Prens aslında neden son anda uyuyan güzeli öpmekten vazgeçmişti...
Ortodontisti olmayan prenses prenses değildir...

- Blog Yazısı
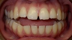
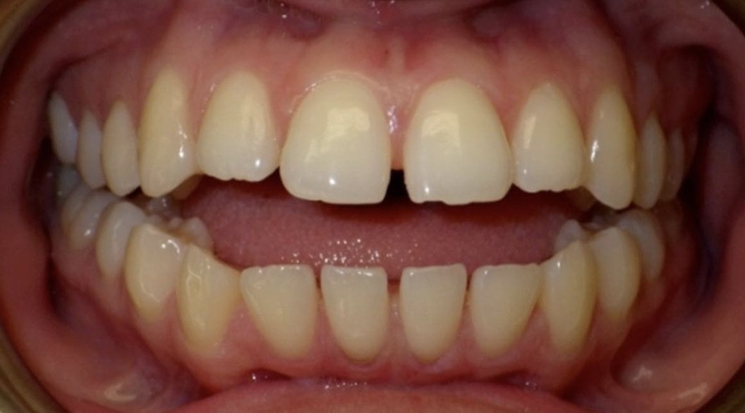
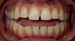
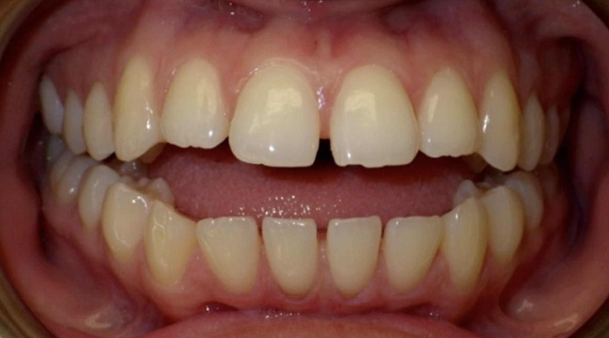
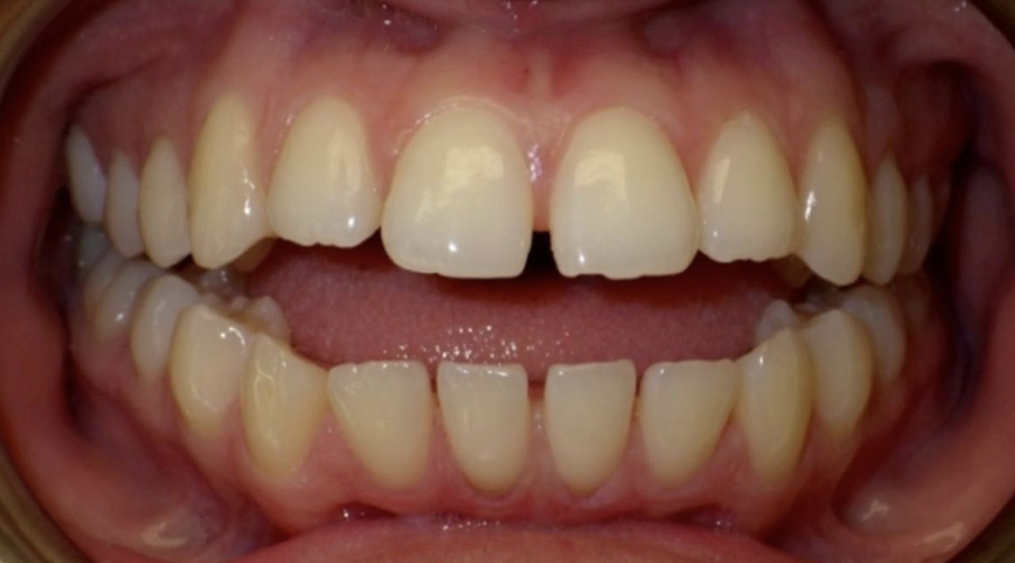
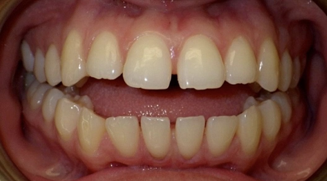
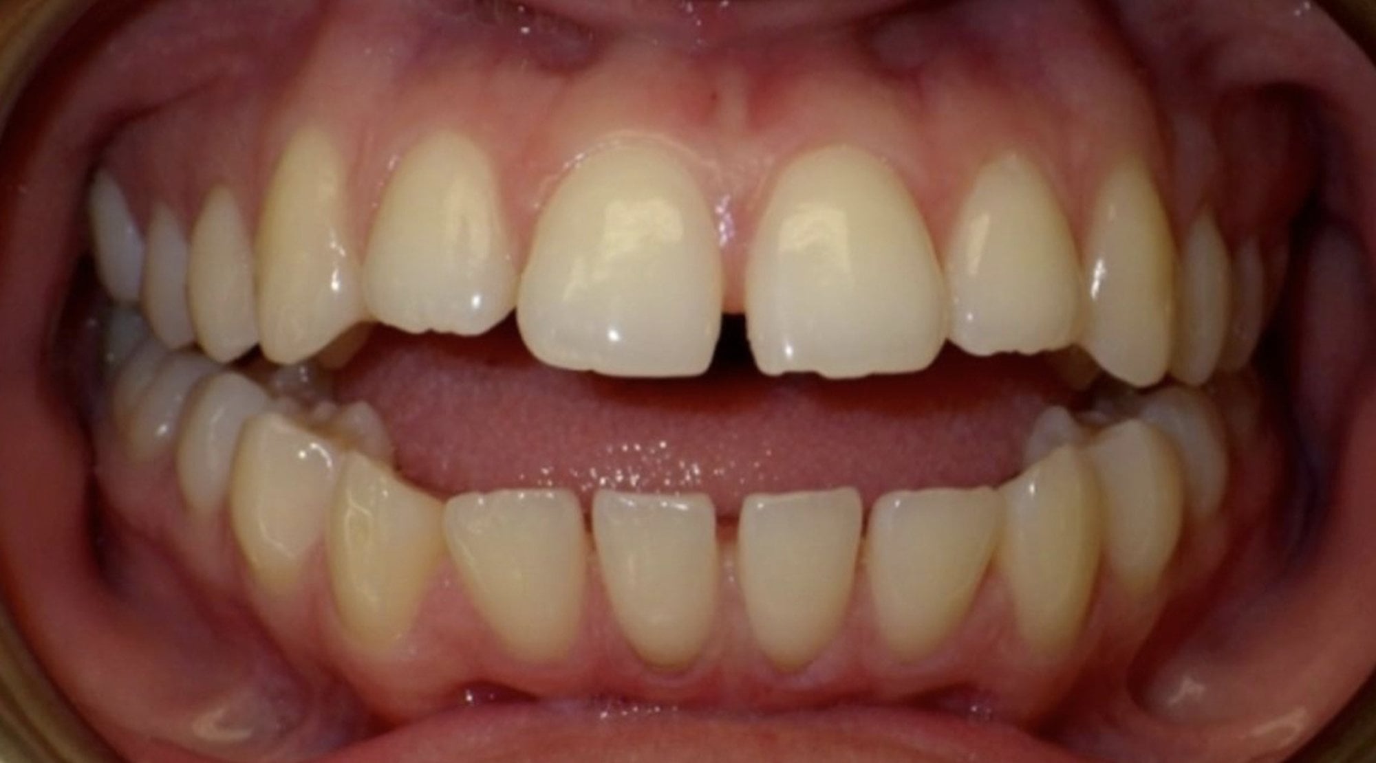
Orta çağda, uzaaaakkk diyarların birinde, bir varmış... bir yokmuş... Ama ortodonti hekimleri ve ortodontik tedavi kesinlikle yokmuş. Zaten olanlar da hep bundan olmuş. Kralın biri, rüyasında yaptığı bir zaman yolculuğunda yakın bir zamanda eşinin hamile kalacağını ve bir kızı olacağını, kızının dillere destan güzelliğinin tüm komşu ülkelerin kıskanç ve kötü niyetli prenses, kraliçe ve sultanlarını kıskandıracağını, bu sebeple onu doğduğu andan itibaren kimsenin yaklaşamayacağı bir yerde başkalarından saklaması gerektiğini görmüş. Rüyalar ki alemlerden bir alemmiş, bunu bilen Kral o günden itibaren tedbirli olmaya karar vermiş. Çok kısa bir süre sonra Kraliçe hamile kalmış ve gerçekten çok güzel bir kız çocuğu doğurmuş. Kralın gördüğü rüyayı bilen Kraliçe ve Kral çocuğun doğduğu günden itibaren hem rüyanın etkisi ile hem de bebekliği dillere destan prensesin güzelliği dolayısı ile korkarak yaşamaktaymış. Aslına bakarsanız prenses hatalı yutkunma alışkanlığı olan ve ağzı açık yattığı için çene yüz gelişimi bozulmakta olan bir bebekmiş. Ancak ona hatalı yutkunmaya bağlı maxillo-fasiyal anomali gelişim adayı olduğunun teşhisini koyacak bir ortodontisti olmadığı ve ebeveynleri ise insanları en çok yanıltan 'sevgi önyargısı-pozitif önyargı', rüyanın bilinçaltlarındaki etkisi, kendilerine ait olana duydukları hayranlık ve rutin körlüğü ile kızlarının yüzünün her geçen gün çirkinleşemeye başladığını göremiyorlarmış. Oysa ki, kızın yanında yatan prensesin dadısı küçücük kızın sarayın köpeklerini bile korkutacak kadar sesli horlamalarına; kızın bakıcıları ve hizmetçileri ise kızın her sabah uyandığında ağzı açık yattığı için yastığını kaplamış olan salyasına ve yine horlama ağzı açık yatma hastalarında sık rastlanan bir anomali olan gece altını ıslatma sonucu yatağındaki ıslaklığa her gün yakından şahitlik ediyorlarmış. Hatta tüm bu saray ahalisi Kralın ve Kraliçenin Prenses için neden bu kadar endişelendiklerini bir türlü anlayamıyorlarmış. Yine de kehanet kendini gerçekleştirmiş. Bir gün, kimya ile uğraşmayı seven ve ilaç yapma konusunda uzman olan komşu krallığın kıskanç Kraliçelerinden biri saraya bir terzi kılığında girmiş ve Prensesi prova iğnelerinin ucuna sürdüğü bir iğneye bulaştırdığı zehir ile öldürmek istemiş. Prova esnasında sırtına küçücük batan iğneyi fark bile etmeyen Prenses terzi çıkıp gittikten sonra uykuya dalmış ancak ölmemiş. Çünkü ilaç ile zehiri ayıran şeyin doz olduğunu henüz kavrayamamış olan kötü niyetli Kraliçe Prensesi öldürecek değil sadece yüzyıl boyunca uyutacak kadar bir ilaç verebilmiş bünyesine Prensesin. Krallığının her diyarındaki tüm hekimlerine, üstatlarına danışan Kral kızının ölmediğini ancak çok derin bir uykuya daldığını, tüm vücut fonksiyonlarının en az düzeye indiği ve bunun ne kadar süreceğinin bilinmediğini öğrenmiş. O zaman bitkisel hayat tabiri kullanılmadığı için, gökleri gürletecek kadar yüksek sesle uyuyan bu prensesin bu derin ve donmuş kadar yavaş ilerleyen komadan ne zaman çıkacağını kimse bilemiyormuş. Kral, ölecekse bile, kızının ölümü, en rahat şekilde beklemesini dilediği için, onu kulenin en üst katındaki harika manzaralı bir odaya yatırmış. Çevresine, ona bu halinde bile hizmet ve itaat edecek hizmetçiler muhafızlar yerleştirmiş. Yıllar yılları kovalamamış, yüzyıllarca sonra ortodontinin ve ortodontik tedavilerin gelişmiş olduğu ancak artık ortada ne Kral ne Kraliçeden emarenin kalmadığı bir dönemde, kimsenin hatırlamadığı bir gelenek halinde hala devlet ve insanlar kulede yatan Prensese kutsiyet affediyor ve onu korumaya devam ediyorlarmış. Halk tarafından yüzyıllardır abartılarak gerçeküstü süslerle donatılmış bu hikayeyi duyan yakın bir Krallıktaki genç bir Prens uyuyan Prensesin ancak bir Prens tarafından öpülürse uyanabileceğine dair rivayeti de duymuşmuş. Ve bu maceracı Prens bunun için gönüllü olduğunu bildirmiş Prensesin akrabalarına. Bir soylu tarafından gelen bu teklife hayır demeyen prensesin akrabalarının aklından geçen; hem eğer gerçekten uyanırsa bu sürüp giden hikayeden artık kurtulacakları hem de Prenses ile Prensin evlenmeleri sonucunda siyasi stratejik bir güç kazanabilecekleri olmuş... Prens kuleye yaklaşırken Prensesin horlamasının duyulmasını istemeyen akrabaları hem kulede yüksek sesle bir karşılama marşı çaldırmış hem de prense kulenin içinin serin olacağı ve üşümesin diye kulaklarını örtmesi gerektiği için kulak örtücüler vermiş. Prens tüm heyecanı ile masallarda anlatılan, güya dillere destan güzelliğinden dolayı kuleye kapatılmış olan Prensesin odasına gelmiş. Prensesin akrabaları Prensesi net göremesin diye odaya giren ışığın açısını da ayarlamışlar ve Prensesin üzerine eğilenin gözüne vurması ile görüş açısını engellemeyi hedeflemişler. Sesleri duymayan ve tam da yüzüne, dudaklarına ulaşana kadar hiçbir şeyi net göremeyen maceracı Prens artık Prensesi öpmek için eğildiğinde Angle Sınıf III, Open Bite (Hatalı yutkunma ve buna bağlı dil postürünün aşağı düşmesi sonucu alt çenenin gelişim fazlalığına ve alt üst çene kapanış ilişkisinin bozulması ile oluşan açık kapanış, ortodontik/dentofasiyal ortopedik çene yüz gelişim anomalisi) olduğunu görünce: "Amaaaaaaaa... bu kızın çene eğriliği diş eğriliği var önce ortodontik tedavi olması gerek yaaa!" demiş. Bir an 500 yıldır şişirilen bir balonu patlatan Prens konuşulanları duymak için kulaklıklarını çıkarınca Prensesin hormalasını da duyup, "Bak gördünüz mü, kardeşimde de vardı bu problemlerin hepsi, ortodontik tedavi oldu geçti. O yüzden önce tedavi ettirin sonra çağırın beni, gelip öperim o zaman. Böyle olmaz!" demiş. Çevredekilerin şaşkın bakışları arasında 500 yıldır komada yatmakta olan masal Prensesinin yanından ayrılmış...
- 4
- 3
- 2
- 2
- 1
- 1
- 1
- 1
- 0
- 0
- 0
- 0
Evrim Ağacı'na her ay sadece 1 kahve ısmarlayarak destek olmak ister misiniz?
Şu iki siteden birini kullanarak şimdi destek olabilirsiniz:
kreosus.com/evrimagaci | patreon.com/evrimagaci
Çıktı Bilgisi: Bu sayfa, Evrim Ağacı yazdırma aracı kullanılarak 08/10/2025 05:40:19 tarihinde oluşturulmuştur. Evrim Ağacı'ndaki içeriklerin tamamı, birden fazla editör tarafından, durmaksızın elden geçirilmekte, güncellenmekte ve geliştirilmektedir. Dolayısıyla bu çıktının alındığı tarihten sonra yapılan güncellemeleri görmek ve bu içeriğin en güncel halini okumak için lütfen şu adrese gidiniz: https://evrimagaci.org/s/13218
İçerik Kullanım İzinleri: Evrim Ağacı'ndaki yazılı içerikler orijinallerine hiçbir şekilde dokunulmadığı müddetçe izin alınmaksızın paylaşılabilir, kopyalanabilir, yapıştırılabilir, çoğaltılabilir, basılabilir, dağıtılabilir, yayılabilir, alıntılanabilir. Ancak bu içeriklerin hiçbiri izin alınmaksızın değiştirilemez ve değiştirilmiş halleri Evrim Ağacı'na aitmiş gibi sunulamaz. Benzer şekilde, içeriklerin hiçbiri, söz konusu içeriğin açıkça belirtilmiş yazarlarından ve Evrim Ağacı'ndan başkasına aitmiş gibi sunulamaz. Bu sayfa izin alınmaksızın düzenlenemez, Evrim Ağacı logosu, yazar/editör bilgileri ve içeriğin diğer kısımları izin alınmaksızın değiştirilemez veya kaldırılamaz.