Hamileliğin 2. Haftasında Neler Olur? Ovulasyon Nedir ve Ne Zaman Gerçekleşir?

Bu Makalede Neler Öğreneceksiniz?
- Begin the second week of pregnancy one week after the first day of the last menstrual period, before fertilization occurs.
- Experience ovulation around the end of the second week, marking the highest fertility period lasting about one week.
- Observe follicle growth and uterine lining thickening driven by hormones, with the follicle visible on ultrasound but no embryo yet.
Hamileliğin ikinci haftası, son adetin ilk gününden bir hafta geçmesiyle başlar. Bu noktada kişi henüz tam anlamıyla hamile değildir, çünkü döllenme gerçekleşmemiştir. Buna karşın bu haftanın sonlarında döllenme gerçekleşirse kişi iki haftalık hamile kabul edilir.
2. Haftada Yaşanan Önemli Değişimler
İkinci haftada yaşanan en önemli olay, ovulasyon yani yumurtlamadır. Kişinin gebe kalma ihtimalinin en yüksek olduğu zamanlar tahmini ovulasyon döneminin 3 ila 4 gün öncesi ve sonrasındaki günlerdir. Doğurganlık evresi adı verilen bu dönem, ortalama olarak gebeliğin ikinci haftasının sonu ve üçüncü haftasının başlangıcına denk gelir.
Doğurganlık evresinin yaklaşık 1 hafta sürmesinin nedeni, yumurtanın ovulasyondan itibaren yaklaşık 24 saat, spermin ise rahimde 48 ila 72 saat canlı kalabilmesidir. Doğurgan evrede olduğunuzun belirtileri; kişiden kişiye değişmekle birlikte fark edilmeyecek düzeyde de olabilir. Bu dönemde vajinal akıntının miktarı ve kıvamında değişiklikler görülebilir, ağrı ve kanama gözlenebilir.[1]
Bebeğinizin 2. Haftadaki Gelişimi
Henüz bir bebek diyemeyeceğimiz yumurta bir folikül içinde bulunur. Bu folikülün büyüklüğü, ovulasyon esnasında 18 ila 22 milimetre kadardır.[2] Ovulasyona kadar yumurtalıkta bulunan yumurta, östrojen etkisiyle büyümektedir. Bu sırada olası bir döllenmeye hazırlık için rahmin iç duvarı kalınlaşmaktadır.
Ovulasyon sürecinde birçok hormon birlikte çalışır. FSH adlı hormon, folikül stimülasyonundan sorumludur ve yumurtalıktaki birden fazla folikülün olgunlaşmaya başlamasını sağlar. Lüteinleştirici Hormon (LH), foliküllerin olgunlaşmasında rol alır ve her ay tek bir folikülün yumurtalıktan atılmasından sorumludur. Bunlar gerçekleşirken rahim duvarının kalınlaşmasını ise progesteron adlı hormon sağlar.
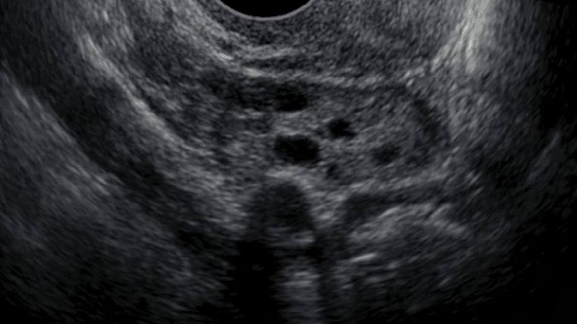
2. Hafta 2D ve 3D Ultrason Görüntüleri
Henüz döllenme gerçekleşmediğinden, ultrasonda bir bebek görmek için çok erkendir. Ancak yumurtalıktaki folikül, ultrasonda görülebilecek boyuttadır.

2. Haftada Annede Yaşanan Değişimler ve Hamilelik Semptomları
İkinci hafta, hamilelik semptomlarının gözlenmesi için çok erken bir dönemdir. Ancak kişi bazı ovulasyon semptomları yaşayabilir. Ovulasyon semptomları herkeste görülmeyebilir ve şiddetleri kişiden kişiye değişebilir, ancak en sık gözlenenler şu şekildedir:
- Vajinal Akıntı: Bazen çamaşırınızda karşılaştığınız vajinal akıntılara servikal mukus adı verilir. Ovulasyon döneminde vajinal akıntı yumurta beyazı gibi şeffaf, kaygan ve esnek yapıdadır.[3]
- Ağrı: Adet gören kişilerin %40 kadarı, ovulasyon esnasında karın veya bel bölgesinde ağrı hissedebilir. Ovulasyon ağrısı adı verilen bu ağrı, birkaç dakikadan birkaç saate kadar sürebilir.[1]
- Seks İsteğinde Artış: Doğurgan evrede kişinin cinsel istekleri doruk noktasına ulaşabilir ve salgılanan feromonlar nedeniyle partneriniz de size karşı daha istekli olabilir.
- Memelerde Hassasiyet: Bazı kişiler ovulasyon döneminde memelerde veya meme uçlarında hassasiyet yaşayabilir.[4]
- Bazal Vücut Sıcaklığında Artış: Ovulasyonun yaşandığı 24 saat içinde bazal vücut sıcaklığı 0.5 °C'ye kadar artış gösterebilir. Bunun sebebi progesteron salınımıdır.
Her ne kadar bu semptomlar ovulasyon döneminde olup olmadığınızı tahmin etmenize yardımcı olsa da bir çalışmaya göre bu semptomların hiçbiri ovulasyon zamanını tam doğrulukla tespit edememektedir.[5]
2. Haftada Beslenme ve Sağlık
Henüz tam anlamıyla gebe olmadığınızdan, bir doktor randevusu almamış olabilirsiniz. Ancak Amerikan Kadın Doğum Uzmanları ve Jinekologlar Koleji'nin önerileri doğrultusunda, hamile kalmayı planlamaya başladığınızda bir doktorla görüşmeye başlamanız en sağlıklı seçim olacaktır.[6] Bu randevularda doktorunuz muhtemelen bir folik asit takviyesi almanızı önerecektir. Önerilen doz, günlük en az 400 mikrogramdır.[7]
Doğum Öncesi Takip
Daha önce de belirttiğimiz gibi, hamile kalmayı planlıyorsanız henüz hamile kalmadan doktora görünmeniz tavsiye edilmektedir. Böylece hamilelik testinde fark edilemeyecek kadar erken dönemdeki hamileliklerde bile ilk haftalarda gereken takviyeleri almış olursunuz.
Ayrıca gebe kalmanızı engelleyen tıbbi bir durumunuz varsa doktorunuz bu konuda gerekli aksiyonu da alacaktır.
Aslında maddi destek istememizin nedeni çok basit: Çünkü Evrim Ağacı, bizim tek mesleğimiz, tek gelir kaynağımız. Birçoklarının aksine bizler, sosyal medyada gördüğünüz makale ve videolarımızı hobi olarak, mesleğimizden arta kalan zamanlarda yapmıyoruz. Dolayısıyla bu işi sürdürebilmek için gelir elde etmemiz gerekiyor.
Bunda elbette ki hiçbir sakınca yok; kimin, ne şartlar altında yayın yapmayı seçtiği büyük oranda bir tercih meselesi. Ne var ki biz, eğer ana mesleklerimizi icra edecek olursak (yani kendi mesleğimiz doğrultusunda bir iş sahibi olursak) Evrim Ağacı'na zaman ayıramayacağımızı, ayakta tutamayacağımızı biliyoruz. Çünkü az sonra detaylarını vereceğimiz üzere, Evrim Ağacı sosyal medyada denk geldiğiniz makale ve videolardan çok daha büyük, kapsamlı ve aşırı zaman alan bir bilim platformu projesi. Bu nedenle bizler, meslek olarak Evrim Ağacı'nı seçtik.
Eğer hem Evrim Ağacı'ndan hayatımızı idame ettirecek, mesleklerimizi bırakmayı en azından kısmen meşrulaştıracak ve mantıklı kılacak kadar bir gelir kaynağı elde edemezsek, mecburen Evrim Ağacı'nı bırakıp, kendi mesleklerimize döneceğiz. Ama bunu istemiyoruz ve bu nedenle didiniyoruz.
Sonuç
Hamileliğin ikinci haftası, ovulasyonun gerçekleştiği ve kişinin tam anlamıyla hamile olmadığı bir dönemdir. Haftanın sonuna doğru döllenme gerçekleşirse kişi artık hamile kabul edilebilir. İkinci hafta, ultrason görüntülemesi için çok erken olsa da bir doktorla görüşerek gerekli takviyeleri almak anne adayı için en sağlıklı seçim olacaktır. Bu hafta içerisinde ovulasyon kaynaklı bazı semptomlar gözlenebilir, ancak bunlar herkeste farklı şekilde yaşanır ve hamilelik semptomları adı altında değerlendirilmez. Bir sonraki hafta olan üçüncü hafta, yumurtanın dölleneceği ve kişinin tam anlamıyla gebe kabul edilebileceği haftadır.
Evrim Ağacı'nda tek bir hedefimiz var: Bilimsel gerçekleri en doğru, tarafsız ve kolay anlaşılır şekilde Türkiye'ye ulaştırmak. Ancak tahmin edebileceğiniz gibi Türkiye'de bilim anlatmak hiç kolay bir iş değil; hele ki bir yandan ekonomik bir hayatta kalma mücadelesi verirken...
O nedenle sizin desteklerinize ihtiyacımız var. Eğer yazılarımızı okuyanların %1'i bize bütçesinin elverdiği kadar destek olmayı seçseydi, bir daha tek bir reklam göstermeden Evrim Ağacı'nın bütün bilim iletişimi faaliyetlerini sürdürebilirdik. Bir düşünün: sadece %1'i...
O %1'i inşa etmemize yardım eder misiniz? Evrim Ağacı Premium üyesi olarak, ekibimizin size ve Türkiye'ye bilimi daha etkili ve profesyonel bir şekilde ulaştırmamızı mümkün kılmış olacaksınız. Ayrıca size olan minnetimizin bir ifadesi olarak, çok sayıda ayrıcalığa erişim sağlayacaksınız.
Makalelerimizin bilimsel gerçekleri doğru bir şekilde yansıtması için en üst düzey çabayı gösteriyoruz. Gözünüze doğru gelmeyen bir şey varsa, mümkünse güvenilir kaynaklarınızla birlikte bize ulaşın!
Bu makalemizle ilgili merak ettiğin bir şey mi var? Buraya tıklayarak sorabilirsin.
Soru & Cevap Platformuna Git- 7
- 0
- 0
- 0
- 0
- 0
- 0
- 0
- 0
- 0
- 0
- 0
- ^ a b C. C. M. Professional. Ovulation Pain: Symptoms & Treatment. Alındığı Tarih: 22 Şubat 2024. Alındığı Yer: Cleveland Clinic | Arşiv Bağlantısı
- ^ Forbes Health. What Is 'Normal’ Follicle Size For Ovulation?. (6 Şubat 2024). Alındığı Tarih: 22 Şubat 2024. Alındığı Yer: Forbes Health | Arşiv Bağlantısı
- ^ BabyCenter. 2 Weeks Pregnant: Symptoms, Pictures & More. Alındığı Tarih: 22 Şubat 2024. Alındığı Yer: BabyCenter | Arşiv Bağlantısı
- ^ C. Whelan. Ovulation Symptoms: What To Expect, Timing, And Tracking. (29 Eylül 2017). Alındığı Tarih: 22 Şubat 2024. Alındığı Yer: Healthline | Arşiv Bağlantısı
- ^ A. J. Wilcox, et al. (2000). The Timing Of The “Fertile Window” In The Menstrual Cycle: Day Specific Estimates From A Prospective Study. BMJ : British Medical Journal, sf: 1259. doi: 10.1136/bmj.321.7271.1259. | Arşiv Bağlantısı
- ^ W. Wisner. Week 2 Of Your Pregnancy. Alındığı Tarih: 22 Şubat 2024. Alındığı Yer: Parents | Arşiv Bağlantısı
- ^ ACOG. Good Health Before Pregnancy: Prepregnancy Care. Alındığı Tarih: 22 Şubat 2024. Alındığı Yer: ACOG | Arşiv Bağlantısı
Evrim Ağacı'na her ay sadece 1 kahve ısmarlayarak destek olmak ister misiniz?
Şu iki siteden birini kullanarak şimdi destek olabilirsiniz:
kreosus.com/evrimagaci | patreon.com/evrimagaci
Çıktı Bilgisi: Bu sayfa, Evrim Ağacı yazdırma aracı kullanılarak 16/10/2025 21:21:26 tarihinde oluşturulmuştur. Evrim Ağacı'ndaki içeriklerin tamamı, birden fazla editör tarafından, durmaksızın elden geçirilmekte, güncellenmekte ve geliştirilmektedir. Dolayısıyla bu çıktının alındığı tarihten sonra yapılan güncellemeleri görmek ve bu içeriğin en güncel halini okumak için lütfen şu adrese gidiniz: https://evrimagaci.org/s/16958
İçerik Kullanım İzinleri: Evrim Ağacı'ndaki yazılı içerikler orijinallerine hiçbir şekilde dokunulmadığı müddetçe izin alınmaksızın paylaşılabilir, kopyalanabilir, yapıştırılabilir, çoğaltılabilir, basılabilir, dağıtılabilir, yayılabilir, alıntılanabilir. Ancak bu içeriklerin hiçbiri izin alınmaksızın değiştirilemez ve değiştirilmiş halleri Evrim Ağacı'na aitmiş gibi sunulamaz. Benzer şekilde, içeriklerin hiçbiri, söz konusu içeriğin açıkça belirtilmiş yazarlarından ve Evrim Ağacı'ndan başkasına aitmiş gibi sunulamaz. Bu sayfa izin alınmaksızın düzenlenemez, Evrim Ağacı logosu, yazar/editör bilgileri ve içeriğin diğer kısımları izin alınmaksızın değiştirilemez veya kaldırılamaz.