Beyninin %90'ı Hasar Görmüş Bir Adam, "Bilinç" Kavramımıza Meydan Okuyor!
Hidrosefali Dolayısıyla Beyninin %90'ı "Sıkıştırılan" Bir Adam, Bize Beynimizle İlgili Neler Öğretebilir?

Bu haber 9 yıl öncesine aittir. Haber güncelliğini yitirmiş olabilir; ancak arşivsel değeri ve bilimsel gelişme/ilerleme anlamındaki önemi dolayısıyla yayında tutulmaktadır. Ayrıca konuyla ilgili gelişmeler yaşandıkça bu içerik de güncellenebilir.
Beyninin %90'ı hasar görmüş olan iki çocuk babası, normal bir hayat yaşıyor... Nispeten normal ve sağlıklı bir hayat yaşayan Fransız, bilim insanlarının biyolojik bir açıdan bizi bilinçli yapan şeyin ne olduğunu yeniden düşünmesine yol açıyor.
On yıllardır yapılan araştırmalara rağmen, bilinç (birinin kendi varlığının farkında olması) hakkında bildiklerimiz hala çok yetersiz. Bilincin bir şekilde beyinde bulunduğunu biliyoruz, fakat o halde birisi nasıl nöronlarının çoğunluğunu kaybedip hala kendisi ve çevresinin farkında olabiliyor?
İlk olarak 2007 yılında The Lancet dergisinde anlatılan, beynini kaybeden adamın durumu bilim insanlarını neredeyse 10 yıldır şaşırtıyor.
The Lancet makalesi ortaya çıktığında Fransız adam 44 yaşındaydı ve kimliği gizli tutuldu. Ama araştırmacılar, adamın hayatının çoğunu yanlış giden bir şeyler olduğunu fark etmeden nasıl yaşadığını açıklamayı başardılar.
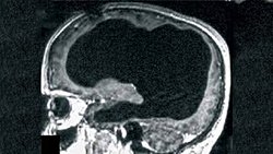
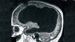
Doktora sadece sol bacağında hafif bir zayıflık şikayetiyle gitmişti, fakat yapılan beyin taramaları, kafatasının çoğunlukla sıvıyla dolu olduğunu, asıl beyin dokusunun sadece ince bir dış katmanının kaldığını ve beyninin iç kısmının neredeyse tamamen tükendiğini ortaya çıkarmıştı. Beyin taramaları ana görselde gözükmektedir.
Doktorlar, beyinde su toplanması (hidrosefali) olarak bilinen bir durum yüzünden adamın beyninin çoğunun, 30 yıl boyunca, yavaşça yok olduğunu düşünüyor. Hastalığın teşhisi kendisine bebek iken konmuş ve stent ile tedavi edilmişti. Fakat 14 yaşındayken stent çıkarılmıştı. İşte o zamandan beri, beyninin büyük çoğunluğunun aşındığı görülüyor. Fakat kalan en az miktardaki beyin dokusuna rağmen adamın zihinsel engeli yok; düşük bir IQ'ya (75) sahip; fakat bir devlet memuru olarak hayatına devam ediyor. Ayrıca evli ve iki çocuk babası ve nispeten sağlıklı.
Bu vaka sadece bilim insanlarının yaşamak için neler gerektiğini sorgulamasına neden olmuyor, aynı zamanda bilinç hakkında bildiklerimize de meydan okuyor.
Araştırmacılar geçmişte bilinçliliğin belirli beyin bölgelerine bağlı olabileceğini öne sürmüştü; tıpkı, başlıca beyin bölgeleri arasında çalışan ince bir nöron tabakası olan claustrum veya görsel beyin zarı gibi....
Fakat eğer bu varsayımlar doğru olsaydı, o halde beyninin çoğu kayıp olan Fransız adamın bilinçsiz olması gerekirdi. Belçika'daki Libre de Bruxelles Üniversitesi'nden bir algı psikoloğu olan Axel Cleeremans, Quartz'a şöyle dedi:
Bir bilinçlilik kuramı, nöronlarının yüzde 90'ını kaybeden bir insanın neden hâlâ normal davranışlar sergilediğini açıklamak zorundadır.
Diğer bir deyişle, belirli bir bölgenin kendi başına bilinçlilikten sorumlu olacak olması muhtemel değil. Cleeremans, bunun yerine, beynin bilinç ile birlikte doğmak yerine onu tekrar tekrar öğreniyor olduğuna dayanan bir varsayım ortaya atıyor. Yani bilincin bölgesi değişken ve farklı beyin bölgeleri tarafından öğrenilmiş halde. Şöyle açıklıyor:
Bilinçlilik, deneyimler üzerinden, yani öğrenmeyle, kendisiyle, dünyayla ve diğer insanlarla etkileşimi üzerinden elde edilen, beynin kendisi hakkındaki kavramsal olmayan kuramıdır.
Kendisi bu fikri ilk defa 2011 yılında yayınlamış ve şu an Haziran ayında Buenos Aires'da Bilimsel Bilinçlilik Çalışması Birliği 2016'da konu üzerine bir konuşma yapmıştı.
Evrim Ağacı'nın çalışmalarına Kreosus, Patreon veya YouTube üzerinden maddi destekte bulunarak hem Türkiye'de bilim anlatıcılığının gelişmesine katkı sağlayabilirsiniz, hem de site ve uygulamamızı reklamsız olarak deneyimleyebilirsiniz. Reklamsız deneyim, sitemizin/uygulamamızın çeşitli kısımlarda gösterilen Google reklamlarını ve destek çağrılarını görmediğiniz, %100 reklamsız ve çok daha temiz bir site deneyimi sunmaktadır.
KreosusKreosus'ta her 50₺'lik destek, 1 aylık reklamsız deneyime karşılık geliyor. Bu sayede, tek seferlik destekçilerimiz de, aylık destekçilerimiz de toplam destekleriyle doğru orantılı bir süre boyunca reklamsız deneyim elde edebiliyorlar.
Kreosus destekçilerimizin reklamsız deneyimi, destek olmaya başladıkları anda devreye girmektedir ve ek bir işleme gerek yoktur.
PatreonPatreon destekçilerimiz, destek miktarından bağımsız olarak, Evrim Ağacı'na destek oldukları süre boyunca reklamsız deneyime erişmeyi sürdürebiliyorlar.
Patreon destekçilerimizin Patreon ile ilişkili e-posta hesapları, Evrim Ağacı'ndaki üyelik e-postaları ile birebir aynı olmalıdır. Patreon destekçilerimizin reklamsız deneyiminin devreye girmesi 24 saat alabilmektedir.
YouTubeYouTube destekçilerimizin hepsi otomatik olarak reklamsız deneyime şimdilik erişemiyorlar ve şu anda, YouTube üzerinden her destek seviyesine reklamsız deneyim ayrıcalığını sunamamaktayız. YouTube Destek Sistemi üzerinde sunulan farklı seviyelerin açıklamalarını okuyarak, hangi ayrıcalıklara erişebileceğinizi öğrenebilirsiniz.
Eğer seçtiğiniz seviye reklamsız deneyim ayrıcalığı sunuyorsa, destek olduktan sonra YouTube tarafından gösterilecek olan bağlantıdaki formu doldurarak reklamsız deneyime erişebilirsiniz. YouTube destekçilerimizin reklamsız deneyiminin devreye girmesi, formu doldurduktan sonra 24-72 saat alabilmektedir.
Diğer PlatformlarBu 3 platform haricinde destek olan destekçilerimize ne yazık ki reklamsız deneyim ayrıcalığını sunamamaktayız. Destekleriniz sayesinde sistemlerimizi geliştirmeyi sürdürüyoruz ve umuyoruz bu ayrıcalıkları zamanla genişletebileceğiz.
Giriş yapmayı unutmayın!Reklamsız deneyim için, maddi desteğiniz ile ilişkilendirilmiş olan Evrim Ağacı hesabınıza üye girişi yapmanız gerekmektedir. Giriş yapmadığınız takdirde reklamları görmeye devam edeceksinizdir.
Kendi hipotezini 'köklü esneklik hipotezi' olarak adlandırıyor ve bu sav, yetişkin beyninin daha önce düşündüğümüzden daha uyumlu olduğunu (ve bir yaralanma durumunda yeni roller üstlenme yeteneğine sahip olduğunu) öne süren yeni araştırma ile epey örtüşüyor. Olivia Goldhill'in Quartz'a şöyle diyor:
Cleeremans, farkında olmak için sadece bilgiyi bilmenin değil, bilgiyi bileni bilmenin gerekli olduğunu savunuyor. Diğer bir deyişle, bir termostatın sadece sıcaklığı kaydetmesinden farklı olarak, bilinçli insanlar hem biliyor, hem de bilmelerini umursuyorlar.
Cleeremans, beynin devamlı ve bilinçsiz olarak kendi hareketlerini kendisine yeniden tarif etmeyi öğrendiğini ve bu tariflerin bilinçli deneyimin temelini şekillendirdiğini öne sürüyor.
Peki tüm bunların, beyninin sadece yüzde 10'uyla hayatta kalan bir adam ile ne ilgisi var? Cleeremans'a göre, adamın sadece ufak bir beyni kalmış olsa bile, geriye kalan nöronlar hâlâ kendileri hakkında bir kuram oluşturabiliyorlar, yani geriye kalan adam, eylemlerinin farkında.
Aslında bu fikir yeni değil; beyinlerimizin gerçekten ne kadar esnek ve uyum sağlayabilir olduğu konusunda her gün daha fazla şey öğreniyoruz. Bilim insanları sadece bu hafta, kör farelerde görüşü geri getirmek amacıyla beyin hücrelerinin yeniden büyümesini tetiklemeyi başardılar.
Fakat bu, inanılmaz şekilde hasar görmüş olsalar bile beyinlerimizin neyi başarmayı öğrenebildiğinin çarpıcı bir hatırlatıcısı durumunda ve bir gün, sinirbozuma neden olan hastalıkların bazılarını nasıl geri çevireceğimizi öğrenebileceğimiz konusunda bize umut veriyor.
Düzeltmeler: Bu yazının eski bir sürümünde, hastanın beyninin yüzde 90'ının olmadığı yazılmıştı. Ancak durum bu değil. Daha ziyade, özel bir hidrosefali hastalığı bulunan şahsın beyninin yüzde 90'lık kısmı kafasında biriken sıvı basıncı nedeniyle baskılanmış/sıkıştırılmış ve hasar görmüş halde. İçerik, bunu yansıtacak şekilde düzeltildi.
Evrim Ağacı'nda tek bir hedefimiz var: Bilimsel gerçekleri en doğru, tarafsız ve kolay anlaşılır şekilde Türkiye'ye ulaştırmak. Ancak tahmin edebileceğiniz gibi Türkiye'de bilim anlatmak hiç kolay bir iş değil; hele ki bir yandan ekonomik bir hayatta kalma mücadelesi verirken...
O nedenle sizin desteklerinize ihtiyacımız var. Eğer yazılarımızı okuyanların %1'i bize bütçesinin elverdiği kadar destek olmayı seçseydi, bir daha tek bir reklam göstermeden Evrim Ağacı'nın bütün bilim iletişimi faaliyetlerini sürdürebilirdik. Bir düşünün: sadece %1'i...
O %1'i inşa etmemize yardım eder misiniz? Evrim Ağacı Premium üyesi olarak, ekibimizin size ve Türkiye'ye bilimi daha etkili ve profesyonel bir şekilde ulaştırmamızı mümkün kılmış olacaksınız. Ayrıca size olan minnetimizin bir ifadesi olarak, çok sayıda ayrıcalığa erişim sağlayacaksınız.
Makalelerimizin bilimsel gerçekleri doğru bir şekilde yansıtması için en üst düzey çabayı gösteriyoruz. Gözünüze doğru gelmeyen bir şey varsa, mümkünse güvenilir kaynaklarınızla birlikte bize ulaşın!
Bu makalemizle ilgili merak ettiğin bir şey mi var? Buraya tıklayarak sorabilirsin.
Soru & Cevap Platformuna Git- 31
- 21
- 12
- 10
- 10
- 8
- 5
- 4
- 1
- 1
- 0
- 0
- Çeviri Kaynağı: Science Alert | Arşiv Bağlantısı
- L. Feuillet, et al. (2007). Brain Of A White-Collar Worker. The Lancet, sf: 262. | Arşiv Bağlantısı
- A. Cleeremans. (2011). The Radical Plasticity Thesis: How The Brain Learns To Be Conscious. Frontiers in Psychology. | Arşiv Bağlantısı
Evrim Ağacı'na her ay sadece 1 kahve ısmarlayarak destek olmak ister misiniz?
Şu iki siteden birini kullanarak şimdi destek olabilirsiniz:
kreosus.com/evrimagaci | patreon.com/evrimagaci
Çıktı Bilgisi: Bu sayfa, Evrim Ağacı yazdırma aracı kullanılarak 23/10/2025 08:22:00 tarihinde oluşturulmuştur. Evrim Ağacı'ndaki içeriklerin tamamı, birden fazla editör tarafından, durmaksızın elden geçirilmekte, güncellenmekte ve geliştirilmektedir. Dolayısıyla bu çıktının alındığı tarihten sonra yapılan güncellemeleri görmek ve bu içeriğin en güncel halini okumak için lütfen şu adrese gidiniz: https://evrimagaci.org/s/4581
İçerik Kullanım İzinleri: Evrim Ağacı'ndaki yazılı içerikler orijinallerine hiçbir şekilde dokunulmadığı müddetçe izin alınmaksızın paylaşılabilir, kopyalanabilir, yapıştırılabilir, çoğaltılabilir, basılabilir, dağıtılabilir, yayılabilir, alıntılanabilir. Ancak bu içeriklerin hiçbiri izin alınmaksızın değiştirilemez ve değiştirilmiş halleri Evrim Ağacı'na aitmiş gibi sunulamaz. Benzer şekilde, içeriklerin hiçbiri, söz konusu içeriğin açıkça belirtilmiş yazarlarından ve Evrim Ağacı'ndan başkasına aitmiş gibi sunulamaz. Bu sayfa izin alınmaksızın düzenlenemez, Evrim Ağacı logosu, yazar/editör bilgileri ve içeriğin diğer kısımları izin alınmaksızın değiştirilemez veya kaldırılamaz.
This work is an exact translation of the article originally published in Science Alert. Evrim Ağacı is a popular science organization which seeks to increase scientific awareness and knowledge in Turkey, and this translation is a part of those efforts. If you are the author/owner of this article and if you choose it to be taken down, please contact us and we will immediately remove your content. Thank you for your cooperation and understanding.