Bilim İnsanları, Nöral Kök Hücrelerini İstenilen Dokuya Yönlendiren Bir İlaç Keşfetti!

Bu Makalede Neler Öğreneceksiniz?
- Scientists developed the first drug to stimulate stem cell migration to specific tissue areas, enhancing their healing capacity by targeting the CXCR4 receptor and CXCL12 chemokine signal.
- Chemokines like CXCL12 regulate neural stem cell migration during brain injury by binding to CXCR4 receptors, initiating inflammatory and repair responses.
- Researchers created a CXCL12 agonist molecule to trigger stem cell migration without causing inflammation, improving regenerative medicine approaches for brain tissue repair.
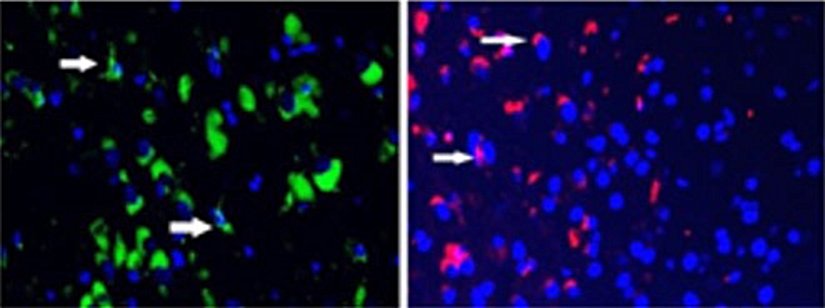
Bilim insanları, bu zamana kadar ilk kez kök hücrelerini belirli bir doku bölesine göç etmeleri için uyaran ve iyileştirme kapasitelerini arttıran bir ilaç geliştirdi. Çalışmanın odağı, kemokin aracılı G protein bağlı reseptör CXCR4 ve ona bağlanan kemokin sinyali CXCL12'dir.
Kemokinler, sitokinlerin bir alt grubudur ve reseptörleri ile beraber beyin dokusunda ifade edilirler. Sinir sisteminde inflamatuar yanıtların oluşmasında rol alırlar. Bu şekilde bağışıklık sistemi ve sinir sistemi arasında bir köprü kurarlar. Kemokinlerin asıl çarpıcı görevi, kemotaksi denilen, kandan dokulara ve dokudan kana damarlarda bulunan venüller aracılığı ile hücre göçünü sağlamalarıdır. Nöral kök hücreleri de kemokinlerin hücre göçünü sağladığı bir grup hücredir ve bu hücreler radyal glial progenitör hücrelerinden köken alırlar. Nöral kök hücreleri kendi kendini yenileyebilen, multipotent hücrelerdir ve bir yaralanma veya inflamasyon durumunda kemokinler aracılığı ile beyin dokusunda göç edip iyileşme süreçlerini başlatabilirler.
Bu biyolojik sürecin bir kanıtı 2004'te Evan Y. Snyder ve ekibi tarafından yapılan çalışmalarla geldi. Ekip, yaptıkları çalışmada 1αCXC kemokinini (aynı zamanda CXCL12 olarak da adlandırılır) ve onun reseptörü CXCR4 tarafından hasarlı beyin dokusuna nöral kök hücrelerinin göçünün başlatıldığını keşfetti. Sinir sisteminde bulunan ve nöronların fizyolojik faaliyetlerinde yardımcı görev yapan glia hücrelerinden bir tip olan astrositler, yaralanma sırasında CXCL12 kemokin sinyalini üretir. Bu molekülün reseptörü ise nöral kök hücrelerinin zarına yerleşmiş olan CXCR4'tür. Molekülün reseptöre bağlanması başta inflamasyon yanıtları olmak üzere içerisinde kök hücre göçünün de bulunduğu bir dizi yolağı başlatır.

İstenmeyen Yanıtı Elimine Etmek
Süreç, beyin dokusunun yenilenmesine aracılık ettiği için cazip; fakat bu, hâli hazırda hasarlı olan dokunun inflamasyonunu artırır. Bu sorunun çözümü ise, 15 yıl önce CXCR4 yolağını açıklamış olan aynı kişilerden, Evan Y. Snyder ve ekibinden, 20 Kasım 2020 tarihinde geldi. Ekip, kök hücre göçünü başlatmaya yarayan, fakat bunun yanında inflamatuar yanıtlara sebep olmayan, bilakis bu yanıtların azalmasını sağlayan bir CXCL12 agonisti molekül üretmeyi başardıklarını açıkladılar. Merkezin baş profesörü ve yöneticisi Evan Y. Synder yaptıkları çalışma hakkında şunları belirtti;
Bir kök hücreye vücudun içinde veya belirli bir organın belirli bir bölgesine gideceğini öğretme yeteneği, rejeneratif tıp için Kutsal Kase'dir. Şu an ve şimdiye kadar ilk kez, Bir kök hücreyi istenen bir yere yönlendirebilir ve terapötik etkisini odaklayabiliriz.
CXCR4'ün Özellikleri
CXCR4, sinir sisteminin yanında diğer sistemlerde hematopoez ve organogenez meydana gelmesini sağlayan, kemokin bağlı G protein aracılı reseptörler grubundadır. CXCR4'e bağlanan bir molekül, esasında onun iki farklı bölgesi ile temasa geçer; bunlar bağlanma bölgesi ve sinyal iletim bölgesidir. Molekül ilk olarak bağlanma bölgesine yerleşir ve uygun bağlanma sağlanabilirse molekül bu sefer sinyal iletim bölgesi ile etkileşime geçer ve içerisinde hücre iskeletinin yeniden düzenlenmesi, hücre döngüsünün düzenlenmesi, adezyon ve proliferasyon, keratin filaman oluşumu, inflamatuar yanıtlar ve kök hücre göçü olmak üzere birçok biyolojik sürecin meydana gelmesini sağlar.
Hibrit Molekül
Ekip, yaptıkları çalışmada bağlanma bölgesine oldukça spesifik olan, bunun yanında sinyal iletim bölgesine bağlanması sınırlı olan ve bu sayede ciddi bağışıklık yanıtlarına sebep olmadan yalnızca hücre göçünü başlatacak bir molekül aradılar. Bunun için bir dizi hibrit molekül geliştirdiler. Bunlar CXCR4'e en kuvvetli şekilde bağlanan ligandın bir parçasını içeriyordu. Bu şekilde reseptöre bağlanma gücünün oldukça yüksek olması hedeflendi.
Bunun yanında, hibrit molekülün geri kalanı klasik CXCL12'nin küçük bir parçasını içeren bir moleküldü. Bu molekül reseptörün sinyal iletim bölgesine bağlanıyor, uzun süreli kök hücre göçü sinyali başlatabiliyordu. En önemli olanı ise, klasik CXCL12'nin inflamatuar yanıta sebep olan kısmı tamamen elimine edilmişti.
SDV1a ve Özellikleri
Ardından, molekül adayları içerisinden en optimal grubun seçimi aşamasına geçildi. Reseptör bağlanma bölgesine en uyumlu molekül dizisi bilgisayar ortamında tarandı ve "DV1" molekül grubu seçildi. Sonrasında klasik CXCL12'nin 68 amino asitlik kısmının sadece 8 amino asitlik kısmını içeren bir peptid seçildi ve bu peptid "S" olarak adlandırıldı. Araştırmacılar bu sayede "SDV1" molekül grubunu elde etmiş oldular.
Çalışmanın sonraki aşaması, bir kaç SDV1 molekülü içerisinden en uygun olanını seçmekti ve bunun için birkaç kriter belirlendi. İlk kriter bu molekülün "yarışma" kapasitesiydi. CXCR4 reseptörüne hâli hazırda birçok CXCL12 agonisti ve antagonisti bağlanabilir. Bilim insanları bu moleküllerin CXCR4'e bağlanmak için yarıştığı ortamda SDV1'lerin değişik konsantrasyonlarda reseptöre bağlanma gücünü ölçtüler. Bir başka kriter ise SDV1'lerin ikincil sinyal yolağı olan ve başta kök hücre göçünün başlatılması gibi bir çok biyolojik süreçte görev alan hücre içi kalsiyum konsantrasyonunu artırma kapasitesiydi. Son olarak SDV1'lerin in vivo ortamda ve hayvanlar üzerindeki deneylerle gerçekten de hücre göçü üzerinde nasıl etkileri olduğu araştırıldı. Yapılan tüm çalışmalar sonucunda en optimal molekül SDV1a'ydı.
Bilim insanları, klasik CXCL12 ve SDV1a'yı karşılaştırdılar. Bulgulardan biri moleküllerin reseptörün endositozu üzerine etkileriydi. CXCL12 reseptörü olan CXCR4'ün hücre zarının hücrenin içine doğru katlanıp boğumlanması ile oluşan endositozunu uyarıyordu. Bu durum içerisinde infalamatuar yanıtların da olduğu birçok ek biyolojik süreci uyarıyordu. SDV1a, CXCL12'nin aksine CXCR4'ün endositozunu uyarmıyordu. Bir başka bulgu moleküllerin diğer genlerin ifadeleri üzerine olan etkileri ile ilgiliydi. CXCL12 inflamasyonla ilişkili genlerin ifadesini uyarırken, SDV1a'nın düzenlediği gen aktiviteleri gelişimsel, homeostatik ve kök hücre bağlantılıydı. Hayvanlar üzerinde yapılan deneylerle SDV1a'nın uygulandığı dokuda kök hücrelerini bu dokuya çekme yeteneği kanıtlandı.

İlacın Hastalıklar Üzerinde Etkisi
SDV1a'nın çeşitli hastalıklar üzerine etkisi bugünün araştırma konusudur. Elvan Y. Snyder şu şekilde belirtmektedir;
Aslında maddi destek istememizin nedeni çok basit: Çünkü Evrim Ağacı, bizim tek mesleğimiz, tek gelir kaynağımız. Birçoklarının aksine bizler, sosyal medyada gördüğünüz makale ve videolarımızı hobi olarak, mesleğimizden arta kalan zamanlarda yapmıyoruz. Dolayısıyla bu işi sürdürebilmek için gelir elde etmemiz gerekiyor.
Bunda elbette ki hiçbir sakınca yok; kimin, ne şartlar altında yayın yapmayı seçtiği büyük oranda bir tercih meselesi. Ne var ki biz, eğer ana mesleklerimizi icra edecek olursak (yani kendi mesleğimiz doğrultusunda bir iş sahibi olursak) Evrim Ağacı'na zaman ayıramayacağımızı, ayakta tutamayacağımızı biliyoruz. Çünkü az sonra detaylarını vereceğimiz üzere, Evrim Ağacı sosyal medyada denk geldiğiniz makale ve videolardan çok daha büyük, kapsamlı ve aşırı zaman alan bir bilim platformu projesi. Bu nedenle bizler, meslek olarak Evrim Ağacı'nı seçtik.
Eğer hem Evrim Ağacı'ndan hayatımızı idame ettirecek, mesleklerimizi bırakmayı en azından kısmen meşrulaştıracak ve mantıklı kılacak kadar bir gelir kaynağı elde edemezsek, mecburen Evrim Ağacı'nı bırakıp, kendi mesleklerimize döneceğiz. Ama bunu istemiyoruz ve bu nedenle didiniyoruz.
Bu ilacın etki mekanizmasının çeşitli nörodejeneratif bozukluklara ve ayrıca kalp hastalığı, artrit ve hatta beyin kanseri gibi nörolojik olmayan durumlara potansiyel olarak fayda sağlayabileceği konusunda iyimseriz. İlginç bir şekilde, CXCL12 ve reseptörü şiddetli COVID-19'u karakterize eden sitokin fırtınasında rol oynadığı için, diğer normal biyolojik süreçleri baskılamadan inflamasyonu seçici olarak nasıl engelleyebileceğimize dair içgörülerimizden bazıları bu alanda da yararlı olabilir.
Kaliforniya Rejeneratif Tıp Enstitüsü başkanı ve araştırmayı kısmen finanse eden Maria T. Millan da şu şekilde belirtiyor;
Kök hücre bilimine on yıllardır yaptığımız yatırım sayesinde, bu hücrelerin nasıl çalıştığını yaralanma veya hastalığı tersine çevirebilmek için nasıl kullanılabileceklerini anlamamızda muazzam bir bir ilerleme kaydediyoruz. Dr. Snyder ve grubu, nöral kök hücrelerin yaralanma alanlarına göç edebileceği ve onarımı başlatma yeteneklerini artırabilecek bir ilaç geliştirdi. Bu aday, omurilik yaralanması ve Alzheimer hastalığı gibi durumlar için kök hücre tedavilerinin geliştirilmesini hızlandırmaya yardımcı olabilir.
Evrim Ağacı'nda tek bir hedefimiz var: Bilimsel gerçekleri en doğru, tarafsız ve kolay anlaşılır şekilde Türkiye'ye ulaştırmak. Ancak tahmin edebileceğiniz gibi Türkiye'de bilim anlatmak hiç kolay bir iş değil; hele ki bir yandan ekonomik bir hayatta kalma mücadelesi verirken...
O nedenle sizin desteklerinize ihtiyacımız var. Eğer yazılarımızı okuyanların %1'i bize bütçesinin elverdiği kadar destek olmayı seçseydi, bir daha tek bir reklam göstermeden Evrim Ağacı'nın bütün bilim iletişimi faaliyetlerini sürdürebilirdik. Bir düşünün: sadece %1'i...
O %1'i inşa etmemize yardım eder misiniz? Evrim Ağacı Premium üyesi olarak, ekibimizin size ve Türkiye'ye bilimi daha etkili ve profesyonel bir şekilde ulaştırmamızı mümkün kılmış olacaksınız. Ayrıca size olan minnetimizin bir ifadesi olarak, çok sayıda ayrıcalığa erişim sağlayacaksınız.
Makalelerimizin bilimsel gerçekleri doğru bir şekilde yansıtması için en üst düzey çabayı gösteriyoruz. Gözünüze doğru gelmeyen bir şey varsa, mümkünse güvenilir kaynaklarınızla birlikte bize ulaşın!
Bu makalemizle ilgili merak ettiğin bir şey mi var? Buraya tıklayarak sorabilirsin.
İlgili Sorular
Soru & Cevap Platformuna Git- 6
- 5
- 4
- 3
- 3
- 2
- 0
- 0
- 0
- 0
- 0
- 0
- Sanford Burnham Prebys Medical Discovery Institute. World’s First: Drug Guides Stem Cells To Desired Location, Improving Their Ability To Heal. (5 Aralık 2020). Alındığı Tarih: 5 Aralık 2020. Alındığı Yer: Sanford Burnham Prebys Medical Discovery Institute | Arşiv Bağlantısı
- E. Y. Snyder, et al. (2020). Chemical Mutagenesis Of A Gpcr Ligand: Detoxifying “Inflammo-Attraction” To Direct Therapeutic Stem Cell Migration. PNAS. doi: 10.1073/pnas.1911444117. | Arşiv Bağlantısı
- X. Sun, et al. (2011). Cxcl12/Cxcr4/Cxcr7 Chemokine Axis And Cancer Progression. PMC. doi: 10.1007/s10555-010-9256-x. | Arşiv Bağlantısı
- F. Guo, et al. (2015). Cxcl12/Cxcr4: A Symbiotic Bridge Linking Cancer Cells And Their Stromal Neighbors In Oncogenic Communication Networks. Nature. | Arşiv Bağlantısı
- C. P. Viciano, et al. (2020). Kinetic Analysis Of The Early Signaling Steps Of The Human Chemokine Receptor Cxcr4. PubMed. doi: 10.1124/mol.119.118448. | Arşiv Bağlantısı
- E. Y. Snyder, et al. (2004). Directed Migration Of Neural Stem Cells To Sites Of Cns Injury By The Stromal Cell-Derived Factor 1Alpha/Cxc Chemokine Receptor 4 Pathway. PubMed. doi: 10.1073/pnas.0408258102. | Arşiv Bağlantısı
Evrim Ağacı'na her ay sadece 1 kahve ısmarlayarak destek olmak ister misiniz?
Şu iki siteden birini kullanarak şimdi destek olabilirsiniz:
kreosus.com/evrimagaci | patreon.com/evrimagaci
Çıktı Bilgisi: Bu sayfa, Evrim Ağacı yazdırma aracı kullanılarak 09/10/2025 12:47:38 tarihinde oluşturulmuştur. Evrim Ağacı'ndaki içeriklerin tamamı, birden fazla editör tarafından, durmaksızın elden geçirilmekte, güncellenmekte ve geliştirilmektedir. Dolayısıyla bu çıktının alındığı tarihten sonra yapılan güncellemeleri görmek ve bu içeriğin en güncel halini okumak için lütfen şu adrese gidiniz: https://evrimagaci.org/s/9666
İçerik Kullanım İzinleri: Evrim Ağacı'ndaki yazılı içerikler orijinallerine hiçbir şekilde dokunulmadığı müddetçe izin alınmaksızın paylaşılabilir, kopyalanabilir, yapıştırılabilir, çoğaltılabilir, basılabilir, dağıtılabilir, yayılabilir, alıntılanabilir. Ancak bu içeriklerin hiçbiri izin alınmaksızın değiştirilemez ve değiştirilmiş halleri Evrim Ağacı'na aitmiş gibi sunulamaz. Benzer şekilde, içeriklerin hiçbiri, söz konusu içeriğin açıkça belirtilmiş yazarlarından ve Evrim Ağacı'ndan başkasına aitmiş gibi sunulamaz. Bu sayfa izin alınmaksızın düzenlenemez, Evrim Ağacı logosu, yazar/editör bilgileri ve içeriğin diğer kısımları izin alınmaksızın değiştirilemez veya kaldırılamaz.