Beyin Kanaması Nedir? Beyin Kanaması Geçirdiğinizi Nasıl Anlarsınız?

- Hastalık Kataloğu
- Nörolojik Cerrahi (Nöroşirürji)
Bu içerik tıp ve sağlık ile ilişkilidir. Sadece bilgi amaçlı olarak hazırlanmıştır. Bireysel bir tıbbi tavsiye olarak görülmemelidir. Evrim Ağacı'ndaki hiçbir içerik; profesyonel bir hekim tarafından verilen tıbbi tavsiyelerin, konulan bir teşhisin veya önerilen bir tedavinin yerini alacak biçimde kullanılmamalıdır.
- Türkçe Adı Beyin Kanaması
- İngilizce Adı Intracerebral Hemorrhage
- ICD I61
- Diğer İsimleri Intraserebral hemoraji, Intraserebral kanama, Hemorajik inme
Bu Makalede Neler Öğreneceksiniz?
- Identify brain hemorrhage as the second most common stroke type, caused mainly by hypertension, cerebral amyloid angiopathy, vascular malformations, and anticoagulant treatments.
- Recommend immediate brain CT imaging to differentiate brain hemorrhage from ischemic stroke and initiate acute treatment including blood pressure control and possible surgical hematoma evacuation.
- Describe symptoms varying by hemorrhage location, including contralateral hemiparesis, aphasia, vision loss, coma, ataxia, and frequent epileptic seizures.
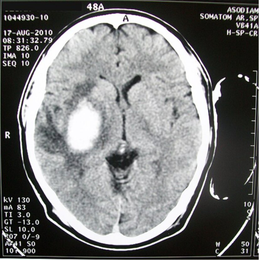
Beyin kanaması, beyin parankiminde oluşan kanamadır ve iskemik inmeden sonra en sık görülen ikinci inme (felç) türüdür. En sık görülen nedenler arasında yüksek tansiyon, serebral amiloid anjiyopati, vasküler malformasyonlar ve antikoagülan tedaviler yer alır. Kanamanın yeri ve derecesine bağlı olarak farklı belirti ve bulgular ortaya çıkar. Semptomlar genellikle bilinçte azalma, uzuvlarda kuvvet kaybı, konuşma bozuklukları ve baş ağrılarıdır.
Klinik olarak beyin kanaması iskemik inmeden güvenilir bir şekilde ayırt edilemez, bu nedenle bilgisayarlı beyin tomografi görüntülemesinin mümkün olan en kısa sürede yapılması gerekir. Akut tedavinin bir parçası olarak sık sık artan kan basıncı ve her türlü kanama diyatezi tedavi edilmelidir. Kafa içi basıncı yükselirse, kafa içi basıncını düşürmeye yönelik önlemler alınmalıdır. Hematomun (kanın damar dışına sızması ve dokular arası boşlukta birikmesi durumu) beyin cerrahisi yoluyla boşaltılması kimi zaman gerekli olabilir.
Belirti ve Bulgular
Hastalığın belirti ve semptomları kanamanın oluştuğu yere göre değişmektedir. Semptomlar genel hatlarıyla şu şekilde sıralanabilir:
- Bazal ganglion
- Kontralateral hemiparezi (Kanamanın olduğu yerin çapraz tarafında felç)
- Lezyonun olduğu yöne gözlerin istemsiz kayması
- Afazi (Söz yitimi, beynin konuşma ve anlama bölgelerinde meydana gelen işlev bozukluğu sonucu ortaya çıkan konuşma, konuşulanı anlama, tekrarlama, okuma-yazma gibi becerilerin gerçekleştirilememesi sorunu)
- Görme kaybı
- Talamus
- Bilinç kaybı
- Kontralateral hemihipestezi ( Kanamanın olduğu yerin çapraz tarafında duyu kaybı)
- Vertikal bakış felci (yukarı-aşağı yönde)
- Pons
- Koma
- Tetraparezi (tüm ekstremitelerde felç)
- Beyincik
- Ataksi
- Kusma
- Baş dönmesi
- Nistagmus (göz titremesi)
- Lobar kanamalar
- Bölgesel felç veya duyu kaybı
- Sık sık epileptik nöbet

Hastalıkla İlişkili Genler, Etken Faktörler ve Risk Faktörleri
İntraserebral kanama riskinin üçte biri genetik çeşitlilikle açıklanabilir; bu nedenle popülasyonlar arasındaki genetik farklılıklar, görülme sıklığındaki farkı kısmen açıklayabilir. Etnik kökenler arasında spontan intraserebral kanama görülme sıklığında da farklılıklar mevcuttur. Bu varyasyonun yaklaşık %42'si etnik köken tarafından açıklanmaktadır. APOE (birden fazla etnik kökende), PMF1/SLC25A44 (Avrupa'da), ACE (Asya'da), MTHFR (birden fazla etnik kökende), TRHDE (Avrupa'da) ve COL4A2 (Avrupa'da) varyasyonları beyin kanaması için en ikna edici şekilde ilişkili olan genlerdir.
Teşhis Yöntemleri
İntraserebral kanama, hayati tehlikesi bulunan tıbbi bir acil durumdur. Bu nedenle zamanında teşhis kritik öneme sahiptir. İntraserebral kanamayı iskemik inmeden güvenilir bir şekilde ayırmak için beyin görüntülemesi yapılmalıdır. Bilgisayarlı Tomografi (BT) ve Anjiyografi veya Magnet Rezonans Tomografi (MRT) ve Anjiyografi başlangıç için uygundur. Acil durumlarda Bilgisayarlı Tomografi, hız ve maliyet bakımından daha kullanışlı olup tanılama becerisi açısından ise Magnet Rezonans Tomografi ile anlamlı bir farkı bulunmamaktadır.

Beyin kanamaları için en büyük risklerden biri yüksek tansiyon hastalığıdır. Yüksek tansiyon zamanla beyin damarlarının iç çeperinin elastik yapısını zedeleyip en sonunda direncini kaybetmesine neden olmaktadır. Bu direnç kaybı da zedelenmenin olduğu damar bölgesinden kanamanın başlamasına yol açmaktadır. Bilgisayarlı Tomografi ile kanamanın tespiti sonrası bu kez kontrast madde ile beyin damarlarının görüntülenmesi, kanamanın kaynaklandığı damarların tespiti ve tedavi stratejisi açısından hekimlere bilgi vermektedir.
Tedaviler veya İdare Yöntemleri
Tedavi yaklaşımları konservatif (koruyucu) ve cerrahi yöntemler olarak ikiye ayrılır. Beyin kanamasının Bilgisayarlı Tomografi'de tanılanması kanamanın zamansal boyunu göstermez. Kanamanın hâlâ devam edip etmediği, sızma şeklinde mi yoksa dramatik şekilde yoğun bir kanama mı olduğu bu görüntülemeyle anlaşılmaz ancak pratik olarak kanamanın devam ettiği varsayılarak bu durumu engelleyici hemostatik stratejiler ilk aşamada uygulanır.
Bu aşamada en önemli husus, hastanın ilaç kullanım öyküsüdür. Eğer hasta antikoagülan bir ilaç kullanmıyorsa traneksamik asit koruyucu olarak başlanır. Traneksamik asit, kanın pıhtılaşmasını sağlayan fibrin proteinin enzimatik yıkımını (fibrinoliz) sağlayan plazmin enziminin plazminojen proenziminden oluşmasını tetikler.

Burada ayrı bir parantez, halk arasında kan sulandırıcı olarak da bilinen antikoagülan ilaçlar için açılmalıdır. Kanın damarlardaki akışkanlığını belirleyen bazı faktörler bulunmaktadır. Kimi faktörler kanı daha akışkan yaparken (antikoagülan) kimisi daha viskoz, yani pıhtılı (koagülan) yapmaktadır. Normalde bu iki tip faktör grubu arasında bir denge bulunmaktadır ve böylece dokularımız, kanda bulunan besin ve oksijene herhangi bir gecikme olmaksızın erişmektedir. Kısaca herhangi bir kanamada, yani kanın damarlardan dışarıya doğru aktığı durumlarda koagülan faktörler devreye girip en hızlı şekilde bu sızıntıyı kanı bir miktar pıhtılaştırarak durdurur. Böylece kan kaybı daha az olur ve kan hacmi korunmuş olur. Yine de bu pıhtılaşma sonsuza kadar sürmez, ilgili damar kısmı onarıldıktan sonra bu kez antikoagülan faktörler devreye girer ve kanı tekrar akışkan hale getirir.
Bir sebeple bu denge kanın viskoz olması yönünde bozulmuşsa (kalp ritim bozukluğu, tespit edilmiş bir damar tıkanıklığı veya darlığı, kalp kapağı ameliyatları sonrası, genetik damar onarım faktör eksiklikleri gibi) genellikle hekimler dengeyi tekrar sabitleyebilmek için antikoagülan ilaçlara başlar. Bu ilaçların istenmeyen bir etki olarak dengeyi bu kez de kanın akışkan yöne kaydırması ve en son hali itibarıyla sadece beyin için değil, vücudun herhangi bir yerinde kanama riski açığa çıkarması büyük bir risk faktörüdür.
Eğer beyin kanaması tanısıyla servise alınmış bir hastanın antikoagülan ilaç kullanım öyküsü varsa antidot olarak ilgili ilacın etki mekanizmasına göre bu durumu antagonize etmek gerekir [Vitamin K Antagonisti olan Cumarin veya Warfarin gibi ilaçlara karşı K-Vitamini veya Protrombin konsantreleri (PPSB); Direkt oral Antikoagülan olan Apixaban ve Rivaroxabana karşı Andaxanet alfa; Dabigatrana karşı Idarucizumab ve Edoxabana karşı yine Protrombin konsantreleri].
Evrim Ağacı'nın çalışmalarına Kreosus, Patreon veya YouTube üzerinden maddi destekte bulunarak hem Türkiye'de bilim anlatıcılığının gelişmesine katkı sağlayabilirsiniz, hem de site ve uygulamamızı reklamsız olarak deneyimleyebilirsiniz. Reklamsız deneyim, sitemizin/uygulamamızın çeşitli kısımlarda gösterilen Google reklamlarını ve destek çağrılarını görmediğiniz, %100 reklamsız ve çok daha temiz bir site deneyimi sunmaktadır.
KreosusKreosus'ta her 50₺'lik destek, 1 aylık reklamsız deneyime karşılık geliyor. Bu sayede, tek seferlik destekçilerimiz de, aylık destekçilerimiz de toplam destekleriyle doğru orantılı bir süre boyunca reklamsız deneyim elde edebiliyorlar.
Kreosus destekçilerimizin reklamsız deneyimi, destek olmaya başladıkları anda devreye girmektedir ve ek bir işleme gerek yoktur.
PatreonPatreon destekçilerimiz, destek miktarından bağımsız olarak, Evrim Ağacı'na destek oldukları süre boyunca reklamsız deneyime erişmeyi sürdürebiliyorlar.
Patreon destekçilerimizin Patreon ile ilişkili e-posta hesapları, Evrim Ağacı'ndaki üyelik e-postaları ile birebir aynı olmalıdır. Patreon destekçilerimizin reklamsız deneyiminin devreye girmesi 24 saat alabilmektedir.
YouTubeYouTube destekçilerimizin hepsi otomatik olarak reklamsız deneyime şimdilik erişemiyorlar ve şu anda, YouTube üzerinden her destek seviyesine reklamsız deneyim ayrıcalığını sunamamaktayız. YouTube Destek Sistemi üzerinde sunulan farklı seviyelerin açıklamalarını okuyarak, hangi ayrıcalıklara erişebileceğinizi öğrenebilirsiniz.
Eğer seçtiğiniz seviye reklamsız deneyim ayrıcalığı sunuyorsa, destek olduktan sonra YouTube tarafından gösterilecek olan bağlantıdaki formu doldurarak reklamsız deneyime erişebilirsiniz. YouTube destekçilerimizin reklamsız deneyiminin devreye girmesi, formu doldurduktan sonra 24-72 saat alabilmektedir.
Diğer PlatformlarBu 3 platform haricinde destek olan destekçilerimize ne yazık ki reklamsız deneyim ayrıcalığını sunamamaktayız. Destekleriniz sayesinde sistemlerimizi geliştirmeyi sürdürüyoruz ve umuyoruz bu ayrıcalıkları zamanla genişletebileceğiz.
Giriş yapmayı unutmayın!Reklamsız deneyim için, maddi desteğiniz ile ilişkilendirilmiş olan Evrim Ağacı hesabınıza üye girişi yapmanız gerekmektedir. Giriş yapmadığınız takdirde reklamları görmeye devam edeceksinizdir.
Beyin kanamasının tanılanması sonrasında hasta mutlaka yakın olarak gözlenmelidir. Bu gözlenme genellikle monitörizasyon ile inme ünitelerinde (Stroke-Unit) veya yoğun bakım ünitelerinde yapılmaktadır. İlk aşamada hastanın yaşamsal fonksiyonlarını gösteren solunum sayısı, kalp atım hızı, vücut sıcaklığı ve düzenli nörolojik fizik muayeneler ile genel sağlık durumu takip edilir. Yine hedef olarak kan basıncının sistolik düzeyde 140 mmHg'nın altında olması hedeflenir. Kanamaya bağlı olarak beyin basıncında artış meydana gelebilir. Bu durumda Mannitol, Gliserin gibi ödem azaltıcı ilaçlar kullanılır.
Cerrahi tedavi yöntemler, karar vermesi çok kolay olmayan, karmaşık karar süreçlerini kapsayan ve hastadan hastaya değişen bir kısım uygulamalara sahiptir. Karar vermede dikkat edilmesi gereken hususlar şu şekilde sıralanabilir:
- Kanamanın yeri ve boyutu,
- Ventriküler kollaps varlığı,
- Hastanın bilişsel durumu,
- Yaş,
- Eşlik eden hastalıklar.
Beyin kanamasında tercih edilen cerrahi yöntemler genel hatlarıyla şu şekilde sıralanabilir:
- Kraniyotomi: Beyni ortaya çıkarmak ve beyin içinde bir prosedür gerçekleştirmek için kafatasının bir kısmının geçici olarak çıkarıldığı cerrahi bir prosedürdür.
- Storeotaktik Hematom Aspirasyonu: Trepanasyon (kafatasının cerrahi olarak açılması) ve dura ponksiyonundan sonra kanama boşluğuna bir kateter yerleştirilerek hematomun sıvı kısmı aspire edilir. Daha sonra küçük miktarlarda ancak yüksek etkili antikoagülan madde (r-TPA veya ürokinaz) kanama boşluğuna verilir ve hematom, negatif basınç kullanılarak sıvılaştıktan sonra kanama kalıntısı çıkarılır. Gerekirse prosedür tekrarlanır (birkaç kez).
- Endoskopik Hematom Boşaltımı: Trepanasyon ve dural ponksiyon sonrasında kanama boşluğu ultrason kullanılarak endoskopla delinerek temizlenir.
Cerrahi işlemlerden hangisinin tercih edileceği vakanın oluştuğu yer, hastanın hastalıktan ne kadar etkilendiği, cerrahın tecrübesi gibi birçok faktöre bağlıdır.
Müddet Tahminleri (Prognoz)
Beyin kanamaları yüksek ölümcüllük tehlikesi taşımaktadır. İlk 1 ay içinde mortalite oranı %40, ilk bir yıl içinde ise yaklaşık %60 dolaylarındadır. Morbidite oranı ise %40'lara varmaktadır. Tekrarlama riski ilk bir yılda yaklaşık %2, sonraki yıllarda yaklaşık %1 olarak tespit edilmiştir. Prognostik açıdan olumsuz faktörler ise şu şekilde sıralanabilir:
- Büyük kan hacmi,
- İlk 24 saatte hematomda artış,
- Yüksek yaş,
- Antikoagülan tedavi veya hepatopati sırasında kanama,
- İlişkili intraventriküler kanama,
- Obstrüktif hidrosefali.
Görülme Sıklığı ve Dağılımı (Epidemiyoloji)
Beyin kanaması halk arasında inme olarak bilinen hastalığın ikinci en sık sebebidir. İnmenin en sık sebebi, beyin dokusunun beyine kan ulaştıran damarların bir pıhtı sebebiyle tıkanması veya damar çeperinin parçalanması sonucu oluşan disseksiyon sebebiyle beslenemediği iskemik durumlardır. İskemik inme hemorajik inmelere kıyasla yaklaşık 4 kat fazla görülmektedir. Dünyada yaklaşık her 100 bin kişiden 25'inde görülmektedir. Erkeklerde görülme sıklığı kadınlara göre 1,5 kat daha fazladır. Her yaşta görülme ihtimali olmakla beraber, yaş arttıkça görülme sıklığı da artmaktadır.
Önlem Yöntemleri
Önlem yöntemleri risk faktörlerinin azaltılması stratejisine dayanmaktadır. Beyin kanamasının önlem yöntemleri şu şekilde sıralanabilir:
- Sigara kullanımının azaltılması,
- Alkol tüketiminin kontrolü,
- Kan basıncının normalde 140/90 mm Hg'dan az, diyabet veya kronik kalp hastalarında 130/80 mmHg'dan az olması,
- Uyuşturuculardan kaçınılması.
Etimoloji
Eski Türkçe méyi veya méŋi "beyin, ilik" sözcüğü ile eş kökenlidir. Bu sözcük Eski Türkçe yazılı örneği bulunmayan méñi biçiminden evrilmiştir. Kan sözcüğü ise eski Türkçe aynı anlama gelen kān sözcüğünden evrilmiştir.
Latince intra, "içeride, içinde, içine" edatından gelen "içeride, içeride, içeride" anlamına gelir ve genellikle ekstra-'ya karşıdır ve birbirleriyle karşılaştırır. Klasik Latincede intra'nın önek olarak kullanılması nadirdir. Cranium kelimesi Yunanca kranion "kafatası"ndan gelir. Hemorrhage Latince hemorajiden, Yunanca haimorrhagia'dan, haima "kan"dan + rhagē "kırılma, boşluk, yarık"tan gelir.
Evrim Ağacı'nda tek bir hedefimiz var: Bilimsel gerçekleri en doğru, tarafsız ve kolay anlaşılır şekilde Türkiye'ye ulaştırmak. Ancak tahmin edebileceğiniz gibi Türkiye'de bilim anlatmak hiç kolay bir iş değil; hele ki bir yandan ekonomik bir hayatta kalma mücadelesi verirken...
O nedenle sizin desteklerinize ihtiyacımız var. Eğer yazılarımızı okuyanların %1'i bize bütçesinin elverdiği kadar destek olmayı seçseydi, bir daha tek bir reklam göstermeden Evrim Ağacı'nın bütün bilim iletişimi faaliyetlerini sürdürebilirdik. Bir düşünün: sadece %1'i...
O %1'i inşa etmemize yardım eder misiniz? Evrim Ağacı Premium üyesi olarak, ekibimizin size ve Türkiye'ye bilimi daha etkili ve profesyonel bir şekilde ulaştırmamızı mümkün kılmış olacaksınız. Ayrıca size olan minnetimizin bir ifadesi olarak, çok sayıda ayrıcalığa erişim sağlayacaksınız.
Makalelerimizin bilimsel gerçekleri doğru bir şekilde yansıtması için en üst düzey çabayı gösteriyoruz. Gözünüze doğru gelmeyen bir şey varsa, mümkünse güvenilir kaynaklarınızla birlikte bize ulaşın!
Bu makalemizle ilgili merak ettiğin bir şey mi var? Buraya tıklayarak sorabilirsin.
Soru & Cevap Platformuna Git- 16
- 15
- 7
- 3
- 1
- 1
- 0
- 0
- 0
- 0
- 0
- 0
- Y. Chen, et al. (2018). Genetic Polymorphisms Associated With Spontaneous Intracerebral Hemorrhage. International Journal of Molecular Sciences, sf: 3879. doi: 10.3390/ijms19123879. | Arşiv Bağlantısı
- I. C. Hostettler, et al. (2019). Intracerebral Hemorrhage: An Update On Diagnosis And Treatment. Informa UK Limited, sf: 679-694. doi: 10.1080/14737175.2019.1623671. | Arşiv Bağlantısı
- Amboss. Intrazerebrale Blutung. Alındığı Tarih: 6 Kasım 2023. Alındığı Yer: Amboss | Arşiv Bağlantısı
- R. Thomas, et al. (2023). Craniotomy. ISBN: 32809757. Yayınevi: StatPearls Publishing.
- J. Trabert, et al. (2012). Intrakranielle Blutungen. Der Nervenarzt, sf: 1643-1653. doi: 10.1007/s00115-012-3559-9. | Arşiv Bağlantısı
- Etymonline. Hemorrhage | Search Online Etymology Dictionary. Alındığı Tarih: 9 Kasım 2023. Alındığı Yer: Etymonline | Arşiv Bağlantısı
- Etymonline. Intra- | Search Online Etymology Dictionary. Alındığı Tarih: 9 Kasım 2023. Alındığı Yer: Etymonline | Arşiv Bağlantısı
- Etymonline. Cranial | Search Online Etymology Dictionary. Alındığı Tarih: 9 Kasım 2023. Alındığı Yer: Etymonline | Arşiv Bağlantısı
- Nişanyan Sözlük. Kan - Nişanyan Sözlük. Alındığı Tarih: 9 Kasım 2023. Alındığı Yer: Nişanyan Sözlük | Arşiv Bağlantısı
- Nişanyan Sözlük. Beyin - Nişanyan Sözlük. Alındığı Tarih: 9 Kasım 2023. Alındığı Yer: Nişanyan Sözlük | Arşiv Bağlantısı
- M. T. C. Poon, et al. Epidemiology Of Intracerebral Haemorrhage. (13 Kasım 2015). Alındığı Tarih: 9 Kasım 2023. Alındığı Yer: Karger Publishers doi: 10.1159/000437109. | Arşiv Bağlantısı
Evrim Ağacı'na her ay sadece 1 kahve ısmarlayarak destek olmak ister misiniz?
Şu iki siteden birini kullanarak şimdi destek olabilirsiniz:
kreosus.com/evrimagaci | patreon.com/evrimagaci
Çıktı Bilgisi: Bu sayfa, Evrim Ağacı yazdırma aracı kullanılarak 06/10/2025 03:51:18 tarihinde oluşturulmuştur. Evrim Ağacı'ndaki içeriklerin tamamı, birden fazla editör tarafından, durmaksızın elden geçirilmekte, güncellenmekte ve geliştirilmektedir. Dolayısıyla bu çıktının alındığı tarihten sonra yapılan güncellemeleri görmek ve bu içeriğin en güncel halini okumak için lütfen şu adrese gidiniz: https://evrimagaci.org/s/15520
İçerik Kullanım İzinleri: Evrim Ağacı'ndaki yazılı içerikler orijinallerine hiçbir şekilde dokunulmadığı müddetçe izin alınmaksızın paylaşılabilir, kopyalanabilir, yapıştırılabilir, çoğaltılabilir, basılabilir, dağıtılabilir, yayılabilir, alıntılanabilir. Ancak bu içeriklerin hiçbiri izin alınmaksızın değiştirilemez ve değiştirilmiş halleri Evrim Ağacı'na aitmiş gibi sunulamaz. Benzer şekilde, içeriklerin hiçbiri, söz konusu içeriğin açıkça belirtilmiş yazarlarından ve Evrim Ağacı'ndan başkasına aitmiş gibi sunulamaz. Bu sayfa izin alınmaksızın düzenlenemez, Evrim Ağacı logosu, yazar/editör bilgileri ve içeriğin diğer kısımları izin alınmaksızın değiştirilemez veya kaldırılamaz.