 9786058985698. Yayınevi: Quintessence Yayıncılık.
Evrim Ağacı'na her ay sadece 1 kahve ısmarlayarak destek olmak ister misiniz?
Şu iki siteden birini kullanarak şimdi destek olabilirsiniz:
kreosus.com/evrimagaci | patreon.com/evrimagaci
Çıktı Bilgisi: Bu sayfa, Evrim Ağacı yazdırma aracı kullanılarak 17/10/2025 06:45:10 tarihinde oluşturulmuştur. Evrim Ağacı'ndaki içeriklerin tamamı, birden fazla editör tarafından, durmaksızın elden geçirilmekte, güncellenmekte ve geliştirilmektedir. Dolayısıyla bu çıktının alındığı tarihten sonra yapılan güncellemeleri görmek ve bu içeriğin en güncel halini okumak için lütfen şu adrese gidiniz: https://evrimagaci.org/s/8360
İçerik Kullanım İzinleri: Evrim Ağacı'ndaki yazılı içerikler orijinallerine hiçbir şekilde dokunulmadığı müddetçe izin alınmaksızın paylaşılabilir, kopyalanabilir, yapıştırılabilir, çoğaltılabilir, basılabilir, dağıtılabilir, yayılabilir, alıntılanabilir. Ancak bu içeriklerin hiçbiri izin alınmaksızın değiştirilemez ve değiştirilmiş halleri Evrim Ağacı'na aitmiş gibi sunulamaz. Benzer şekilde, içeriklerin hiçbiri, söz konusu içeriğin açıkça belirtilmiş yazarlarından ve Evrim Ağacı'ndan başkasına aitmiş gibi sunulamaz. Bu sayfa izin alınmaksızın düzenlenemez, Evrim Ağacı logosu, yazar/editör bilgileri ve içeriğin diğer kısımları izin alınmaksızın değiştirilemez veya kaldırılamaz.