Penguenlerin Dizleri Var mıdır?

Penguenler, Kuşlar Sınıfı'ndan olan omurgalı hayvanlardır. Tüm kuşlar gibi, ortak ataları dinozorlardan evrimleşmiştir. Dinozorlar, diğer tüm omurgalılarla aynı vücut planına sahiptir. Buradaki yazımızda da izah ettiğimiz gibi, tüm omurgalı hayvanlarda kemik düzeni neredeyse birebir aynıdır, çünkü ortak atalardan gelirler.
Bu durumda tuhaf bir durum ortaya çıkmaktadır: Uçma yetisi evrimsel süreçte körelmiş olan penguenler, karalarda yürüyerek hareket ederler. Bacakları var gibidir; ancak dizleri de yok gibidir. Sanki vücutlarından iki bacak aşağı doğru çıkıverir. O dümdüz çıkan ve dizleri yokmuş gibi gözüken bacakları üzerinde paytak paytak yürürler.
O halde, vücut planları diğer hayvanlardan farklı mıdır? Evrim bunu nasıl açıklayacaktır? Yoksa evrimcilerin hayalleri suya mı düşmüştür? Penguenler evrimi yerle bir mi etmiş, sünger gibi delik deşik mi etmiştir?

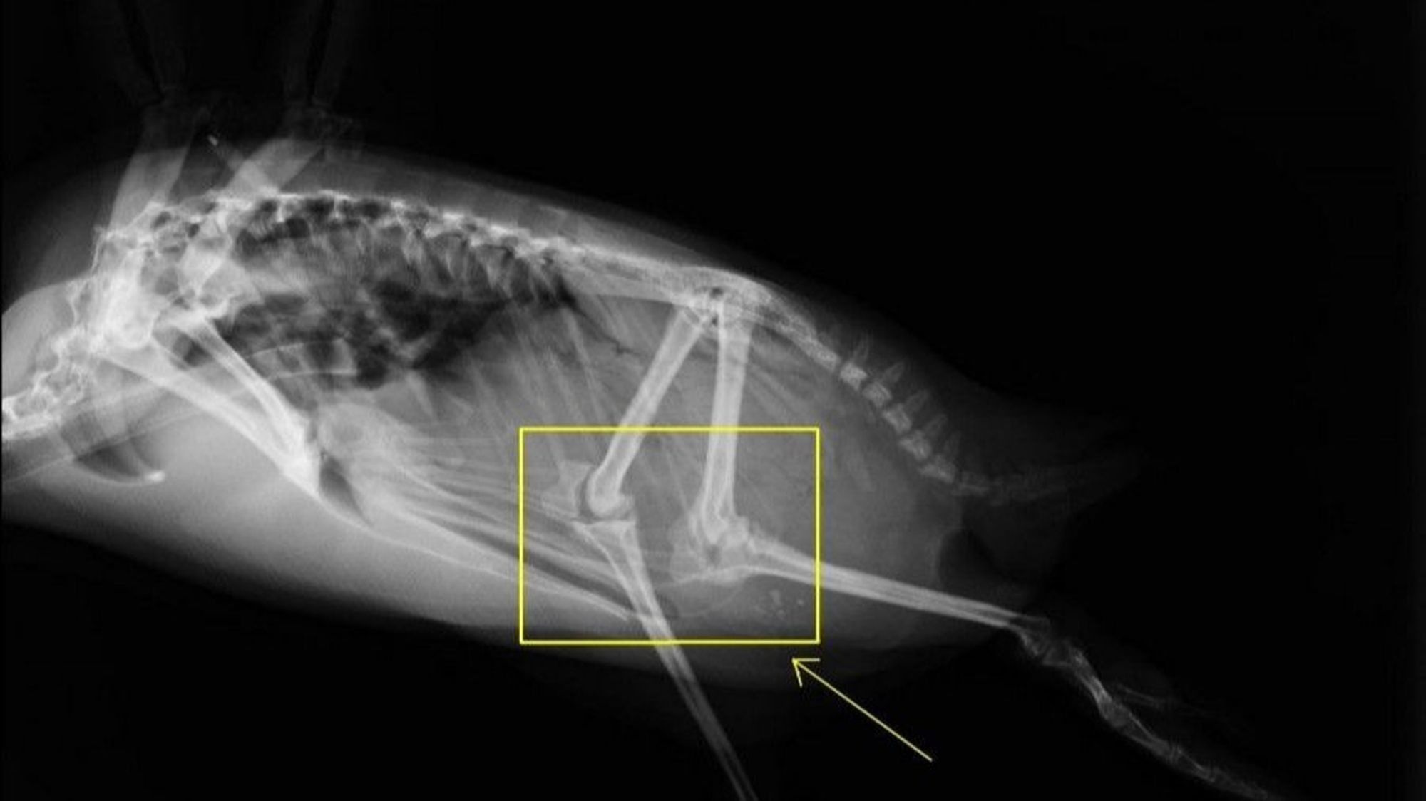
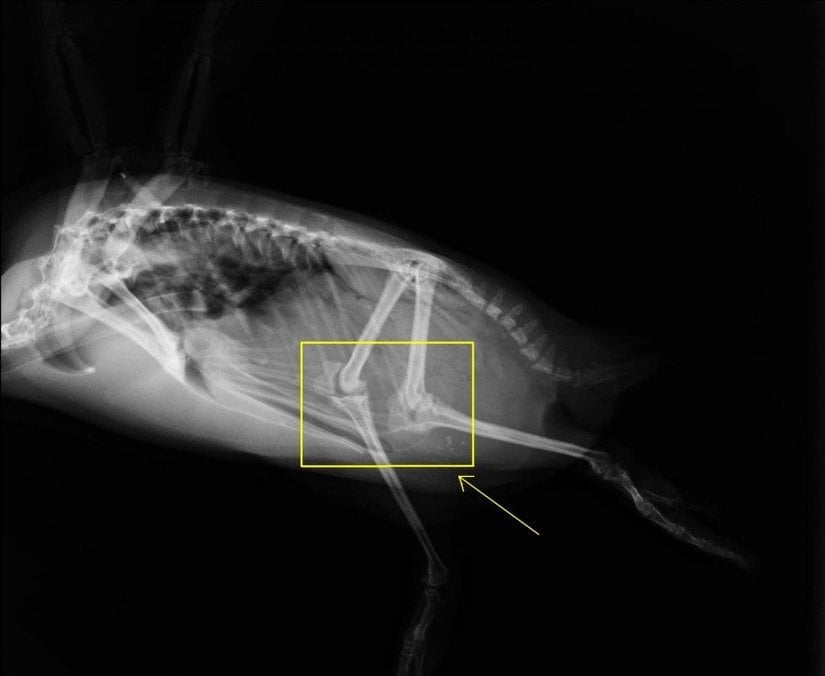
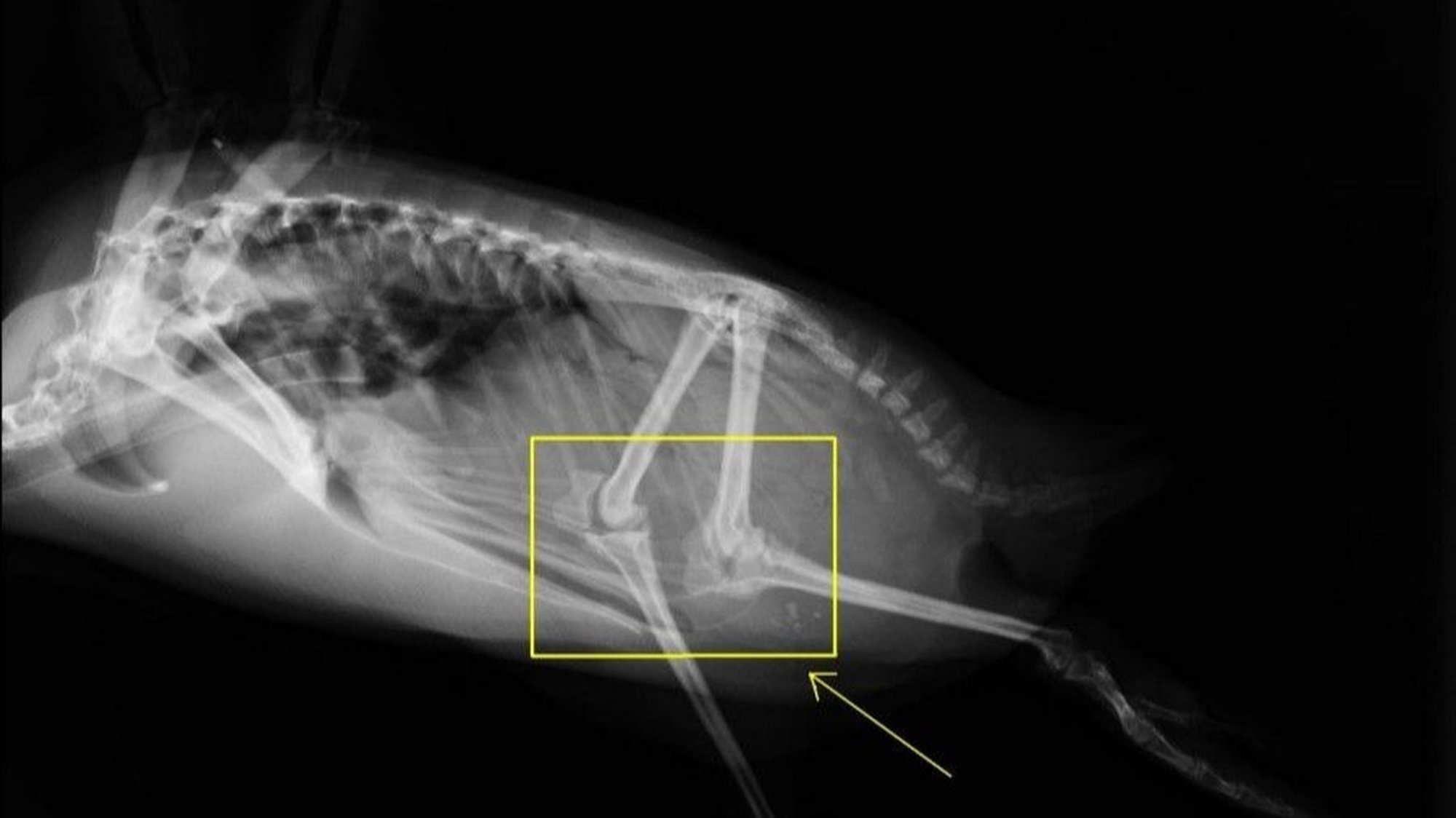
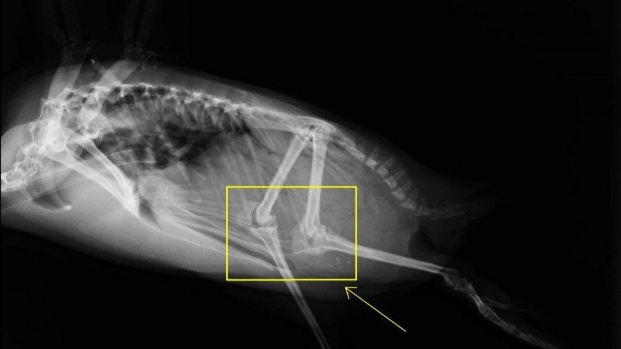
Elbette hayır. Fotoğrafta gördüğünüz bir penguenin X-Işını Taraması altındaki bacak kemiklerinin görüntüsü.
Penguenlerin dizleri, vücutlarının içerisinde yer alır; dışarıdan gözükmez. Ancak dikkatli bir inceleme, evrimsel öngörünün tam da ileri sürdüğünün penguenler için de geçerli olduğunu ortaya çıkaracaktır: Penguenler de, diğer tüm omurgalılarla aynı vücut planını paylaşmaktadır.

Evrimsel süreçte ne kadar farklılaşmış olurlarsa olsunlar, evrimin izlerini diğer tüm canlılar gibi bedenlerinde kalıcı bir damga gibi taşımaktadırlar.
Evrim Ağacı'nda tek bir hedefimiz var: Bilimsel gerçekleri en doğru, tarafsız ve kolay anlaşılır şekilde Türkiye'ye ulaştırmak. Ancak tahmin edebileceğiniz gibi Türkiye'de bilim anlatmak hiç kolay bir iş değil; hele ki bir yandan ekonomik bir hayatta kalma mücadelesi verirken...
O nedenle sizin desteklerinize ihtiyacımız var. Eğer yazılarımızı okuyanların %1'i bize bütçesinin elverdiği kadar destek olmayı seçseydi, bir daha tek bir reklam göstermeden Evrim Ağacı'nın bütün bilim iletişimi faaliyetlerini sürdürebilirdik. Bir düşünün: sadece %1'i...
O %1'i inşa etmemize yardım eder misiniz? Evrim Ağacı Premium üyesi olarak, ekibimizin size ve Türkiye'ye bilimi daha etkili ve profesyonel bir şekilde ulaştırmamızı mümkün kılmış olacaksınız. Ayrıca size olan minnetimizin bir ifadesi olarak, çok sayıda ayrıcalığa erişim sağlayacaksınız.
Makalelerimizin bilimsel gerçekleri doğru bir şekilde yansıtması için en üst düzey çabayı gösteriyoruz. Gözünüze doğru gelmeyen bir şey varsa, mümkünse güvenilir kaynaklarınızla birlikte bize ulaşın!
Bu makalemizle ilgili merak ettiğin bir şey mi var? Buraya tıklayarak sorabilirsin.
Soru & Cevap Platformuna Git- 17
- 7
- 4
- 1
- 1
- 1
- 0
- 0
- 0
- 0
- 0
- 0
- NEAQ. Do Penguins Have Knees?. (9 Temmuz 2010). Alındığı Tarih: 10 Nisan 2019. Alındığı Yer: New England Aquarium | Arşiv Bağlantısı
Evrim Ağacı'na her ay sadece 1 kahve ısmarlayarak destek olmak ister misiniz?
Şu iki siteden birini kullanarak şimdi destek olabilirsiniz:
kreosus.com/evrimagaci | patreon.com/evrimagaci
Çıktı Bilgisi: Bu sayfa, Evrim Ağacı yazdırma aracı kullanılarak 09/10/2025 19:39:36 tarihinde oluşturulmuştur. Evrim Ağacı'ndaki içeriklerin tamamı, birden fazla editör tarafından, durmaksızın elden geçirilmekte, güncellenmekte ve geliştirilmektedir. Dolayısıyla bu çıktının alındığı tarihten sonra yapılan güncellemeleri görmek ve bu içeriğin en güncel halini okumak için lütfen şu adrese gidiniz: https://evrimagaci.org/s/3670
İçerik Kullanım İzinleri: Evrim Ağacı'ndaki yazılı içerikler orijinallerine hiçbir şekilde dokunulmadığı müddetçe izin alınmaksızın paylaşılabilir, kopyalanabilir, yapıştırılabilir, çoğaltılabilir, basılabilir, dağıtılabilir, yayılabilir, alıntılanabilir. Ancak bu içeriklerin hiçbiri izin alınmaksızın değiştirilemez ve değiştirilmiş halleri Evrim Ağacı'na aitmiş gibi sunulamaz. Benzer şekilde, içeriklerin hiçbiri, söz konusu içeriğin açıkça belirtilmiş yazarlarından ve Evrim Ağacı'ndan başkasına aitmiş gibi sunulamaz. Bu sayfa izin alınmaksızın düzenlenemez, Evrim Ağacı logosu, yazar/editör bilgileri ve içeriğin diğer kısımları izin alınmaksızın değiştirilemez veya kaldırılamaz.