Bu sık yapılan bir hata. Ayıların anatomisini aşağıdaki görselden inceleyelim:
/old/qna_media/036a33cf88cf5a113c0959b04304f4d3.jpeg)
Görebileceğiniz gibi arka bacakta dizler (veya diz kapağı), gövdeye yakın olsa da bacağın kabaca ortasında kalıyor. Bilekse en aşağıda, ayağın hemen arkasında. Bunu, ayaktaki metatarsal kemiklerden (ayaktaki çok sayıda ince uzun kemikten) görebiliyoruz. Ayıların bacak anatomisi bu bakımdan insanlardaki bacak anatomisine çok benziyor.
Köpek anatomisine bakalım:
/old/qna_media/c6e4d8f65270bbbd42fbe9a263f20c5f.jpeg)
Burada çok ilginç bir şey görüyoruz: Köpeklerde diz çok daha yüksekte, neredeyse karnın içinde. Görselde işaretlenmemiş, ama femur kemiği patella ile "hips" (kalça) arasında kalan kemik. Ayının femuruna göre ne kadar yukarıda olduğunu fark ettiniz mi?
Ayrıca bilek de ("ankle") metatarsalların uzamasına bağlı olarak yükseliyor ve arkadan çıkıntı yapıyor. Yani sizin köpekte "ters diz" sandığınız şey, aslında diz kemiği değil, bilek kemiği. Sadece, köpeklerin karşılaştıkları arazilere ve bu arazilerdeki hareket biçimlerine bağlı olarak evrimsel süreçte metatarsalları uzayıp geriye kaydığı için, yaptıkları çıkıntıyı "ters diz" sanıyorsunuz (daha doğrusu geçici bipedal olan ayılardaki kemik düzeni insana daha benzer, yoksa dört üyelilerde genelde köpeğinkine benzer bir durum görüyoruz).
Bu, evrimin gerçekten de ne kadar muhteşem güçlü bir teori olduğunu bir kez daha gösteriyor; çünkü çok farklı türlerde birebir aynı kemiklerin sadece uzayıp kısalmasıyla sayısız anatominin ortaya çıkabilmesini eksiksiz ve kusursuz bir şekilde açıklıyor. Bu durumu homolog organların hepsinde görüyoruz:
/old/qna_media/7b13f048d56142d7206dd74a5c8c6451.jpeg)
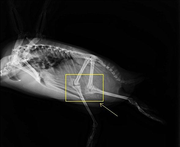
Mesela devekuşlarında da aynı durum var:
/old/qna_media/9b53811334c2b63b9a9f9e7ec665fc4f.jpeg)
O bacağın ortasında, arkaya doğru çıkıntı yapan şey diz değil, bilek! Diz, vücudun içine gömülmüş halde.
Mesela siz de penguenlerin diz kemiklerini inceleyerek pratik yapabilirsiniz:
/old/qna_media/544d4a1544e7a2cd479bb8f734be2ec9.jpeg)