Moyamoya Hastalığı Nedir? Belirtileri ve Tedavi Seçenekleri Nelerdir?
 Wikimedia Commons
              
                  Wikimedia Commons
              
        - Hastalık Kataloğu
- Nöroloji
Bu içerik tıp ve sağlık ile ilişkilidir. Sadece bilgi amaçlı olarak hazırlanmıştır. Bireysel bir tıbbi tavsiye olarak görülmemelidir. Evrim Ağacı'ndaki hiçbir içerik; profesyonel bir hekim tarafından verilen tıbbi tavsiyelerin, konulan bir teşhisin veya önerilen bir tedavinin yerini alacak biçimde kullanılmamalıdır.
- Türkçe Adı Moyamoya Hastalığı
- İngilizce Adı Moyamoya Disease
- OrphaNet 2573
- Diğer İsimleri İdiyopatik Moyamoya Hastalığı
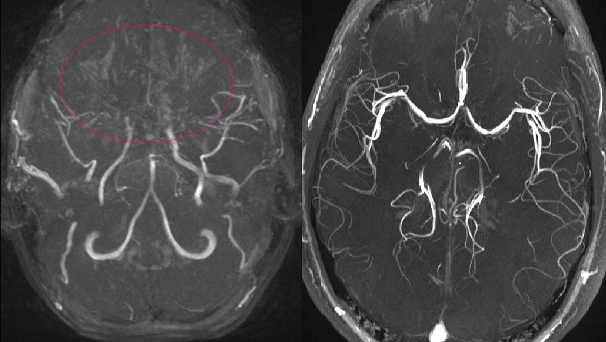
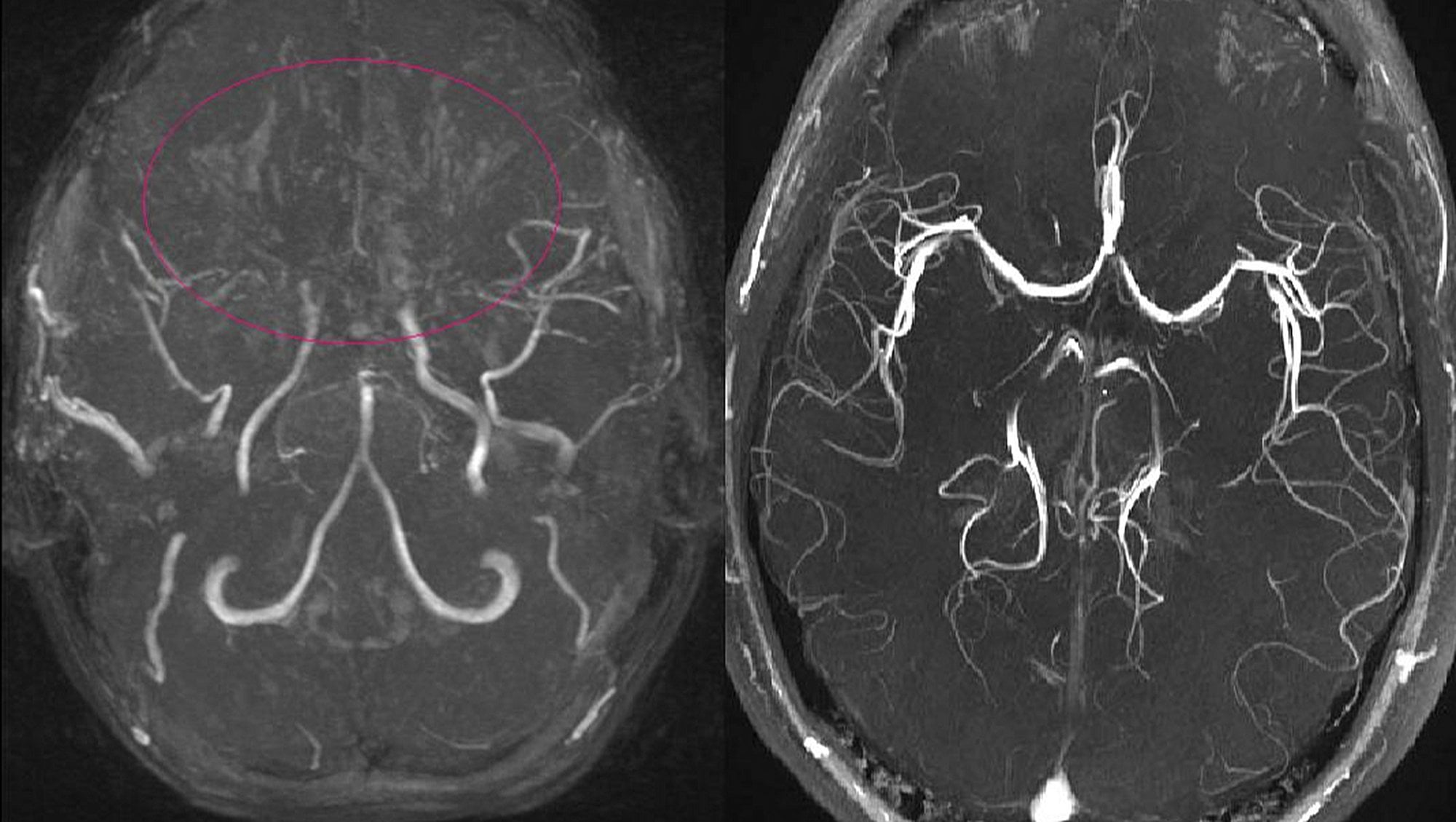
Moyamoya hastalığı; beyinde bulunan bazı arterlerin (damarların) daralması sonucunda ortaya çıkan kronik, ilerleyici bir serebrovasküler hastalıktır. Bu hastalık, Willis poligonunu oluşturan arterlerin bilateral, ilerleyici darlığı veya tıkanıklığına bağlı olarak gelişen kollateral damarların karakteristik bir özelliği olarak tanımlanır. Bu durum, beyne yeterli kan akışının sağlanamamasına ve oksijenin yetersiz olduğu bölgelerde iskemik semptomlara (kan eksikliğinden kaynaklanan belirtiler) yol açabilir. Hastalığın sebepleri net olarak bilinmemekle birlikte, genetik ve konjenital faktörlerin etkili olduğu düşünülmektedir. Ayrıca, bazı tümöral hastalıklarla birlikte görülebilir.[1], [2], [3], [4]
Belirti ve Bulgular
Moyamoya hastalığının belirti ve semptomları yetişkinler ve çocuklarda farklılık gösterebilir.
Çocuklarda gözlenen iskemik semptomlar şu şekildedir:
- Tek taraflı vücut zayıflığı veya felç,
- Konuşma güçlükleri,
- Nöbet geçirme,
- Baş ağrısı,
- Yürüme zorluğu.
Erişkinlerde gözlenen iskemi ve kanama semptomları ise şu şekildedir:
- Aniden başlayan şiddetli baş ağrısı,
- Bilinç kaybı,
- Bulantı ve kusma,
- Göz kararması veya çift görme.
Yaş ve cinsiyete bağlı semptom farklılıkları ise şöyle sıralanabilir:
- Çocuklarda genellikle iskemik semptomlar öne çıkar.
- Erişkinlerde ise kanama ve iskemi semptomları eşit ağırlıkta görülür.
- Kanama insidansı erişkinlerde %60, çocuklarda %10 olarak bildirilmiştir.
- İskemik belirtiler, erişkinlerde genellikle komplet strok, çocuklarda ise geçici iskemik atak şeklinde ortaya çıkar.
- İntrakraniyal kanama, genel olarak kötü bir prognostik faktördür.
- Çocuklarda moyamoya, inme olgularının %6'sından sorumlu olabilir.
- Moyamoya hastalığı çocuklarda kötü bir prognoza sahip olabilir, özellikle semptomlar 2 yaşından önce başladıysa bu beklenen bir durumdur.
Bu belirtiler, hastalığın seyri ve yaşa bağlı olarak değişebilir; bu nedenle bireysel durumlar dikkate alınmalıdır.[1], [2], [4], [5], [6]
Hastalıkla İlişkili Genler, Etken Faktörler ve Risk Faktörleri
Moyamoya hastalığı, genetik ve çevresel faktörlerin karmaşık etkileşimi sonucu ortaya çıkan bir nörovasküler bozukluktur. Genetik yatkınlık, izole moyamoya hastalığı için poligenik bir etiyoloji öne sürmektedir. Bu durum, birden fazla genin hastalığın gelişiminde rol oynamasına işaret etmektedir. Bilinen genetik mutasyonlar arasında BRCC3, MTCP1 ve GUCY1A3 genlerindeki değişiklikler öne çıkmaktadır.[5]
Genetik araştırmalar ve moleküler çalışmalar, moyamoya hastalığının temelinde yatan genetik faktörleri anlamaya yöneliktir. Ancak, hastalığın tam anlamıyla çözümlenmesi ve etkili tedavi stratejilerinin geliştirilmesi için daha fazla çalışma gerekmektedir.[5]
Teşhis Yöntemleri
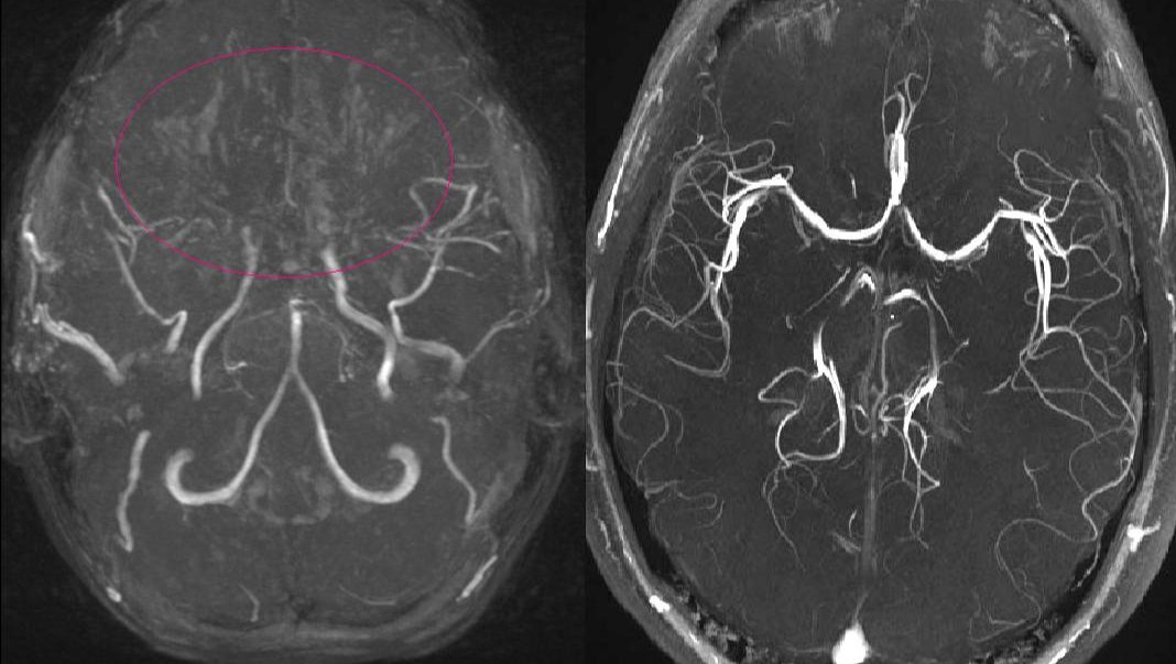
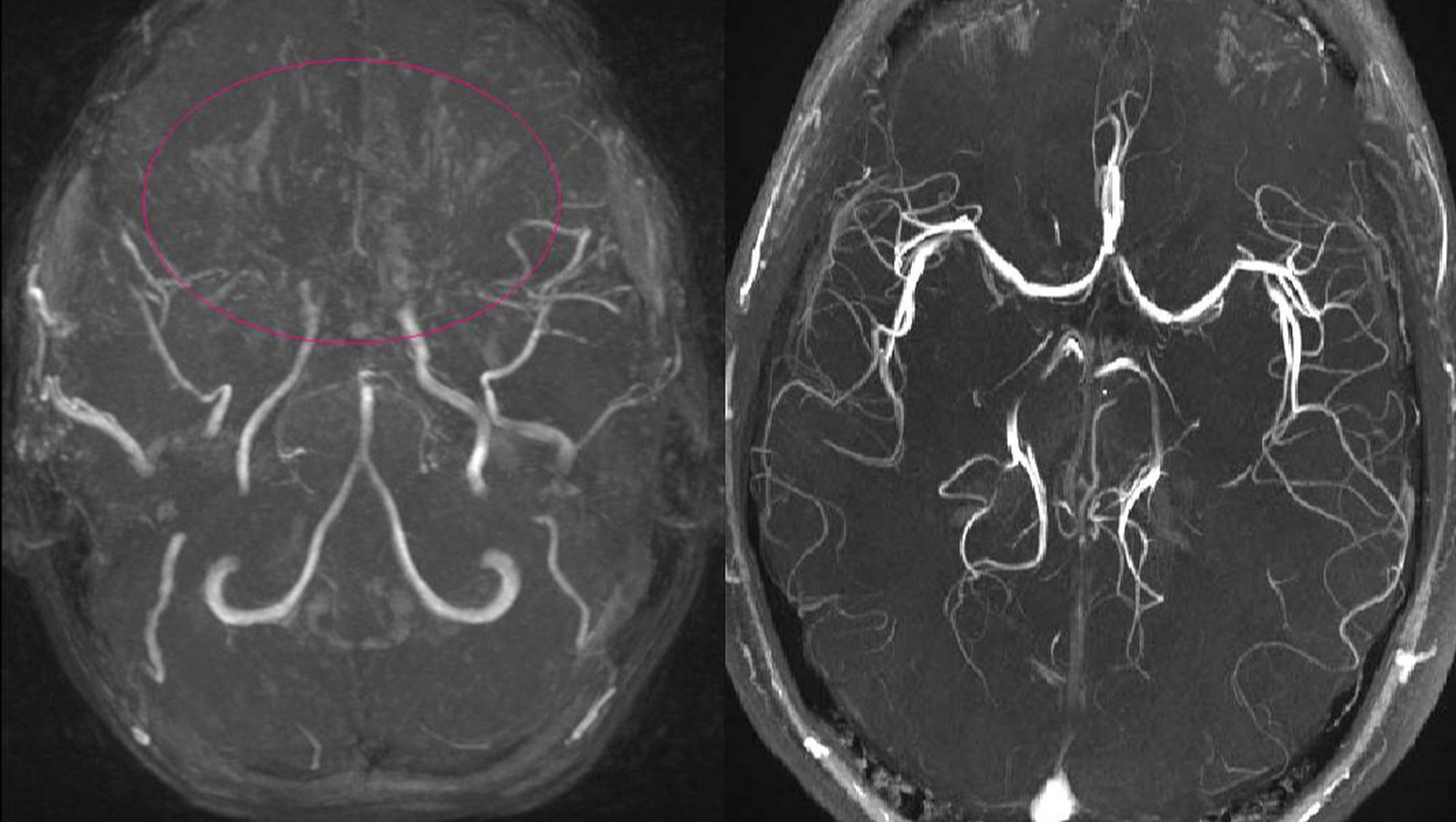
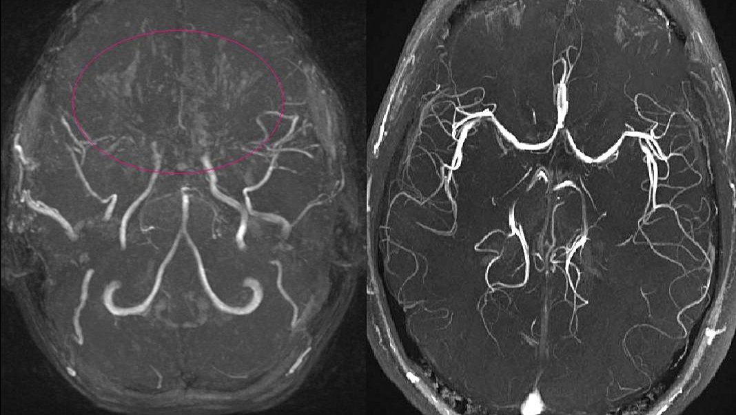
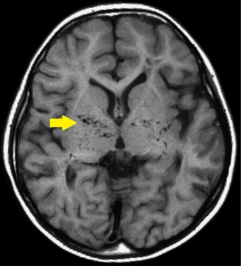
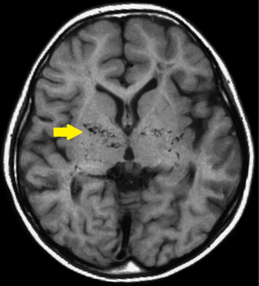
Moyamoya hastalığının teşhisi, nadir görülmesi ve bariz olmayan belirti ve semptomlardan dolayı zor olabilir. Teşhis, klinik bulgular ve görüntüleme bulguları temelinde şüphelenilerek konur. Teşhisin doğrulanması için standart yöntem serebral anjiyografi olarak kabul edilir.[7]

Serebral anjiyografi, moyamoya hastalığını doğrulamak için kullanılan standart bir yöntemdir. İşlem sırasında, kontrast madde enjeksiyonu ile beyin damarlarının röntgen filmi çekilir. Ancak, bu yöntem intravenöz kontrast kullanımına bağlı alerjik reaksiyonlar ve nadiren kontrast maddeye bağlı böbrek hasarı gibi riskleri içerebilir.[7]
Manyetik Rezonans Anjiyografi (MRA), serebral anjiyografinin alternatifi olarak kullanılabilir. Bu yöntem, manyetik rezonans görüntüleme (MRG) prensiplerini kullanarak damarların görüntülerini oluşturur. Genellikle serebral anjiyografiye göre daha düşük risk içerir.[7]
Aslında maddi destek istememizin nedeni çok basit: Çünkü Evrim Ağacı, bizim tek mesleğimiz, tek gelir kaynağımız. Birçoklarının aksine bizler, sosyal medyada gördüğünüz makale ve videolarımızı hobi olarak, mesleğimizden arta kalan zamanlarda yapmıyoruz. Dolayısıyla bu işi sürdürebilmek için gelir elde etmemiz gerekiyor.
Bunda elbette ki hiçbir sakınca yok; kimin, ne şartlar altında yayın yapmayı seçtiği büyük oranda bir tercih meselesi. Ne var ki biz, eğer ana mesleklerimizi icra edecek olursak (yani kendi mesleğimiz doğrultusunda bir iş sahibi olursak) Evrim Ağacı'na zaman ayıramayacağımızı, ayakta tutamayacağımızı biliyoruz. Çünkü az sonra detaylarını vereceğimiz üzere, Evrim Ağacı sosyal medyada denk geldiğiniz makale ve videolardan çok daha büyük, kapsamlı ve aşırı zaman alan bir bilim platformu projesi. Bu nedenle bizler, meslek olarak Evrim Ağacı'nı seçtik.
Eğer hem Evrim Ağacı'ndan hayatımızı idame ettirecek, mesleklerimizi bırakmayı en azından kısmen meşrulaştıracak ve mantıklı kılacak kadar bir gelir kaynağı elde edemezsek, mecburen Evrim Ağacı'nı bırakıp, kendi mesleklerimize döneceğiz. Ama bunu istemiyoruz ve bu nedenle didiniyoruz.
Tanıda etkili olan bir diğer unsur, hastanın klinik belirtileri ve görüntüleme bulgularıdır. Moyamoya hastalığının belirgin bulguları genellikle supraclinoid iç karotis arterleri ve bunların proksimal dallarını içerir.[7]
Moyamoya hastalığının teşhisinde serebral anjiyografi genellikle en güvenilir yöntem olmakla birlikte, MRA gibi non-invaziv yöntemler de kullanılabilir. Teşhis sürecinde hastanın genel sağlık durumu, alerji öyküsü ve kontrast madde kullanımına karşı hassasiyet dikkate alınmalıdır. Teşhis, uzman bir sağlık profesyoneli tarafından detaylı bir değerlendirme sonucunda konmalıdır.[7]

Tedaviler veya İdare Yöntemleri
Moyamoya hastalığının ilerlemesini durdurmak veya intrakraniyal arteriyopatiyi tersine çevirmek için spesifik bir tedavi mevcut değildir.[7] Tedavi, hastalık komplikasyonlarına karşı önlem almak, semptomları hafifletmek ve bilişsel bozulmayı önlemek amacıyla kullanılan ilaç tedavisini içerir. Atak sonrası fiziksel, mesleki ve konuşmaya yönelik terapiler de gerekebilir.[6], [7]
İlaç tedavisi, hastalık komplikasyonlarını önlemek amacıyla kullanılır. Bu ilaçlar genellikle kan pıhtılaşmasını önleyen antikoagülanlar, kan basıncını düzenleyen ilaçlar ve antiplatelet ajanları içerir. Ancak, ilaçların kullanımı bireyin genel sağlık durumu ve diğer ilaçlarla etkileşimlere bağlı olarak riskler içerebilir.[6], [7]
Fiziksel, mesleki ve konuşmaya yönelik terapiler ise atak sonrası fonksiyonel yetenekleri restore etmek ve geliştirmek amacıyla uygulanır. Fizik tedavi, mesleki terapi ve konuşma terapisi, hastanın ihtiyacına bağlı olarak uygulanır ve hastanın yaşam kalitesini artırmada önemli bir rol oynar.[6], [7]
Ek olarak cerrahi revaskülarizasyon prosedürleri, beyine kan akışını restore etmek için kullanılır. Bu prosedürler doğrudan, dolaylı veya kombinasyonlu teknikleri içerebilir. İşlem sırasında olası komplikasyonlar göz önünde bulundurulmalıdır. Cerrahi müdahalenin endikasyonları ve zamanlaması konusunda tartışmalar devam etmektedir. İşlem, iskemik inme riskini azaltabilir ve bilişsel fonksiyonları koruyabilir, ancak belirsizlikler bulunmaktadır.[6], [7]
Moyamoya hastalığının yönetimi multidisipliner bir yaklaşım gerektirir ve bireyin özel durumuna bağlı olarak tedavi planı oluşturulmalıdır. Cerrahi müdahale, belirli durumlarda faydalı olabilir ancak riskler ve faydalar dikkatlice değerlendirilmelidir.
Müddet Tahminleri (Prognoz)
Moyamoya hastalığının seyri, erken teşhis ve uygun tedavi ile iyileştirilebilir. Hastalığın şiddeti, prognozu etkileyen temel bir faktördür. Erken teşhis ve tedavi alan hastalarda genellikle daha olumlu bir seyir görülür. Mortalite oranları yetişkinlerde yaklaşık %5, çocuklarda ise %2 civarındadır; başlıca ölüm nedeni ise hemorajidir. Uzun vadeli sonuçlar hastalığın seyrine, tedaviye yanıta ve zamanında müdahaleye bağlı olarak değişebilir.[7]
Görülme Sıklığı ve Dağılımı (Epidemiyoloji)
Moyamoya hastalığı Asya popülasyonlarında, özellikle Japonya ve Çin'de daha sık görülür. Japonya'da yıllık moyamoya insidansı 0.35/100000, prevalansı ise 3.16/100000'dir. Avrupa'da görülme sıklığı Japonya'nın 1/10'u kadardır. Doğu Asya ülkelerinde yüksek insidans ve prevalans gözlenirken, Batı ülkelerinde bu oranlar daha düşüktür. Afrikalı ve Afrika kökenli Amerikalılarda moyamoya ile ilgili sınırlı veri bulunmaktadır, ancak yapılan çalışmalar bazı etnik gruplarda daha yüksek insidans olduğunu göstermektedir.[5]
Önlem Yöntemleri
Moyamoya hastalığına yönelik kesin bir önlem yöntemi bulunmamakla birlikte, belirli tedavi ve yönetim stratejileri ile hastalığın ilerlemesini kontrol etmek ve komplikasyonları önlemek olasıdır.
Etimoloji
Japonca'da "havada dağılan sigara dumanı" anlamına gelen ve "moyamoya" şeklinde telaffuz edilen "もやもや" terimi, hastalığın anjiyografik görünümünden esinlenmiştir.[1], [2], [5], [8]
Evrim Ağacı'nda tek bir hedefimiz var: Bilimsel gerçekleri en doğru, tarafsız ve kolay anlaşılır şekilde Türkiye'ye ulaştırmak. Ancak tahmin edebileceğiniz gibi Türkiye'de bilim anlatmak hiç kolay bir iş değil; hele ki bir yandan ekonomik bir hayatta kalma mücadelesi verirken...
O nedenle sizin desteklerinize ihtiyacımız var. Eğer yazılarımızı okuyanların %1'i bize bütçesinin elverdiği kadar destek olmayı seçseydi, bir daha tek bir reklam göstermeden Evrim Ağacı'nın bütün bilim iletişimi faaliyetlerini sürdürebilirdik. Bir düşünün: sadece %1'i...
O %1'i inşa etmemize yardım eder misiniz? Evrim Ağacı Premium üyesi olarak, ekibimizin size ve Türkiye'ye bilimi daha etkili ve profesyonel bir şekilde ulaştırmamızı mümkün kılmış olacaksınız. Ayrıca size olan minnetimizin bir ifadesi olarak, çok sayıda ayrıcalığa erişim sağlayacaksınız.
Makalelerimizin bilimsel gerçekleri doğru bir şekilde yansıtması için en üst düzey çabayı gösteriyoruz. Gözünüze doğru gelmeyen bir şey varsa, mümkünse güvenilir kaynaklarınızla birlikte bize ulaşın!
Bu makalemizle ilgili merak ettiğin bir şey mi var? Buraya tıklayarak sorabilirsin.
Soru & Cevap Platformuna Git- 7
- 4
- 4
- 2
- 2
- 1
- 1
- 1
- 0
- 0
- 0
- 0
- ^ a b c H. Karabağlı, et al. (2013). Moyamoya Hastalığı. Türk Nöroşirürji Dergisi, sf: 141-149. | Arşiv Bağlantısı
- ^ a b c R. M. Scott, et al. (2009). Moyamoya Disease And Moyamoya Syndrome. The New England Journal of Medicine, sf: 1226-1237. doi: 10.1056/NEJMra0804622. | Arşiv Bağlantısı
- ^ G. M. Burke, et al. (2009). Moyamoya Disease: A Summary. Neurosurgical Focus, sf: E11. doi: 10.3171/2009.1.FOCUS08310. | Arşiv Bağlantısı
- ^ a b J. S. Kim. (2016). Moyamoya Disease: Epidemiology, Clinical Features, And Diagnosis. Journal of Stroke, sf: 2-11. doi: 10.5853/jos.2015.01627. | Arşiv Bağlantısı
- ^ a b c d e S. Guey, et al. (2015). Moyamoya Disease And Syndromes: From Genetics To Clinical Management. The Application of Clinical Genetics, sf: 49-68. doi: 10.2147/TACG.S42772. | Arşiv Bağlantısı
- ^ a b c d e Mayo Clinic. Moyamoya Disease - Symptoms And Causes. (18 Nisan 2023). Alındığı Tarih: 14 Ocak 2024. Alındığı Yer: Mayo Clinic | Arşiv Bağlantısı
- ^ a b c d e f g h i j k OrphaNet. Moyamoya Disease. Alındığı Tarih: 14 Ocak 2024. Alındığı Yer: OrphaNet | Arşiv Bağlantısı
- ^ JapanDict. Japandict: Japanese Dictionary - Definition Of もやもや. Alındığı Tarih: 14 Ocak 2024. Alındığı Yer: JapanDict | Arşiv Bağlantısı
- J. H. Phi, et al. (2015). Moyamoya Syndrome: A Window Of Moyamoya Disease. Journal of Korean Neurosurgical Society, sf: 408-414. doi: 10.3340/jkns.2015.57.6.408. | Arşiv Bağlantısı
Evrim Ağacı'na her ay sadece 1 kahve ısmarlayarak destek olmak ister misiniz?
Şu iki siteden birini kullanarak şimdi destek olabilirsiniz:
kreosus.com/evrimagaci | patreon.com/evrimagaci
Çıktı Bilgisi: Bu sayfa, Evrim Ağacı yazdırma aracı kullanılarak 31/10/2025 15:12:50 tarihinde oluşturulmuştur. Evrim Ağacı'ndaki içeriklerin tamamı, birden fazla editör tarafından, durmaksızın elden geçirilmekte, güncellenmekte ve geliştirilmektedir. Dolayısıyla bu çıktının alındığı tarihten sonra yapılan güncellemeleri görmek ve bu içeriğin en güncel halini okumak için lütfen şu adrese gidiniz: https://evrimagaci.org/s/16494
İçerik Kullanım İzinleri: Evrim Ağacı'ndaki yazılı içerikler orijinallerine hiçbir şekilde dokunulmadığı müddetçe izin alınmaksızın paylaşılabilir, kopyalanabilir, yapıştırılabilir, çoğaltılabilir, basılabilir, dağıtılabilir, yayılabilir, alıntılanabilir. Ancak bu içeriklerin hiçbiri izin alınmaksızın değiştirilemez ve değiştirilmiş halleri Evrim Ağacı'na aitmiş gibi sunulamaz. Benzer şekilde, içeriklerin hiçbiri, söz konusu içeriğin açıkça belirtilmiş yazarlarından ve Evrim Ağacı'ndan başkasına aitmiş gibi sunulamaz. Bu sayfa izin alınmaksızın düzenlenemez, Evrim Ağacı logosu, yazar/editör bilgileri ve içeriğin diğer kısımları izin alınmaksızın değiştirilemez veya kaldırılamaz.
 
             
             
       
           
                 
                   
                   
                   
                   
                   
                   
                   
                   
                   
                   
                   
                  