Beynimizde Yaşayan Yararlı Bakteriler Olabilir Mi?

- Türev
- Bakteriyoloji
- Nöroloji
İnsan vücudunun, hatta organizmaların tamamının aslında iş birliği içerisinde olan hücre toplulukları olduğunu biliyoruz. Bu hücre toplulukları arasında yaşayan sayısız mikroorganizma var. Hatta bazı araştırmalara göre kendi hücrelerimizin sayısı kadar, vücutta yaşayan mutualist veya kommensalist bakteri var! Elbette sadece bakteriler değil, mantarlar, virüsler ve protozoonlar de bizimle birlikte yaşar. Bu canlılar ne kadar sağlıklı olursa, organizma da o kadar sağlıklı olur.
Bu canlılar başta bağırsak olmak üzere, özellikle gastrointestinal (sindirim ve boşaltım) sistemimizde yaşarlar. Hatta "ikinci beyin" tanımı bağırsağa bu yüzden verilir. Çünkü içerisindeki mikroorganizmaların haberleşmesi ile nöronlar tarafından beyne sinyal iletilebilir. Böylece kişinin duygu durumu değişebilir. Bakterilerin konuşmasına quorum sensing veya quorum algılama denir. Bu konu hakkındaki yazımıza buradan ulaşabilirsiniz.

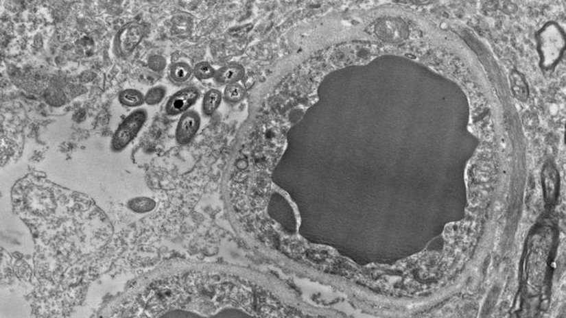
Neuroscience dergisinde yayımlanan bir araştırmada ise nörolojik anlamda sağlıklı bir insanın beynindeki yüksek çözünürlüklü (TEM) görüntüleme yöntemi sayesinde bakterilerin kan damarı yanında görüntülenmesi sağlandı!
Bildiğiniz gibi beyin filtreleme açısından son derece seçicidir. Bu yüzden kan beyin bariyeri (KBB) kolay kolay geçilemez. Normalde geçmemesi gerekmesine rağmen KBB'yi geçen maddeler, menenjit (beyin zarı enfeksiyonu) gibi ciddi tıbbi sorunlar yaratır.
Yukarıdaki fotoğrafta, her nasılsa, hiçbir sorun yaşamadan bakterilerin o bölgeye ulaştığı görülüyor. Elbette bu çalışma henüz başlangıç olduğu için üzerinde kesin bir tanıya varmak zor. Fakat oldukça ilginç, bilimsel soruların doğmasını sağlayabilir.
Elbette bu fikir eskiden de mevcuttu. Hatta birçok bilim insanı bu konu hakkında önemli çalışmalar yapmıştır. Makrofajlar ile lenfatik sistem yoluyla beyin bölgesine taşındığı biliniyordu. Fakat elektron mikroskobu ile ilk doğrudan gözlem olması, bu çalışmayı özel kılmaktadır.
Şunu belirtmekte fayda var: Alınan histolojik görüntü bir kadavraya (eğitim/inceleme amacı ile kullanılan ceset) ait. Yani bakteriler bedene sonradan dahil olmuş veya savunma sisteminin işlevini sonlandırması sonucu beyne ulaşmış olabilirler. Yine de şu ana kadar sayısız kadavrada incelendi; fakat bu şekilde herhangi bir gözlem yapılamamıştı.
O zaman soru şu: Ölümden sonra bağırsaklarımızdaki bakteriler kan yolu ile kısa sürede beyne ulaşabilir mi? Bu hipotezi test etmek için fareler üzerinde bir araştırma hazırlanmış ve ölümden sonra farelerde beyne ulaşan herhangi bir bakteri türü tespit edilememiştir.
İşin ilginç tarafı, beyinde görüntülenen bakterilerin, RNA sekanslama sonucu bağırsaklarımızda oldukça yaygın görülen Firmicutes, Proteobacteria, and Bacteroidetes şubelerine ait olduğu tespit edilmiştir. Fakat oraya nasıl ulaştıkları kesin olarak bilinmiyor. Bağırsaktan, sinir uçlarından veya doğrudan hava yolu ile burundan ulaşmış olabilirler mi? Ayrıca zararlı veya yararlı bakteri oldukları hakkında herhangi bir bilgi de yok. Zira bir kadavra üzerinde inceleme yapılıyor.

Peki neden şimdiye kadar herhangi bir beyin kesitinde görülmediler? Çünkü nadiren bir postmortem (ölüm sonrası) beyin, elektron mikroskobu altında incelenir. Bakteriler de fazlası ile küçük olduklarından dolayı, ışık mikroskobunda tespit edilmeleri çok zordur.
Şimdiye kadar Toxoplasma gondii türü parazitin beyinde herhangi bir ciddi hasar vermediği durumlar da olmuştur. Bu yüzden bakterilerin zararlı etkilerinin görülmemesi pek şaşırtıcı olmayacaktır. Kaldı ki birçok bakteri insan gibi büyük memeliler için zararsızdır.
Evrim Ağacı'nın çalışmalarına Kreosus, Patreon veya YouTube üzerinden maddi destekte bulunarak hem Türkiye'de bilim anlatıcılığının gelişmesine katkı sağlayabilirsiniz, hem de site ve uygulamamızı reklamsız olarak deneyimleyebilirsiniz. Reklamsız deneyim, sitemizin/uygulamamızın çeşitli kısımlarda gösterilen Google reklamlarını ve destek çağrılarını görmediğiniz, %100 reklamsız ve çok daha temiz bir site deneyimi sunmaktadır.
KreosusKreosus'ta her 50₺'lik destek, 1 aylık reklamsız deneyime karşılık geliyor. Bu sayede, tek seferlik destekçilerimiz de, aylık destekçilerimiz de toplam destekleriyle doğru orantılı bir süre boyunca reklamsız deneyim elde edebiliyorlar.
Kreosus destekçilerimizin reklamsız deneyimi, destek olmaya başladıkları anda devreye girmektedir ve ek bir işleme gerek yoktur.
PatreonPatreon destekçilerimiz, destek miktarından bağımsız olarak, Evrim Ağacı'na destek oldukları süre boyunca reklamsız deneyime erişmeyi sürdürebiliyorlar.
Patreon destekçilerimizin Patreon ile ilişkili e-posta hesapları, Evrim Ağacı'ndaki üyelik e-postaları ile birebir aynı olmalıdır. Patreon destekçilerimizin reklamsız deneyiminin devreye girmesi 24 saat alabilmektedir.
YouTubeYouTube destekçilerimizin hepsi otomatik olarak reklamsız deneyime şimdilik erişemiyorlar ve şu anda, YouTube üzerinden her destek seviyesine reklamsız deneyim ayrıcalığını sunamamaktayız. YouTube Destek Sistemi üzerinde sunulan farklı seviyelerin açıklamalarını okuyarak, hangi ayrıcalıklara erişebileceğinizi öğrenebilirsiniz.
Eğer seçtiğiniz seviye reklamsız deneyim ayrıcalığı sunuyorsa, destek olduktan sonra YouTube tarafından gösterilecek olan bağlantıdaki formu doldurarak reklamsız deneyime erişebilirsiniz. YouTube destekçilerimizin reklamsız deneyiminin devreye girmesi, formu doldurduktan sonra 24-72 saat alabilmektedir.
Diğer PlatformlarBu 3 platform haricinde destek olan destekçilerimize ne yazık ki reklamsız deneyim ayrıcalığını sunamamaktayız. Destekleriniz sayesinde sistemlerimizi geliştirmeyi sürdürüyoruz ve umuyoruz bu ayrıcalıkları zamanla genişletebileceğiz.
Giriş yapmayı unutmayın!Reklamsız deneyim için, maddi desteğiniz ile ilişkilendirilmiş olan Evrim Ağacı hesabınıza üye girişi yapmanız gerekmektedir. Giriş yapmadığınız takdirde reklamları görmeye devam edeceksinizdir.
Fakat bu çalışmanın, bilimsel anlamda devrim niteliğinde bir keşif olacağı kesin. Belki de merkezi sinir sistemindeki bağışıklığı düzenliyorlar? Peki düşüncelerimiz ve davranışlarımız üzerinde etkileri olabilir mi? Zira beyindeki Herpes virüsü ile Alzheimer hastalığı arasında ilişki bulunmuştu. Ayrıca kedilerin Toksoplazmozis sonucu intihara meyilli hale geldikleri de biliniyor. Eğer böyle bir flora veya mikrobiyota varsa, bize etkileri ne olur? Belki de hiçbir etkisi olmaz - çünkü farkında değilizdir.
Dediğimiz gibi henüz böyle bir floranın sağlıklı bireylerde bulunup, bulunmadığı bilinmiyor. Şimdilik eldeki veriler, gastrointestinal sistemden beyin bölgesine, kan (lenf?) veya akson yolu ile ulaşmasına sıcak yaklaşıyor. Dolayısıyla beyin mikrobiyomu hakkındaki ilk gözlem diyebiliriz.
Elbette sadece kadavra üzerindeki bu çalışmadan kesin bir yargıya varılamaz. Çünkü kontaminasyon olması büyük olasılıktır. Devamını merakla bekliyor olacağız!
Evrim Ağacı'nda tek bir hedefimiz var: Bilimsel gerçekleri en doğru, tarafsız ve kolay anlaşılır şekilde Türkiye'ye ulaştırmak. Ancak tahmin edebileceğiniz gibi Türkiye'de bilim anlatmak hiç kolay bir iş değil; hele ki bir yandan ekonomik bir hayatta kalma mücadelesi verirken...
O nedenle sizin desteklerinize ihtiyacımız var. Eğer yazılarımızı okuyanların %1'i bize bütçesinin elverdiği kadar destek olmayı seçseydi, bir daha tek bir reklam göstermeden Evrim Ağacı'nın bütün bilim iletişimi faaliyetlerini sürdürebilirdik. Bir düşünün: sadece %1'i...
O %1'i inşa etmemize yardım eder misiniz? Evrim Ağacı Premium üyesi olarak, ekibimizin size ve Türkiye'ye bilimi daha etkili ve profesyonel bir şekilde ulaştırmamızı mümkün kılmış olacaksınız. Ayrıca size olan minnetimizin bir ifadesi olarak, çok sayıda ayrıcalığa erişim sağlayacaksınız.
Makalelerimizin bilimsel gerçekleri doğru bir şekilde yansıtması için en üst düzey çabayı gösteriyoruz. Gözünüze doğru gelmeyen bir şey varsa, mümkünse güvenilir kaynaklarınızla birlikte bize ulaşın!
Bu makalemizle ilgili merak ettiğin bir şey mi var? Buraya tıklayarak sorabilirsin.
Soru & Cevap Platformuna Git- 8
- 3
- 3
- 2
- 2
- 0
- 0
- 0
- 0
- 0
- 0
- 0
- Türev İçerik Kaynağı: Science | Arşiv Bağlantısı
- R. C. ROBERTS, et al. (2018). The Human Brain Microbiome; There Are Bacteria In Our Brains!. Neuroscience, sf: 594-08. | Arşiv Bağlantısı
Evrim Ağacı'na her ay sadece 1 kahve ısmarlayarak destek olmak ister misiniz?
Şu iki siteden birini kullanarak şimdi destek olabilirsiniz:
kreosus.com/evrimagaci | patreon.com/evrimagaci
Çıktı Bilgisi: Bu sayfa, Evrim Ağacı yazdırma aracı kullanılarak 08/10/2025 09:27:17 tarihinde oluşturulmuştur. Evrim Ağacı'ndaki içeriklerin tamamı, birden fazla editör tarafından, durmaksızın elden geçirilmekte, güncellenmekte ve geliştirilmektedir. Dolayısıyla bu çıktının alındığı tarihten sonra yapılan güncellemeleri görmek ve bu içeriğin en güncel halini okumak için lütfen şu adrese gidiniz: https://evrimagaci.org/s/7449
İçerik Kullanım İzinleri: Evrim Ağacı'ndaki yazılı içerikler orijinallerine hiçbir şekilde dokunulmadığı müddetçe izin alınmaksızın paylaşılabilir, kopyalanabilir, yapıştırılabilir, çoğaltılabilir, basılabilir, dağıtılabilir, yayılabilir, alıntılanabilir. Ancak bu içeriklerin hiçbiri izin alınmaksızın değiştirilemez ve değiştirilmiş halleri Evrim Ağacı'na aitmiş gibi sunulamaz. Benzer şekilde, içeriklerin hiçbiri, söz konusu içeriğin açıkça belirtilmiş yazarlarından ve Evrim Ağacı'ndan başkasına aitmiş gibi sunulamaz. Bu sayfa izin alınmaksızın düzenlenemez, Evrim Ağacı logosu, yazar/editör bilgileri ve içeriğin diğer kısımları izin alınmaksızın değiştirilemez veya kaldırılamaz.