Keşfedin, Öğrenin ve Paylaşın
Evrim Ağacı'nda Aradığın Her Şeye Ulaşabilirsin!
Paylaşım Yap
Tüm Reklamları Kapat

DEHB Beyinde Nasıl Çalışıyor? Nörobiyolojik Bir Bakış

Dikkat eksikliği ve hiperaktivite bozukluğu sadece “dikkat sorunu” değil; beynin yapısı, nörotransmitter sistemleri ve genetik farklılıklarla ilişkili nörogelişimsel bir durum.

2 dakika
89
DEHB Beyinde Nasıl Çalışıyor? Nörobiyolojik Bir Bakış Wikipedia
  • Blog Yazısı
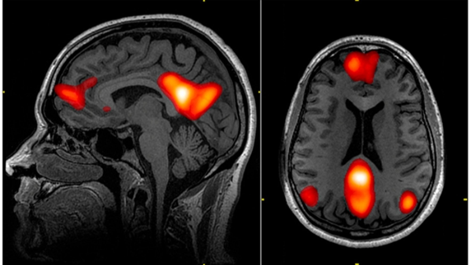
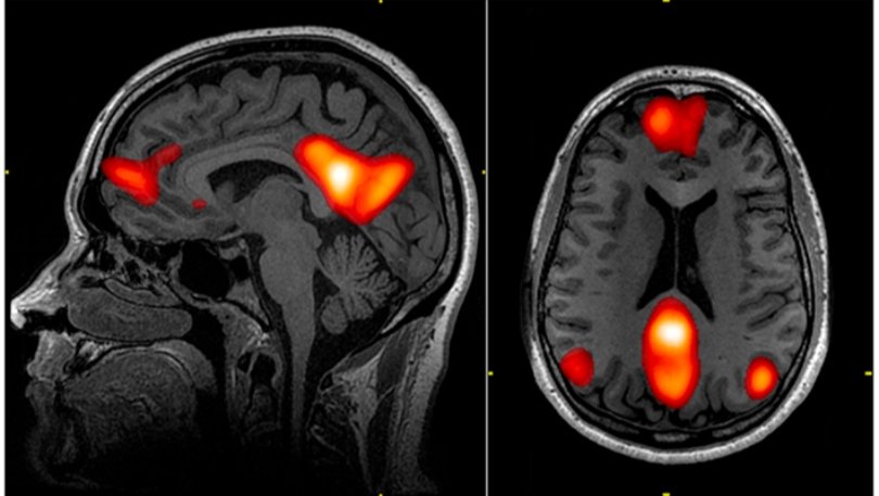
Default Mode Network (DMN) — Beynin dinlenme hâlinde aktif olan büyük ölçekli ağının fMRI görüntüsü.
Blog Yazısı
Tüm Reklamları Kapat

DEHB Beyinde Gerçekten Ne Oluyor?

DEHB hakkında en çok duyduğumuz şey şu:

“Dikkatini versin, yapar.”

Keşke olay bu kadar basit olsaydı.

Tüm Reklamları Kapat

Son yıllarda yapılan beyin araştırmaları şunu gösteriyor: DEHB bir “istek meselesi” değil. Beynin bazı bölgeleri ve kimyasal dengeleri gerçekten farklı çalışıyor. Yani mesele tembellik ya da karakter değil; nörobiyoloji.

Peki biraz daha yakından bakalım.

Beynin Ön Tarafı ve “Fren Sistemi”

Beynimizin ön kısmında, alın bölgesinin hemen arkasında duran bir yer var: prefrontal korteks. Burası plan yapmamızı, dikkatimizi sürdürmemizi, ani dürtülerimizi bastırmamızı sağlıyor. Kısacası beynin “yönetici” kısmı.

DEHB’de bu bölgenin gelişimi bazen biraz gecikebiliyor ya da işleyişi farklı olabiliyor. Bu da şuna yol açıyor:

Tüm Reklamları Kapat

• Yapılması gereken işe başlamakta zorlanma

• Başlansa bile sürdürmekte zorlanma

• “Bir anlık” kararlarla hareket etme

• Erteleme döngüsü

Evrim Ağacı'ndan Mesaj

Evrim Ağacı'nın çalışmalarına Kreosus, Patreon veya YouTube üzerinden maddi destekte bulunarak hem Türkiye'de bilim anlatıcılığının gelişmesine katkı sağlayabilirsiniz, hem de site ve uygulamamızı reklamsız olarak deneyimleyebilirsiniz. Reklamsız deneyim, sitemizin/uygulamamızın çeşitli kısımlarda gösterilen Google reklamlarını ve destek çağrılarını görmediğiniz, %100 reklamsız ve çok daha temiz bir site deneyimi sunmaktadır.

Kreosus

Kreosus'ta her 50₺'lik destek, 1 aylık reklamsız deneyime karşılık geliyor. Bu sayede, tek seferlik destekçilerimiz de, aylık destekçilerimiz de toplam destekleriyle doğru orantılı bir süre boyunca reklamsız deneyim elde edebiliyorlar.

Kreosus destekçilerimizin reklamsız deneyimi, destek olmaya başladıkları anda devreye girmektedir ve ek bir işleme gerek yoktur.

Patreon

Patreon destekçilerimiz, destek miktarından bağımsız olarak, Evrim Ağacı'na destek oldukları süre boyunca reklamsız deneyime erişmeyi sürdürebiliyorlar.

Patreon destekçilerimizin Patreon ile ilişkili e-posta hesapları, Evrim Ağacı'ndaki üyelik e-postaları ile birebir aynı olmalıdır. Patreon destekçilerimizin reklamsız deneyiminin devreye girmesi 24 saat alabilmektedir.

YouTube

YouTube destekçilerimizin hepsi otomatik olarak reklamsız deneyime şimdilik erişemiyorlar ve şu anda, YouTube üzerinden her destek seviyesine reklamsız deneyim ayrıcalığını sunamamaktayız. YouTube Destek Sistemi üzerinde sunulan farklı seviyelerin açıklamalarını okuyarak, hangi ayrıcalıklara erişebileceğinizi öğrenebilirsiniz.

Eğer seçtiğiniz seviye reklamsız deneyim ayrıcalığı sunuyorsa, destek olduktan sonra YouTube tarafından gösterilecek olan bağlantıdaki formu doldurarak reklamsız deneyime erişebilirsiniz. YouTube destekçilerimizin reklamsız deneyiminin devreye girmesi, formu doldurduktan sonra 24-72 saat alabilmektedir.

Diğer Platformlar

Bu 3 platform haricinde destek olan destekçilerimize ne yazık ki reklamsız deneyim ayrıcalığını sunamamaktayız. Destekleriniz sayesinde sistemlerimizi geliştirmeyi sürdürüyoruz ve umuyoruz bu ayrıcalıkları zamanla genişletebileceğiz.

Giriş yapmayı unutmayın!

Reklamsız deneyim için, maddi desteğiniz ile ilişkilendirilmiş olan Evrim Ağacı hesabınıza yapmanız gerekmektedir. Giriş yapmadığınız takdirde reklamları görmeye devam edeceksinizdir.

Yani kişi istemediği için değil, beyin freni gerektiği gibi tutmadığı için zorlanıyor.

Dopamin Meselesi

DEHB konuşulurken en çok adı geçen şeylerden biri dopamin.

Dopamin, motivasyon ve ödül sistemiyle ilgili bir nörotransmitter. Bir işi yapmaya “değer” hissetmemizi sağlıyor. İlginç olan şu: DEHB’de dopamin sistemi biraz farklı çalışabiliyor.

Bu yüzden:

• İlginç bir şey saatlerce yapılabilirken

• Sıkıcı ama gerekli bir işe başlamak aşırı zor olabiliyor

Tüm Reklamları Kapat

Bu çelişki dışarıdan bakınca “isteyince yapıyor işte” gibi görünüyor. Ama aslında mesele ilgi değil; beynin ödül sisteminin nasıl çalıştığı.

Dikkat Dağınıklığı mı, Ağ Yönetimi mi?

Beynimiz tek parça çalışan bir organ değil. Farklı ağlar var. Mesela biri görev yaparken aktif oluyor, biri dinlenirken.

Bazı araştırmalar, DEHB’de bu ağlar arasındaki geçişlerin daha düzensiz olabileceğini gösteriyor. Özellikle “zihnin boşta dolaştığı” ağ (default mode network) görev sırasında tam olarak kapanmayabiliyor.

Tüm Reklamları Kapat

Sonuç?

Kafanın içi sürekli açık sekmelerle dolu bir tarayıcı gibi.

Genetik Tarafı

DEHB’nin genetik yönü de güçlü. Aile içinde sık görülmesi tesadüf değil. Ama bu tek bir “DEHB geni” olduğu anlamına gelmiyor. Daha çok, birçok küçük genetik etkinin birleşimi söz konusu.

Yani bu durum bir tercih değil. “Disiplin eksikliği” hiç değil.

Tüm Reklamları Kapat

Agora Bilim Pazarı
Büyük Evrimsel Geçişler (Evrim Ağacı İstanbul Topluluğu)
Evrim tarihi, yalnızca mevcut yapıların zaman içinde küçük iyileştirmelerle değişmesinden ibaret değildir. Bazı süreçler ise kendilerinden önce gelen yapılardan kategorik ve niteliksel olarak farkl...
Devamını Göster
₺300,00 ₺0,00
Büyük Evrimsel Geçişler (Evrim Ağacı İstanbul Topluluğu)

Sonuç Olarak

DEHB, beynin dikkat, motivasyon ve dürtü kontrol sistemlerinin farklı çalışmasıyla ilgili bir durum. Bu fark, kişinin zekâsıyla ya da potansiyeliyle ilgili değil.

Birçok DEHB’li birey:

• Yaratıcı

• Hızlı düşünen

• Yoğun odaklanma kapasitesine sahip

Ama sistemleri farklı çalışıyor.

Bunu “sorunlu olmak” yerine “farklı çalışmak” olarak görmek, hem birey hem toplum için çok daha sağlıklı bir yaklaşım.

Okundu Olarak İşaretle
2
0
  • Paylaş
  • Alıntıla
  • Alıntıları Göster
Paylaş
Sonra Oku
Notlarım
Yazdır / PDF Olarak Kaydet
Raporla
Mantık Hatası Bildir
Yukarı Zıpla
Bu Blog Yazısı Sana Ne Hissettirdi?
  • Tebrikler! 1
  • Muhteşem! 0
  • Bilim Budur! 0
  • Mmm... Çok sapyoseksüel! 0
  • Güldürdü 0
  • İnanılmaz 0
  • Umut Verici! 0
  • Merak Uyandırıcı! 0
  • Üzücü! 0
  • Grrr... *@$# 0
  • İğrenç! 0
  • Korkutucu! 0
Kaynaklar ve İleri Okuma
Tüm Reklamları Kapat

Evrim Ağacı'na her ay sadece 1 kahve ısmarlayarak destek olmak ister misiniz?

Şu iki siteden birini kullanarak şimdi destek olabilirsiniz:

kreosus.com/evrimagaci | patreon.com/evrimagaci

Çıktı Bilgisi: Bu sayfa, Evrim Ağacı yazdırma aracı kullanılarak 13/05/2026 20:27:57 tarihinde oluşturulmuştur. Evrim Ağacı'ndaki içeriklerin tamamı, birden fazla editör tarafından, durmaksızın elden geçirilmekte, güncellenmekte ve geliştirilmektedir. Dolayısıyla bu çıktının alındığı tarihten sonra yapılan güncellemeleri görmek ve bu içeriğin en güncel halini okumak için lütfen şu adrese gidiniz: https://evrimagaci.org/s/22357

İçerik Kullanım İzinleri: Evrim Ağacı'ndaki yazılı içerikler orijinallerine hiçbir şekilde dokunulmadığı müddetçe izin alınmaksızın paylaşılabilir, kopyalanabilir, yapıştırılabilir, çoğaltılabilir, basılabilir, dağıtılabilir, yayılabilir, alıntılanabilir. Ancak bu içeriklerin hiçbiri izin alınmaksızın değiştirilemez ve değiştirilmiş halleri Evrim Ağacı'na aitmiş gibi sunulamaz. Benzer şekilde, içeriklerin hiçbiri, söz konusu içeriğin açıkça belirtilmiş yazarlarından ve Evrim Ağacı'ndan başkasına aitmiş gibi sunulamaz. Bu sayfa izin alınmaksızın düzenlenemez, Evrim Ağacı logosu, yazar/editör bilgileri ve içeriğin diğer kısımları izin alınmaksızın değiştirilemez veya kaldırılamaz.

Aklımdan Geçen
Komünite Seç
Aklımdan Geçen
Fark Ettim ki...
Bugün Öğrendim ki...
İşe Yarar İpucu
Bilim Haberleri
Hikaye Fikri
Video Konu Önerisi
Başlık
Kafana takılan neler var?
Gündem
Bağlantı
Ekle
Soru Sor
Stiller
Kurallar
Komünite Kuralları
Bu komünite, aklınızdan geçen düşünceleri Evrim Ağacı ailesiyle paylaşabilmeniz içindir. Yapacağınız paylaşımlar Evrim Ağacı'nın kurallarına tabidir. Ayrıca bu komünitenin ek kurallarına da uymanız gerekmektedir.
1
Bilim kimliğinizi önceleyin.
Evrim Ağacı bir bilim platformudur. Dolayısıyla aklınızdan geçen her şeyden ziyade, bilim veya yaşamla ilgili olabilecek düşüncelerinizle ilgileniyoruz.
2
Propaganda ve baskı amaçlı kullanmayın.
Herkesin aklından her şey geçebilir; fakat bu platformun amacı, insanların belli ideolojiler için propaganda yapmaları veya başkaları üzerinde baskı kurma amacıyla geliştirilmemiştir. Paylaştığınız fikirlerin değer kattığından emin olun.
3
Gerilim yaratmayın.
Gerilim, tersleme, tahrik, taciz, alay, dedikodu, trollük, vurdumduymazlık, duyarsızlık, ırkçılık, bağnazlık, nefret söylemi, azınlıklara saldırı, fanatizm, holiganlık, sloganlar yasaktır.
4
Değer katın; hassas konulardan ve öznel yoruma açık alanlardan uzak durun.
Bu komünitenin amacı okurlara hayatla ilgili keyifli farkındalıklar yaşatabilmektir. Din, politika, spor, aktüel konular gibi anlık tepkilere neden olabilecek konulardaki tespitlerden kaçının. Ayrıca aklınızdan geçenlerin Türkiye’deki bilim komünitesine değer katması beklenmektedir.
5
Cevap hakkı doğurmayın.
Aklınızdan geçenlerin bu platformda bulunmuyor olabilecek kişilere cevap hakkı doğurmadığından emin olun.
Size Özel
Makaleler
Daha Fazla İçerik Göster
Popüler Yazılar
30 gün
90 gün
1 yıl
Evrim Ağacı'na Destek Ol

Evrim Ağacı'nın %100 okur destekli bir bilim platformu olduğunu biliyor muydunuz? Evrim Ağacı'nın maddi destekçileri arasına katılarak Türkiye'de bilimin yayılmasına güç katın.

Evrim Ağacı'nı Takip Et!
Geçmiş ve Notlar
Yazı Geçmişi
Okuma Geçmişi
Notlarım
İlerleme Durumunu Güncelle
Okudum
Sonra Oku
Not Ekle
İşaretle
Göz Attım
Site Ayarları

Evrim Ağacı tarafından otomatik olarak takip edilen işlemleri istediğin zaman durdurabilirsin.

[Site ayalarına git...]
Bu Yazıdaki Hareketleri
Daha Fazla göster
Tüm Okuma Geçmişin
Daha Fazla göster
0/10000
Kaydet
Keşfet
Ara
Yakında
Sohbet
Agora

Bize Ulaşın

ve seni takip ediyor
Türkiye'deki bilimseverlerin buluşma noktasına hoşgeldiniz!

Göster

Şifremi unuttum Üyelik Aktivasyonu

Göster

Şifrenizi mi unuttunuz? Lütfen e-posta adresinizi giriniz. E-posta adresinize şifrenizi sıfırlamak için bir bağlantı gönderilecektir.

Geri dön

Eğer aktivasyon kodunu almadıysanız lütfen e-posta adresinizi giriniz. Üyeliğinizi aktive etmek için e-posta adresinize bir bağlantı gönderilecektir.

Geri dön

Close
"Gerçekler, görmezden gelindiler diye yok olmazlar."
Aldous Huxley
Kapak Görseli Seç
Videodan otomatik olarak çıkartılan karelerden birini seçin.
Kareler yükleniyor…
Videoyu kaydırarak istediğiniz kareyi seçin.
0:00 / 0:00
Kendi kapak görselinizi yükleyin. Görsel otomatik olarak kırpılacaktır.
Görseli sürükleyin veya tıklayın PNG, JPG veya WEBP (Maks. 10MB)