Böceklerde Bağışıklık Sistemi Nasıl Çalışıyor?
Böceklerin Bağışıklık Sistemini İnceleyerek, Kendimize Dair Birçok Şey Öğrenebiliriz!
- Özgün
- Entomoloji
- İmmünoloji
Bu Makalede Neler Öğreneceksiniz?
- Böcekler, omurgalılardaki antikor üretimi gibi kazanılmış bağışıklığa sahip olmamakla birlikte, hemositler aracılığıyla doğuştan gelen hücresel ve humoral bağışıklık sistemleriyle patojenlere karşı savunma sağlarlar.
- Fagositoz mekanizması, hem tek hücreli canlılarda hem de böceklerde temel bağışıklık savunmasıdır ve hemositler bu süreçte aktif rol oynayarak yabancı maddeleri sindirir ve yok ederler.
- Böceklerde antimikrobiyal peptitler (örneğin sekropinler ve defensinler) ile eikosanoidler gibi moleküller, bağışıklık tepkisini destekleyerek patojenlere karşı etkin savunma mekanizmalarının oluşmasını sağlar.
İnsanların da içinde yer aldığı omurgalıların bağışıklık sistemi kadar olmasa da omurgasızlar da yaşamak için daha ilkel düzeyde de olsa bir bağışıklık sistemine sahiptirler, böcekler de bağışıklık sistemlerinde aktif role sahip olan hemosit adını verdiğimiz hücreleriyle doğadaki savaşta yerlerini almışlardır. Hemositler, insan kanında da görülebilen lökositler yani beyaz kan hücrelerine benzer bir şekilde vücuda giren yabancı maddeler ve zararlı organizmalarla sürekli savaş halindedirler.
Doğada Süregelen Savaşın Bir Parçası Olan Böcekler
Eğer bir savaştan bahsediliyorsa savunmadan da bahsedebiliriz demektir. Doğa bir savaş alanı deriz, ama esas nokta burada savunmanın nasıl işlediğidir. Yaşamın yeryüzünde başladığı ilk andan itibaren savunma mekanizmaları da gelişmeye başlamıştır. 2.5 milyar yıl önceye baktığımızda karşımıza çıkan tek hücreli hayvanlar olarak tanımlayabileceğimiz protozoonlar neredeyse her fizyolojik işlevi tek bir hücre içerisinde başarabilmişlerdir. Bunu da fagositoz adını verdiğimiz bir mekanizmaya borçludurlar. O zamanın fagositozuna baktığımızda günümüz insanının hücrelerinde görülen fagositoz mekanizmasının birbirinden çok da farklı olmadığını görebiliyoruz. Fagositoz dediğimiz mekanizma esasen hücre içerisine madde girişini sağladığı gibi (sindirim), hücrenin dışarısına da atık maddelerin atılmasına (boşaltım) yardımcı olur. Bununla da kalmaz, hücre içerisine giren istenmeyen yabancı maddelerin de defedilmesinde büyük rol oynarlar. Bu basit işleyiş bağışıklık sisteminin de ilk basamaklarını oluşturmaktadır.
Doğada bütün canlılar hastalık yapıcı organizmalar olarak bilinen patojenlerle karşı karşıya kalırlar ve onlarla mücadele etmek durumundadırlar. Patojenler arasında en bilinenler bakteriler olsalar da virüsler, mantarlar, protozoon adını verdiğimiz bir hücreli olup da bakterilerden daha gelişmiş yapıdaki canlılar ve çok hücreli parazitler de zarar verici organizmalara örnektirler. Böcekler de omurgasızlar arasında yer alırlar ve omurgalılarda görülen önemli bağışıklık mekanizmalarından mahrum durumdadırlar. Bunların başında antijene özgü olarak geliştirilen antikor üretimi gelir ve bu savunma biçimi kazanılmış immünite (=bağışıklık) olarak bilinir. Böceklerde böyle güçlü bir bağışıklık sistemi mevcut değildir, ama tamamen dış dünyada savunmasız durumda olduklarını söyleyemeyiz. Aksine kendilerini savunabilecek durumdadırlar ve bunu doğuştan gelen bağışıklık sistemine borçludurlar. Doğuştan bağışıklık hücresel düzeyde olabildiği gibi, hücreler arasında dolaşan vücut sıvıları sayesinde de yani humoral düzeyde de gerçekleşir ve farklı mekanizmalar söz konusudur.
Hemositler, böcek kan hücrelerine verilen addır ve bu hücreler hücresel düzeyde gerçekleşen böcek bağışıklık sisteminin en önemli baş rol oyuncularıdır. Hücresel bağışıklık, başta fagositoz olmak üzere nodül oluşturma ve kapsül meydana getirmek gibi daha kapsamlı mekanizmaların da gerektiğinde devreye girdiği bir savunma sistemidir. Humoral bağışıklıkta ise özellikle omurgalılarla kıyaslayacak olursak görev anlamında karaciğeri anımsatan bir yapı olan yağ cisimciği böceklerde görev alır. Burada pıhtılaşma, melanin pigmentinin oluşturulması ve antimikrobiyal özellik gösteren peptitlerin üretilmesi gibi farklı mekanizmalardan bahsedilebilir.

Böcekleri Savunanlar İlk Kimlerdi?
Son yirmi yıla bakıldığında moleküler biyoloji ve genetik araştırmaları böcek immünolojisi konusunda da bir çok konunun aydınlatılmasını sağlamıştır. İşin çok sıkmadan tarihine bakacak olursak omurgasızların bağışıklık sistemiyle ilgili ilk önemli çalışma 1884 yılında Rus bilim insanı Elie Metchnikoff yapmıştır. Metchhikoff yaptığı çalışmalar neticesinde fagositoz adını verdiği bir bağışıklık mekanizmasını keşfetmiştir, aynı zamanda bu keşfi ona 1908 senesinde Nobel Tıp Ödülü'nü de kazandırmıştır. Omurgasız dolaşım hücrelerinin bazılarında yabancı maddelerin sindirildiğini görmüş ve bu olaya fagositoz adını vermiştir.
:sharpen(0.5,0.5,true)/old%2Fcontent_media%2F287d43dd7518947bd384b49353ae7524.png)
Bir başka bilim insanı Serge Metalnikov ise böceklerdeki fagositoz mekanizmalarını ortaya çıkartmıştır ve çalışmalarında granül taşıyan hemositlerin daha aktif olarak fagositoz yaptığını gözlemlemiştir. Günümüzde granüler hemositler adını verdiğimiz bu hücreler, plazmotositler ile beraber fagositoz yapabilen temel savunma hücreleri olarak bilinirler ve ikisine birden immünositler adı verilmektedir. Yaklaşık otuz senesini kelebek larvaları üzerinde çalışarak geçiren bilim insanı gözlemlerinin sonucunda fagositozun basit bir yanıt tipi olmadığını, aynı zamanda çok karışık bir fenomen olarak karşımıza çıktığını düşünmüştür. Günümüze geri döndüğümüzde ise gelişen moleküler teknikler sayesinde fagositozda görev alan bileşenler belirlendikçe bilim insanının geleceğe yönelik görüşlerinin doğru olduğu artık kesinlik kazanmıştır.
İlk kez çekirgelerde bağışıklık sisteminin bulunduğunu ortaya çıkartan Rudolf W. Glaser da bir başka önemli bilim insanıdır. Kendisini anmamak olmaz. Ancak gerçek anlamda geniş kapsamlı bir çalışma Hans Boman grubu tarafından Stockholm Üniversitesi'nde başlamıştır. Her bilimsel çalışmanın başında olduğu gibi onlarda ilk olarak ortaya bir soru atmışlardır: Böcek dolaşım sisteminde dolaşan hemolenf adını verdiğimiz vücut sıvısında (ya da daha anlaşılır olması adına böcek kanında) kazanılmış bağışıklık sisteminde mevcut olan antikorlar gibi bileşenler mevcut değilse böcekler patojenlere karşı nasıl hayatta kalıyorlar? Çalışmalarında ilk olarak meyve sineği kullansalar da deneylerin daha kolay yapılabilmesi için dev ipek böceği Hyalophora cecropia'ya yönelmişlerdir. Çalışmalarının sonunda Sekropin adını verdikleri antimikrobiyal bir peptite ulaşmışlardır. Bu keşifle beraber böcek immünolojisinde yeni bir çalışma alanı doğmuş ve çeşitli böceklerden antimikrobiyal peptit elde edilmeye çalışılmıştır.
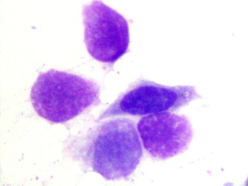
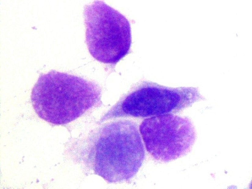
Böcekler Savaş Baltalarını Çıkartıyorlar: Hemositler
Mevcut bilgilerin ışığında böcek bağışıklık sisteminde yer alan tüm yapıların mezoderm denilen embriyonik tabakadan kökenlendiklerini söyleyebiliriz. Bu bileşenler yağ cisimciği, lenf bezi ve hemositlerdir. Yağ cisimciği esasen adipoz bir dokudan ibarettir, yani yapının büyük çoğunluğu yağ kitlesinden oluşmuştur. Peptitlerin sentezlenmesinden sorumludur. Lenf bezi ise böceklerin tüm hayatı boyunca hemositlerin şekillenmesinde görev alırlar. Hemositlere gelirsek morfolojik kriterlere göre sınıflandırılması yapılan bu hücreler aktif olarak tüm savunma mekanizmalarında bulunurlar. Bu kriterler ölçü ve renk gibi özelliklerdir ve bunları göz önünde bulundurduğumuzda beş temel hemosit tipinden bahsedebiliriz. Prohemositler hemolenfte bulunan en küçük hücrelerdir. İlk olarak embriyonun gelişimi esnasında mezoderm tabakasından gelişmektedirler. Diğer hemosit tipleri ise daha sonra bu hücre tipinin farklılaşmasıyla meydana gelirler.
:sharpen(0.5,0.5,true)/evrimagaci.org%2Fdosyalar%2Ficerikler%2F24050493_d112jpg.jpg)
Savaş Daha Bitmedi: Antimikrobiyal Peptitler ve Eikosanoidler
Sekropinler ile birlikte böcek defensinleri iyi çalışılmış iki antimikrobiyal ailedir. Cecropinler özellikle kelebekler (Lepidoptera) ve sinekler (Diptera) takımlarında bulunurlar ve gram-pozitif ile gram-negatif bakterilerin tamamında etkilidirler. Böcek defensinleri ise böcekler arasında geniş yayaılış gösterdikleri halde sadece gram-pozitif bakteriler üzerinde etki gösterirler. Bu iki aileden başka antibakteriyal özelliğe sahip peptitler de söz konusudur. Diğerlerinin ya prolin ya da glisin aminoasitlerince zengin olduğu belirlenmiştir. Burada bahsi geçen büyün antimikrobiyal özellik gösteren peptitler ökaryotik yani çok hücreli canlılara karşı herhangi bir aktiflif göstermezler. Ama yapılan çalışmalar neticesinde meyve sineği Drosophila'da güçlü antifungal özellikte peptit belirlenmiştir. Bu özelliği taşıyan peptit mantar organizmalara karşı da canlıyı savunabilir. Meyve sineğinde keşfedildiği için de adına drosomycin adı verilmiştir.
Eikosanoidler doymamış yağ asitlerini de barındıran yirmi karbonlu özel moleküllerdir ve yapılan bir sürü deneyde bu özel maddelerin böceklerin bağışıklık sisteminde önemli rol aldıkları belirlenmiştir. Eğer böceğin vücudunda bu molekül bakımında bir azalma olursa, patojenlere karşı hemositlerin bir araya gelmesinde bir yavaşlama gözlemlenmiştir, bu yavaşlamanın sonucu olarak da ölüm oranında artış söz konusu olmuştur. Hemositlerin patojenin etrafında birikmesinde yardımcı olduğunu söyleyebiliriz bu maddelerin.
Evrim Ağacı'nın çalışmalarına Kreosus, Patreon veya YouTube üzerinden maddi destekte bulunarak hem Türkiye'de bilim anlatıcılığının gelişmesine katkı sağlayabilirsiniz, hem de site ve uygulamamızı reklamsız olarak deneyimleyebilirsiniz. Reklamsız deneyim, sitemizin/uygulamamızın çeşitli kısımlarda gösterilen Google reklamlarını ve destek çağrılarını görmediğiniz, %100 reklamsız ve çok daha temiz bir site deneyimi sunmaktadır.
KreosusKreosus'ta her 50₺'lik destek, 1 aylık reklamsız deneyime karşılık geliyor. Bu sayede, tek seferlik destekçilerimiz de, aylık destekçilerimiz de toplam destekleriyle doğru orantılı bir süre boyunca reklamsız deneyim elde edebiliyorlar.
Kreosus destekçilerimizin reklamsız deneyimi, destek olmaya başladıkları anda devreye girmektedir ve ek bir işleme gerek yoktur.
PatreonPatreon destekçilerimiz, destek miktarından bağımsız olarak, Evrim Ağacı'na destek oldukları süre boyunca reklamsız deneyime erişmeyi sürdürebiliyorlar.
Patreon destekçilerimizin Patreon ile ilişkili e-posta hesapları, Evrim Ağacı'ndaki üyelik e-postaları ile birebir aynı olmalıdır. Patreon destekçilerimizin reklamsız deneyiminin devreye girmesi 24 saat alabilmektedir.
YouTubeYouTube destekçilerimizin hepsi otomatik olarak reklamsız deneyime şimdilik erişemiyorlar ve şu anda, YouTube üzerinden her destek seviyesine reklamsız deneyim ayrıcalığını sunamamaktayız. YouTube Destek Sistemi üzerinde sunulan farklı seviyelerin açıklamalarını okuyarak, hangi ayrıcalıklara erişebileceğinizi öğrenebilirsiniz.
Eğer seçtiğiniz seviye reklamsız deneyim ayrıcalığı sunuyorsa, destek olduktan sonra YouTube tarafından gösterilecek olan bağlantıdaki formu doldurarak reklamsız deneyime erişebilirsiniz. YouTube destekçilerimizin reklamsız deneyiminin devreye girmesi, formu doldurduktan sonra 24-72 saat alabilmektedir.
Diğer PlatformlarBu 3 platform haricinde destek olan destekçilerimize ne yazık ki reklamsız deneyim ayrıcalığını sunamamaktayız. Destekleriniz sayesinde sistemlerimizi geliştirmeyi sürdürüyoruz ve umuyoruz bu ayrıcalıkları zamanla genişletebileceğiz.
Giriş yapmayı unutmayın!Reklamsız deneyim için, maddi desteğiniz ile ilişkilendirilmiş olan Evrim Ağacı hesabınıza üye girişi yapmanız gerekmektedir. Giriş yapmadığınız takdirde reklamları görmeye devam edeceksinizdir.
Böceklerin bağışıklık sistemi hakkında bir dolu söylenecek şey vardır, her bir mekanizma hakkında ayrıntılı olarak anlatılacak bir sürü şey bulunabilir. Ama burada işin temelinden bahsetmek ve en azından böceklerin de doğada sürekli cereyan eden savaşta boş olmadıklarını göstermek istedik.
Evrim Ağacı'nda tek bir hedefimiz var: Bilimsel gerçekleri en doğru, tarafsız ve kolay anlaşılır şekilde Türkiye'ye ulaştırmak. Ancak tahmin edebileceğiniz gibi Türkiye'de bilim anlatmak hiç kolay bir iş değil; hele ki bir yandan ekonomik bir hayatta kalma mücadelesi verirken...
O nedenle sizin desteklerinize ihtiyacımız var. Eğer yazılarımızı okuyanların %1'i bize bütçesinin elverdiği kadar destek olmayı seçseydi, bir daha tek bir reklam göstermeden Evrim Ağacı'nın bütün bilim iletişimi faaliyetlerini sürdürebilirdik. Bir düşünün: sadece %1'i...
O %1'i inşa etmemize yardım eder misiniz? Evrim Ağacı Premium üyesi olarak, ekibimizin size ve Türkiye'ye bilimi daha etkili ve profesyonel bir şekilde ulaştırmamızı mümkün kılmış olacaksınız. Ayrıca size olan minnetimizin bir ifadesi olarak, çok sayıda ayrıcalığa erişim sağlayacaksınız.
Makalelerimizin bilimsel gerçekleri doğru bir şekilde yansıtması için en üst düzey çabayı gösteriyoruz. Gözünüze doğru gelmeyen bir şey varsa, mümkünse güvenilir kaynaklarınızla birlikte bize ulaşın!
Bu makalemizle ilgili merak ettiğin bir şey mi var? Buraya tıklayarak sorabilirsin.
Soru & Cevap Platformuna Git- 4
- 2
- 1
- 1
- 1
- 0
- 0
- 0
- 0
- 0
- 0
- 0
- G. Öztürk. (Yüksek Lisans Tezi, 2014). Tettigoniidae Ve Pamphagidae (Insecta: Orthoptera) Familyalarına Ait Bazı Türlerin İmmün Sistem Hücreleri Üzerine Bir Çalışma. Not: Ege Üniversitesi, Fen Bilimleri Enstitüsü, Biyoloji Ana Bilim Dalı, Zooloji Bilim Dalı, İzmir.
- A. Demirsoy. (2014). Yaşamın Temel Kuralları, Cilt:ii / Kısım:ii – Omurgasızlar / Böcekler: Entomoloji. ISBN: 9786054460335. Yayınevi: Hacettepe Yayıncılık.
- P. Fehlbaum, et al. (1994). Insect Immunity. Septic Injury Of Drosophila Induces The Synthesis Of A Potent Antifungal Peptide With Sequence Homology To Plant Antifungal Peptides. The Journal of Biological Chemistry, sf: 33159-33163. | Arşiv Bağlantısı
- H. Tunaz. (2004). Böceklerde Bağışıklık Mekanizması. KSÜ Fen Mühendislik Dergisi, sf: 78-82. | Arşiv Bağlantısı
- P. Vilmos, et al. (1998). Insect Immunity: Evolutionary Roots Of The Mammalian Innate Immune System. Immunology Letters, sf: 59-66. | Arşiv Bağlantısı
Evrim Ağacı'na her ay sadece 1 kahve ısmarlayarak destek olmak ister misiniz?
Şu iki siteden birini kullanarak şimdi destek olabilirsiniz:
kreosus.com/evrimagaci | patreon.com/evrimagaci
Çıktı Bilgisi: Bu sayfa, Evrim Ağacı yazdırma aracı kullanılarak 29/01/2026 10:17:36 tarihinde oluşturulmuştur. Evrim Ağacı'ndaki içeriklerin tamamı, birden fazla editör tarafından, durmaksızın elden geçirilmekte, güncellenmekte ve geliştirilmektedir. Dolayısıyla bu çıktının alındığı tarihten sonra yapılan güncellemeleri görmek ve bu içeriğin en güncel halini okumak için lütfen şu adrese gidiniz: https://evrimagaci.org/s/2929
İçerik Kullanım İzinleri: Evrim Ağacı'ndaki yazılı içerikler orijinallerine hiçbir şekilde dokunulmadığı müddetçe izin alınmaksızın paylaşılabilir, kopyalanabilir, yapıştırılabilir, çoğaltılabilir, basılabilir, dağıtılabilir, yayılabilir, alıntılanabilir. Ancak bu içeriklerin hiçbiri izin alınmaksızın değiştirilemez ve değiştirilmiş halleri Evrim Ağacı'na aitmiş gibi sunulamaz. Benzer şekilde, içeriklerin hiçbiri, söz konusu içeriğin açıkça belirtilmiş yazarlarından ve Evrim Ağacı'ndan başkasına aitmiş gibi sunulamaz. Bu sayfa izin alınmaksızın düzenlenemez, Evrim Ağacı logosu, yazar/editör bilgileri ve içeriğin diğer kısımları izin alınmaksızın değiştirilemez veya kaldırılamaz.