Gölge Enerji: Işık Yemeyen, Karanlığı Seven Bakteriler!
Radyasyonun Canlılar İçin Yeni Bir Enerji Kaynağı Olması
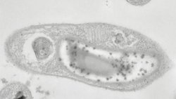
Desulforudis audaxviator
- Blog Yazısı
Hayat dediğimiz şey çoğunlukla ışığa bağlıdır. Bitkiler güneş ışığını emer, hayvanlar bitkileri ya da birbirlerini yer, biz insanlar da enerjimizi bu zincirin ucundan alırız. Ama bazı canlılar var ki ışığa değil, karanlığa bağımlı. Güneş ışığı olmadan hayatta kalan, enerjisini görünmeyen kaynaklardan alan bakterilerden bahsediyoruz. Işık yemeyen bu mikroskobik canlılar, yerin derinliklerinde, okyanus tabanlarında, hatta nükleer reaktörlerin yakınında yaşıyorlar.
Bu bakterilere verilen isim: "Desulforudis audaxviator" yani radyasyona dirençli bakteri.
:sharpen(0.5,0.5,true)/content%2F8af7388b-298f-4e22-8982-a938034e7220.jpeg)
Radyoaktif Hayat: Karanlıktan Enerji Emen Canlılar
Düşün bir: Güneş ışığının asla ulaşmadığı, oksijenin bulunmadığı, toksik maddelerle dolu bir ortam. Bir insan ya da hayvan için ölümcül olan bu şartlar, bazı bakteriler için adeta bir ziyafete dönüşüyor. Bilim insanları, "Moskova yakınlarındaki terk edilmiş bir nükleer test sahasında", uranyumla kaplı kayaların yüzeyinde ince siyah bir bakteri tabakası keşfettiklerinde gözlerine inanamadı. Bu canlılar, hiçbir klasik enerji kaynağı olmadan hayatta kalıyorlardı. Ne güneş ışığı, ne organik besin, ne de oksijen… Peki ama nasıl?
Yapılan incelemeler, bu bakterilerin "iyonlaştırıcı radyasyonu"bir tür enerji kaynağı olarak kullanabildiğini ortaya koydu. Bu, daha önce doğrudan gözlenmemiş bir yaşam biçimiydi.
Karanlıkta Gelişen Yaşam Formları
Bu organizmalar, klasik yaşam formu tanımlarımıza uymuyor. Onlar için ne güneş gerekli, ne de organik besin. Bazen sadece bir avuç toryum ya da uranyum minerali yeterli oluyor. Radyasyon emildikçe, hücre içindeki bazı proteinler, bu enerjiyi ATP üretimine yönlendiriyor. Bir nevi nükleer batarya gibi çalışıyorlar.
Dr. Belikov, bu bakterilerin derin uzaydaki yaşam ihtimali için büyük ipuçları verdiğini söylüyor:
Eğer Güneş ışığı olmadan bu kadar az enerjiyle bile hayat sürdürülebiliyorsa, Mars’ın altında ya da Europa’nın buz tabakalarının altında yaşam olmaması için hiçbir neden yok.
Radyasyonla Temizlenmiş Toprak
Bu bakterilerin dünyadaki pratik kullanım alanları da oldukça çarpıcı. Nükleer felaket bölgelerinde radyasyonu emip, zararlı iyonları parçalayarak toprağı arındırmaları sağlanabilir. Japonya’daki Fukuşima reaktörü çevresinde şu anda bu bakterilerle yapılan pilot bir proje başlatıldı bile. Radyasyonu emerken aynı zamanda genetik olarak programlanarak çevreye faydalı maddeler salgılayabiliyorlar: örneğin demiri ayrıştırarak kullanışlı hale getirme veya toprak pH’ını düzenleme gibi.
Bir Gün Kendi Kendine Temizlenen Kentler?
Gelecek hayalinde, binaların dış cephesine kaplanmış bakteriyel tabakalarla radyasyonu filtreleyen akıllı şehirler olabilir. Belki de en yoğun trafikli caddelerde dahi, bu bakteriler, havadaki serbest radikalleri ve iyonları emerek, yaşayan hava filtreleri gibi çalışabilirler. Bilim insanları, bu fikre “BiyoKalkan Şehirler” diyor.
Yaşam Nedir Sorusuna Yeni Bir Yanıt
Bu bakteriler, bizlere şunu bir kez daha hatırlatıyor: Hayat sandığımızdan çok daha dayanıklı ve çok daha yaratıcı. Güneşsiz, susuz, oksijensiz... hatta radyoaktif bir karanlıkta bile yaşam kendine bir yol bulabiliyor. Belki de evrende yalnız değiliz. Belki de sadece yanlış ışık altında bakıyoruzdur.
- 0
- 0
- 0
- 0
- 0
- 0
- 0
- 0
- 0
- 0
- 0
- 0
- A. Madrigal. One-Organism Ecosystem Discovered In African Gold Mine. (9 Ekim 2008). Alındığı Tarih: 17 Nisan 2025. Alındığı Yer: WIRED | Arşiv Bağlantısı
- E. Fritz, Tomsk State University, et al. Scientists Find An Underground Bacterium That Could Live On Mars. (23 Nisan 2019). Alındığı Tarih: 17 Nisan 2025. Alındığı Yer: phys | Arşiv Bağlantısı
- T. H. Saey. Community Of One. (9 Ekim 2008). Alındığı Tarih: 18 Nisan 2025. Alındığı Yer: Science News | Arşiv Bağlantısı
- D. Chivian , E. L. Brodie, E. J. Alm, D. E. Culley, P. S. Dehal, T. Z. DeSantis, T. M. Gihring, A. Lapidus, L. H. Lin, S. R. Lowry, D. P. Moser, P. M. Richardson, G. Southam, G. Wanger, L. M. Pratt, G. L. Andersen, T. C. Hazen, F. J. Brockman, A. P., et al. Environmental Genomics Reveals A Single-Species Ecosystem Deep Within Earth. (10 Ekim 2025). Alındığı Tarih: 18 Nisan 2025. Alındığı Yer: science doi: 10.1126/science.1155495. | Arşiv Bağlantısı
- D. Orf. A Lifeform Named Conan The Bacterium Defies Radiation. Its Secrets Could Save Humans.. (16 Aralık 2024). Alındığı Tarih: 18 Nisan 2025. Alındığı Yer: Popular Mechanics | Arşiv Bağlantısı
- A. Gronstal. Life In The Extreme: Radiation. Alındığı Tarih: 18 Nisan 2025. Alındığı Yer: astrobiology | Arşiv Bağlantısı
- Wikipedia. Desulforudis Audaxviator. (14 Ekim 2008). Alındığı Tarih: 18 Nisan 2025. Alındığı Yer: Wikipedia | Arşiv Bağlantısı
Evrim Ağacı'na her ay sadece 1 kahve ısmarlayarak destek olmak ister misiniz?
Şu iki siteden birini kullanarak şimdi destek olabilirsiniz:
kreosus.com/evrimagaci | patreon.com/evrimagaci
Çıktı Bilgisi: Bu sayfa, Evrim Ağacı yazdırma aracı kullanılarak 08/02/2026 18:27:48 tarihinde oluşturulmuştur. Evrim Ağacı'ndaki içeriklerin tamamı, birden fazla editör tarafından, durmaksızın elden geçirilmekte, güncellenmekte ve geliştirilmektedir. Dolayısıyla bu çıktının alındığı tarihten sonra yapılan güncellemeleri görmek ve bu içeriğin en güncel halini okumak için lütfen şu adrese gidiniz: https://evrimagaci.org/s/20395
İçerik Kullanım İzinleri: Evrim Ağacı'ndaki yazılı içerikler orijinallerine hiçbir şekilde dokunulmadığı müddetçe izin alınmaksızın paylaşılabilir, kopyalanabilir, yapıştırılabilir, çoğaltılabilir, basılabilir, dağıtılabilir, yayılabilir, alıntılanabilir. Ancak bu içeriklerin hiçbiri izin alınmaksızın değiştirilemez ve değiştirilmiş halleri Evrim Ağacı'na aitmiş gibi sunulamaz. Benzer şekilde, içeriklerin hiçbiri, söz konusu içeriğin açıkça belirtilmiş yazarlarından ve Evrim Ağacı'ndan başkasına aitmiş gibi sunulamaz. Bu sayfa izin alınmaksızın düzenlenemez, Evrim Ağacı logosu, yazar/editör bilgileri ve içeriğin diğer kısımları izin alınmaksızın değiştirilemez veya kaldırılamaz.