Farelerdeki Tip 2 Diyabet Semptomları Hiçbir Bilindik Yan Etki Olmadan Tersine Çevrildi!

- Çeviri
- Endokrinoloji
Farelerdeki diyabeti (insanlardaki tip 2 diyabetine eşit) tetikleyen beslenme alışkanlığına sahip farelerin kan şekerinin sağlıklı seviyelere çekilip bu seviyenin iki günden daha fazla süre boyunca korunması için tek bir FGF1 protein enjeksiyonu yeterli oldu. Salk’ta çalışan bilim insanlarının yaptığı bu buluş Nature dergisinde 16 Temmuz 2014 günü yayınlandı. Bu buluş aynı zamanda sonraki nesillerin daha güvende olmasını sağlayabilir ve daha etkili diyabet ilaçlarının yapımına katkıda bulunabilir.
Araştırma ekibi, proteinle yapılan sürekli tedavinin, yalnızca kan şekerini kontrol altına almadığını aynı zamanda diyabete sebebiyet veren fiziksel süreçlerden olan insülin direncini de tersine çevirdiğini keşfetti. Bu yeni geliştirilen tedavi yönteminin bir başka heyecan verici tarafı ise; diğer diyabet tedavilerinde sıkça karşımıza çıkabilen yan etkilerinin olmayışı. Salk’ta bulunan Gen İfade Laboratuvarı’nın yöneticisi ve aynı zamanda makalenin sorumlu yazarı olan Ronald M. Evans şöyle söylüyor:
Glikozu kontrol edememek toplumumuzda oldukça yaygın bir problem. Fakat FGF1, bize, oldukça güçlü ve beklenmedik bir yolla glikozu kontrol edebilme imkanı sunuyor.
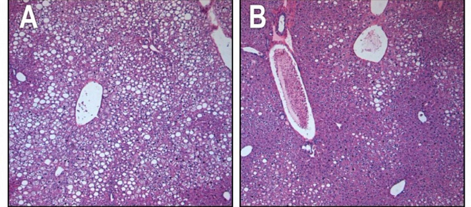
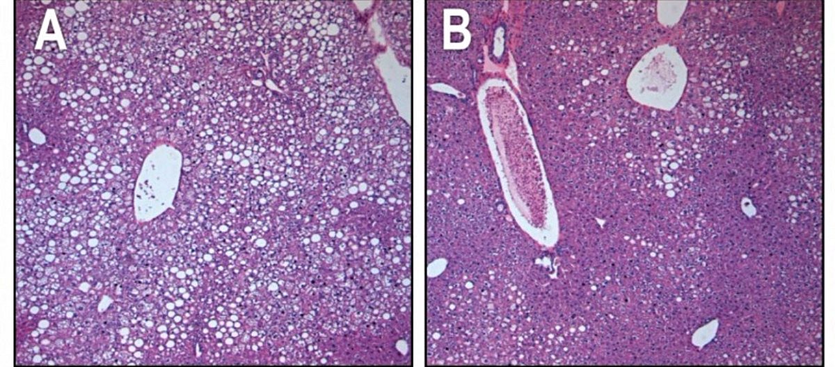
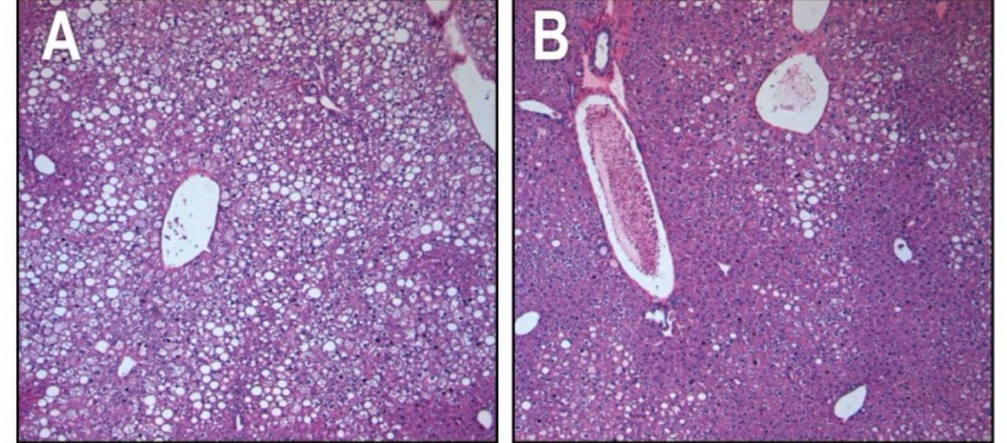
Kilo alımı ve hareketsizlikle tetiklenebilen tip 2 diyabet, geçtiğimiz birkaç on yılda Amerika Birleşik Devletleri’nde ve tüm dünyada inanılmaz bir şekilde artmış durumda. Kandaki glikozun hücrelere geçişini sağlayacak insülinin yeterli miktarda üretilememesi ya da vücut hücrelerinin insülin direnci kazanarak şeker emilimi için gerekli olan hücresel sinyalleri reddetmesiyle ortaya çıkan bu hastalığa yaklaşık 30 milyon Amerikalının yakalandığı tahmin ediliyor. Kronik bir hastalık olmasından dolayı diyabet ciddi sağlık sorunlarına neden olabilir üstelik hastalığın belirli bir tedavisi henüz bulunabilmiş değil. Bununla birlikte hastalık, beslenme, egzersiz ve ilaçların doğru kombinasyonlarıyla, çeşitli başarı oranlarıyla kontrol altına alınabiliyor.
Piyasada bulunan diyabet ilaçları, insülin seviyesini artırarak ve insülin direncini tersine çevirmek için genlerin ifade seviyesini değiştirerek kandaki glikoz seviyesini azaltmayı amaçlıyorlar. Fakat Byetta gibi vücuttaki insülin üretimini arttıran diyabet ilaçları, kandaki glikoz seviyesinin çok düşmesine yol açabiliyor bu da diğer yan etkilerle beraber hayati tehlike yaratabilecek hipoglisemiye (kan şekerinin olması gerekenden daha düşük olma durumu) neden olabiliyor.
2012’de Evans ve çalışma arkadaşları uzun zamandır görmezden gelinen bir büyüme faktörünün gizli bir etkisini keşfettiler: bu büyüme faktörü, vücudun insüline tepki vermesine yardımcı oluyor. FGF1 adı verilen büyüme faktörünün eksik olduğu fareler, yüksek yağlı bir diyetle beslendiklerinde hızlı bir şekilde vücutlarında diyabet gelişebiliyordu. Yani bu buluş sayesinde FGF1’ın kandaki glukoz seviyesinin düzenlenmesinde anahtar bir rol oynadığı gösterilmiş oldu. Aynı zamanda, araştırmacıların, diyabetli farelere sağlanan ekstra FGF1 büyüme faktörünün, hastalığın semptomları üzerinde herhangi bir etkisi olup olmadığını merak etmelerini sağladı.
Evans’ın ekibi, proteinin, metabolizma üzerindeki etkisini görebilmek için diyabetli ve obezitesi olan bir fareye FGF1 dozları enjekte etti. Araştırmacılar, diyabetik farelere uygulanan sadece tek bir dozla, üstelik bütün farelerde, kan şekerinin normal seviyelere hızlı bir şekilde indiğini keşfettiklerinde hayrete düştüler. Salk Enstitüsü’nde çalışan konusunda uzman bilim insanlarından ve makalenin yardımcı sorumlu yazarlarından olan Michael Downes şöyle söylüyor:
FGF1 enjeksiyonlarının kullanıldığı geçmişteki bir çok araştırmada, enjeksiyonun sağlıklı fareler üzerinde hiçbir etkisinin olmadığı görülmüştü. Fakat aynı enjeksiyonu diyabetli bir fareye yaptığımızda, glukoz seviyesindeki çarpıcı iyileşmeyi gördük.
Araştırmacılar, FGF1 tedavisinin, istenmeyen kilo artışından tehlikeli kalp ve karaciğer problemlerine kadar birçok yan etkiyle ilişkilendirilen diyabet ilacı Actos’a göre oldukça avantajlı olduğunu buldular. Önemli olan başka bir bulgu ise; FGF1’ın (yüksek dozlarda da olsa) bu yan etkileri tetiklememiş olmasıydı, ya da glikoz seviyesinin tehlikeli bir şekilde düşük seviyelere inmesine neden olmamasıydı ki bu kandaki glikoz seviyesini azaltan birçok etken maddeyle ilişkilendirilen bir risk faktörüdür. Bu tip olumsuzlukların aksine, enjeksiyonlar vücudun doğal olarak sahip olduğu insülini ve kandaki şeker seviyesini düzenleme yeteneğini geri kazandırıyor, kandaki glikoz miktarını güvenli seviyelerde tutuyor ve diyabetin ana belirtilerini etkili bir şekilde tersine çevirmiş oluyor. Doktora sonrası araştırma akademisyenliğini Salk’da sürdüren ve aynı zamanda Evans’ın laboratuarının bir üyesi ve bu makalenin başyazarı olan Jae Myoung Suh şöyle söylüyor:
FGF1’ı kullandığımızda hipoglisemi ve diğer yaygın yan etkileri gerçekten gözlemlemedik. Diğer ilaçlarla karşılaştırıldığında FGF1, vücudun daha ‘normal’ bir tepki vermesine neden olabiliyor çünkü FGF1 vücut içerisinde hızlıca metabolize olabiliyor ve belirli hücreleri hedef alıyor.
FGF1’ın mekanizması hala tam anlamıyla anlaşılmış değil (insülin direnci mekanizmasının anlaşılamaması gibi) fakat Evans’ın ekibi, proteinin büyümeyi tetikleme yeteneğinin, glikoza olan etkisinden bağımsız olduğunu keşfettiler ki bu da proteini tedavi amaçlı kullanıma biraz daha yaklaştırır. Evans şöyle söylüyor:
Bu çalışmadan sonra ortaya birçok soru çıktı. FGF1’ın diyabetteki ve metabolizmadaki rolünün keşfedilmesine giden yollar şimdi daha da açık.
Evans’ın adres gösterdiği açıklığa kavuşması gereken konulardan bir tanesi ise FGF1’ın etkileşim içerisinde olduğu sinyal yolaklarının ve reseptörlerinin belirlenmesi. Ayrıca Evans, çalışma arkadaşlarıyla birlikte,FGF1’ın insanlar üzerindeki denemelerine başlamayı planlıyor, fakat proteini tedavi edici ilaçlarla uyumlu hale getirmek zaman alacak gibi duruyor. Evans sözlerini şöyle sonlandırıyor:
Biz, hücre büyümesini tetiklemeden, yalnızca glikozu etkileyecek yeni jenerasyon FGF1 varyasyonları geliştirip insanlara sunmak istiyoruz. Eğer mükemmel varyasyonu bulabilirsek, benim düşünceme göre glikozukontrol edebilecek çok yeni ve etkili bir araca sahip olmuş olacağız.
Çalışmada yer alan diğer araştırmacıların isimleri şöyle sıralanıyor; Salk Biyolojik Çalışmalar Enstitüsü’nden Maryam Ahmadian, Eiji Yoshihara, Weiwei Fan, Yun-Qiang Yin, Ruth T. Yu, ve Annette R. Atkins, Groningen Üniversitesi’nden Weilin Liu, Johan W. Jonker, Theo van Dijk, ve Rick Havinga, Sidney Üniversitesi’nden Christopher Liddle, San Diego’da bulunan California Üniversitesi’nden Denise Lackey, Olivia Osborn, and Jerrold M. Olefsky, New York Üniversitesi Tıp Okulu’ndan Regina Goetz, Zhifeng Huang, ve Moosa Mohammadi.
Ronald Evans, Howard Hughes Tıp Enstitüsü’nde bir araştırmacı olarak çalışıyor ve aynı zamanda Ulusal Sağlık Enstitüsü, Leona M. Ve Harry B. Helmsley Yardım Kuruluşu, Glenn Tıbbi Araştırmalar Vakfı, Ipsen/Biomeasure, CIRM, ve Ellison Tıp Vakfı tarafından sağlanan ödeneklerle desteklenmiştir. Çalışmanın diğer yazarları ise Ulusal Sağlık Enstitüsü, Avustralya Ulusal Sağlık ve Tıbbi Araştırma Konseyi, İnsan Sınır Bilim Programı, Bilimsel Araştırmalar için Hollanda Organizasyonu ve Hollanda Sindirim Vakfı tarafından sağlanan yardımlarla desteklenmiştir.
Evrim Ağacı'nda tek bir hedefimiz var: Bilimsel gerçekleri en doğru, tarafsız ve kolay anlaşılır şekilde Türkiye'ye ulaştırmak. Ancak tahmin edebileceğiniz gibi Türkiye'de bilim anlatmak hiç kolay bir iş değil; hele ki bir yandan ekonomik bir hayatta kalma mücadelesi verirken...
O nedenle sizin desteklerinize ihtiyacımız var. Eğer yazılarımızı okuyanların %1'i bize bütçesinin elverdiği kadar destek olmayı seçseydi, bir daha tek bir reklam göstermeden Evrim Ağacı'nın bütün bilim iletişimi faaliyetlerini sürdürebilirdik. Bir düşünün: sadece %1'i...
O %1'i inşa etmemize yardım eder misiniz? Evrim Ağacı Premium üyesi olarak, ekibimizin size ve Türkiye'ye bilimi daha etkili ve profesyonel bir şekilde ulaştırmamızı mümkün kılmış olacaksınız. Ayrıca size olan minnetimizin bir ifadesi olarak, çok sayıda ayrıcalığa erişim sağlayacaksınız.
Makalelerimizin bilimsel gerçekleri doğru bir şekilde yansıtması için en üst düzey çabayı gösteriyoruz. Gözünüze doğru gelmeyen bir şey varsa, mümkünse güvenilir kaynaklarınızla birlikte bize ulaşın!
Bu makalemizle ilgili merak ettiğin bir şey mi var? Buraya tıklayarak sorabilirsin.
Soru & Cevap Platformuna Git- 3
- 1
- 1
- 1
- 1
- 0
- 0
- 0
- 0
- 0
- 0
- 0
- Çeviri Kaynağı: ScienceDaily | Arşiv Bağlantısı
Evrim Ağacı'na her ay sadece 1 kahve ısmarlayarak destek olmak ister misiniz?
Şu iki siteden birini kullanarak şimdi destek olabilirsiniz:
kreosus.com/evrimagaci | patreon.com/evrimagaci
Çıktı Bilgisi: Bu sayfa, Evrim Ağacı yazdırma aracı kullanılarak 08/10/2025 11:24:05 tarihinde oluşturulmuştur. Evrim Ağacı'ndaki içeriklerin tamamı, birden fazla editör tarafından, durmaksızın elden geçirilmekte, güncellenmekte ve geliştirilmektedir. Dolayısıyla bu çıktının alındığı tarihten sonra yapılan güncellemeleri görmek ve bu içeriğin en güncel halini okumak için lütfen şu adrese gidiniz: https://evrimagaci.org/s/2565
İçerik Kullanım İzinleri: Evrim Ağacı'ndaki yazılı içerikler orijinallerine hiçbir şekilde dokunulmadığı müddetçe izin alınmaksızın paylaşılabilir, kopyalanabilir, yapıştırılabilir, çoğaltılabilir, basılabilir, dağıtılabilir, yayılabilir, alıntılanabilir. Ancak bu içeriklerin hiçbiri izin alınmaksızın değiştirilemez ve değiştirilmiş halleri Evrim Ağacı'na aitmiş gibi sunulamaz. Benzer şekilde, içeriklerin hiçbiri, söz konusu içeriğin açıkça belirtilmiş yazarlarından ve Evrim Ağacı'ndan başkasına aitmiş gibi sunulamaz. Bu sayfa izin alınmaksızın düzenlenemez, Evrim Ağacı logosu, yazar/editör bilgileri ve içeriğin diğer kısımları izin alınmaksızın değiştirilemez veya kaldırılamaz.
This work is an exact translation of the article originally published in ScienceDaily. Evrim Ağacı is a popular science organization which seeks to increase scientific awareness and knowledge in Turkey, and this translation is a part of those efforts. If you are the author/owner of this article and if you choose it to be taken down, please contact us and we will immediately remove your content. Thank you for your cooperation and understanding.