Ölürken EEG'si Çekilen Hasta

- Blog Yazısı
Ölüm anında beyin kaydını almak çok zordur çünkü bir insanı EEG makinasının içine koyup "hadi öl " diyemezsiniz -Etige aykırı- bu yüzden elimizde çok az veri var. Sadece 1 veri var;
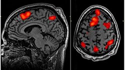
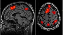
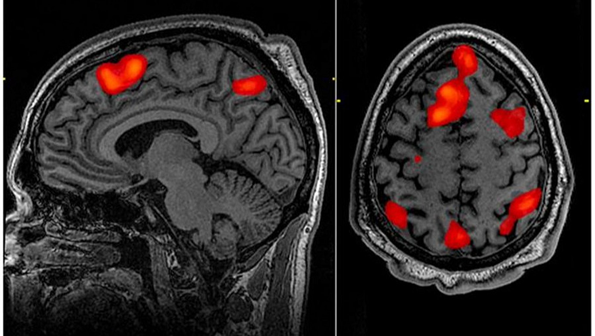
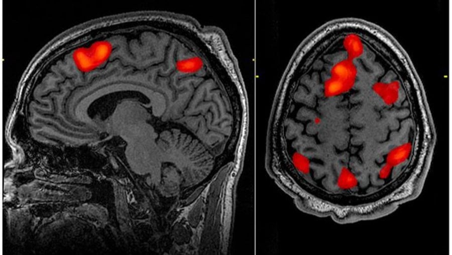
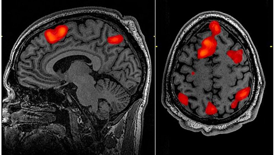
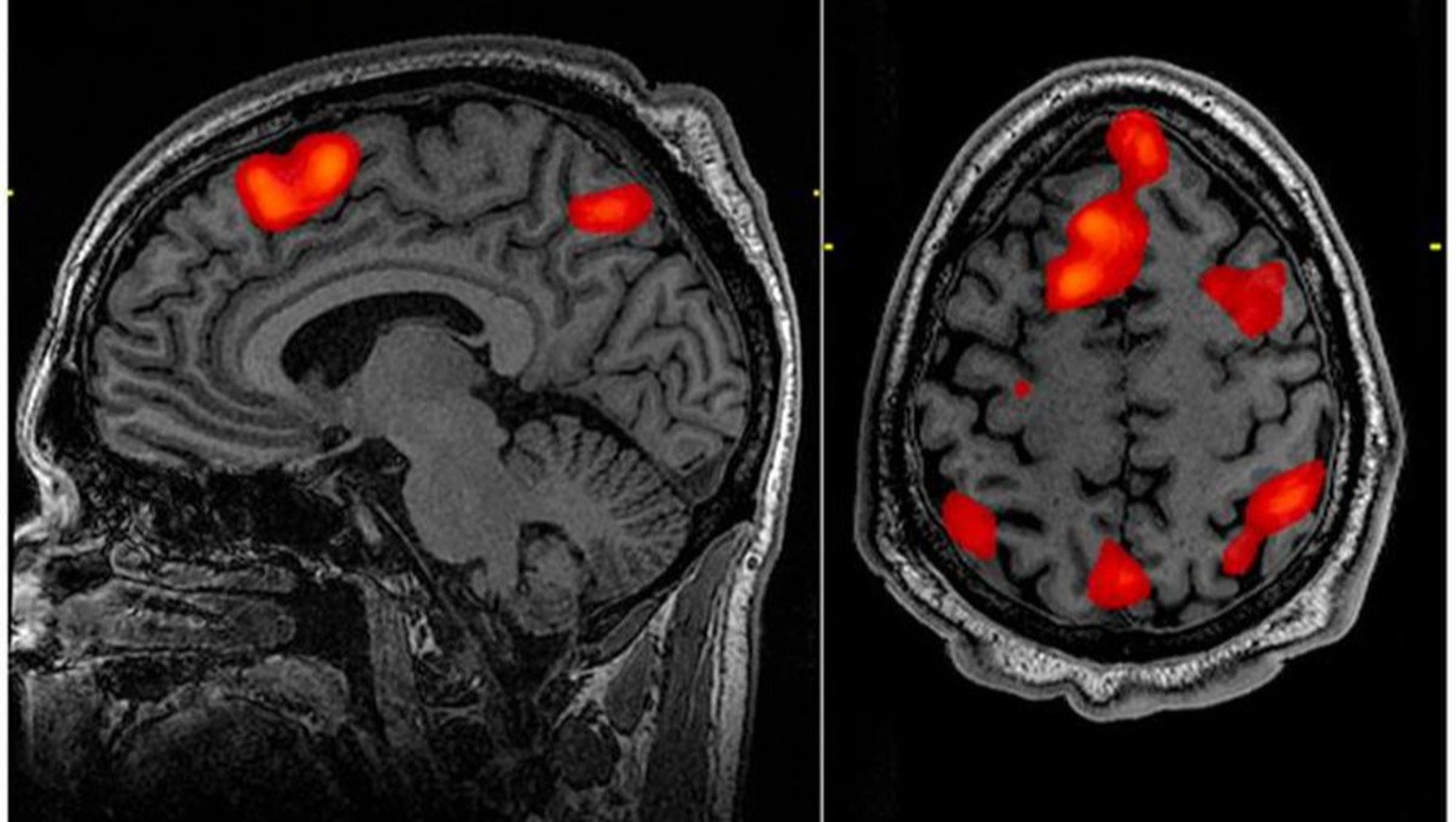
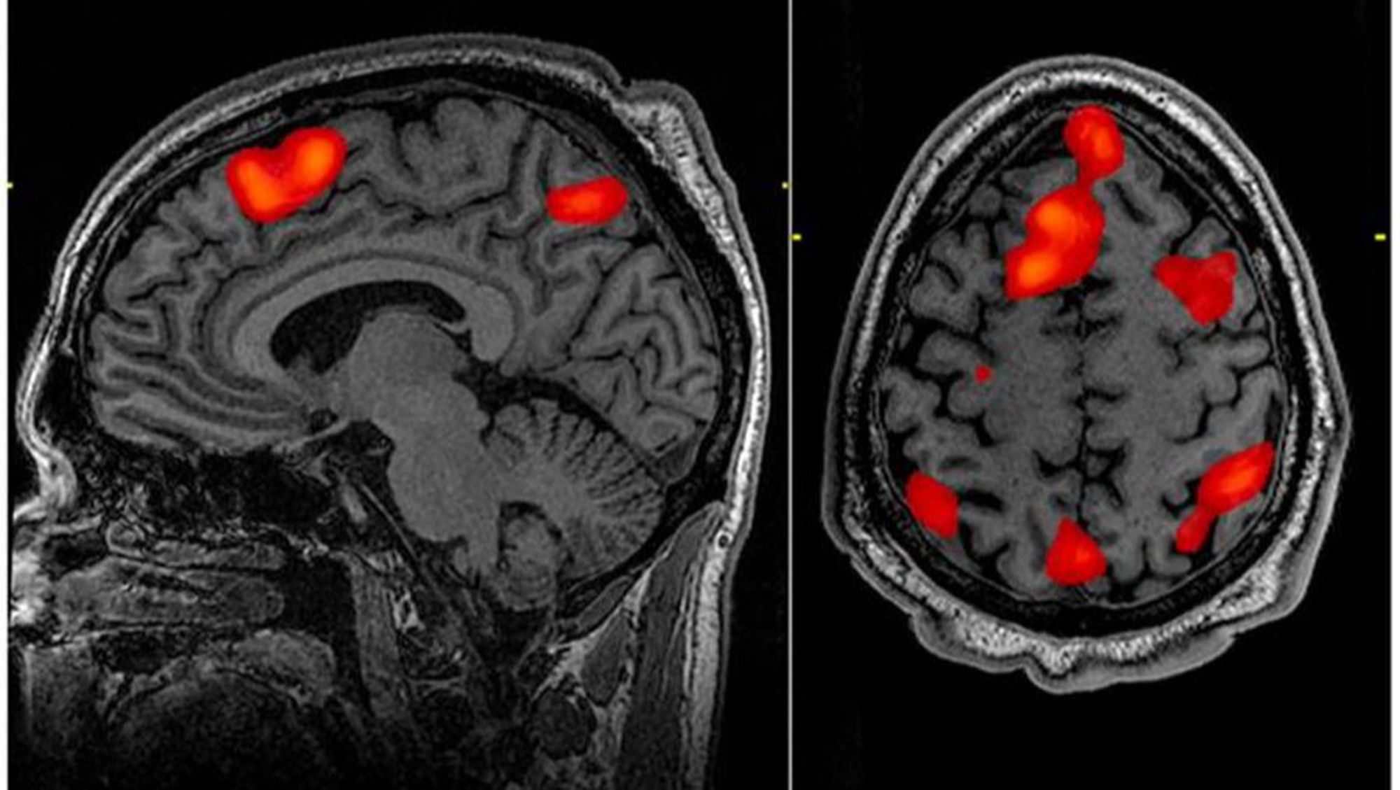
Kanada'da bilim insanları,epilepsi tedavisi gören 87 yaşındaki bir hastanın elektroensefalografi (EEG) ile beyin aktiviteleri incelenirken hasta aniden kalp krizi geçirdi.Elektroensefalografiye bağlı olan hastanın hayatını kaybederken son beyin aktiviteleri de 15 dakika boyunca kayıt altına alındı.
Sonucunda rüya görme, geçmişi hatırlama gibi işlevlerin yapıldıgını buldular bunuda "Frontiers in the Neuroscience of Aging"dergisinde yayınladılar.
- 1
- 0
- 0
- 0
- 0
- 0
- 0
- 0
- 0
- 0
- 0
- 0
Evrim Ağacı'na her ay sadece 1 kahve ısmarlayarak destek olmak ister misiniz?
Şu iki siteden birini kullanarak şimdi destek olabilirsiniz:
kreosus.com/evrimagaci | patreon.com/evrimagaci
Çıktı Bilgisi: Bu sayfa, Evrim Ağacı yazdırma aracı kullanılarak 06/10/2025 04:19:32 tarihinde oluşturulmuştur. Evrim Ağacı'ndaki içeriklerin tamamı, birden fazla editör tarafından, durmaksızın elden geçirilmekte, güncellenmekte ve geliştirilmektedir. Dolayısıyla bu çıktının alındığı tarihten sonra yapılan güncellemeleri görmek ve bu içeriğin en güncel halini okumak için lütfen şu adrese gidiniz: https://evrimagaci.org/s/11924
İçerik Kullanım İzinleri: Evrim Ağacı'ndaki yazılı içerikler orijinallerine hiçbir şekilde dokunulmadığı müddetçe izin alınmaksızın paylaşılabilir, kopyalanabilir, yapıştırılabilir, çoğaltılabilir, basılabilir, dağıtılabilir, yayılabilir, alıntılanabilir. Ancak bu içeriklerin hiçbiri izin alınmaksızın değiştirilemez ve değiştirilmiş halleri Evrim Ağacı'na aitmiş gibi sunulamaz. Benzer şekilde, içeriklerin hiçbiri, söz konusu içeriğin açıkça belirtilmiş yazarlarından ve Evrim Ağacı'ndan başkasına aitmiş gibi sunulamaz. Bu sayfa izin alınmaksızın düzenlenemez, Evrim Ağacı logosu, yazar/editör bilgileri ve içeriğin diğer kısımları izin alınmaksızın değiştirilemez veya kaldırılamaz.