İmmünohistokimya: Hastalıkların Tanısında ve Tedavisinde Nasıl Bir Rol Oynar? Biyomedikal Araştırmalara Katkısı Nedir? Gelecekte Ne Gibi Yenilikler Bekleniyor?

- Blog Yazısı
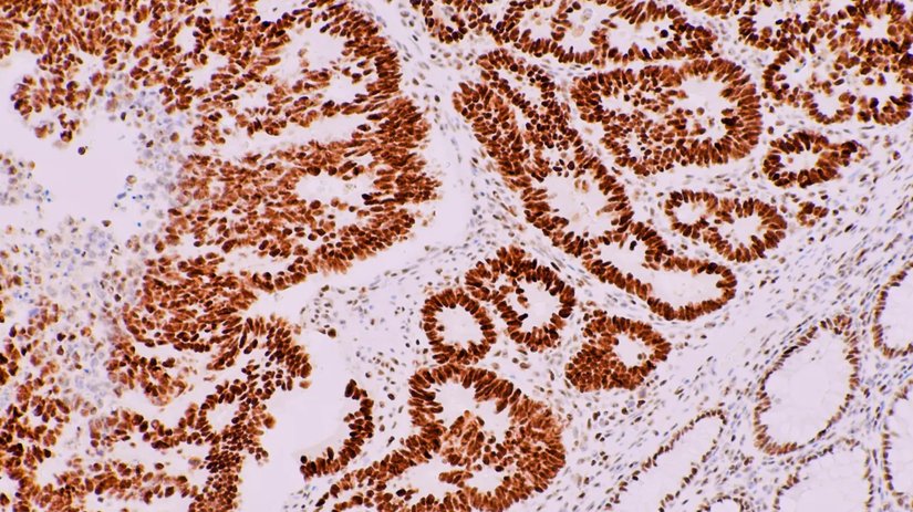
İmmünohistokimya (IHC), biyolojik doku örneklerindeki belirli antijenlerin (proteinlerin) tespit edilmesi ve lokalizasyonunun belirlenmesi amacıyla kullanılan bir laboratuvar tekniğidir. Bu yöntem; antijenlerin, özel olarak üretilmiş ve belirli antijenlerle yüksek özgüllükle bağlanabilen antikorlar tarafından tanınması ve bağlanması prensibine dayanır. Antikorlar, bağlandıkları antijenleri görünür hale getirmek için bir boya, florofor veya enzim gibi işaretleyicilerle etiketlenir. Böylece doku kesitlerinde antijenlerin dağılımı ve yoğunluğu mikroskop altında incelenebilir.

İmmünohistokimyanın Temel Prensipleri
İmmünohistokimya, biyomedikal araştırmalarda ve tanısal patolojide geniş bir uygulama yelpazesine sahiptir. Temel prensipleri şunlardır:
- Antijen-Antikor Etkileşimi: İmmünohistokimyanın temeli, spesifik antijen-antikor etkileşimidir. Antikorlar, belirli bir antijene karşı üretilir ve bu antijenle yüksek spesifiklikle bağlanır.[1]
- İşaretleme ve Tespit: Antikorlar, bağlandıkları antijenleri görünür kılmak için çeşitli işaretleyicilerle etiketlenir. Bu işaretleyiciler, genellikle enzimler (örneğin, horseradish peroksidaz - HRP) veya floroforlar (örneğin, fluorescein isothiocyanate - FITC) olabilir. Enzimler, uygun substratlarla reaksiyona girerek renkli ürünler oluşturur ve bu da mikroskop altında tespit edilebilir.
- Doku Morfolojisinin Korunması: İmmünohistokimya, doku kesitlerinin morfolojik yapısını koruyarak proteinlerin lokalizasyonunu belirler. Bu özellik, hücresel yapıların ve doku düzeninin detaylı incelenmesini sağlar.
İmmünohistokimyanın Avantajları
İmmünohistokimya, pek çok biyomedikal çalışmada yaygın olarak kullanılmasının sağladığı avantajlarıyla dikkat çekiyor. Bu avantajlar, yöntemin incelediği biyolojik örnekler ve elde ettiği sonuçların kalitesi ile ilgilidir ve şu şekilde sıralanabilir:
- Yüksek Özgüllük ve Duyarlılık: IHC, belirli proteinlerin varlığını tespit etmek için yüksek özgüllükte antikorlar kullanır. Bu antikorlar, hedef antijenlere sıkı bir şekilde bağlanarak araştırılan proteinin doğru ve hassas bir şekilde tespit edilmesini sağlar. Bu durum, hastalık tanısı ve biyomedikal araştırmalar açısından büyük bir avantajdır.
- Hızlı ve Güvenilir Sonuçlar: İmmünohistokimya, nispeten hızlı sonuçlar verir ve doğru uygulandığında güvenilir veriler sunar. IHC, bu nedenle klinik tanıda sıklıkla tercih edilen bir yöntemdir.
- Çeşitli Örnek Tiplerinde Kullanım: IHC, parafin kesitleri, taze donmuş dokular ve hücre kültürleri gibi farklı biyolojik örneklerde uygulanabilir. Bu geniş uygulama yelpazesi, yöntemin farklı araştırma ve tanı amaçlarına uygun olmasını sağlar.[2]
İmmünohistokimyanın Sınırlamaları
İmmünohistokimya, her ne kadar pek çok avantaj sunsa da yöntemin bazı teknik ve uygulama zorlukları da bulunmaktadır. Bu sınırlamalar, yöntemin doğru uygulanması için göz önünde bulundurulmalıdır. Bahsi geçen sınırlamalar ana hatlarıyla şu şekildedir:
- Antikor Kalitesi ve Spesifikliği: IHC'nin başarısı, kullanılan antikorların kalitesine ve spesifikliğine bağlıdır. Yanlış antikor seçimi veya düşük kaliteli antikorlar, yanlış pozitif veya yanlış negatif sonuçlara neden olabilir. Bu durum, tanı ve araştırma sonuçlarının doğruluğunu olumsuz etkileyebilir.
- Teknik Karmaşıklık: İmmünohistokimya, dikkatli bir protokol uygulaması ve deneysel kontroller gerektirir. Bu süreç, teknik bilgi ve deneyim gerektirir, aksi takdirde sonuçların doğruluğunu riske atabilir.
- Maliyet ve Zaman Gereksinimleri: IHC uygulamaları, yüksek kaliteli antikorlar ve karmaşık protokoller gerektirdiğinden maliyetli ve zaman alıcı olabilir. Bu, özellikle büyük ölçekli çalışmalarda önemli bir sınırlama olarak karşımıza çıkabilir.[3]
İmmünohistokimyanın Önemi ve Uygulama Alanları
İmmünohistokimya, hücresel ve dokusal düzeyde proteinlerin lokalizasyonunu ve miktarını belirleyerek hastalıkların moleküler temellerini aydınlatmada önemli bir rol oynar. Bu, özellikle kanser biyolojisi ve nörodejeneratif hastalıklar gibi alanlarda değerli bilgiler sunar.
Kanser Tanısı ve Sınıflandırması: IHC, farklı kanser türlerinin tanısında ve sınıflandırılmasında kritik bir araçtır. Örneğin, meme kanserinde östrojen reseptörü (ER), progesteron reseptörü (PR) ve HER2/neu proteinlerinin ekspresyonu, kanser alt tipinin belirlenmesinde ve tedavi planlamasında kullanılır.
Nörodejeneratif Hastalıklar: Alzheimer hastalığı gibi nörodejeneratif hastalıklarda, beta-amiloid plakları ve tau proteinleri gibi patolojik proteinlerin tespiti için IHC kullanılır. Bu tür incelemeler, hastalığın patolojik süreçlerinin anlaşılmasına ve yeni terapötik hedeflerin belirlenmesine katkıda bulunur.
Bulaşıcı Hastalıklar: IHC, virüs, bakteri ve parazitlerin neden olduğu enfeksiyonların teşhisinde de kullanılabilir. Bu, özellikle hastalık etkenlerinin dokularda lokalize edilmesi gereken durumlarda büyük bir avantaj sağlar.
Farmakolojik Araştırmalar: Yeni ilaçların geliştirilmesi ve mevcut tedavilerin etkinliğinin değerlendirilmesinde IHC önemli bir rol oynar. İlaç hedeflerinin dokulardaki dağılımını ve tedaviye verilen yanıtı değerlendirmek için IHC kullanılır.
Gelişim Biyolojisi: Embriyogenez ve doku gelişimi sırasında belirli proteinlerin ekspresyonunu incelemek için IHC kullanılır. Bu, gelişimsel süreçlerin moleküler mekanizmalarını anlamak için değerli bir araçtır.[4], [5]
İmmünohistokimyanın Geleceği ve Gelişen Teknolojiler
İmmünohistokimya, gelecekte daha da önem kazanacak bir yöntem olarak öne çıkmaktadır. Bu yöntem, tıbbi araştırmalar ve biyomedikal araştırmaların pek çok kısmında kritik bir rol oynamaktadır. Geçmişte yalnızca manuel ve zaman alıcı işlemlerle sınırlı kalan IHC, günümüzde teknolojiyle entegre edilerek daha hızlı, hassas ve güvenilir hale gelmiştir. Gelecekteki uygulamalar, IHC'nin potansiyelini daha da genişletmektedir ve bu alanda yapılan teknolojik gelişmeler, yöntemin etkinliğini artırarak daha yaygın kullanımına olanak tanıyacaktır.
Aslında maddi destek istememizin nedeni çok basit: Çünkü Evrim Ağacı, bizim tek mesleğimiz, tek gelir kaynağımız. Birçoklarının aksine bizler, sosyal medyada gördüğünüz makale ve videolarımızı hobi olarak, mesleğimizden arta kalan zamanlarda yapmıyoruz. Dolayısıyla bu işi sürdürebilmek için gelir elde etmemiz gerekiyor.
Bunda elbette ki hiçbir sakınca yok; kimin, ne şartlar altında yayın yapmayı seçtiği büyük oranda bir tercih meselesi. Ne var ki biz, eğer ana mesleklerimizi icra edecek olursak (yani kendi mesleğimiz doğrultusunda bir iş sahibi olursak) Evrim Ağacı'na zaman ayıramayacağımızı, ayakta tutamayacağımızı biliyoruz. Çünkü az sonra detaylarını vereceğimiz üzere, Evrim Ağacı sosyal medyada denk geldiğiniz makale ve videolardan çok daha büyük, kapsamlı ve aşırı zaman alan bir bilim platformu projesi. Bu nedenle bizler, meslek olarak Evrim Ağacı'nı seçtik.
Eğer hem Evrim Ağacı'ndan hayatımızı idame ettirecek, mesleklerimizi bırakmayı en azından kısmen meşrulaştıracak ve mantıklı kılacak kadar bir gelir kaynağı elde edemezsek, mecburen Evrim Ağacı'nı bırakıp, kendi mesleklerimize döneceğiz. Ama bunu istemiyoruz ve bu nedenle didiniyoruz.
IHC'nin geleceği, biyomedikal araştırmalar, klinik tanı ve terapötik gelişmeler açısından büyük umutlar vaat etmektedir. Özellikle otomatikleştirilmiş sistemler, dijital analiz teknikleri ve yeni tespit sistemleri gibi teknolojik yenilikler, bu yöntemin duyarlılığını ve kullanım kolaylığını artırmaktadır. Bu gelişmeler, sadece laboratuvar verimliliğini değil, aynı zamanda kişiselleştirilmiş tıp ve yeni biyomarker keşifleri gibi alanlardaki yenilikleri de desteklemektedir. Aşağıda, immünohistokimya alanındaki bu teknolojik yeniliklerin bazıları ayrıntılı olarak incelenmiştir.[6]
Otomatikleştirilmiş IHC Sistemleri ve Dijital Görüntü Analizi
Otomatikleştirilmiş IHC sistemleri, manuel işlemlerin yol açtığı hata payını azaltarak analiz sürecini standart hale getirir. Dijital görüntü analizi, elde edilen verilerin objektif bir şekilde değerlendirilmesine olanak tanır ve büyük veri analizi için kaynak oluşturur.
Yeni Polimer Tabanlı Tespit Sistemleri ve Sinyal Amplifikasyon Teknikleri
Geleneksel yöntemlerde zor tespit edilebilen düşük ekspresyonlu antijenler için yeni polimer tabanlı tespit sistemleri ve sinyal amplifikasyon teknikleri geliştirilmiştir. Bu yenilikler, IHC'nin duyarlılığını artırarak daha geniş bir uygulama alanı sağlar.
Gelecekteki Uygulama Alanları
Kişiselleştirilmiş tıbbın önem kazandığı bu dönemde, IHC'nin rolü büyümeye devam edecek. Yeni biyomarkerların keşfi ve ilaç geliştirme süreçlerinde IHC'nin katkıları artacaktır.
İmmünohistokimya, biyomedikal araştırmalarda ve klinik tanıda sahip olduğu avantajlarla önemli bir yere sahiptir. Ancak yöntemin sınırlamaları ve gelecekteki gelişmeleri dikkate alarak, bu alanın sunduğu fırsatları daha da geliştirmek mümkündür.
Sonuç
İmmünohistokimya (IHC), biyomedikal araştırmalar ve tanısal patoloji alanında vazgeçilmez bir tekniktir. Proteinlerin hücresel ve dokusal düzeydeki dağılımını belirlemek, hastalıkların moleküler mekanizmalarını anlamak, doğru tanı koymak ve etkili tedavi stratejileri geliştirmek açısından büyük öneme sahiptir. IHC, özellikle kanser biyolojisi, nörodejeneratif hastalıklar, bulaşıcı hastalıklar ve farmakolojik araştırmalar gibi alanlarda geniş uygulama alanlarına sahiptir. Gelecekte, sürekli gelişen teknolojiler ve yenilikçi yöntemlerle IHC'nin biyomedikal alandaki rolü daha da önemli hale gelecektir. Otomatikleştirilmiş IHC sistemleri, dijital görüntü analizi ve yeni tespit teknikleri, yöntemin hassasiyetini ve doğruluğunu artırarak, daha ileri düzeyde bilgi birikimi ve daha etkin tedavi yaklaşımlarının geliştirilmesine olanak tanıyacaktır.
- 1
- 1
- 0
- 0
- 0
- 0
- 0
- 0
- 0
- 0
- 0
- 0
- ^ E. Harlow. Antibodies: A Laboratory Manual. ISBN: 9780879693145.
- ^ S. Shi. Antigen Retrieval Techniques: Immunohistochemistry And Molecular Morphology. ISBN: 9781881299431.
- ^ D. J. Dabbs. (2010). Diagnostic Immunohistochemistry. ISBN: 9781455700103. Yayınevi: Elsevier Health Sciences.
- ^ R. V. Lloyd, et al. (2017). Who Classification Of Tumours Of Endocrine Organs. ISBN: 9789283244936. Yayınevi: Who Classification Of Tumours.
- ^ G. L. Kumar. (2009). Immunohistochemical Staining Methods.
- ^ S. Shi. Antigen Retrieval Techniques: Immunohistochemistry And Molecular Morphology. ISBN: 9781881299431.
Evrim Ağacı'na her ay sadece 1 kahve ısmarlayarak destek olmak ister misiniz?
Şu iki siteden birini kullanarak şimdi destek olabilirsiniz:
kreosus.com/evrimagaci | patreon.com/evrimagaci
Çıktı Bilgisi: Bu sayfa, Evrim Ağacı yazdırma aracı kullanılarak 06/10/2025 02:48:07 tarihinde oluşturulmuştur. Evrim Ağacı'ndaki içeriklerin tamamı, birden fazla editör tarafından, durmaksızın elden geçirilmekte, güncellenmekte ve geliştirilmektedir. Dolayısıyla bu çıktının alındığı tarihten sonra yapılan güncellemeleri görmek ve bu içeriğin en güncel halini okumak için lütfen şu adrese gidiniz: https://evrimagaci.org/s/18310
İçerik Kullanım İzinleri: Evrim Ağacı'ndaki yazılı içerikler orijinallerine hiçbir şekilde dokunulmadığı müddetçe izin alınmaksızın paylaşılabilir, kopyalanabilir, yapıştırılabilir, çoğaltılabilir, basılabilir, dağıtılabilir, yayılabilir, alıntılanabilir. Ancak bu içeriklerin hiçbiri izin alınmaksızın değiştirilemez ve değiştirilmiş halleri Evrim Ağacı'na aitmiş gibi sunulamaz. Benzer şekilde, içeriklerin hiçbiri, söz konusu içeriğin açıkça belirtilmiş yazarlarından ve Evrim Ağacı'ndan başkasına aitmiş gibi sunulamaz. Bu sayfa izin alınmaksızın düzenlenemez, Evrim Ağacı logosu, yazar/editör bilgileri ve içeriğin diğer kısımları izin alınmaksızın değiştirilemez veya kaldırılamaz.