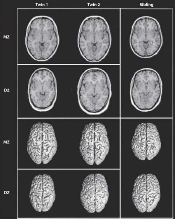
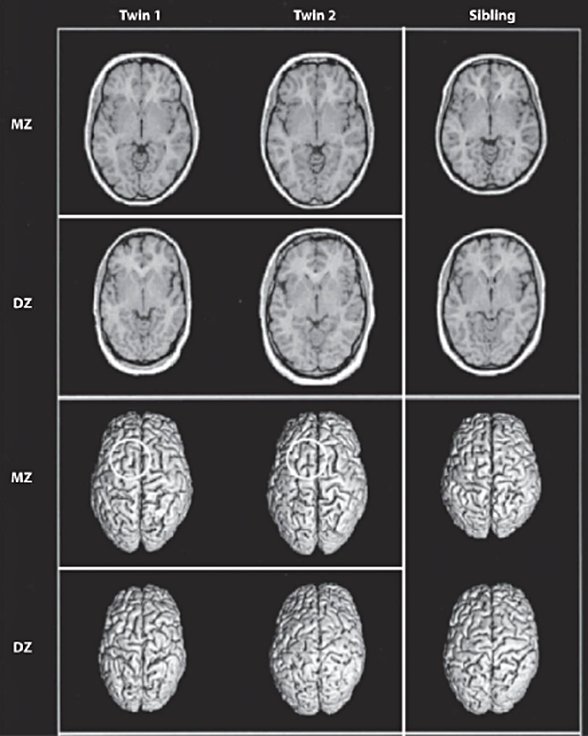
Bu sorunun cevabı bir insanın kişilik özelliklerinin ve karakterinin ne derecede kalıtsal ve gelişimsel (developmental) olduğuna ve çevresel etkenlerin belirlenmesinde özgür iradenin ne derecede bir etken olduğuna bağlı. Değiştirilebildiğinin aksine değiştirilemeyeceği doğrultusunda davranışsal genetik ve psikometri alanlarından bir çok kanıt gösterilebilir. Özellikle de son otuz yıl içinde gen mi çevre mi (nature vs nurture) tartışmasında genlerin insan davranışında, psikolojisinde ve zeka kapasitesinde etkisini defalarca kanıtlar nitelikte çalışmalar yürütüldü. Bu çalışmalar arasında en önemlilerinden birisi de Thomas J. Bouchard tarafından 1979 yılında başlatılan ve sonuçları 1990 yılında yayımlanan Minnesota İkiz Çalışması idi. Bu çalışma, yüzden fazla birbirlerinden ayrı büyütülmüş tek yumurta (monozygotic) ikizlerinin kişilik özelliklerinin, sosyal tavırlarının ve hobilerinin birbirleriyle aynı ortamda büyütülmüş tek yumurta ikizlerinden farklı olmadığını ortaya koymuştur (Bouchard 1990). Buna ek olarak Bouchard bilimsel literatürde kendi çalışmasını takiben biriken yığınlarca kanıdı harmanlamak ve özetlemek amacıyla 2004 yılında bir kağıt daha yayımlamıştır. Bu makalesinde ise de Beş Büyük faktör kuramının bileşenleri olan karakter özelliklerinin ortalama 50% kalıtsal olduğunu ortaya koymuştur (Bouchard 2004). Buna ek olarak Rutter da benzer bir şekilde biriken literatürü gözden geçirme niteliğinde olan kağıdında "genetik faktörlerin tüm normal ve abnormal psikolojik özelliklerde bireyler arasındaki farkın önemli bir kısmını oluşturduğunu" ve bunun "70%'ten fazla" olduğunu öne sürmüştür (Rutter 2002). Bu konuda en güncel verilerle de en kapsamlı eseri yaratan ve bu alana kendisi de göz ardı edilemeyecek büyük katkılarda bulunan Robert Plomin'dir ve yazdığı eserin ismi de Blueprint idir. Bunun üstüne de nörobilimci Kevin J. Mitchell beynin yapısında gelişimsel süreç sırasında ortaya çıkan farklılıkların davranışsal ve psikolojik açıdan ne tür farklılıklara yol açabileceğini kapsamlı bir şekilde açıkladığı Innate isimli eserinde çevresel etkenlerin etkisini daha da daraltan kanıtlar ortaya sürmüştür.
:sharpen(0.5,0.5,true)/old%2Fqna_media%2F302bdb74d0462d7e6617c914190cf939.png)
Bu tür davranışsal genetik ve diferansiyel psikolojik çalışmalar ne kadar "Can çıkar, huy çıkmaz" atasözümüzü doğrular nitelikte olsa da paylaşılan (shared) ve paylaşılmayan (non-shared) çevresel etkenlerin bireyler arasındaki farkları oluşturmasındaki etkisi göz ardı edilemeyecek kadar kayda değerdir ve bireyler özgür iradeleriyle, sadece bir miktar olsa bile, kişiliklerinin şekillenmesini hayatları boyunca önemli etkileri olacak kalıcı kararlar vererek etkileyebilirler.